#stomachpath search results

#stomachpath Epitheloid GIST

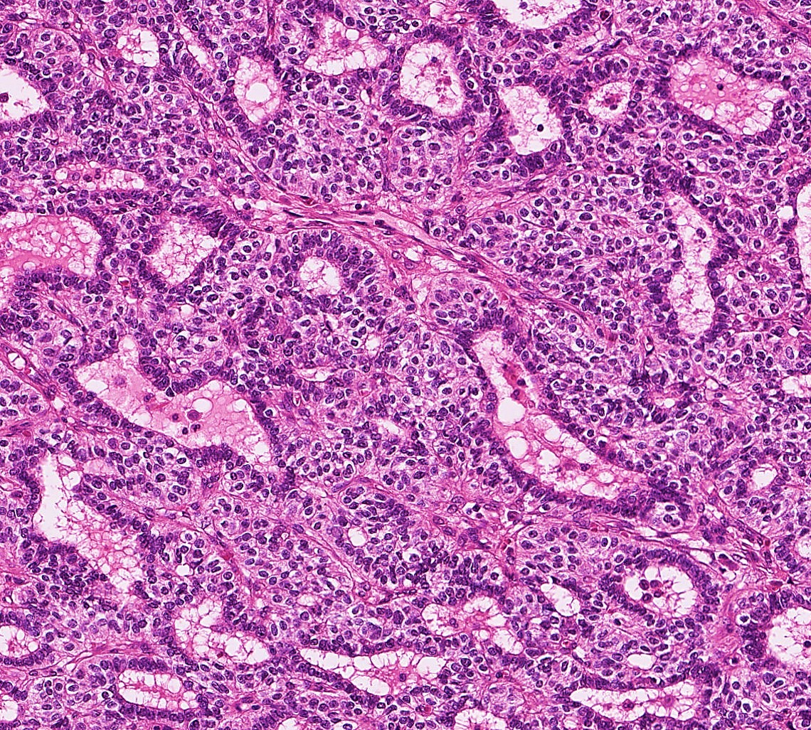
10yo boy with a GIST & lymph node metastasis. Which gene is most likely mutated? A) KIT B) SDH C) PDGFRA D) None of the above #PediPath #GIPath #BSTPath #PathTwitter #pathresidents

DrCycloPath's tweet image. 10yo boy with a GIST & lymph node metastasis.
Which gene is most likely mutated?
A) KIT
B) SDH
C) PDGFRA
D) None of the above
#PediPath #GIPath #BSTPath #PathTwitter #pathresidents


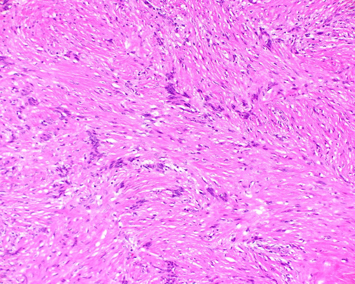
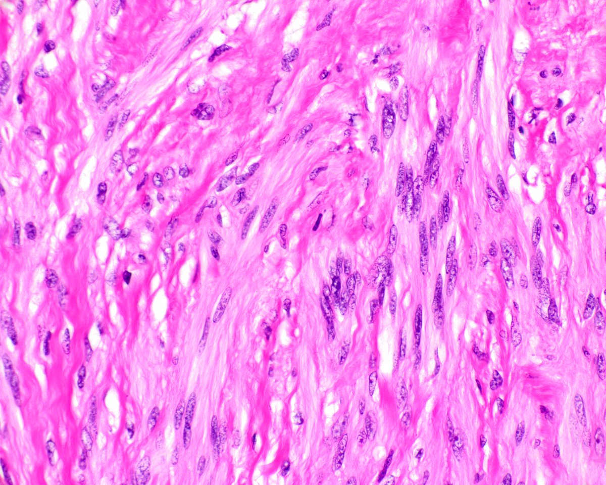
#stomachpath gastric shwannoma

This is a classic gastric schwannoma. It is centered in the muscularis propria and encircled by a lymphoid cuff. Note the vague nuclear palisading. innovativesciencepress.com

science_press's tweet image. This is a classic gastric schwannoma.  It is centered in the muscularis propria and encircled by a lymphoid cuff. Note the vague nuclear palisading. innovativesciencepress.com
science_press's tweet image. This is a classic gastric schwannoma.  It is centered in the muscularis propria and encircled by a lymphoid cuff. Note the vague nuclear palisading. innovativesciencepress.com
science_press's tweet image. This is a classic gastric schwannoma.  It is centered in the muscularis propria and encircled by a lymphoid cuff. Note the vague nuclear palisading. innovativesciencepress.com
science_press's tweet image. This is a classic gastric schwannoma.  It is centered in the muscularis propria and encircled by a lymphoid cuff. Note the vague nuclear palisading. innovativesciencepress.com


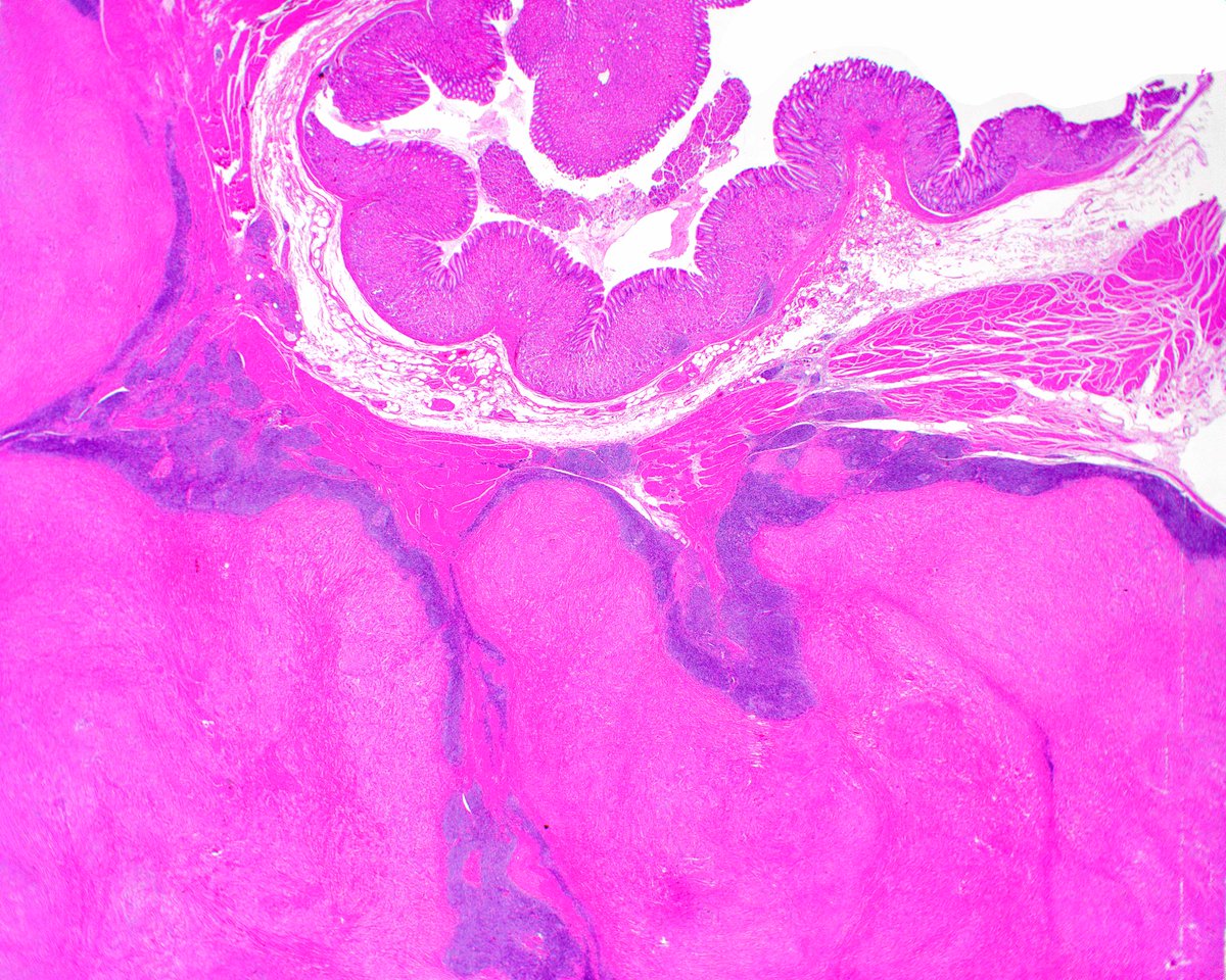
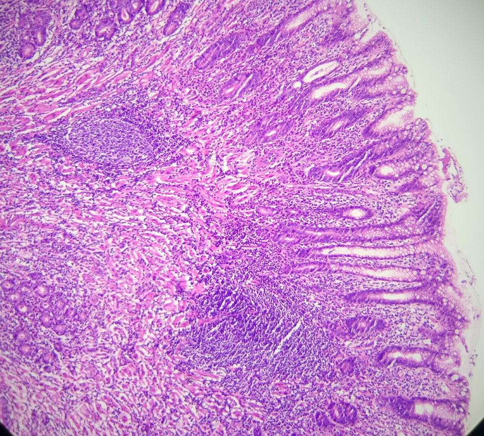
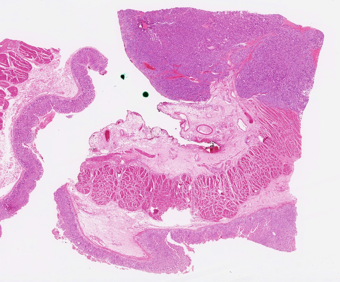
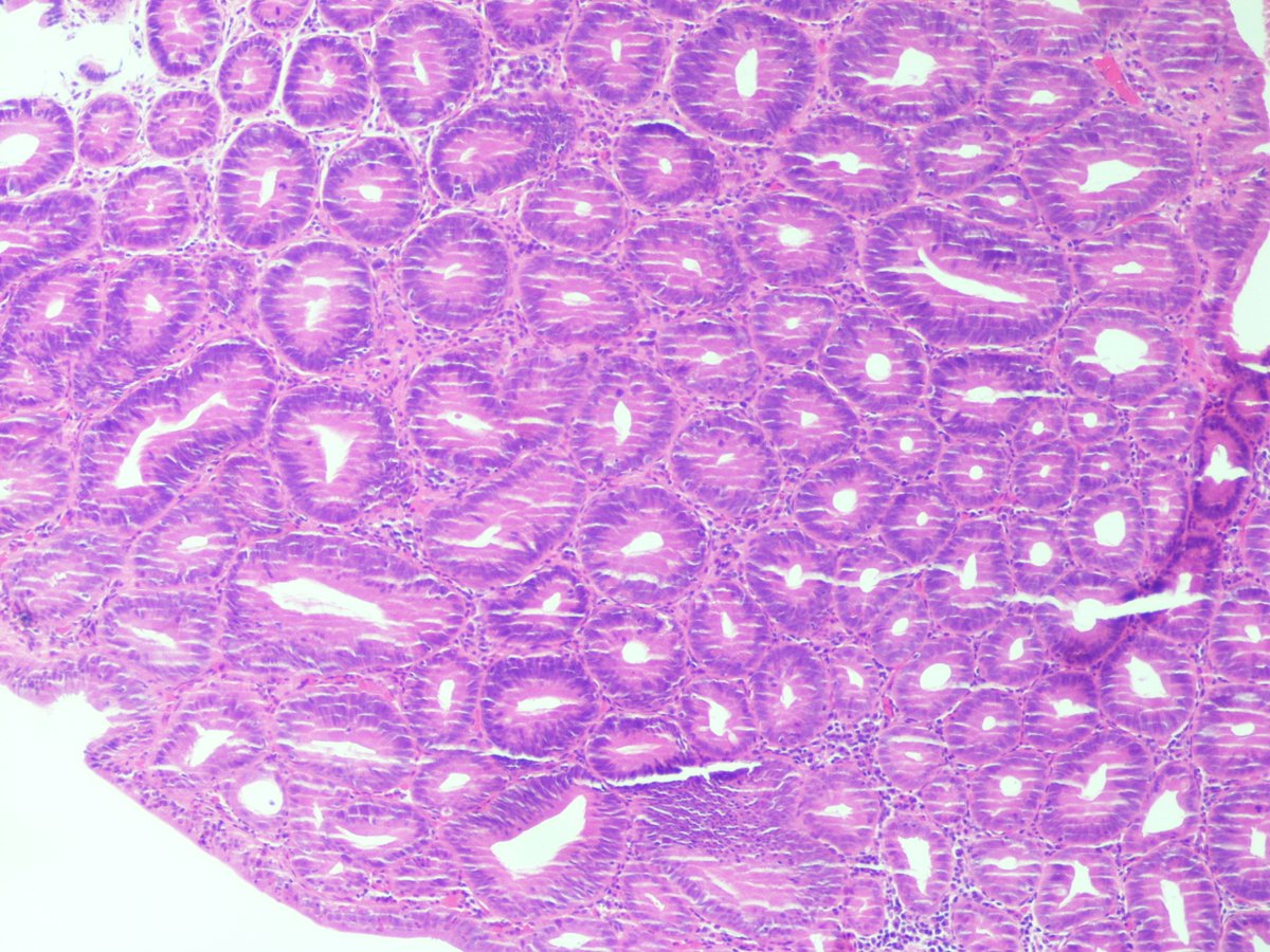
Stomach, hamarToma polyp. #Stomachpath

Andy_pathology's tweet image. Stomach, hamarToma polyp. #Stomachpath
Andy_pathology's tweet image. Stomach, hamarToma polyp. #Stomachpath
Andy_pathology's tweet image. Stomach, hamarToma polyp. #Stomachpath

#stomachpath gastric shwannoma

This is a classic gastric schwannoma. It is centered in the muscularis propria and encircled by a lymphoid cuff. Note the vague nuclear palisading. innovativesciencepress.com

science_press's tweet image. This is a classic gastric schwannoma.  It is centered in the muscularis propria and encircled by a lymphoid cuff. Note the vague nuclear palisading. innovativesciencepress.com
science_press's tweet image. This is a classic gastric schwannoma.  It is centered in the muscularis propria and encircled by a lymphoid cuff. Note the vague nuclear palisading. innovativesciencepress.com
science_press's tweet image. This is a classic gastric schwannoma.  It is centered in the muscularis propria and encircled by a lymphoid cuff. Note the vague nuclear palisading. innovativesciencepress.com
science_press's tweet image. This is a classic gastric schwannoma.  It is centered in the muscularis propria and encircled by a lymphoid cuff. Note the vague nuclear palisading. innovativesciencepress.com


#stomachpath Epitheloid GIST

10yo boy with a GIST & lymph node metastasis. Which gene is most likely mutated? A) KIT B) SDH C) PDGFRA D) None of the above #PediPath #GIPath #BSTPath #PathTwitter #pathresidents

DrCycloPath's tweet image. 10yo boy with a GIST & lymph node metastasis.
Which gene is most likely mutated?
A) KIT
B) SDH
C) PDGFRA
D) None of the above
#PediPath #GIPath #BSTPath #PathTwitter #pathresidents


Gastroblastoma is a GLI1 (or EWSR1) translocation tumor that one reads in textbooks but may never encounter in practice. Surely I haven't seen another one since I graduated. #surgpath #pathX #pathtwitter #pathology #pathologists #stomach #cancer #GIpath

cygupath_md's tweet image. Gastroblastoma is a GLI1 (or EWSR1) translocation tumor that one reads in textbooks but may never encounter in practice. Surely I haven't seen another one since I graduated. #surgpath #pathX #pathtwitter #pathology #pathologists #stomach #cancer #GIpath
cygupath_md's tweet image. Gastroblastoma is a GLI1 (or EWSR1) translocation tumor that one reads in textbooks but may never encounter in practice. Surely I haven't seen another one since I graduated. #surgpath #pathX #pathtwitter #pathology #pathologists #stomach #cancer #GIpath
cygupath_md's tweet image. Gastroblastoma is a GLI1 (or EWSR1) translocation tumor that one reads in textbooks but may never encounter in practice. Surely I haven't seen another one since I graduated. #surgpath #pathX #pathtwitter #pathology #pathologists #stomach #cancer #GIpath
cygupath_md's tweet image. Gastroblastoma is a GLI1 (or EWSR1) translocation tumor that one reads in textbooks but may never encounter in practice. Surely I haven't seen another one since I graduated. #surgpath #pathX #pathtwitter #pathology #pathologists #stomach #cancer #GIpath


Stomach, hamarToma polyp. #Stomachpath

Andy_pathology's tweet image. Stomach, hamarToma polyp. #Stomachpath
Andy_pathology's tweet image. Stomach, hamarToma polyp. #Stomachpath
Andy_pathology's tweet image. Stomach, hamarToma polyp. #Stomachpath

No results for "#stomachpath"

Stomach, hamarToma polyp. #Stomachpath

Andy_pathology's tweet image. Stomach, hamarToma polyp. #Stomachpath
Andy_pathology's tweet image. Stomach, hamarToma polyp. #Stomachpath
Andy_pathology's tweet image. Stomach, hamarToma polyp. #Stomachpath

Loading...

Something went wrong.


Something went wrong.