#splenectomy arama sonuçları

Patient registry cuts rates of post-splenectomy complications, but more research is needed. | #patientregistry #spleen #splenectomy @ITPSupportAssoc | contagionlive.com/link/820

Contagion_Live's tweet image. Patient registry cuts rates of post-splenectomy complications, but more research is needed. | #patientregistry #spleen #splenectomy @ITPSupportAssoc |

contagionlive.com/link/820

ow.ly/qMPS50wx6mS Diagnostic value of post-operative platelet-to-white blood cell ratio after #splenectomy in patients with advanced #OvarianCancer #GynOnc #Surgery @ESGO_society @IGCSociety @GynMe4


Dr Amber Yates notes that it’s important to discuss #splenectomy as a treatment for enlarged spleen or severe #anemia in PKD: “It’s not for every patient. We’ve learned through the years that just removing your spleen is not that simple...that there is an infection risk...”

PKdeficiency's tweet image. Dr Amber Yates notes that it’s important to discuss #splenectomy as a treatment for enlarged spleen or severe #anemia in PKD: “It’s not for every patient. We’ve learned through the years that just removing your spleen is not that simple...that there is an infection risk...”

“Cholecystectomy” was the answer to our quiz yesterday. For people with #PKdeficiency, removing the gallbladder at the time of #splenectomy may help avoid a separate, additional surgery.

PKdeficiency's tweet image. “Cholecystectomy” was the answer to our quiz yesterday. For people with #PKdeficiency, removing the gallbladder at the time of #splenectomy may help avoid a separate, additional surgery.

A manuscript published in #JAVMA found that benign splenic lesions were uncommon in a cohort of cats. 🐈 Learn more: jav.ma/splenic @TheACVS @ACVIM @TheACVR #feline #splenectomy #mastcelltumor #hemangiosarcoma #hemoabdomen

AVMAJAVMA's tweet image. A manuscript published in #JAVMA found that benign splenic lesions were uncommon in a cohort of cats. 🐈 Learn more: jav.ma/splenic @TheACVS @ACVIM @TheACVR #feline #splenectomy #mastcelltumor #hemangiosarcoma #hemoabdomen

Perioperative ventricular arrhythmias (VAs) were common in dogs undergoing #splenectomy for splenic masses, and the odds of VAs were increased with #hemoperitoneum, increasing heart rate, and increasing body weight: jav.ma/va @theacvs @ugavetmed #mortality #canine🐶

AVMAJAVMA's tweet image. Perioperative ventricular arrhythmias (VAs) were common in dogs undergoing #splenectomy for splenic masses, and the odds of VAs were increased with #hemoperitoneum, increasing heart rate, and increasing body weight: jav.ma/va @theacvs @ugavetmed #mortality #canine🐶

#AudioVisualAbstract : Time Trend Analysis of #Splenectomy for Splenic Marginal Zone #Lymphoma : Declining Surgery, Promising Survival rdcu.be/dHMUo @SyedAAhmad5 @CamilleLStewart


228 Responses in 2022 - 204 responses in 2021 - At the Sylvester O Halloran #soh2022, #Splenectomy / #Thoracotomy / #Dualconsultantoperating The Sylvester Shouter, surgical community has spoken - @barb_julius @colettecowan1 @RCSI_Irl @ShouterSoh


An Australian study found patients were better informed & more empowered when they signed up for a national registry of spleen disease patients. #spleen #splenectomy @CllSociety contagionlive.com/link/820

Contagion_Live's tweet image. An Australian study found patients were better informed & more empowered when they signed up for a national registry of spleen disease patients. #spleen #splenectomy @CllSociety

contagionlive.com/link/820

Annie is recovering so well from her emergency #splenectomy and I’m soaking up all the love I can! 🥰 #beyondgrateful #14yearoldpuppy

AmyMacWeather's tweet image. Annie is recovering so well from her emergency #splenectomy and I’m soaking up all the love I can! 🥰 #beyondgrateful #14yearoldpuppy

#5goldrings Locate where you would have a #Splenectomy ? I’ve no idea - and I’m embarrassed to say I’ve had a Splenectomy 🥴 I swapped it for #Claudiawinklemans hair

busterknighty69's tweet image. #5goldrings 
Locate where you would have a #Splenectomy ?
I’ve no idea - and I’m embarrassed to say I’ve had a Splenectomy 🥴
I swapped it for #Claudiawinklemans hair

- بحمد الله و توفيقه تم استئصال طحال متضخم بنجاح لمريض مصاب بالثلاسيميا .. اللهم سخرنا لخدمة المرضى و اعف عنا حتى ترضى 🙏🏻 #Splenectomy for #Thalassemia patient. @ مستشفى النور التخصصي… instagram.com/p/BqKkb3UndnE/…


Are the current treatment guidelines for chronic immune thrombocytopenia cost-effective? Learn more: doi.org/10.1002/ajh.26… @GeorgeGoshuaMD @LaurenPischel #hematology #rituximab #splenectomy

YaleIMed's tweet image. Are the current treatment guidelines for chronic immune thrombocytopenia cost-effective? Learn more: doi.org/10.1002/ajh.26…

@GeorgeGoshuaMD @LaurenPischel
#hematology #rituximab #splenectomy

Did someone write down the plates of the car that run me over? —Umi, tuxedo cat. #splenectomy #cat

Neko_Manekito's tweet image. Did someone write down the plates of the car that run me over? —Umi, tuxedo cat. #splenectomy #cat

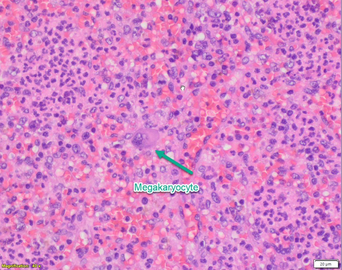
We rarely see #splenectomy specimens anymore but when we do.. it’s glorious. This #spleen from a pt with autoimmune hemolytic anemia read the textbooks!shows extramedullary hematopoiesis, increased neutrophils, red pulp congestion and hemophagocytosis. #hemepath at its best!!!

sanamloghavi's tweet image. We rarely see #splenectomy specimens anymore but when we do.. it’s glorious. This #spleen from a pt with autoimmune hemolytic anemia read the textbooks!shows extramedullary hematopoiesis, increased neutrophils, red pulp congestion and hemophagocytosis. #hemepath at its best!!!
sanamloghavi's tweet image. We rarely see #splenectomy specimens anymore but when we do.. it’s glorious. This #spleen from a pt with autoimmune hemolytic anemia read the textbooks!shows extramedullary hematopoiesis, increased neutrophils, red pulp congestion and hemophagocytosis. #hemepath at its best!!!
sanamloghavi's tweet image. We rarely see #splenectomy specimens anymore but when we do.. it’s glorious. This #spleen from a pt with autoimmune hemolytic anemia read the textbooks!shows extramedullary hematopoiesis, increased neutrophils, red pulp congestion and hemophagocytosis. #hemepath at its best!!!

•RBCs with basophilic nuclear remnantsdescribes Howell-Jolly bodies and can be seen in patients who have had a #splenectomy or patients with functional asplenia.

promisealharbi2's tweet image. •RBCs with basophilic nuclear remnantsdescribes Howell-Jolly bodies and can be seen in patients who have had a #splenectomy or patients with functional asplenia.

Upper left abdominal pain or repeated infections? Minimally invasive spleen surgery offers less pain, smaller scars, and faster recovery. Consult Dr. Randeep Wadhawan today. 📞 +91 7042373880 #LaparoscopicSurgery #Splenectomy #MinimalAccessSurgery #DrRandeepWadhawan

randeepwadhwan's tweet image. Upper left abdominal pain or repeated infections?
Minimally invasive spleen surgery offers less pain, smaller scars, and faster recovery.

Consult Dr. Randeep Wadhawan today.
📞 +91 7042373880

#LaparoscopicSurgery #Splenectomy #MinimalAccessSurgery #DrRandeepWadhawan

Need surgery to remove the spleen? Laparoscopic Splenectomy offers smaller cuts, less pain & faster recovery — for suitable patients. Safer. Quicker. Better healing. 📞 +91 7042373880 🌐 randeepwadhawan.com #LaparoscopicSurgery #Splenectomy #MinimalInvasive #GISurgery

randeepwadhwan's tweet image. Need surgery to remove the spleen?
Laparoscopic Splenectomy offers smaller cuts, less pain & faster recovery — for suitable patients.

Safer. Quicker. Better healing.

📞 +91 7042373880
🌐 randeepwadhawan.com

#LaparoscopicSurgery #Splenectomy #MinimalInvasive #GISurgery

Ms. Shainaya Gupta from Kanpur, with Thalassemia and a 2 kg enlarged spleen, underwent a successful splenectomy under Dr. Saad Anwar at Paras Health – Kanpur and is recovering well. 📞 8080808069 #ParasHealth #Thalassemia #Splenectomy #PatientStory


#Techniquetuesday Highlighting ‘#Laparoscopic #Splenectomy and #Cholecystectomy for #Spherocytosis' by Dr. Sherif Emil. Library of surgical technique videos in the @StayCurrentMD app! Video: staycurrentmd.pulse.ly/ut1c0vddxc #SoMe4PedSurg Made possible by @CincyChildrens


An openaccess research: "Hairy Cell Leukemia With Splenic Rupture: Hematological Changes and Disappearance of Hairy Morphology After Splenectomy" published by Journal of Hematology. jh.elmerpub.com/jh/article/vie… Keywords: #Hairy cell #leukemia, #Splenectomy, Hairy cell #morphology

ElmerPress's tweet image. An openaccess research:
"Hairy Cell Leukemia With Splenic Rupture: Hematological Changes and Disappearance of Hairy Morphology After Splenectomy" published by Journal of Hematology.
jh.elmerpub.com/jh/article/vie…
Keywords: #Hairy cell #leukemia, #Splenectomy, Hairy cell #morphology
ElmerPress's tweet image. An openaccess research:
"Hairy Cell Leukemia With Splenic Rupture: Hematological Changes and Disappearance of Hairy Morphology After Splenectomy" published by Journal of Hematology.
jh.elmerpub.com/jh/article/vie…
Keywords: #Hairy cell #leukemia, #Splenectomy, Hairy cell #morphology

Featured: Laparoscopic Subtotal #Splenectomy : A Feasible Option in the Treatment of #SplenicMetastasis . ow.ly/7zM350WyQIy @nedamini @SyedAAhmad5

AnnSurgOncol's tweet image. Featured: Laparoscopic Subtotal #Splenectomy : A Feasible Option in the Treatment of #SplenicMetastasis . 

ow.ly/7zM350WyQIy

@nedamini
@SyedAAhmad5

#Splenectomy can be an alternative treatment for refractory #Myelodysplasia syndrome (#MDS) with #splenomegaly Full article: 📄 Udayana Journal of Internal Medicine jpdunud.org/index.php/JPD/…


Hairy Cell Leukemia With Splenic Rupture: Hematological Changes and Disappearance of Hairy Morphology After Splenectomy jh.elmerpub.com/jh/article/vie… Keywords: Hairy #cell #leukemia; #Splenectomy; Hairy cell #morphology

J_Hematology's tweet image. Hairy Cell Leukemia With Splenic Rupture: Hematological Changes and Disappearance of Hairy Morphology After Splenectomy
jh.elmerpub.com/jh/article/vie…
Keywords: Hairy #cell #leukemia; #Splenectomy; Hairy cell #morphology
J_Hematology's tweet image. Hairy Cell Leukemia With Splenic Rupture: Hematological Changes and Disappearance of Hairy Morphology After Splenectomy
jh.elmerpub.com/jh/article/vie…
Keywords: Hairy #cell #leukemia; #Splenectomy; Hairy cell #morphology
J_Hematology's tweet image. Hairy Cell Leukemia With Splenic Rupture: Hematological Changes and Disappearance of Hairy Morphology After Splenectomy
jh.elmerpub.com/jh/article/vie…
Keywords: Hairy #cell #leukemia; #Splenectomy; Hairy cell #morphology
J_Hematology's tweet image. Hairy Cell Leukemia With Splenic Rupture: Hematological Changes and Disappearance of Hairy Morphology After Splenectomy
jh.elmerpub.com/jh/article/vie…
Keywords: Hairy #cell #leukemia; #Splenectomy; Hairy cell #morphology

We're highlighting ‘#Laparoscopic #Splenectomy & #Cholecystectomy for #Spherocytosis' by Dr. Sherif Emil. Check out our video library of surgical technique videos in the @StayCurrentMD app! Full vid: youtu.pulse.ly/zzieh3ctua #SoMe4PedSurg Made possible by @CincyChildrens


Early mobilization and delayed arterial ligation (EMDAL) as a surgical technique for splenectomy and shunt surgery in portal hypertension 🌷doi.org/10.14701/ahbps… 2024 Feb;28(1)Harilal S L, #Portal_hypertension #Splenectomy #Esophageal_and_gastric_varices #Cirrhosis

Journal_AHBPS's tweet image. Early mobilization and delayed arterial ligation (EMDAL) as a surgical technique for splenectomy and shunt surgery in portal hypertension
🌷doi.org/10.14701/ahbps…
2024 Feb;28(1)Harilal S L,
#Portal_hypertension #Splenectomy #Esophageal_and_gastric_varices #Cirrhosis

Excited to share our newly published case report in the @ACGCRJ on #splenosis in a post-trauma #splenectomy patient presenting with gynecologic complaints. Certainly a challenging diagnosis to keep in mind in this #trauma patient population. Link: doi.org/10.12659/AJCR.…

KAbdulJawadMD's tweet image. Excited to share our newly published case report in the @ACGCRJ on #splenosis in a post-trauma #splenectomy patient presenting with gynecologic complaints. Certainly a challenging diagnosis to keep in mind in this #trauma patient population. Link: doi.org/10.12659/AJCR.…
KAbdulJawadMD's tweet image. Excited to share our newly published case report in the @ACGCRJ on #splenosis in a post-trauma #splenectomy patient presenting with gynecologic complaints. Certainly a challenging diagnosis to keep in mind in this #trauma patient population. Link: doi.org/10.12659/AJCR.…

لما تشيل للعيان الspleen اديله قبلها vaccine وبعدها بنسلين( penicillin ) #splenectomy


Also, is someone willing to pay my bail? —Umi, tuxedo cat. #splenectomy #cat #jailed

Neko_Manekito's tweet image. Also, is someone willing to pay my bail? —Umi, tuxedo cat. #splenectomy #cat #jailed

Aaaand it’s out...👩🏾‍⚕️👑🔪🔪🔪 #Pancreaticneoplasms #splenectomy

DrPhum's tweet image. Aaaand it’s out...👩🏾‍⚕️👑🔪🔪🔪 #Pancreaticneoplasms #splenectomy

We rarely see #splenectomy specimens anymore but when we do.. it’s glorious. This #spleen from a pt with autoimmune hemolytic anemia read the textbooks!shows extramedullary hematopoiesis, increased neutrophils, red pulp congestion and hemophagocytosis. #hemepath at its best!!!

sanamloghavi's tweet image. We rarely see #splenectomy specimens anymore but when we do.. it’s glorious. This #spleen from a pt with autoimmune hemolytic anemia read the textbooks!shows extramedullary hematopoiesis, increased neutrophils, red pulp congestion and hemophagocytosis. #hemepath at its best!!!
sanamloghavi's tweet image. We rarely see #splenectomy specimens anymore but when we do.. it’s glorious. This #spleen from a pt with autoimmune hemolytic anemia read the textbooks!shows extramedullary hematopoiesis, increased neutrophils, red pulp congestion and hemophagocytosis. #hemepath at its best!!!
sanamloghavi's tweet image. We rarely see #splenectomy specimens anymore but when we do.. it’s glorious. This #spleen from a pt with autoimmune hemolytic anemia read the textbooks!shows extramedullary hematopoiesis, increased neutrophils, red pulp congestion and hemophagocytosis. #hemepath at its best!!!

Do I look like I had a surgery only 5 days ago? 😼 — Umi, tuxedo cat. #splenectomy #tuxedocat

Neko_Manekito's tweet image. Do I look like I had a surgery only 5 days ago? 😼 — Umi, tuxedo cat. #splenectomy #tuxedocat

I have a brand fur hairstyle in my front paw, do you like it ? #jailed #splenectomy #tuxedocat

Neko_Manekito's tweet image. I have a brand fur hairstyle in my front paw, do you like it ? #jailed #splenectomy #tuxedocat

In Press | Simultaneous splenectomy improves outcomes after adult living donor liver transplantation. bit.ly/31xkszi #transplant #Splenectomy

JHepatology's tweet image. In Press | Simultaneous splenectomy improves outcomes after adult living donor liver transplantation. bit.ly/31xkszi #transplant #Splenectomy

Vascular Anatomy of the Spleen: (𝗮) 𝗗𝗶𝘀𝘁𝗿𝗶𝗯𝘂𝘁𝗲𝗱 type with multiple splenic notches, & (𝗯) 𝗠𝗮𝗴𝗶𝘀𝘁𝗿𝗮𝗹 type with few splenic notche 𝗥𝗲𝗳:Advanced Laparoscopic Surgery, Techniques & Tips, 2nd Edition. #splenectomy #GITwitter

DRAFTABAHMED7's tweet image. Vascular Anatomy of the Spleen:
(𝗮) 𝗗𝗶𝘀𝘁𝗿𝗶𝗯𝘂𝘁𝗲𝗱 type with multiple splenic notches, & (𝗯) 𝗠𝗮𝗴𝗶𝘀𝘁𝗿𝗮𝗹 type with few splenic notche
𝗥𝗲𝗳:Advanced Laparoscopic Surgery, Techniques & Tips,  2nd Edition.
#splenectomy 
#GITwitter
DRAFTABAHMED7's tweet image. Vascular Anatomy of the Spleen:
(𝗮) 𝗗𝗶𝘀𝘁𝗿𝗶𝗯𝘂𝘁𝗲𝗱 type with multiple splenic notches, & (𝗯) 𝗠𝗮𝗴𝗶𝘀𝘁𝗿𝗮𝗹 type with few splenic notche
𝗥𝗲𝗳:Advanced Laparoscopic Surgery, Techniques & Tips,  2nd Edition.
#splenectomy 
#GITwitter
DRAFTABAHMED7's tweet image. Vascular Anatomy of the Spleen:
(𝗮) 𝗗𝗶𝘀𝘁𝗿𝗶𝗯𝘂𝘁𝗲𝗱 type with multiple splenic notches, & (𝗯) 𝗠𝗮𝗴𝗶𝘀𝘁𝗿𝗮𝗹 type with few splenic notche
𝗥𝗲𝗳:Advanced Laparoscopic Surgery, Techniques & Tips,  2nd Edition.
#splenectomy 
#GITwitter

Did someone write down the plates of the car that run me over? —Umi, tuxedo cat. #splenectomy #cat

Neko_Manekito's tweet image. Did someone write down the plates of the car that run me over? —Umi, tuxedo cat. #splenectomy #cat

📄 New Infographic! "Partial splenectomy in children: Long-term reoperative..." Hafezi et al. Full article: jpedsurg.org/article/S0022-… Infographic created by @EmTombash @emencisco @RodGerardo #SoMe4PedSurg #pediatricsurgery #splenectomy #JPS

StayCurrentMD's tweet image. 📄 New Infographic!
"Partial splenectomy in children: Long-term reoperative..."
Hafezi et al.

Full article: jpedsurg.org/article/S0022-…

Infographic created by
@EmTombash 
@emencisco 
@RodGerardo 

#SoMe4PedSurg #pediatricsurgery #splenectomy #JPS

Safely de-livered! A meta-analysis of simultaneous #LiverTransplantation & #splenectomy assesses the efficacy & safety of the procedures; careful patient selection is vital. @MIbnosina recommends the study by He C et al. published in @MedicineLWW facultyopinions.com/prime/73281746…

H1Connect's tweet image. Safely de-livered! A meta-analysis of simultaneous #LiverTransplantation & #splenectomy assesses the efficacy & safety of the procedures; careful patient selection is vital. @MIbnosina recommends the study by He C et al. published in @MedicineLWW facultyopinions.com/prime/73281746…

New article from @ClevelandClinic! #Splenectomy outcomes in immune cytopenias: Treatment outcomes and determinants of response. 🔗doi.org/10.1111/joim.1… @ccfhemeonc @olisaogbue @Bahaj_MD #Hematology

JInternMed's tweet image. New article from @ClevelandClinic! #Splenectomy outcomes in immune cytopenias: Treatment outcomes and determinants of response.

🔗doi.org/10.1111/joim.1…

@ccfhemeonc @olisaogbue @Bahaj_MD 
#Hematology

📄New Infographic! "Partial splenectomy in children: Long-term reoperative..." Hafezi et al. Full article: jpedsurg.org/article/S0022-……… Infographic created by @EmTombash @emencisco @RodGerardo #SoMe4PedSurg #pediatricsurgery #splenectomy #JPS

jpedsurg's tweet image. 📄New Infographic!
"Partial splenectomy in children: Long-term reoperative..."
Hafezi et al.

Full article: jpedsurg.org/article/S0022-………

Infographic created by
@EmTombash

@emencisco

@RodGerardo

#SoMe4PedSurg #pediatricsurgery #splenectomy #JPS

Are the current treatment guidelines for chronic immune thrombocytopenia cost-effective? Learn more: doi.org/10.1002/ajh.26… @GeorgeGoshuaMD @LaurenPischel #hematology #rituximab #splenectomy

YaleIMed's tweet image. Are the current treatment guidelines for chronic immune thrombocytopenia cost-effective? Learn more: doi.org/10.1002/ajh.26…

@GeorgeGoshuaMD @LaurenPischel
#hematology #rituximab #splenectomy

This is how my belly looks now after my surgery, mom says it’s like a cow’s belly 😹—Umi, tuxedo cat. #splenectomy #tuxedocat

Neko_Manekito's tweet image. This is how my belly looks now after my surgery, mom says it’s like a cow’s belly 😹—Umi, tuxedo cat. #splenectomy #tuxedocat

Perioperative ventricular arrhythmias (VAs) were common in dogs undergoing #splenectomy for splenic masses, and the odds of VAs were increased with #hemoperitoneum, increasing heart rate, and increasing body weight: jav.ma/va @theacvs @ugavetmed #mortality #canine🐶

AVMAJAVMA's tweet image. Perioperative ventricular arrhythmias (VAs) were common in dogs undergoing #splenectomy for splenic masses, and the odds of VAs were increased with #hemoperitoneum, increasing heart rate, and increasing body weight: jav.ma/va @theacvs @ugavetmed #mortality #canine🐶

#5goldrings Locate where you would have a #Splenectomy ? I’ve no idea - and I’m embarrassed to say I’ve had a Splenectomy 🥴 I swapped it for #Claudiawinklemans hair

busterknighty69's tweet image. #5goldrings 
Locate where you would have a #Splenectomy ?
I’ve no idea - and I’m embarrassed to say I’ve had a Splenectomy 🥴
I swapped it for #Claudiawinklemans hair

Dr Aceng stated, 1990: the late Speaker had a #splenectomy after an assault during a student demo' 2019: cancer found in his neck 2022: his bone marrow cld no longer make blood cells to fight infections & stop bleeding, he got multiple infections & abdominal bleeding. A tragedy.

MKSerumaga's tweet image. Dr Aceng stated,
1990: the late Speaker had a #splenectomy after an assault during a student demo'
2019: cancer found in his neck
2022: his bone marrow cld no longer make blood cells to fight infections & stop bleeding, he got multiple infections & abdominal bleeding.

A tragedy.
MKSerumaga's tweet image. Dr Aceng stated,
1990: the late Speaker had a #splenectomy after an assault during a student demo'
2019: cancer found in his neck
2022: his bone marrow cld no longer make blood cells to fight infections & stop bleeding, he got multiple infections & abdominal bleeding.

A tragedy.

In 2019, Jacob Oulanyah discovered a swelling in the neck. It was a relatively big swelling and he took it upon himself to seek treatment in Germany. The swelling was removed and analysed and he was told it was cancer. -Health Minister Jane Ruth Aceng. #NTVNews

ntvuganda's tweet image. In 2019, Jacob Oulanyah discovered a swelling in the neck. It was a relatively big swelling and he took it upon himself to seek treatment in Germany. The swelling was removed and analysed and he was told it was cancer. -Health Minister Jane Ruth Aceng. #NTVNews


🅐︎ Classification of splenomegaly based on CT or post-resection weight 🅑︎ Patient Selection for Laparoscopic,Hand-Assisted Laparoscopic,or Open Approach 🅒︎Preoperative Splenic Artery Embolization 𝗥𝗲𝗳:Maingots abdominal surgery #splenomegaly #MedTwitter #splenectomy

DRAFTABAHMED7's tweet image. 🅐︎ Classification of splenomegaly based on CT or post-resection weight 🅑︎ Patient Selection for Laparoscopic,Hand-Assisted
Laparoscopic,or Open Approach 🅒︎Preoperative Splenic Artery Embolization
𝗥𝗲𝗳:Maingots abdominal surgery 
#splenomegaly #MedTwitter 
#splenectomy
DRAFTABAHMED7's tweet image. 🅐︎ Classification of splenomegaly based on CT or post-resection weight 🅑︎ Patient Selection for Laparoscopic,Hand-Assisted
Laparoscopic,or Open Approach 🅒︎Preoperative Splenic Artery Embolization
𝗥𝗲𝗳:Maingots abdominal surgery 
#splenomegaly #MedTwitter 
#splenectomy
DRAFTABAHMED7's tweet image. 🅐︎ Classification of splenomegaly based on CT or post-resection weight 🅑︎ Patient Selection for Laparoscopic,Hand-Assisted
Laparoscopic,or Open Approach 🅒︎Preoperative Splenic Artery Embolization
𝗥𝗲𝗳:Maingots abdominal surgery 
#splenomegaly #MedTwitter 
#splenectomy
DRAFTABAHMED7's tweet image. 🅐︎ Classification of splenomegaly based on CT or post-resection weight 🅑︎ Patient Selection for Laparoscopic,Hand-Assisted
Laparoscopic,or Open Approach 🅒︎Preoperative Splenic Artery Embolization
𝗥𝗲𝗳:Maingots abdominal surgery 
#splenomegaly #MedTwitter 
#splenectomy

Loading...

Something went wrong.


Something went wrong.