#clinical search results

Open Rank Faculty-Anatomic or Clinical Pathology and Pathology Education University of Illinois Chicago See the full job description on jobRxiv: jobrxiv.org/job/university… #anatomic #clinical #ClinicalMedicine #pathology #ScienceJobs jobrxiv.org/job/university…


At #MicrobotMedical, we don’t just provide technology, we provide a partnership. The #MBOT Promise is our commitment to your #clinical success & the safety of your patients. Move forward with confidence. Peace of Mind. Guaranteed. Contact us to learn more: hubs.ly/Q0462sYv0

MicrobotMedical's tweet image. At #MicrobotMedical, we don’t just provide technology, we provide a partnership. The #MBOT Promise is our commitment to your #clinical success & the safety of your patients. Move forward with confidence. Peace of Mind. Guaranteed.
Contact us to learn more: hubs.ly/Q0462sYv0

An Ovarian cyst is shown in the picture. Which type of cyst is it? Comment your answer below ⬇️ #medical #clinical #science

Sage_medics's tweet image. An Ovarian cyst is shown in the picture. 

Which type of cyst is it? Comment your answer below ⬇️ 

#medical #clinical #science

Five-drug VIPOR regimen shows promise in aggressive blood cancer bioworld.com/articles/729980 #biopharma #research #clinical #cancer #DLBCL


Physiologically, How does the Body adapt in increase in solute concentration in the blood??? #MedTwitter #preclinical #clinical


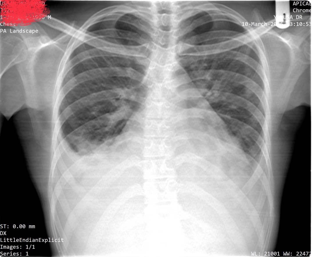
30yrs old Man with chest pain and difficulty in breathing! What do you think is going on? A. Chest infection B. Pleural effusion C. Pneumonia D. Cardiac failure #clinicalmedicine #clinical #Radiology

DrAyubaD's tweet image. 30yrs old Man with chest pain and difficulty in breathing!

What do you think is going on?

A. Chest infection
B. Pleural effusion
C. Pneumonia
D. Cardiac failure
#clinicalmedicine #clinical #Radiology

Bridging #engineering #science with #clinical #medicine to address one of #India’s most pressing #health challenges. With the launch of India’s first #bioengineering-led #Centre for #LungHealth, @IITHyderabad reaffirms its commitment to #Inventing & #Innovating in #Technology for

IITHyderabad's tweet image. Bridging #engineering #science with #clinical #medicine to address one of #India’s most pressing #health challenges. With the launch of India’s first #bioengineering-led #Centre for #LungHealth, @IITHyderabad reaffirms its commitment to #Inventing & #Innovating in #Technology for

.@KodiakSciences Zenkuda sparkles in Glow2, BLA filing next (free w/ registration) #biopharma #clinical bioworld.com/articles/729899


“We know from #clinical experience that when misdiagnosis—a term that is preferable to and more accurate than “overdiagnosis”—does occur, it is largely driven by people being left to diagnose themselves or being assessed by those with inadequate skills”🤔 bmj.com/content/391/bm…


Rivia, a Zurich-based startup specialising in AI-driven analytics and #clinical trial data infrastructure for #BioTechs, today announced a €13 million Series A funding round. 🇨🇭 💊 🤖 eu-startups.com/2026/03/zurich…


Roche’s shares tumbled nearly 5% on news that a key pillar in the five-pronged clinical plan for the breast cancer asset giredestrant was unsuccessful. #clinical #pharma #breastcancer #biospace hubs.li/Q0460sDM0


#Clinical mental disorders such as depression, anxiety, PTSD, and #SleepDisorders are linked to increased risk of acute coronary events, though the strength of these associations remains uncertain. @JAMAPsych doi.org/hbnn4w medicalxpress.com/news/2026-02-m…


📢Call for Papers! New #SpecialIssue “Emerging Technologies and #Clinical Applications in Interventional Oncology” edited by @MinaMakaryMD, is now open for submissions!👏 🧐Discover More: mdpi.com/journal/cancer… 🍀Please submit your manuscript and join this transformative journey

Cancers_MDPI's tweet image. 📢Call for Papers! New #SpecialIssue “Emerging Technologies and #Clinical Applications in Interventional Oncology” edited by @MinaMakaryMD, is now open for submissions!👏
🧐Discover More: mdpi.com/journal/cancer…
🍀Please submit your manuscript and join this transformative journey

Read a recent @TheCancerLetter article on the Sylvester Data Portal, a cloud-based platform unifying #clinical and #genomic data to power more representative cancer #research. Hear from Dr. Stephan Schurer, senior author and associate director of Data Science at Sylvester, as


Phase III wins lift shares of Compass, Palvella and Bridgebio in February #biopharma #clinical #analysis bioworld.com/articles/73005…


#ArtificialIntelligence in #Clinical Decision-Making: Current Applications, Challenges, and Future Directions in Modern #Healthcare | Cureus cureus.com/articles/47744… #AIhealth #AI #HealthAI #MedTech


🎯 In #clinical practice, a surname is not a suggestion it is a legal identifier. Reliance on first names creates avoidable administrative failure that the Data Protection Act does not excuse. Where a facility lacks a secondary verification protocol such as a National ID check

abimwachi's tweet image. 🎯 In #clinical practice, a surname is not a suggestion it is a legal identifier. Reliance on first names creates avoidable administrative failure that the Data Protection Act does not excuse.

Where a facility lacks a secondary verification protocol such as a National ID check

Attacking Champions #clinical


New Article in #Diabetes & #MetabolicSyndrome: #Clinical #Research & #Reviews (Top Journal in #Asia) #ER stress drives #βcell dysfunction, #insulinresistance & #inflammation in diabetes; #UPR path (#PERK, #IRE1, #ATF6): promising targets. Major #review doi.org/10.1016/j.dsx.…


Choosing the right examination and procedure lighting is key to clinical accuracy. #MedicalLighting #Healthcare #Clinical …ightsandbulbsguidecanada.blogspot.com/2026/04/choosi…


With ‘grey-market’ peptide use rising and regulatory lines increasingly blurred, Cahal McQuillan looks at the what nurses need to know to navigate the safety, legal and ethical risks surrounding these unproven treatments. #Petides #GreyMarket #Clinical buff.ly/KGtD0Ph

NurseinPractice's tweet image. With ‘grey-market’ peptide use rising and regulatory lines increasingly blurred, Cahal McQuillan looks at the what nurses need to know to navigate the safety, legal and ethical risks surrounding these unproven treatments. 

#Petides #GreyMarket #Clinical

buff.ly/KGtD0Ph

Anusha Patel has been appointed as the director of #clinical affairs for @ADG_Dental. Anusha is an experienced general #dental practitioner with over 10 years of clinical expertise and currently works in a mixed practice. Find out more here: ➡️ ow.ly/8r8V50YOXkH

TheDentistMag's tweet image. Anusha Patel has been appointed as the director of #clinical affairs for @ADG_Dental.

Anusha is an experienced general #dental practitioner with over 10 years of clinical expertise and currently works in a mixed practice.

Find out more here:
➡️  ow.ly/8r8V50YOXkH

Hardly mid match 🤣🎾 Checking her notes bc she’d lost a 5-1 final set lead last week 😬 Look at the score 5-2 final set 💪💯 This time she made no mistake 👏👏👏🎾 #clinical #win #wta #MMOPEN


.@SkyNetball   @BBCSport  @NetballSL @SuperNetball @fox_netball @CoachLisaA @CliveJonespr @messero6  @Jasmin81259024 #NetballFamily that is how you take care of a #ChampionshipQtr 27-14🥺 The strength of @NFNetball coupled with that HT team talk from @ChelseaPitman #clinical!

InTheChatTime's tweet image. .@SkyNetball   @BBCSport  @NetballSL @SuperNetball
@fox_netball  @CoachLisaA @CliveJonespr  @messero6  @Jasmin81259024 #NetballFamily that is how you take care of a #ChampionshipQtr 27-14🥺 The strength of @NFNetball coupled with that HT team talk from  @ChelseaPitman #clinical!
InTheChatTime's tweet image. .@SkyNetball   @BBCSport  @NetballSL @SuperNetball
@fox_netball  @CoachLisaA @CliveJonespr  @messero6  @Jasmin81259024 #NetballFamily that is how you take care of a #ChampionshipQtr 27-14🥺 The strength of @NFNetball coupled with that HT team talk from  @ChelseaPitman #clinical!
InTheChatTime's tweet image. .@SkyNetball   @BBCSport  @NetballSL @SuperNetball
@fox_netball  @CoachLisaA @CliveJonespr  @messero6  @Jasmin81259024 #NetballFamily that is how you take care of a #ChampionshipQtr 27-14🥺 The strength of @NFNetball coupled with that HT team talk from  @ChelseaPitman #clinical!
InTheChatTime's tweet image. .@SkyNetball   @BBCSport  @NetballSL @SuperNetball
@fox_netball  @CoachLisaA @CliveJonespr  @messero6  @Jasmin81259024 #NetballFamily that is how you take care of a #ChampionshipQtr 27-14🥺 The strength of @NFNetball coupled with that HT team talk from  @ChelseaPitman #clinical!

I am indeed excited and which way this will go!! Are we in for a #1GoalThriller or some #OvertimeVibes dare you to call it. I see @GevaMentor has come to add support. On this #StGeorges weekend🤩💢

InTheChatTime's tweet image. I am indeed excited and which way this will go!! Are we in for a #1GoalThriller or some #OvertimeVibes  dare you to call it. I see @GevaMentor has come to add support. On this #StGeorges weekend🤩💢
InTheChatTime's tweet image. I am indeed excited and which way this will go!! Are we in for a #1GoalThriller or some #OvertimeVibes  dare you to call it. I see @GevaMentor has come to add support. On this #StGeorges weekend🤩💢
InTheChatTime's tweet image. I am indeed excited and which way this will go!! Are we in for a #1GoalThriller or some #OvertimeVibes  dare you to call it. I see @GevaMentor has come to add support. On this #StGeorges weekend🤩💢


Control Sequence 01 STABILITY IS A PATTERN PATTERN CREATES EXPECTATION EXPECTATION CREATES DEPENDENCE #avantgarde #liminal #clinical #system #pattern #control #undergroundmusic


Patients are increasingly turning to #AI for answers, but can they really trust what they’re getting? At Hartford HealthCare, tools like PatientGPT are being tightly integrated with the EHR and guided by #clinical logic, but only after rigorous checks. healthleadersmedia.com/cmo/patient-fa…

HealthLeaders's tweet image. Patients are increasingly turning to #AI for answers, but can they really trust what they’re getting?

At Hartford HealthCare, tools like PatientGPT are being tightly integrated with the EHR and guided by #clinical logic, but only after rigorous checks.

healthleadersmedia.com/cmo/patient-fa…

Our new Keeping PACE is now live, with articles on workforce and #wellbeing, #clinical best practice, #digital innovation, leadership and #culture, #equality and inclusion, #ambulance #volunteering, and other developments shaping ambulance services. > aace.org.uk/news/aace-publ…

AACE_org's tweet image. Our new Keeping PACE is now live, with articles on workforce and #wellbeing, #clinical best practice, #digital innovation, leadership and #culture, #equality and inclusion, #ambulance #volunteering, and other developments shaping ambulance services.

> aace.org.uk/news/aace-publ…

Our #MostRead article: The Lancet Diabetes & Endocrinology Commission: Definition and diagnostic criteria of clinical obesity thelancet.com/journals/landi… #clinical #obesity #FREE to read with registration (also FREE)


Cognitive changes resulting from menopause need a ‘unified definition’ and further research, according to a new study. #Menopause #Clinical buff.ly/1ZKGkU1

NurseinPractice's tweet image. Cognitive changes resulting from menopause need a ‘unified definition’ and further research, according to a new study. 

#Menopause #Clinical

buff.ly/1ZKGkU1

Only 2 weeks left! Submit your application for the Woodend #Clinical #Education Research Grant! casn.ca/2023/02/wooden… | Il ne reste que 2 semaines ! Présentez votre demande pour la Subvention de recherche en formation clinique Woodend. #Nursing #Education

CASN43's tweet image. Only 2 weeks left! Submit your application for the Woodend #Clinical #Education Research Grant! casn.ca/2023/02/wooden… | Il ne reste que 2 semaines ! Présentez votre demande pour la Subvention de recherche en formation clinique Woodend. #Nursing #Education

Is India ready for early cognitive screening? Ivory’s partnership to bring CANTAB Pathway highlights a shift toward preventive brain #health where early detection, #clinical adoption, and real-world scalability will define the future. Read more : healthcareexecutive.in/blog/brain-hea…


Read a recent @TheCancerLetter article on the Sylvester Data Portal, a cloud-based platform unifying #clinical and #genomic data to power more representative cancer #research. Hear from Dr. Stephan Schurer, senior author and associate director of Data Science at Sylvester, as


Proven impact 📚 Our Special Issue, "Detection and Analysis of Clinical Microbial Infections" (closed 2024) published 10 articles. It has been viewed over 38477 times. This collection continues to serve the research community. 🔗 mdpi.com/journal/microo… #clinical #microbiology

Micro_MDPI's tweet image. Proven impact 📚

Our Special Issue, "Detection and Analysis of Clinical Microbial Infections" (closed 2024) published 10 articles. It has been viewed over 38477 times.
This collection continues to serve the research community.

🔗 mdpi.com/journal/microo…

#clinical #microbiology

A 3-year prospective study to assess #clinical #characteristics and #risk #factors for exacerbations in patients with #asthma-#COPD #overlap based on the #GINA guideline compared with patients with asthma and COPD. Open Access. interasma.org/2026/03/30/a-3…

Interasma's tweet image. A 3-year prospective study to assess #clinical #characteristics and #risk #factors for exacerbations in patients with #asthma-#COPD #overlap based on the #GINA guideline compared with patients with asthma and COPD. Open Access. interasma.org/2026/03/30/a-3…

At #MicrobotMedical, we don’t just provide technology, we provide a partnership. The #MBOT Promise is our commitment to your #clinical success & the safety of your patients. Move forward with confidence. Peace of Mind. Guaranteed. Contact us to learn more: hubs.ly/Q0462sYv0

MicrobotMedical's tweet image. At #MicrobotMedical, we don’t just provide technology, we provide a partnership. The #MBOT Promise is our commitment to your #clinical success & the safety of your patients. Move forward with confidence. Peace of Mind. Guaranteed.
Contact us to learn more: hubs.ly/Q0462sYv0

Hot off the presses of @UnityHealthTO and @ccmtoronto, Global vs. regional effects of PEEP on recruitment and strain: Insights from #Preclinical and #Clinical Studies #ArticleinPress (Luca Salvatore Menga et al.): ow.ly/LbJy50YhaXO

japplphysiol's tweet image. Hot off the presses of @UnityHealthTO and @ccmtoronto, Global vs. regional effects of PEEP on recruitment and strain: Insights from #Preclinical and #Clinical Studies #ArticleinPress (Luca Salvatore Menga et al.):

ow.ly/LbJy50YhaXO

An Ovarian cyst is shown in the picture. Which type of cyst is it? Comment your answer below ⬇️ #medical #clinical #science

Sage_medics's tweet image. An Ovarian cyst is shown in the picture. 

Which type of cyst is it? Comment your answer below ⬇️ 

#medical #clinical #science

📢#Specialissue: New Advances in #Drug Associations, Complications and #Clinical Research of #Diabetes and Related Diseases ⏰Deadline: 25 September 2026 🎓Guest Editors: Dr. Toshiki Otoda and Dr. Agnieszka Sliwinska 📖Find out more at mdpi.com/journal/pharma… @MDPIBiologySubj

Pharmaceut_MDPI's tweet image. 📢#Specialissue: New Advances in #Drug Associations, Complications and #Clinical Research of #Diabetes and Related Diseases  
⏰Deadline: 25 September 2026 
🎓Guest Editors: Dr. Toshiki Otoda and Dr. Agnieszka Sliwinska
📖Find out more at mdpi.com/journal/pharma… @MDPIBiologySubj

This Commission sought to define #clinical #obesity as a condition of illness that, akin to the notion of chronic disease in other medical specialties, directly results from the effect of excess adiposity on the function of organs & tissues thelancet.com/journals/landi… #FREE w/reg

TheLancetEndo's tweet image. This Commission sought to define #clinical #obesity as a condition of illness that, akin to the notion of chronic disease in other medical specialties, directly results from the effect of excess adiposity on the function of organs & tissues thelancet.com/journals/landi…
#FREE w/reg

J. W. Duke (@NAU) and A. T. Lovering (@uocas) examine #clinical insights into exertional #dyspnoea from dead space loading during exercise based on the research of Mitchell et al. (2026) ✍️ 💭 🔗 Read the #TranslationalPerspective: buff.ly/xXGZBDs

JPhysiol's tweet image. J. W. Duke (@NAU) and A. T. Lovering (@uocas) examine #clinical insights into exertional #dyspnoea from dead space loading during exercise based on the research of Mitchell et al. (2026) ✍️ 💭 

🔗 Read the #TranslationalPerspective: buff.ly/xXGZBDs

Circulating Interleukin-8 Dynamics Parallels Disease Course and Is Linked to Clinical Outcomes in Severe COVID-19 ✍️by D’Rozario et al. 👉mdpi.com/1999-4915/15/2… #COVID_19 #SARSCoV2 #clinical

VirusesMDPI's tweet image. Circulating Interleukin-8 Dynamics Parallels Disease Course and Is Linked to Clinical Outcomes in Severe COVID-19

✍️by D’Rozario et al. 

👉mdpi.com/1999-4915/15/2…
#COVID_19 #SARSCoV2 #clinical

Alzheimer’s Society is investing £3 million to establish the first UK-wide team of #Dementia Research Nurses. The 3-year pilot program is set to revolutionize the dementia #clinical #research landscape in the UK – empowering people to join clinical trials buff.ly/FDeloji

DiverseElders's tweet image. Alzheimer’s Society is investing £3 million to establish the first UK-wide team of #Dementia Research Nurses. The 3-year pilot program is set to revolutionize the dementia #clinical #research landscape in the UK – empowering people to join clinical trials buff.ly/FDeloji

Keep teaching on track with Clinical Quick Talks. These ready‑to‑use scripts & study guides are built for short, high‑impact lectures.📚 This week’s spotlight resource: Infectious Disease, HIV & AIDS, now trending in the library: bit.ly/3NAh6WZ #MedEd #Clinical

SocietyHospMed's tweet image. Keep teaching on track with Clinical Quick Talks. These ready‑to‑use scripts & study guides are built for short, high‑impact lectures.📚 

This week’s spotlight resource: Infectious Disease, HIV & AIDS, now trending in the library: 
bit.ly/3NAh6WZ #MedEd #Clinical

🌏Study where the East meets the West! CQMU-University of Leicester Joint Institute is the ONLY joint educational institute in central and western China with a strong clinical focus. #CQMU #Chongqing #clinical #JEP

CQMU1956's tweet image. 🌏Study where the East meets the West!
CQMU-University of Leicester Joint Institute is the ONLY joint educational institute in central and western China with a strong clinical focus.
#CQMU #Chongqing #clinical #JEP
CQMU1956's tweet image. 🌏Study where the East meets the West!
CQMU-University of Leicester Joint Institute is the ONLY joint educational institute in central and western China with a strong clinical focus.
#CQMU #Chongqing #clinical #JEP
CQMU1956's tweet image. 🌏Study where the East meets the West!
CQMU-University of Leicester Joint Institute is the ONLY joint educational institute in central and western China with a strong clinical focus.
#CQMU #Chongqing #clinical #JEP

After testing positive, Hall navigated family tensions while turning to #ultramarathons, therapy, and #clinical trials to stay hopeful about frontotemporal #dementia. Despite setbacks, Hall remains hopeful. buff.ly/pLnAaPi

DiverseElders's tweet image. After testing positive, Hall navigated family tensions while turning to #ultramarathons, therapy, and #clinical trials to stay hopeful about frontotemporal #dementia. Despite setbacks, Hall remains hopeful. buff.ly/pLnAaPi

Across the industry, #clinical teams are using purpose-built #AI to make faster go/no-go calls, strengthen signals in underpowered subgroups, and model outcomes with greater confidence. Internal builds take time—and in this race, speed wins. Unlearn delivers disease-specific

UnlearnAI's tweet image. Across the industry, #clinical teams are using purpose-built #AI to make faster go/no-go calls, strengthen signals in underpowered subgroups, and model outcomes with greater confidence. Internal builds take time—and in this race, speed wins. Unlearn delivers disease-specific

The first of #JRCALC's #Clinical Update #EndOfLifeCare in Adults webinar series takes place 13:00-14:00, Thursday 19 Feb 2026. 'Recognising, Responding and Respecting' is designed for clinical staff of all skill levels. Learn more and register here: classprofessional.co.uk/events/jrcalc-…

AACE_org's tweet image. The first of #JRCALC's #Clinical Update #EndOfLifeCare in Adults webinar series takes place 13:00-14:00, Thursday 19 Feb 2026. 

'Recognising, Responding and Respecting' is designed for clinical staff of all skill levels. 

Learn more and register here: 
classprofessional.co.uk/events/jrcalc-…

Bridging #engineering #science with #clinical #medicine to address one of #India’s most pressing #health challenges. With the launch of India’s first #bioengineering-led #Centre for #LungHealth, @IITHyderabad reaffirms its commitment to #Inventing & #Innovating in #Technology for

IITHyderabad's tweet image. Bridging #engineering #science with #clinical #medicine to address one of #India’s most pressing #health challenges. With the launch of India’s first #bioengineering-led #Centre for #LungHealth, @IITHyderabad reaffirms its commitment to #Inventing & #Innovating in #Technology for

📢Call for Papers! New #SpecialIssue “Emerging Technologies and #Clinical Applications in Interventional Oncology” edited by @MinaMakaryMD, is now open for submissions!👏 🧐Discover More: mdpi.com/journal/cancer… 🍀Please submit your manuscript and join this transformative journey

Cancers_MDPI's tweet image. 📢Call for Papers! New #SpecialIssue “Emerging Technologies and #Clinical Applications in Interventional Oncology” edited by @MinaMakaryMD, is now open for submissions!👏
🧐Discover More: mdpi.com/journal/cancer…
🍀Please submit your manuscript and join this transformative journey

Loading...

Something went wrong.


Something went wrong.