#eylea search results

Compounded #bevacizumab owns > 50% of the retinal disorder market, costing much less than #Lucentis or #Eylea. What about compounded versions of the bevacizumab #biosimilars? Will retina specialists use them? A new report from @cardinalhealth says yes. wp.me/p7gt6c-7zw


On October 22, the federal appeals court denied @Regeneron’s request for an injunction against @Amgen pending appeal, which would have forestalled the biosimilar maker’s launch of #Pavglu, its biosimilar version of #Eylea. #aflibercept #biosimilars wp.me/p7gt6c-7PQ


Great opportunity for marketing leadership role with a progressive organization. #regeneron #eylea #marketing #leadership lnkd.in/eRxDyiyZ


Dear Ministry of Health Maldives @MoHmv, Many Maldivians have been diagnosed with wet Age-Related Macular Degeneration (AMD). One of the few treatments to suppress or stabilize this eye condition is the administration of #Lucentis, #Accentrix, #Eylea or #Avastin 10 mg/mL


Next Step für #Formycon - #FDA erteilt Zulassung für #Eylea ®1)- #Biosimilar FYB203/AHZANTIVE®2) (Aflibercept-mrbb) eqs-news.com/de/news/adhoc/…


#Regeneron World-Wide Sales for #EYLEA was 2335m USD in Q4 2022 (Down 5%) 1stoncology.com/blog/10-k-annu…


Interesting that as @US_FDA approves @Regeneron‘s high dose #Eylea, it also approves their complement C5 antibody #Veopoz near simultaneously - but the indication is for a ultra rare disease (CHAPLE- associated with CD55 mutations). “There are fewer than 10 patients with CHAPLE


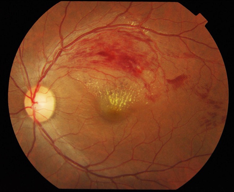
In a paper in @SciReports from #Japan, individualized treatment protocol with #Eylea (#aflibercept) that was based on the period of efficacy in treatment-naïve #BRVO eyes with macular edema was found to achieve satisfactory long-term visual outcome.

RetinaGlobal1's tweet image. In a paper in @SciReports from #Japan, individualized treatment protocol with #Eylea (#aflibercept) that was based on the period of efficacy in treatment-naïve #BRVO eyes with macular edema was found to achieve satisfactory long-term visual outcome.

The first #biosimilars to #Eylea have been approved by the FDA. bit.ly/4dKOin1 Pic (c) Center for Biosimilars

KRxVentures's tweet image. The first #biosimilars to #Eylea have been approved by the FDA.

bit.ly/4dKOin1

Pic (c) Center for Biosimilars

Eylea time again 🥴 thanks @NHS for excellent care as usual #Eylea

NiceGuyAidey's tweet image. Eylea time again 🥴 thanks @NHS for excellent care as usual #Eylea

#PatientTip #Eylea #EyeInjection @NGHnhstrust 1 be compassionate and kind it makes a difference to us 2 as a patient you can feel the injection and eye becomes more tender as course progresses, be patient 3 tell patient what’s happening for each step, we aren’t being difficult


BREAKING: @Regeneron announced a voluntary recall of specific lots of #eylea (aflibercept) injection due to potential syringe barrel breakage. No adverse events reported. Check your inventory and take action if affected. Contact [email protected] for details.


BREAKING NEWS: FDA approves aflibercept (EYLEA) injection from Regeneron to treat preterm infants diagnosed with retinopathy of prematurity (ROP) Read more: ow.ly/9XGt50MO9nM #Ophthalmology #EYLEA @Regeneron @US_FDA

OphthTimes's tweet image. BREAKING NEWS: FDA approves aflibercept (EYLEA) injection from Regeneron to treat preterm infants diagnosed with retinopathy of prematurity (ROP)

Read more: ow.ly/9XGt50MO9nM

#Ophthalmology #EYLEA @Regeneron @US_FDA

FDA Approves Eylea HD Injection 8 Mg For The Treatment Of Wet Age-Related Macular Degeneration, Diabetic Macular Edema, And Diabetic Retinopathy Read More: pharmtales.com/eylea-hd-injec… #Eylea @Regeneron #DiabeticRetinopathy #FDAapproval #pharmanews #pharmaupdates #Pharmtales

thepharmtales's tweet image. FDA Approves Eylea HD Injection 8 Mg For The Treatment Of Wet Age-Related Macular Degeneration, Diabetic Macular Edema, And Diabetic Retinopathy

Read More: pharmtales.com/eylea-hd-injec…

#Eylea @Regeneron #DiabeticRetinopathy #FDAapproval #pharmanews #pharmaupdates #Pharmtales

FDA approves Ahzantive (aflibercept-mrbb), a biosimilar to Eylea (aflibercept): #FDA #biosimilar #Eylea #pharmacy #independentpharmacy linkedin.com/posts/omega-ph…

omegapharmacies's tweet image. FDA approves Ahzantive (aflibercept-mrbb), a biosimilar to Eylea (aflibercept):
#FDA #biosimilar #Eylea #pharmacy #independentpharmacy 
linkedin.com/posts/omega-ph…

Eylea Patient Tips: 7 Things You Should Know Drugs.com #Eylea and Eylea HD both contain aflibercept and are VEGF (vascular endothelial growth factor) inhibitors used to treat retinal eye diseases that may seriously affect your vision. drugs.com/tips/eylea-pat…


What is the difference between Eylea and #Eylea HD? Drugs.com Both are ocular injections used to treat various retinal diseases of the eyes, and work the same way, but do they have the same uses? drugs.com/medical-answer…


Eylea: 7 Patient Tips to Know Drugs.com When levels of the VEGF protein are elevated in your eyes, it can cause blood vessels to swell, leak fluid and cause formation of abnormal blood vessels. This can cause damage to your retina. drugs.com/tips/eylea-pat… #Eylea


Under the terms of a settlement and license agreement with @Regeneron: @SamsungBioepis will be able to launch Opuviz, a #biosimilar to #Eylea, in the U.S. in January 2027. More on @goHealio:🔗 vist.ly/4s9z6


Eylea threatened Inlyta Ocular’s phase III win with Axpaxli? bioworld.com/articles/728992 #biopharma @OCUTX #AMD #Eylea #REGN #OCUL


❗BREAKING❗ Under the terms of a settlement and license agreement, @SamsungBioepis can launch #Opuviz in the U.S. starting in January 2027. Opuviz is a #biosimilar to #Eylea from @Regeneron. 🔗👇 vist.ly/4rk6j @gohealio


Perfil de seguridad favorable y control de fluido equivalente. Para retinólogos, una herramienta clave en manejo eficiente de OVR.  Para obtener más información, consulta la noticia completa en nuestro enlace. 💉 🔬👁️ #Retinología #Oftalmología #Eylea #OVR


Instead of creating a super-wet AMD antibody targeting too many proteins, which may be impossible to develop, an anti-VEGF drug-loaded syringe could contain proportions of engineered humanised Fab fragments as decoys for ANG-2, VEGF-A, VEGF-B and PlGF. #wetAMD #Eylea #Vabysmo


We need to take the best aspects of anti-VEGF eye injections: Ang-2 #Vabysmo, anti-VEGF-B and PlGF #Eylea. Remove the Fc unit as in #Ranibizumab to reduce systemic side effects (also limits entry into RPE cells), thus creating a better treatment for wet AMD. All anti-VEGF A


Now available: EYLEA® Injection 👁️ Aflibercept 40 mg/mL 📩 Contact ShiningRx for bulk orders. #Eylea #Aflibercept #Ophthalmology #PharmaExports #ShiningRx shiningrx.com/product/eylea-…

shiningrx57's tweet image. Now available: EYLEA® Injection
👁️ Aflibercept 40 mg/mL
📩 Contact ShiningRx for bulk orders.
#Eylea #Aflibercept #Ophthalmology #PharmaExports #ShiningRx  

shiningrx.com/product/eylea-…

First research publication of the new year ! (1 of 3) In the US for retinal diseases #vabysmo has the highest rate of absolute and relative increase in adoption while #eylea is the most commonly used drug. Lower cost avastin is declining journals.plos.org/plosone/articl… #medtwitter


„Regional Court Munich grants PI to Regeneron against generics in Eylea case.“ eylea ip formulation prevents biosim competition in most of europe. settlement agreement needed. #formycon #biosimilars #eylea juve-patent.com/cases/regional…


Injeção #EYLEA HD® (#aflibercepto) 8 mg aprovada pela @US_FDA para o tratamento do edema macular após oclusão da veia retiniana (RVO) Saiba mais... dikajob.com.br/profiles/blogs… #dikajob #pharma #pharmaceutical #dkprime #jonimengaldo #regeneron @Regeneron @joaomengaldo

DIKAJOB's tweet image. Injeção #EYLEA HD® (#aflibercepto) 8 mg aprovada pela @US_FDA para o tratamento do edema macular após oclusão da veia retiniana (RVO)

Saiba mais... dikajob.com.br/profiles/blogs… 

#dikajob #pharma #pharmaceutical #dkprime  #jonimengaldo  #regeneron @Regeneron @joaomengaldo

Switching from #Eylea HD to #Vabysmo, the NHS requires a monthly loading period again. However, if the SRF and intraretinal fluid are barely visible, why put a patient through these extra injections? Vabysmo may dry this fluid when Eylea is not, allowing for an extension.


New #ClinicalTrial results! @Bayer & Regeneron’s PHOTON study shows #Eylea 8mg offers sustained vision improvement for DME patients w/ fewer treatments over 3 years! pharmafocuseurope.com/pressreleases/… #Ophthalmology #DME #VisionCare #MedicalInnovation

pharma_eu's tweet image. New #ClinicalTrial results! @Bayer & Regeneron’s PHOTON study shows #Eylea 8mg offers sustained vision improvement for DME patients w/ fewer treatments over 3 years! 

pharmafocuseurope.com/pressreleases/…

#Ophthalmology #DME #VisionCare #MedicalInnovation

REGENERON HAS FACED AN UNEXPECTED REJECTION FROM THE FDA FOR ITS HIGH-DOSE VERSION OF EYLEA DUE TO MANUFACTURING CHALLENGES zurl.co/ELdO . . . #Eylea #FDA #Regeneron #wet #macular #degeneration #pharmaindustry #pharmanews #pharmaupdates #pharmtales

thepharmtales's tweet image. REGENERON HAS FACED AN UNEXPECTED REJECTION FROM THE FDA FOR ITS HIGH-DOSE VERSION OF EYLEA DUE TO MANUFACTURING CHALLENGES
zurl.co/ELdO 
.
.
.
#Eylea #FDA #Regeneron #wet #macular #degeneration #pharmaindustry #pharmanews #pharmaupdates #pharmtales

FDA Approves Eylea HD Injection 8 Mg For The Treatment Of Wet Age-Related Macular Degeneration, Diabetic Macular Edema, And Diabetic Retinopathy Read More: pharmtales.com/eylea-hd-injec… #Eylea @Regeneron #DiabeticRetinopathy #FDAapproval #pharmanews #pharmaupdates #Pharmtales

thepharmtales's tweet image. FDA Approves Eylea HD Injection 8 Mg For The Treatment Of Wet Age-Related Macular Degeneration, Diabetic Macular Edema, And Diabetic Retinopathy

Read More: pharmtales.com/eylea-hd-injec…

#Eylea @Regeneron #DiabeticRetinopathy #FDAapproval #pharmanews #pharmaupdates #Pharmtales

Injeção #EYLEA HD® (#aflibercepto) 8 mg aprovada pela @US_FDA para o tratamento do edema macular após oclusão da veia retiniana (RVO) Saiba mais... dikajob.com.br/profiles/blogs… #dikajob #pharma #pharmaceutical #dkprime #jonimengaldo #regeneron @Regeneron @joaomengaldo

DIKAJOB's tweet image. Injeção #EYLEA HD® (#aflibercepto) 8 mg aprovada pela @US_FDA para o tratamento do edema macular após oclusão da veia retiniana (RVO)

Saiba mais... dikajob.com.br/profiles/blogs… 

#dikajob #pharma #pharmaceutical #dkprime  #jonimengaldo  #regeneron @Regeneron @joaomengaldo

The CHMP of the European Medicines Agency granted a positive opinion for @Celltrioninc's Eydenzelt, a biosimilar to #Eylea. Read more👇 #OcularSurgeryNews #Ophthalmology #Retina @EMA_News healio.com/news/ophthalmo…

Healio_OSN's tweet image. The CHMP of the European Medicines Agency granted a positive opinion for @Celltrioninc's Eydenzelt, a biosimilar to #Eylea.

Read more👇
#OcularSurgeryNews #Ophthalmology #Retina @EMA_News
healio.com/news/ophthalmo…

New reprints for #Eylea: Switching to the aflibercept (3 mg) therapy for treatment-resistant wet age-related macular degeneration: 1-year outcomes @regeneron #wetAMD

DanniReprints's tweet image. New reprints for #Eylea:  Switching to the aflibercept (3 mg) therapy for treatment-resistant wet age-related macular degeneration: 1-year outcomes  @regeneron #wetAMD

Eylea time again 🥴 thanks @NHS for excellent care as usual #Eylea

NiceGuyAidey's tweet image. Eylea time again 🥴 thanks @NHS for excellent care as usual #Eylea

High-dose Aflibercept Pushes Dosing Interval to Five Months Nearly half of subjects went 20 weeks or longer between injections with the 8mg formulation. The regimen also maintained BCVA gains out to 96 weeks. reviewofoptometry.com/article/highdo… #eylea #amd #retina #eyecare #optometry

revoptom's tweet image. High-dose Aflibercept Pushes Dosing Interval to Five Months

Nearly half of subjects went 20 weeks or longer between injections with the 8mg formulation. The regimen also maintained BCVA gains out to 96 weeks.
reviewofoptometry.com/article/highdo…
#eylea #amd #retina #eyecare #optometry

US FDA approves two biosimilars for blockbuster eye drug Eylea Read more at: tinyurl.com/5n8926hr To acquire more information about biosimilars eye drug Eylea join us at BioL-BioS 2024 via: …biosimilars.peersalleyconferences.com #biosimilars #Eylea #drug

BioLBioS2024's tweet image. US FDA approves two biosimilars for blockbuster eye drug Eylea
Read more at: tinyurl.com/5n8926hr
To acquire more information about biosimilars eye drug Eylea join us at BioL-BioS 2024 via: …biosimilars.peersalleyconferences.com
#biosimilars #Eylea #drug

BREAKING NEWS: FDA approves aflibercept (EYLEA) injection from Regeneron to treat preterm infants diagnosed with retinopathy of prematurity (ROP) Read more: ow.ly/9XGt50MO9nM #Ophthalmology #EYLEA @Regeneron @US_FDA

OphthTimes's tweet image. BREAKING NEWS: FDA approves aflibercept (EYLEA) injection from Regeneron to treat preterm infants diagnosed with retinopathy of prematurity (ROP)

Read more: ow.ly/9XGt50MO9nM

#Ophthalmology #EYLEA @Regeneron @US_FDA

$BBIO $BAYN Acoramidis CHMP opinion imminent. Also #Eylea should be the focus of #Bayer. ema.europa.eu/en/documents/a…

doepke_michel's tweet image. $BBIO $BAYN Acoramidis CHMP opinion imminent. Also #Eylea should be the focus of #Bayer. ema.europa.eu/en/documents/a…

9-year study shows long-term benefits of treat-and-extend protocol for #CRVO! Patients treated with aflibercept (#Eylea) maintained stable vision gains (avg +31.6 letters) and reduced macular edema. Treatment intervals were typically extended to 13 weeks by year 8. Read here:

BMJ_Ophth's tweet image. 9-year study shows long-term benefits of treat-and-extend protocol for #CRVO! Patients treated with aflibercept (#Eylea) maintained stable vision gains (avg +31.6 letters) and reduced macular edema. Treatment intervals were typically extended to 13 weeks by year 8. 

Read here:

What is the difference between #Vabysmo and #Eylea? bit.ly/3IVJttW

Drugscom's tweet image. What is the difference between #Vabysmo and #Eylea? bit.ly/3IVJttW

Regeneron Reports Data from Extended P-III (PULSAR) Trial of Eylea for Wet Age-related Macular Degeneration pharmashots.com/21002/regenero… #regeneron #eylea #wetagerelatedmaculardegeneration #clinicaltrial #pharmashots

Pharmashot's tweet image. Regeneron Reports Data from Extended P-III (PULSAR) Trial of Eylea for Wet Age-related Macular Degeneration
pharmashots.com/21002/regenero…
#regeneron #eylea #wetagerelatedmaculardegeneration #clinicaltrial #pharmashots

$REGN eye drug trial succeeds. #Eylea successor due 2026. Patent cliff pushed out.

JaviFarn's tweet image. $REGN eye drug trial succeeds.
#Eylea successor due 2026.
Patent cliff pushed out.

Gracias a @BayerPharma por invitarme a presentar la experiencia del servicio de oftalmología del Hospital Clínico Universitario Lozano Blesa de Zaragoza con #Eylea 8mg en #DMAE neovascular y #edemamacular diabético @medicoszaragoza @oftalmologiaSAO @OftalmologiaSEO @RetinaSERV

javierascaso's tweet image. Gracias a @BayerPharma por invitarme a presentar la experiencia del servicio de oftalmología del Hospital Clínico Universitario Lozano Blesa de Zaragoza con #Eylea 8mg en #DMAE neovascular y #edemamacular diabético @medicoszaragoza @oftalmologiaSAO @OftalmologiaSEO @RetinaSERV
javierascaso's tweet image. Gracias a @BayerPharma por invitarme a presentar la experiencia del servicio de oftalmología del Hospital Clínico Universitario Lozano Blesa de Zaragoza con #Eylea 8mg en #DMAE neovascular y #edemamacular diabético @medicoszaragoza @oftalmologiaSAO @OftalmologiaSEO @RetinaSERV

Loading...

Something went wrong.


Something went wrong.