#scaipad search results

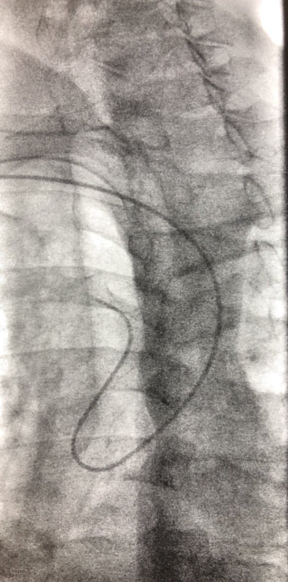
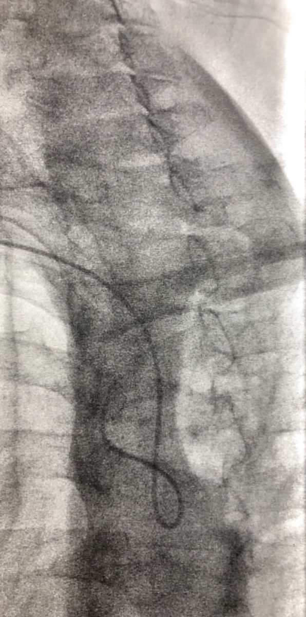
7.4 cm AAA w/ bilateral CIA aneurysms successfully treated with EVAR and bilateral iliac branch devices w/ coil embolization of the anterior branch of the R IIA. Even the daily disruption related to COVID can’t diminish the satisfaction of a case coming together #SCAIPAD #TCAVI

matheenkhuddus's tweet image. 7.4 cm AAA w/ bilateral CIA aneurysms successfully treated with EVAR and bilateral iliac branch devices w/ coil embolization of the anterior branch of the R IIA. Even the daily disruption related to COVID can’t diminish the satisfaction of a case coming together #SCAIPAD #TCAVI
matheenkhuddus's tweet image. 7.4 cm AAA w/ bilateral CIA aneurysms successfully treated with EVAR and bilateral iliac branch devices w/ coil embolization of the anterior branch of the R IIA. Even the daily disruption related to COVID can’t diminish the satisfaction of a case coming together #SCAIPAD #TCAVI
matheenkhuddus's tweet image. 7.4 cm AAA w/ bilateral CIA aneurysms successfully treated with EVAR and bilateral iliac branch devices w/ coil embolization of the anterior branch of the R IIA. Even the daily disruption related to COVID can’t diminish the satisfaction of a case coming together #SCAIPAD #TCAVI

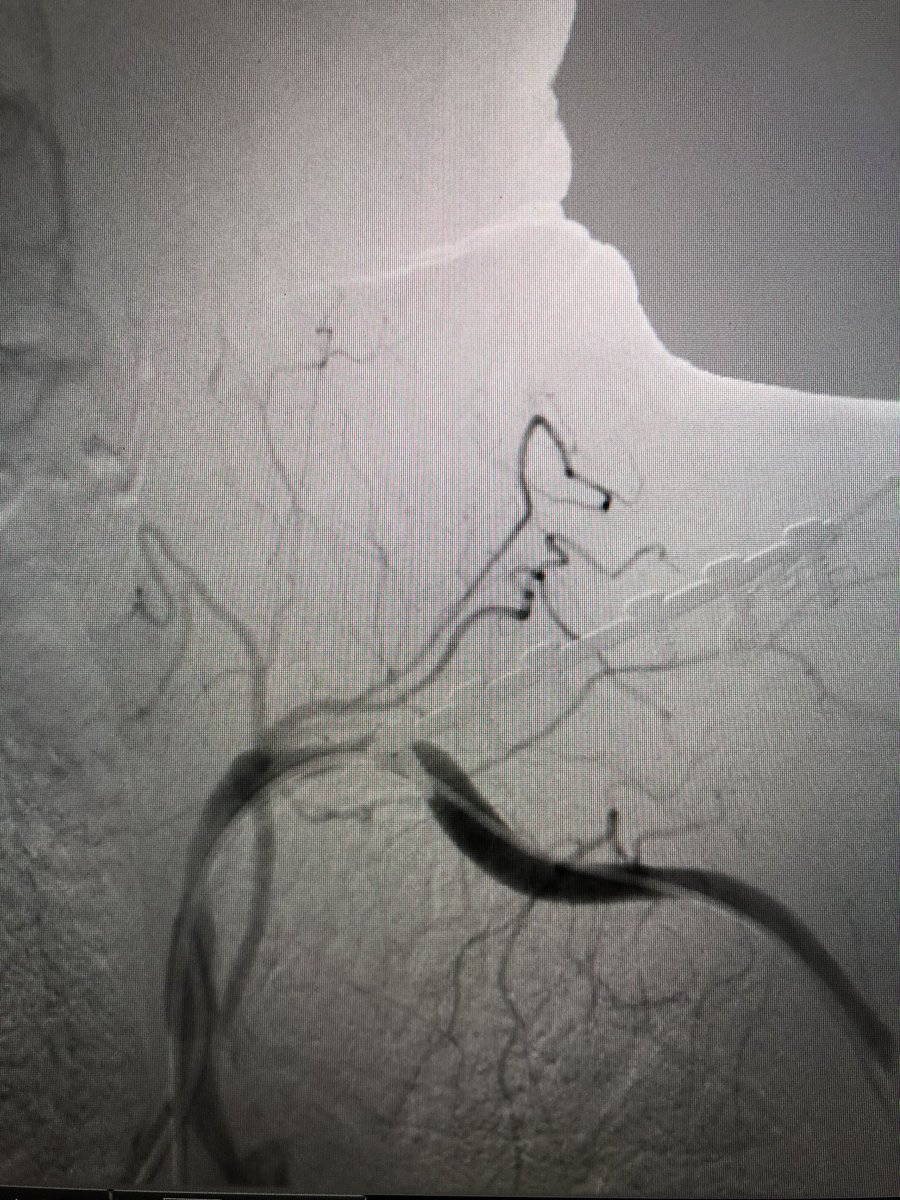
Been #RadialFirst for all carotid angiography and many CAS cases for sometime now....was only a matter of time until the lusoria was going to show up! #SCAIPAD

matheenkhuddus's tweet image. Been #RadialFirst for all carotid angiography and many CAS cases for sometime now....was only a matter of time until the lusoria was going to show up! #SCAIPAD
matheenkhuddus's tweet image. Been #RadialFirst for all carotid angiography and many CAS cases for sometime now....was only a matter of time until the lusoria was going to show up! #SCAIPAD
matheenkhuddus's tweet image. Been #RadialFirst for all carotid angiography and many CAS cases for sometime now....was only a matter of time until the lusoria was going to show up! #SCAIPAD
matheenkhuddus's tweet image. Been #RadialFirst for all carotid angiography and many CAS cases for sometime now....was only a matter of time until the lusoria was going to show up! #SCAIPAD

Interesting angiogram from today. How many notable findings do you see? #ACCFIT #SCAIPAD

matheenkhuddus's tweet image. Interesting angiogram from today. How many notable findings do you see?  #ACCFIT #SCAIPAD

56 y/o WM with symptomatic R CCA/ICA disease, previous CEA. Carotid artery stenting planned via #RadialFirst approach but converted to ulnar based on vessel size by ultrasound #SCAIPAD

matheenkhuddus's tweet image. 56 y/o WM with symptomatic R CCA/ICA disease, previous CEA. Carotid artery stenting planned via #RadialFirst approach but converted to ulnar based on vessel size by ultrasound #SCAIPAD
matheenkhuddus's tweet image. 56 y/o WM with symptomatic R CCA/ICA disease, previous CEA. Carotid artery stenting planned via #RadialFirst approach but converted to ulnar based on vessel size by ultrasound #SCAIPAD
matheenkhuddus's tweet image. 56 y/o WM with symptomatic R CCA/ICA disease, previous CEA. Carotid artery stenting planned via #RadialFirst approach but converted to ulnar based on vessel size by ultrasound #SCAIPAD

Understanding the pedal arch course crucial to successful arch intervention and for retrograde treatment of tibial disease. Rotation from ipsilateral cranial view to the contralateral oblique view shown here #SCAIPAD #CLI @FadiSaab17 @SOBE_Vascular @shishem @DrAmirKaki @DanHan


Collaborative approach to treat #CLI patient. VS referral to treat distal AT and TPT after fem-pop bypass. TAMI/dual pedal access for retrograde crossing of previous crushed TPT stent, to protect graft flow into AT & treat distal AT. Merit Ideal (slender) sheaths 3Fr OD #SCAIPAD

matheenkhuddus's tweet image. Collaborative approach to treat #CLI patient. VS referral to treat distal AT and TPT after fem-pop bypass. TAMI/dual pedal access for retrograde crossing of previous crushed TPT stent, to protect graft flow into AT & treat distal AT. Merit Ideal (slender) sheaths 3Fr OD #SCAIPAD
matheenkhuddus's tweet image. Collaborative approach to treat #CLI patient. VS referral to treat distal AT and TPT after fem-pop bypass. TAMI/dual pedal access for retrograde crossing of previous crushed TPT stent, to protect graft flow into AT & treat distal AT. Merit Ideal (slender) sheaths 3Fr OD #SCAIPAD
matheenkhuddus's tweet image. Collaborative approach to treat #CLI patient. VS referral to treat distal AT and TPT after fem-pop bypass. TAMI/dual pedal access for retrograde crossing of previous crushed TPT stent, to protect graft flow into AT & treat distal AT. Merit Ideal (slender) sheaths 3Fr OD #SCAIPAD
matheenkhuddus's tweet image. Collaborative approach to treat #CLI patient. VS referral to treat distal AT and TPT after fem-pop bypass. TAMI/dual pedal access for retrograde crossing of previous crushed TPT stent, to protect graft flow into AT & treat distal AT. Merit Ideal (slender) sheaths 3Fr OD #SCAIPAD

Vessel size and extent of calcium in tibial arteries frequently misjudged. #OCT of the left PTA reveals extensive medial calcification and MLD by EEL 3.5-4.0mm. Treated w/ OA and PTA w/ 4mm balloon for wound healing w/ good result #imagefirst #SCAIPAD

matheenkhuddus's tweet image. Vessel size and extent of calcium in tibial arteries frequently misjudged. #OCT of the left PTA reveals extensive medial calcification and MLD by EEL 3.5-4.0mm. Treated w/ OA and PTA w/ 4mm balloon for wound healing w/ good result #imagefirst #SCAIPAD
matheenkhuddus's tweet image. Vessel size and extent of calcium in tibial arteries frequently misjudged. #OCT of the left PTA reveals extensive medial calcification and MLD by EEL 3.5-4.0mm. Treated w/ OA and PTA w/ 4mm balloon for wound healing w/ good result #imagefirst #SCAIPAD
matheenkhuddus's tweet image. Vessel size and extent of calcium in tibial arteries frequently misjudged. #OCT of the left PTA reveals extensive medial calcification and MLD by EEL 3.5-4.0mm. Treated w/ OA and PTA w/ 4mm balloon for wound healing w/ good result #imagefirst #SCAIPAD
matheenkhuddus's tweet image. Vessel size and extent of calcium in tibial arteries frequently misjudged. #OCT of the left PTA reveals extensive medial calcification and MLD by EEL 3.5-4.0mm. Treated w/ OA and PTA w/ 4mm balloon for wound healing w/ good result #imagefirst #SCAIPAD

Great case last week to close out enrollment in FAST II evaluating the Freedom Flow orbital atherectomy device (currently limited to investigational use, not in commercial distribution). Excellent result with OA and PTA alone. Look forward to the trial results! #SCAIPAD @TCAVIRF

matheenkhuddus's tweet image. Great case last week to close out enrollment in FAST II evaluating the Freedom Flow orbital atherectomy device (currently limited to investigational use, not in commercial distribution). Excellent result with OA and PTA alone. Look forward to the trial results! #SCAIPAD @TCAVIRF
matheenkhuddus's tweet image. Great case last week to close out enrollment in FAST II evaluating the Freedom Flow orbital atherectomy device (currently limited to investigational use, not in commercial distribution). Excellent result with OA and PTA alone. Look forward to the trial results! #SCAIPAD @TCAVIRF
matheenkhuddus's tweet image. Great case last week to close out enrollment in FAST II evaluating the Freedom Flow orbital atherectomy device (currently limited to investigational use, not in commercial distribution). Excellent result with OA and PTA alone. Look forward to the trial results! #SCAIPAD @TCAVIRF

Hard to fully appreciate on still image. Selective angiography images included -R CCA stenosis and R ICA occlusion -aberrant R SCA (Arteria Lusoria) occluded after the R vertebral origin - moderate L SCA disease with L vertebral occlusion #SCAIPAD #ACCFIT #RadialFirst

matheenkhuddus's tweet image. Hard to fully appreciate on still image. Selective angiography images  included
-R CCA stenosis and R ICA occlusion
-aberrant R SCA (Arteria Lusoria) occluded after the R vertebral origin
- moderate L SCA disease with L vertebral occlusion 

#SCAIPAD #ACCFIT #RadialFirst
matheenkhuddus's tweet image. Hard to fully appreciate on still image. Selective angiography images  included
-R CCA stenosis and R ICA occlusion
-aberrant R SCA (Arteria Lusoria) occluded after the R vertebral origin
- moderate L SCA disease with L vertebral occlusion 

#SCAIPAD #ACCFIT #RadialFirst
matheenkhuddus's tweet image. Hard to fully appreciate on still image. Selective angiography images  included
-R CCA stenosis and R ICA occlusion
-aberrant R SCA (Arteria Lusoria) occluded after the R vertebral origin
- moderate L SCA disease with L vertebral occlusion 

#SCAIPAD #ACCFIT #RadialFirst

Late case before time off for the 4th! Open toe wound w/ osteo. Antegrade crossing of occluded peroneal. Tibial access to cross long segment ATA occlusion after failed antegrade attempt. Initial access too close to distal cap so moved distal #CLI #SCAIPAD #wifeissounderstanding

matheenkhuddus's tweet image. Late case before time off for the 4th! Open toe wound w/ osteo. Antegrade crossing of occluded peroneal. Tibial access to cross long segment ATA occlusion after failed antegrade attempt. Initial access too close to distal cap so moved distal #CLI #SCAIPAD #wifeissounderstanding
matheenkhuddus's tweet image. Late case before time off for the 4th! Open toe wound w/ osteo. Antegrade crossing of occluded peroneal. Tibial access to cross long segment ATA occlusion after failed antegrade attempt. Initial access too close to distal cap so moved distal #CLI #SCAIPAD #wifeissounderstanding
matheenkhuddus's tweet image. Late case before time off for the 4th! Open toe wound w/ osteo. Antegrade crossing of occluded peroneal. Tibial access to cross long segment ATA occlusion after failed antegrade attempt. Initial access too close to distal cap so moved distal #CLI #SCAIPAD #wifeissounderstanding
matheenkhuddus's tweet image. Late case before time off for the 4th! Open toe wound w/ osteo. Antegrade crossing of occluded peroneal. Tibial access to cross long segment ATA occlusion after failed antegrade attempt. Initial access too close to distal cap so moved distal #CLI #SCAIPAD #wifeissounderstanding

The Society for Cardiovascular Angiography and Interventions has issued a statement regarding recent meta-analysis suggesting a late mortality signal in patients with PAD treated with paclitaxel-based balloons and stents: ow.ly/si1C30nstTi



Great case last week to close out enrollment in FAST II evaluating the Freedom Flow orbital atherectomy device (currently limited to investigational use, not in commercial distribution). Excellent result with OA and PTA alone. Look forward to the trial results! #SCAIPAD @TCAVIRF

matheenkhuddus's tweet image. Great case last week to close out enrollment in FAST II evaluating the Freedom Flow orbital atherectomy device (currently limited to investigational use, not in commercial distribution). Excellent result with OA and PTA alone. Look forward to the trial results! #SCAIPAD @TCAVIRF
matheenkhuddus's tweet image. Great case last week to close out enrollment in FAST II evaluating the Freedom Flow orbital atherectomy device (currently limited to investigational use, not in commercial distribution). Excellent result with OA and PTA alone. Look forward to the trial results! #SCAIPAD @TCAVIRF
matheenkhuddus's tweet image. Great case last week to close out enrollment in FAST II evaluating the Freedom Flow orbital atherectomy device (currently limited to investigational use, not in commercial distribution). Excellent result with OA and PTA alone. Look forward to the trial results! #SCAIPAD @TCAVIRF

7.4 cm AAA w/ bilateral CIA aneurysms successfully treated with EVAR and bilateral iliac branch devices w/ coil embolization of the anterior branch of the R IIA. Even the daily disruption related to COVID can’t diminish the satisfaction of a case coming together #SCAIPAD #TCAVI

matheenkhuddus's tweet image. 7.4 cm AAA w/ bilateral CIA aneurysms successfully treated with EVAR and bilateral iliac branch devices w/ coil embolization of the anterior branch of the R IIA. Even the daily disruption related to COVID can’t diminish the satisfaction of a case coming together #SCAIPAD #TCAVI
matheenkhuddus's tweet image. 7.4 cm AAA w/ bilateral CIA aneurysms successfully treated with EVAR and bilateral iliac branch devices w/ coil embolization of the anterior branch of the R IIA. Even the daily disruption related to COVID can’t diminish the satisfaction of a case coming together #SCAIPAD #TCAVI
matheenkhuddus's tweet image. 7.4 cm AAA w/ bilateral CIA aneurysms successfully treated with EVAR and bilateral iliac branch devices w/ coil embolization of the anterior branch of the R IIA. Even the daily disruption related to COVID can’t diminish the satisfaction of a case coming together #SCAIPAD #TCAVI

Hard to fully appreciate on still image. Selective angiography images included -R CCA stenosis and R ICA occlusion -aberrant R SCA (Arteria Lusoria) occluded after the R vertebral origin - moderate L SCA disease with L vertebral occlusion #SCAIPAD #ACCFIT #RadialFirst

matheenkhuddus's tweet image. Hard to fully appreciate on still image. Selective angiography images  included
-R CCA stenosis and R ICA occlusion
-aberrant R SCA (Arteria Lusoria) occluded after the R vertebral origin
- moderate L SCA disease with L vertebral occlusion 

#SCAIPAD #ACCFIT #RadialFirst
matheenkhuddus's tweet image. Hard to fully appreciate on still image. Selective angiography images  included
-R CCA stenosis and R ICA occlusion
-aberrant R SCA (Arteria Lusoria) occluded after the R vertebral origin
- moderate L SCA disease with L vertebral occlusion 

#SCAIPAD #ACCFIT #RadialFirst
matheenkhuddus's tweet image. Hard to fully appreciate on still image. Selective angiography images  included
-R CCA stenosis and R ICA occlusion
-aberrant R SCA (Arteria Lusoria) occluded after the R vertebral origin
- moderate L SCA disease with L vertebral occlusion 

#SCAIPAD #ACCFIT #RadialFirst

Interesting angiogram from today. How many notable findings do you see? #ACCFIT #SCAIPAD

matheenkhuddus's tweet image. Interesting angiogram from today. How many notable findings do you see?  #ACCFIT #SCAIPAD

Late case before time off for the 4th! Open toe wound w/ osteo. Antegrade crossing of occluded peroneal. Tibial access to cross long segment ATA occlusion after failed antegrade attempt. Initial access too close to distal cap so moved distal #CLI #SCAIPAD #wifeissounderstanding

matheenkhuddus's tweet image. Late case before time off for the 4th! Open toe wound w/ osteo. Antegrade crossing of occluded peroneal. Tibial access to cross long segment ATA occlusion after failed antegrade attempt. Initial access too close to distal cap so moved distal #CLI #SCAIPAD #wifeissounderstanding
matheenkhuddus's tweet image. Late case before time off for the 4th! Open toe wound w/ osteo. Antegrade crossing of occluded peroneal. Tibial access to cross long segment ATA occlusion after failed antegrade attempt. Initial access too close to distal cap so moved distal #CLI #SCAIPAD #wifeissounderstanding
matheenkhuddus's tweet image. Late case before time off for the 4th! Open toe wound w/ osteo. Antegrade crossing of occluded peroneal. Tibial access to cross long segment ATA occlusion after failed antegrade attempt. Initial access too close to distal cap so moved distal #CLI #SCAIPAD #wifeissounderstanding
matheenkhuddus's tweet image. Late case before time off for the 4th! Open toe wound w/ osteo. Antegrade crossing of occluded peroneal. Tibial access to cross long segment ATA occlusion after failed antegrade attempt. Initial access too close to distal cap so moved distal #CLI #SCAIPAD #wifeissounderstanding

Vessel size and extent of calcium in tibial arteries frequently misjudged. #OCT of the left PTA reveals extensive medial calcification and MLD by EEL 3.5-4.0mm. Treated w/ OA and PTA w/ 4mm balloon for wound healing w/ good result #imagefirst #SCAIPAD

matheenkhuddus's tweet image. Vessel size and extent of calcium in tibial arteries frequently misjudged. #OCT of the left PTA reveals extensive medial calcification and MLD by EEL 3.5-4.0mm. Treated w/ OA and PTA w/ 4mm balloon for wound healing w/ good result #imagefirst #SCAIPAD
matheenkhuddus's tweet image. Vessel size and extent of calcium in tibial arteries frequently misjudged. #OCT of the left PTA reveals extensive medial calcification and MLD by EEL 3.5-4.0mm. Treated w/ OA and PTA w/ 4mm balloon for wound healing w/ good result #imagefirst #SCAIPAD
matheenkhuddus's tweet image. Vessel size and extent of calcium in tibial arteries frequently misjudged. #OCT of the left PTA reveals extensive medial calcification and MLD by EEL 3.5-4.0mm. Treated w/ OA and PTA w/ 4mm balloon for wound healing w/ good result #imagefirst #SCAIPAD
matheenkhuddus's tweet image. Vessel size and extent of calcium in tibial arteries frequently misjudged. #OCT of the left PTA reveals extensive medial calcification and MLD by EEL 3.5-4.0mm. Treated w/ OA and PTA w/ 4mm balloon for wound healing w/ good result #imagefirst #SCAIPAD

The Society for Cardiovascular Angiography and Interventions has issued a statement regarding recent meta-analysis suggesting a late mortality signal in patients with PAD treated with paclitaxel-based balloons and stents: ow.ly/si1C30nstTi



Collaborative approach to treat #CLI patient. VS referral to treat distal AT and TPT after fem-pop bypass. TAMI/dual pedal access for retrograde crossing of previous crushed TPT stent, to protect graft flow into AT & treat distal AT. Merit Ideal (slender) sheaths 3Fr OD #SCAIPAD

matheenkhuddus's tweet image. Collaborative approach to treat #CLI patient. VS referral to treat distal AT and TPT after fem-pop bypass. TAMI/dual pedal access for retrograde crossing of previous crushed TPT stent, to protect graft flow into AT & treat distal AT. Merit Ideal (slender) sheaths 3Fr OD #SCAIPAD
matheenkhuddus's tweet image. Collaborative approach to treat #CLI patient. VS referral to treat distal AT and TPT after fem-pop bypass. TAMI/dual pedal access for retrograde crossing of previous crushed TPT stent, to protect graft flow into AT & treat distal AT. Merit Ideal (slender) sheaths 3Fr OD #SCAIPAD
matheenkhuddus's tweet image. Collaborative approach to treat #CLI patient. VS referral to treat distal AT and TPT after fem-pop bypass. TAMI/dual pedal access for retrograde crossing of previous crushed TPT stent, to protect graft flow into AT & treat distal AT. Merit Ideal (slender) sheaths 3Fr OD #SCAIPAD
matheenkhuddus's tweet image. Collaborative approach to treat #CLI patient. VS referral to treat distal AT and TPT after fem-pop bypass. TAMI/dual pedal access for retrograde crossing of previous crushed TPT stent, to protect graft flow into AT & treat distal AT. Merit Ideal (slender) sheaths 3Fr OD #SCAIPAD

Been #RadialFirst for all carotid angiography and many CAS cases for sometime now....was only a matter of time until the lusoria was going to show up! #SCAIPAD

matheenkhuddus's tweet image. Been #RadialFirst for all carotid angiography and many CAS cases for sometime now....was only a matter of time until the lusoria was going to show up! #SCAIPAD
matheenkhuddus's tweet image. Been #RadialFirst for all carotid angiography and many CAS cases for sometime now....was only a matter of time until the lusoria was going to show up! #SCAIPAD
matheenkhuddus's tweet image. Been #RadialFirst for all carotid angiography and many CAS cases for sometime now....was only a matter of time until the lusoria was going to show up! #SCAIPAD
matheenkhuddus's tweet image. Been #RadialFirst for all carotid angiography and many CAS cases for sometime now....was only a matter of time until the lusoria was going to show up! #SCAIPAD

56 y/o WM with symptomatic R CCA/ICA disease, previous CEA. Carotid artery stenting planned via #RadialFirst approach but converted to ulnar based on vessel size by ultrasound #SCAIPAD

matheenkhuddus's tweet image. 56 y/o WM with symptomatic R CCA/ICA disease, previous CEA. Carotid artery stenting planned via #RadialFirst approach but converted to ulnar based on vessel size by ultrasound #SCAIPAD
matheenkhuddus's tweet image. 56 y/o WM with symptomatic R CCA/ICA disease, previous CEA. Carotid artery stenting planned via #RadialFirst approach but converted to ulnar based on vessel size by ultrasound #SCAIPAD
matheenkhuddus's tweet image. 56 y/o WM with symptomatic R CCA/ICA disease, previous CEA. Carotid artery stenting planned via #RadialFirst approach but converted to ulnar based on vessel size by ultrasound #SCAIPAD

Understanding the pedal arch course crucial to successful arch intervention and for retrograde treatment of tibial disease. Rotation from ipsilateral cranial view to the contralateral oblique view shown here #SCAIPAD #CLI @FadiSaab17 @SOBE_Vascular @shishem @DrAmirKaki @DanHan


No results for "#scaipad"

56 y/o WM with symptomatic R CCA/ICA disease, previous CEA. Carotid artery stenting planned via #RadialFirst approach but converted to ulnar based on vessel size by ultrasound #SCAIPAD

matheenkhuddus's tweet image. 56 y/o WM with symptomatic R CCA/ICA disease, previous CEA. Carotid artery stenting planned via #RadialFirst approach but converted to ulnar based on vessel size by ultrasound #SCAIPAD
matheenkhuddus's tweet image. 56 y/o WM with symptomatic R CCA/ICA disease, previous CEA. Carotid artery stenting planned via #RadialFirst approach but converted to ulnar based on vessel size by ultrasound #SCAIPAD
matheenkhuddus's tweet image. 56 y/o WM with symptomatic R CCA/ICA disease, previous CEA. Carotid artery stenting planned via #RadialFirst approach but converted to ulnar based on vessel size by ultrasound #SCAIPAD

Hard to fully appreciate on still image. Selective angiography images included -R CCA stenosis and R ICA occlusion -aberrant R SCA (Arteria Lusoria) occluded after the R vertebral origin - moderate L SCA disease with L vertebral occlusion #SCAIPAD #ACCFIT #RadialFirst

matheenkhuddus's tweet image. Hard to fully appreciate on still image. Selective angiography images  included
-R CCA stenosis and R ICA occlusion
-aberrant R SCA (Arteria Lusoria) occluded after the R vertebral origin
- moderate L SCA disease with L vertebral occlusion 

#SCAIPAD #ACCFIT #RadialFirst
matheenkhuddus's tweet image. Hard to fully appreciate on still image. Selective angiography images  included
-R CCA stenosis and R ICA occlusion
-aberrant R SCA (Arteria Lusoria) occluded after the R vertebral origin
- moderate L SCA disease with L vertebral occlusion 

#SCAIPAD #ACCFIT #RadialFirst
matheenkhuddus's tweet image. Hard to fully appreciate on still image. Selective angiography images  included
-R CCA stenosis and R ICA occlusion
-aberrant R SCA (Arteria Lusoria) occluded after the R vertebral origin
- moderate L SCA disease with L vertebral occlusion 

#SCAIPAD #ACCFIT #RadialFirst

Vessel size and extent of calcium in tibial arteries frequently misjudged. #OCT of the left PTA reveals extensive medial calcification and MLD by EEL 3.5-4.0mm. Treated w/ OA and PTA w/ 4mm balloon for wound healing w/ good result #imagefirst #SCAIPAD

matheenkhuddus's tweet image. Vessel size and extent of calcium in tibial arteries frequently misjudged. #OCT of the left PTA reveals extensive medial calcification and MLD by EEL 3.5-4.0mm. Treated w/ OA and PTA w/ 4mm balloon for wound healing w/ good result #imagefirst #SCAIPAD
matheenkhuddus's tweet image. Vessel size and extent of calcium in tibial arteries frequently misjudged. #OCT of the left PTA reveals extensive medial calcification and MLD by EEL 3.5-4.0mm. Treated w/ OA and PTA w/ 4mm balloon for wound healing w/ good result #imagefirst #SCAIPAD
matheenkhuddus's tweet image. Vessel size and extent of calcium in tibial arteries frequently misjudged. #OCT of the left PTA reveals extensive medial calcification and MLD by EEL 3.5-4.0mm. Treated w/ OA and PTA w/ 4mm balloon for wound healing w/ good result #imagefirst #SCAIPAD
matheenkhuddus's tweet image. Vessel size and extent of calcium in tibial arteries frequently misjudged. #OCT of the left PTA reveals extensive medial calcification and MLD by EEL 3.5-4.0mm. Treated w/ OA and PTA w/ 4mm balloon for wound healing w/ good result #imagefirst #SCAIPAD

Late case before time off for the 4th! Open toe wound w/ osteo. Antegrade crossing of occluded peroneal. Tibial access to cross long segment ATA occlusion after failed antegrade attempt. Initial access too close to distal cap so moved distal #CLI #SCAIPAD #wifeissounderstanding

matheenkhuddus's tweet image. Late case before time off for the 4th! Open toe wound w/ osteo. Antegrade crossing of occluded peroneal. Tibial access to cross long segment ATA occlusion after failed antegrade attempt. Initial access too close to distal cap so moved distal #CLI #SCAIPAD #wifeissounderstanding
matheenkhuddus's tweet image. Late case before time off for the 4th! Open toe wound w/ osteo. Antegrade crossing of occluded peroneal. Tibial access to cross long segment ATA occlusion after failed antegrade attempt. Initial access too close to distal cap so moved distal #CLI #SCAIPAD #wifeissounderstanding
matheenkhuddus's tweet image. Late case before time off for the 4th! Open toe wound w/ osteo. Antegrade crossing of occluded peroneal. Tibial access to cross long segment ATA occlusion after failed antegrade attempt. Initial access too close to distal cap so moved distal #CLI #SCAIPAD #wifeissounderstanding
matheenkhuddus's tweet image. Late case before time off for the 4th! Open toe wound w/ osteo. Antegrade crossing of occluded peroneal. Tibial access to cross long segment ATA occlusion after failed antegrade attempt. Initial access too close to distal cap so moved distal #CLI #SCAIPAD #wifeissounderstanding

Collaborative approach to treat #CLI patient. VS referral to treat distal AT and TPT after fem-pop bypass. TAMI/dual pedal access for retrograde crossing of previous crushed TPT stent, to protect graft flow into AT & treat distal AT. Merit Ideal (slender) sheaths 3Fr OD #SCAIPAD

matheenkhuddus's tweet image. Collaborative approach to treat #CLI patient. VS referral to treat distal AT and TPT after fem-pop bypass. TAMI/dual pedal access for retrograde crossing of previous crushed TPT stent, to protect graft flow into AT & treat distal AT. Merit Ideal (slender) sheaths 3Fr OD #SCAIPAD
matheenkhuddus's tweet image. Collaborative approach to treat #CLI patient. VS referral to treat distal AT and TPT after fem-pop bypass. TAMI/dual pedal access for retrograde crossing of previous crushed TPT stent, to protect graft flow into AT & treat distal AT. Merit Ideal (slender) sheaths 3Fr OD #SCAIPAD
matheenkhuddus's tweet image. Collaborative approach to treat #CLI patient. VS referral to treat distal AT and TPT after fem-pop bypass. TAMI/dual pedal access for retrograde crossing of previous crushed TPT stent, to protect graft flow into AT & treat distal AT. Merit Ideal (slender) sheaths 3Fr OD #SCAIPAD
matheenkhuddus's tweet image. Collaborative approach to treat #CLI patient. VS referral to treat distal AT and TPT after fem-pop bypass. TAMI/dual pedal access for retrograde crossing of previous crushed TPT stent, to protect graft flow into AT & treat distal AT. Merit Ideal (slender) sheaths 3Fr OD #SCAIPAD

Been #RadialFirst for all carotid angiography and many CAS cases for sometime now....was only a matter of time until the lusoria was going to show up! #SCAIPAD

matheenkhuddus's tweet image. Been #RadialFirst for all carotid angiography and many CAS cases for sometime now....was only a matter of time until the lusoria was going to show up! #SCAIPAD
matheenkhuddus's tweet image. Been #RadialFirst for all carotid angiography and many CAS cases for sometime now....was only a matter of time until the lusoria was going to show up! #SCAIPAD
matheenkhuddus's tweet image. Been #RadialFirst for all carotid angiography and many CAS cases for sometime now....was only a matter of time until the lusoria was going to show up! #SCAIPAD
matheenkhuddus's tweet image. Been #RadialFirst for all carotid angiography and many CAS cases for sometime now....was only a matter of time until the lusoria was going to show up! #SCAIPAD

Great case last week to close out enrollment in FAST II evaluating the Freedom Flow orbital atherectomy device (currently limited to investigational use, not in commercial distribution). Excellent result with OA and PTA alone. Look forward to the trial results! #SCAIPAD @TCAVIRF

matheenkhuddus's tweet image. Great case last week to close out enrollment in FAST II evaluating the Freedom Flow orbital atherectomy device (currently limited to investigational use, not in commercial distribution). Excellent result with OA and PTA alone. Look forward to the trial results! #SCAIPAD @TCAVIRF
matheenkhuddus's tweet image. Great case last week to close out enrollment in FAST II evaluating the Freedom Flow orbital atherectomy device (currently limited to investigational use, not in commercial distribution). Excellent result with OA and PTA alone. Look forward to the trial results! #SCAIPAD @TCAVIRF
matheenkhuddus's tweet image. Great case last week to close out enrollment in FAST II evaluating the Freedom Flow orbital atherectomy device (currently limited to investigational use, not in commercial distribution). Excellent result with OA and PTA alone. Look forward to the trial results! #SCAIPAD @TCAVIRF

7.4 cm AAA w/ bilateral CIA aneurysms successfully treated with EVAR and bilateral iliac branch devices w/ coil embolization of the anterior branch of the R IIA. Even the daily disruption related to COVID can’t diminish the satisfaction of a case coming together #SCAIPAD #TCAVI

matheenkhuddus's tweet image. 7.4 cm AAA w/ bilateral CIA aneurysms successfully treated with EVAR and bilateral iliac branch devices w/ coil embolization of the anterior branch of the R IIA. Even the daily disruption related to COVID can’t diminish the satisfaction of a case coming together #SCAIPAD #TCAVI
matheenkhuddus's tweet image. 7.4 cm AAA w/ bilateral CIA aneurysms successfully treated with EVAR and bilateral iliac branch devices w/ coil embolization of the anterior branch of the R IIA. Even the daily disruption related to COVID can’t diminish the satisfaction of a case coming together #SCAIPAD #TCAVI
matheenkhuddus's tweet image. 7.4 cm AAA w/ bilateral CIA aneurysms successfully treated with EVAR and bilateral iliac branch devices w/ coil embolization of the anterior branch of the R IIA. Even the daily disruption related to COVID can’t diminish the satisfaction of a case coming together #SCAIPAD #TCAVI

Interesting angiogram from today. How many notable findings do you see? #ACCFIT #SCAIPAD

matheenkhuddus's tweet image. Interesting angiogram from today. How many notable findings do you see?  #ACCFIT #SCAIPAD

Loading...

Something went wrong.


Something went wrong.