#pedgitwitter search results

Planning @NASPGHAN 50th Anniversary Annual Meeting to be held October 2022 in Orlando FL!! #PedGITwitter #GITwitter

molivahemker's tweet image. Planning @NASPGHAN 50th Anniversary Annual Meeting to be held October 2022 in Orlando FL!! #PedGITwitter #GITwitter

@PLLU⁩ describes the #CDiLo technique in gastric stimulation: an important trial prior to placing a gastric pacemaker. ⁦@deslilo⁩ ⁦@CarloDiLorenzo1#pedgitwitter #ges #cdilo

dr_rdvenkatesh's tweet image. ⁦@PLLU⁩ describes the #CDiLo technique in gastric stimulation: an important trial prior to placing a gastric pacemaker. 

⁦@deslilo⁩ ⁦@CarloDiLorenzo1⁩ #pedgitwitter #ges #cdilo

Continous Zoom meetings & telehealth visits led me to get a standup desk converter which I received today! Perfect time to remind everyone that the virtual @NASPGHAN Annual Meeting and Postgraduate Course is coming up Nov 1-7, 2020. #pedgitwitter #GITwitter

molivahemker's tweet image. Continous Zoom meetings & telehealth visits led me to get a standup desk converter which I received today! Perfect time to remind everyone that the virtual @NASPGHAN Annual Meeting and Postgraduate Course is coming up Nov 1-7, 2020. #pedgitwitter  #GITwitter

📃 Rhesus rotavirus receptor-binding site affects high mobility group box 1 (HMGB1) release, altering the pathogenesis of experimental #BiliaryAtresia doi.org/10.1002/hep4.2… #LiverTwitter #PedGITwitter #OpenAccess #VisualAbstract

HepCommJournal's tweet image. 📃 Rhesus rotavirus receptor-binding site affects high mobility group box 1 (HMGB1) release, altering the pathogenesis of experimental #BiliaryAtresia

doi.org/10.1002/hep4.2…
#LiverTwitter #PedGITwitter #OpenAccess #VisualAbstract

Alright #medtwitter how did I do? Frozen milk for breakfast! #frozencereal The kids were not impressed… should I try brown E’s next year? #pedgitwitter #gitwitter #AprilFoolsDay

dr_rdvenkatesh's tweet image. Alright #medtwitter how did I do?

Frozen milk for breakfast! #frozencereal 

The kids were not impressed… should I try brown E’s next year? #pedgitwitter #gitwitter #AprilFoolsDay
dr_rdvenkatesh's tweet image. Alright #medtwitter how did I do?

Frozen milk for breakfast! #frozencereal 

The kids were not impressed… should I try brown E’s next year? #pedgitwitter #gitwitter #AprilFoolsDay

Happy #NationalNursesDay ! Can’t wait to celebrate 🎊 you all today & throughout this upcoming #NursesWeek2022!! @APGNN1 #pedgitwitter @NASPGHAN


Hypoallergenic formulas are dangerously low in supply. Spread the word - this is a very big deal. #formulashortage #pedgitwitter nytimes.com/2022/05/10/us/…


Proud to be part of this dynamic @ESPGHANSociety group, creating a road map for paediatric gastro / hep. research. Lots more to come.. #pedgitwitter #pedgi

This @ESPGHANSociety position paper aimed to describe the changing #research landscape within pediatric #gastroenterology #hepatology and #nutrition in order to define current and future priorities along with areas where support is needed. #CME journals.lww.com/jpgn/Fulltext/…

JPGNonline's tweet image. This @ESPGHANSociety position paper aimed to describe the changing #research landscape within pediatric #gastroenterology #hepatology and #nutrition in order to define current and future priorities along with areas where support is needed. 

#CME

journals.lww.com/jpgn/Fulltext/…


dr_rdvenkatesh's tweet image. The #naspghan20 theme #thefutureisbright. Thanks @BenjamminGold @KarenMurrayMD and all of the @NASPGHAN leadership! #pedgitwitter #naspghan20

The virtual #NASPGHAN20 Council and Chairs Meeting looks a little different this year. Sadly, no free food and drinks. Had to settle for watching @Jfpohl grilling steaks... not the same! 🥩 @DrJSilverman

PLLU's tweet image. The virtual #NASPGHAN20 Council and Chairs Meeting looks a little different this year. Sadly, no free food and drinks. Had to settle for watching @Jfpohl grilling steaks... not the same! 🥩 @DrJSilverman


Tomorrow @jwheeler_md @josemgarza @Dr_Alessandra_G @nitinkahuja are going to be dropping some hard Bristol type 1 facts on constipation in kids/adults. 💩 @NASPGHAN community — don’t miss the next @ANMSociety webinar! #pedgitwitter

Slow down and tune in for tomorrow’s free ANMS symposia on everyone’s favorite topic, constipation! @ANMSociety #pedgitwitter



Although I am sad not to see various colleagues in person at #NASPGHAN20 this year, I am fortunate for the virtual platform and ability to “catch up” on lectures I missed.

KevinWatsonJrMD's tweet image. Although I am sad not to see various colleagues in person at #NASPGHAN20 this year, I am fortunate for the virtual platform and ability to “catch up” on lectures I missed.


Yes @NASPGHAN and all of #pedgitwitter…please vote if you haven’t yet and your colleagues and divisions or groups to all vote!! We want everyone to have a voice!!!

Hey @NASPGHAN #pedigitwitter - TODAY IS THE DAY!! Make sure you VOTE in @NASPGHAN Election!! We want 100% #pedsGI turnout!!! Best way to have a healthy 🩺 society!! 🥰



Many many congratulations 🎊 so proud you are part of the @ChildrensLA #GI Team!! #pedgitwitter @NIDDKgov


📃 Rhesus rotavirus receptor-binding site affects high mobility group box 1 (HMGB1) release, altering the pathogenesis of experimental #BiliaryAtresia doi.org/10.1002/hep4.2… #LiverTwitter #PedGITwitter #OpenAccess #VisualAbstract

HepCommJournal's tweet image. 📃 Rhesus rotavirus receptor-binding site affects high mobility group box 1 (HMGB1) release, altering the pathogenesis of experimental #BiliaryAtresia

doi.org/10.1002/hep4.2…
#LiverTwitter #PedGITwitter #OpenAccess #VisualAbstract

Thank you for having us! Loved being a part of it and learned a lot too! #PedGiTwitter


Hypoallergenic formulas are dangerously low in supply. Spread the word - this is a very big deal. #formulashortage #pedgitwitter nytimes.com/2022/05/10/us/…


Happy #NationalNursesDay ! Can’t wait to celebrate 🎊 you all today & throughout this upcoming #NursesWeek2022!! @APGNN1 #pedgitwitter @NASPGHAN


🙏 @gastroendonews for fantastic in-depth “🔎” reporting on #pediatric advanced endoscopy -including dilemmas re: “right-sized” MD training/volume vs. healthcare access & equity for children. A must 📖 4 all who want to understand!#pedgitwitter #gitwitter @ASGEendoscopy @NASPGHAN


Alright #medtwitter how did I do? Frozen milk for breakfast! #frozencereal The kids were not impressed… should I try brown E’s next year? #pedgitwitter #gitwitter #AprilFoolsDay

dr_rdvenkatesh's tweet image. Alright #medtwitter how did I do?

Frozen milk for breakfast! #frozencereal 

The kids were not impressed… should I try brown E’s next year? #pedgitwitter #gitwitter #AprilFoolsDay
dr_rdvenkatesh's tweet image. Alright #medtwitter how did I do?

Frozen milk for breakfast! #frozencereal 

The kids were not impressed… should I try brown E’s next year? #pedgitwitter #gitwitter #AprilFoolsDay

Single center cohort of 7 patients on dupilumab for difficult to treat EoE shows good results. journals.lww.com/jpgnr/Fulltext… #openaccess #pedigitwitter #pedgitwitter #eoe

JPGNReports's tweet image. Single center cohort of 7 patients on dupilumab for difficult to treat EoE shows good results. 

journals.lww.com/jpgnr/Fulltext…

#openaccess #pedigitwitter #pedgitwitter #eoe

Thank you @NASPGHAN for providing a dynamic and collegial platform to promote successful careers and advances in the field of pediatric GI. Humbled and fortunate to be recognized with and inspired by these amazing women! #pedGItwitter @CincyChildrens


Thank you @NASPGHAN for providing a dynamic and collegial platform to promote successful careers and advances in the field of pediatric GI. Humbled and fortunate to be able to contribute with and be inspired by these amazing women! #pedGItwitter


No results for "#pedgitwitter"

@PLLU⁩ describes the #CDiLo technique in gastric stimulation: an important trial prior to placing a gastric pacemaker. ⁦@deslilo⁩ ⁦@CarloDiLorenzo1#pedgitwitter #ges #cdilo

dr_rdvenkatesh's tweet image. ⁦@PLLU⁩ describes the #CDiLo technique in gastric stimulation: an important trial prior to placing a gastric pacemaker. 

⁦@deslilo⁩ ⁦@CarloDiLorenzo1⁩ #pedgitwitter #ges #cdilo

Planning @NASPGHAN 50th Anniversary Annual Meeting to be held October 2022 in Orlando FL!! #PedGITwitter #GITwitter

molivahemker's tweet image. Planning @NASPGHAN 50th Anniversary Annual Meeting to be held October 2022 in Orlando FL!! #PedGITwitter #GITwitter

📃 Rhesus rotavirus receptor-binding site affects high mobility group box 1 (HMGB1) release, altering the pathogenesis of experimental #BiliaryAtresia doi.org/10.1002/hep4.2… #LiverTwitter #PedGITwitter #OpenAccess #VisualAbstract

HepCommJournal's tweet image. 📃 Rhesus rotavirus receptor-binding site affects high mobility group box 1 (HMGB1) release, altering the pathogenesis of experimental #BiliaryAtresia

doi.org/10.1002/hep4.2…
#LiverTwitter #PedGITwitter #OpenAccess #VisualAbstract

Alright #medtwitter how did I do? Frozen milk for breakfast! #frozencereal The kids were not impressed… should I try brown E’s next year? #pedgitwitter #gitwitter #AprilFoolsDay

dr_rdvenkatesh's tweet image. Alright #medtwitter how did I do?

Frozen milk for breakfast! #frozencereal 

The kids were not impressed… should I try brown E’s next year? #pedgitwitter #gitwitter #AprilFoolsDay
dr_rdvenkatesh's tweet image. Alright #medtwitter how did I do?

Frozen milk for breakfast! #frozencereal 

The kids were not impressed… should I try brown E’s next year? #pedgitwitter #gitwitter #AprilFoolsDay

Continous Zoom meetings & telehealth visits led me to get a standup desk converter which I received today! Perfect time to remind everyone that the virtual @NASPGHAN Annual Meeting and Postgraduate Course is coming up Nov 1-7, 2020. #pedgitwitter #GITwitter

molivahemker's tweet image. Continous Zoom meetings & telehealth visits led me to get a standup desk converter which I received today! Perfect time to remind everyone that the virtual @NASPGHAN Annual Meeting and Postgraduate Course is coming up Nov 1-7, 2020. #pedgitwitter  #GITwitter

Happy #NationalNursesDay ! Can’t wait to celebrate 🎊 you all today & throughout this upcoming #NursesWeek2022!! @APGNN1 #pedgitwitter @NASPGHAN


dr_rdvenkatesh's tweet image. The #naspghan20 theme #thefutureisbright. Thanks @BenjamminGold @KarenMurrayMD and all of the @NASPGHAN leadership! #pedgitwitter #naspghan20

The virtual #NASPGHAN20 Council and Chairs Meeting looks a little different this year. Sadly, no free food and drinks. Had to settle for watching @Jfpohl grilling steaks... not the same! 🥩 @DrJSilverman

PLLU's tweet image. The virtual #NASPGHAN20 Council and Chairs Meeting looks a little different this year. Sadly, no free food and drinks. Had to settle for watching @Jfpohl grilling steaks... not the same! 🥩 @DrJSilverman


Single center cohort of 7 patients on dupilumab for difficult to treat EoE shows good results. journals.lww.com/jpgnr/Fulltext… #openaccess #pedigitwitter #pedgitwitter #eoe

JPGNReports's tweet image. Single center cohort of 7 patients on dupilumab for difficult to treat EoE shows good results. 

journals.lww.com/jpgnr/Fulltext…

#openaccess #pedigitwitter #pedgitwitter #eoe

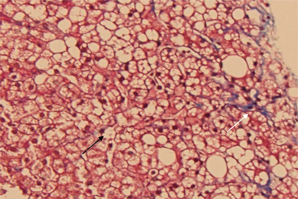
Read more about this #casereport of a 10-year-old Kurdish male patient with #ichthyosis referred for transaminase elevation of unknown etiology journals.lww.com/jpgnr/pages/im… #pedgitwitter #ChanarinDorfmanSyndrome

JPGNReports's tweet image. Read more about this #casereport of a 10-year-old Kurdish male patient with #ichthyosis referred for transaminase elevation of unknown etiology

journals.lww.com/jpgnr/pages/im…

#pedgitwitter #ChanarinDorfmanSyndrome

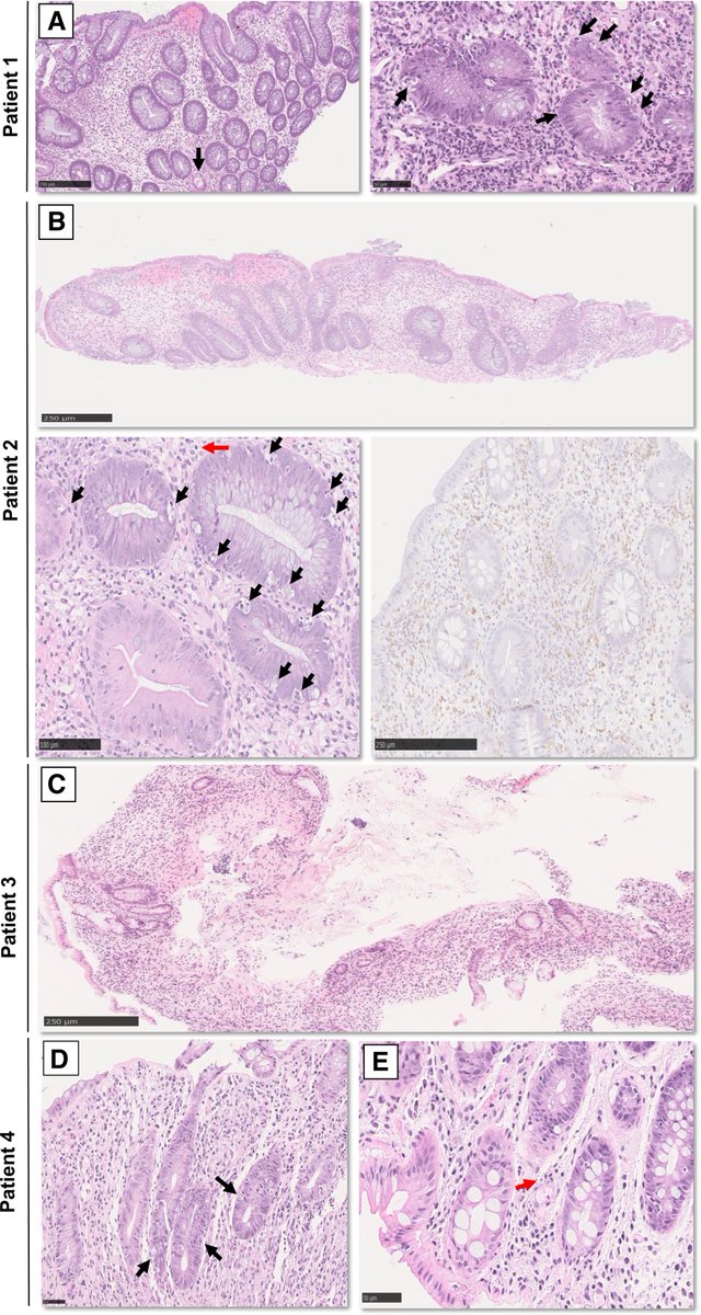
Don't miss this release from @jpgnreports on the first cases of biopsy-confirmed MMF-induced colitis reported in autoimmune polyendocrinopathy-candidiasis-ectodermal dystrophy (APECED) journals.lww.com/jpgnr/pages/im… #pedgitwitter

JPGNReports's tweet image. Don't miss this release from @jpgnreports on the first cases of biopsy-confirmed MMF-induced colitis reported in autoimmune polyendocrinopathy-candidiasis-ectodermal dystrophy (APECED)

journals.lww.com/jpgnr/pages/im…

#pedgitwitter

Loading...

Something went wrong.


Something went wrong.


United States Trends