#periomembers search results

Último día de nuestro curso de plástica periodontal! Lo despedimos con tema de “Membranas” Si quieres formar parte de nuestro próximo curso puedes mandar mensaje al 📲 55-78-75-35-31 ¡ÚLTIMOS LUGARES! #PerioMx #Periodoncia #Periomembers #dentistry #odonto


La membrana se tiene que dejar de 4-6 meses Las membranas de colágeno y ácido poliglicolico únicamente dejará 2 meses. #PerioMx #periodoncia #Periomembers #dentistry #membrana #periotips #cursodeplasticaperiodontal


Para poder tener un cierre de herida óptimo debe de haber flexibilidad de colgajo. #PerioMx #periodoncia #Periomembers #dentistry #dental #odontología #membranas #cursodeplasticaperiodontal


La profundidad de la incisión no es a nivel ósea, se hace evitando inserciones musculares e inserción periostica. #Periomembers #periodoncia #cursodeplastica #PerioMx #dentist #periotips #plasticaperiodontal


El manejo de colgajo es parte fundamental de la regeneración ósea vertical. #PerioMx #periomembers #periodoncia #cursodeplasticaperiodontal #dentistry #colgajo


Al hacer la liberacion del periostio se busca separar el tejido granulomatoso del tejido conectivo #PerioMx #periomembers #periostio


El ideal para poder tratar una lesión cervical es hacer cubrimiento quirúrgico y cubrimiento parcial con restauración. #PerioMX #perioMembers #lesióncervical


Para la cobertura radicular tenemos la técnica de tunelización y de colgajo desplazado coronal. #PerioMx #periomembers #periodoncia #cursodeplasticaperiodontal #dentistry #colgajo #coberturaradicular


El punto de sutura que generalmente se aplica en la regeneración ósea vertical es el punto suspensorio sin loop. #PerioMx #periodoncia #Periomembers #dentistry #dental #odontologia #membranas #sutura #cursodeplasticaperiodontal


Cuando tenemos una bolsa periodontal profunda hay mucho tejido granulomatoso. #perioMX #periomembers #tejido #colgajo


Cuando hacemos un colgajo para regeneración ósea debe ser flexible, sin tensión. #PerioMx #periodoncia #Periomembers #dentistry #colgajo #Regeneration #cursodeplasticaperiodontal


Si la profundidad del surco de los dientes largos y cortos son equivalentes a la unión cemento esmalte el tratamiento quirúrgico no esta indicado #periodoncia #PerioMx #PerioMembers #dentist #cursodeplasticaperiodontal #periotips


Algunas etiologías de Lesiones Cervicales son: -Cepillado traumático -Invasión del espacio Biológico -Presencia de Frenillos bucales -Piercings -Trauma por occlusion #PerioMx #periomembers #cursolesiones #etiología


El utilizar grapas especificas nos ayuda a que el aislamiento sea mas dinámico, sencillo y que nos ayude a trabajar protocolos adhesivos y restaurativos de manera mas fácil y con más control. #PerioMx #periomembers #cursodelesiones #aislamiento


Los colgajos periodontales tienen varios fundamentos uno de ellos es dar acceso para tener visibilidad #PerioMx #periomembers #colgajo


Tenemos dos tipos de SONRISA ALTA la gingival y la gingivoesqueletal #cursoPerioMx #cirugiaplasticaperiodontal #periomembers #periodoncia #periotips #labiohiperactivo


Para la cobertura radicular tenemos la técnica de tunelización y de colgajo desplazado coronal. #PerioMx #periomembers #periodoncia #cursodeplasticaperiodontal #dentistry #colgajo #coberturaradicular


El manejo de colgajo es parte fundamental de la regeneración ósea vertical. #PerioMx #periomembers #periodoncia #cursodeplasticaperiodontal #dentistry #colgajo


La membrana se tiene que dejar de 4-6 meses Las membranas de colágeno y ácido poliglicolico únicamente dejará 2 meses. #PerioMx #periodoncia #Periomembers #dentistry #membrana #periotips #cursodeplasticaperiodontal


Cuando hacemos un colgajo para regeneración ósea debe ser flexible, sin tensión. #PerioMx #periodoncia #Periomembers #dentistry #colgajo #Regeneration #cursodeplasticaperiodontal


El punto de sutura que generalmente se aplica en la regeneración ósea vertical es el punto suspensorio sin loop. #PerioMx #periodoncia #Periomembers #dentistry #dental #odontologia #membranas #sutura #cursodeplasticaperiodontal


Para poder tener un cierre de herida óptimo debe de haber flexibilidad de colgajo. #PerioMx #periodoncia #Periomembers #dentistry #dental #odontología #membranas #cursodeplasticaperiodontal


Último día de nuestro curso de plástica periodontal! Lo despedimos con tema de “Membranas” Si quieres formar parte de nuestro próximo curso puedes mandar mensaje al 📲 55-78-75-35-31 ¡ÚLTIMOS LUGARES! #PerioMx #Periodoncia #Periomembers #dentistry #odonto


Si la profundidad del surco de los dientes largos y cortos son equivalentes a la unión cemento esmalte el tratamiento quirúrgico no esta indicado #periodoncia #PerioMx #PerioMembers #dentist #cursodeplasticaperiodontal #periotips


La profundidad de la incisión no es a nivel ósea, se hace evitando inserciones musculares e inserción periostica. #Periomembers #periodoncia #cursodeplastica #PerioMx #dentist #periotips #plasticaperiodontal


Tenemos dos tipos de SONRISA ALTA la gingival y la gingivoesqueletal #cursoPerioMx #cirugiaplasticaperiodontal #periomembers #periodoncia #periotips #labiohiperactivo


El utilizar grapas especificas nos ayuda a que el aislamiento sea mas dinámico, sencillo y que nos ayude a trabajar protocolos adhesivos y restaurativos de manera mas fácil y con más control. #PerioMx #periomembers #cursodelesiones #aislamiento


El ideal para poder tratar una lesión cervical es hacer cubrimiento quirúrgico y cubrimiento parcial con restauración. #PerioMX #perioMembers #lesióncervical


Los colgajos periodontales tienen varios fundamentos uno de ellos es dar acceso para tener visibilidad #PerioMx #periomembers #colgajo


Cuando tenemos una bolsa periodontal profunda hay mucho tejido granulomatoso. #perioMX #periomembers #tejido #colgajo


Al hacer la liberacion del periostio se busca separar el tejido granulomatoso del tejido conectivo #PerioMx #periomembers #periostio


Algunas etiologías de Lesiones Cervicales son: -Cepillado traumático -Invasión del espacio Biológico -Presencia de Frenillos bucales -Piercings -Trauma por occlusion #PerioMx #periomembers #cursolesiones #etiología


No results for "#periomembers"

En la actualidad existen guías quirúrgicas impresas o digitales que nos ayudan a que el punto de sangrado ya no se tenga que realizar. #PerioMX #periomembers #puntosdesangrado #periodonciaenlaactualidad

PerioMX's tweet image. En la actualidad existen guías quirúrgicas impresas o digitales que nos ayudan a que el punto de sangrado ya no se tenga que realizar. 
#PerioMX #periomembers #puntosdesangrado #periodonciaenlaactualidad

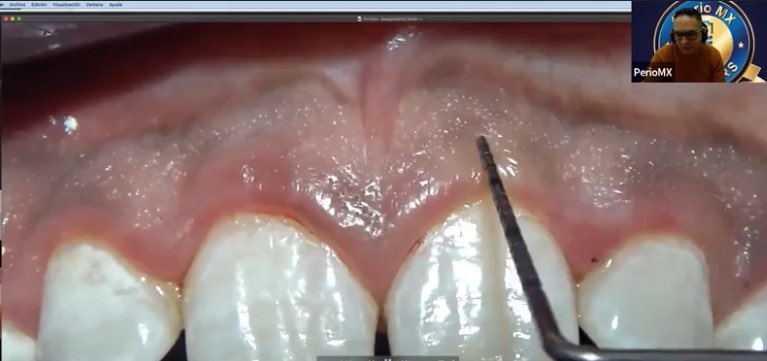
En la incisión intrasurcular la posición de la hoja de bisturí va hacia el surco gingival respetando la altura de los márgenes. #cursodeincision #PerioMX #periomembers #intrasurcular

PerioMX's tweet image. En la incisión intrasurcular la posición de la hoja de bisturí va hacia el surco gingival respetando la altura de los márgenes.
#cursodeincision #PerioMX #periomembers #intrasurcular

Para hacer una incisión debemos reconocer biológicamente varios parámetros, uno de ellos es si el frenillo conlleva algún defecto. #cursodeincisión #PerioMX #periomembers #frenillo

PerioMX's tweet image. Para hacer una incisión debemos reconocer biológicamente varios parámetros, uno de ellos es si el frenillo conlleva algún defecto. 
#cursodeincisión #PerioMX #periomembers #frenillo

En un implante, la descarga tiene que realizarse a uno o dos dientes contiguos #incisiones #cursoPerioMX #PerioMembers #implantes

PerioMX's tweet image. En un implante, la descarga tiene que realizarse a uno o dos dientes contiguos
#incisiones #cursoPerioMX #PerioMembers #implantes

Loading...

Something went wrong.


Something went wrong.