#transgenicmodels search results

Detailed analysis of #TransgenicModels from @CRUKCambridge gives important insights into development of #ProstateCancer highlighting potential #TherapeuticTargets. #MELK offers exciting potential-predicts relapse & MELKi #OTS167 stops mitosis. @EmboMolMed embomolmed.embopress.org/content/early/…

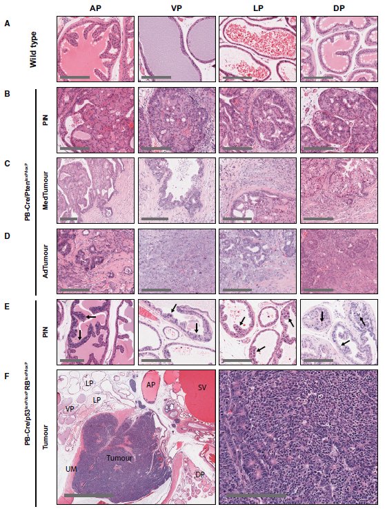
LambAlastair's tweet image. Detailed analysis of #TransgenicModels from @CRUKCambridge gives important insights into development of #ProstateCancer highlighting potential #TherapeuticTargets.
#MELK offers exciting potential-predicts relapse & MELKi #OTS167 stops mitosis.
@EmboMolMed 
embomolmed.embopress.org/content/early/…
LambAlastair's tweet image. Detailed analysis of #TransgenicModels from @CRUKCambridge gives important insights into development of #ProstateCancer highlighting potential #TherapeuticTargets.
#MELK offers exciting potential-predicts relapse & MELKi #OTS167 stops mitosis.
@EmboMolMed 
embomolmed.embopress.org/content/early/…
LambAlastair's tweet image. Detailed analysis of #TransgenicModels from @CRUKCambridge gives important insights into development of #ProstateCancer highlighting potential #TherapeuticTargets.
#MELK offers exciting potential-predicts relapse & MELKi #OTS167 stops mitosis.
@EmboMolMed 
embomolmed.embopress.org/content/early/…
LambAlastair's tweet image. Detailed analysis of #TransgenicModels from @CRUKCambridge gives important insights into development of #ProstateCancer highlighting potential #TherapeuticTargets.
#MELK offers exciting potential-predicts relapse & MELKi #OTS167 stops mitosis.
@EmboMolMed 
embomolmed.embopress.org/content/early/…

💻We're preparing a hashtag#webinar where you can discover more details about how our services can support and enhance your research. Stay tuned for more information. #DiseaseModeling #KnockoutModels #TransgenicModels #GeneticModels #Zebrafish #ScientificInnovation

ZeClinics's tweet image. 💻We're preparing a hashtag#webinar where you can discover more details about how our services can support and enhance your research. Stay tuned for more information.

#DiseaseModeling #KnockoutModels #TransgenicModels #GeneticModels #Zebrafish #ScientificInnovation

👀 Hesitated on any question? Hurry over to check out our latest blog post for more insights! bit.ly/4c4SKvu #TransgenicModels #GeneticResearch #ScientificDiscovery

ZeClinics's tweet image. 👀 Hesitated on any question? Hurry over to check out our latest blog post for more insights! bit.ly/4c4SKvu
#TransgenicModels #GeneticResearch #ScientificDiscovery

#3GENEUSA18 will be kickstarted by keynote presenter, @geochurch from @Harvard. This conference will bring together over 100 experts to discover the latest technical advances in #transgenicgenomeediting & learn more about #transgenicmodels of disease. bit.ly/2iL56Af

TransgenicConf's tweet image. #3GENEUSA18 will be kickstarted by keynote presenter, @geochurch from @Harvard. This conference will bring together over 100 experts to discover the latest technical advances in #transgenicgenomeediting & learn more about #transgenicmodels of disease. bit.ly/2iL56Af

At#3GENEUSA18 we will be discussing #AdvancesinTransgenics and #transgenicmodels for human diseases in areas such as #oncology, #cardiovasculardisease & #metabolicdisorders. Find out more and register to be part of it today bit.ly/2hyCm0f


#3GENEUSA18 Advances in Transgenic Technology USA day 2 will look at #TransgenicModels of Disease and Therapeutic Applications.Download the #3GENEUSA18 agenda here bit.ly/2hyCm0f and follow @TransgenicConf to keep up to date


👀 Hesitated on any question? Hurry over to check out our latest blog post for more insights! bit.ly/4c4SKvu #TransgenicModels #GeneticResearch #ScientificDiscovery

ZeClinics's tweet image. 👀 Hesitated on any question? Hurry over to check out our latest blog post for more insights! bit.ly/4c4SKvu
#TransgenicModels #GeneticResearch #ScientificDiscovery

💻We're preparing a hashtag#webinar where you can discover more details about how our services can support and enhance your research. Stay tuned for more information. #DiseaseModeling #KnockoutModels #TransgenicModels #GeneticModels #Zebrafish #ScientificInnovation

ZeClinics's tweet image. 💻We're preparing a hashtag#webinar where you can discover more details about how our services can support and enhance your research. Stay tuned for more information.

#DiseaseModeling #KnockoutModels #TransgenicModels #GeneticModels #Zebrafish #ScientificInnovation

At#3GENEUSA18 we will be discussing #AdvancesinTransgenics and #transgenicmodels for human diseases in areas such as #oncology, #cardiovasculardisease & #metabolicdisorders. Find out more and register to be part of it today bit.ly/2hyCm0f


#3GENEUSA18 Advances in Transgenic Technology USA day 2 will look at #TransgenicModels of Disease and Therapeutic Applications.Download the #3GENEUSA18 agenda here bit.ly/2hyCm0f and follow @TransgenicConf to keep up to date


Detailed analysis of #TransgenicModels from @CRUKCambridge gives important insights into development of #ProstateCancer highlighting potential #TherapeuticTargets. #MELK offers exciting potential-predicts relapse & MELKi #OTS167 stops mitosis. @EmboMolMed embomolmed.embopress.org/content/early/…

LambAlastair's tweet image. Detailed analysis of #TransgenicModels from @CRUKCambridge gives important insights into development of #ProstateCancer highlighting potential #TherapeuticTargets.
#MELK offers exciting potential-predicts relapse & MELKi #OTS167 stops mitosis.
@EmboMolMed 
embomolmed.embopress.org/content/early/…
LambAlastair's tweet image. Detailed analysis of #TransgenicModels from @CRUKCambridge gives important insights into development of #ProstateCancer highlighting potential #TherapeuticTargets.
#MELK offers exciting potential-predicts relapse & MELKi #OTS167 stops mitosis.
@EmboMolMed 
embomolmed.embopress.org/content/early/…
LambAlastair's tweet image. Detailed analysis of #TransgenicModels from @CRUKCambridge gives important insights into development of #ProstateCancer highlighting potential #TherapeuticTargets.
#MELK offers exciting potential-predicts relapse & MELKi #OTS167 stops mitosis.
@EmboMolMed 
embomolmed.embopress.org/content/early/…
LambAlastair's tweet image. Detailed analysis of #TransgenicModels from @CRUKCambridge gives important insights into development of #ProstateCancer highlighting potential #TherapeuticTargets.
#MELK offers exciting potential-predicts relapse & MELKi #OTS167 stops mitosis.
@EmboMolMed 
embomolmed.embopress.org/content/early/…

#3GENEUSA18 will be kickstarted by keynote presenter, @geochurch from @Harvard. This conference will bring together over 100 experts to discover the latest technical advances in #transgenicgenomeediting & learn more about #transgenicmodels of disease. bit.ly/2iL56Af

TransgenicConf's tweet image. #3GENEUSA18 will be kickstarted by keynote presenter, @geochurch from @Harvard. This conference will bring together over 100 experts to discover the latest technical advances in #transgenicgenomeediting & learn more about #transgenicmodels of disease. bit.ly/2iL56Af

No results for "#transgenicmodels"

Detailed analysis of #TransgenicModels from @CRUKCambridge gives important insights into development of #ProstateCancer highlighting potential #TherapeuticTargets. #MELK offers exciting potential-predicts relapse & MELKi #OTS167 stops mitosis. @EmboMolMed embomolmed.embopress.org/content/early/…

LambAlastair's tweet image. Detailed analysis of #TransgenicModels from @CRUKCambridge gives important insights into development of #ProstateCancer highlighting potential #TherapeuticTargets.
#MELK offers exciting potential-predicts relapse & MELKi #OTS167 stops mitosis.
@EmboMolMed 
embomolmed.embopress.org/content/early/…
LambAlastair's tweet image. Detailed analysis of #TransgenicModels from @CRUKCambridge gives important insights into development of #ProstateCancer highlighting potential #TherapeuticTargets.
#MELK offers exciting potential-predicts relapse & MELKi #OTS167 stops mitosis.
@EmboMolMed 
embomolmed.embopress.org/content/early/…
LambAlastair's tweet image. Detailed analysis of #TransgenicModels from @CRUKCambridge gives important insights into development of #ProstateCancer highlighting potential #TherapeuticTargets.
#MELK offers exciting potential-predicts relapse & MELKi #OTS167 stops mitosis.
@EmboMolMed 
embomolmed.embopress.org/content/early/…
LambAlastair's tweet image. Detailed analysis of #TransgenicModels from @CRUKCambridge gives important insights into development of #ProstateCancer highlighting potential #TherapeuticTargets.
#MELK offers exciting potential-predicts relapse & MELKi #OTS167 stops mitosis.
@EmboMolMed 
embomolmed.embopress.org/content/early/…

💻We're preparing a hashtag#webinar where you can discover more details about how our services can support and enhance your research. Stay tuned for more information. #DiseaseModeling #KnockoutModels #TransgenicModels #GeneticModels #Zebrafish #ScientificInnovation

ZeClinics's tweet image. 💻We're preparing a hashtag#webinar where you can discover more details about how our services can support and enhance your research. Stay tuned for more information.

#DiseaseModeling #KnockoutModels #TransgenicModels #GeneticModels #Zebrafish #ScientificInnovation

👀 Hesitated on any question? Hurry over to check out our latest blog post for more insights! bit.ly/4c4SKvu #TransgenicModels #GeneticResearch #ScientificDiscovery

ZeClinics's tweet image. 👀 Hesitated on any question? Hurry over to check out our latest blog post for more insights! bit.ly/4c4SKvu
#TransgenicModels #GeneticResearch #ScientificDiscovery

#3GENEUSA18 will be kickstarted by keynote presenter, @geochurch from @Harvard. This conference will bring together over 100 experts to discover the latest technical advances in #transgenicgenomeediting & learn more about #transgenicmodels of disease. bit.ly/2iL56Af

TransgenicConf's tweet image. #3GENEUSA18 will be kickstarted by keynote presenter, @geochurch from @Harvard. This conference will bring together over 100 experts to discover the latest technical advances in #transgenicgenomeediting & learn more about #transgenicmodels of disease. bit.ly/2iL56Af

Loading...

Something went wrong.


Something went wrong.


United States Trends