#imageguided search results

#ImageGuided #Radiotherapy Market Size to Grow by $ 717.90 Million through 2022-2026 | Leading Segments and Market Trends technavio.com/talk-to-us?rep…

Technavio's tweet image. #ImageGuided #Radiotherapy Market Size to Grow by $ 717.90 Million through 2022-2026 | Leading Segments and Market Trends technavio.com/talk-to-us?rep…

ADDR 50 days' free access: Imaging-Guided Targeted Radionuclide Tumor Therapy: From Concept to Clinical Translation. By Zhiyuan Zhong & coworkers, Soochow University #imageguided #radionuclidetherapy #radiotheranostics authors.elsevier.com/a/1fqqc,3sXTes…


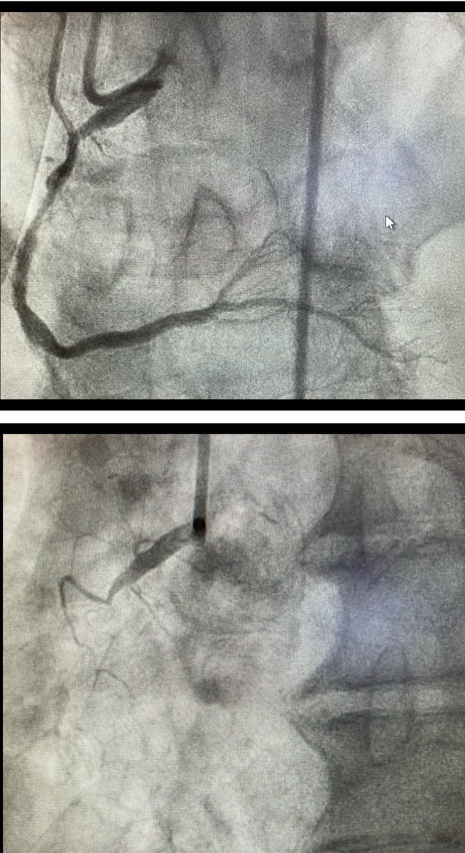
What just 5 months of continued smoking can do the the coronaries. Middle aged man with LAD STEMI at outside facility, presents now for completion RCA PCI, which is now occluded. Treated with #RadialFirst #imageguided 4.0/3.0/2.5 stents #cardiotwitter

RohanKalMD's tweet image. What just 5 months of continued smoking can do the the coronaries. Middle aged man with LAD STEMI at outside facility, presents now for completion RCA PCI, which is now occluded. Treated with #RadialFirst #imageguided 4.0/3.0/2.5 stents #cardiotwitter
RohanKalMD's tweet image. What just 5 months of continued smoking can do the the coronaries. Middle aged man with LAD STEMI at outside facility, presents now for completion RCA PCI, which is now occluded. Treated with #RadialFirst #imageguided 4.0/3.0/2.5 stents #cardiotwitter

Philips and Microsoft unveil mixed reality concept for minimally invasive procedures via @medtechonline ow.ly/6xTH30nQD88 #augmentedreality #imageguided #holographic

PulmonaryApps's tweet image. Philips and Microsoft unveil mixed reality concept for minimally invasive procedures via @medtechonline ow.ly/6xTH30nQD88 #augmentedreality #imageguided #holographic

Andrew Gordon talks about Northwestern's direct link between research and patient care. #imageguided #interventions

NURadiology's tweet image. Andrew Gordon talks about Northwestern's direct link between research and patient care. #imageguided #interventions

From imaging experts to good clinicians. Excellent patient care should be the goal of every #IRad. Thank you 🙏 so much @VISLAMDSCAIP for your time and inspiring lecture. Next HT4W/RoadIR grand rounds lecture is next week on Thursday. Stay tuned! #PatientCare #MinimallyInvasive

Road2IR's tweet image. From imaging experts to good clinicians. Excellent patient care should be the goal of every #IRad. Thank you 🙏 so much @VISLAMDSCAIP for your time and inspiring lecture. Next HT4W/RoadIR grand rounds lecture is next week on Thursday. Stay tuned! 
#PatientCare
#MinimallyInvasive
Road2IR's tweet image. From imaging experts to good clinicians. Excellent patient care should be the goal of every #IRad. Thank you 🙏 so much @VISLAMDSCAIP for your time and inspiring lecture. Next HT4W/RoadIR grand rounds lecture is next week on Thursday. Stay tuned! 
#PatientCare
#MinimallyInvasive


In black and white, we welcome a new 55" display in our range! 💫 #4K ultra-high-definition 👩‍⚕️ For a wide range of #imageguided #therapies 🤹‍♂️ Display #multimodality images in flexible layouts Check MDAC-8355: barco.com/en/product/mda… #medicalimaging

BarcoHealth's tweet image. In black and white, we welcome a new 55" display in our range!
💫 #4K ultra-high-definition
👩‍⚕️ For a wide range of #imageguided #therapies
🤹‍♂️ Display #multimodality images in flexible layouts

Check MDAC-8355: barco.com/en/product/mda…

#medicalimaging

Congratulations to @halletjulie @UofTSurgery @Sunnybrook who was just awarded a 2018 Career Development Award from @ssat to improve the safety of hepatic surgery!! #imageguided #hpb


What a an awesome presentation of @ABBRobotics exciting new robotic systems from Jose-Manuel Collados. Join us at mirin.tech to watch more of our 'Robotic-Health Pipeline: R&D to Clinical' presentations! #XRSymposium #ImageGuided #RoboticSurgery #VR #TMC

DeBakeyCVedu's tweet image. What a an awesome presentation of @ABBRobotics exciting new robotic systems from Jose-Manuel Collados. 

Join us at mirin.tech to watch more of our 'Robotic-Health Pipeline: R&D to Clinical' presentations!

#XRSymposium #ImageGuided #RoboticSurgery #VR #TMC

What is Interventional Radiology? This short video explains what IR is and why we think IR or 'image-guided surgery' gives excellent outcomes for patients. The video was produced by Fire of Light Productions: tinyurl.com/5n8n23bv #IR #BSIR  #ImageGuided surgery


ADDR in press:Advances in Image-Guided Drug Delivery for Antibacterial Therapy. By Jian Xu & coworkers @SZUniversity #imageguided #antibacterial #antibioticresistance doi.org/10.1016/j.addr…


What happened in Vegas? Just presented Late-Breaking Trial results from INSIGHT using #Lumivascular #ImageGuided #Atherectomy @VIVAPhysicians #VIVA21 @AvingerInc #PennsyInterventions @PennCardiology @PennCVFellows

jcgeorgemd's tweet image. What happened in Vegas? Just presented Late-Breaking Trial results from INSIGHT using #Lumivascular #ImageGuided #Atherectomy @VIVAPhysicians #VIVA21 @AvingerInc #PennsyInterventions @PennCardiology @PennCVFellows

ADDR in press: Image-guided intratumoral immunotherapy: Developing a clinically practical technology. By Eric Wehrenberg-Klee & coworkers @MassGeneralNews #imageguided #immunotherapy doi.org/10.1016/j.addr…


Spreading the word...#imageguided #IGT #liversurgery

RT @ViseVanderbilt: VISE On the ROAD! Dr. Keith Obstein (pictured) and Dr. Michael Miga presented during the 10th Image Guided Therapy Work…



Prof. Andreas Melzer is now giving a talk about applying #Robotics for #ImageGuided therapy & FUS at the 'Towards #Robotic Autonomy In #Surgery' workshop #HSMR21. @ICLHamlynRobots #Imaging #UltraSound #Kinematics #CTGuided #Robotics Join us now👉bit.ly/HSMR21-WS-2

ICLHamlynRobots's tweet image. Prof. Andreas Melzer is now giving a talk about applying #Robotics for #ImageGuided therapy & FUS at the 'Towards #Robotic Autonomy In #Surgery' workshop #HSMR21. @ICLHamlynRobots

#Imaging #UltraSound #Kinematics #CTGuided #Robotics

Join us now👉bit.ly/HSMR21-WS-2

📢 Call for Papers AI-Powered Imaging & Diagnostics in MIS 💡 AI imaging & planning 💡 Intraoperative navigation 💡 AI-assisted diagnosis 👤 GE : Mariano Gimenez 📅 Submission deadline: 30 Dec 2026 🔗oaepublish.com/mis/author_ins… #AI #imageguided

MiniSurgery's tweet image. 📢 Call for Papers
    AI-Powered Imaging & Diagnostics in MIS

💡 AI imaging & planning
💡 Intraoperative navigation
💡 AI-assisted diagnosis

👤 GE : Mariano Gimenez

📅 Submission deadline: 30 Dec 2026
🔗oaepublish.com/mis/author_ins…

 #AI #imageguided

Guided by 3D imaging—wisdom extractions are precise. #ImageGuided #InlandDentalSpecialties

IndioDental's tweet image. Guided by 3D imaging—wisdom extractions are precise. #ImageGuided #InlandDentalSpecialties

We have been using 30% in recent RCTs & clinical cases - angiographic differentiation is highly subjective outside a core lab! #imageguided DCB may be the future 😉


Andrew Gordon talks about Northwestern's direct link between research and patient care. #imageguided #interventions

NURadiology's tweet image. Andrew Gordon talks about Northwestern's direct link between research and patient care. #imageguided #interventions

This March we feature our Interventional Radiology and Image-Guided Therapy research. Andrew Gordon talks about Northwestern's direct link between research and patient care. #imageguided #interventions

NURadiology's tweet image. This March we feature our Interventional Radiology and Image-Guided Therapy research. Andrew Gordon talks about Northwestern's direct link between research and patient care. #imageguided #interventions

In March we're featuring our Interventional Radiology and Image-Guided Therapy research. Matthew Anatalek is working on the AI system that will improve liver cancer diagnoses and treatment. #imageguided #interventions #AI

NURadiology's tweet image. In March we're featuring our Interventional Radiology and Image-Guided Therapy research. Matthew Anatalek is working on the AI system that will improve liver cancer diagnoses and treatment. #imageguided #interventions #AI

This March we're featuring our Interventional Radiology and Image-Guided Therapy research. Arun Gupta's work benefits from unparalleled leadership and a collaborative environment. @arunbeltar #imageguided #interventions

NURadiology's tweet image. This March we're featuring our Interventional Radiology and Image-Guided Therapy research. Arun Gupta's work benefits from unparalleled leadership and a collaborative environment. @arunbeltar #imageguided #interventions

In March we're featuring our Interventional Radiology and Image-Guided Therapy research. Sanghee Lee researches using nanoparticles for interventional radiology and ablation therapy. @SangheeLee6213 #imageguided #interventions

NURadiology's tweet image. In March we're featuring our Interventional Radiology and Image-Guided Therapy research. Sanghee Lee researches using nanoparticles for interventional radiology and ablation therapy. @SangheeLee6213 #imageguided #interventions

This March we're featuring our Interventional Radiology and Image-Guided Therapy research. Min Jun Ko studied nanomaterials as an engineering PhD student and now collaborates with clinicians on image-guided therapy. #imageguided #interventions #nanoparticles

NURadiology's tweet image. This March we're featuring our Interventional Radiology and Image-Guided Therapy research. Min Jun Ko studied nanomaterials as an engineering PhD student and now collaborates with clinicians on image-guided therapy. #imageguided #interventions #nanoparticles

Attended 47th Annual congress of Indian Society for veterinary surgery at AAU Guwahati. delivered lead lecture on #ultrasound #imageguided #interventions #imint


#AIGLIVE2024 Breakfast Sessions | Great opportunity to learn the tips & tricks of #GIEndoscopy in a closed group setup. From understanding nuances #ImageGuided endoscopy, #Electrosurgical unit to #SEMS placement and Snares & Knives, these sessions will offer invaluable learnings

AIGHospitals's tweet image. #AIGLIVE2024 Breakfast Sessions | Great opportunity to learn the tips & tricks of #GIEndoscopy in a closed group setup. From understanding nuances #ImageGuided endoscopy, #Electrosurgical unit to #SEMS placement and Snares & Knives, these sessions will offer invaluable learnings
AIGHospitals's tweet image. #AIGLIVE2024 Breakfast Sessions | Great opportunity to learn the tips & tricks of #GIEndoscopy in a closed group setup. From understanding nuances #ImageGuided endoscopy, #Electrosurgical unit to #SEMS placement and Snares & Knives, these sessions will offer invaluable learnings
AIGHospitals's tweet image. #AIGLIVE2024 Breakfast Sessions | Great opportunity to learn the tips & tricks of #GIEndoscopy in a closed group setup. From understanding nuances #ImageGuided endoscopy, #Electrosurgical unit to #SEMS placement and Snares & Knives, these sessions will offer invaluable learnings
AIGHospitals's tweet image. #AIGLIVE2024 Breakfast Sessions | Great opportunity to learn the tips & tricks of #GIEndoscopy in a closed group setup. From understanding nuances #ImageGuided endoscopy, #Electrosurgical unit to #SEMS placement and Snares & Knives, these sessions will offer invaluable learnings

#AIGLIVE2024 Breakfast Sessions | Great opportunity to learn the tips & tricks of #GIEndoscopy in a closed group setup. From understanding nuances #ImageGuided endoscopy, #Electrosurgical unit to #SEMS placement and Snares & Knives, these sessions will offer invaluable learnings

AIGHospitals's tweet image. #AIGLIVE2024 Breakfast Sessions | Great opportunity to learn the tips & tricks of #GIEndoscopy in a closed group setup. From understanding nuances #ImageGuided endoscopy, #Electrosurgical unit to #SEMS placement and Snares & Knives, these sessions will offer invaluable learnings
AIGHospitals's tweet image. #AIGLIVE2024 Breakfast Sessions | Great opportunity to learn the tips & tricks of #GIEndoscopy in a closed group setup. From understanding nuances #ImageGuided endoscopy, #Electrosurgical unit to #SEMS placement and Snares & Knives, these sessions will offer invaluable learnings
AIGHospitals's tweet image. #AIGLIVE2024 Breakfast Sessions | Great opportunity to learn the tips & tricks of #GIEndoscopy in a closed group setup. From understanding nuances #ImageGuided endoscopy, #Electrosurgical unit to #SEMS placement and Snares & Knives, these sessions will offer invaluable learnings
AIGHospitals's tweet image. #AIGLIVE2024 Breakfast Sessions | Great opportunity to learn the tips & tricks of #GIEndoscopy in a closed group setup. From understanding nuances #ImageGuided endoscopy, #Electrosurgical unit to #SEMS placement and Snares & Knives, these sessions will offer invaluable learnings

In the latest episode of Oncology Overdrive: @AvendaHealth’s Shyam Natarajan, PhD, talks with host @ShikhaJainMD about #imageguided medical technology #innovation in #cancerresearch and testing. Listen now: healio.com/news/hematolog…


Exciting trends in the #ImageGuided & #RobotAssistedSurgery Market! Discover how advanced imaging and robotics are transforming surgical precision and patient outcomes. for #key insights and #future forecasts. #MedTech #HealthcareInnovation For Sample : shorturl.at/9zkl6

MaximizeUjwal's tweet image. Exciting trends in the #ImageGuided & #RobotAssistedSurgery Market! Discover how advanced imaging and robotics are transforming surgical precision and patient outcomes. for #key insights and #future forecasts.
#MedTech #HealthcareInnovation 

For Sample : shorturl.at/9zkl6

No results for "#imageguided"

#ImageGuided #Radiotherapy Market Size to Grow by $ 717.90 Million through 2022-2026 | Leading Segments and Market Trends technavio.com/talk-to-us?rep…

Technavio's tweet image. #ImageGuided #Radiotherapy Market Size to Grow by $ 717.90 Million through 2022-2026 | Leading Segments and Market Trends technavio.com/talk-to-us?rep…

What just 5 months of continued smoking can do the the coronaries. Middle aged man with LAD STEMI at outside facility, presents now for completion RCA PCI, which is now occluded. Treated with #RadialFirst #imageguided 4.0/3.0/2.5 stents #cardiotwitter

RohanKalMD's tweet image. What just 5 months of continued smoking can do the the coronaries. Middle aged man with LAD STEMI at outside facility, presents now for completion RCA PCI, which is now occluded. Treated with #RadialFirst #imageguided 4.0/3.0/2.5 stents #cardiotwitter
RohanKalMD's tweet image. What just 5 months of continued smoking can do the the coronaries. Middle aged man with LAD STEMI at outside facility, presents now for completion RCA PCI, which is now occluded. Treated with #RadialFirst #imageguided 4.0/3.0/2.5 stents #cardiotwitter

Guided by 3D imaging—wisdom extractions are precise. #ImageGuided #InlandDentalSpecialties

IndioDental's tweet image. Guided by 3D imaging—wisdom extractions are precise. #ImageGuided #InlandDentalSpecialties

Fantastic work! The future is more #imageguided #minimallyinvasive #IRAD


The recently updated course 'Image-guided Pain Management' is now available on the #CIRSEacademy! This CME-accredited course introduces the principal image-guided approaches for spinal pain management. 👉bit.ly/3EMGkJP #interventionalradiology #imageguided

cirsesociety's tweet image. The recently updated course 'Image-guided Pain Management' is now available on the #CIRSEacademy!

This CME-accredited course introduces the principal image-guided approaches for spinal pain management.
👉bit.ly/3EMGkJP

#interventionalradiology #imageguided

#ImageGuided #SurgicalEquipment Market size is estimated that the market will grow significantly in the forecasted period i.e. 2021 to 2028. Read @ tinyurl.com/zhw6chx6 @Medtronic

danwilson00025's tweet image. #ImageGuided #SurgicalEquipment Market size is estimated that the market will grow significantly in the forecasted period i.e. 2021 to 2028.
Read @ tinyurl.com/zhw6chx6
@Medtronic

2nd day of @ESSOnews #fluorescent workshop #imageguided surgery of #liver #colorectalcancer mets with integration of 3D segmentation with #roboticsurgery and USG #navigation and #ICG by prof Vahrmeijer @LUMC_Leiden #colorectalsurgery

polom_karol's tweet image. 2nd day of @ESSOnews #fluorescent workshop #imageguided surgery of #liver #colorectalcancer mets with integration of 3D segmentation with #roboticsurgery and USG #navigation and #ICG by prof Vahrmeijer @LUMC_Leiden #colorectalsurgery

Andrew Gordon talks about Northwestern's direct link between research and patient care. #imageguided #interventions

NURadiology's tweet image. Andrew Gordon talks about Northwestern's direct link between research and patient care. #imageguided #interventions

Exciting trends in the #ImageGuided & #RobotAssistedSurgery Market! Discover how advanced imaging and robotics are transforming surgical precision and patient outcomes. for #key insights and #future forecasts. #MedTech #HealthcareInnovation For Sample : shorturl.at/9zkl6

MaximizeUjwal's tweet image. Exciting trends in the #ImageGuided & #RobotAssistedSurgery Market! Discover how advanced imaging and robotics are transforming surgical precision and patient outcomes. for #key insights and #future forecasts.
#MedTech #HealthcareInnovation 

For Sample : shorturl.at/9zkl6

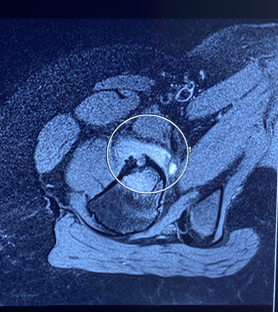
#osteoidosteoma is a benign condition of bone affecting young individuals causing pain. #IRad can treat these lesions by #Imageguided #Ablation. pain free and active after procedure. @sayedsalal @ISVIRIndia @SIRRFS @cirsesociety @hospital_kims

drmanishy's tweet image. #osteoidosteoma is a benign condition of bone affecting young individuals causing pain. #IRad can treat these lesions by #Imageguided #Ablation. pain free and active after procedure. @sayedsalal  @ISVIRIndia @SIRRFS @cirsesociety @hospital_kims
drmanishy's tweet image. #osteoidosteoma is a benign condition of bone affecting young individuals causing pain. #IRad can treat these lesions by #Imageguided #Ablation. pain free and active after procedure. @sayedsalal  @ISVIRIndia @SIRRFS @cirsesociety @hospital_kims
drmanishy's tweet image. #osteoidosteoma is a benign condition of bone affecting young individuals causing pain. #IRad can treat these lesions by #Imageguided #Ablation. pain free and active after procedure. @sayedsalal  @ISVIRIndia @SIRRFS @cirsesociety @hospital_kims
drmanishy's tweet image. #osteoidosteoma is a benign condition of bone affecting young individuals causing pain. #IRad can treat these lesions by #Imageguided #Ablation. pain free and active after procedure. @sayedsalal  @ISVIRIndia @SIRRFS @cirsesociety @hospital_kims

Prof. Andreas Melzer is now giving a talk about applying #Robotics for #ImageGuided therapy & FUS at the 'Towards #Robotic Autonomy In #Surgery' workshop #HSMR21. @ICLHamlynRobots #Imaging #UltraSound #Kinematics #CTGuided #Robotics Join us now👉bit.ly/HSMR21-WS-2

ICLHamlynRobots's tweet image. Prof. Andreas Melzer is now giving a talk about applying #Robotics for #ImageGuided therapy & FUS at the 'Towards #Robotic Autonomy In #Surgery' workshop #HSMR21. @ICLHamlynRobots

#Imaging #UltraSound #Kinematics #CTGuided #Robotics

Join us now👉bit.ly/HSMR21-WS-2

#ImageGuided #Radiation #Therapy Market Players: AEP LINAC, ASG SUPERCONDUCTORS, BECTON DICKINSON and Company, C-RAD, ELEKTA, GALBINO TECHNOLOGY, GENERAL ELECTRIC HEALTHCARE COMPANY, HITACHI, IBA WORLWIDE, IZI MEDICAL Download Free Sample@ factviewresearch.com/enquiry/global… #IGRTMarket

FactviewR's tweet image. #ImageGuided #Radiation #Therapy Market Players: AEP LINAC, ASG SUPERCONDUCTORS, BECTON DICKINSON and Company, C-RAD, ELEKTA, GALBINO TECHNOLOGY, GENERAL ELECTRIC HEALTHCARE COMPANY, HITACHI, IBA WORLWIDE, IZI MEDICAL 

Download Free Sample@ factviewresearch.com/enquiry/global…

#IGRTMarket

Check out the latest topic package on image-guided biopsies, compiled by Dimitris Filippiadis. Browse all relevant lectures from recent CIRSE congresses on this subject as well as guidelines and further reading! bit.ly/3kNOHOS #CIRSElibrary #imageguided #irads

cirsesociety's tweet image. Check out the latest topic package on image-guided biopsies, compiled by Dimitris Filippiadis. Browse all relevant lectures from recent CIRSE congresses on this subject as well as guidelines and further reading! bit.ly/3kNOHOS
#CIRSElibrary #imageguided #irads

What happened in Vegas? Just presented Late-Breaking Trial results from INSIGHT using #Lumivascular #ImageGuided #Atherectomy @VIVAPhysicians #VIVA21 @AvingerInc #PennsyInterventions @PennCardiology @PennCVFellows

jcgeorgemd's tweet image. What happened in Vegas? Just presented Late-Breaking Trial results from INSIGHT using #Lumivascular #ImageGuided #Atherectomy @VIVAPhysicians #VIVA21 @AvingerInc #PennsyInterventions @PennCardiology @PennCVFellows

Growing Neurological Disease Incidence Driving Image-Guided Surgery Devices Market Receive Sample Copy of this Report: bit.ly/image-guided-s… #ImageGuided #Surgery #Devices #Market #CT, #Ultrasound, #MRI, #XRay #Fluoroscopy, #Endoscopes, #PET #SPECT #Neurology, #Orthopedic

ResearchNews_24's tweet image. Growing Neurological Disease Incidence Driving Image-Guided Surgery Devices Market

Receive Sample Copy of this Report: bit.ly/image-guided-s…

#ImageGuided #Surgery #Devices #Market #CT, #Ultrasound, #MRI, #XRay #Fluoroscopy, #Endoscopes, #PET #SPECT #Neurology, #Orthopedic

The emergence of #imageguided surgeries have revolutionized #laparoscopic procedures. Do not miss the opportunity to interact with the legend of IGS, Prof. #Ishizawa from Japan at the #IASGCON2023 , Hyderabad from 23-25 Nov. Log on to iasgcon2023.com and register today!

gvraoaig's tweet image. The emergence of #imageguided surgeries have revolutionized #laparoscopic procedures. Do not miss the opportunity to interact with the legend of IGS, Prof. #Ishizawa from Japan at the #IASGCON2023 , Hyderabad from 23-25 Nov. Log on to iasgcon2023.com and register today!

Loading...

Something went wrong.


Something went wrong.