#pathres search results

The art of grossing. A 46 yo woman with abnormal uterine bleeding and abdominal pain. A 12x8cm uterine tumor was found. Final Dx. Conventional Spindle Cell Uterine Leiomyosarcoma.#pathres#pathology#Gynpath #PathTwitter

vintage81106614's tweet image. The art of grossing. A 46 yo woman with abnormal uterine bleeding and abdominal pain. A 12x8cm uterine tumor was found. Final Dx. Conventional Spindle Cell Uterine Leiomyosarcoma.#pathres#pathology#Gynpath #PathTwitter

Diagnosis at first glance. A 46 yo woman with right nipple clear discharge. Final Dx. Intraductal papilloma in core biopsy. #pathology #pathres #pathtwitter #breast #tumors

vintage81106614's tweet image. Diagnosis at first glance. A 46 yo woman with right nipple clear discharge. Final Dx. Intraductal papilloma in core biopsy. #pathology #pathres #pathtwitter #breast #tumors

Uro-case. Radical Prostatectomy. A 78 years old man with an Adenocarcinoma Pattern 4 with abundant collagen. #GUpath #Pathres #pathology #PathTwitter #prostate

vintage81106614's tweet image. Uro-case. Radical Prostatectomy. A 78 years old man with an Adenocarcinoma Pattern 4 with abundant collagen. #GUpath #Pathres #pathology #PathTwitter #prostate

#PathX challenge: let’s see more of these #pathres photo shoots 📸 Say “I love my program” with out actually saying I love my program. @UMichPath #umichpath @MatchToPath @Path_SIG


The art of grossing. A 36 yo man with a history of severe anemia and right testicular pain underwent to a radical orchiectomy. A 5x4 cm testicular tumor was found. Final DX. Pure Testicular Choriocarcinoma #pathology #pathres #pathTwitter #GUpath #testicular #cancer

vintage81106614's tweet image. The art of grossing. A 36 yo man with a history of severe anemia and right testicular pain underwent to a radical orchiectomy. A 5x4 cm testicular tumor was found. Final DX. Pure Testicular Choriocarcinoma #pathology #pathres #pathTwitter #GUpath #testicular #cancer

Who doesn’t love a #dermpath quiz 🔬 Common entities that all #pathres should know 💡let’s fire up those neurons 🧠 1/🧵 #PathTwitter #PathX #medstudent #pathology101 #APboards #RISEexam

MeredithKHerman's tweet image. Who doesn’t love a #dermpath quiz 🔬
Common entities that all #pathres should know 💡let’s fire up those neurons 🧠

1/🧵
 #PathTwitter #PathX #medstudent #pathology101 #APboards #RISEexam

The art of grossing. A 56 yo woman with a 4x3 cm left retroareolar nodule and a needle core biopsy of papillary carcinoma underwent to a lumpectomy. Final Dx. Encapsulated Papillary Carcinoma. #pathology #pathres #pathTwitter #Breast #Tumors

vintage81106614's tweet image. The art of grossing. A 56 yo woman with a 4x3 cm left retroareolar nodule and a needle core biopsy of papillary carcinoma underwent to a lumpectomy. Final Dx. Encapsulated Papillary Carcinoma. #pathology #pathres #pathTwitter #Breast #Tumors

Clinical/ Pathological case. A 42 yo man presented with hematuria. A pedunculated mass located in the bladder neck was found on cystoscopy. Final DX. Inverted Urothelial Papilloma. #pathology #pathres #GUpath #pathTwitter

vintage81106614's tweet image. Clinical/ Pathological case. A 42 yo man presented with hematuria. A pedunculated mass located in the bladder neck was found on cystoscopy. Final DX. Inverted Urothelial Papilloma. #pathology #pathres #GUpath #pathTwitter

Be aware of. A 59 yo woman with Pap Test positive for ASCUS underwent to a cervical biopsy. Final Dx. Transitional Cell Metaplasia of the Uterine Cervix. #pathres #Gynpath #pathology #PathTwitter

vintage81106614's tweet image. Be aware of. A 59 yo woman with Pap Test positive for ASCUS underwent to a cervical biopsy. Final Dx. Transitional Cell Metaplasia of the Uterine Cervix. #pathres #Gynpath #pathology #PathTwitter

The art of grossing. A 64 yo woman presented with a 2.4x1cm raised plaque in the skin of the rigth breast. Final DX. Squamous Cell Carcinoma In Situ (no further lesions were found). #pathology #pathres #pathTwitter

vintage81106614's tweet image. The art of grossing. A 64 yo woman presented with a 2.4x1cm raised plaque in the skin of the rigth breast. Final DX. Squamous Cell Carcinoma In Situ (no further lesions were found). #pathology #pathres #pathTwitter

Bidding farewell! Thank you Dr @paula_ginter for your efforts and dedication towards enhancing @NYULISOMpath ! #PathX #PathTwitter #pathres

UllahAteeqa's tweet image. Bidding farewell! 
Thank you Dr @paula_ginter for your efforts and dedication towards enhancing @NYULISOMpath !

#PathX #PathTwitter #pathres
UllahAteeqa's tweet image. Bidding farewell! 
Thank you Dr @paula_ginter for your efforts and dedication towards enhancing @NYULISOMpath !

#PathX #PathTwitter #pathres
UllahAteeqa's tweet image. Bidding farewell! 
Thank you Dr @paula_ginter for your efforts and dedication towards enhancing @NYULISOMpath !

#PathX #PathTwitter #pathres

Kicking off Pathology Quiz Bowl at the TSP annual meeting #TSP2024 with Dr. Claire McCormick-Baw @TexPathol @UTSW_Pathology @UTSW_Path_IG #pathres #pathology

SuntreaHammer's tweet image. Kicking off Pathology Quiz Bowl at the TSP annual meeting #TSP2024 with Dr. Claire McCormick-Baw @TexPathol  @UTSW_Pathology @UTSW_Path_IG #pathres #pathology

We had the pleasure of hosting @ZhaiJim for Grand Rounds and a salivary gland #unknowns conference today! The residents had an excellent and educational experience with Dr. Zhai and are grateful for his time and experience. #ENTpath #pathres #Pathologists @MayoPathology

UTMB_Pathology's tweet image. We had the pleasure of hosting @ZhaiJim for Grand Rounds and a salivary gland #unknowns conference today! The residents had an excellent and educational experience with Dr. Zhai and are grateful for his time and experience.
#ENTpath #pathres #Pathologists
@MayoPathology
UTMB_Pathology's tweet image. We had the pleasure of hosting @ZhaiJim for Grand Rounds and a salivary gland #unknowns conference today! The residents had an excellent and educational experience with Dr. Zhai and are grateful for his time and experience.
#ENTpath #pathres #Pathologists
@MayoPathology
UTMB_Pathology's tweet image. We had the pleasure of hosting @ZhaiJim for Grand Rounds and a salivary gland #unknowns conference today! The residents had an excellent and educational experience with Dr. Zhai and are grateful for his time and experience.
#ENTpath #pathres #Pathologists
@MayoPathology

Be aware of. A 46 yo woman presented for a routine Pap test (ThinPrep), because the cytologic diagnosis was : Atypical glandular cells, she underwent to a cone biopsy. Final DX. Tubal Metaplasia #pathology #pathres #pathTwitter #GYNpath

vintage81106614's tweet image. Be aware of. A 46 yo woman presented for a routine Pap test (ThinPrep), because the cytologic diagnosis was : Atypical glandular cells, she underwent to a cone biopsy. Final DX. Tubal Metaplasia  #pathology #pathres  #pathTwitter #GYNpath

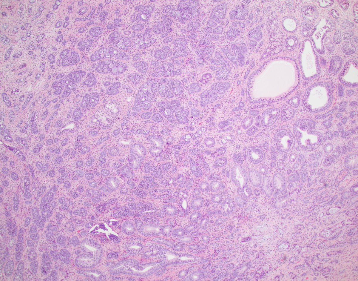
Diagnosis at first glance. A 69 yo man with a PSA score greater than 42 ng/ml, underwent to a prostate biopsy. Final Dx. Adenocarcinoma Gleason score 4+4:8 (Grade group 4). #pathology #pathres #pathTwitter #GUpath

vintage81106614's tweet image. Diagnosis at first glance. A 69 yo man with a PSA score greater than 42 ng/ml, underwent to a prostate biopsy. Final Dx. Adenocarcinoma Gleason score 4+4:8 (Grade group 4). #pathology #pathres #pathTwitter #GUpath

The art of grossing. A 3 year old boy presented with abdominal mass and hypertension.Total Right Nephectomy performed.Two lesions were found, a 3.5x3cm prominent cystic tumor and a 4.2x3cm solid and round mass. Final Dx.Wilms Tumor.#pathology #pathres #GUpath

vintage81106614's tweet image. The art of grossing. A 3 year old boy presented with abdominal mass and hypertension.Total Right Nephectomy performed.Two lesions were found, a 3.5x3cm prominent cystic tumor and a 4.2x3cm solid and round mass. Final Dx.Wilms Tumor.#pathology #pathres #GUpath

Educational case #pathres #pathtweetawards

#GIpath #Surgpath #Pathresidents 68 Year old man, duodenal biopsy to rule out celiac. What do ya think? Some discussion in reply. (Colleague’s case - and he nailed this diagnosis!)

Teclis82's tweet image. #GIpath #Surgpath #Pathresidents

68 Year old man, duodenal biopsy to rule out celiac.  What do ya think?  Some discussion in reply.

(Colleague’s case - and he nailed this diagnosis!)
Teclis82's tweet image. #GIpath #Surgpath #Pathresidents

68 Year old man, duodenal biopsy to rule out celiac.  What do ya think?  Some discussion in reply.

(Colleague’s case - and he nailed this diagnosis!)
Teclis82's tweet image. #GIpath #Surgpath #Pathresidents

68 Year old man, duodenal biopsy to rule out celiac.  What do ya think?  Some discussion in reply.

(Colleague’s case - and he nailed this diagnosis!)
Teclis82's tweet image. #GIpath #Surgpath #Pathresidents

68 Year old man, duodenal biopsy to rule out celiac.  What do ya think?  Some discussion in reply.

(Colleague’s case - and he nailed this diagnosis!)


Great presentation by Dr Schnitt providing a glimpse into the future of pathology #pathology #pathres #breastpath @EmoryUniversity @WinshipAtEmory @EmoryPathology

LaraHarikMD's tweet image. Great presentation by Dr Schnitt providing a glimpse into the future of pathology #pathology #pathres #breastpath @EmoryUniversity @WinshipAtEmory @EmoryPathology

Starting now “THE EMERGING ROLE OF ARTIFICIAL INTELLIGENCE IN BREAST PATHOLOGY” by Dr Stuart Schnitt. u can still register and join @: zoom.us/webinar/regist… @pathology @EmoryPathology #breastpath #pathology #pathres



Wonderful talk on Digital Pathology and AI by our very own Dr. Raquel Yokoda @yokoda_md. “Transforming Pathology with AI: Unlocking the Potential of Digital Pathology” @EinsteinPath @EinsteinMed #PathTwitter #pathres

MontePathRes's tweet image. Wonderful talk on Digital Pathology and AI by our very own Dr. Raquel Yokoda @yokoda_md. 

“Transforming Pathology with AI: Unlocking the Potential of Digital Pathology”
@EinsteinPath @EinsteinMed #PathTwitter #pathres
MontePathRes's tweet image. Wonderful talk on Digital Pathology and AI by our very own Dr. Raquel Yokoda @yokoda_md. 

“Transforming Pathology with AI: Unlocking the Potential of Digital Pathology”
@EinsteinPath @EinsteinMed #PathTwitter #pathres

Can you make the diagnosis of TFE3 rearranged rcc on needle biopsy? Yes!: 1) if you think about it and 2) are lucky to have enough tissue! (confirmed NONO:TFE3) TFE3 IHC is not perfect but can be helpful as part of a screening panel #GUPATH #pathology #pathres #kidneycancer

LaraHarikMD's tweet image. Can you make the diagnosis of TFE3 rearranged rcc on needle biopsy?

Yes!: 1) if you think about it and 2) are lucky to have enough tissue! (confirmed NONO:TFE3)

TFE3 IHC is not perfect but can be helpful as part of a screening panel

#GUPATH #pathology #pathres #kidneycancer
LaraHarikMD's tweet image. Can you make the diagnosis of TFE3 rearranged rcc on needle biopsy?

Yes!: 1) if you think about it and 2) are lucky to have enough tissue! (confirmed NONO:TFE3)

TFE3 IHC is not perfect but can be helpful as part of a screening panel

#GUPATH #pathology #pathres #kidneycancer
LaraHarikMD's tweet image. Can you make the diagnosis of TFE3 rearranged rcc on needle biopsy?

Yes!: 1) if you think about it and 2) are lucky to have enough tissue! (confirmed NONO:TFE3)

TFE3 IHC is not perfect but can be helpful as part of a screening panel

#GUPATH #pathology #pathres #kidneycancer
LaraHarikMD's tweet image. Can you make the diagnosis of TFE3 rearranged rcc on needle biopsy?

Yes!: 1) if you think about it and 2) are lucky to have enough tissue! (confirmed NONO:TFE3)

TFE3 IHC is not perfect but can be helpful as part of a screening panel

#GUPATH #pathology #pathres #kidneycancer

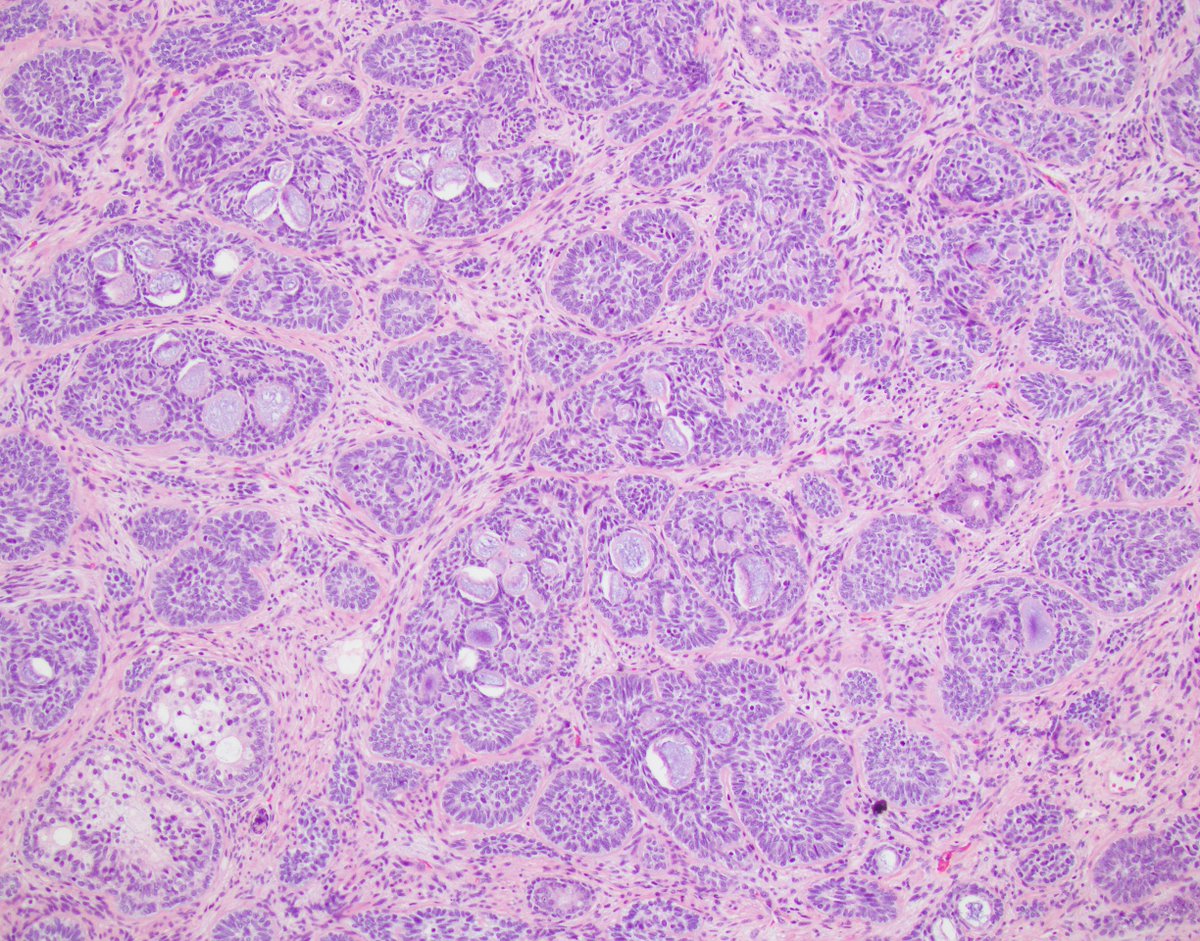
Adenoid cystic (basal cell) carcinoma of the prostate A rare tumor. Composed of infiltrating basaloid small nests or adenoid cystic morphology. A subset has MYB::NFIB fusion Potentially aggressive tumor #GUPATH #pathology #pathres #prostate #prostatecancer


Unusual case on TURP (stain is NKX3.1) Diagnosis in the comment 👇 #gupath #pathology #pathres #raretumor

LaraHarikMD's tweet image. Unusual case on TURP
(stain is NKX3.1)

Diagnosis in the comment 👇

#gupath #pathology #pathres #raretumor
LaraHarikMD's tweet image. Unusual case on TURP
(stain is NKX3.1)

Diagnosis in the comment 👇

#gupath #pathology #pathres #raretumor
LaraHarikMD's tweet image. Unusual case on TURP
(stain is NKX3.1)

Diagnosis in the comment 👇

#gupath #pathology #pathres #raretumor

Great presentation by Dr Schnitt providing a glimpse into the future of pathology #pathology #pathres #breastpath @EmoryUniversity @WinshipAtEmory @EmoryPathology

LaraHarikMD's tweet image. Great presentation by Dr Schnitt providing a glimpse into the future of pathology #pathology #pathres #breastpath @EmoryUniversity @WinshipAtEmory @EmoryPathology

Starting now “THE EMERGING ROLE OF ARTIFICIAL INTELLIGENCE IN BREAST PATHOLOGY” by Dr Stuart Schnitt. u can still register and join @: zoom.us/webinar/regist… @pathology @EmoryPathology #breastpath #pathology #pathres



Starting now “THE EMERGING ROLE OF ARTIFICIAL INTELLIGENCE IN BREAST PATHOLOGY” by Dr Stuart Schnitt. u can still register and join @: zoom.us/webinar/regist… @pathology @EmoryPathology #breastpath #pathology #pathres


Thanks to all who responded! PIN-like PCA 33=6, GG1 🛑⚡️don't brush off as HGPIN-can be tricky on needle biopsies Used to be called HGPIN-like ductal PCA but now re-classified as acinar References: PMID 35758185 & 29297491 #GUPATh #pathology #pathres


#PathX challenge: let’s see more of these #pathres photo shoots 📸 Say “I love my program” with out actually saying I love my program. @UMichPath #umichpath @MatchToPath @Path_SIG


Unusual case on TURP (stain is NKX3.1) Diagnosis in the comment 👇 #gupath #pathology #pathres #raretumor

LaraHarikMD's tweet image. Unusual case on TURP
(stain is NKX3.1)

Diagnosis in the comment 👇

#gupath #pathology #pathres #raretumor
LaraHarikMD's tweet image. Unusual case on TURP
(stain is NKX3.1)

Diagnosis in the comment 👇

#gupath #pathology #pathres #raretumor
LaraHarikMD's tweet image. Unusual case on TURP
(stain is NKX3.1)

Diagnosis in the comment 👇

#gupath #pathology #pathres #raretumor

Great presentation by Dr Schnitt providing a glimpse into the future of pathology #pathology #pathres #breastpath @EmoryUniversity @WinshipAtEmory @EmoryPathology

LaraHarikMD's tweet image. Great presentation by Dr Schnitt providing a glimpse into the future of pathology #pathology #pathres #breastpath @EmoryUniversity @WinshipAtEmory @EmoryPathology

Starting now “THE EMERGING ROLE OF ARTIFICIAL INTELLIGENCE IN BREAST PATHOLOGY” by Dr Stuart Schnitt. u can still register and join @: zoom.us/webinar/regist… @pathology @EmoryPathology #breastpath #pathology #pathres



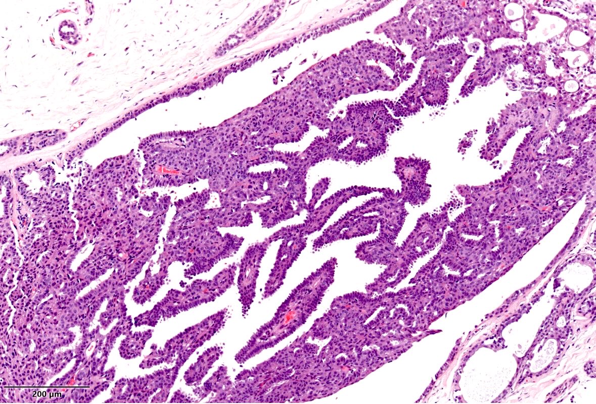
Having a great time preparing my talk on papillary urothelial neoplasms, esp borderline & challenging lesions! #GUPATH #pathres Looking forward to sharing my thoughts and research at Montefiore and Cornell #pathology next week (thank you for the invite) pubmed.ncbi.nlm.nih.gov/37134243/

LaraHarikMD's tweet image. Having a great time preparing my talk on papillary urothelial neoplasms, esp borderline & challenging lesions! #GUPATH  #pathres

Looking forward to sharing my thoughts and research at Montefiore and Cornell #pathology next week (thank you for the invite)

pubmed.ncbi.nlm.nih.gov/37134243/

Can you make the diagnosis of TFE3 rearranged rcc on needle biopsy? Yes!: 1) if you think about it and 2) are lucky to have enough tissue! (confirmed NONO:TFE3) TFE3 IHC is not perfect but can be helpful as part of a screening panel #GUPATH #pathology #pathres #kidneycancer

LaraHarikMD's tweet image. Can you make the diagnosis of TFE3 rearranged rcc on needle biopsy?

Yes!: 1) if you think about it and 2) are lucky to have enough tissue! (confirmed NONO:TFE3)

TFE3 IHC is not perfect but can be helpful as part of a screening panel

#GUPATH #pathology #pathres #kidneycancer
LaraHarikMD's tweet image. Can you make the diagnosis of TFE3 rearranged rcc on needle biopsy?

Yes!: 1) if you think about it and 2) are lucky to have enough tissue! (confirmed NONO:TFE3)

TFE3 IHC is not perfect but can be helpful as part of a screening panel

#GUPATH #pathology #pathres #kidneycancer
LaraHarikMD's tweet image. Can you make the diagnosis of TFE3 rearranged rcc on needle biopsy?

Yes!: 1) if you think about it and 2) are lucky to have enough tissue! (confirmed NONO:TFE3)

TFE3 IHC is not perfect but can be helpful as part of a screening panel

#GUPATH #pathology #pathres #kidneycancer
LaraHarikMD's tweet image. Can you make the diagnosis of TFE3 rearranged rcc on needle biopsy?

Yes!: 1) if you think about it and 2) are lucky to have enough tissue! (confirmed NONO:TFE3)

TFE3 IHC is not perfect but can be helpful as part of a screening panel

#GUPATH #pathology #pathres #kidneycancer

Rare opening for our #SurgPath Fellowship: we are currently accepting applications for '26-'27 @EmoryPathology Great cases, teaching &mentoring! opportunity to focus on 1 subspecialty of ur choosing #PathTwitter #PathRes #pathology #gupath med.emory.edu/departments/pa…

LaraHarikMD's tweet image. Rare opening for our #SurgPath Fellowship: we are currently accepting applications for '26-'27 @EmoryPathology 

Great cases, teaching &mentoring! opportunity to focus on 1 subspecialty of ur choosing #PathTwitter #PathRes #pathology #gupath 

med.emory.edu/departments/pa…

Bidding farewell! Thank you Dr @paula_ginter for your efforts and dedication towards enhancing @NYULISOMpath ! #PathX #PathTwitter #pathres

UllahAteeqa's tweet image. Bidding farewell! 
Thank you Dr @paula_ginter for your efforts and dedication towards enhancing @NYULISOMpath !

#PathX #PathTwitter #pathres
UllahAteeqa's tweet image. Bidding farewell! 
Thank you Dr @paula_ginter for your efforts and dedication towards enhancing @NYULISOMpath !

#PathX #PathTwitter #pathres
UllahAteeqa's tweet image. Bidding farewell! 
Thank you Dr @paula_ginter for your efforts and dedication towards enhancing @NYULISOMpath !

#PathX #PathTwitter #pathres

Join us on September 13th for part 2 of this webinar series designed to assist practicing pathologists in understanding the CAP cancer protocols and how to integrate them into daily practice. #pathology #pathres #gupath #breastpath Learn More: capatholo.gy/3OC11Nd

LaraHarikMD's tweet image. Join us on September 13th for part 2 of this webinar series designed to assist practicing pathologists in understanding the CAP cancer protocols and how to integrate them into daily practice. 
#pathology #pathres #gupath #breastpath 

Learn More: capatholo.gy/3OC11Nd

Diagnosis at first glance. A 69 yo man with a PSA score greater than 42 ng/ml, underwent to a prostate biopsy. Final Dx. Adenocarcinoma Gleason score 4+4:8 (Grade group 4). #pathology #pathres #pathTwitter #GUpath

vintage81106614's tweet image. Diagnosis at first glance. A 69 yo man with a PSA score greater than 42 ng/ml, underwent to a prostate biopsy. Final Dx. Adenocarcinoma Gleason score 4+4:8 (Grade group 4). #pathology #pathres #pathTwitter #GUpath

The art of grossing. A 64 yo woman presented with a 2.4x1cm raised plaque in the skin of the rigth breast. Final DX. Squamous Cell Carcinoma In Situ (no further lesions were found). #pathology #pathres #pathTwitter

vintage81106614's tweet image. The art of grossing. A 64 yo woman presented with a 2.4x1cm raised plaque in the skin of the rigth breast. Final DX. Squamous Cell Carcinoma In Situ (no further lesions were found). #pathology #pathres #pathTwitter

Be aware of. A 59 yo woman with Pap Test positive for ASCUS underwent to a cervical biopsy. Final Dx. Transitional Cell Metaplasia of the Uterine Cervix. #pathres #Gynpath #pathology #PathTwitter

vintage81106614's tweet image. Be aware of. A 59 yo woman with Pap Test positive for ASCUS underwent to a cervical biopsy. Final Dx. Transitional Cell Metaplasia of the Uterine Cervix. #pathres #Gynpath #pathology #PathTwitter

Looking forward to a great year with our new chief residents, Dr. Scott Potter (@S13potter) & Dr. Spencer Barnes 👏 #PathTwitter #PathRes #UofUtah

UofUPathRes's tweet image. Looking forward to a great year with our new chief residents, Dr. Scott Potter (@S13potter) & Dr. Spencer Barnes 👏 
#PathTwitter #PathRes #UofUtah

Kicking off Pathology Quiz Bowl at the TSP annual meeting #TSP2024 with Dr. Claire McCormick-Baw @TexPathol @UTSW_Pathology @UTSW_Path_IG #pathres #pathology

SuntreaHammer's tweet image. Kicking off Pathology Quiz Bowl at the TSP annual meeting #TSP2024 with Dr. Claire McCormick-Baw @TexPathol  @UTSW_Pathology @UTSW_Path_IG #pathres #pathology

Be aware of. A 46 yo woman presented for a routine Pap test (ThinPrep), because the cytologic diagnosis was : Atypical glandular cells, she underwent to a cone biopsy. Final DX. Tubal Metaplasia #pathology #pathres #pathTwitter #GYNpath

vintage81106614's tweet image. Be aware of. A 46 yo woman presented for a routine Pap test (ThinPrep), because the cytologic diagnosis was : Atypical glandular cells, she underwent to a cone biopsy. Final DX. Tubal Metaplasia  #pathology #pathres  #pathTwitter #GYNpath

Wonderful talk on Digital Pathology and AI by our very own Dr. Raquel Yokoda @yokoda_md. “Transforming Pathology with AI: Unlocking the Potential of Digital Pathology” @EinsteinPath @EinsteinMed #PathTwitter #pathres

MontePathRes's tweet image. Wonderful talk on Digital Pathology and AI by our very own Dr. Raquel Yokoda @yokoda_md. 

“Transforming Pathology with AI: Unlocking the Potential of Digital Pathology”
@EinsteinPath @EinsteinMed #PathTwitter #pathres
MontePathRes's tweet image. Wonderful talk on Digital Pathology and AI by our very own Dr. Raquel Yokoda @yokoda_md. 

“Transforming Pathology with AI: Unlocking the Potential of Digital Pathology”
@EinsteinPath @EinsteinMed #PathTwitter #pathres

Diagnosis at first glance. A 46 yo woman with right nipple clear discharge. Final Dx. Intraductal papilloma in core biopsy. #pathology #pathres #pathtwitter #breast #tumors

vintage81106614's tweet image. Diagnosis at first glance. A 46 yo woman with right nipple clear discharge. Final Dx. Intraductal papilloma in core biopsy. #pathology #pathres #pathtwitter #breast #tumors

The art of grossing. A 36 yo man with a history of severe anemia and right testicular pain underwent to a radical orchiectomy. A 5x4 cm testicular tumor was found. Final DX. Pure Testicular Choriocarcinoma #pathology #pathres #pathTwitter #GUpath #testicular #cancer

vintage81106614's tweet image. The art of grossing. A 36 yo man with a history of severe anemia and right testicular pain underwent to a radical orchiectomy. A 5x4 cm testicular tumor was found. Final DX. Pure Testicular Choriocarcinoma #pathology #pathres #pathTwitter #GUpath #testicular #cancer

The art of grossing. A 56 yo woman with palpable left breast tumor which was proven to be “fibroepithelial tumor”on histology. Final DX.Left Total Mastectomy: 12x9 cm, Borderline Phyllodes Tumor. #pathology #pathres #pathTwitter #Breast #Cancer

vintage81106614's tweet image. The art of grossing. A 56 yo woman with palpable left breast tumor which was proven to be “fibroepithelial tumor”on histology. Final DX.Left Total Mastectomy: 12x9 cm, Borderline Phyllodes Tumor. #pathology #pathres #pathTwitter #Breast #Cancer

Diagnosis at first glance. A 65 yo woman with a palpable tumor in the right breast. A breast core needle biopsy was performed.Final Dx. Invasive Micropapillary Carcinoma. #pathology #pathres #pathTwitter #Breast #Cancer

vintage81106614's tweet image. Diagnosis at first glance. A 65 yo woman with a palpable tumor in the right breast. A breast core needle biopsy was performed.Final Dx. Invasive Micropapillary Carcinoma. #pathology #pathres #pathTwitter #Breast #Cancer

Loading...

Something went wrong.


Something went wrong.