#pathologists search results

Medical students receive FREE registration for USCAP! Spread the word and see you there! 🥳 #PathTwitter #Pathology #Pathologists

DrCycloPath's tweet image. Medical students receive FREE registration for USCAP! Spread the word and see you there! 🥳
#PathTwitter #Pathology #Pathologists

Young adult with hard indurated bound-down skin on bilateral legs. Answer ✅ youtu.be/4PhO81EeGa0 Digital slide: kikoxp.com/posts/24168 Another rare disease that can mimic this clinically 👉 youtu.be/ejj69LOagJE #pathology #pathologists #pathTwitter #dermpath

JMGardnerMD's tweet image. Young adult with hard indurated bound-down skin on bilateral legs. 
Answer ✅ youtu.be/4PhO81EeGa0 
Digital slide: kikoxp.com/posts/24168 
Another rare disease that can mimic this clinically 👉 youtu.be/ejj69LOagJE 
#pathology #pathologists #pathTwitter #dermpath

45 F on dialysis. Enlarging very painful black eschar/ulcer on abdomen. Answer ✅ youtu.be/Xszx4mUDTmk Video (101): youtu.be/fESY7haH18U #pathology #pathologists #pathTwitter #dermpath #dermatology #dermatologia #dermtwitter

JMGardnerMD's tweet image. 45 F on dialysis. Enlarging very painful black eschar/ulcer on abdomen. 
Answer ✅ youtu.be/Xszx4mUDTmk 
Video (101): youtu.be/fESY7haH18U 
#pathology #pathologists #pathTwitter #dermpath #dermatology #dermatologia #dermtwitter
JMGardnerMD's tweet image. 45 F on dialysis. Enlarging very painful black eschar/ulcer on abdomen. 
Answer ✅ youtu.be/Xszx4mUDTmk 
Video (101): youtu.be/fESY7haH18U 
#pathology #pathologists #pathTwitter #dermpath #dermatology #dermatologia #dermtwitter
JMGardnerMD's tweet image. 45 F on dialysis. Enlarging very painful black eschar/ulcer on abdomen. 
Answer ✅ youtu.be/Xszx4mUDTmk 
Video (101): youtu.be/fESY7haH18U 
#pathology #pathologists #pathTwitter #dermpath #dermatology #dermatologia #dermtwitter

Breast mass in adult woman. What is the patient history & diagnosis? Answer ✅ youtu.be/KUXoemyh2BY #pathology #pathologists #pathTwitter #dermpath #dermatology #dermatologia #dermtwitter #BSTpath

JMGardnerMD's tweet image. Breast mass in adult woman. What is the patient history & diagnosis?
Answer ✅  youtu.be/KUXoemyh2BY 
#pathology #pathologists #pathTwitter #dermpath #dermatology #dermatologia #dermtwitter #BSTpath

My 2021 Paris #Dermpath Course (5 hours!) at Institut Curie for IAP France - adnexal tumors, soft tissue, melanocytic, & more. Video: youtube.com/watch?v=5ixiza… #pathology #pathologists #pathTwitter #dermpath #dermatology #dermatologia #dermtwitter

JMGardnerMD's tweet image. My 2021 Paris #Dermpath Course (5 hours!) at Institut Curie for IAP France - adnexal tumors, soft tissue, melanocytic, & more. 
Video: youtube.com/watch?v=5ixiza…  
#pathology #pathologists #pathTwitter #dermpath #dermatology #dermatologia #dermtwitter

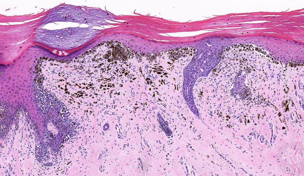
60 yo M. Large dark brown patch on plantar foot. Your diagnosis? Answer ✅ youtube.com/watch?v=FMabvm… WSI digital slide: kikoxp.com/posts/2813. #pathology #pathologists #pathTwitter #dermpath #dermatology #dermatologia #dermtwitter

JMGardnerMD's tweet image. 60 yo M. Large dark brown patch on plantar foot. Your diagnosis? 
Answer ✅ youtube.com/watch?v=FMabvm… 
WSI digital slide: kikoxp.com/posts/2813. 
#pathology #pathologists #pathTwitter #dermpath #dermatology #dermatologia #dermtwitter

Every kid I know is getting a copy for the holidays this year 🎁 📖 Little #scientists 🧫🧑‍🔬and #pathologists 🔬👩‍⚕️ in the making!!! Congratulations @KMirza @themuldermethod , this is really cool!!!

It’s here!!! Mia the Marvelous Lab Explorer is now available for pre-order 🥳🥳🥳 This story celebrates ALL in the house of medicine but with a special shoutout to the behind-the-scenes heroes: the pathologists and medical laboratory professionals whose discoveries change

KMirza's tweet image. It’s here!!! 

Mia the Marvelous Lab Explorer is now available for pre-order 🥳🥳🥳

This story celebrates ALL in the house of medicine but with a special shoutout to the behind-the-scenes heroes: the pathologists and medical laboratory professionals whose discoveries change


67 yo F. 1.2 cm nodule anterior thigh. Clinical dx: lipoma. CD10+. Your diagnosis? (It's NOT RCC!) Answer ✅ youtube.com/watch?v=VXpcFY… Digital slide: kikoxp.com/posts/8441 #pathology #pathologists #pathTwitter #dermpath #dermatology #dermtwitter #BSTpath

JMGardnerMD's tweet image. 67 yo F. 1.2 cm nodule anterior thigh. Clinical dx: lipoma. CD10+. 
Your diagnosis? (It's NOT RCC!) 
Answer ✅  youtube.com/watch?v=VXpcFY…
Digital slide: kikoxp.com/posts/8441
#pathology #pathologists #pathTwitter #dermpath #dermatology #dermtwitter #BSTpath

Lytic bone lesion in femoral head. What does this patient have a history of? Answer & more pics: kikoxp.com/posts/8385. #BSTpath #pathologists #pathology #pathTwitter

JMGardnerMD's tweet image. Lytic bone lesion in femoral head. What does this patient have a history of? Answer & more pics: kikoxp.com/posts/8385. #BSTpath #pathologists #pathology #pathTwitter

50 yo man with 2 cm inguinal mass. Your diagnosis? (hint: not all that has staghorn vessels is SFT!) Digital slide: kikoxp.com/posts/4599. Answer ✅ youtu.be/WnpmV331eRE?si… #pathology #BSTpath #pathologists #pathTwitter #gynpath #dermpath

JMGardnerMD's tweet image. 50 yo man with 2 cm inguinal mass. Your diagnosis?
(hint: not all that has staghorn vessels is SFT!)
Digital slide: kikoxp.com/posts/4599. 
Answer ✅ youtu.be/WnpmV331eRE?si… 
#pathology #BSTpath #pathologists #pathTwitter #gynpath #dermpath

I call this kind of cell a "Ginormo-Cyte"! Large thigh mass in an adult Answer ✅ youtu.be/PLnwikIK1JY?si… More pics: kikoxp.com/posts/10213. How I work up pleomorphic spindle cell tumors: youtu.be/SLbQNYy4B28?si… #BSTpath #pathologists #pathology #pathTwitter #dermpath

JMGardnerMD's tweet image. I call this kind of cell a "Ginormo-Cyte"! Large thigh mass in an adult
Answer ✅ youtu.be/PLnwikIK1JY?si… 
More pics: kikoxp.com/posts/10213. 
How I work up pleomorphic spindle cell tumors: youtu.be/SLbQNYy4B28?si… 
#BSTpath #pathologists #pathology #pathTwitter #dermpath

What are these gorgeous pink structures? Where are you most likely to find them (surprisingly, it's NOT sarcoidosis!)? Answer ✅ youtube.com/shorts/_EtAj6C… More pics & info: kikoxp.com/posts/5569. #pathology #pathologists #pathTwitter #dermpath #dermatology #dermatologia

JMGardnerMD's tweet image. What are these gorgeous pink structures? 
Where are you most likely to find them (surprisingly, it's NOT sarcoidosis!)? 
Answer ✅ youtube.com/shorts/_EtAj6C… 
More pics & info: kikoxp.com/posts/5569. 
#pathology #pathologists #pathTwitter #dermpath #dermatology #dermatologia

Now THAT's Cherry-Red Nucleoli! (but it isn't melanoma). Large thigh mass in an adult Answer ✅ youtu.be/PLnwikIK1JY?si… More pics: kikoxp.com/posts/10213. How I work up pleomorphic spindle cell tumors: youtu.be/SLbQNYy4B28?si… #BSTpath #pathologists #pathology #pathTwitter

JMGardnerMD's tweet image. Now THAT's Cherry-Red Nucleoli! (but it isn't melanoma). Large thigh mass in an adult
Answer ✅ youtu.be/PLnwikIK1JY?si… 
More pics: kikoxp.com/posts/10213. 
How I work up pleomorphic spindle cell tumors: youtu.be/SLbQNYy4B28?si… 
#BSTpath #pathologists #pathology #pathTwitter

DIY ergonomics for #pathologists How do you make your own workspace work for you? #Pathology #PathTwitter

DrCycloPath's tweet image. DIY ergonomics for #pathologists 
How do you make your own workspace work for you?
#Pathology #PathTwitter

A pleasure to reconnect with friends at #CAP25. Glad to see you all thriving and successful 🌟🌟🌟 #pathology #pathologists #PathX

Janiranavarro's tweet image. A pleasure to reconnect with friends at #CAP25. Glad to see you all thriving and successful 🌟🌟🌟 #pathology #pathologists #PathX
Janiranavarro's tweet image. A pleasure to reconnect with friends at #CAP25. Glad to see you all thriving and successful 🌟🌟🌟 #pathology #pathologists #PathX
Janiranavarro's tweet image. A pleasure to reconnect with friends at #CAP25. Glad to see you all thriving and successful 🌟🌟🌟 #pathology #pathologists #PathX

Red purple nodule on scalp of 80 yo man. Your diagnosis? Answer ✅ buff.ly/3b4NrgT. WSI digital slide via @ pathpresenter: buff.ly/2G5S13g. #BSTpath #pathology #pathologists #pathTwitter #dermpath #dermatology #dermatologia #dermtwitter

JMGardnerMD's tweet image. Red purple nodule on scalp of 80 yo man. Your diagnosis? 
Answer ✅ buff.ly/3b4NrgT. 
WSI digital slide via @ pathpresenter: buff.ly/2G5S13g. 
#BSTpath #pathology #pathologists #pathTwitter #dermpath #dermatology #dermatologia #dermtwitter
JMGardnerMD's tweet image. Red purple nodule on scalp of 80 yo man. Your diagnosis? 
Answer ✅ buff.ly/3b4NrgT. 
WSI digital slide via @ pathpresenter: buff.ly/2G5S13g. 
#BSTpath #pathology #pathologists #pathTwitter #dermpath #dermatology #dermatologia #dermtwitter
JMGardnerMD's tweet image. Red purple nodule on scalp of 80 yo man. Your diagnosis? 
Answer ✅ buff.ly/3b4NrgT. 
WSI digital slide via @ pathpresenter: buff.ly/2G5S13g. 
#BSTpath #pathology #pathologists #pathTwitter #dermpath #dermatology #dermatologia #dermtwitter
JMGardnerMD's tweet image. Red purple nodule on scalp of 80 yo man. Your diagnosis? 
Answer ✅ buff.ly/3b4NrgT. 
WSI digital slide via @ pathpresenter: buff.ly/2G5S13g. 
#BSTpath #pathology #pathologists #pathTwitter #dermpath #dermatology #dermatologia #dermtwitter

Young adult with hard indurated bound-down skin on bilateral legs. Answer ✅ youtu.be/4PhO81EeGa0 Digital slide: kikoxp.com/posts/24168 Another rare disease that can mimic this clinically 👉 youtu.be/ejj69LOagJE #pathology #pathologists #pathTwitter #dermpath

JMGardnerMD's tweet image. Young adult with hard indurated bound-down skin on bilateral legs. 
Answer ✅ youtu.be/4PhO81EeGa0 
Digital slide: kikoxp.com/posts/24168 
Another rare disease that can mimic this clinically 👉 youtu.be/ejj69LOagJE 
#pathology #pathologists #pathTwitter #dermpath

45 F on dialysis. Enlarging very painful black eschar/ulcer on abdomen. Answer ✅ youtu.be/Xszx4mUDTmk Video (101): youtu.be/fESY7haH18U #pathology #pathologists #pathTwitter #dermpath #dermatology #dermatologia #dermtwitter

JMGardnerMD's tweet image. 45 F on dialysis. Enlarging very painful black eschar/ulcer on abdomen. 
Answer ✅ youtu.be/Xszx4mUDTmk 
Video (101): youtu.be/fESY7haH18U 
#pathology #pathologists #pathTwitter #dermpath #dermatology #dermatologia #dermtwitter
JMGardnerMD's tweet image. 45 F on dialysis. Enlarging very painful black eschar/ulcer on abdomen. 
Answer ✅ youtu.be/Xszx4mUDTmk 
Video (101): youtu.be/fESY7haH18U 
#pathology #pathologists #pathTwitter #dermpath #dermatology #dermatologia #dermtwitter
JMGardnerMD's tweet image. 45 F on dialysis. Enlarging very painful black eschar/ulcer on abdomen. 
Answer ✅ youtu.be/Xszx4mUDTmk 
Video (101): youtu.be/fESY7haH18U 
#pathology #pathologists #pathTwitter #dermpath #dermatology #dermatologia #dermtwitter

30 yo woman with 6 cm soft tissue mass on upper arm. Answer ✅ youtu.be/yWWCZ-NLwOM Digital slide (best EVER!): kikoxp.com/posts/8192 #BSTpath #pathology #pathologists #pathTwitter #dermpath #dermatology #dermatologia #dermtwitter

JMGardnerMD's tweet image. 30 yo woman with 6 cm soft tissue mass on upper arm. 
Answer ✅  youtu.be/yWWCZ-NLwOM 
Digital slide (best EVER!): kikoxp.com/posts/8192 
#BSTpath #pathology #pathologists #pathTwitter #dermpath #dermatology #dermatologia #dermtwitter

67 yo F. 1.2 cm nodule anterior thigh. Clinical dx: lipoma. CD10+. Your diagnosis? (It's NOT RCC!) Answer ✅ youtube.com/watch?v=VXpcFY… Digital slide: kikoxp.com/posts/8441 #pathology #pathologists #pathTwitter #dermpath #dermatology #dermtwitter #BSTpath

JMGardnerMD's tweet image. 67 yo F. 1.2 cm nodule anterior thigh. Clinical dx: lipoma. CD10+. 
Your diagnosis? (It's NOT RCC!) 
Answer ✅ youtube.com/watch?v=VXpcFY… 
Digital slide: kikoxp.com/posts/8441
#pathology #pathologists #pathTwitter #dermpath #dermatology #dermtwitter #BSTpath

How to distinguish Langerhans Cell Histiocytosis (LCH) vs Mastocytosis on H&E only. Short Video: youtube.com/watch?v=zfuDpa… Classic pics of LCH: kikoxp.com/posts/22380 #pathology #pathologists #pathTwitter #dermpath #dermatology #dermatologia #dermtwitter #pedipath

JMGardnerMD's tweet image. How to distinguish Langerhans Cell Histiocytosis (LCH) vs Mastocytosis on H&E only. 
Short Video: youtube.com/watch?v=zfuDpa… 
Classic pics of LCH: kikoxp.com/posts/22380
#pathology #pathologists #pathTwitter #dermpath #dermatology #dermatologia #dermtwitter #pedipath

Sarcoma 101 - Bone & Soft Tissue Tumor Classification/Names Made Simple video: youtube.com/watch?v=MiAkjJ… . My 2021 lecture for NCI SEER cancer registrars. Also good for #medstudents, jr. #pathologists, ortho/oncology, & patients/family. #medtwitter #pathology #orthotwitter

JMGardnerMD's tweet image. Sarcoma 101 - Bone & Soft Tissue Tumor Classification/Names Made Simple video: youtube.com/watch?v=MiAkjJ… . My 2021 lecture for NCI SEER cancer registrars. Also good for #medstudents, jr. #pathologists, ortho/oncology, & patients/family. #medtwitter #pathology #orthotwitter

35 M. Multiple papules on trunk & extremities. Your diagnosis? WSI digital slide 🔬 kikoxp.com/posts/1994 Answer ✅ youtube.com/watch?v=o5blch… See also: kikoxp.com/posts/4848 #pathology #pathologists #pathTwitter #dermpath #dermatology #dermatologia #dermtwitter

JMGardnerMD's tweet image. 35 M. Multiple papules on trunk & extremities. Your diagnosis?
WSI digital slide 🔬 kikoxp.com/posts/1994
Answer ✅ youtube.com/watch?v=o5blch… 
See also: kikoxp.com/posts/4848 
#pathology #pathologists #pathTwitter #dermpath #dermatology #dermatologia #dermtwitter
JMGardnerMD's tweet image. 35 M. Multiple papules on trunk & extremities. Your diagnosis?
WSI digital slide 🔬 kikoxp.com/posts/1994
Answer ✅ youtube.com/watch?v=o5blch… 
See also: kikoxp.com/posts/4848 
#pathology #pathologists #pathTwitter #dermpath #dermatology #dermatologia #dermtwitter
JMGardnerMD's tweet image. 35 M. Multiple papules on trunk & extremities. Your diagnosis?
WSI digital slide 🔬 kikoxp.com/posts/1994
Answer ✅ youtube.com/watch?v=o5blch… 
See also: kikoxp.com/posts/4848 
#pathology #pathologists #pathTwitter #dermpath #dermatology #dermatologia #dermtwitter
JMGardnerMD's tweet image. 35 M. Multiple papules on trunk & extremities. Your diagnosis?
WSI digital slide 🔬 kikoxp.com/posts/1994
Answer ✅ youtube.com/watch?v=o5blch… 
See also: kikoxp.com/posts/4848 
#pathology #pathologists #pathTwitter #dermpath #dermatology #dermatologia #dermtwitter

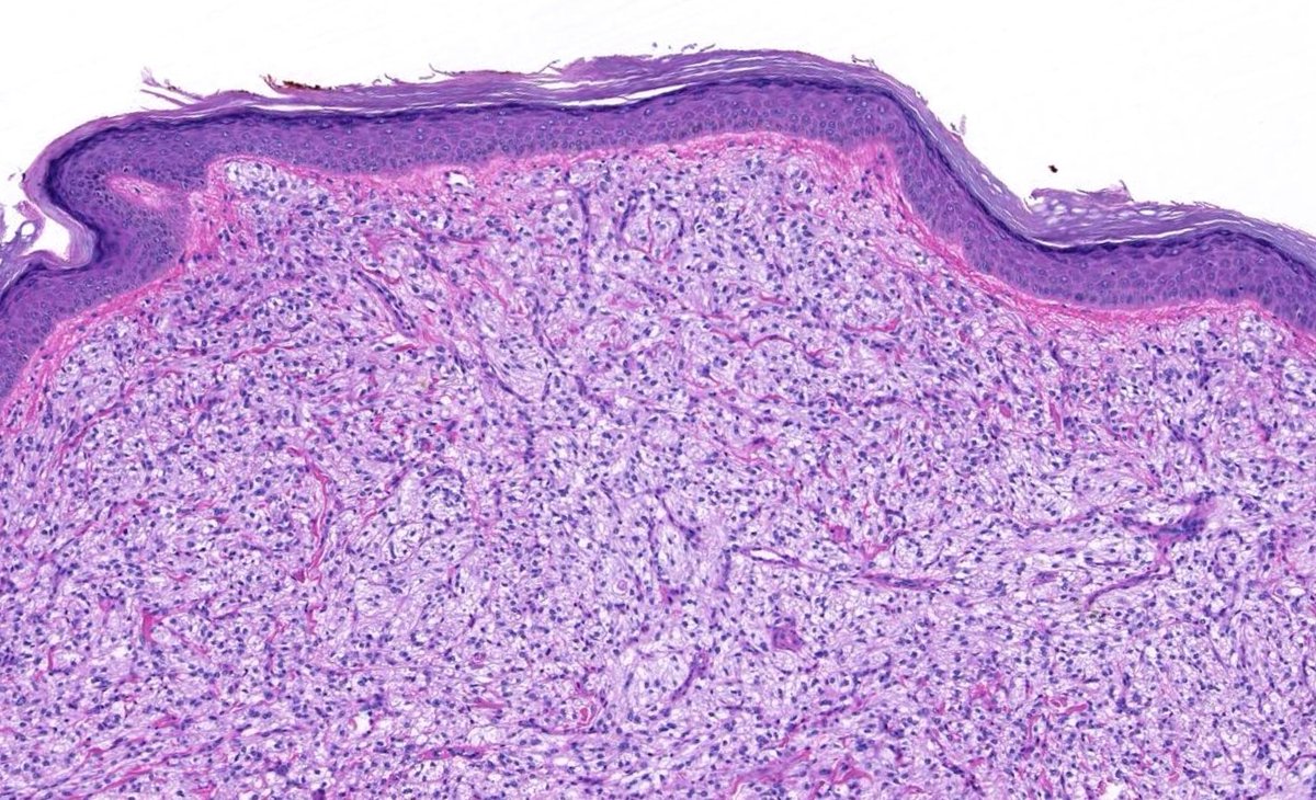
Skin nodule in elderly adult. Your diagnosis? (how many of you have seen this before???) WSI digital slide 🔬 kikoxp.com/posts/17792 Answer ✅ kikoxp.com/posts/17791 #pathology #pathologists #pathTwitter #dermpath #dermatology #dermatologia #dermtwitter

JMGardnerMD's tweet image. Skin nodule in elderly adult. Your diagnosis? 
(how many of you have seen this before???)
WSI digital slide 🔬 kikoxp.com/posts/17792
Answer ✅  kikoxp.com/posts/17791
#pathology #pathologists #pathTwitter #dermpath #dermatology #dermatologia #dermtwitter

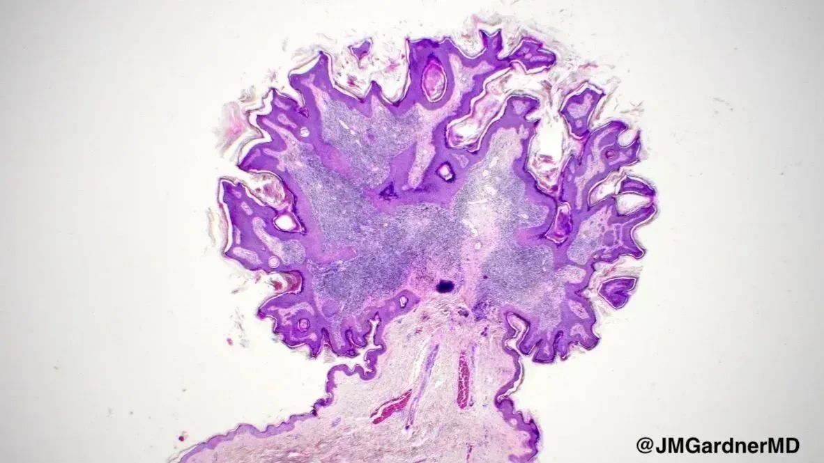
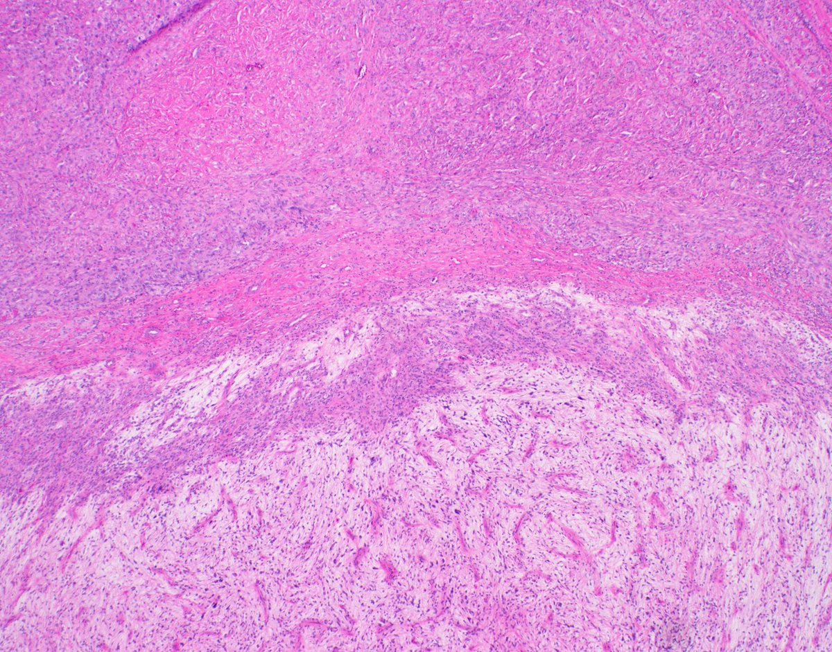
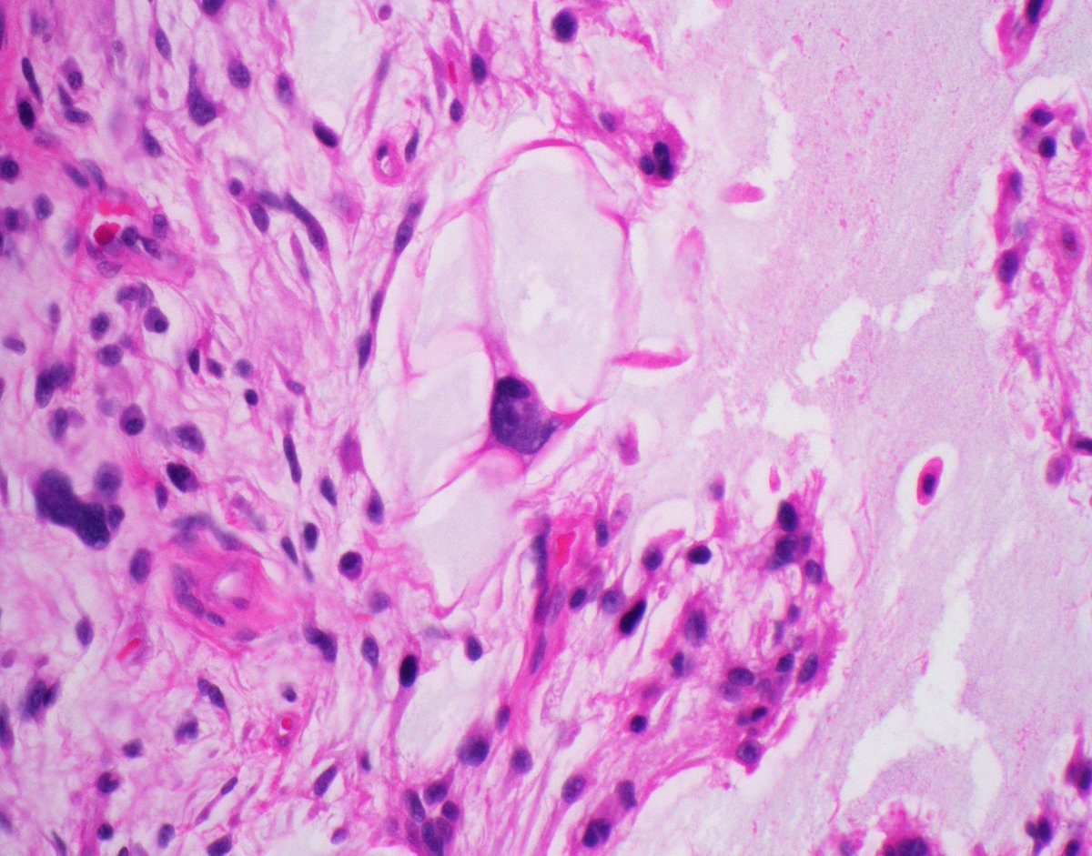
60 F. Scar-like cheek plaque. Diagnosis? Digital slide: kikoxp.com/posts/6992 Answer ✅ youtu.be/omdqVEm3qfk Handout, images, & differential: kikoxp.com/posts/8378. #pathology #pathologists #pathTwitter #dermpath #dermatology #dermatologia #dermtwitter

JMGardnerMD's tweet image. 60 F. Scar-like cheek plaque. Diagnosis? 
Digital slide: kikoxp.com/posts/6992
Answer ✅ youtu.be/omdqVEm3qfk
Handout, images, & differential: kikoxp.com/posts/8378. 
#pathology #pathologists #pathTwitter #dermpath #dermatology #dermatologia #dermtwitter

Bone & Soft Tissue Pathology Board Review: 20 Classic Cases for McGill pathology residents @ McgillPathRes. Video: youtube.com/watch?v=raPhEE… Enjoy! #BSTpath #pathologists #pathology #pathTwitter

JMGardnerMD's tweet image. Bone & Soft Tissue Pathology Board Review: 20 Classic Cases for McGill pathology residents @ McgillPathRes. Video: youtube.com/watch?v=raPhEE… Enjoy! 
#BSTpath #pathologists #pathology #pathTwitter

Dermatopathology Unknown Cases (for University of New Mexico UNM Dermatology Residents) Board Review. Video: youtube.com/watch?v=dm_26t… #pathology #pathologists #pathTwitter #dermpath #dermatology #dermatologia #dermtwitter

JMGardnerMD's tweet image. Dermatopathology Unknown Cases (for University of New Mexico UNM Dermatology Residents) Board Review. Video: youtube.com/watch?v=dm_26t… 
#pathology #pathologists #pathTwitter #dermpath #dermatology #dermatologia #dermtwitter

What’s this beauty? It’s a classic finding in what (not so beautiful) skin lesion? Answers ✅ youtu.be/UzNnBfo3mhQ?si… What does it look like to you? To me: ⭐️ or 🕸 #pathology #pathologists #pathTwitter #dermpath #dermatology #dermatologia #dermtwitter #pathArt

JMGardnerMD's tweet image. What’s this beauty? It’s a classic finding in what (not so beautiful) skin lesion? 
Answers ✅ youtu.be/UzNnBfo3mhQ?si… 
What does it look like to you? To me: ⭐️ or 🕸 
#pathology #pathologists #pathTwitter #dermpath #dermatology #dermatologia #dermtwitter #pathArt

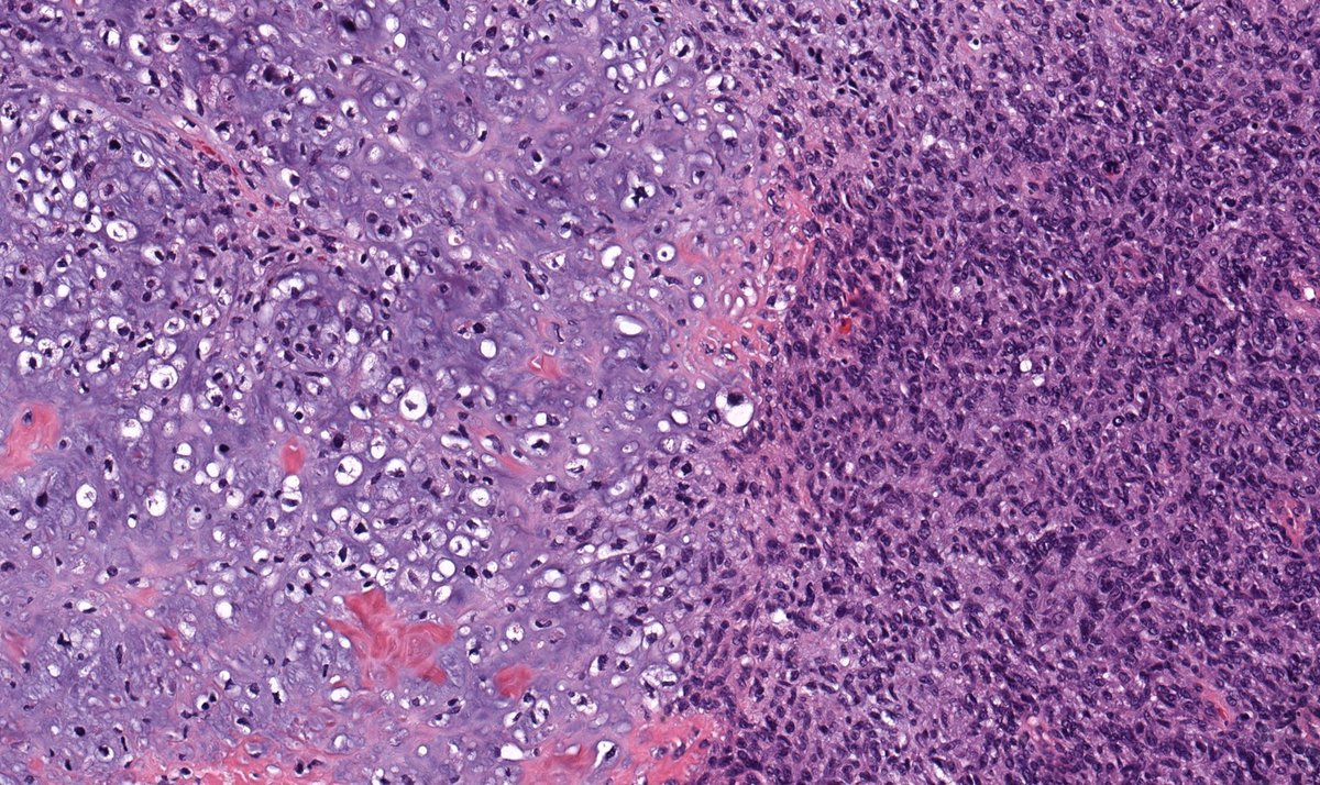
Can you make the diagnosis/es from one pic, or is it #TooFarToDiagnose? More pics & Answer ✅ kikoxp.com/posts/17217 WSI (different case)🔬 kikoxp.com/posts/13673 101 Video ⏯️ youtu.be/7M7Ol5StU7U?si… #pathology #pathologists #pathTwitter #dermpath #dermatology #dermtwitter

JMGardnerMD's tweet image. Can you make the diagnosis/es from one pic, or is it #TooFarToDiagnose? 
More pics & Answer ✅ kikoxp.com/posts/17217
WSI (different case)🔬 kikoxp.com/posts/13673
101 Video ⏯️ youtu.be/7M7Ol5StU7U?si… 
#pathology #pathologists #pathTwitter #dermpath #dermatology #dermtwitter

Painful black ulcer. Abdomen of dialysis patient. Diagnosis? Answer ✅ youtube.com/watch?v=fESY7h… #Dermatology Emergencies all #Pathologists should know: youtube.com/watch?v=EFxAli… #pathology #pathTwitter #dermpath #dermtwitter

JMGardnerMD's tweet image. Painful black ulcer. Abdomen of dialysis patient. Diagnosis? 
Answer ✅ youtube.com/watch?v=fESY7h… 
#Dermatology Emergencies all #Pathologists should know: youtube.com/watch?v=EFxAli… 
#pathology #pathTwitter #dermpath #dermtwitter

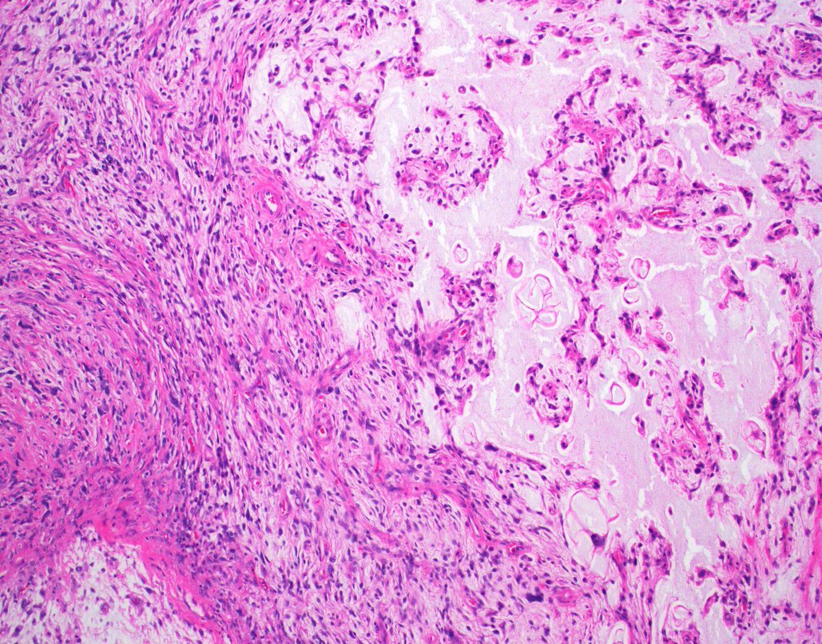
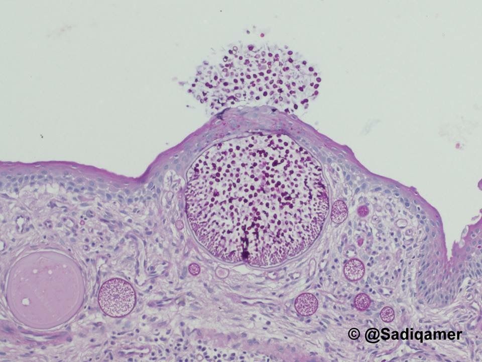
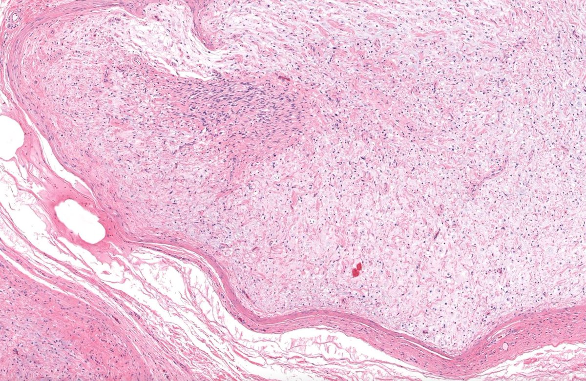
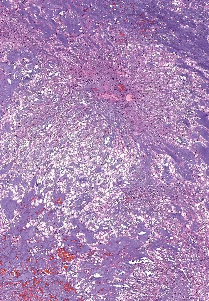
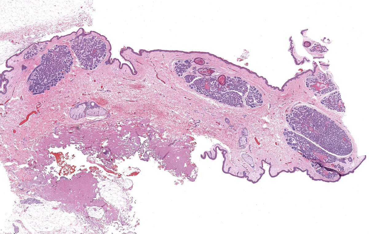
Flank nodule present for yrs. Clinical diagnosis: cyst. Your diagnosis? Answer & video: buff.ly/3dFvhC1. Digital slide via @ pathpresenter: pathpresenter.net/public/display…. @ mydermpath #pathology #pathologists #pathTwitter #dermpath #dermatology #dermatologia #dermtwitter

JMGardnerMD's tweet image. Flank nodule present for yrs. Clinical diagnosis: cyst. Your diagnosis? Answer & video: buff.ly/3dFvhC1. Digital slide via @ pathpresenter: pathpresenter.net/public/display…. @ mydermpath #pathology #pathologists #pathTwitter #dermpath #dermatology #dermatologia #dermtwitter

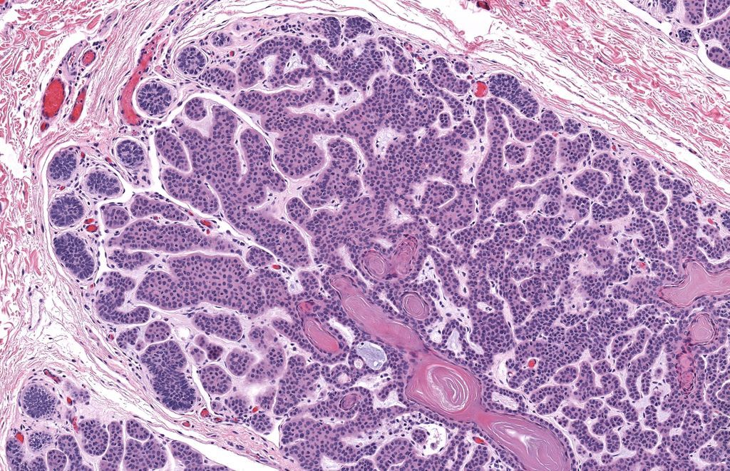
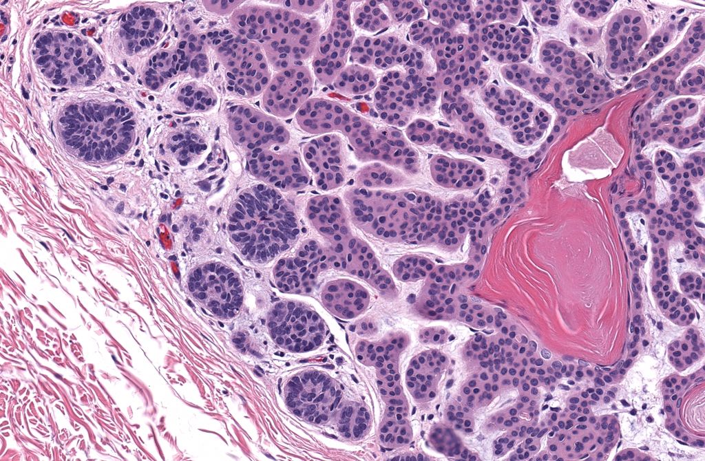
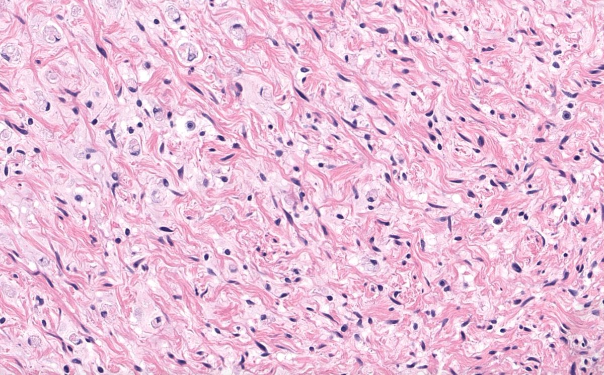
Microcystic adnexal carcinoma (MAC). A rare entity; easy to miss if unfamiliar. My 5 Min video: buff.ly/30VmB6s. Digital slide: pathpresenter.net/public/display…. @ mydermpath @ pathpresenter #pathology #pathologists #pathTwitter #dermpath #dermatology #dermatologia #dermtwitter

JMGardnerMD's tweet image. Microcystic adnexal carcinoma (MAC). A rare entity; easy to miss if unfamiliar. My 5 Min video: buff.ly/30VmB6s. Digital slide: pathpresenter.net/public/display…. @ mydermpath @ pathpresenter #pathology #pathologists #pathTwitter #dermpath #dermatology #dermatologia #dermtwitter

Child with expansile intramedullary bone lesion. Diagnosis ✅ youtu.be/e0B1MSg_TRw?si… What syndromes can this occur in? What gene mutation? Answers & WSI digital slide: kikoxp.com/posts/22455 #BSTpath #pathologists #pathTwitter #orthotwitter #radpathmatch #radiology

JMGardnerMD's tweet image. Child with expansile intramedullary bone lesion. 
Diagnosis ✅ youtu.be/e0B1MSg_TRw?si… 
What syndromes can this occur in? What gene mutation? 
Answers & WSI digital slide: kikoxp.com/posts/22455
#BSTpath #pathologists #pathTwitter #orthotwitter #radpathmatch #radiology

Medical students receive FREE registration for USCAP! Spread the word and see you there! 🥳 #PathTwitter #Pathology #Pathologists

DrCycloPath's tweet image. Medical students receive FREE registration for USCAP! Spread the word and see you there! 🥳
#PathTwitter #Pathology #Pathologists

Breast mass in adult woman. What is the patient history & diagnosis? Answer ✅ youtu.be/KUXoemyh2BY #pathology #pathologists #pathTwitter #dermpath #dermatology #dermatologia #dermtwitter #BSTpath

JMGardnerMD's tweet image. Breast mass in adult woman. What is the patient history & diagnosis?
Answer ✅  youtu.be/KUXoemyh2BY 
#pathology #pathologists #pathTwitter #dermpath #dermatology #dermatologia #dermtwitter #BSTpath

60 yo M. Large dark brown patch on plantar foot. Your diagnosis? Answer ✅ youtube.com/watch?v=FMabvm… WSI digital slide: kikoxp.com/posts/2813. #pathology #pathologists #pathTwitter #dermpath #dermatology #dermatologia #dermtwitter

JMGardnerMD's tweet image. 60 yo M. Large dark brown patch on plantar foot. Your diagnosis? 
Answer ✅ youtube.com/watch?v=FMabvm… 
WSI digital slide: kikoxp.com/posts/2813. 
#pathology #pathologists #pathTwitter #dermpath #dermatology #dermatologia #dermtwitter

Child with expansile intramedullary bone lesion. Diagnosis ✅ youtu.be/e0B1MSg_TRw?si… What syndromes can this occur in? What gene mutation? Answers & WSI digital slide: kikoxp.com/posts/22455 #BSTpath #pathologists #pathTwitter #orthotwitter #radpathmatch #radiology

JMGardnerMD's tweet image. Child with expansile intramedullary bone lesion. 
Diagnosis ✅ youtu.be/e0B1MSg_TRw?si… 
What syndromes can this occur in? What gene mutation? 
Answers & WSI digital slide: kikoxp.com/posts/22455
#BSTpath #pathologists #pathTwitter #orthotwitter #radpathmatch #radiology

45 F on dialysis. Enlarging very painful black eschar/ulcer on abdomen. Answer ✅ youtu.be/Xszx4mUDTmk Video (101): youtu.be/fESY7haH18U #pathology #pathologists #pathTwitter #dermpath #dermatology #dermatologia #dermtwitter

JMGardnerMD's tweet image. 45 F on dialysis. Enlarging very painful black eschar/ulcer on abdomen. 
Answer ✅ youtu.be/Xszx4mUDTmk 
Video (101): youtu.be/fESY7haH18U 
#pathology #pathologists #pathTwitter #dermpath #dermatology #dermatologia #dermtwitter
JMGardnerMD's tweet image. 45 F on dialysis. Enlarging very painful black eschar/ulcer on abdomen. 
Answer ✅ youtu.be/Xszx4mUDTmk 
Video (101): youtu.be/fESY7haH18U 
#pathology #pathologists #pathTwitter #dermpath #dermatology #dermatologia #dermtwitter
JMGardnerMD's tweet image. 45 F on dialysis. Enlarging very painful black eschar/ulcer on abdomen. 
Answer ✅ youtu.be/Xszx4mUDTmk 
Video (101): youtu.be/fESY7haH18U 
#pathology #pathologists #pathTwitter #dermpath #dermatology #dermatologia #dermtwitter

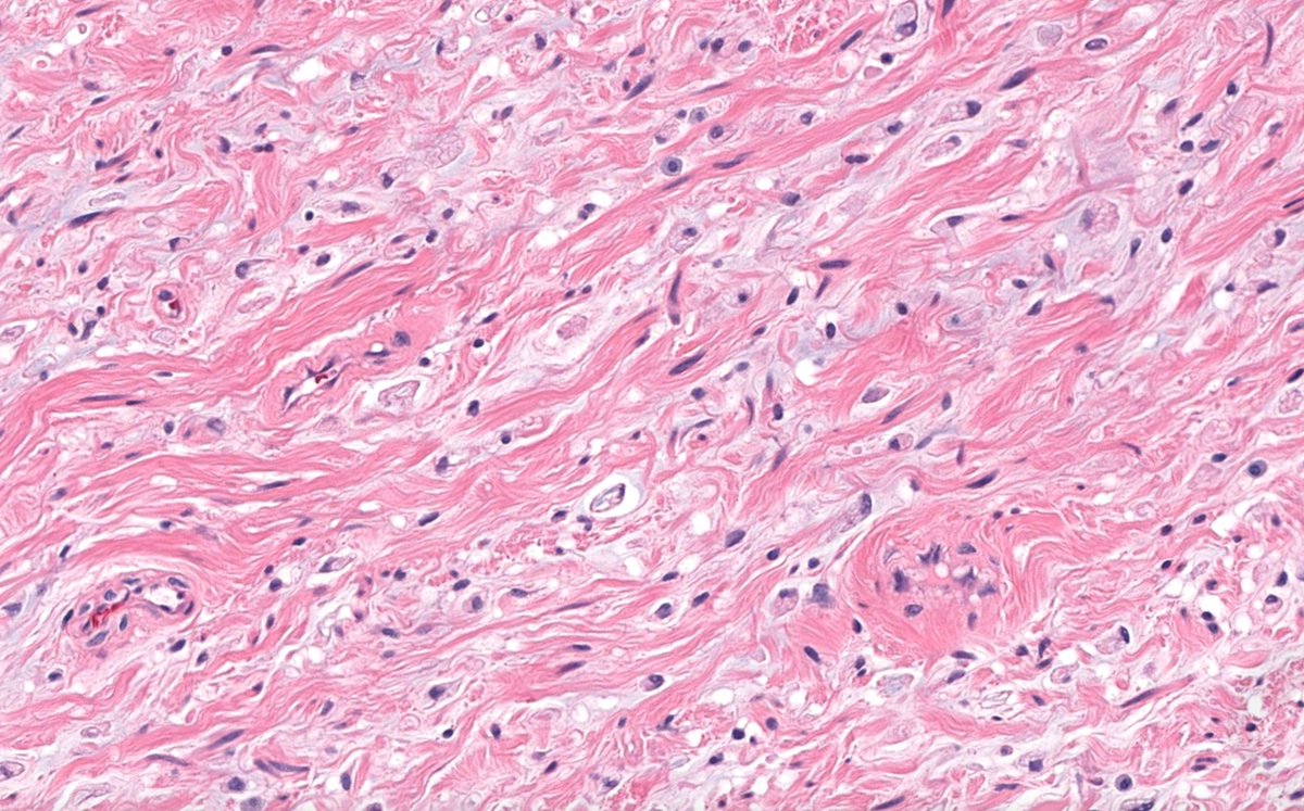
Young adult with hard indurated bound-down skin on bilateral legs. Answer ✅ youtu.be/4PhO81EeGa0 Digital slide: kikoxp.com/posts/24168 Another rare disease that can mimic this clinically 👉 youtu.be/ejj69LOagJE #pathology #pathologists #pathTwitter #dermpath

JMGardnerMD's tweet image. Young adult with hard indurated bound-down skin on bilateral legs. 
Answer ✅ youtu.be/4PhO81EeGa0 
Digital slide: kikoxp.com/posts/24168 
Another rare disease that can mimic this clinically 👉 youtu.be/ejj69LOagJE 
#pathology #pathologists #pathTwitter #dermpath

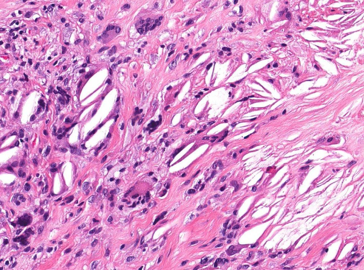
Now THAT's Cherry-Red Nucleoli! (but it isn't melanoma). Large thigh mass in an adult Answer ✅ youtu.be/PLnwikIK1JY?si… More pics: kikoxp.com/posts/10213. How I work up pleomorphic spindle cell tumors: youtu.be/SLbQNYy4B28?si… #BSTpath #pathologists #pathology #pathTwitter

JMGardnerMD's tweet image. Now THAT's Cherry-Red Nucleoli! (but it isn't melanoma). Large thigh mass in an adult
Answer ✅ youtu.be/PLnwikIK1JY?si… 
More pics: kikoxp.com/posts/10213. 
How I work up pleomorphic spindle cell tumors: youtu.be/SLbQNYy4B28?si… 
#BSTpath #pathologists #pathology #pathTwitter

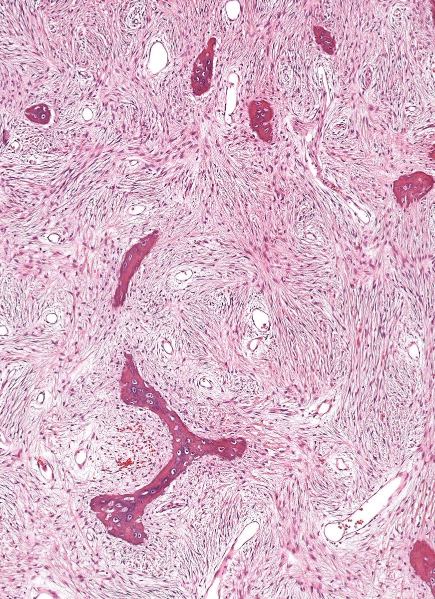
What are these gorgeous pink structures? Where are you most likely to find them (surprisingly, it's NOT sarcoidosis!)? Answer ✅ youtube.com/shorts/_EtAj6C… More pics & info: kikoxp.com/posts/5569. #pathology #pathologists #pathTwitter #dermpath #dermatology #dermatologia

JMGardnerMD's tweet image. What are these gorgeous pink structures? 
Where are you most likely to find them (surprisingly, it's NOT sarcoidosis!)? 
Answer ✅ youtube.com/shorts/_EtAj6C… 
More pics & info: kikoxp.com/posts/5569. 
#pathology #pathologists #pathTwitter #dermpath #dermatology #dermatologia

How to distinguish Langerhans Cell Histiocytosis (LCH) vs Mastocytosis on H&E only. Short Video: youtube.com/watch?v=zfuDpa… Classic pics of LCH: kikoxp.com/posts/22380 #pathology #pathologists #pathTwitter #dermpath #dermatology #dermatologia #dermtwitter #pedipath

JMGardnerMD's tweet image. How to distinguish Langerhans Cell Histiocytosis (LCH) vs Mastocytosis on H&E only. 
Short Video: youtube.com/watch?v=zfuDpa… 
Classic pics of LCH: kikoxp.com/posts/22380
#pathology #pathologists #pathTwitter #dermpath #dermatology #dermatologia #dermtwitter #pedipath

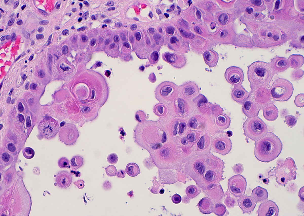
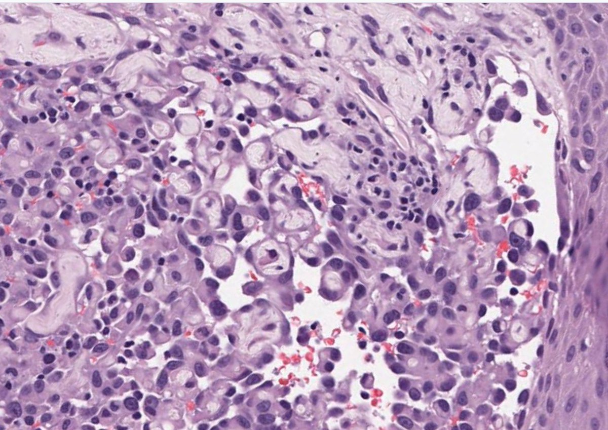
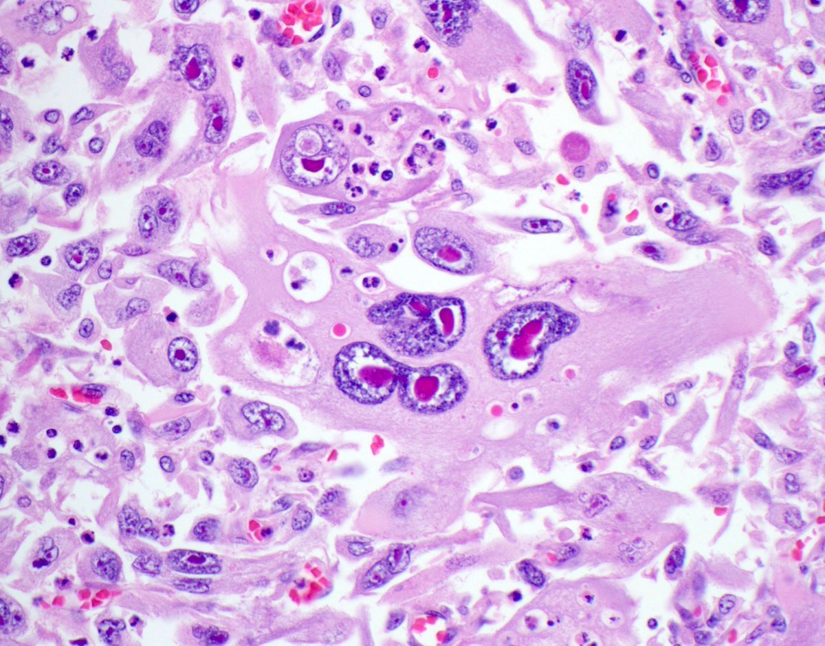
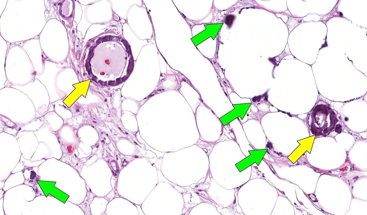
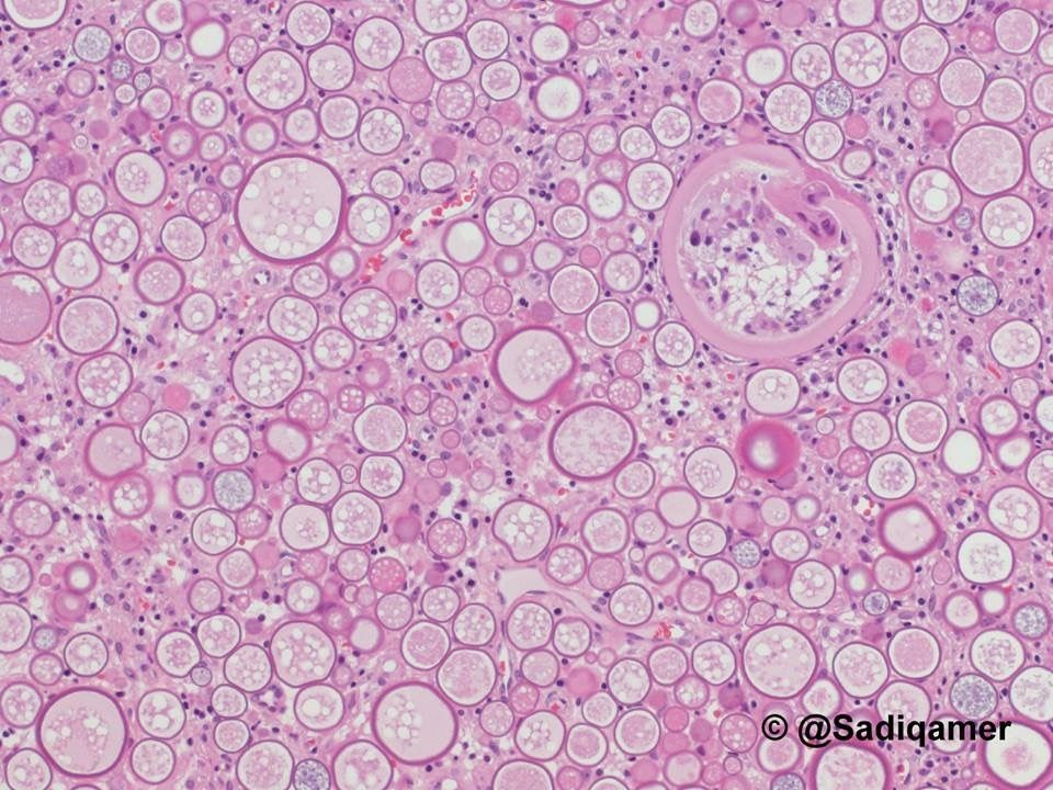
Nasal mucosal mass. Diagnosis? Answer ✅ youtu.be/aT0PaOrx8xc More pics & info: kikoxp.com/posts/5703. Many thanks to @ sadiqamer for these incredible images! #pathology #pathologists #pathTwitter #dermpath #dermatology #dermatologia #dermtwitter #ENTpath #microbiology

JMGardnerMD's tweet image. Nasal mucosal mass. Diagnosis? 
Answer ✅ youtu.be/aT0PaOrx8xc 
More pics & info: kikoxp.com/posts/5703. Many thanks to @ sadiqamer for these incredible images! 
#pathology #pathologists #pathTwitter #dermpath #dermatology #dermatologia #dermtwitter #ENTpath #microbiology
JMGardnerMD's tweet image. Nasal mucosal mass. Diagnosis? 
Answer ✅ youtu.be/aT0PaOrx8xc 
More pics & info: kikoxp.com/posts/5703. Many thanks to @ sadiqamer for these incredible images! 
#pathology #pathologists #pathTwitter #dermpath #dermatology #dermatologia #dermtwitter #ENTpath #microbiology
JMGardnerMD's tweet image. Nasal mucosal mass. Diagnosis? 
Answer ✅ youtu.be/aT0PaOrx8xc 
More pics & info: kikoxp.com/posts/5703. Many thanks to @ sadiqamer for these incredible images! 
#pathology #pathologists #pathTwitter #dermpath #dermatology #dermatologia #dermtwitter #ENTpath #microbiology

Phase 1 data from a new TROP2 targeted Antibody drug conjugate (SHR-A1921, Jiangsu Hengrui Pharmaceuticals) in solid tumors, published in @Cancer_Cell cell.com/cancer-cell/ab… “No significant correlation was found between TROP-2 expression and treatment efficacy” - #Pathologists

Aiims1742's tweet image. Phase 1 data from a new TROP2 targeted Antibody drug conjugate (SHR-A1921, Jiangsu Hengrui Pharmaceuticals) in solid tumors, published in @Cancer_Cell 
cell.com/cancer-cell/ab…
“No significant correlation was found between TROP-2 expression and treatment efficacy” - #Pathologists

Lytic bone lesion in femoral head. What does this patient have a history of? Answer & more pics: kikoxp.com/posts/8385. #BSTpath #pathologists #pathology #pathTwitter

JMGardnerMD's tweet image. Lytic bone lesion in femoral head. What does this patient have a history of? Answer & more pics: kikoxp.com/posts/8385. #BSTpath #pathologists #pathology #pathTwitter

Sarcoma 101 - Bone & Soft Tissue Tumor Classification/Names Made Simple video: youtube.com/watch?v=MiAkjJ… . My 2021 lecture for NCI SEER cancer registrars. Also good for #medstudents, jr. #pathologists, ortho/oncology, & patients/family. #medtwitter #pathology #orthotwitter

JMGardnerMD's tweet image. Sarcoma 101 - Bone & Soft Tissue Tumor Classification/Names Made Simple video: youtube.com/watch?v=MiAkjJ… . My 2021 lecture for NCI SEER cancer registrars. Also good for #medstudents, jr. #pathologists, ortho/oncology, & patients/family. #medtwitter #pathology #orthotwitter

Looks like 🇺🇸 #pathologists may need 10% blasts to call AML after all 😉 #hemepath #WHOvsICC #IYKYK

sanamloghavi's tweet image. Looks like 🇺🇸 #pathologists may need 10% blasts to call AML after all 😉
#hemepath #WHOvsICC #IYKYK

67 yo F. 1.2 cm nodule anterior thigh. Clinical dx: lipoma. CD10+. Your diagnosis? (It's NOT RCC!) Answer ✅ youtube.com/watch?v=VXpcFY… Digital slide: kikoxp.com/posts/8441 #pathology #pathologists #pathTwitter #dermpath #dermatology #dermtwitter #BSTpath

JMGardnerMD's tweet image. 67 yo F. 1.2 cm nodule anterior thigh. Clinical dx: lipoma. CD10+. 
Your diagnosis? (It's NOT RCC!) 
Answer ✅ youtube.com/watch?v=VXpcFY… 
Digital slide: kikoxp.com/posts/8441
#pathology #pathologists #pathTwitter #dermpath #dermatology #dermtwitter #BSTpath

Loading...

Something went wrong.


Something went wrong.