#paptest search results

#paptest with a multinucleate giant cell #cytopath

israhkhan's tweet image. #paptest  with a multinucleate giant cell
#cytopath

Beware of bloody unsats #Paptest , Tumor cells hiding within diathesis

israhkhan's tweet image. Beware of bloody unsats 
#Paptest , Tumor cells hiding within diathesis
israhkhan's tweet image. Beware of bloody unsats 
#Paptest , Tumor cells hiding within diathesis
israhkhan's tweet image. Beware of bloody unsats 
#Paptest , Tumor cells hiding within diathesis

A Pap test involves using a speculum to examine the vaginal area and collecting cells from the cervix to check for abnormalities. The procedure is quick. #paptest #cervicalcancer #cancerscreening #healthcare @StopHPVCancer

InfoASHA's tweet image. A Pap test involves using a speculum to examine the vaginal area and collecting cells from the cervix to check for abnormalities. The procedure is quick. #paptest #cervicalcancer #cancerscreening #healthcare @StopHPVCancer

Not too bad Dancing in the dark #Paptest candida

israhkhan's tweet image. Not too bad 
Dancing in the dark #Paptest candida

Σαν σήμερα 13 Μαϊου 1883 γεννήθηκε ένας μεγάλος Έλληνας στην Κύμη της Ευβοίας. «Το ιδανικό μου δεν είναι να πλουτίσω, ούτε να ζήσω ευτυχής, αλλά να εργασθώ, να δράσω, να δημιουργήσω. Να κάνω κάτι αντάξιο ενός ανθρώπου ηθικού και δυνατού» Γεώργιος Ν. Παπανικολάου. #paptest

KolydasT's tweet image. Σαν σήμερα 13 Μαϊου 1883 γεννήθηκε  ένας μεγάλος Έλληνας στην Κύμη της Ευβοίας.

«Το ιδανικό μου δεν είναι να πλουτίσω, ούτε να ζήσω ευτυχής, αλλά να εργασθώ, να δράσω, να δημιουργήσω. 
Να κάνω κάτι αντάξιο ενός ανθρώπου ηθικού και δυνατού» 
Γεώργιος Ν. Παπανικολάου.
#paptest

Only two "tadpole" cells in this squamous cells carcinoma. In Spanish, we say "renacuajoide," but in Mexico, we should say "ajolotoide" cause Ajolotes are very loved salamanders but threatened with extinction. (Pic 3 and 4: mexican ajolote) #paptest #tadpole

Citopatoroxx's tweet image. Only two "tadpole" cells in this squamous cells carcinoma. In Spanish, we say "renacuajoide," but in Mexico, we should say "ajolotoide" cause Ajolotes are very loved salamanders but threatened with extinction. (Pic 3 and 4: mexican ajolote) 

#paptest #tadpole
Citopatoroxx's tweet image. Only two "tadpole" cells in this squamous cells carcinoma. In Spanish, we say "renacuajoide," but in Mexico, we should say "ajolotoide" cause Ajolotes are very loved salamanders but threatened with extinction. (Pic 3 and 4: mexican ajolote) 

#paptest #tadpole
Citopatoroxx's tweet image. Only two "tadpole" cells in this squamous cells carcinoma. In Spanish, we say "renacuajoide," but in Mexico, we should say "ajolotoide" cause Ajolotes are very loved salamanders but threatened with extinction. (Pic 3 and 4: mexican ajolote) 

#paptest #tadpole
Citopatoroxx's tweet image. Only two "tadpole" cells in this squamous cells carcinoma. In Spanish, we say "renacuajoide," but in Mexico, we should say "ajolotoide" cause Ajolotes are very loved salamanders but threatened with extinction. (Pic 3 and 4: mexican ajolote) 

#paptest #tadpole

It is only a lower uterine segment sampling with characteristic tubular structure, and it's beautiful. #cytopath #paptest

Citopatoroxx's tweet image. It is only a lower uterine segment sampling with characteristic tubular structure, and it's beautiful. 

#cytopath #paptest

#CervicalCancer screening is important as it serves as a proactive measure to detect early signs of cervical abnormalities, often caused by #HPV. Swipe to see the Pap Screening Clinic options available across Central Region North. #PapTest #CancerScreening

WCHealthNetwork's tweet image. #CervicalCancer screening is important as it serves as a proactive measure to detect early signs of cervical abnormalities, often caused by #HPV. Swipe to see the Pap Screening Clinic options available across Central Region North.

#PapTest #CancerScreening
WCHealthNetwork's tweet image. #CervicalCancer screening is important as it serves as a proactive measure to detect early signs of cervical abnormalities, often caused by #HPV. Swipe to see the Pap Screening Clinic options available across Central Region North.

#PapTest #CancerScreening

#paptest #fmp ● Next : Wanament, 17 ak 18 Jyen. Depistaj kansè tete ak kòl matris pou tout fanm ki deja nan fè bagay. Make dat sa yo epi pa bliye nan zafè kansè pi bonè se granmmaten. N ap tann tout moun.

Jephtyy_'s tweet image. ●  #paptest 
     #fmp 

● Next : Wanament, 17 ak 18 Jyen. 
Depistaj kansè tete ak kòl matris pou tout fanm ki deja nan fè bagay.

Make dat sa yo epi pa bliye nan zafè kansè pi bonè se granmmaten. N ap tann tout moun.
Jephtyy_'s tweet image. ●  #paptest 
     #fmp 

● Next : Wanament, 17 ak 18 Jyen. 
Depistaj kansè tete ak kòl matris pou tout fanm ki deja nan fè bagay.

Make dat sa yo epi pa bliye nan zafè kansè pi bonè se granmmaten. N ap tann tout moun.

What does a Pap test consist of? A Pap test involves your healthcare provider using a speculum to examine your vaginal area. They will then collect cells from your cervix using a small brush to check for any abnormalities. The test only takes a few minutes. #paptest #cancer

NewarkDHCW's tweet image. What does a Pap test consist of? A Pap test involves your healthcare provider using a speculum to examine your vaginal area. They will then collect cells from your cervix using a small brush to check for any abnormalities. The test only takes a few minutes. #paptest #cancer

Neoplastic vacuolated cells with intracytoplasmic neutrophils: features of endometrial adenocarcinoma in PAP. Follow-up with endometrioid carcinoma. Células vacuoladas con neutrófilos intracitoplasmáticos en un fondo diatésico = adenocarcinoma endometrial. #paptest #Cytopath🧡

Citopatoroxx's tweet image. Neoplastic vacuolated cells with intracytoplasmic neutrophils: features of endometrial adenocarcinoma in PAP. Follow-up with endometrioid carcinoma. 

Células vacuoladas con neutrófilos intracitoplasmáticos en un fondo diatésico = adenocarcinoma endometrial.

#paptest #Cytopath🧡
Citopatoroxx's tweet image. Neoplastic vacuolated cells with intracytoplasmic neutrophils: features of endometrial adenocarcinoma in PAP. Follow-up with endometrioid carcinoma. 

Células vacuoladas con neutrófilos intracitoplasmáticos en un fondo diatésico = adenocarcinoma endometrial.

#paptest #Cytopath🧡

-Very cellular smear with a subtle background tumor diathesis. -Markedly hyperchromatic nuclei with granular irregular chromatin. -Abnormal keratinized cells, bizarre and spindle-shaped. Squamous cell carcinoma. #paptest #cytopath #cytology

Citopatoroxx's tweet image. -Very cellular smear with a subtle background tumor diathesis. 
-Markedly hyperchromatic nuclei with granular irregular chromatin.
-Abnormal keratinized cells, bizarre and spindle-shaped. 

Squamous cell carcinoma. 

#paptest #cytopath #cytology
Citopatoroxx's tweet image. -Very cellular smear with a subtle background tumor diathesis. 
-Markedly hyperchromatic nuclei with granular irregular chromatin.
-Abnormal keratinized cells, bizarre and spindle-shaped. 

Squamous cell carcinoma. 

#paptest #cytopath #cytology
Citopatoroxx's tweet image. -Very cellular smear with a subtle background tumor diathesis. 
-Markedly hyperchromatic nuclei with granular irregular chromatin.
-Abnormal keratinized cells, bizarre and spindle-shaped. 

Squamous cell carcinoma. 

#paptest #cytopath #cytology
Citopatoroxx's tweet image. -Very cellular smear with a subtle background tumor diathesis. 
-Markedly hyperchromatic nuclei with granular irregular chromatin.
-Abnormal keratinized cells, bizarre and spindle-shaped. 

Squamous cell carcinoma. 

#paptest #cytopath #cytology

-Mild hyperkeratosis, reactive changes, minimal nuclear changes (atypia) and finally you find them: Candida pseudohyphae. #cytology #paptest #candida

Citopatoroxx's tweet image. -Mild hyperkeratosis, reactive changes,  minimal nuclear changes (atypia) and finally you find them: Candida pseudohyphae.

#cytology #paptest #candida

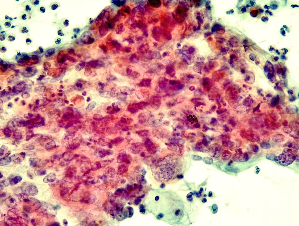
Very bizarre cells and necrotic background in this squamous cell carcinoma. Carcinoma epidermoide con un fondo muy necrótico y células pleomórficas, anormales y ahusadas. #cytopath #paptest #cervicalcytology

Citopatoroxx's tweet image. Very bizarre cells and necrotic background in this squamous cell carcinoma. 

Carcinoma epidermoide con un fondo muy necrótico y células pleomórficas, anormales y ahusadas. 

#cytopath #paptest #cervicalcytology
Citopatoroxx's tweet image. Very bizarre cells and necrotic background in this squamous cell carcinoma. 

Carcinoma epidermoide con un fondo muy necrótico y células pleomórficas, anormales y ahusadas. 

#cytopath #paptest #cervicalcytology
Citopatoroxx's tweet image. Very bizarre cells and necrotic background in this squamous cell carcinoma. 

Carcinoma epidermoide con un fondo muy necrótico y células pleomórficas, anormales y ahusadas. 

#cytopath #paptest #cervicalcytology
Citopatoroxx's tweet image. Very bizarre cells and necrotic background in this squamous cell carcinoma. 

Carcinoma epidermoide con un fondo muy necrótico y células pleomórficas, anormales y ahusadas. 

#cytopath #paptest #cervicalcytology

Early detection can save lives. A simple, regular Pap smear test is your best defense against cervical cancer. Be proactive about your well-being and schedule your screening. Your health is a priority. Learn more: kailashhealthcare.com #CervicalCancerAwareness #PapTest

KailashHealth's tweet image. Early detection can save lives. A simple, regular Pap smear test is your best defense against cervical cancer. Be proactive about your well-being and schedule your screening.

Your health is a priority. Learn more: kailashhealthcare.com

#CervicalCancerAwareness #PapTest…

More health care providers are using TikTok to share info on Pap tests and cervical cancer screening. Short, clear videos help explain the process, ease anxiety, and reach young women where they are—on social media. #HealthEd #PapTest Full video: contemporaryobgyn.net/view/ciera-kir…


Test e vaccino anti-HPV gratis per proteggere la salute femminile adn24.it/blog/2025/11/1… #HPV #Salute #PapTest #Vaccinazione #SantAnna #Screening


💖 Ladies, don’t skip your Pap test! 💖 Regular Pap smears can detect cervical changes early — before they turn into cancer. Early detection = better outcomes! 🌸 Take a few minutes for your health today… your future self will thank you. 💪 #CervicalCancerAwareness #PapTest

MinnieM07491572's tweet image. 💖 Ladies, don’t skip your Pap test! 💖

Regular Pap smears can detect cervical changes early — before they turn into cancer. Early detection = better outcomes! 🌸 Take a few minutes for your health today… your future self will thank you. 💪

#CervicalCancerAwareness #PapTest…

linkedin.com/feed/update/ur… Routine examination of exfoliated cervical cells—popularly known as the #PapTest or #PapSmear—remains one of the most successful public-health interventions ever devised. Developed in the 1930s by Greek-American physician #GeorgePapanicolaou and first…


E sulla SBARRA del TELEPASS, io sono caduto dalla poltrona! #CTCF @lucianinalitti #PapTest 🤣🤣🤣🤣

rval2025__'s tweet image. E sulla SBARRA del TELEPASS, io sono caduto dalla poltrona! #CTCF @lucianinalitti #PapTest 🤣🤣🤣🤣

Early cancer detection = better outcomes! Routine screenings, like a #Paptest, are key to maintaining your health. But do you know what a Pap test actually looks for? Understanding screenings is a vital step in managing your own care. #EarlyDetection #WomensHealth #EpicCare

EpicCare's tweet image. Early cancer detection = better outcomes! Routine screenings, like a #Paptest, are key to maintaining your health. But do you know what a Pap test actually looks for? Understanding screenings is a vital step in managing your own care.
 #EarlyDetection #WomensHealth #EpicCare
EpicCare's tweet image. Early cancer detection = better outcomes! Routine screenings, like a #Paptest, are key to maintaining your health. But do you know what a Pap test actually looks for? Understanding screenings is a vital step in managing your own care.
 #EarlyDetection #WomensHealth #EpicCare
EpicCare's tweet image. Early cancer detection = better outcomes! Routine screenings, like a #Paptest, are key to maintaining your health. But do you know what a Pap test actually looks for? Understanding screenings is a vital step in managing your own care.
 #EarlyDetection #WomensHealth #EpicCare
EpicCare's tweet image. Early cancer detection = better outcomes! Routine screenings, like a #Paptest, are key to maintaining your health. But do you know what a Pap test actually looks for? Understanding screenings is a vital step in managing your own care.
 #EarlyDetection #WomensHealth #EpicCare

Book your "PAP in a SNAP" for Monday, October 20th, in Picton at princeedwardfht.com/online-booking… or call 613-476-0400 to reserve an appointment time. Details at princeedwardfht.com #cancerscreening #cervicalscreening #paptest #OntarioHealthcare #primarycare #nurses #nursepractitioner

PEFHT's tweet image. Book your "PAP in a SNAP" for Monday, October 20th, in Picton at princeedwardfht.com/online-booking… or call 613-476-0400 to reserve an appointment time.
Details at princeedwardfht.com
#cancerscreening #cervicalscreening #paptest #OntarioHealthcare #primarycare #nurses #nursepractitioner

You can’t see it, but a Pap test can. Early detection gives you the power to fight. Cervical health is in your hands. #CervicalHealth #PapTest #EarlyDetection #WomensHealth #CervicalCancerAwareness #ScreeningSavesLives #PreventiveCare #FelixHospital #HealthAwareness

WellnessFelix's tweet image. You can’t see it, but a Pap test can.
Early detection gives you the power to fight.
Cervical health is in your hands.

#CervicalHealth #PapTest #EarlyDetection #WomensHealth #CervicalCancerAwareness #ScreeningSavesLives #PreventiveCare #FelixHospital #HealthAwareness

At Sprint Diagnostics, we offer LBC (Liquid-Based Cytology) / Pap Test, which helps in detecting whether it’s a simple infection, hormonal imbalance, or something more critical like malignancy. #SprintDiagnostics #WomensHealth #PapTest #LBC #CervicalCancerAwareness


Getting regular Pap tests is an essential part of maintaining the health of women worldwide. In combination with the HPV test, it is one of the most important tools we have to combat cervical cancer. #womenhealth #cervicalcancerawareness #paptest #gynecology #nbo #synergy

SynergyClinicsP's tweet image. Getting regular Pap tests is an essential part of maintaining the health of women worldwide.

In combination with the HPV test, it is one of the most important tools we have to combat cervical cancer.

#womenhealth #cervicalcancerawareness #paptest #gynecology #nbo #synergy

Last week we launched a new service: Pap tests at home. A Pap test is one of the most important tools for protecting your health. In our latest blog, we break down what it is, who should get it, how often to test, and what results can mean. genexiahealth.com/blogs/f/unders… #PapTest


From pap smears to UTI treatment, we’ve got you covered 💖 Prioritize your health — we make it easy to walk in or check in online. Walk-ins welcome or check in ahead at monkeylink.co/240d6f ... #womenshealth #femalecare #paptest #reproductivehealth #xpressurgentcare

xurgentcare's tweet image. From pap smears to UTI treatment, we’ve got you covered 💖 Prioritize your health — we make it easy to walk in or check in online. Walk-ins welcome or check in ahead at monkeylink.co/240d6f 
...
#womenshealth #femalecare #paptest #reproductivehealth #xpressurgentcare

Genexia Health now offers Pap tests at home! This simple screening can save lives by detecting changes early, before they become something more serious. For more information, visit: genexiahealth.com/pap-tests #PapTest #CervicalHealth #PreventiveCare #WomenHealth #AtHomeCare

genexia_health's tweet image. Genexia Health now offers Pap tests at home!

This simple screening can save lives by detecting changes early, before they become something more serious.

For more information, visit: genexiahealth.com/pap-tests
#PapTest #CervicalHealth #PreventiveCare #WomenHealth #AtHomeCare

Nervous about your Pap or HPV test? That's common! Here are some tips for your next Pap/HPV test. Don't hesitate to communicate your concerns or nerves with your provider (they are here to help and support you). #PapTest #PelvicExam #HealthAnxiety #HPV #HPVTest #PapSmear

StopHPVCancer's tweet image. Nervous about your Pap or HPV test? That's common! Here are some tips for your next Pap/HPV test. Don't hesitate to communicate your concerns or nerves with your provider (they are here to help and support you). #PapTest #PelvicExam #HealthAnxiety #HPV #HPVTest #PapSmear

#paptest with a multinucleate giant cell #cytopath

israhkhan's tweet image. #paptest  with a multinucleate giant cell
#cytopath

Not too bad Dancing in the dark #Paptest candida

israhkhan's tweet image. Not too bad 
Dancing in the dark #Paptest candida

Beware of bloody unsats #Paptest , Tumor cells hiding within diathesis

israhkhan's tweet image. Beware of bloody unsats 
#Paptest , Tumor cells hiding within diathesis
israhkhan's tweet image. Beware of bloody unsats 
#Paptest , Tumor cells hiding within diathesis
israhkhan's tweet image. Beware of bloody unsats 
#Paptest , Tumor cells hiding within diathesis

Σαν σήμερα 13 Μαϊου 1883 γεννήθηκε ένας μεγάλος Έλληνας στην Κύμη της Ευβοίας. «Το ιδανικό μου δεν είναι να πλουτίσω, ούτε να ζήσω ευτυχής, αλλά να εργασθώ, να δράσω, να δημιουργήσω. Να κάνω κάτι αντάξιο ενός ανθρώπου ηθικού και δυνατού» Γεώργιος Ν. Παπανικολάου. #paptest

KolydasT's tweet image. Σαν σήμερα 13 Μαϊου 1883 γεννήθηκε  ένας μεγάλος Έλληνας στην Κύμη της Ευβοίας.

«Το ιδανικό μου δεν είναι να πλουτίσω, ούτε να ζήσω ευτυχής, αλλά να εργασθώ, να δράσω, να δημιουργήσω. 
Να κάνω κάτι αντάξιο ενός ανθρώπου ηθικού και δυνατού» 
Γεώργιος Ν. Παπανικολάου.
#paptest

A Pap test involves using a speculum to examine the vaginal area and collecting cells from the cervix to check for abnormalities. The procedure is quick. #paptest #cervicalcancer #cancerscreening #healthcare @StopHPVCancer

InfoASHA's tweet image. A Pap test involves using a speculum to examine the vaginal area and collecting cells from the cervix to check for abnormalities. The procedure is quick. #paptest #cervicalcancer #cancerscreening #healthcare @StopHPVCancer

#paptest #fmp ● Next : Wanament, 17 ak 18 Jyen. Depistaj kansè tete ak kòl matris pou tout fanm ki deja nan fè bagay. Make dat sa yo epi pa bliye nan zafè kansè pi bonè se granmmaten. N ap tann tout moun.

Jephtyy_'s tweet image. ●  #paptest 
     #fmp 

● Next : Wanament, 17 ak 18 Jyen. 
Depistaj kansè tete ak kòl matris pou tout fanm ki deja nan fè bagay.

Make dat sa yo epi pa bliye nan zafè kansè pi bonè se granmmaten. N ap tann tout moun.
Jephtyy_'s tweet image. ●  #paptest 
     #fmp 

● Next : Wanament, 17 ak 18 Jyen. 
Depistaj kansè tete ak kòl matris pou tout fanm ki deja nan fè bagay.

Make dat sa yo epi pa bliye nan zafè kansè pi bonè se granmmaten. N ap tann tout moun.

In order to optimize care, laboratory personnel and diagnosticians should be aware of clinical and morphologic considerations that are distinct to the transgender patient population. @VandaTorousMD acsjournals.onlinelibrary.wiley.com/doi/10.1002/cn… #cytopath #PapTest

CancerCytopath's tweet image. In order to optimize care, laboratory personnel and diagnosticians should be aware of clinical and morphologic considerations that are distinct to the transgender patient population. @VandaTorousMD

acsjournals.onlinelibrary.wiley.com/doi/10.1002/cn…

#cytopath #PapTest

Very bizarre cells and necrotic background in this squamous cell carcinoma. Carcinoma epidermoide con un fondo muy necrótico y células pleomórficas, anormales y ahusadas. #cytopath #paptest #cervicalcytology

Citopatoroxx's tweet image. Very bizarre cells and necrotic background in this squamous cell carcinoma. 

Carcinoma epidermoide con un fondo muy necrótico y células pleomórficas, anormales y ahusadas. 

#cytopath #paptest #cervicalcytology
Citopatoroxx's tweet image. Very bizarre cells and necrotic background in this squamous cell carcinoma. 

Carcinoma epidermoide con un fondo muy necrótico y células pleomórficas, anormales y ahusadas. 

#cytopath #paptest #cervicalcytology
Citopatoroxx's tweet image. Very bizarre cells and necrotic background in this squamous cell carcinoma. 

Carcinoma epidermoide con un fondo muy necrótico y células pleomórficas, anormales y ahusadas. 

#cytopath #paptest #cervicalcytology
Citopatoroxx's tweet image. Very bizarre cells and necrotic background in this squamous cell carcinoma. 

Carcinoma epidermoide con un fondo muy necrótico y células pleomórficas, anormales y ahusadas. 

#cytopath #paptest #cervicalcytology

#CervicalCancer screening is important as it serves as a proactive measure to detect early signs of cervical abnormalities, often caused by #HPV. Swipe to see the Pap Screening Clinic options available across Central Region North. #PapTest #CancerScreening

WCHealthNetwork's tweet image. #CervicalCancer screening is important as it serves as a proactive measure to detect early signs of cervical abnormalities, often caused by #HPV. Swipe to see the Pap Screening Clinic options available across Central Region North.

#PapTest #CancerScreening
WCHealthNetwork's tweet image. #CervicalCancer screening is important as it serves as a proactive measure to detect early signs of cervical abnormalities, often caused by #HPV. Swipe to see the Pap Screening Clinic options available across Central Region North.

#PapTest #CancerScreening

Only two "tadpole" cells in this squamous cells carcinoma. In Spanish, we say "renacuajoide," but in Mexico, we should say "ajolotoide" cause Ajolotes are very loved salamanders but threatened with extinction. (Pic 3 and 4: mexican ajolote) #paptest #tadpole

Citopatoroxx's tweet image. Only two "tadpole" cells in this squamous cells carcinoma. In Spanish, we say "renacuajoide," but in Mexico, we should say "ajolotoide" cause Ajolotes are very loved salamanders but threatened with extinction. (Pic 3 and 4: mexican ajolote) 

#paptest #tadpole
Citopatoroxx's tweet image. Only two "tadpole" cells in this squamous cells carcinoma. In Spanish, we say "renacuajoide," but in Mexico, we should say "ajolotoide" cause Ajolotes are very loved salamanders but threatened with extinction. (Pic 3 and 4: mexican ajolote) 

#paptest #tadpole
Citopatoroxx's tweet image. Only two "tadpole" cells in this squamous cells carcinoma. In Spanish, we say "renacuajoide," but in Mexico, we should say "ajolotoide" cause Ajolotes are very loved salamanders but threatened with extinction. (Pic 3 and 4: mexican ajolote) 

#paptest #tadpole
Citopatoroxx's tweet image. Only two "tadpole" cells in this squamous cells carcinoma. In Spanish, we say "renacuajoide," but in Mexico, we should say "ajolotoide" cause Ajolotes are very loved salamanders but threatened with extinction. (Pic 3 and 4: mexican ajolote) 

#paptest #tadpole

It is only a lower uterine segment sampling with characteristic tubular structure, and it's beautiful. #cytopath #paptest

Citopatoroxx's tweet image. It is only a lower uterine segment sampling with characteristic tubular structure, and it's beautiful. 

#cytopath #paptest

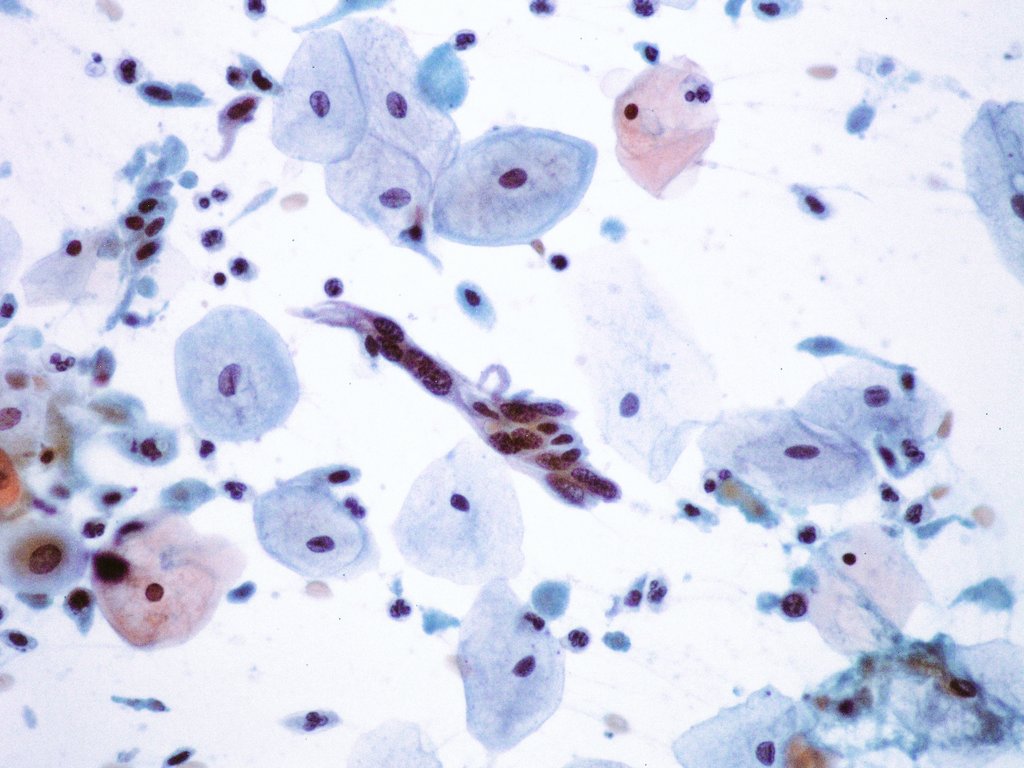
Moth-eaten cytoplasm in this Pap with Candida. #cytology #cervicalcytology #paptest

Citopatoroxx's tweet image. Moth-eaten cytoplasm in this Pap with Candida.

#cytology #cervicalcytology #paptest
Citopatoroxx's tweet image. Moth-eaten cytoplasm in this Pap with Candida.

#cytology #cervicalcytology #paptest

JOURNÉE 2 - RECAP Deuxième journée de depistage du cancer du sein et du col de l'utérus. On vous attend demain pour la dernière journée. 🕗 08 H - 04 H 📍Fakilte Medsin Leta a 89, Rue Oswald Durand #depistage #paptest #etidyanleta #sensibilisation #prevenirlecancer

ComeCWowOil's tweet image. JOURNÉE 2 - RECAP

Deuxième journée de depistage du cancer du sein et du col de l'utérus.

On vous attend demain pour la dernière journée. 

🕗 08 H - 04 H

📍Fakilte Medsin Leta a 
89, Rue Oswald Durand 

 #depistage #paptest #etidyanleta #sensibilisation #prevenirlecancer
ComeCWowOil's tweet image. JOURNÉE 2 - RECAP

Deuxième journée de depistage du cancer du sein et du col de l'utérus.

On vous attend demain pour la dernière journée. 

🕗 08 H - 04 H

📍Fakilte Medsin Leta a 
89, Rue Oswald Durand 

 #depistage #paptest #etidyanleta #sensibilisation #prevenirlecancer
ComeCWowOil's tweet image. JOURNÉE 2 - RECAP

Deuxième journée de depistage du cancer du sein et du col de l'utérus.

On vous attend demain pour la dernière journée. 

🕗 08 H - 04 H

📍Fakilte Medsin Leta a 
89, Rue Oswald Durand 

 #depistage #paptest #etidyanleta #sensibilisation #prevenirlecancer

-Very cellular smear with a subtle background tumor diathesis. -Markedly hyperchromatic nuclei with granular irregular chromatin. -Abnormal keratinized cells, bizarre and spindle-shaped. Squamous cell carcinoma. #paptest #cytopath #cytology

Citopatoroxx's tweet image. -Very cellular smear with a subtle background tumor diathesis. 
-Markedly hyperchromatic nuclei with granular irregular chromatin.
-Abnormal keratinized cells, bizarre and spindle-shaped. 

Squamous cell carcinoma. 

#paptest #cytopath #cytology
Citopatoroxx's tweet image. -Very cellular smear with a subtle background tumor diathesis. 
-Markedly hyperchromatic nuclei with granular irregular chromatin.
-Abnormal keratinized cells, bizarre and spindle-shaped. 

Squamous cell carcinoma. 

#paptest #cytopath #cytology
Citopatoroxx's tweet image. -Very cellular smear with a subtle background tumor diathesis. 
-Markedly hyperchromatic nuclei with granular irregular chromatin.
-Abnormal keratinized cells, bizarre and spindle-shaped. 

Squamous cell carcinoma. 

#paptest #cytopath #cytology
Citopatoroxx's tweet image. -Very cellular smear with a subtle background tumor diathesis. 
-Markedly hyperchromatic nuclei with granular irregular chromatin.
-Abnormal keratinized cells, bizarre and spindle-shaped. 

Squamous cell carcinoma. 

#paptest #cytopath #cytology

-Mild hyperkeratosis, reactive changes, minimal nuclear changes (atypia) and finally you find them: Candida pseudohyphae. #cytology #paptest #candida

Citopatoroxx's tweet image. -Mild hyperkeratosis, reactive changes,  minimal nuclear changes (atypia) and finally you find them: Candida pseudohyphae.

#cytology #paptest #candida

Early detection can save lives. A simple, regular Pap smear test is your best defense against cervical cancer. Be proactive about your well-being and schedule your screening. Your health is a priority. Learn more: kailashhealthcare.com #CervicalCancerAwareness #PapTest

KailashHealth's tweet image. Early detection can save lives. A simple, regular Pap smear test is your best defense against cervical cancer. Be proactive about your well-being and schedule your screening.

Your health is a priority. Learn more: kailashhealthcare.com

#CervicalCancerAwareness #PapTest…

A procedure in which a small brush is used to gently remove cells from the surface of the cervix and the area around it so they can be checked under a microscope for cervical cancer or cell changes that may lead to cervical cancer. #paptest #hpv #papillomavirus #infections

JObstetrics's tweet image. A procedure in which a small brush is used to gently remove cells from the surface of the cervix and the area around it so they can be checked under a microscope for cervical cancer or cell changes that may lead to cervical cancer.
#paptest #hpv #papillomavirus #infections

Loading...

Something went wrong.


Something went wrong.


United States Trends