CancerCytopath's profile picture. Official page of Cancer Cytopathology, a journal of the American Cancer Society. Editor-in-Chief: William C. Faquin, MD, PhD (@bfaquin) #CytoPath

Cancer Cytopathology

@CancerCytopath

Official page of Cancer Cytopathology, a journal of the American Cancer Society. Editor-in-Chief: William C. Faquin, MD, PhD (@bfaquin) #CytoPath

Pinned

🔬 Our new Practice Essentials series offers concise, expert-authored guides to navigating diagnostic challenges in cytopathology—ideal for both trainees and seasoned pathologists! Explore the series: acsjournals.onlinelibrary.wiley.com/doi/toc/10.100… @bfaquin @MichiyaNishino @MauroSaieg #CytoPath

CancerCytopath's tweet image. 🔬 Our new Practice Essentials series offers concise, expert-authored guides to navigating diagnostic challenges in cytopathology—ideal for both trainees and seasoned pathologists!

Explore the series: acsjournals.onlinelibrary.wiley.com/doi/toc/10.100…

@bfaquin @MichiyaNishino @MauroSaieg #CytoPath

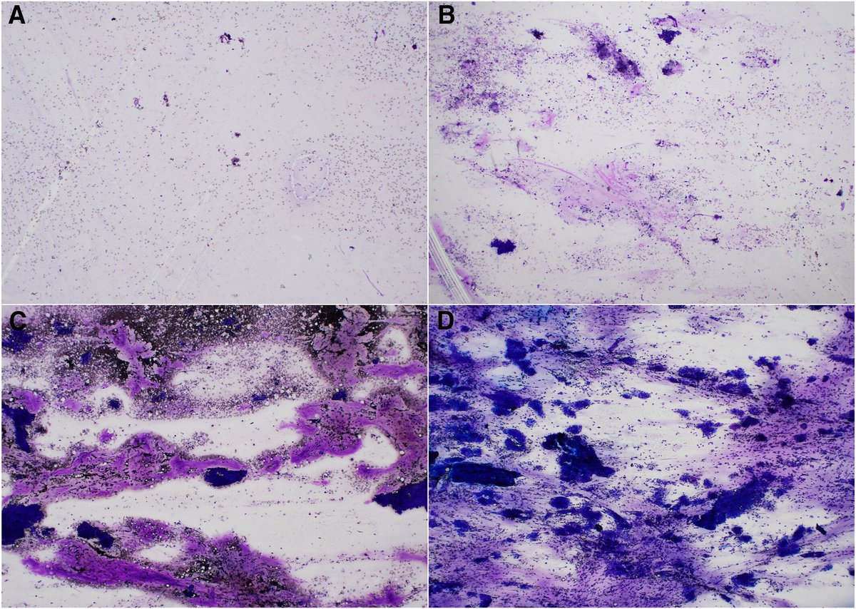
This study examines pericardial fluid evaluation, comparing cytology vs. surgical specimens for malignancy detection. Findings highlight diagnostic yield of cytology. acsjournals.onlinelibrary.wiley.com/doi/full/10.10… @drElieTannous #CytoPath

CancerCytopath's tweet image. This study examines pericardial fluid evaluation, comparing cytology vs. surgical specimens for malignancy detection. Findings highlight diagnostic yield of cytology. 

acsjournals.onlinelibrary.wiley.com/doi/full/10.10…

@drElieTannous #CytoPath

New this week | The feasibility of low-cost portable microscopes as an alternative to standard microscopes for rapid on-site evaluation of FNA. acsjournals.onlinelibrary.wiley.com/doi/full/10.10… #CytoPath @AdeAdventitia @StanfordPath

CancerCytopath's tweet image. New this week | The feasibility of low-cost portable microscopes as an alternative to standard microscopes for rapid on-site evaluation of FNA. 

acsjournals.onlinelibrary.wiley.com/doi/full/10.10…

#CytoPath @AdeAdventitia @StanfordPath

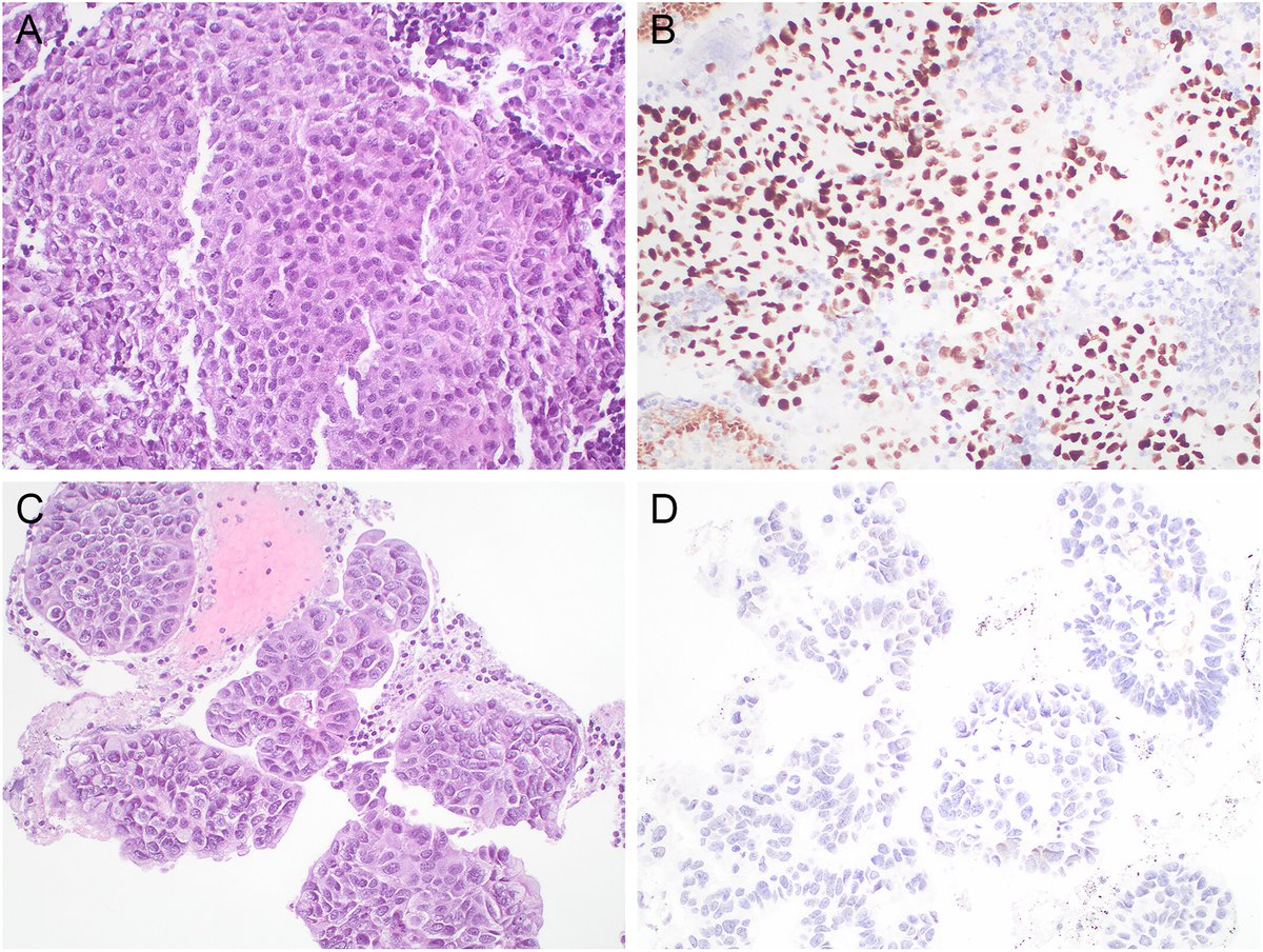
#OpenAccess! Cytomorphology and clinicopathologic correlation of TFE3-rearranged renal cell carcinoma Read the latest from Tieying Hou MD, PhD (@IUMedSchool) and Xiaoqi Lin MD, PhD (@NU_Pathology): acsjournals.onlinelibrary.wiley.com/doi/full/10.10… #CytoPath

CancerCytopath's tweet image. #OpenAccess! Cytomorphology and clinicopathologic correlation of TFE3-rearranged renal cell carcinoma

Read the latest from Tieying Hou MD, PhD (@IUMedSchool) and Xiaoqi Lin MD, PhD (@NU_Pathology): acsjournals.onlinelibrary.wiley.com/doi/full/10.10…

#CytoPath

Exciting news: The @AmericanCancer Society Journals are now on YouTube! 📺 Visit our channel to watch our #CytoVideos and other content related to Cancer Cytopathology. New videos added regularly! Subscribe here: youtube.com/@AmericanCance… @bfaquin #CytoPath

CancerCytopath's tweet image. Exciting news: The @AmericanCancer Society Journals are now on YouTube! 📺 Visit our channel to watch our #CytoVideos and other content related to Cancer Cytopathology. New videos added regularly!

Subscribe here: youtube.com/@AmericanCance…

@bfaquin #CytoPath

💡In this study, TRPS1 showed lower specificity as a breast immunomarker because of its expression in nonbreast tumors. acsjournals.onlinelibrary.wiley.com/doi/full/10.10… #CytoPath @DonthiDeepak @Jenny_QiongGan @QQingDing

CancerCytopath's tweet image. 💡In this study, TRPS1 showed lower specificity as a breast immunomarker because of its expression in nonbreast tumors.

acsjournals.onlinelibrary.wiley.com/doi/full/10.10…

#CytoPath @DonthiDeepak @Jenny_QiongGan @QQingDing

Free access! | The combination of ANXA10 and p53 may be useful for the detection of both low-grade urothelial carcinoma and high-grade urothelial carcinoma, and it has the potential to improve the diagnostic accuracy of urine #cytology. acsjournals.onlinelibrary.wiley.com/doi/10.1002/cn… #CytoPath

CancerCytopath's tweet image. Free access! | The combination of ANXA10 and p53 may be useful for the detection of both low-grade urothelial carcinoma and high-grade urothelial carcinoma, and it has the potential to improve the diagnostic accuracy of urine #cytology.

acsjournals.onlinelibrary.wiley.com/doi/10.1002/cn…

#CytoPath

✔️#OpenAccess | Comparison of the Hologic Genius Digital Diagnostics System with the ThinPrep Imaging System—A retrospective assessment acsjournals.onlinelibrary.wiley.com/doi/full/10.10… #CytoPath CC: @bfaquin

CancerCytopath's tweet image. ✔️#OpenAccess | Comparison of the Hologic Genius Digital Diagnostics System with the ThinPrep Imaging System—A retrospective assessment

acsjournals.onlinelibrary.wiley.com/doi/full/10.10…

#CytoPath CC: @bfaquin

New this week! | This study highlights the critical role of smear preparation in preserving RNA for molecular testing, especially RNA-based next-generation sequencing. acsjournals.onlinelibrary.wiley.com/doi/full/10.10… #CytoPath @Sinchita_Roy

CancerCytopath's tweet image. New this week! | This study highlights the critical role of smear preparation in preserving RNA for molecular testing, especially RNA-based next-generation sequencing.

acsjournals.onlinelibrary.wiley.com/doi/full/10.10…

#CytoPath @Sinchita_Roy

📣 Did you miss Companion Session 1, Advancements in Head & Neck #Cytopathology: Classification Systems, Dx Criteria and Dx Techniques featuring our EIC @bfaquin at #ASCyto25? Not to worry! Revisit Dr. Faquin's related work on the #MilanSystem here: acsjournals.onlinelibrary.wiley.com/doi/10.1002/cn…

CancerCytopath's tweet image. 📣 Did you miss Companion Session 1, Advancements in Head & Neck #Cytopathology: Classification Systems, Dx Criteria and Dx Techniques featuring our EIC @bfaquin at #ASCyto25? 

Not to worry! Revisit Dr. Faquin's related work on the #MilanSystem here:

acsjournals.onlinelibrary.wiley.com/doi/10.1002/cn…

Coming up at #ASCyto25 | @MichiyaNishino hosts a Short Course w/ @OhoriMd on thyroid molecular #CytoPath according to the #BethesdaSystem. Revisit Dr. Nishino's #FreeAccess commentary on cytologic risk stratification of medullary thyroid carcinoma: acsjournals.onlinelibrary.wiley.com/doi/10.1002/cn…

CancerCytopath's tweet image. Coming up at #ASCyto25 | @MichiyaNishino hosts a Short Course w/ @OhoriMd on thyroid molecular #CytoPath according to the #BethesdaSystem. Revisit Dr. Nishino's #FreeAccess commentary on cytologic risk stratification of medullary thyroid carcinoma: acsjournals.onlinelibrary.wiley.com/doi/10.1002/cn…

Coffee, croissants, and Cancer Cytopathology! ☕️🥐🔬📘 We were honored to be back at #ASCyto25 once again to host this morning’s Editorial Board Appreciation Breakfast. Congrats to all award recipients and to our supporters for a job well done in 2025 👏

CancerCytopath's tweet image. Coffee, croissants, and Cancer Cytopathology! ☕️🥐🔬📘 We were honored to be back at #ASCyto25 once again to host this morning’s Editorial Board Appreciation Breakfast. Congrats to all award recipients and to our supporters for a job well done in 2025 👏
CancerCytopath's tweet image. Coffee, croissants, and Cancer Cytopathology! ☕️🥐🔬📘 We were honored to be back at #ASCyto25 once again to host this morning’s Editorial Board Appreciation Breakfast. Congrats to all award recipients and to our supporters for a job well done in 2025 👏
CancerCytopath's tweet image. Coffee, croissants, and Cancer Cytopathology! ☕️🥐🔬📘 We were honored to be back at #ASCyto25 once again to host this morning’s Editorial Board Appreciation Breakfast. Congrats to all award recipients and to our supporters for a job well done in 2025 👏
CancerCytopath's tweet image. Coffee, croissants, and Cancer Cytopathology! ☕️🥐🔬📘 We were honored to be back at #ASCyto25 once again to host this morning’s Editorial Board Appreciation Breakfast. Congrats to all award recipients and to our supporters for a job well done in 2025 👏

#ASCyto25 | At 8am this morning, @SMonaco3 and @Baskotacytopath lead the Digital Slide Workshop on Rapid On-Site Evaluations (ROSEs) by Telecytology Using Robotic Microscopy and Slide Scanning 🌹 🔬 Don't miss it! #CytoPath

CancerCytopath's tweet image. #ASCyto25 | At 8am this morning, @SMonaco3 and @Baskotacytopath lead the Digital Slide Workshop on Rapid On-Site Evaluations (ROSEs) by Telecytology Using Robotic Microscopy and Slide Scanning 🌹 🔬 Don't miss it! #CytoPath

Happening at 8:00am today at #ASCyto25: Catch @MichiyaNishino at Companion Session 7 - "Red Herrings and Missed Clues: Navigating Diagnostic Pitfalls" Read about pitfalls, morphology, differential Dx, & ancillary tests in our Practice Essentials series! acsjournals.onlinelibrary.wiley.com/doi/toc/10.100…

CancerCytopath's tweet image. Happening at 8:00am today at #ASCyto25: Catch @MichiyaNishino at Companion Session 7 - "Red Herrings and Missed Clues: Navigating Diagnostic Pitfalls"

Read about pitfalls, morphology, differential Dx, & ancillary tests in our Practice Essentials series!

acsjournals.onlinelibrary.wiley.com/doi/toc/10.100…

Coming up at #ASCyto25: Join Dr. Bill Faquin (@bfaquin) and Dr. Zubair Baloch (@aakasharmand) at 8:00am for Short Course 13 on the New WHO International System for Reporting Head and Neck Cytopathology: Diagnostic Categories, Descriptors, and Discussions! #CytoPath

CancerCytopath's tweet image. Coming up at #ASCyto25: Join Dr. Bill Faquin (@bfaquin) and Dr. Zubair Baloch (@aakasharmand) at 8:00am for Short Course 13 on the New WHO International System for Reporting Head and Neck Cytopathology: Diagnostic Categories, Descriptors, and Discussions! #CytoPath

📣 Coming up at #ASCyto25! Sign-out with the Professors 13: Case Studies in Serous Effusion Cytology with Editorial Advisory Board member @ZMaleki_cyto. Consider her recent work demonstrating the value of standardized reporting for challenging specimens: acsjournals.onlinelibrary.wiley.com/doi/10.1002/cn…

CancerCytopath's tweet image. 📣 Coming up at #ASCyto25! Sign-out with the Professors 13: Case Studies in Serous Effusion Cytology with Editorial Advisory Board member @ZMaleki_cyto.

Consider her recent work demonstrating the value of standardized reporting for challenging specimens:
acsjournals.onlinelibrary.wiley.com/doi/10.1002/cn…

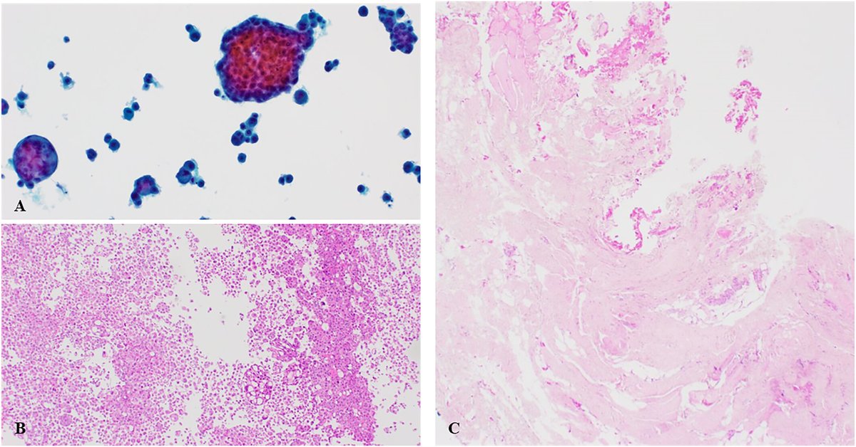
🧬 Join Editorial Advisory Board member Dr. Zahra Maleki at her #ASCyto25 10:30am Short Course in CSF cytologic diagnostic challenges. Renowned for her work in complex cytology, her enduring 2018 study remains widely cited: acsjournals.onlinelibrary.wiley.com/doi/10.1002/cn… @ZMaleki_cyto

CancerCytopath's tweet image. 🧬 Join Editorial Advisory Board member Dr. Zahra Maleki at her #ASCyto25 10:30am Short Course in CSF cytologic diagnostic challenges.

Renowned for her work in complex cytology, her enduring 2018 study remains widely cited:
acsjournals.onlinelibrary.wiley.com/doi/10.1002/cn…

@ZMaleki_cyto

🔎 Happening at 10:30am today at #ASCyto25: @VandaTorousMD and @bfaquin lead Short Course 9 - "Solving the Mystery: Metastatic Cancer of Unknown Primary in the Head and Neck" See Dr. Torous' recent Cases in Quality & Safety on a related topic: acsjournals.onlinelibrary.wiley.com/doi/10.1002/cn…

CancerCytopath's tweet image. 🔎 Happening at 10:30am today at #ASCyto25: @VandaTorousMD and @bfaquin 
lead Short Course 9 - "Solving the Mystery: Metastatic Cancer of Unknown Primary in the Head and Neck"

See Dr. Torous' recent Cases in Quality & Safety on a related topic: 

acsjournals.onlinelibrary.wiley.com/doi/10.1002/cn…

📣 Today at #ASCyto25! EIC @bfaquin hosts Sign-out with the Professor 6 - "Between a Gland and a Hard Place: Dx Challenges in Salivary Gland #Cytology" Catch this session at 8:00am, and revisit Dr. Faquin's recent work on SG tumors: acsjournals.onlinelibrary.wiley.com/doi/10.1002/cn… #CytoPath

CancerCytopath's tweet image. 📣 Today at #ASCyto25! EIC @bfaquin hosts Sign-out with the Professor 6 - "Between a Gland and a Hard Place: Dx Challenges in Salivary Gland #Cytology" 

Catch this session at 8:00am, and revisit Dr. Faquin's recent work on SG tumors: acsjournals.onlinelibrary.wiley.com/doi/10.1002/cn…

#CytoPath

Happy Day 3 of #ASCyto25! Start the day off strong with Dr. Sinchita Roy-Chowdhuri's Molecular Diagnostics for Cytology Symposium at 8am. Catch recent work co-authored by Dr. Roy-Chowdhuri on multiomics biomarkers for pancreatic cyst fluid: acsjournals.onlinelibrary.wiley.com/doi/10.1002/cn… @Sinchita_Roy

CancerCytopath's tweet image. Happy Day 3 of #ASCyto25! Start the day off strong with Dr. Sinchita Roy-Chowdhuri's Molecular Diagnostics for Cytology Symposium at 8am. Catch recent work co-authored by Dr. Roy-Chowdhuri on multiomics biomarkers for pancreatic cyst fluid: acsjournals.onlinelibrary.wiley.com/doi/10.1002/cn… @Sinchita_Roy

Coming up at #ASCyto25, our Bridging The Gap Editor @SMonaco3 leads a short course w/ Dr Yi Ding on "Pancreatic Cyst Fluids and Bile Duct Brushings." Dr Monaco recently co-authored this publication comparing yield in conventional & rotational FNA needles: acsjournals.onlinelibrary.wiley.com/doi/10.1002/cn…

CancerCytopath's tweet image. Coming up at #ASCyto25, our Bridging The Gap Editor @SMonaco3 leads a short course w/ Dr Yi Ding on "Pancreatic Cyst Fluids and Bile Duct Brushings." Dr Monaco recently co-authored this publication comparing yield in conventional & rotational FNA needles: acsjournals.onlinelibrary.wiley.com/doi/10.1002/cn…

Loading...

Something went wrong.


Something went wrong.