#redglidedifference search results

US HCPs: Dr. Jeffrey Beecher from Wilmington, NC shares a successful case video with #RED62: youtube.com/watch?v=aOsSBj… #REDglideDifference Rx only. For risk info:bit.ly/2BYj7Yj Clinical results may vary.

PenNeuro's tweet card. Stroke Treatment thru the Wrist! #wristshot #brain #stroke #medicin...

youtube.com

YouTube

Stroke Treatment thru the Wrist! #wristshot #brain #stroke #medicin...


HCPs: Swing by @PENNeuro booth #511 at #SNIS2022 to hear Dr. Kellner present insights from INSIGHT! #RED #REDglideDifference @SNISInfo Rx only. For risk info: bit.ly/37YcYIU Clinical results may vary.

PenNeuro's tweet image. HCPs: Swing by @PENNeuro booth #511 at #SNIS2022 to hear Dr. Kellner present insights from INSIGHT! #RED #REDglideDifference @SNISInfo Rx only. For risk info: bit.ly/37YcYIU Clinical results may vary.

US HCPs: Dr. Matt Fiesta uses #RED72 for this case out of Texas Health Harris Methodist. #REDglideDifference Rx only. For risk info: bit.ly/37YcYIU Clinical results may vary.

PenNeuro's tweet image. US HCPs: Dr. Matt Fiesta uses #RED72 for this case out of Texas Health Harris Methodist. #REDglideDifference Rx only. For risk info: bit.ly/37YcYIU Clinical results may vary.

US HCPs: RED 72 going to the M2, #RedGlideDifference, thanks for posting @NIRAbbott. Rx only. For risk info: bit.ly/2BYj7Yj Clinical results may vary

Clot removed from M2 by RED72 #RED72 @penumbrainc

NIRAbbott's tweet image. Clot removed from M2 by RED72
#RED72 @penumbrainc


US HCPs: #RED62 used in #PosteriorOcclusion case by Dr. Miguel L. Litao out of @SaintClares. #REDGlideDifference Rx only. For risk info: bit.ly/37YcYIU. Clinical results may vary.

PenNeuro's tweet image. US HCPs: #RED62 used in #PosteriorOcclusion case by Dr. Miguel L. Litao out of @SaintClares. #REDGlideDifference Rx only. For risk info: bit.ly/37YcYIU. Clinical results may vary.
PenNeuro's tweet image. US HCPs: #RED62 used in #PosteriorOcclusion case by Dr. Miguel L. Litao out of @SaintClares. #REDGlideDifference Rx only. For risk info: bit.ly/37YcYIU. Clinical results may vary.

US HCPs: Dr. Hebert and Dr. Sujijantarat from Yale-New Haven Hospital used #RED72 to achieve complete reperfusion! #REDglideDifference #StrokeAwarenessMonth Rx only. For risk info: bit.ly/37YcYIU Clinical results may vary.

PenNeuro's tweet image. US HCPs: Dr. Hebert and Dr. Sujijantarat from Yale-New Haven Hospital used #RED72 to achieve
complete reperfusion! #REDglideDifference #StrokeAwarenessMonth Rx only. For risk info:
bit.ly/37YcYIU Clinical results may vary.

Thank you, Dr. Kellner, for sharing the #RED subset analysis from our INSIGHT registry! #REDglideDifference @SNISInfo

PenNeuro's tweet image. Thank you, Dr. Kellner, for sharing the #RED subset analysis from our INSIGHT registry! #REDglideDifference @SNISInfo
PenNeuro's tweet image. Thank you, Dr. Kellner, for sharing the #RED subset analysis from our INSIGHT registry! #REDglideDifference @SNISInfo

US HCPs: #RED62 provides a single-pass recanalization in the hands of Dr. Hansen from Medical City Forth Worth. #REDglideDifference Rx only. For risk info: bit.ly/37YcYIU Clinical results may vary.

PenNeuro's tweet image. US HCPs: #RED62 provides a single-pass recanalization in the hands of Dr. Hansen from Medical City Forth Worth. #REDglideDifference Rx only. For risk info: bit.ly/37YcYIU Clinical results may vary.

US HCPs: #RED72 case by Dr. Nirav Vora out of Riverside Methodist Hospital, Ohio. #REDGlideDifference. Rx only. For risk info: bit.ly/37YcYIU. Clinical results may vary.

PenNeuro's tweet image. US HCPs: #RED72 case by Dr. Nirav Vora out of Riverside Methodist Hospital, Ohio. #REDGlideDifference. Rx only. For risk info: bit.ly/37YcYIU. Clinical results may vary.
PenNeuro's tweet image. US HCPs: #RED72 case by Dr. Nirav Vora out of Riverside Methodist Hospital, Ohio. #REDGlideDifference. Rx only. For risk info: bit.ly/37YcYIU. Clinical results may vary.

US HCPs: #RED62 case by Dr. Mikayel Grigoryan (@LABrainPlumber) out of Glendale Adventist Medical Center. #REDGlideDifference Rx only. For risk info: bit.ly/37YcYIU Clinical results may vary.

PenNeuro's tweet image. US HCPs: #RED62 case by Dr. Mikayel Grigoryan (@LABrainPlumber) out of Glendale Adventist Medical
Center. #REDGlideDifference Rx only. For risk info: bit.ly/37YcYIU Clinical results may vary.

US HCPs: #RED72 case by Dr. Sushant Kale out of West Valley Hospital, AZ. #REDglideDifference #StrokeAwarenessMonth Rx only. For risk info: bit.ly/37YcYIU. Clinical results may vary.

PenNeuro's tweet image. US HCPs: #RED72 case by Dr. Sushant Kale out of West Valley Hospital, AZ. #REDglideDifference #StrokeAwarenessMonth Rx only. For risk info: bit.ly/37YcYIU. Clinical results may vary.
PenNeuro's tweet image. US HCPs: #RED72 case by Dr. Sushant Kale out of West Valley Hospital, AZ. #REDglideDifference #StrokeAwarenessMonth Rx only. For risk info: bit.ly/37YcYIU. Clinical results may vary.
PenNeuro's tweet image. US HCPs: #RED72 case by Dr. Sushant Kale out of West Valley Hospital, AZ. #REDglideDifference #StrokeAwarenessMonth Rx only. For risk info: bit.ly/37YcYIU. Clinical results may vary.

US HCPs: @AdiIyerMD gets single-pass TICI 3 with #RED62 in this case out of Providence Holy Cross Medical Center. #REDglideDifference Rx only. For risk info: bit.ly/37YcYIU Clinical results may vary.

PenNeuro's tweet image. US HCPs: @AdiIyerMD gets single-pass TICI 3 with #RED62 in this case out of Providence Holy Cross Medical Center. #REDglideDifference Rx only. For risk info: bit.ly/37YcYIU Clinical results may vary.
PenNeuro's tweet image. US HCPs: @AdiIyerMD gets single-pass TICI 3 with #RED62 in this case out of Providence Holy Cross Medical Center. #REDglideDifference Rx only. For risk info: bit.ly/37YcYIU Clinical results may vary.
PenNeuro's tweet image. US HCPs: @AdiIyerMD gets single-pass TICI 3 with #RED62 in this case out of Providence Holy Cross Medical Center. #REDglideDifference Rx only. For risk info: bit.ly/37YcYIU Clinical results may vary.

US HCPs: #RED72 delivers results in the hands of Dr. Tarpley at the Providence Little Company of Mary Medical Center in Torrance, CA. #REDglideDifference #StrokeAwarenessMonth Rx only. For risk info: bit.ly/37YcYIU Clinical results may vary.

PenNeuro's tweet image. US HCPs: #RED72 delivers results in the hands of Dr. Tarpley at the Providence Little Company
of Mary Medical Center in Torrance, CA. #REDglideDifference #StrokeAwarenessMonth Rx only. For risk
info: bit.ly/37YcYIU Clinical results may vary.
PenNeuro's tweet image. US HCPs: #RED72 delivers results in the hands of Dr. Tarpley at the Providence Little Company
of Mary Medical Center in Torrance, CA. #REDglideDifference #StrokeAwarenessMonth Rx only. For risk
info: bit.ly/37YcYIU Clinical results may vary.
PenNeuro's tweet image. US HCPs: #RED72 delivers results in the hands of Dr. Tarpley at the Providence Little Company
of Mary Medical Center in Torrance, CA. #REDglideDifference #StrokeAwarenessMonth Rx only. For risk
info: bit.ly/37YcYIU Clinical results may vary.

US HCPs: #RED72 delivers results in the hands of Dr. Kurt Reuland at @CHRISTUSTMF. #REDglideDifference #StrokeAwarenessMonth Rx only. For risk info: bit.ly/37YcYIU. Clinical results may vary.

PenNeuro's tweet image. US HCPs: #RED72 delivers results in the hands of Dr. Kurt Reuland at @CHRISTUSTMF. #REDglideDifference #StrokeAwarenessMonth Rx only. For risk info: bit.ly/37YcYIU. Clinical results may vary.
PenNeuro's tweet image. US HCPs: #RED72 delivers results in the hands of Dr. Kurt Reuland at @CHRISTUSTMF. #REDglideDifference #StrokeAwarenessMonth Rx only. For risk info: bit.ly/37YcYIU. Clinical results may vary.
PenNeuro's tweet image. US HCPs: #RED72 delivers results in the hands of Dr. Kurt Reuland at @CHRISTUSTMF. #REDglideDifference #StrokeAwarenessMonth Rx only. For risk info: bit.ly/37YcYIU. Clinical results may vary.
PenNeuro's tweet image. US HCPs: #RED72 delivers results in the hands of Dr. Kurt Reuland at @CHRISTUSTMF. #REDglideDifference #StrokeAwarenessMonth Rx only. For risk info: bit.ly/37YcYIU. Clinical results may vary.

US HCPs: #RED72 case by Dr. Mohamed Teleb (@StrokeVAN) out of Banner Desert Medical Center #REDglideDifference #StrokeAwarenessMonth Rx only. For risk info: bit.ly/37YcYIU. Clinical results may vary.

PenNeuro's tweet image. US HCPs: #RED72 case by Dr. Mohamed Teleb (@StrokeVAN) out of Banner Desert Medical Center #REDglideDifference #StrokeAwarenessMonth Rx only. For risk info: bit.ly/37YcYIU. Clinical results may vary.
PenNeuro's tweet image. US HCPs: #RED72 case by Dr. Mohamed Teleb (@StrokeVAN) out of Banner Desert Medical Center #REDglideDifference #StrokeAwarenessMonth Rx only. For risk info: bit.ly/37YcYIU. Clinical results may vary.

OUS HCPs: #RED72 case by @PraveshRaj75 out of Annapurna Neurological Institute & Allied Sciences, Nepal: Single Pass, 35 mins to revascularization! #REDglideDifference Rx only. For risk info: bit.ly/37YcYIU Clinical result may vary.

PenNeuro's tweet image. OUS HCPs: #RED72 case by @PraveshRaj75 out of Annapurna Neurological Institute & Allied Sciences, Nepal: Single Pass, 35 mins to revascularization! #REDglideDifference Rx only. For risk info: bit.ly/37YcYIU Clinical result may vary.
PenNeuro's tweet image. OUS HCPs: #RED72 case by @PraveshRaj75 out of Annapurna Neurological Institute & Allied Sciences, Nepal: Single Pass, 35 mins to revascularization! #REDglideDifference Rx only. For risk info: bit.ly/37YcYIU Clinical result may vary.

US HCPs: Dr. Mohamed Teleb (@StrokeVAN) used #RED62 for revascularization in this case out of Banner Desert Medical Center. #REDglideDifference #StrokeAwarenessMonth Rx only. For risk info: bit.ly/37YcYIU. Clinical results may vary.

PenNeuro's tweet image. US HCPs: Dr. Mohamed Teleb (@StrokeVAN) used #RED62 for revascularization in this case out of Banner Desert Medical Center. #REDglideDifference #StrokeAwarenessMonth Rx only. For risk info: bit.ly/37YcYIU. Clinical results may vary.
PenNeuro's tweet image. US HCPs: Dr. Mohamed Teleb (@StrokeVAN) used #RED62 for revascularization in this case out of Banner Desert Medical Center. #REDglideDifference #StrokeAwarenessMonth Rx only. For risk info: bit.ly/37YcYIU. Clinical results may vary.
PenNeuro's tweet image. US HCPs: Dr. Mohamed Teleb (@StrokeVAN) used #RED62 for revascularization in this case out of Banner Desert Medical Center. #REDglideDifference #StrokeAwarenessMonth Rx only. For risk info: bit.ly/37YcYIU. Clinical results may vary.

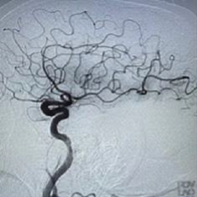
US HCPs: #RED62 case by Dr. Stephen Grupke out of Covenant Medical Center in Lubbock, TX. #REDglideDifference Rx only. For risk info: bit.ly/37YcYIU Clinical results may vary.

PenNeuro's tweet image. US HCPs: #RED62 case by Dr. Stephen Grupke out of Covenant Medical Center in Lubbock, TX. #REDglideDifference Rx only. For risk info: bit.ly/37YcYIU Clinical results may vary.

US HCPs: #RED62 delivers results in the hands of Dr. Thomas Windisch out of Covenant Medical Center in Lubbock, TX. #REDglideDifference Rx only. For risk info: bit.ly/37YcYIU Clinical results may vary.

PenNeuro's tweet image. US HCPs: #RED62 delivers results in the hands of Dr. Thomas Windisch out of Covenant Medical Center in Lubbock, TX. #REDglideDifference Rx only. For risk info: bit.ly/37YcYIU Clinical results may vary.

US HCPs: Dr. Paul Hansen gets TICI 3 in one pass with #RED68 in this case out of Medical City Fort Worth. #REDglideDifference Rx only. For risk info: bit.ly/37YcYIU Clinical results may vary.

PenNeuro's tweet image. US HCPs: Dr. Paul Hansen gets TICI 3 in one pass with #RED68 in this case out of Medical City Fort Worth. #REDglideDifference Rx only. For risk info: bit.ly/37YcYIU Clinical results may vary.

EMEA HCPs: Better #Trackability with #REDglideCoating. 44% less friction compared to the original hydrophilic coating. Discover the #REDglideDifference: bit.ly/3NwN4An #PastPresentFuture #WeShareYourAspiration Rx only. Risk info: peninc.info/risk


EU HCPs: Kicking off #DGNR2023! Prof. @TMpotsi, Prof. @P_Papanagiotou, PD Dr. Schob and Dr. Holtmannspötter will give you a peek into the future of aspiration thrombectomy on 6 October, 12:30-13:15. #REDglideTechnology #REDglideDifference


EMEA HCPs: Penumbra’s RED Reperfusion Catheters designed to maintain their true lumen under powerful vacuum. Discover the #REDglideDifference: bit.ly/3MAd3pl #Stroke #NeuroVascular #PioneerInAspiration Rx only. Risk info: bit.ly/2QHo8eH

PenumbraEMEA's tweet image. EMEA HCPs: Penumbra’s RED Reperfusion Catheters designed to maintain their true lumen under powerful vacuum.

Discover the #REDglideDifference: bit.ly/3MAd3pl

#Stroke #NeuroVascular #PioneerInAspiration
Rx only. Risk info: bit.ly/2QHo8eH

EMEA HCPs: Better #Trackability enabled with #REDglideCoating. 44% less friction compared to the original hydrophilic coating. Discover the #REDglideDifference here! bit.ly/3P6XB6I Rx only. For risk info: bit.ly/2QHo8eH


EMEA HCPs: Prof. Costalat examines the value of aspiration & shares real case experience with the latest #REDglideTechnology. Wednesday, 7 June, 11:40 – 11:55 @LINNConline #REDglideDifference #PioneerInAspiration Rx only. For risk info: bit.ly/2QHo8eH


EU HCPs: Thanks @donfreimd for sharing your experience with the #REDglideTechnology! Joan Kristensen and @PenumbraEMEA are happy to spread the word about the #REDglideDifference. @ESMINTSociety Rx only. For risk info: bit.ly/2QHo8eH

This post is unavailable.

EU HCPs: “The Value of Aspiration in the current practice: How far have we come?” Join the Symposium with Dr.ssa Mariangela Piano on 11th November at 10:00 - 10:30 in Sala Limoni! #REDglideTechnology #REDglideDifference Rx only. For risk info: bit.ly/2QHo8eH


EU HCPs: Attending #SNO2022? We look forward to seeing you soon in Riva del Garda, Italy! Stay tuned for more exciting news! #REDglideTechnology #REDglideDifference Rx only. For risk info: bit.ly/2QHo8eH


EU HCPs: @vladokzg and all the Neuro Team at CHC Sister of Mercy, Zagreb - Thank you & congratulations for performing this 1st posterior #RED62 case in Europe!! #REDglideTechnology #REDglideDifference Rx only. For risk info: bit.ly/2BYj7Yj Clinical results may vary.


OUS HCPs: #RED72 case by @PraveshRaj75 out of Annapurna Neurological Institute & Allied Sciences, Nepal: Single Pass, 35 mins to revascularization! #REDglideDifference Rx only. For risk info: bit.ly/37YcYIU Clinical result may vary.

PenNeuro's tweet image. OUS HCPs: #RED72 case by @PraveshRaj75 out of Annapurna Neurological Institute & Allied Sciences, Nepal: Single Pass, 35 mins to revascularization! #REDglideDifference Rx only. For risk info: bit.ly/37YcYIU Clinical result may vary.
PenNeuro's tweet image. OUS HCPs: #RED72 case by @PraveshRaj75 out of Annapurna Neurological Institute & Allied Sciences, Nepal: Single Pass, 35 mins to revascularization! #REDglideDifference Rx only. For risk info: bit.ly/37YcYIU Clinical result may vary.

No results for "#redglidedifference"

US HCPs: Dr. Paul Hansen gets TICI 3 in one pass with #RED68 in this case out of Medical City Fort Worth. #REDglideDifference Rx only. For risk info: bit.ly/37YcYIU Clinical results may vary.

PenNeuro's tweet image. US HCPs: Dr. Paul Hansen gets TICI 3 in one pass with #RED68 in this case out of Medical City Fort Worth. #REDglideDifference Rx only. For risk info: bit.ly/37YcYIU Clinical results may vary.

US HCPs: Dr. Matt Fiesta uses #RED72 for this case out of Texas Health Harris Methodist. #REDglideDifference Rx only. For risk info: bit.ly/37YcYIU Clinical results may vary.

PenNeuro's tweet image. US HCPs: Dr. Matt Fiesta uses #RED72 for this case out of Texas Health Harris Methodist. #REDglideDifference Rx only. For risk info: bit.ly/37YcYIU Clinical results may vary.

HCPs: Swing by @PENNeuro booth #511 at #SNIS2022 to hear Dr. Kellner present insights from INSIGHT! #RED #REDglideDifference @SNISInfo Rx only. For risk info: bit.ly/37YcYIU Clinical results may vary.

PenNeuro's tweet image. HCPs: Swing by @PENNeuro booth #511 at #SNIS2022 to hear Dr. Kellner present insights from INSIGHT! #RED #REDglideDifference @SNISInfo Rx only. For risk info: bit.ly/37YcYIU Clinical results may vary.

EMEA HCPs: Penumbra’s RED Reperfusion Catheters designed to maintain their true lumen under powerful vacuum. Discover the #REDglideDifference: bit.ly/3MAd3pl #Stroke #NeuroVascular #PioneerInAspiration Rx only. Risk info: bit.ly/2QHo8eH

PenumbraEMEA's tweet image. EMEA HCPs: Penumbra’s RED Reperfusion Catheters designed to maintain their true lumen under powerful vacuum.

Discover the #REDglideDifference: bit.ly/3MAd3pl

#Stroke #NeuroVascular #PioneerInAspiration
Rx only. Risk info: bit.ly/2QHo8eH

US HCPs: #RED62 delivers results in the hands of Dr. Thomas Windisch out of Covenant Medical Center in Lubbock, TX. #REDglideDifference Rx only. For risk info: bit.ly/37YcYIU Clinical results may vary.

PenNeuro's tweet image. US HCPs: #RED62 delivers results in the hands of Dr. Thomas Windisch out of Covenant Medical Center in Lubbock, TX. #REDglideDifference Rx only. For risk info: bit.ly/37YcYIU Clinical results may vary.

US HCPs: Large clot burden removed with #RED72 by Dr. Julian Hardman out of @DesertRadiology . #REDGlideDifference. Rx only. For risk info: bit.ly/37YcYIU. Clinical results may vary.

PenNeuro's tweet image. US HCPs: Large clot burden removed with #RED72 by Dr. Julian Hardman out of @DesertRadiology . #REDGlideDifference. Rx only. For risk info: bit.ly/37YcYIU. Clinical results may vary.
PenNeuro's tweet image. US HCPs: Large clot burden removed with #RED72 by Dr. Julian Hardman out of @DesertRadiology . #REDGlideDifference. Rx only. For risk info: bit.ly/37YcYIU. Clinical results may vary.
PenNeuro's tweet image. US HCPs: Large clot burden removed with #RED72 by Dr. Julian Hardman out of @DesertRadiology . #REDGlideDifference. Rx only. For risk info: bit.ly/37YcYIU. Clinical results may vary.

US HCPs: #RED62 provides a single-pass recanalization in the hands of Dr. Hansen from Medical City Forth Worth. #REDglideDifference Rx only. For risk info: bit.ly/37YcYIU Clinical results may vary.

PenNeuro's tweet image. US HCPs: #RED62 provides a single-pass recanalization in the hands of Dr. Hansen from Medical City Forth Worth. #REDglideDifference Rx only. For risk info: bit.ly/37YcYIU Clinical results may vary.

US HCPs: Dr. Hebert and Dr. Sujijantarat from Yale-New Haven Hospital used #RED72 to achieve complete reperfusion! #REDglideDifference #StrokeAwarenessMonth Rx only. For risk info: bit.ly/37YcYIU Clinical results may vary.

PenNeuro's tweet image. US HCPs: Dr. Hebert and Dr. Sujijantarat from Yale-New Haven Hospital used #RED72 to achieve
complete reperfusion! #REDglideDifference #StrokeAwarenessMonth Rx only. For risk info:
bit.ly/37YcYIU Clinical results may vary.

US HCPs: #RED72 case by Dr. Sushant Kale out of West Valley Hospital, AZ. #REDglideDifference #StrokeAwarenessMonth Rx only. For risk info: bit.ly/37YcYIU. Clinical results may vary.

PenNeuro's tweet image. US HCPs: #RED72 case by Dr. Sushant Kale out of West Valley Hospital, AZ. #REDglideDifference #StrokeAwarenessMonth Rx only. For risk info: bit.ly/37YcYIU. Clinical results may vary.
PenNeuro's tweet image. US HCPs: #RED72 case by Dr. Sushant Kale out of West Valley Hospital, AZ. #REDglideDifference #StrokeAwarenessMonth Rx only. For risk info: bit.ly/37YcYIU. Clinical results may vary.
PenNeuro's tweet image. US HCPs: #RED72 case by Dr. Sushant Kale out of West Valley Hospital, AZ. #REDglideDifference #StrokeAwarenessMonth Rx only. For risk info: bit.ly/37YcYIU. Clinical results may vary.

US HCPs: #RED72 delivers results in the hands of Dr. Kurt Reuland at @CHRISTUSTMF. #REDglideDifference #StrokeAwarenessMonth Rx only. For risk info: bit.ly/37YcYIU. Clinical results may vary.

PenNeuro's tweet image. US HCPs: #RED72 delivers results in the hands of Dr. Kurt Reuland at @CHRISTUSTMF. #REDglideDifference #StrokeAwarenessMonth Rx only. For risk info: bit.ly/37YcYIU. Clinical results may vary.
PenNeuro's tweet image. US HCPs: #RED72 delivers results in the hands of Dr. Kurt Reuland at @CHRISTUSTMF. #REDglideDifference #StrokeAwarenessMonth Rx only. For risk info: bit.ly/37YcYIU. Clinical results may vary.
PenNeuro's tweet image. US HCPs: #RED72 delivers results in the hands of Dr. Kurt Reuland at @CHRISTUSTMF. #REDglideDifference #StrokeAwarenessMonth Rx only. For risk info: bit.ly/37YcYIU. Clinical results may vary.
PenNeuro's tweet image. US HCPs: #RED72 delivers results in the hands of Dr. Kurt Reuland at @CHRISTUSTMF. #REDglideDifference #StrokeAwarenessMonth Rx only. For risk info: bit.ly/37YcYIU. Clinical results may vary.

Thank you, Dr. Kellner, for sharing the #RED subset analysis from our INSIGHT registry! #REDglideDifference @SNISInfo

PenNeuro's tweet image. Thank you, Dr. Kellner, for sharing the #RED subset analysis from our INSIGHT registry! #REDglideDifference @SNISInfo
PenNeuro's tweet image. Thank you, Dr. Kellner, for sharing the #RED subset analysis from our INSIGHT registry! #REDglideDifference @SNISInfo

OUS HCPs: #RED72 case by @PraveshRaj75 out of Annapurna Neurological Institute & Allied Sciences, Nepal: Single Pass, 35 mins to revascularization! #REDglideDifference Rx only. For risk info: bit.ly/37YcYIU Clinical result may vary.

PenNeuro's tweet image. OUS HCPs: #RED72 case by @PraveshRaj75 out of Annapurna Neurological Institute & Allied Sciences, Nepal: Single Pass, 35 mins to revascularization! #REDglideDifference Rx only. For risk info: bit.ly/37YcYIU Clinical result may vary.
PenNeuro's tweet image. OUS HCPs: #RED72 case by @PraveshRaj75 out of Annapurna Neurological Institute & Allied Sciences, Nepal: Single Pass, 35 mins to revascularization! #REDglideDifference Rx only. For risk info: bit.ly/37YcYIU Clinical result may vary.

US HCPs: @AdiIyerMD gets single-pass TICI 3 with #RED62 in this case out of Providence Holy Cross Medical Center. #REDglideDifference Rx only. For risk info: bit.ly/37YcYIU Clinical results may vary.

PenNeuro's tweet image. US HCPs: @AdiIyerMD gets single-pass TICI 3 with #RED62 in this case out of Providence Holy Cross Medical Center. #REDglideDifference Rx only. For risk info: bit.ly/37YcYIU Clinical results may vary.
PenNeuro's tweet image. US HCPs: @AdiIyerMD gets single-pass TICI 3 with #RED62 in this case out of Providence Holy Cross Medical Center. #REDglideDifference Rx only. For risk info: bit.ly/37YcYIU Clinical results may vary.
PenNeuro's tweet image. US HCPs: @AdiIyerMD gets single-pass TICI 3 with #RED62 in this case out of Providence Holy Cross Medical Center. #REDglideDifference Rx only. For risk info: bit.ly/37YcYIU Clinical results may vary.

US HCPs: #RED72 case by Dr. Nirav Vora out of Riverside Methodist Hospital, Ohio. #REDGlideDifference. Rx only. For risk info: bit.ly/37YcYIU. Clinical results may vary.

PenNeuro's tweet image. US HCPs: #RED72 case by Dr. Nirav Vora out of Riverside Methodist Hospital, Ohio. #REDGlideDifference. Rx only. For risk info: bit.ly/37YcYIU. Clinical results may vary.
PenNeuro's tweet image. US HCPs: #RED72 case by Dr. Nirav Vora out of Riverside Methodist Hospital, Ohio. #REDGlideDifference. Rx only. For risk info: bit.ly/37YcYIU. Clinical results may vary.

US HCPs: #RED72 case by Dr. Mohamed Teleb (@StrokeVAN) out of Banner Desert Medical Center #REDglideDifference #StrokeAwarenessMonth Rx only. For risk info: bit.ly/37YcYIU. Clinical results may vary.

PenNeuro's tweet image. US HCPs: #RED72 case by Dr. Mohamed Teleb (@StrokeVAN) out of Banner Desert Medical Center #REDglideDifference #StrokeAwarenessMonth Rx only. For risk info: bit.ly/37YcYIU. Clinical results may vary.
PenNeuro's tweet image. US HCPs: #RED72 case by Dr. Mohamed Teleb (@StrokeVAN) out of Banner Desert Medical Center #REDglideDifference #StrokeAwarenessMonth Rx only. For risk info: bit.ly/37YcYIU. Clinical results may vary.

US HCPs: Dr. Mohamed Teleb (@StrokeVAN) used #RED62 for revascularization in this case out of Banner Desert Medical Center. #REDglideDifference #StrokeAwarenessMonth Rx only. For risk info: bit.ly/37YcYIU. Clinical results may vary.

PenNeuro's tweet image. US HCPs: Dr. Mohamed Teleb (@StrokeVAN) used #RED62 for revascularization in this case out of Banner Desert Medical Center. #REDglideDifference #StrokeAwarenessMonth Rx only. For risk info: bit.ly/37YcYIU. Clinical results may vary.
PenNeuro's tweet image. US HCPs: Dr. Mohamed Teleb (@StrokeVAN) used #RED62 for revascularization in this case out of Banner Desert Medical Center. #REDglideDifference #StrokeAwarenessMonth Rx only. For risk info: bit.ly/37YcYIU. Clinical results may vary.
PenNeuro's tweet image. US HCPs: Dr. Mohamed Teleb (@StrokeVAN) used #RED62 for revascularization in this case out of Banner Desert Medical Center. #REDglideDifference #StrokeAwarenessMonth Rx only. For risk info: bit.ly/37YcYIU. Clinical results may vary.

US HCPs: #RED62 used in #PosteriorOcclusion case by Dr. Miguel L. Litao out of @SaintClares. #REDGlideDifference Rx only. For risk info: bit.ly/37YcYIU. Clinical results may vary.

PenNeuro's tweet image. US HCPs: #RED62 used in #PosteriorOcclusion case by Dr. Miguel L. Litao out of @SaintClares. #REDGlideDifference Rx only. For risk info: bit.ly/37YcYIU. Clinical results may vary.
PenNeuro's tweet image. US HCPs: #RED62 used in #PosteriorOcclusion case by Dr. Miguel L. Litao out of @SaintClares. #REDGlideDifference Rx only. For risk info: bit.ly/37YcYIU. Clinical results may vary.

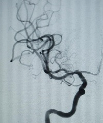
US HCPs: Dr. Allison Strickland from the University of Mississippi Medical Center uses #RED68 to achieve recanalization. #REDGlideDifference Rx only. For risk info: bit.ly/37YcYIU. Clinical results may vary.

PenNeuro's tweet image. US HCPs: Dr. Allison Strickland from the University of Mississippi Medical Center uses #RED68 to achieve recanalization. #REDGlideDifference Rx only. For risk info: bit.ly/37YcYIU. Clinical results may vary.
PenNeuro's tweet image. US HCPs: Dr. Allison Strickland from the University of Mississippi Medical Center uses #RED68 to achieve recanalization. #REDGlideDifference Rx only. For risk info: bit.ly/37YcYIU. Clinical results may vary.

US HCPs: #RED72 delivers results in the hands of Dr. Tarpley at the Providence Little Company of Mary Medical Center in Torrance, CA. #REDglideDifference #StrokeAwarenessMonth Rx only. For risk info: bit.ly/37YcYIU Clinical results may vary.

PenNeuro's tweet image. US HCPs: #RED72 delivers results in the hands of Dr. Tarpley at the Providence Little Company
of Mary Medical Center in Torrance, CA. #REDglideDifference #StrokeAwarenessMonth Rx only. For risk
info: bit.ly/37YcYIU Clinical results may vary.
PenNeuro's tweet image. US HCPs: #RED72 delivers results in the hands of Dr. Tarpley at the Providence Little Company
of Mary Medical Center in Torrance, CA. #REDglideDifference #StrokeAwarenessMonth Rx only. For risk
info: bit.ly/37YcYIU Clinical results may vary.
PenNeuro's tweet image. US HCPs: #RED72 delivers results in the hands of Dr. Tarpley at the Providence Little Company
of Mary Medical Center in Torrance, CA. #REDglideDifference #StrokeAwarenessMonth Rx only. For risk
info: bit.ly/37YcYIU Clinical results may vary.

US HCPs: #RED62 case by Dr. Stephen Grupke out of Covenant Medical Center in Lubbock, TX. #REDglideDifference Rx only. For risk info: bit.ly/37YcYIU Clinical results may vary.

PenNeuro's tweet image. US HCPs: #RED62 case by Dr. Stephen Grupke out of Covenant Medical Center in Lubbock, TX. #REDglideDifference Rx only. For risk info: bit.ly/37YcYIU Clinical results may vary.

Loading...

Something went wrong.


Something went wrong.