#cardiotwitter 搜尋結果
Dr Hani Sabour highlighting treatment options for patients with hypertrophic cardiomyopathy 💡 We’ve moved from symptom relief to targeted therapies—a paradigm shift in HCM care. #CardioTwitter #ACCMidEast @ACCinTouch


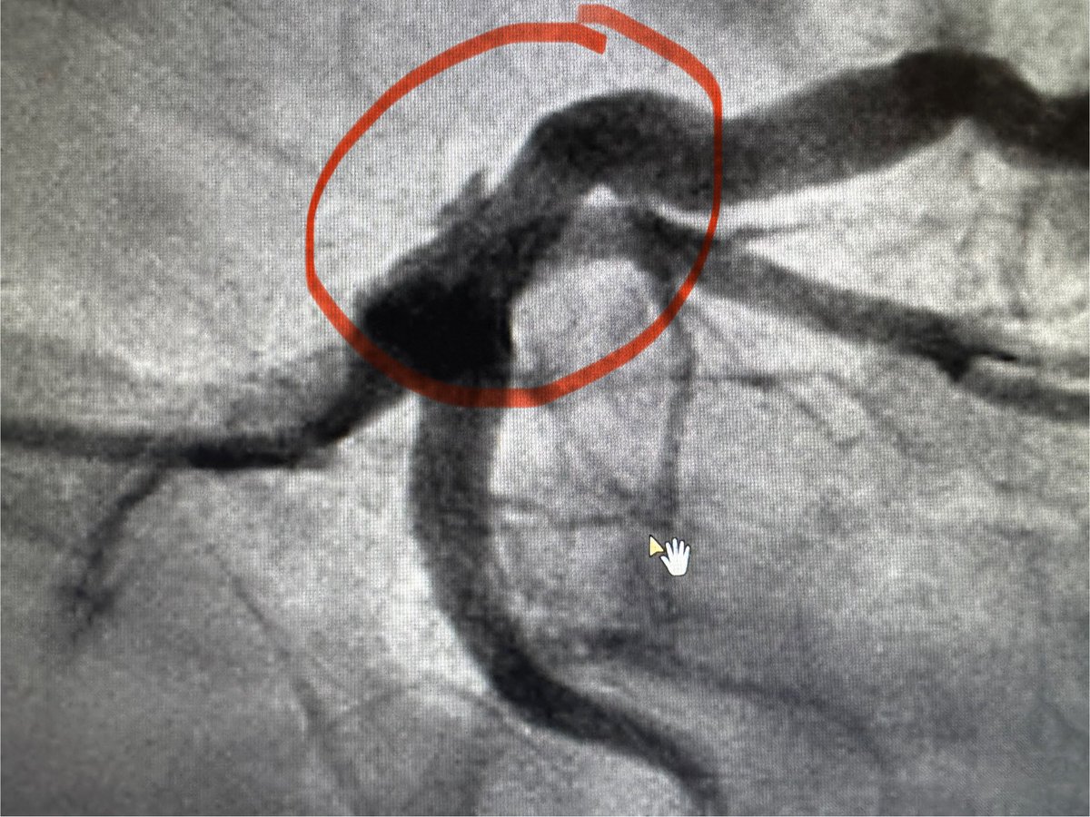
🔹How would you manage this ostial LCx stenosis? #FFR = 0.70 after IC adenosine. Large dominant LCx. No other significant disease. Severe angina despite OMT. #CardioTwitter #ACCIC @BifurcationClub #ACCFIT #Cardiology

Right ventricular dilation can easily be screened for in multiple cardiac views. This can be done both qualitatively, by visually inspecting the relative size of the right ventricle compared to the left, and quantitatively, by measuring it. #medtwitter #cardiotwitter #foamed

Catheter-related intimal tear/focal dissection at proximal LAD in a 50 year old male, during this pre-AVR elective diagnostic cath. Angio + #IVUS below 👇 ♦️How would you manage? 🤨 #ACCFIT #CardioTwitter #Cardiology @SCAI @ACCinTouch #RadialFirst @BCMHeart @AkuCardiology

In uncrossable lesions I really think laser is underrated. Even without crossing lesions laser modifies plaques and facilitates balloon crossing and calcium modification - here an example form a weekend list… only 0.9 ELCA #radialfirst #cardiotwitter
#CardioTwitter Glad to share that we have completed 50% enrolment of our Multicenter RCT #IKISSLM , in which we are comparing routine KBI vs non KBI in LMBA using PSS with angiographic follow-up at one year. All patients are undergoing image guided LMBA. Big 🙏 to all the…
Proud to support my patient’s brave story on @nbcwashington: A college coach sidelined by Lyme pericarditis—a rare heart complication. As his cardiologist, I’m raising awareness on early detection & targeted therapies. Watch & share! #LymeDisease #Pericarditis #CardioTwitter…

#CardioTwitter #OCT follow up of 15 yrs old Xience @AbbottNews 3.5X15 places in prox LAD . @Dr_AshokSeth @DrRajeshVijay @sajannarayanan @DrRajeshG1 @Preetik60543769 @care4urheart2 @mmamas1973 @abadkhan2002 @NishithChandra @mirvatalasnag @evandrofilhobr @SripalBangalore…

Huge congratulations to our superstar 2nd-year fellow, Dr. Abdelrahman Ali, on being named an honorary chair of the scientific committee at the Egyptian Cardio-Oncology Conference! We're incredibly proud. #cardiotwitter #utmbcardiology #CardioOncology

Monitoring treatment response in ATTR-CM Paper by Patel et al from the NAC academic.oup.com/eurheartj/adva… Tried to put it into perspective with a look into the future academic.oup.com/eurheartj/adva… #CardioTwitter




#PCI #IVUS #cardiotwitter sometimes "simple"; not only CTO procedure is satisfied. 73yo female with prox-med LAD stenosis in ectatic atherosclerotic artery. Predilatation, IVUS guided stenting with high pressure post dilatation with 4,5 and 5,0mm balloons and very nice result.


Day 3 ✨Dr. Paul Cremer wowing the crowd with stunning photon-counting CT images — next-level clarity and resolution in cardiovascular imaging 🔥🫀 #CardioTwitter #CardiacCT #ACCMidEast


Comparing Antihypertensive Medications' Effects on Blood Pressure: jwat.ch/3VU7K99 #CardioTwitter #hypertension

🫀𝐂𝐚𝐫𝐝𝐢𝐨𝐥𝐨𝐠𝐲 𝐐𝐮𝐢𝐳 𝐨𝐟 𝐭𝐡𝐞 𝐃𝐚𝐲! Athlete with exertional syncope; anomalous coronary/hypertrophic cardiomyopathy, image now? Can you crack the case?🩺 Cast your vote on MedShr🔗 hubs.la/Q03Nbv650 #CardioTwitter #MedTwitter @drahmedmohsen85 @DrAsifQasim
(1/2) Dumbledore had an elder wand for performing wizardry , @CathElectroSurg has a team full of experts and his magical mind for planning this wizardry .. Just look at the case and planning .. #cardiotwitter #LAMPOON #TMVR

After every radial angio, I routinely perform USG assessment. In this case, a subtle hematoma was identified on USG despite the presence of only mild ecchymosis and a preserved radial pulse. The clinical relevance of this finding may be open to discussion🧐 #cardiotwitter

Hidden culprit in atrial fibrillation? Biopsy reveals atrial amyloidosis—more common with age and structural heart changes. Read more in #EHJ. doi.org/10.1093/eurhea… #cardiotwitter @ESC_Journals @escardio

Huge congrats to Humza Malik for knocking it out of the park with his poster on coronary plaque characteristics among South Asians in the DILWALE Registry! Incredible work driving insights in #CardiacImaging & #SouthAsianHealth 🫀🔥 #CardioTwitter

Lo que no se ve en la angiografía: una zona de “no reflow” dentro del infarto. Imagen de infarto con obstrucción microvascular extensa – el verdadero enemigo oculto. #CardioTwitter #MRI #STEMI #HeartFailure

To our dear fellows , what do you see in the mitral and tricuspid flows . Color MMode , is beautiful, and very helpful @DrRajeshG1 #Cardiotwitter #Echofirst #CardioEd @echocardiac @ASE360 @EACVIPresident @strain_rate




👧🏽21yo, complex congenital heart disease #CHD #ACHD #cardiotwitter #cardioX #echofirst @CHD_education @iamritu @md_pinheiro @fpmorcerf @RodrigogpLima @mariovar55 @EchofirstB
Monitoring treatment response in ATTR-CM Paper by Patel et al from the NAC academic.oup.com/eurheartj/adva… Tried to put it into perspective with a look into the future academic.oup.com/eurheartj/adva… #CardioTwitter




🔥We’re just weeks away! Bold ideas. Global impact. Game-changing science. It all comes together at #TCT2025! 👉 Register now and be part of what’s next. ow.ly/lLct50Xa5iC #CardioX #CardioTwitter #CardioEd #CardioResearch @BurkhoffMd @djc795 @ColletCarlos @georgedangas…
Does the flow know? 🎨 The elegance of in-vivo blood stream dynamics in bicuspid AoV — captured by 4D Flow #WhyCMR #Cardiology #cardiotwitter @EACVIPresident @SCMRorg @scmrchd
ARVC & multi-modality imaging.....A case of young female with recurrent syncope. @AsiaInterv #cardiotwitter #PGIMER @PCRonline @SCAI @escardio @ccijournal @TCTMD Full text at... asiaintervention.org/article/role-o…
Highlighting groundbreaking cardiovascular research at the #TCACC2025 Abstracts Session where ideas meet impact. Proud to see the next generation of innovators in action! 💡❤️ #ACC #CardioTwitter @KTamirisaMD @txchapteracc @HeartOTXHeartMD @GatesCathy @EliDavisMD…
Starting now! Dr. Molossi dives into how the landscape has evolved for youth with congenital heart disease a must-see for anyone passionate about #ACHD care. 💪 #TCACC2025 #CardioTwitter @silvana_molossi @KTamirisaMD @txchapteracc @RajendraPShahMD @EliDavisMD @AndreeFrans…

Frontline professionals, it’s your time to lead.💥 The #TCT2025 Nurse and Technologist Symposium is where the future of cardiovascular care begins. Bold ideas. Real impact. Team-based innovation. Register today! ow.ly/Nwlt50X6FAX #CardioX #CardioTwitter #CardioEd…
An important episode with @AnuAgarwalMD about BMI and Fontan outcomes coming next week to Pediheart. @UCSFHospitals @UCSF @MountSinaiHeart @MountSinaiNYC @MountSinaiPeds #cardiology #cardiotwitter @cardiologia #medicine #cardiovascular #pediatric #ACHD

Clinical Presentation and Outcomes After Surgery for Mitral Regurgitation: Real-World Insights From the MITRACURE International Registry (Circulation, août 2025) 🔗 doi.org/10.1161/CIRCUL… #CardioTwitter #Circulation #NewResearch
Acute Valve Syndrome Before Aortic Valve Replacement: Impact on Clinical Outcomes, Health Care Costs, and Resource Use (JAHA, septembre 2025) 🔗 doi.org/10.1161/JAHA.1… #CardioTwitter #AorticStenosis #ValveSurgery #HealthEconomics
🫀𝐂𝐚𝐫𝐝𝐢𝐨𝐥𝐨𝐠𝐲 𝐐𝐮𝐢𝐳 𝐨𝐟 𝐭𝐡𝐞 𝐃𝐚𝐲! Athlete with exertional syncope; anomalous coronary/hypertrophic cardiomyopathy, image now? Can you crack the case?🩺 Cast your vote on MedShr🔗 hubs.la/Q03Nbv650 #CardioTwitter #MedTwitter @drahmedmohsen85 @DrAsifQasim
🔹How would you manage this ostial LCx stenosis? #FFR = 0.70 after IC adenosine. Large dominant LCx. No other significant disease. Severe angina despite OMT. #CardioTwitter #ACCIC @BifurcationClub #ACCFIT #Cardiology

Never a dull moment in the cath lab, This was a first for me! #CardioTwitter #Cardiology #RHC #Swan #CardsEducation #cardiomed

#PCI #IVUS #cardiotwitter sometimes "simple"; not only CTO procedure is satisfied. 73yo female with prox-med LAD stenosis in ectatic atherosclerotic artery. Predilatation, IVUS guided stenting with high pressure post dilatation with 4,5 and 5,0mm balloons and very nice result.


Proud to support my patient’s brave story on @nbcwashington: A college coach sidelined by Lyme pericarditis—a rare heart complication. As his cardiologist, I’m raising awareness on early detection & targeted therapies. Watch & share! #LymeDisease #Pericarditis #CardioTwitter…

✨Video of the Week: Coronary Artery Aneurysm: Treat It Easily With a Stent? Watch here▶️hubs.ly/Q03J_9F40 @DLBHATTMD #cardioTwitter #cardioX #cardiology #interventionalcardiology

📌 Universal definition of Myocardial Infarction 👉 Pros & Cons #CardioTwitter #MedTwitter #MI @mmamas1973 @DrPascalMeier @DrMarthaGulati @drjohnm @SeguraCardio @iamritu @ShelleyZieroth @cpgale3 @Hragy @DFCapodanno @njohncamm @ShrillaB @djc795 @minhaskh @chadialraies @Babar_Basir


Catheter-related intimal tear/focal dissection at proximal LAD in a 50 year old male, during this pre-AVR elective diagnostic cath. Angio + #IVUS below 👇 ♦️How would you manage? 🤨 #ACCFIT #CardioTwitter #Cardiology @SCAI @ACCinTouch #RadialFirst @BCMHeart @AkuCardiology

Lp(a) - its time for primetime 🎥 #MedTwitter #cardiotwitter #MedEd #foamed @escardio #ESC2025 @BNordestgaard


In this new ECG Insights recorded webinar, @TheRhythmDoc breaks down real cases to spot AV blocks, bundle branch patterns & pauses—from benign vagal events to high-risk conduction disease. Watch now: bit.ly/3IhtnNo #CardioTwitter #EPeeps


🚀 New PARACHUTE-HF results! In Chagas-related HFrEF, #sacubitrilvalsartan outperformed placebo in #PARACHUTEHF trial: • 52% higher better outcome rate • NT-proBNP ↓30.6% vs 5.5% • Fewer adverse discontinuations (6.1% vs 9.8%) 🌎💙 #CardioTwitter #ESCCongress

Are you shifting left in Aortic Care? @ChrisMalaisrie gave a great lecture on #AorticDisease in April that inspired my #CardioTwitter CME Treadmill time

Evidence is clear: the earlier and deeper the LDL-C drop post-acute coronary syndrome, the fewer cardiovascular events. Time to rethink cholesterol targets with combination therapy. Read more in #EHJ. doi.org/10.1093/eurhea… #cardiotwitter @ESC_Journals @escardio

Since we started this initiative, things have gotten worse. We have stopped tafamidis on many more patients, but the principles are the same. Careful evaluation of ATTR-CM diagnosis is vital to avoid diagnostic and therapeutic errors. tandfonline.com/doi/10.1080/13… #cardiotwitter



How do you wipe out collaterals? Kiss them goodbye! #irad #vascular #cardiotwitter @VascularSVS @SIRRFS @SIRspecialists @SIR_ECS


Excited to share our latest meta-analysis on the impact of Cardio-Obstetrics Care 🫀🤰 on maternal outcomes in pregnant women with heart disease. Honored to have @DrMarthaGulati ‘s mentorship on this important topic. @CardioOb #cardiotwitter sciencedirect.com/science/articl…

#CardioTwitter #OCT follow up of 15 yrs old Xience @AbbottNews 3.5X15 places in prox LAD . @Dr_AshokSeth @DrRajeshVijay @sajannarayanan @DrRajeshG1 @Preetik60543769 @care4urheart2 @mmamas1973 @abadkhan2002 @NishithChandra @mirvatalasnag @evandrofilhobr @SripalBangalore…

Dr Hani Sabour highlighting treatment options for patients with hypertrophic cardiomyopathy 💡 We’ve moved from symptom relief to targeted therapies—a paradigm shift in HCM care. #CardioTwitter #ACCMidEast @ACCinTouch


Something went wrong.
Something went wrong.
United States Trends
- 1. Auburn 45.5K posts
- 2. Brewers 64.4K posts
- 3. Georgia 67.6K posts
- 4. Cubs 55.9K posts
- 5. Kirby 23.9K posts
- 6. Utah 24.8K posts
- 7. #byucpl N/A
- 8. Arizona 41.6K posts
- 9. Gilligan 5,975 posts
- 10. #AcexRedbull 3,946 posts
- 11. #BYUFootball 1,010 posts
- 12. Michigan 62.7K posts
- 13. Hugh Freeze 3,240 posts
- 14. #Toonami 2,763 posts
- 15. Boots 50.2K posts
- 16. Amy Poehler 4,544 posts
- 17. Wordle 1,576 X N/A
- 18. #SEVENTEEN_NEW_IN_TACOMA 28.7K posts
- 19. Dissidia 5,857 posts
- 20. Kyle Tucker 3,190 posts