#uscjournal search results

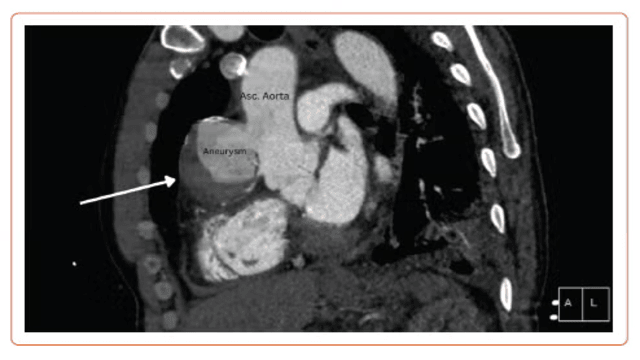
📚 New #USCJournal Article: "Aortic Pseudoaneurysm Rupture into the Right Ventricle" 📚 Just Published! 🔓Access it here 👉 ow.ly/sJm1106vsUC @CardioNerds #CVImaging #MedEd #VascularDisease

radcliffeCARDIO's tweet image. 📚 New #USCJournal Article: "Aortic Pseudoaneurysm Rupture into the Right Ventricle"

📚 Just Published!

🔓Access it here 👉 ow.ly/sJm1106vsUC

@CardioNerds #CVImaging #MedEd #VascularDisease

📚 New #USCJournal Article: "High-grade AV Block Due to Lyme Disease" 📚 Just Published! 🔓Access it here 👉 ow.ly/ZAt5106vZzv @AnkurKalraMD @CardioNerds #Electrophysiology #Arrhythmia #MedEd

radcliffeCARDIO's tweet image. 📚 New #USCJournal Article: "High-grade AV Block Due to Lyme Disease"

📚 Just Published!

🔓Access it here 👉 ow.ly/ZAt5106vZzv

@AnkurKalraMD @CardioNerds #Electrophysiology #Arrhythmia #MedEd

📚New #USCJournal Article: "Mitral Annular Disjunction: Case Report and Literature Review" 📚 Just Published! 🔓Access it here 👉 ow.ly/8cNB106pbjB @CardioNerds #Electrophysiology #Arrhythmia #MedEd #CVImaging

radcliffeCARDIO's tweet image. 📚New #USCJournal Article: "Mitral Annular Disjunction: Case Report and Literature Review"

📚 Just Published!

🔓Access it here 👉 ow.ly/8cNB106pbjB

@CardioNerds #Electrophysiology #Arrhythmia #MedEd #CVImaging

Timely & important review on the important #CardioOb 🤰 #CHD multidisciplinary team in #USCJournal Congratulations @swan_lorna & coauthor!👏👏 @radcliffeCARDIO

📚New #USCJournal Article📚 This review examines risk stratification surrounding pregnancy and congenital heart disease and the need for more comprehensive tools for pre-pregnancy or early pregnancy counselling. 🔓Access here👉 ow.ly/lmvr50OFVkT @CardioNerds @swan_lorna



🌟Access the latest article from the #USCJournal special collection from the 2023 NYU Langone Critical Care Cardiology Symposium! Cardio-obstetrics in the CICU: An Introductory Guide 👉 ow.ly/Z74p50VZZyF Access the collection now 👉 ow.ly/O6vY50VZZyC #CardioEd

radcliffeCARDIO's tweet image. 🌟Access the latest article from the #USCJournal special collection from the 2023 NYU Langone Critical Care Cardiology Symposium!

Cardio-obstetrics in the CICU: An Introductory Guide 👉 ow.ly/Z74p50VZZyF

Access the collection now 👉 ow.ly/O6vY50VZZyC

#CardioEd

📚 New #USCJournal Article: "Important Gaps in Heart Failure Care" 📚 Just Published! 🔓Access it here 👉 ow.ly/Lg8W106r2lR @aminyehyamd @CardioNerds #HeartFailure #CardioTwitter #MedEd

radcliffeCARDIO's tweet image. 📚 New #USCJournal Article: "Important Gaps in Heart Failure Care"

📚 Just Published!

🔓Access it here 👉 ow.ly/Lg8W106r2lR

@aminyehyamd @CardioNerds #HeartFailure #CardioTwitter #MedEd

📚New #USCJournal Article: "The Artwork of Jamil Aboulhosn" 📚 Just Published! 🔓Access it here 👉 ow.ly/V6TO106l8Nv @CardioNerds

radcliffeCARDIO's tweet image. 📚New #USCJournal Article: "The Artwork of Jamil Aboulhosn"

📚 Just Published!

🔓Access it here 👉 ow.ly/V6TO106l8Nv

@CardioNerds

📚Discover this month’s featured articles in #USCJournal!✨ 📄Hypertensive Disorders of Pregnancy: A Literature Review – Pathophysiology, Current Management, Future Perspectives, and Healthcare Disparities 👉 uscjournal.com/articles/hyper… 📄Cardiopulmonary Exercise Testing:

radcliffeCARDIO's tweet image. 📚Discover this month’s featured articles in #USCJournal!✨

📄Hypertensive Disorders of Pregnancy: A Literature Review – Pathophysiology, Current Management, Future Perspectives, and Healthcare Disparities 👉 uscjournal.com/articles/hyper…

📄Cardiopulmonary Exercise Testing:

📚📈 Explore these top 3 most-read articles in #USCJournal 🫀 📄Narrative Review of Postural Orthostatic Tachycardia Syndrome: Associated Conditions and Management Strategies 👉 tinyurl.com/3tk9tv7p 📄Cardiopulmonary Exercise Testing: Methodology, Interpretation, and Role in

radcliffeCARDIO's tweet image. 📚📈 Explore these top 3 most-read articles in #USCJournal 🫀

📄Narrative Review of Postural Orthostatic Tachycardia Syndrome: Associated Conditions and Management Strategies 👉 tinyurl.com/3tk9tv7p

📄Cardiopulmonary Exercise Testing: Methodology, Interpretation, and Role in

📚New #USCJournal Article: "Secondary Prevention of Atherosclerotic Cardiovascular Disease" 📚 Just Published! 🔓Access it here 👉 ow.ly/STbm1067hlQ @CardioNerds #MedEd #CardioEd

radcliffeCARDIO's tweet image. 📚New #USCJournal Article: "Secondary Prevention of Atherosclerotic Cardiovascular Disease"

📚 Just Published!

🔓Access it here 👉 ow.ly/STbm1067hlQ

@CardioNerds #MedEd #CardioEd

📚New #USCJournal Article: "Device Therapies in Heart Failure" 📚 Just Published! 🔓Access it here 👉 ow.ly/TBQj106mKHN @aminyehyamd @CardioNerds #HeartFailure #CardioTwitter #MedEd

radcliffeCARDIO's tweet image. 📚New #USCJournal Article: "Device Therapies in Heart Failure"

📚 Just Published!

🔓Access it here 👉 ow.ly/TBQj106mKHN

@aminyehyamd @CardioNerds #HeartFailure #CardioTwitter #MedEd

📚New #USCJournal Article: "Cardiogenic Shock in Restrictive Cardiomyopathies" 📚 Just Published! 🔓Access it here 👉 ow.ly/zgpe106hlTV @CardioNerds #HeartFailure #CardioTwitter #MedEd

radcliffeCARDIO's tweet image. 📚New #USCJournal Article: "Cardiogenic Shock in Restrictive Cardiomyopathies"

📚 Just Published!

🔓Access it here 👉 ow.ly/zgpe106hlTV

@CardioNerds #HeartFailure #CardioTwitter #MedEd

🩺Explore a must-read feature from our #USCJournal special collection on the NYU Langone Critical Care Cardiology Symposium! 🔍 Browse the full NYU Langone Symposium collection here: 👉 ow.ly/lNTZ50Wu1yw 📄 Latest Article ✨ Cardio-Obstetrics in the CICU: An Introductory

radcliffeCARDIO's tweet image. 🩺Explore a must-read feature from our #USCJournal special collection on the NYU Langone Critical Care Cardiology Symposium!

🔍 Browse the full NYU Langone Symposium collection here:
👉 ow.ly/lNTZ50Wu1yw

📄 Latest Article ✨ Cardio-Obstetrics in the CICU: An Introductory

📚Discover these featured articles in #USCJournal!✨ 📄Point-of-care #Ultrasound Assessment of the Internal Jugular Vein During Bending in Healthy Individuals 👉 ow.ly/TQpA50WItN0 📄Cardiogenic Shock in Restrictive #Cardiomyopathies: What We Know So Far 👉

radcliffeCARDIO's tweet image. 📚Discover these featured articles in #USCJournal!✨

📄Point-of-care #Ultrasound Assessment of the Internal Jugular Vein During Bending in Healthy Individuals 👉 ow.ly/TQpA50WItN0

📄Cardiogenic Shock in Restrictive #Cardiomyopathies: What We Know So Far 👉

📚New #USCJournal Article: "Myxoma Found Incidentally Causing Severe Functional Mitral Stenosis" 📚 Just Published! 🔓Access it here 👉 ow.ly/3b2t106ojGH @CardioNerds #CVImaging #MedEd

radcliffeCARDIO's tweet image. 📚New #USCJournal Article: "Myxoma Found Incidentally Causing Severe Functional Mitral Stenosis"

📚 Just Published!

🔓Access it here 👉 ow.ly/3b2t106ojGH

@CardioNerds #CVImaging #MedEd

📚 New #USCJournal Article: "Novel Therapies in ATTR-CM" 📚 Just Published! 🔓Access it here 👉 ow.ly/H02x106pgB3 @CardioNerds #HeartFailure #CardioTwitter #MedEd

radcliffeCARDIO's tweet image. 📚 New #USCJournal Article: "Novel Therapies in ATTR-CM"

📚 Just Published!

🔓Access it here 👉 ow.ly/H02x106pgB3

@CardioNerds #HeartFailure #CardioTwitter #MedEd

📚New #USCJournal Article: "Exploring Exercise-induced Long QT" 📚 Just Published! 🔓Access it here 👉 ow.ly/4Njm106jASt @CardioNerds #Electrophysiology #Arrhythmia #MedEd

radcliffeCARDIO's tweet image. 📚New #USCJournal Article: "Exploring Exercise-induced Long QT"

📚 Just Published!

🔓Access it here 👉 ow.ly/4Njm106jASt

@CardioNerds #Electrophysiology #Arrhythmia #MedEd

Thank you for the introduction! Excited to work together with @radcliffeCARDIO @CardioNerds and #USCJournal!

👋We're delighted to welcome Dr @AKansalMD to the #USCJournal editorial board. We look forward to working with you! #CardioEd @CardioNerds



📚New #USCJournal Article: "Gender Disparities in PAD" 📚 Just Published! 🔓Access it here 👉 ow.ly/c4M1105jNb5 @CardioNerds #MedEd #CardioEd

radcliffeVASCU's tweet image. 📚New #USCJournal Article: "Gender Disparities in PAD"

📚 Just Published!

🔓Access it here 👉 ow.ly/c4M1105jNb5

@CardioNerds #MedEd #CardioEd

📚 New #USCJournal Article: "High-grade AV Block Due to Lyme Disease" 📚 Just Published! 🔓Access it here 👉 ow.ly/ZAt5106vZzv @AnkurKalraMD @CardioNerds #Electrophysiology #Arrhythmia #MedEd

radcliffeCARDIO's tweet image. 📚 New #USCJournal Article: "High-grade AV Block Due to Lyme Disease"

📚 Just Published!

🔓Access it here 👉 ow.ly/ZAt5106vZzv

@AnkurKalraMD @CardioNerds #Electrophysiology #Arrhythmia #MedEd

📚New #USCJournal Article: "The Artwork of Jamil Aboulhosn" 📚 Just Published! 🔓Access it here 👉 ow.ly/V6TO106l8Nv @CardioNerds

radcliffeCARDIO's tweet image. 📚New #USCJournal Article: "The Artwork of Jamil Aboulhosn"

📚 Just Published!

🔓Access it here 👉 ow.ly/V6TO106l8Nv

@CardioNerds

📚New #USCJournal Article: "Exploring Exercise-induced Long QT" 📚 Just Published! 🔓Access it here 👉 ow.ly/4Njm106jASt @CardioNerds #Electrophysiology #Arrhythmia #MedEd

radcliffeCARDIO's tweet image. 📚New #USCJournal Article: "Exploring Exercise-induced Long QT"

📚 Just Published!

🔓Access it here 👉 ow.ly/4Njm106jASt

@CardioNerds #Electrophysiology #Arrhythmia #MedEd

📚New #USCJournal Article: "Point-of-care Ultrasound Assessment of the Internal Jugular Vein" 📚 Just Published! 🔓Access it here 👉 ow.ly/mH7t106hItc @CardioNerds #CVImaging #MedEd

radcliffeCARDIO's tweet image. 📚New #USCJournal Article: "Point-of-care Ultrasound Assessment of the Internal Jugular Vein"

📚 Just Published!

🔓Access it here 👉 ow.ly/mH7t106hItc

@CardioNerds #CVImaging #MedEd

📚New #USCJournal Article: "Cardiogenic Shock in Restrictive Cardiomyopathies" 📚 Just Published! 🔓Access it here 👉 ow.ly/zgpe106hlTV @CardioNerds #HeartFailure #CardioTwitter #MedEd

radcliffeCARDIO's tweet image. 📚New #USCJournal Article: "Cardiogenic Shock in Restrictive Cardiomyopathies"

📚 Just Published!

🔓Access it here 👉 ow.ly/zgpe106hlTV

@CardioNerds #HeartFailure #CardioTwitter #MedEd

🩺Explore a must-read feature from our #USCJournal special collection on the NYU Langone Critical Care Cardiology Symposium! 🔍 Browse the full NYU Langone Symposium collection here: 👉 ow.ly/lNTZ50Wu1yw 📄 Latest Article ✨ Cardio-Obstetrics in the CICU: An Introductory

radcliffeCARDIO's tweet image. 🩺Explore a must-read feature from our #USCJournal special collection on the NYU Langone Critical Care Cardiology Symposium!

🔍 Browse the full NYU Langone Symposium collection here:
👉 ow.ly/lNTZ50Wu1yw

📄 Latest Article ✨ Cardio-Obstetrics in the CICU: An Introductory

📚New #USCJournal Article: "Inverted Tulip Deformation" 📚 Just Published! 🔓Access it here 👉 ow.ly/uxvu106fjWh @CardioNerds #CVImaging #MedEd

radcliffeCARDIO's tweet image. 📚New #USCJournal Article: "Inverted Tulip Deformation"

📚 Just Published!

🔓Access it here 👉 ow.ly/uxvu106fjWh

@CardioNerds #CVImaging #MedEd

📚📈 Explore these top 3 most-read articles in #USCJournal 🫀 📄Narrative Review of Postural Orthostatic Tachycardia Syndrome: Associated Conditions and Management Strategies 👉 tinyurl.com/3tk9tv7p 📄Cardiopulmonary Exercise Testing: Methodology, Interpretation, and Role in

radcliffeCARDIO's tweet image. 📚📈 Explore these top 3 most-read articles in #USCJournal 🫀

📄Narrative Review of Postural Orthostatic Tachycardia Syndrome: Associated Conditions and Management Strategies 👉 tinyurl.com/3tk9tv7p

📄Cardiopulmonary Exercise Testing: Methodology, Interpretation, and Role in

🌟Access the latest article from the #USCJournal special collection from the 2023 NYU Langone Critical Care Cardiology Symposium! Cardio-obstetrics in the CICU: An Introductory Guide 👉 ow.ly/Z74p50VZZyF Access the collection now 👉 ow.ly/O6vY50VZZyC #CardioEd

radcliffeCARDIO's tweet image. 🌟Access the latest article from the #USCJournal special collection from the 2023 NYU Langone Critical Care Cardiology Symposium!

Cardio-obstetrics in the CICU: An Introductory Guide 👉 ow.ly/Z74p50VZZyF

Access the collection now 👉 ow.ly/O6vY50VZZyC

#CardioEd

📚New #USCJournal Article: "SGLTi and GLP-1 in HF" 📚 Just Published! 🔓Access it here 👉 ow.ly/K9oB1068WRn @CardioNerds #HeartFailure #CardioTwitter #MedEd

radcliffeCARDIO's tweet image. 📚New #USCJournal Article: "SGLTi and GLP-1 in HF"

📚 Just Published!

🔓Access it here 👉 ow.ly/K9oB1068WRn

@CardioNerds #HeartFailure #CardioTwitter #MedEd

📚New #USCJournal Article: "Secondary Prevention of Atherosclerotic Cardiovascular Disease" 📚 Just Published! 🔓Access it here 👉 ow.ly/STbm1067hlQ @CardioNerds #MedEd #CardioEd

radcliffeCARDIO's tweet image. 📚New #USCJournal Article: "Secondary Prevention of Atherosclerotic Cardiovascular Disease"

📚 Just Published!

🔓Access it here 👉 ow.ly/STbm1067hlQ

@CardioNerds #MedEd #CardioEd

📚New #USCJournal Article: "The Heart of Medicine: Healing Beyond Numbers" 📚 Just Published! 🔓Access it here 👉 ow.ly/MREz1066bo5 @CardioNerds #HeartFailure #CardioTwitter #MedEd

radcliffeCARDIO's tweet image. 📚New #USCJournal Article: "The Heart of Medicine: Healing Beyond Numbers"

📚 Just Published!

🔓Access it here 👉 ow.ly/MREz1066bo5

@CardioNerds #HeartFailure #CardioTwitter #MedEd

📚New #USCJournal Article: "Anomalous Coronary Artery Origin" 📚 Just Published! 🔓Access it here 👉 ow.ly/m8x91064BCj @CardioNerds #CVImaging #MedEd #CardioEd

radcliffeCARDIO's tweet image. 📚New #USCJournal Article: "Anomalous Coronary Artery Origin"

📚 Just Published!

🔓Access it here 👉 ow.ly/m8x91064BCj

@CardioNerds #CVImaging #MedEd #CardioEd

📚New #USCJournal Article: "Transthyretin Cardiac Amyloidosis: A Right-atrial Variant" 📚 Just Published! 🔓Access it here 👉 ow.ly/OXgJ1064ogx @CardioNerds #CVImaging #MedEd #HeartFailure #CardioTwitter

radcliffeCARDIO's tweet image. 📚New #USCJournal Article: "Transthyretin Cardiac Amyloidosis: A Right-atrial Variant"

📚 Just Published!

🔓Access it here 👉 ow.ly/OXgJ1064ogx

@CardioNerds #CVImaging #MedEd #HeartFailure #CardioTwitter

📚New #USCJournal Article: "Cardio-obstetrics in the CICU: An Introductory Guide" 📚 Just Published! 🔓Access it here 👉 ow.ly/aTJv1063qwF @CardioNerds #HeartFailure #CardioTwitter #MedEd #CardioEd

radcliffeCARDIO's tweet image. 📚New #USCJournal Article: "Cardio-obstetrics in the CICU: An Introductory Guide"

📚 Just Published!

🔓Access it here 👉 ow.ly/aTJv1063qwF

@CardioNerds #HeartFailure #CardioTwitter #MedEd #CardioEd

📚New #USCJournal Article: "HsCRP in ASCVD" 📚 Just Published! 🔓Access it here 👉 ow.ly/uyZL106365X @CardioNerds #MedEd #CardioEd

radcliffeCARDIO's tweet image. 📚New #USCJournal Article: "HsCRP in ASCVD"

📚 Just Published!

🔓Access it here 👉 ow.ly/uyZL106365X

@CardioNerds #MedEd #CardioEd

📚New #USCJournal Article: "Navigating Digital Medical Education" 📚 Just Published! 🔓Access it here 👉 ow.ly/I6Vl1060Tjf @CardioNerds

radcliffeCARDIO's tweet image. 📚New #USCJournal Article: "Navigating Digital Medical Education"

📚 Just Published!

🔓Access it here 👉 ow.ly/I6Vl1060Tjf

@CardioNerds

📚New #USCJournal Article: "Assessing Coronary Angiography Interpretation Education" 📚 Just Published! 🔓Access it here 👉 ow.ly/yP1t105ZmBv @CardioNerds #DigitalHealth #MedEd

radcliffeCARDIO's tweet image. 📚New #USCJournal Article: "Assessing Coronary Angiography Interpretation Education"

📚 Just Published!

🔓Access it here 👉 ow.ly/yP1t105ZmBv

@CardioNerds #DigitalHealth #MedEd

📚New #USCJournal Article: "Recurrent MSSA Pericarditis in a Patient with SARS-CoV-2 and Bacteremia" 📚 Just Published! 🔓Access it here 👉 ow.ly/chBl105ZakG @CardioNerds #CVImaging #MedEd #Pericardium

radcliffeCARDIO's tweet image. 📚New #USCJournal Article: "Recurrent MSSA Pericarditis in a Patient with SARS-CoV-2 and Bacteremia"

📚 Just Published!

🔓Access it here 👉 ow.ly/chBl105ZakG

@CardioNerds #CVImaging #MedEd #Pericardium

📚New #USCJournal Article: "Lifestyle Modification after PCI" 📚 Just Published! 🔓Access it here 👉 ow.ly/G2hV105WrxO @CardioNerds #MedEd #CardioEd

radcliffeCARDIO's tweet image. 📚New #USCJournal Article: "Lifestyle Modification after PCI"

📚 Just Published!

🔓Access it here 👉 ow.ly/G2hV105WrxO

@CardioNerds #MedEd #CardioEd

📚New #USCJournal Article: "Myxoma Found Incidentally Causing Severe Functional Mitral Stenosis" 📚 Just Published! 🔓Access it here 👉 ow.ly/3b2t106ojGH @CardioNerds #CVImaging #MedEd

radcliffeCARDIO's tweet image. 📚New #USCJournal Article: "Myxoma Found Incidentally Causing Severe Functional Mitral Stenosis"

📚 Just Published!

🔓Access it here 👉 ow.ly/3b2t106ojGH

@CardioNerds #CVImaging #MedEd

📚New #USCJournal Article: "Mitral Annular Disjunction: Case Report and Literature Review" 📚 Just Published! 🔓Access it here 👉 ow.ly/8cNB106pbjB @CardioNerds #Electrophysiology #Arrhythmia #MedEd #CVImaging

radcliffeCARDIO's tweet image. 📚New #USCJournal Article: "Mitral Annular Disjunction: Case Report and Literature Review"

📚 Just Published!

🔓Access it here 👉 ow.ly/8cNB106pbjB

@CardioNerds #Electrophysiology #Arrhythmia #MedEd #CVImaging

📚New #USCJournal Article: "SGLTi and GLP-1 in HF" 📚 Just Published! 🔓Access it here 👉 ow.ly/K9oB1068WRn @CardioNerds #HeartFailure #CardioTwitter #MedEd

radcliffeCARDIO's tweet image. 📚New #USCJournal Article: "SGLTi and GLP-1 in HF"

📚 Just Published!

🔓Access it here 👉 ow.ly/K9oB1068WRn

@CardioNerds #HeartFailure #CardioTwitter #MedEd

📚 New #USCJournal Article: "High-grade AV Block Due to Lyme Disease" 📚 Just Published! 🔓Access it here 👉 ow.ly/ZAt5106vZzv @AnkurKalraMD @CardioNerds #Electrophysiology #Arrhythmia #MedEd

radcliffeCARDIO's tweet image. 📚 New #USCJournal Article: "High-grade AV Block Due to Lyme Disease"

📚 Just Published!

🔓Access it here 👉 ow.ly/ZAt5106vZzv

@AnkurKalraMD @CardioNerds #Electrophysiology #Arrhythmia #MedEd

📚Discover this month’s featured articles in #USCJournal!✨ 📄Hypertensive Disorders of Pregnancy: A Literature Review – Pathophysiology, Current Management, Future Perspectives, and Healthcare Disparities 👉 uscjournal.com/articles/hyper… 📄Cardiopulmonary Exercise Testing:

radcliffeCARDIO's tweet image. 📚Discover this month’s featured articles in #USCJournal!✨

📄Hypertensive Disorders of Pregnancy: A Literature Review – Pathophysiology, Current Management, Future Perspectives, and Healthcare Disparities 👉 uscjournal.com/articles/hyper…

📄Cardiopulmonary Exercise Testing:

📚 New #USCJournal Article: "Important Gaps in Heart Failure Care" 📚 Just Published! 🔓Access it here 👉 ow.ly/Lg8W106r2lR @aminyehyamd @CardioNerds #HeartFailure #CardioTwitter #MedEd

radcliffeCARDIO's tweet image. 📚 New #USCJournal Article: "Important Gaps in Heart Failure Care"

📚 Just Published!

🔓Access it here 👉 ow.ly/Lg8W106r2lR

@aminyehyamd @CardioNerds #HeartFailure #CardioTwitter #MedEd

📚New #USCJournal Article: "Secondary Prevention of Atherosclerotic Cardiovascular Disease" 📚 Just Published! 🔓Access it here 👉 ow.ly/STbm1067hlQ @CardioNerds #MedEd #CardioEd

radcliffeCARDIO's tweet image. 📚New #USCJournal Article: "Secondary Prevention of Atherosclerotic Cardiovascular Disease"

📚 Just Published!

🔓Access it here 👉 ow.ly/STbm1067hlQ

@CardioNerds #MedEd #CardioEd

🩺Explore a must-read feature from our #USCJournal special collection on the NYU Langone Critical Care Cardiology Symposium! 🔍 Browse the full NYU Langone Symposium collection here: 👉 ow.ly/lNTZ50Wu1yw 📄 Latest Article ✨ Cardio-Obstetrics in the CICU: An Introductory

radcliffeCARDIO's tweet image. 🩺Explore a must-read feature from our #USCJournal special collection on the NYU Langone Critical Care Cardiology Symposium!

🔍 Browse the full NYU Langone Symposium collection here:
👉 ow.ly/lNTZ50Wu1yw

📄 Latest Article ✨ Cardio-Obstetrics in the CICU: An Introductory

📚New #USCJournal Article: "Point-of-care Ultrasound Assessment of the Internal Jugular Vein" 📚 Just Published! 🔓Access it here 👉 ow.ly/mH7t106hItc @CardioNerds #CVImaging #MedEd

radcliffeCARDIO's tweet image. 📚New #USCJournal Article: "Point-of-care Ultrasound Assessment of the Internal Jugular Vein"

📚 Just Published!

🔓Access it here 👉 ow.ly/mH7t106hItc

@CardioNerds #CVImaging #MedEd

📚New #USCJournal Article: "The Artwork of Jamil Aboulhosn" 📚 Just Published! 🔓Access it here 👉 ow.ly/V6TO106l8Nv @CardioNerds

radcliffeCARDIO's tweet image. 📚New #USCJournal Article: "The Artwork of Jamil Aboulhosn"

📚 Just Published!

🔓Access it here 👉 ow.ly/V6TO106l8Nv

@CardioNerds

📚New #USCJournal Article: "Device Therapies in Heart Failure" 📚 Just Published! 🔓Access it here 👉 ow.ly/TBQj106mKHN @aminyehyamd @CardioNerds #HeartFailure #CardioTwitter #MedEd

radcliffeCARDIO's tweet image. 📚New #USCJournal Article: "Device Therapies in Heart Failure"

📚 Just Published!

🔓Access it here 👉 ow.ly/TBQj106mKHN

@aminyehyamd @CardioNerds #HeartFailure #CardioTwitter #MedEd

🌟Access the latest article from the #USCJournal special collection from the 2023 NYU Langone Critical Care Cardiology Symposium! Cardio-obstetrics in the CICU: An Introductory Guide 👉 ow.ly/Z74p50VZZyF Access the collection now 👉 ow.ly/O6vY50VZZyC #CardioEd

radcliffeCARDIO's tweet image. 🌟Access the latest article from the #USCJournal special collection from the 2023 NYU Langone Critical Care Cardiology Symposium!

Cardio-obstetrics in the CICU: An Introductory Guide 👉 ow.ly/Z74p50VZZyF

Access the collection now 👉 ow.ly/O6vY50VZZyC

#CardioEd

📚New #USCJournal Article: "Inverted Tulip Deformation" 📚 Just Published! 🔓Access it here 👉 ow.ly/uxvu106fjWh @CardioNerds #CVImaging #MedEd

radcliffeCARDIO's tweet image. 📚New #USCJournal Article: "Inverted Tulip Deformation"

📚 Just Published!

🔓Access it here 👉 ow.ly/uxvu106fjWh

@CardioNerds #CVImaging #MedEd

📚 New #USCJournal Article: "Aortic Pseudoaneurysm Rupture into the Right Ventricle" 📚 Just Published! 🔓Access it here 👉 ow.ly/sJm1106vsUC @CardioNerds #CVImaging #MedEd #VascularDisease

radcliffeCARDIO's tweet image. 📚 New #USCJournal Article: "Aortic Pseudoaneurysm Rupture into the Right Ventricle"

📚 Just Published!

🔓Access it here 👉 ow.ly/sJm1106vsUC

@CardioNerds #CVImaging #MedEd #VascularDisease

📚Discover these featured articles in #USCJournal!✨ 📄Point-of-care #Ultrasound Assessment of the Internal Jugular Vein During Bending in Healthy Individuals 👉 ow.ly/TQpA50WItN0 📄Cardiogenic Shock in Restrictive #Cardiomyopathies: What We Know So Far 👉

radcliffeCARDIO's tweet image. 📚Discover these featured articles in #USCJournal!✨

📄Point-of-care #Ultrasound Assessment of the Internal Jugular Vein During Bending in Healthy Individuals 👉 ow.ly/TQpA50WItN0

📄Cardiogenic Shock in Restrictive #Cardiomyopathies: What We Know So Far 👉

📚📈 Explore these top 3 most-read articles in #USCJournal 🫀 📄Narrative Review of Postural Orthostatic Tachycardia Syndrome: Associated Conditions and Management Strategies 👉 tinyurl.com/3tk9tv7p 📄Cardiopulmonary Exercise Testing: Methodology, Interpretation, and Role in

radcliffeCARDIO's tweet image. 📚📈 Explore these top 3 most-read articles in #USCJournal 🫀

📄Narrative Review of Postural Orthostatic Tachycardia Syndrome: Associated Conditions and Management Strategies 👉 tinyurl.com/3tk9tv7p

📄Cardiopulmonary Exercise Testing: Methodology, Interpretation, and Role in

📚New #USCJournal Article: "Cardiogenic Shock in Restrictive Cardiomyopathies" 📚 Just Published! 🔓Access it here 👉 ow.ly/zgpe106hlTV @CardioNerds #HeartFailure #CardioTwitter #MedEd

radcliffeCARDIO's tweet image. 📚New #USCJournal Article: "Cardiogenic Shock in Restrictive Cardiomyopathies"

📚 Just Published!

🔓Access it here 👉 ow.ly/zgpe106hlTV

@CardioNerds #HeartFailure #CardioTwitter #MedEd

📚New #USCJournal Article: "Exploring Exercise-induced Long QT" 📚 Just Published! 🔓Access it here 👉 ow.ly/4Njm106jASt @CardioNerds #Electrophysiology #Arrhythmia #MedEd

radcliffeCARDIO's tweet image. 📚New #USCJournal Article: "Exploring Exercise-induced Long QT"

📚 Just Published!

🔓Access it here 👉 ow.ly/4Njm106jASt

@CardioNerds #Electrophysiology #Arrhythmia #MedEd

📚 New #USCJournal Article: "Novel Therapies in ATTR-CM" 📚 Just Published! 🔓Access it here 👉 ow.ly/H02x106pgB3 @CardioNerds #HeartFailure #CardioTwitter #MedEd

radcliffeCARDIO's tweet image. 📚 New #USCJournal Article: "Novel Therapies in ATTR-CM"

📚 Just Published!

🔓Access it here 👉 ow.ly/H02x106pgB3

@CardioNerds #HeartFailure #CardioTwitter #MedEd

Thrilled to announce: @CardioNerds #USCJournal @miamivalves collab to advance structural heart disease. Join #MiamiValves2024 and follow the @CardioNerds Conference Scholars to follow key insights. Top abstracts will be published in #USCJournal. Submit: miamivalves.org

AmitGoyalMD's tweet image. Thrilled to announce: @CardioNerds #USCJournal @miamivalves collab to advance structural heart disease.

Join #MiamiValves2024 and follow the @CardioNerds Conference Scholars to follow key insights.

Top abstracts will be published in #USCJournal.

Submit: miamivalves.org

Loading...

Something went wrong.


Something went wrong.