#eicpathfinder search results

Camera, lights... and action! 🎬 Our new motion graphics video explains our approach to develop sustainable and efficient next-generation LEDs using the property of chirality. Watch the video below! #RADIANTproject #EICPathfinder @EUeic


Introducing: the RADIANT motion graphics video! Discover the why, what, and how of our project in just a couple of minutes by watching the video below! 🎥 #RADIANTproject #EICPathfinder @EUeic


💡 Przełom w diagnostyce obrazowej! Projekt #QuPIX z @LukasiewiczPORT został rekomendowany do dofinansowania w ramach #EICPathfinder Open 🇪🇺 🔗 port.lukasiewicz.gov.pl/eic-pathfinder… #HoryzontEuropa #Innovation #DeepTech

PORT_Wroclaw's tweet image. 💡 Przełom w diagnostyce obrazowej! Projekt #QuPIX z @LukasiewiczPORT został rekomendowany do dofinansowania w ramach #EICPathfinder Open 🇪🇺
🔗 port.lukasiewicz.gov.pl/eic-pathfinder…

#HoryzontEuropa #Innovation #DeepTech

We are proud to announce that we are part of RADIANT, a cutting-edge project developing high-performing chiral LEDs, under the EIC Pathfinder Challenge 2023. @EUeic @EU_EISMEA #EUeic #EICPathfinder @icmabCSIC @uvigo @lunduniversity @UV_EG @UJIuniversitat @IITalk @ZirkaInnotech

Polavarapu_Lab's tweet image. We are proud to announce that we are part of RADIANT, a cutting-edge project developing high-performing chiral LEDs, under the EIC Pathfinder Challenge 2023.  @EUeic @EU_EISMEA #EUeic #EICPathfinder
@icmabCSIC @uvigo @lunduniversity @UV_EG
@UJIuniversitat
@IITalk
@ZirkaInnotech

A proposal led by RCSI's Professor Andreas Heise has received a total of €2.9m in funding from the @EUeic #eicPathfinder programme. The POLINA project will develop new materials and technologies for medical applications. Learn more ➡️ rcsi.com/dublin/news-an… #RCSIdiscover

RCSI_Irl's tweet image. A proposal led by RCSI's Professor Andreas Heise
has received a total of €2.9m in funding from the @EUeic #eicPathfinder programme. 

The POLINA project will develop new materials and technologies for medical applications.

Learn more ➡️ rcsi.com/dublin/news-an…

#RCSIdiscover

Looking forward to meeting fellow projects in our #EUeic #eicPathfinder DNA data storage Challenge Portfolio with @DISCO_dna colleagues here in Munich.

DrKimReilly's tweet image. Looking forward to meeting fellow projects in our #EUeic #eicPathfinder DNA data storage  Challenge Portfolio  with @DISCO_dna colleagues here in Munich.

The “Nanomaterials for Light” workshop, organised as part of RADIANT, is starting at @icmabCSIC in Barcelona! Our coordinator @agusmihi is welcoming the attendees, together with ICMAB Director @DAmabilino. A full day of interesting talks ahead! 🙌 #EICPathfinder @EUeic

radiantproject_'s tweet image. The “Nanomaterials for Light” workshop, organised as part of RADIANT, is starting at @icmabCSIC in Barcelona!

Our coordinator @agusmihi is welcoming the attendees, together with ICMAB Director @DAmabilino. 

A full day of interesting talks ahead! 🙌

#EICPathfinder @EUeic

Excited to be attending the second plenary meeting of the Symbiotik project, our flagship EIC Pathfinder initiative, and represent Telefonica Research along with Michalis Kassinopoulos, George Koutroumpas and Ángela López Cardona. @TEFresearch #eicpathfinder #ai

iarapakis's tweet image. Excited to be attending the second plenary meeting of the Symbiotik project, our flagship EIC Pathfinder initiative, and represent Telefonica Research along with Michalis Kassinopoulos, George Koutroumpas and Ángela López Cardona. 
@TEFresearch  #eicpathfinder #ai

Congratulations to 43 projects selected under #EICPathfinder Challenges! 👏They will receive €159m in total. This form of @HorizonEU funding via @EUeic offers: 💶 grants up to €4 m 🔬 support to early-stage development of future technologies More 👉 europa.eu/!CNDrgF

Ili_Ivanova's tweet image. Congratulations to 43 projects selected under #EICPathfinder Challenges! 👏They will receive €159m in total.

This form of @HorizonEU funding via @EUeic offers:
💶 grants up to €4 m
🔬 support to early-stage development of future technologies

More 👉 europa.eu/!CNDrgF

Introducing the newest projects selected under #eicPathfinder Open! 🤗 This round the #EUeic selected: 🚀 45 projects from 🌍 25 countries, requesting 💰 €138 in EU contributions Discover more about them here ➡️ europa.eu/!bKcgfT

EUeic's tweet image. Introducing the newest projects selected under #eicPathfinder Open! 🤗

This round the #EUeic selected:

🚀 45 projects from
🌍 25 countries, requesting
💰 €138 in EU contributions

Discover more about them here ➡️ europa.eu/!bKcgfT

Join @KTN_Global for our webinar: #HorizonEurope #EICPathfinder “Challenges” Brokerage and Community Building Event on 📆29 June 2023 at ⏰ 10:00 - 13:00 BST. Register here: bit.ly/3qUQt3A @belenrebollo__ @HorizonEU @UK_EIC_NCP @EUeic @innovateuk

IUK_Global's tweet image. Join @KTN_Global for our webinar: #HorizonEurope #EICPathfinder “Challenges” Brokerage and Community Building Event on 📆29 June 2023 at ⏰ 10:00 - 13:00 BST.
Register here: bit.ly/3qUQt3A 
@belenrebollo__ @HorizonEU @UK_EIC_NCP @EUeic @innovateuk

Unleashing the potential of chiral LEDs 🚀 RADIANT is funded by the @EUeic’s #EICPathfinder Challenges. We produce chiral #LEDs that are... 💪 Efficient 💰 Affordable 🌿 Sustainable 🔆 Equipped with a broad spectral range radiant-pathfinder.eu

radiantproject_'s tweet image. Unleashing the potential of chiral LEDs 🚀

RADIANT is funded by the @EUeic’s #EICPathfinder Challenges.

We produce chiral #LEDs that are...

💪 Efficient 
💰 Affordable
 🌿 Sustainable 
🔆 Equipped with a broad spectral range

radiant-pathfinder.eu

👏Congratulations to 44 new projects selected under the #EICPathfinder Challenges call. With the support of #EUeic Programme Managers, they will progress together towards ➡️ common goals and create new opportunities for radical innovation💡 More 👉 europa.eu/!6Kn8Yy

GabrielMariya's tweet image. 👏Congratulations to 44 new projects selected under the #EICPathfinder Challenges call. 

With the support of #EUeic Programme Managers, they will progress together towards ➡️ common goals and create new opportunities for radical innovation💡

More 👉 europa.eu/!6Kn8Yy

We are pleased to announce that our EIC Pathfinder project 'FLUFET' has started this month.We are looking forward to the exciting science ahead of us developing an automated sensor to detect known and unknown viruses that may pose a threat to global health.#eicpathfinder @CICAUDC

NanoSelfLab's tweet image. We are pleased to announce that our EIC Pathfinder project 'FLUFET' has started this month.We are looking forward to the exciting science ahead of us developing an automated sensor to detect known and unknown viruses that may pose a threat to global health.#eicpathfinder @CICAUDC

📢 #IBEC liderarà el projecte #PHOTOTHERAPORT, finançat per @EUeic. #eicPathfinder. 💊💡🧠 S'enfoca en implants luminescents i fàrmacs activats amb llum per a teràpies de neuromodulació per tractar el dolor neuropàtic i l'epilèpsia focal. 👉 Llegeix més: mtr.cool/bdreicvkvp

IBECBarcelona's tweet image. 📢 #IBEC liderarà el projecte #PHOTOTHERAPORT, finançat per @EUeic. #eicPathfinder.

💊💡🧠 S'enfoca en implants luminescents i fàrmacs activats amb llum per a teràpies de neuromodulació per tractar el dolor neuropàtic i l'epilèpsia focal.

👉 Llegeix més: mtr.cool/bdreicvkvp

We ust returned from the @Piezo4Spine Annual Meeting where we shared our data, exchange ideas, planned new goals and put together all our research with the partners of the consortium! #EICpathfinder #EUproject @sescamtoledo team @HNParaplejicos @gobjccm

JulirosaNeuro's tweet image. We ust returned from the @Piezo4Spine Annual Meeting where we shared our data, exchange ideas, planned new goals and put together all our research with the partners of the consortium! #EICpathfinder #EUproject  @sescamtoledo team @HNParaplejicos @gobjccm
JulirosaNeuro's tweet image. We ust returned from the @Piezo4Spine Annual Meeting where we shared our data, exchange ideas, planned new goals and put together all our research with the partners of the consortium! #EICpathfinder #EUproject  @sescamtoledo team @HNParaplejicos @gobjccm
This post is unavailable.

Wskocz do #HoryzontEU za pomocą Hop On Facility!🏃 Instrument ten umożliwia podmiotom m.in. z Polski dołączenie do międzynarodowych konsorcjów realizujących projekty wybrane w ramach #KlastryEU lub #EICPathfinder. Dowiedz się więcej 📷bit.ly/3EfBxk8

KPK_PL's tweet image. Wskocz do #HoryzontEU za pomocą Hop On Facility!🏃 Instrument ten umożliwia podmiotom m.in. z Polski dołączenie do międzynarodowych konsorcjów realizujących projekty wybrane w ramach #KlastryEU lub #EICPathfinder.

Dowiedz się więcej 📷bit.ly/3EfBxk8

📢 ¿Investigación con potencial de mercado? El 12/05 te esperamos para conocer la convocatoria #EICPathfinder del #HorizonteEuropa 🇪🇺. 💶 Hasta 4M€ por proyecto 🚀 Impulsa tecnologías emergentes 🤝 Reuniones con el Punto Nacional de Contacto ℹ️ ceei.es/sites/agenda/e…

ceeiasturias's tweet image. 📢 ¿Investigación con potencial de mercado?
El 12/05 te esperamos para conocer la convocatoria #EICPathfinder del #HorizonteEuropa 🇪🇺.
💶 Hasta 4M€ por proyecto
🚀 Impulsa tecnologías emergentes
🤝 Reuniones con el Punto Nacional de Contacto

ℹ️ ceei.es/sites/agenda/e…

Discover key information about RADIANT—in numbers! 3️⃣ years 6️⃣ partner organisations 3️⃣ countries ~3,7 million euros in funding 9️⃣ projects in the #EICPathfinder Challenges portfolio Find out the rest on our website: radiant-pathfinder.eu

radiantproject_'s tweet image. Discover key information about RADIANT—in numbers!

3️⃣ years
6️⃣ partner organisations
3️⃣ countries
~3,7 million euros in funding
9️⃣ projects in the #EICPathfinder Challenges portfolio

Find out the rest on our website: radiant-pathfinder.eu

Camera, lights... and action! 🎬 Our new motion graphics video explains our approach to develop sustainable and efficient next-generation LEDs using the property of chirality. Watch the video below! #RADIANTproject #EICPathfinder @EUeic


The @radiantproject_ in a nutshell 💡 Take a look at the below video to understand what this #EICPathfinder-funded project is all about! @EUeic

Introducing: the RADIANT motion graphics video! Discover the why, what, and how of our project in just a couple of minutes by watching the video below! 🎥 #RADIANTproject #EICPathfinder @EUeic



In ALADDIN, synthetic biology works hand in hand with #AI! Using AI, structural predictions can be done to... 💻 Model how nanobodies bind to antigens 💻 Optimise and humanise nanobodies AI modelling in the project is done by @HebrewU. #ALADDINproject #EICPathfinder @EUeic

projectaladdin's tweet image. In ALADDIN, synthetic biology works hand in hand with #AI!

Using AI, structural predictions can be done to...

💻 Model how nanobodies bind to antigens 
💻 Optimise and humanise nanobodies

AI modelling in the project is done by @HebrewU.

#ALADDINproject #EICPathfinder @EUeic

Introducing: the RADIANT motion graphics video! Discover the why, what, and how of our project in just a couple of minutes by watching the video below! 🎥 #RADIANTproject #EICPathfinder @EUeic


Microfluidics form a crucial ingredient in our project approach ✅ In ALADDIN, @INLnano... 🔬Develops microfluidics devices to select nanobodies from bacteria 🔬Implement the devices into the multidisciplinary ALADDIN platform #ALADDINproject #EICPathfinder @EUeic

projectaladdin's tweet image. Microfluidics form a crucial ingredient in our project approach ✅

In ALADDIN, @INLnano...

🔬Develops microfluidics devices to select nanobodies from bacteria 
🔬Implement the devices into the multidisciplinary ALADDIN platform  
 
#ALADDINproject #EICPathfinder @EUeic

Mathematical modelling is a key part of the ALADDIN project📈 It’s crucial for: 🔎 The identification of therapeutic targets 🔎 The preclinical validation of nanobodies in zebrafish The power of mathematics is unleashed in our project by @InCELLia! #EICPathfinder @EUeic

projectaladdin's tweet image. Mathematical modelling is a key part of the ALADDIN project📈

It’s crucial for:

🔎 The identification of therapeutic targets 
🔎 The preclinical validation of nanobodies in zebrafish
The power of mathematics is unleashed in our project by @InCELLia!

#EICPathfinder @EUeic

🆕Aprobado el nuevo programa de trabajo del @EUeic 2026 ‼️ 💶 166 millones € - EIC Pathfinder Open 💶 96 millones € - EIC Pathfinder Challenges 💶 100 millones € - EIC Transition #EICPathfinder #EICTransition #HorizonEurope

2026 EIC Work Programme has been adopted: €1.4 billion to support deep tech innovators! 🚀 New Advanced Innovation Challenges 🚀 Simplified Accelerator evaluation 🚀 Increased maximum grants for Pathfinder 🚀 Broader eligibility for Transition 👉link.europa.eu/c7q8D7

EUeic's tweet image. 2026 EIC Work Programme has been adopted: €1.4 billion to support deep tech innovators!

🚀 New Advanced Innovation Challenges
🚀 Simplified Accelerator evaluation
🚀 Increased maximum grants for Pathfinder
🚀 Broader eligibility for Transition

👉link.europa.eu/c7q8D7


Don't miss our Workshop on Sustainable & Circular Technologies Nov 26-27, 2025, Netherlands Join EIC Pathfinder projects @dam4co2 @ICONIC @MINICOR @CONFETIProject @SUPERVAL Register now: 1cube.eu/international-… #EICPathfinder #Sustainability #CO2Reduction #CircularEconomy

dam4co2's tweet image. Don't miss our Workshop on Sustainable & Circular Technologies Nov 26-27, 2025, Netherlands

Join EIC Pathfinder projects @dam4co2  @ICONIC @MINICOR @CONFETIProject @SUPERVAL

Register now: 1cube.eu/international-…

#EICPathfinder #Sustainability #CO2Reduction #CircularEconomy

ALADDIN at the XXI National Meeting of Sociedad Española de Biología Celular 🙌 Last week, PI Javier Martinez-Useros from the Instituto Investigación Sanitaria Fundación Jiménez Díaz joined the event and presented the ALADDIN project. #ALADDINproject #EICPathfinder

projectaladdin's tweet image. ALADDIN at the XXI National Meeting of  Sociedad Española de Biología Celular 🙌 

Last week, PI Javier Martinez-Useros from the Instituto Investigación Sanitaria Fundación Jiménez Díaz joined the event and presented the ALADDIN project.

#ALADDINproject #EICPathfinder

A warm thanks to our Scientific Project Officer, Christiane Wilzeck, Johannes Bunz (@EU_EISMEA), and external experts María Carmen Blanco Lopez, Julie Deacon, Andrea Masotti & Christine Moissl-Eichinger for their valuable feedback! 🙏 #EICPathfinder #EICPrecisionNutrition


I also want to acknowledge the funding from @maxplanckpress & European Innovation Council #EIC #EICPathfinder #EngineeredLivingMaterials


9 Reducing reliance on critical raw materials & enabling greener, scalable technologies🔋 The Responsible Electronics portfolio, including @radiantproject_, shapes a more sustainable future for electronics. radiant-pathfinder.eu/portfolio/ #EICPathfinder #ResponsibleElectronics


🗣️ The EIC has awarded €140M to 44 visionary projects through the 2025 #EICPathfinder Open call! From quantum tech to health & AI, Europe is driving the next wave of #DeepTech innovation. Learn more about the selected projects & their impact 👉 eic.ec.europa.eu/news/over-eu14…


🗓️Save the date! 13 November 2025: Online Info Day - #EIC Work Programme 2026 ✅#EICPathfinder: for advanced research on breakthrough or game-changing technologies ✅#EICTransition: for transforming research results into innovation opportunities

🚀 Big news: the EIC 2026 Work Programme is coming! And with a new Work Programme come new questions, which is why we will have 3 info days. 📌 13/11 - General Info Day 📌 14/11 - Accelerator Challenges 📌 17/11 - Advanced Innovation Challenges More: link.europa.eu/wpnykB

EUeic's tweet image. 🚀 Big news: the EIC 2026 Work Programme is coming!

And with a new Work Programme come new questions, which is why we will have 3 info days.

📌 13/11 - General Info Day
📌 14/11 - Accelerator Challenges
📌 17/11 - Advanced Innovation Challenges

More: link.europa.eu/wpnykB


💡 Przełom w diagnostyce obrazowej! Projekt #QuPIX z @LukasiewiczPORT został rekomendowany do dofinansowania w ramach #EICPathfinder Open 🇪🇺 🔗 port.lukasiewicz.gov.pl/eic-pathfinder… #HoryzontEuropa #Innovation #DeepTech

PORT_Wroclaw's tweet image. 💡 Przełom w diagnostyce obrazowej! Projekt #QuPIX z @LukasiewiczPORT został rekomendowany do dofinansowania w ramach #EICPathfinder Open 🇪🇺
🔗 port.lukasiewicz.gov.pl/eic-pathfinder…

#HoryzontEuropa #Innovation #DeepTech

🧲 On 17 Oct 2025, Helium 3 joined partners from across Europe at the MAGCCINE Year-1 Meeting hosted by CNRS & MagREEsource in Grenoble 🇫🇷 Together we advance magnetic cooling for vaccine refrigeration, clean, efficient & sustainable! 💉🌍 #Magccine #EICPathfinder #HorizonEU

3_helium's tweet image. 🧲 On 17 Oct 2025, Helium 3 joined partners from across Europe at the MAGCCINE Year-1 Meeting hosted by CNRS & MagREEsource in Grenoble 🇫🇷

Together we advance magnetic cooling for vaccine refrigeration, clean, efficient & sustainable! 💉🌍

#Magccine #EICPathfinder #HorizonEU

Can’t wait to start working with @WillemNANO, @rvdmnanomeds and team on DRIVIN’ CARs! I’m a notoriously bad driver, but lucky for us, this CAR’s got a top-notch crew navigating the immunotherapy highway! @Nanoworxbv 🛣️ #DRIVINCAR #EICPathfinder #nanomedicine #Nanoworx

🥳 Super stoked that our program 🏎️ DRIVIN' CAR has received €3M @EUeic Pathfinder funding to develop our #apolipoprotein #nanoparticle platform for in vivo #CAR cell therapy! Can't wait for @WillemNANO and my group to work with the awesome folks and teams below 👇

rvdmnanomeds's tweet image. 🥳 Super stoked that our program 🏎️  DRIVIN' CAR has received €3M @EUeic Pathfinder funding to develop our #apolipoprotein #nanoparticle platform for in vivo #CAR cell therapy! Can't wait for @WillemNANO and my  group to work with the awesome folks and teams below 👇


Backed by a €3.5M #EICPathfinder Grant from the @EUeic and @SBFI_CH, this project is more than tech, it’s about rethinking waste, redefining energy, and reshaping the future of transportation.


Welcome to the future of light. 💡 From quantum-dot based to organic and perovskite, RADIANT is reinventing LEDs to be more... 💸 Affordable 📈 Scalable 🍃 Sustainable @EUeic #EICPathfinder radiant-pathfinder.eu

radiantproject_'s tweet image. Welcome to the future of light. 💡

From quantum-dot based to organic and perovskite, RADIANT is reinventing LEDs to be more...

💸 Affordable 
📈 Scalable 
🍃 Sustainable 
 
@EUeic #EICPathfinder

radiant-pathfinder.eu

With critical contributions from @Marc_Trani_, @VillarongaAlba, Yonit Maroudas-Sacks, Allyson Ryan, in collaboration with @carldmodes @csbdresden & @CampasLab @PoLDresden. Funded by #EICPathfinder @EUeic #EngineeredLivingMaterials. Stay tuned for a thread with some background!


Welcome to the future of light. 💡 From quantum-dot based to organic and perovskite, RADIANT is reinventing LEDs to be more... 💸 Affordable 📈 Scalable 🍃 Sustainable @EUeic #EICPathfinder radiant-pathfinder.eu

radiantproject_'s tweet image. Welcome to the future of light. 💡

From quantum-dot based to organic and perovskite, RADIANT is reinventing LEDs to be more...

💸 Affordable 
📈 Scalable 
🍃 Sustainable 
 
@EUeic #EICPathfinder

radiant-pathfinder.eu

A proposal led by RCSI's Professor Andreas Heise has received a total of €2.9m in funding from the @EUeic #eicPathfinder programme. The POLINA project will develop new materials and technologies for medical applications. Learn more ➡️ rcsi.com/dublin/news-an… #RCSIdiscover

RCSI_Irl's tweet image. A proposal led by RCSI's Professor Andreas Heise
has received a total of €2.9m in funding from the @EUeic #eicPathfinder programme. 

The POLINA project will develop new materials and technologies for medical applications.

Learn more ➡️ rcsi.com/dublin/news-an…

#RCSIdiscover

We are proud to announce that we are part of RADIANT, a cutting-edge project developing high-performing chiral LEDs, under the EIC Pathfinder Challenge 2023. @EUeic @EU_EISMEA #EUeic #EICPathfinder @icmabCSIC @uvigo @lunduniversity @UV_EG @UJIuniversitat @IITalk @ZirkaInnotech

Polavarapu_Lab's tweet image. We are proud to announce that we are part of RADIANT, a cutting-edge project developing high-performing chiral LEDs, under the EIC Pathfinder Challenge 2023.  @EUeic @EU_EISMEA #EUeic #EICPathfinder
@icmabCSIC @uvigo @lunduniversity @UV_EG
@UJIuniversitat
@IITalk
@ZirkaInnotech

💡 Przełom w diagnostyce obrazowej! Projekt #QuPIX z @LukasiewiczPORT został rekomendowany do dofinansowania w ramach #EICPathfinder Open 🇪🇺 🔗 port.lukasiewicz.gov.pl/eic-pathfinder… #HoryzontEuropa #Innovation #DeepTech

PORT_Wroclaw's tweet image. 💡 Przełom w diagnostyce obrazowej! Projekt #QuPIX z @LukasiewiczPORT został rekomendowany do dofinansowania w ramach #EICPathfinder Open 🇪🇺
🔗 port.lukasiewicz.gov.pl/eic-pathfinder…

#HoryzontEuropa #Innovation #DeepTech

The “Nanomaterials for Light” workshop, organised as part of RADIANT, is starting at @icmabCSIC in Barcelona! Our coordinator @agusmihi is welcoming the attendees, together with ICMAB Director @DAmabilino. A full day of interesting talks ahead! 🙌 #EICPathfinder @EUeic

radiantproject_'s tweet image. The “Nanomaterials for Light” workshop, organised as part of RADIANT, is starting at @icmabCSIC in Barcelona!

Our coordinator @agusmihi is welcoming the attendees, together with ICMAB Director @DAmabilino. 

A full day of interesting talks ahead! 🙌

#EICPathfinder @EUeic

Join @KTN_Global for our webinar: #HorizonEurope #EICPathfinder “Challenges” Brokerage and Community Building Event on 📆29 June 2023 at ⏰ 10:00 - 13:00 BST. Register here: bit.ly/3qUQt3A @belenrebollo__ @HorizonEU @UK_EIC_NCP @EUeic @innovateuk

IUK_Global's tweet image. Join @KTN_Global for our webinar: #HorizonEurope #EICPathfinder “Challenges” Brokerage and Community Building Event on 📆29 June 2023 at ⏰ 10:00 - 13:00 BST.
Register here: bit.ly/3qUQt3A 
@belenrebollo__ @HorizonEU @UK_EIC_NCP @EUeic @innovateuk

Introducing the newest projects selected under #eicPathfinder Open! 🤗 This round the #EUeic selected: 🚀 45 projects from 🌍 25 countries, requesting 💰 €138 in EU contributions Discover more about them here ➡️ europa.eu/!bKcgfT

EUeic's tweet image. Introducing the newest projects selected under #eicPathfinder Open! 🤗

This round the #EUeic selected:

🚀 45 projects from
🌍 25 countries, requesting
💰 €138 in EU contributions

Discover more about them here ➡️ europa.eu/!bKcgfT

🧲 On 17 Oct 2025, Helium 3 joined partners from across Europe at the MAGCCINE Year-1 Meeting hosted by CNRS & MagREEsource in Grenoble 🇫🇷 Together we advance magnetic cooling for vaccine refrigeration, clean, efficient & sustainable! 💉🌍 #Magccine #EICPathfinder #HorizonEU

3_helium's tweet image. 🧲 On 17 Oct 2025, Helium 3 joined partners from across Europe at the MAGCCINE Year-1 Meeting hosted by CNRS & MagREEsource in Grenoble 🇫🇷

Together we advance magnetic cooling for vaccine refrigeration, clean, efficient & sustainable! 💉🌍

#Magccine #EICPathfinder #HorizonEU

Congratulations to 43 projects selected under #EICPathfinder Challenges! 👏They will receive €159m in total. This form of @HorizonEU funding via @EUeic offers: 💶 grants up to €4 m 🔬 support to early-stage development of future technologies More 👉 europa.eu/!CNDrgF

Ili_Ivanova's tweet image. Congratulations to 43 projects selected under #EICPathfinder Challenges! 👏They will receive €159m in total.

This form of @HorizonEU funding via @EUeic offers:
💶 grants up to €4 m
🔬 support to early-stage development of future technologies

More 👉 europa.eu/!CNDrgF

Innovations that change the world 💎 We combine many technologies into one platform to enhance #nanobody discovery, aiming to improve cancer treatment in the future! We are funded by the @EU_EISMEA #EICPathfinder Open programme, aimed at deep tech projects 💪 Follow us!

projectaladdin's tweet image. Innovations that change the world 💎

We combine many technologies into one platform to enhance #nanobody discovery, aiming to improve cancer treatment in the future!

We are funded by the @EU_EISMEA #EICPathfinder Open programme, aimed at deep tech projects 💪

Follow us!

Unleashing the potential of chiral LEDs 🚀 RADIANT is funded by the @EUeic’s #EICPathfinder Challenges. We produce chiral #LEDs that are... 💪 Efficient 💰 Affordable 🌿 Sustainable 🔆 Equipped with a broad spectral range radiant-pathfinder.eu

radiantproject_'s tweet image. Unleashing the potential of chiral LEDs 🚀

RADIANT is funded by the @EUeic’s #EICPathfinder Challenges.

We produce chiral #LEDs that are...

💪 Efficient 
💰 Affordable
 🌿 Sustainable 
🔆 Equipped with a broad spectral range

radiant-pathfinder.eu

The new #EUeicnewsletter is out! 📬 Highlights👇 🆕 Projects from #eicPathfinder 📝 Open calls for tenders, trade fairs, and EIC Prizes 🚀 EIC Fund successes More: 👉europa.eu/!y677VT #horizoneurope #horizoneu #newsletter

UfukAvrupa_TR's tweet image. The new #EUeicnewsletter is out! 📬

Highlights👇

🆕 Projects from #eicPathfinder
📝 Open calls for tenders, trade fairs, and EIC Prizes
🚀 EIC Fund successes

More: 👉europa.eu/!y677VT

#horizoneurope #horizoneu #newsletter

The 1st day of our meeting ended with a tour of the @liu_universitet zebrafish facility & PI Lasse Jensen's lab. 🐠 During the second day, we will focus on... 🔹 Communication, dissemination & exploitation (@ZirkaInnotech) 🔹 Coordination (@CNB_CSIC) #EICPathfinder @EUeic

projectaladdin's tweet image. The 1st day of our meeting ended with a tour of the @liu_universitet zebrafish facility & PI Lasse Jensen's lab. 🐠 

During the second day, we will focus on...

🔹 Communication, dissemination & exploitation (@ZirkaInnotech)
🔹 Coordination (@CNB_CSIC) 

#EICPathfinder @EUeic
projectaladdin's tweet image. The 1st day of our meeting ended with a tour of the @liu_universitet zebrafish facility & PI Lasse Jensen's lab. 🐠 

During the second day, we will focus on...

🔹 Communication, dissemination & exploitation (@ZirkaInnotech)
🔹 Coordination (@CNB_CSIC) 

#EICPathfinder @EUeic
projectaladdin's tweet image. The 1st day of our meeting ended with a tour of the @liu_universitet zebrafish facility & PI Lasse Jensen's lab. 🐠 

During the second day, we will focus on...

🔹 Communication, dissemination & exploitation (@ZirkaInnotech)
🔹 Coordination (@CNB_CSIC) 

#EICPathfinder @EUeic
projectaladdin's tweet image. The 1st day of our meeting ended with a tour of the @liu_universitet zebrafish facility & PI Lasse Jensen's lab. 🐠 

During the second day, we will focus on...

🔹 Communication, dissemination & exploitation (@ZirkaInnotech)
🔹 Coordination (@CNB_CSIC) 

#EICPathfinder @EUeic

The #eicPathfinder Challenges Info Day is starting now! Curious about applying? Want to learn about the process? 🔴 Join the live stream➡️ europa.eu/!pknmnF

EUeic's tweet image. The #eicPathfinder Challenges Info Day is starting now!

Curious about applying? Want to learn about the process?

🔴 Join the live stream➡️ europa.eu/!pknmnF

Missed the #eicPathfinder Challenges Info Day? ℹ️ Don’t worry, we got your back. 🙌 You can now access the recordings from the general presentation and by individual challenge topic. 📹 Watch them all here ➡️ europa.eu/!76xw8n

EUeic's tweet image. Missed the #eicPathfinder Challenges Info Day? ℹ️

Don’t worry, we got your back. 🙌 

You can now access the recordings from the general presentation and by individual challenge topic. 📹

Watch them all here ➡️ europa.eu/!76xw8n

🤩CIC biomaGUNE is partner of two #EICPathfinder Open projects funded by the EIC pathfinder Programme: SMARTdrugs and FLUFET. Congrats to all partners involved! 👉bit.ly/3OGZUNv @Llop_Lab @lab_carbon @IColuzza @graphenea

CICbiomaGUNE's tweet image. 🤩CIC biomaGUNE is partner of two #EICPathfinder Open projects funded by the EIC pathfinder Programme: SMARTdrugs and FLUFET. Congrats to all partners involved!

👉bit.ly/3OGZUNv

@Llop_Lab @lab_carbon @IColuzza @graphenea

We want your space #innovations! 🛰️ Specifically, the #eicPathfinder challenge is looking for technologies for space debris mitigation and active debris removal and concepts for in-space recycling ♻️ Could this be you? Learn more and apply now 👉 europa.eu/!9cwgBb

EUeic's tweet image. We want your space #innovations! 🛰️

Specifically, the #eicPathfinder challenge is looking for technologies for space debris mitigation and active debris removal and concepts for in-space recycling ♻️

Could this be you? Learn more and apply now 👉 europa.eu/!9cwgBb

Mark your calendar for the #EUeic Work Programme 2025 Info Day! 🚀 The event will cover the novelties & opportunities under #eicPathfinder, #eicTransition and #eicAccelerator. 🗓️ 5 November, 9:30-16:45 CET 💻 Online Learn more ⤵️ europa.eu/!x6Wy7j

EUeic's tweet image. Mark your calendar for the #EUeic Work Programme 2025 Info Day! 🚀

The event will cover the novelties & opportunities under #eicPathfinder, #eicTransition and #eicAccelerator.

🗓️ 5 November, 9:30-16:45 CET
💻 Online

Learn more ⤵️
europa.eu/!x6Wy7j

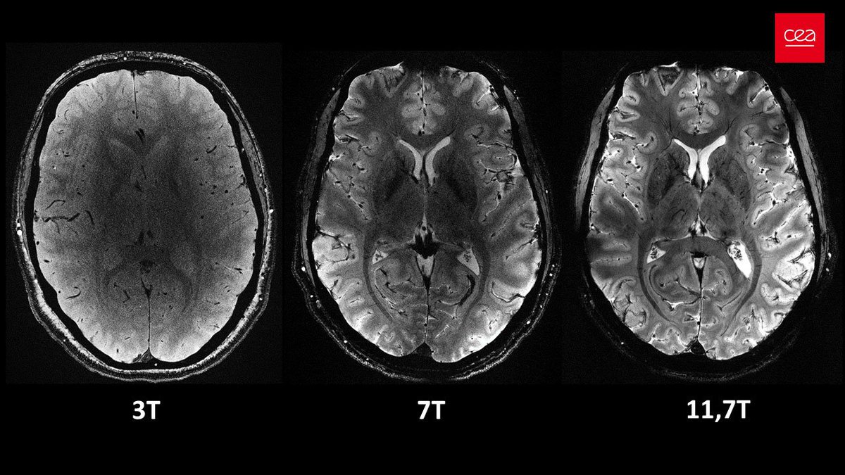
This #eicPathfinder project is exploring the human brain 🧠 #EUeic backed @aroma_project has contributed to the world’s most powerful MRI machine, revealing the living brain imaged with unrivaled clarity. Learn more about them here 👉europa.eu/!BhPqJK

EUeic's tweet image. This #eicPathfinder project is exploring the human brain 🧠

#EUeic backed @aroma_project has contributed to the world’s most powerful MRI machine, revealing the living brain imaged with unrivaled clarity.

Learn more about them here 👉europa.eu/!BhPqJK

🚀 The European Innovation Council funds a €3 million project with IGTP involvement #NanoBiCar project is coordinated by the @UPV with the participation of the IGTP (represented by @pjcardona14, leader of the @UMCiExp) The grant falls within the #eicPathfinder Programme of the…

GTRecerca's tweet image. 🚀 The European Innovation Council funds a €3 million project with IGTP involvement

#NanoBiCar project is coordinated by the @UPV with the participation of the IGTP (represented by @pjcardona14, leader of the @UMCiExp)

The grant falls within the #eicPathfinder Programme of the…

Loading...

Something went wrong.


Something went wrong.


United States Trends