#chipcase search results

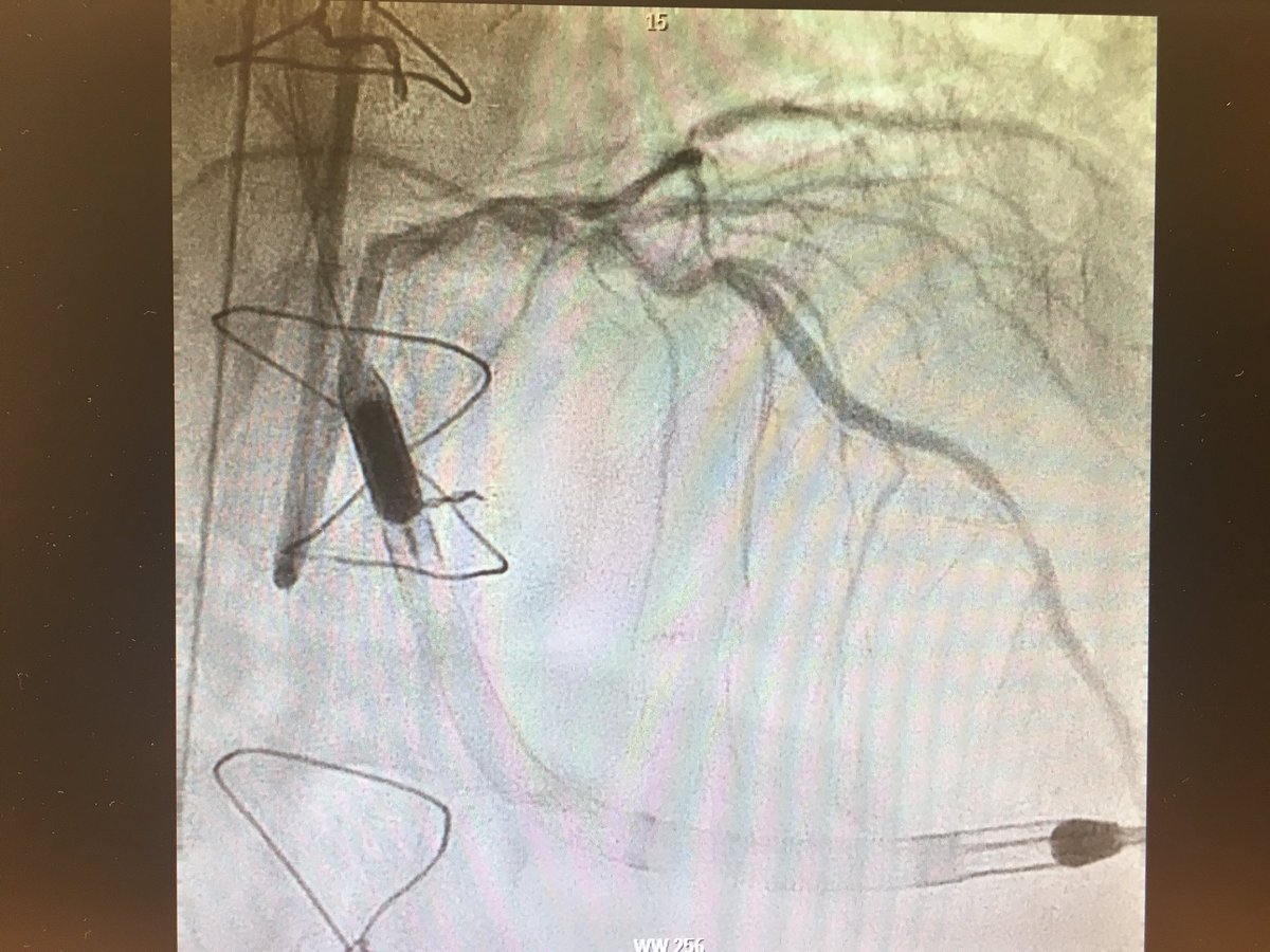
#CHIPcase 74yo male, LM+3vd, LVEF 17%, previous non-functionant CABG. Previous inferior MI without inferior viability. Actual NSTEMI with cardiogenic shock. Sent to our centre for Complex PCI @foroic @belcid7 @sbrugaletta @mmamas1973 @shci_sec @jedicath @hect2701 @Xavi_Carrillo7

oriolrodriguez5's tweet image. #CHIPcase 74yo male, LM+3vd, LVEF 17%, previous non-functionant CABG. Previous inferior MI without inferior viability. Actual NSTEMI with cardiogenic shock. Sent to our centre for Complex PCI @foroic @belcid7 @sbrugaletta @mmamas1973 @shci_sec @jedicath @hect2701 @Xavi_Carrillo7
oriolrodriguez5's tweet image. #CHIPcase 74yo male, LM+3vd, LVEF 17%, previous non-functionant CABG. Previous inferior MI without inferior viability. Actual NSTEMI with cardiogenic shock. Sent to our centre for Complex PCI @foroic @belcid7 @sbrugaletta @mmamas1973 @shci_sec @jedicath @hect2701 @Xavi_Carrillo7
oriolrodriguez5's tweet image. #CHIPcase 74yo male, LM+3vd, LVEF 17%, previous non-functionant CABG. Previous inferior MI without inferior viability. Actual NSTEMI with cardiogenic shock. Sent to our centre for Complex PCI @foroic @belcid7 @sbrugaletta @mmamas1973 @shci_sec @jedicath @hect2701 @Xavi_Carrillo7

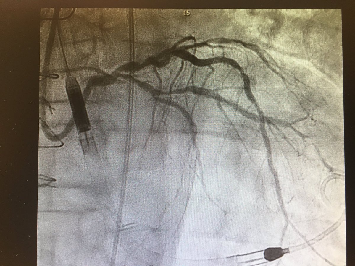
72 year old male, LVEF of 30% with CCS-3 having critical LAD-diagonal stenosis treated under IVUS guidance and intravascular lithotripsy and OPN NC balloon for stent optimization and malapposition. Symptomatic relief with satisfactory result #chipcase #coronary #complexcase #IVL

RajeshRajani15's tweet image. 72 year old male, LVEF of 30% with CCS-3 having critical LAD-diagonal stenosis treated under IVUS guidance and intravascular lithotripsy and OPN NC balloon for stent optimization and malapposition. Symptomatic relief with satisfactory result #chipcase #coronary #complexcase #IVL
RajeshRajani15's tweet image. 72 year old male, LVEF of 30% with CCS-3 having critical LAD-diagonal stenosis treated under IVUS guidance and intravascular lithotripsy and OPN NC balloon for stent optimization and malapposition. Symptomatic relief with satisfactory result #chipcase #coronary #complexcase #IVL
RajeshRajani15's tweet image. 72 year old male, LVEF of 30% with CCS-3 having critical LAD-diagonal stenosis treated under IVUS guidance and intravascular lithotripsy and OPN NC balloon for stent optimization and malapposition. Symptomatic relief with satisfactory result #chipcase #coronary #complexcase #IVL
RajeshRajani15's tweet image. 72 year old male, LVEF of 30% with CCS-3 having critical LAD-diagonal stenosis treated under IVUS guidance and intravascular lithotripsy and OPN NC balloon for stent optimization and malapposition. Symptomatic relief with satisfactory result #chipcase #coronary #complexcase #IVL

Does your local card shop offer something unique like this? #cardshop #cardcollector #chipcase #luck #sportscards #thehobby #foryoupage #fyp


引っかけるだけなので、メンテは大変じゃ無さそうです。 ※テスト印刷でしか頑張り所が無い私 #makerchip #chipcase

ディスペンサーのバネに苦労してたけど、輪ゴムでいいじゃん?wwww なんで今まで気が付かなかったのかwww



1st time chip buyer gets q round of chips from the #chipcase today #showyourhits #knoxville #sportscards #thehobby @ Eddie's Sports Treasures instagram.com/p/CSsejqzD-nK/…


Austin Warren. HAPPY BIRTHDAY. Here are 3 chips from the #chipcase forbu. #showyourhits #collect #thehobby #autographs @ Eddie's Sports Treasures instagram.com/p/CUDuU_GD6iU/…


We offer high-quality Aluminium Chip Cases online from AmericanGamingSupply at very reasonable prices which are made of heavy-duty, yet lightweight aluminum. Explore more: bit.ly/2Z5i41R #pokerchipaluminumcases #pokerchipcases #chipcase #pokerchipcase

american_gaming's tweet image. We offer high-quality Aluminium Chip Cases online from AmericanGamingSupply at very reasonable prices which are made of heavy-duty, yet lightweight aluminum. 
Explore more: bit.ly/2Z5i41R
#pokerchipaluminumcases #pokerchipcases #chipcase #pokerchipcase

Does your local card shop offer something unique like this? #cardshop #cardcollector #chipcase #luck #sportscards #thehobby #foryoupage #fyp


72 year old male, LVEF of 30% with CCS-3 having critical LAD-diagonal stenosis treated under IVUS guidance and intravascular lithotripsy and OPN NC balloon for stent optimization and malapposition. Symptomatic relief with satisfactory result #chipcase #coronary #complexcase #IVL

RajeshRajani15's tweet image. 72 year old male, LVEF of 30% with CCS-3 having critical LAD-diagonal stenosis treated under IVUS guidance and intravascular lithotripsy and OPN NC balloon for stent optimization and malapposition. Symptomatic relief with satisfactory result #chipcase #coronary #complexcase #IVL
RajeshRajani15's tweet image. 72 year old male, LVEF of 30% with CCS-3 having critical LAD-diagonal stenosis treated under IVUS guidance and intravascular lithotripsy and OPN NC balloon for stent optimization and malapposition. Symptomatic relief with satisfactory result #chipcase #coronary #complexcase #IVL
RajeshRajani15's tweet image. 72 year old male, LVEF of 30% with CCS-3 having critical LAD-diagonal stenosis treated under IVUS guidance and intravascular lithotripsy and OPN NC balloon for stent optimization and malapposition. Symptomatic relief with satisfactory result #chipcase #coronary #complexcase #IVL
RajeshRajani15's tweet image. 72 year old male, LVEF of 30% with CCS-3 having critical LAD-diagonal stenosis treated under IVUS guidance and intravascular lithotripsy and OPN NC balloon for stent optimization and malapposition. Symptomatic relief with satisfactory result #chipcase #coronary #complexcase #IVL

Austin Warren. HAPPY BIRTHDAY. Here are 3 chips from the #chipcase forbu. #showyourhits #collect #thehobby #autographs @ Eddie's Sports Treasures instagram.com/p/CUDuU_GD6iU/…


We offer high-quality Aluminium Chip Cases online from AmericanGamingSupply at very reasonable prices which are made of heavy-duty, yet lightweight aluminum. Explore more: bit.ly/2Z5i41R #pokerchipaluminumcases #pokerchipcases #chipcase #pokerchipcase

american_gaming's tweet image. We offer high-quality Aluminium Chip Cases online from AmericanGamingSupply at very reasonable prices which are made of heavy-duty, yet lightweight aluminum. 
Explore more: bit.ly/2Z5i41R
#pokerchipaluminumcases #pokerchipcases #chipcase #pokerchipcase

72 year old male, LVEF of 30% with CCS-3 having critical LAD-diagonal stenosis treated under IVUS guidance and intravascular lithotripsy and OPN NC balloon for stent optimization and malapposition. Symptomatic relief with satisfactory result #chipcase #coronary #complexcase #IVL

RajeshRajani15's tweet image. 72 year old male, LVEF of 30% with CCS-3 having critical LAD-diagonal stenosis treated under IVUS guidance and intravascular lithotripsy and OPN NC balloon for stent optimization and malapposition. Symptomatic relief with satisfactory result #chipcase #coronary #complexcase #IVL
RajeshRajani15's tweet image. 72 year old male, LVEF of 30% with CCS-3 having critical LAD-diagonal stenosis treated under IVUS guidance and intravascular lithotripsy and OPN NC balloon for stent optimization and malapposition. Symptomatic relief with satisfactory result #chipcase #coronary #complexcase #IVL
RajeshRajani15's tweet image. 72 year old male, LVEF of 30% with CCS-3 having critical LAD-diagonal stenosis treated under IVUS guidance and intravascular lithotripsy and OPN NC balloon for stent optimization and malapposition. Symptomatic relief with satisfactory result #chipcase #coronary #complexcase #IVL
RajeshRajani15's tweet image. 72 year old male, LVEF of 30% with CCS-3 having critical LAD-diagonal stenosis treated under IVUS guidance and intravascular lithotripsy and OPN NC balloon for stent optimization and malapposition. Symptomatic relief with satisfactory result #chipcase #coronary #complexcase #IVL

#CHIPcase 74yo male, LM+3vd, LVEF 17%, previous non-functionant CABG. Previous inferior MI without inferior viability. Actual NSTEMI with cardiogenic shock. Sent to our centre for Complex PCI @foroic @belcid7 @sbrugaletta @mmamas1973 @shci_sec @jedicath @hect2701 @Xavi_Carrillo7

oriolrodriguez5's tweet image. #CHIPcase 74yo male, LM+3vd, LVEF 17%, previous non-functionant CABG. Previous inferior MI without inferior viability. Actual NSTEMI with cardiogenic shock. Sent to our centre for Complex PCI @foroic @belcid7 @sbrugaletta @mmamas1973 @shci_sec @jedicath @hect2701 @Xavi_Carrillo7
oriolrodriguez5's tweet image. #CHIPcase 74yo male, LM+3vd, LVEF 17%, previous non-functionant CABG. Previous inferior MI without inferior viability. Actual NSTEMI with cardiogenic shock. Sent to our centre for Complex PCI @foroic @belcid7 @sbrugaletta @mmamas1973 @shci_sec @jedicath @hect2701 @Xavi_Carrillo7
oriolrodriguez5's tweet image. #CHIPcase 74yo male, LM+3vd, LVEF 17%, previous non-functionant CABG. Previous inferior MI without inferior viability. Actual NSTEMI with cardiogenic shock. Sent to our centre for Complex PCI @foroic @belcid7 @sbrugaletta @mmamas1973 @shci_sec @jedicath @hect2701 @Xavi_Carrillo7

Loading...

Something went wrong.


Something went wrong.