#twittercase search results

and time will tell … #twittercase is a good business lesson for others, we need to watch it with great awareness


We have a #twittercase at the beginning of every cath conference. the end hole nightmare by @Radial_ICG was the first one i showed. difficult to follow that!


In the interest of National Security, Hon'ble SC should take #Twittercase on fast track as we have witnessed several incidents in recent times where we have seen Khalistani flags & slogans being raised across India, where Pannu has taken its responsibility.


SCOTUS Rejects Twitter's 2014 Case: Denies Protection for Data Requests in National Security Probes Under 1A. #SCOTUSDecision #TwitterCase #DataPrivacy

cheinyeanlim's tweet image. SCOTUS Rejects Twitter's 2014 Case: Denies Protection for Data Requests in National Security Probes Under 1A. #SCOTUSDecision #TwitterCase #DataPrivacy

Severe mediodistal lateral and inferior hypokinesia + MAD. There is something more, not just a #twittercase of MAD


#TwitterSaga :Center Govt informs Delhi HC that twitters is in compliance with the new IT Rules.. ASG Says prima facie they are in compliance. #twittercase


58 yo 👨🏻w/ DOE. MI on March taken to PCI of a RI. He has DM, hypertension, EF 42%. SPECT with inferolateral ischemia. Cath videos on reply. What would be your approach for this case? #CTO101 #CTO201 @ajaykirtane @lamelaspablo @saraceciliamtz @hectortamezmd @mirvatalasnag

DrFerNunez's tweet image. 58 yo 👨🏻w/ DOE. MI on March taken to PCI of a RI. He has DM, hypertension, EF 42%. SPECT with inferolateral ischemia. Cath videos on reply. What would be your approach for this case? #CTO101 #CTO201 @ajaykirtane @lamelaspablo @saraceciliamtz @hectortamezmd @mirvatalasnag
DrFerNunez's tweet image. 58 yo 👨🏻w/ DOE. MI on March taken to PCI of a RI. He has DM, hypertension, EF 42%. SPECT with inferolateral ischemia. Cath videos on reply. What would be your approach for this case? #CTO101 #CTO201 @ajaykirtane @lamelaspablo @saraceciliamtz @hectortamezmd @mirvatalasnag


எலான் மஸ்க் மீது டுவிட்டர் தொடர்ந்த வழக்கு ஒத்தி வைப்பு #elonmusk #twiiter #twittercase #viralnews #elonmusknews @elonmusk

VizhuthugalM's tweet image. எலான் மஸ்க் மீது டுவிட்டர் தொடர்ந்த வழக்கு ஒத்தி வைப்பு
#elonmusk #twiiter #twittercase #viralnews #elonmusknews @elonmusk

Very nice case @carlos__campos thanks for sharing #TwitterCase #CHIP #EAPCI angina free after?


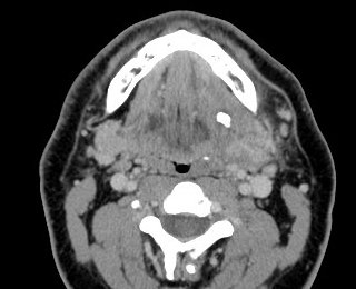
Great #TwitterCase from the esteemed Dr. @JennyKHoang

Pain in L face. What's the cause for pain? Name for the anatomic structure involved (eponym)? ANSWER: bit.ly/2QENK6c

JennyKHoang's tweet image. Pain in L face. What's the cause for pain? Name for the anatomic structure involved (eponym)?

ANSWER: bit.ly/2QENK6c


Your #twittercase challenge by by Jan Kovac & Derek Chin, Leicester. 87 yrs old woman c/o SOB NYHA III, AF & LBBB. 31 mm Tissue-Med bioprosthesis 17 years ago. Euroscore 28%. Poll questions below ⬇️ #EAPCI


Great case! Have you considered including a unifying hash tag? #TwitterCase isn't actively being used. #TwitterRadCase, or some other variation thereof. Would be nice to quickly query Twitter for these cases to review or show in a case conference.


Severe mitral PVL treated with large VSD in Germany- now severe MS at heart rate of 70 with mean 13-14 mmhg- no residual PVL- 85 year old- What would you do? @ibarb_ @FabienPraz @dmylotte @adnanalkhouli @azeemlatib @EuroInterventio @



TAVR-in-TAVR today. Preclose with 2 percloses. Substantial residual bleeding. Third perclose. Still substantial bleeding. Why not deploying an angioseal on top? Bleeding was due to by sub-occlusive dissection. Importance of angio to understand mechanism of closure failure.



ایمان مزاری ٹوئٹس کیس میں عدالت کا بڑا فیصلا مزید پڑھیں: dailyaaj.com.pk/news/145806 #ImanMazari #TwitterCase #CourtDecision #PakistanLegalNews #BreakingUpdate #dailyaajdigital

aajdigital's tweet image. ایمان مزاری ٹوئٹس کیس میں عدالت کا بڑا فیصلا
مزید پڑھیں: dailyaaj.com.pk/news/145806
#ImanMazari #TwitterCase #CourtDecision #PakistanLegalNews #BreakingUpdate #dailyaajdigital

Case on PTI Founder’s Ex-Account Closure Postponed Until February 24 #PTIFounder #TwitterCase #AccountClosure

TV1USA's tweet image. Case on PTI Founder’s Ex-Account Closure Postponed Until February 24 

#PTIFounder #TwitterCase #AccountClosure

لاہور ہائیکورٹ ،ٹوئٹرکی بندش کیخلاف درخواست پر سماعت نہ ہو سکی sabahnews.net/archives/176827 #LHC #TwitterCase @GovtofPunjabPK

SabahNewsPk's tweet image. لاہور ہائیکورٹ ،ٹوئٹرکی بندش کیخلاف درخواست پر سماعت نہ ہو سکی
sabahnews.net/archives/176827
#LHC #TwitterCase 
@GovtofPunjabPK

SCOTUS Rejects Twitter's 2014 Case: Denies Protection for Data Requests in National Security Probes Under 1A. #SCOTUSDecision #TwitterCase #DataPrivacy

cheinyeanlim's tweet image. SCOTUS Rejects Twitter's 2014 Case: Denies Protection for Data Requests in National Security Probes Under 1A. #SCOTUSDecision #TwitterCase #DataPrivacy

ٹویٹر پر 50 لاکھ جرمانہ، ٹویٹس کو بلاک نہیں کیا urdu.awazthevoice.in/world-news/fiv… #IndiaTwitter #TwitterCase

AwazTheVoiceUrd's tweet image. ٹویٹر پر 50 لاکھ جرمانہ، ٹویٹس کو بلاک نہیں کیا

urdu.awazthevoice.in/world-news/fiv…
#IndiaTwitter
#TwitterCase

‘ഞങ്ങൾ നിങ്ങളുടെ കേട്ടെഴുത്തുകാരല്ല’- ട്വിറ്റർ കേസിൽ കേന്ദ്രത്തെ വിമർശിച്ച് കർണാടക ഹൈകോടതി #KarnatakaHighCourt #Twittercase madhyamam.com/india/karnatak…


Twitter’s case challenging blocking of accounts, posts and URLs without giving notice to account holders came up before Justice Krishna S Dixit. siasat.com/karnataka-hc-n… #KarnatakaHighCourt #TwitterCase


कर्नाटक: HC ने ट्विटर अकाउंट्स ब्लॉकिंग मामले में बार-बार स्थगन की मांग पर नाखुशी जताई #karnatakahighcourt #topnews #twittercase #कर्नाटकउच्चन्यायालय #ट्विटर punjabkesari.com/other-states/k…


Twitter secret blacklists. Btw: they can read your DMs… #TwitterFiles #twittercase

16. One of the accounts that rose to this level of scrutiny was @libsoftiktok—an account that was on the “Trends Blacklist” and was designated as “Do Not Take Action on User Without Consulting With SIP-PES.”

bariweiss's tweet image. 16. One of the accounts that rose to this level of scrutiny was @libsoftiktok—an account that was on the “Trends Blacklist” and was designated as “Do Not Take Action on User Without Consulting With SIP-PES.”


No results for "#twittercase"

ایمان مزاری ٹوئٹس کیس میں عدالت کا بڑا فیصلا مزید پڑھیں: dailyaaj.com.pk/news/145806 #ImanMazari #TwitterCase #CourtDecision #PakistanLegalNews #BreakingUpdate #dailyaajdigital

aajdigital's tweet image. ایمان مزاری ٹوئٹس کیس میں عدالت کا بڑا فیصلا
مزید پڑھیں: dailyaaj.com.pk/news/145806
#ImanMazari #TwitterCase #CourtDecision #PakistanLegalNews #BreakingUpdate #dailyaajdigital

రోజుకో మలుపు తిరుగుతున్న ట్విట్టర్ వివాదం | Karnataka High Court Protects Twitter India MD WATCH HERE >> youtu.be/1n86ajlBu4I #TwitterCase #TwitterIndiaMD #Ntv #Ntvnews #Ntvtelugu #NtvLive

NtvTeluguLive's tweet image. రోజుకో మలుపు తిరుగుతున్న ట్విట్టర్ వివాదం | Karnataka High Court Protects Twitter India MD

WATCH HERE >> youtu.be/1n86ajlBu4I

#TwitterCase #TwitterIndiaMD #Ntv #Ntvnews #Ntvtelugu #NtvLive

Sammanställning över #TwitterCase från olika inlägg Det blev 126 bolag 💎 Direktlänk till listan #Twitter_Favoriter 👇 borsdata.se/share/wl/fjcou… Bland annat: #AQ #Gravity #EVO #Fortnox #Sinch #Medistim #Pricer #GHP #Embracer #CTT #Vitec

40procent20ar's tweet image. Sammanställning över #TwitterCase från olika inlägg

Det blev 126 bolag 💎

Direktlänk till listan #Twitter_Favoriter 

👇
borsdata.se/share/wl/fjcou…

Bland annat: #AQ #Gravity #EVO #Fortnox #Sinch #Medistim #Pricer #GHP #Embracer #CTT #Vitec

எலான் மஸ்க் மீது டுவிட்டர் தொடர்ந்த வழக்கு ஒத்தி வைப்பு #elonmusk #twiiter #twittercase #viralnews #elonmusknews @elonmusk

VizhuthugalM's tweet image. எலான் மஸ்க் மீது டுவிட்டர் தொடர்ந்த வழக்கு ஒத்தி வைப்பு
#elonmusk #twiiter #twittercase #viralnews #elonmusknews @elonmusk

Detallazo de tu parte.. @dianaramrez #TwitterCase ya estamos pimpeados #DreamTeam

Ruxe's tweet image. Detallazo de tu parte.. @dianaramrez #TwitterCase ya estamos pimpeados #DreamTeam

Case on PTI Founder’s Ex-Account Closure Postponed Until February 24 #PTIFounder #TwitterCase #AccountClosure

TV1USA's tweet image. Case on PTI Founder’s Ex-Account Closure Postponed Until February 24 

#PTIFounder #TwitterCase #AccountClosure

لاہور ہائیکورٹ ،ٹوئٹرکی بندش کیخلاف درخواست پر سماعت نہ ہو سکی sabahnews.net/archives/176827 #LHC #TwitterCase @GovtofPunjabPK

SabahNewsPk's tweet image. لاہور ہائیکورٹ ،ٹوئٹرکی بندش کیخلاف درخواست پر سماعت نہ ہو سکی
sabahnews.net/archives/176827
#LHC #TwitterCase 
@GovtofPunjabPK

#twittercase ok overall customer experience at mossy Nissan Oceanside (0-10) i give it a 7 bonus car wash im happy twitpic.com/bytbc


Twitter Case: Ex-CEO Parag Agrawal समेत तीन पूर्व अफसरों ने किया पलटवार, ट्विटर पर ठोका मुकदमा | Elon Musk #twittercase #ParagAgrawal #Twitter #elonmuskceo @elonmusk @paraga #WATCH : youtu.be/E_7f4SfqYFU

IndiaSamachar27's tweet image. Twitter Case: Ex-CEO Parag Agrawal समेत तीन पूर्व अफसरों ने किया पलटवार, ट्विटर पर ठोका मुकदमा | Elon Musk
#twittercase #ParagAgrawal #Twitter #elonmuskceo 
@elonmusk @paraga 
#WATCH : youtu.be/E_7f4SfqYFU

ٹویٹر پر 50 لاکھ جرمانہ، ٹویٹس کو بلاک نہیں کیا urdu.awazthevoice.in/world-news/fiv… #IndiaTwitter #TwitterCase

AwazTheVoiceUrd's tweet image. ٹویٹر پر 50 لاکھ جرمانہ، ٹویٹس کو بلاک نہیں کیا

urdu.awazthevoice.in/world-news/fiv…
#IndiaTwitter
#TwitterCase

SCOTUS Rejects Twitter's 2014 Case: Denies Protection for Data Requests in National Security Probes Under 1A. #SCOTUSDecision #TwitterCase #DataPrivacy

cheinyeanlim's tweet image. SCOTUS Rejects Twitter's 2014 Case: Denies Protection for Data Requests in National Security Probes Under 1A. #SCOTUSDecision #TwitterCase #DataPrivacy

Loading...

Something went wrong.


Something went wrong.