#makeo search results

Made a grave mistake by going to @toothsialigners ' main website #makeO. Been two months, their customer executives won't stop hounding me. Not a single day goes by, where I don't get at least 4 calls from them and they're all from personal numbers. Such tactics. Infuriating.


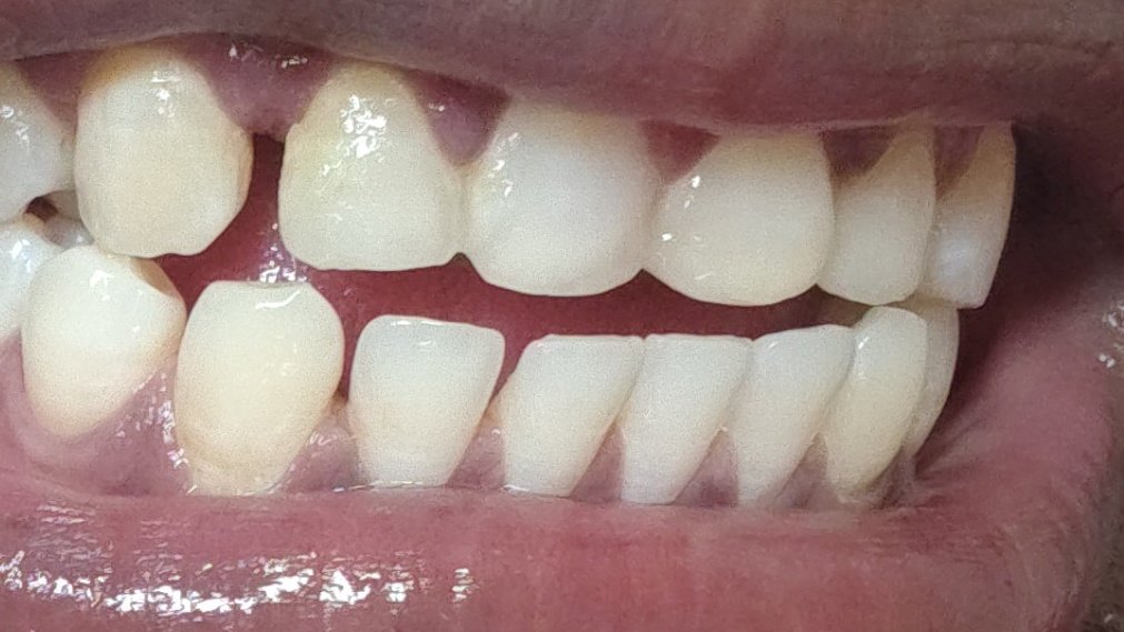
It’s been 524 days since I started my treatment with #Toothsi (#MakeO). They promised results in 1 year — but I’m back to my original teeth position now they’re covering it up with "booster aligners". This is a failure. I want my refund. #ToothsiScam #ConsumerRights #MakeOFailure

Udayzone909's tweet image. It’s been 524 days since I started my treatment with #Toothsi (#MakeO).
They promised results in 1 year — but I’m back to my original teeth position now they’re covering it up with "booster aligners".
This is a failure. I want my refund.
#ToothsiScam #ConsumerRights #MakeOFailure
Udayzone909's tweet image. It’s been 524 days since I started my treatment with #Toothsi (#MakeO).
They promised results in 1 year — but I’m back to my original teeth position now they’re covering it up with "booster aligners".
This is a failure. I want my refund.
#ToothsiScam #ConsumerRights #MakeOFailure
Udayzone909's tweet image. It’s been 524 days since I started my treatment with #Toothsi (#MakeO).
They promised results in 1 year — but I’m back to my original teeth position now they’re covering it up with "booster aligners".
This is a failure. I want my refund.
#ToothsiScam #ConsumerRights #MakeOFailure

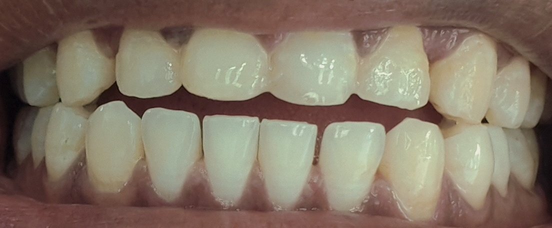
Extremely improper fitting with the new set of #ToothsiAlliners from Alliners no 9 onwards, this is the new set which I have received last week, Raised ticket no 01405649 #MakeO #Toothsi @toothsialigners

GeetDhirBJP's tweet image. Extremely improper fitting with the new set of #ToothsiAlliners from Alliners no 9 onwards, this is the new set which I have received last week,
Raised ticket no 01405649
#MakeO #Toothsi @toothsialigners

#toothsi #makeO toothsi is not refunding my money. They are frauds.


In its most recent #fundraising round, makeO secured $16 million, or Rs 135 crore, with the help of 360 ONE (previously IIFL Wealth) and Ashish Kacholia’s investment office. Read more - viestories.com/makeo-secures-… #makeo #toothsi #funding

viestories_com's tweet image. In its most recent #fundraising round, makeO secured $16 million, or Rs 135 crore, with the help of 360 ONE (previously IIFL Wealth) and Ashish Kacholia’s investment office.

Read more - viestories.com/makeo-secures-…

#makeo #toothsi #funding

#makeO (formerly toothsi) appoints Japan Doshi as its Chief Product and Technology Officer up18news.com/makeo-formerly…


From self-care rituals to science backed results, we just made something for every kind of skin. 🥰 #MakeO #dullskin #facial #skincare #skintreatment #oilyskin #freshskin #hydratingskincare #glowingskin #glow #youngskinforever #MakeOver

makeO_skin's tweet image. From self-care rituals to science backed results, we just made something for every kind of skin. 🥰

#MakeO #dullskin #facial #skincare #skintreatment #oilyskin #freshskin #hydratingskincare #glowingskin #glow #youngskinforever #MakeOver
makeO_skin's tweet image. From self-care rituals to science backed results, we just made something for every kind of skin. 🥰

#MakeO #dullskin #facial #skincare #skintreatment #oilyskin #freshskin #hydratingskincare #glowingskin #glow #youngskinforever #MakeOver
makeO_skin's tweet image. From self-care rituals to science backed results, we just made something for every kind of skin. 🥰

#MakeO #dullskin #facial #skincare #skintreatment #oilyskin #freshskin #hydratingskincare #glowingskin #glow #youngskinforever #MakeOver

Explore lasting solutions to healthier and fuller hair at MakeO. Our hair growth treatments aren’t based on what’s trending - they are designed by dermatologist for visible results. Book a free consultation to speak to our experts. #MakeO #GlowingSkin #MakeOver #SmoothSkin

makeO_skin's tweet image. Explore lasting solutions to healthier and fuller hair at MakeO. 

Our hair growth treatments aren’t based on what’s trending - they are designed by dermatologist for visible results. 

Book a free consultation to speak to our experts.

#MakeO #GlowingSkin #MakeOver #SmoothSkin

ช่วยกันเข็นรถจนแขนพันกันแล้ว… #ต้าห์อู๋ออฟโรด #DaouOffroad #makeo #แม็คโครศรีนครินทร์

โตแล้วนะพี่กินผักเยอะๆ นอรสอนพตอ เหมือนสอนเราไปด้วย55555555 #ต้าห์อู๋ออฟโรด #DAOUOFFROAD #makro #โปรแรงถูกจริง #แม็คโครศรีนครินทร์



Visible results need expert care. ✨✅ Book a free consultation at your nearest MakeO experience centre. Link in Bio! #MakeO #dullskin #facial #skincare #skintreatment #oilyskin #freshskin #hydratingskincare #glowingskin #glow #youngskinforever #MakeOver

makeO_skin's tweet image. Visible results need expert care. ✨✅

Book a free consultation at your nearest MakeO experience centre. Link in Bio!

#MakeO #dullskin #facial #skincare #skintreatment #oilyskin #freshskin #hydratingskincare #glowingskin #glow #youngskinforever #MakeOver

et @rousselet_alex du RFFLabs et de @Vulca_ngo, maker-trotter de l'Europe et des réseaux. En compagnie de de la Coopérative des Tiers Lieux, de Fernand et son équipe du FabLab Etabli, de @MyTechnoBox à Bayonne et de Blaise Ramu de #Makeo - Fablab du Grand Dax, faisons ensemble


What is the status of my new set of aliners @toothsialigners Are they in production or what exactly is going on because I had a conversation with your #MakeO #Toothsi executive and he says that the data is still saying that I am using the sixth liner only ? #Ridiculous

GeetDhirBJP's tweet image. What is the status of my new set of aliners @toothsialigners 
Are they in production or what exactly is going on because I had a conversation with your #MakeO #Toothsi executive and he says that the data is still saying that I am using the sixth liner only ?
#Ridiculous

1/ MakeO’s Toothsi, a leader in India’s $150M clear aligner market, raised ₹100 crore but took a 50% valuation cut, signaling pressure in the fast-growing dental tech space. #MakeO #ClearAligners


Toothsi, do you need money to stop spamming. I have already blocked 10 of your numbers. #makeo #toothsi


We’re counting on you to prove this🤞 We believe in you. Happy New Year! #MakeO #HappyNewYear #GlowingSkin #SmoothSkin #Glow

makeO_skin's tweet image. We’re counting on you to prove this🤞
We believe in you. 

Happy New Year! 

#MakeO #HappyNewYear #GlowingSkin #SmoothSkin #Glow

Are you a MakeO (Toothsi, Skinnsi) user? If so, I’d love to connect with you. 🙌🏻 I’m working on a research project with my team at GrowthX. Your insights on using MakeO could be invaluable. Fill out this quick survey: tally.so/r/wLd9b1 📝 #MakeO #UserResearch TIA 🙏


Still choosing between shaving rashes and waxing pain? With our next-gen 4-wavelength laser and dermatologist-supervised care, you get long-lasting hair reduction that’s safer, smoother, and far more comfortable. Start your Laser Hair Reduction journey with MakeO today #MakeO


Hi @toothsialigners - I’ve just placed Order ID: HAEQRJ. Please process and deliver it at the earliest. Looking forward to a quick dispatch and delivery update. #MakeO #Toothsi #FastDelivery


Colourful skies, a new season, and a glow that feels like you. At MakeO, we’re here to help you step into a new era of confidence, today and every day. Happy Makar Sankranti! #MakeO #HappyMakarSankranti #GlowingSkin #MakeOver

makeO_skin's tweet image. Colourful skies, a new season, and a glow that feels like you.

At MakeO, we’re here to help you step into a new era of confidence, today and every day. 
Happy Makar Sankranti!

#MakeO #HappyMakarSankranti #GlowingSkin #MakeOver

Explore lasting solutions to healthier and fuller hair at MakeO. Our hair growth treatments aren’t based on what’s trending - they are designed by dermatologist for visible results. Book a free consultation to speak to our experts. #MakeO #GlowingSkin #MakeOver #SmoothSkin

makeO_skin's tweet image. Explore lasting solutions to healthier and fuller hair at MakeO. 

Our hair growth treatments aren’t based on what’s trending - they are designed by dermatologist for visible results. 

Book a free consultation to speak to our experts.

#MakeO #GlowingSkin #MakeOver #SmoothSkin

Did you too think oily skin doesn’t need additional hydration? Supporting the skin barrier with a good moisturiser helps regulate excess oil which is exactly what our ceramide-based hydration is designed to do. #MakeO #GlowingSkin #MakeOver #SmoothSkin

makeO_skin's tweet image. Did you too think oily skin doesn’t need additional hydration? 

Supporting the skin barrier with a good moisturiser helps regulate excess oil which is exactly what our ceramide-based hydration is designed to do.

#MakeO #GlowingSkin #MakeOver #SmoothSkin
makeO_skin's tweet image. Did you too think oily skin doesn’t need additional hydration? 

Supporting the skin barrier with a good moisturiser helps regulate excess oil which is exactly what our ceramide-based hydration is designed to do.

#MakeO #GlowingSkin #MakeOver #SmoothSkin
makeO_skin's tweet image. Did you too think oily skin doesn’t need additional hydration? 

Supporting the skin barrier with a good moisturiser helps regulate excess oil which is exactly what our ceramide-based hydration is designed to do.

#MakeO #GlowingSkin #MakeOver #SmoothSkin
makeO_skin's tweet image. Did you too think oily skin doesn’t need additional hydration? 

Supporting the skin barrier with a good moisturiser helps regulate excess oil which is exactly what our ceramide-based hydration is designed to do.

#MakeO #GlowingSkin #MakeOver #SmoothSkin

Hurry up, this limited-time offer is only at our HSR Clinic💪 Get up to 50% off on Laser Hair Reduction, Acne & Scar treatments. Plus, enjoy a free consultation with our in-house dermatologist. #MakeO #GlowingSkin #MakeOver #SmoothSkin

makeO_skin's tweet image. Hurry up, this limited-time offer is only at our HSR Clinic💪

Get up to 50% off on Laser Hair Reduction, Acne & Scar treatments.
Plus, enjoy a free consultation with our in-house dermatologist.

#MakeO #GlowingSkin #MakeOver #SmoothSkin
makeO_skin's tweet image. Hurry up, this limited-time offer is only at our HSR Clinic💪

Get up to 50% off on Laser Hair Reduction, Acne & Scar treatments.
Plus, enjoy a free consultation with our in-house dermatologist.

#MakeO #GlowingSkin #MakeOver #SmoothSkin

Paid for Order QYU6EF – no shipment, no response despite 4+ emails (including escalation) & calls for 3 weeks! Unacceptable service! #Toothsi #makeO #ConsumerComplaint DM me or reply with resolution. @toothsialigners


@toothsialignersDear toothsi Support Team, as intended due to existing dental issues discoverer my teeth root is missing aligner treatment not suitable and safe for me i try to last one costomer support team send mail but not reply any one of them Toothsi, #makeO, #Refund, or #


We’re counting on you to prove this🤞 We believe in you. Happy New Year! #MakeO #HappyNewYear #GlowingSkin #SmoothSkin #Glow

makeO_skin's tweet image. We’re counting on you to prove this🤞
We believe in you. 

Happy New Year! 

#MakeO #HappyNewYear #GlowingSkin #SmoothSkin #Glow

This Christmas, gift your skin what winter takes away. Book a session today. #MakeO #MerryChristmas #Christmas2025 #GlowingSkin #MakeOver #Glow #skincare

makeO_skin's tweet image. This Christmas, gift your skin what winter takes away.
Book a session today.

#MakeO #MerryChristmas #Christmas2025 #GlowingSkin #MakeOver #Glow #skincare

Explore science-backed solutions to combat hair loss. Walk into your nearest MakeO experience centre for a free consultation. #MakeO #MakeOskin #dullskin #facial #skincare #skintreatment #skinunfiltered #oilyskin #freshskin #hydratingskincare #glowingskin #glow #youngskinforever

makeO_skin's tweet image. Explore science-backed solutions to combat hair loss. Walk into your nearest MakeO experience centre for a free consultation.

#MakeO #MakeOskin #dullskin #facial #skincare #skintreatment #skinunfiltered #oilyskin #freshskin #hydratingskincare #glowingskin #glow #youngskinforever
makeO_skin's tweet image. Explore science-backed solutions to combat hair loss. Walk into your nearest MakeO experience centre for a free consultation.

#MakeO #MakeOskin #dullskin #facial #skincare #skintreatment #skinunfiltered #oilyskin #freshskin #hydratingskincare #glowingskin #glow #youngskinforever
makeO_skin's tweet image. Explore science-backed solutions to combat hair loss. Walk into your nearest MakeO experience centre for a free consultation.

#MakeO #MakeOskin #dullskin #facial #skincare #skintreatment #skinunfiltered #oilyskin #freshskin #hydratingskincare #glowingskin #glow #youngskinforever

Had a long day? Or even a long week? Your skin doesn’t have to suffer. Book your session today and feel the difference - 3x the glow with our Hydra Facial Treatment. #MakeO #skinmakeOver #GlowUp

makeO_skin's tweet image. Had a long day?
Or even a long week? 

Your skin doesn’t have to suffer. 

Book your session today and feel the difference - 3x the glow with our Hydra Facial Treatment.

#MakeO #skinmakeOver #GlowUp

Glow into the new year. ✨ Get flat 40% OFF on your favourite skin treatments + a free doctor consult. Offer ends 10th Dec - book now! #MakeO #ExcitingDeal #StealtheDeal #GlowUp #SmoothSkin #MakeOver #GlowingSkin

makeO_skin's tweet image. Glow into the new year. ✨ 

Get flat 40% OFF on your favourite skin treatments + a free doctor consult. 
Offer ends 10th Dec - book now!

#MakeO #ExcitingDeal #StealtheDeal #GlowUp #SmoothSkin #MakeOver #GlowingSkin

Strong skin starts with a strong barrier. Our ceramide-rich Happy Hydrate Moisturiser locks in moisture and leaves your skin feeling calm, nourished, and ready for the day. 🤗 #MakeO #dullskin #facial #skincare #skintreatment #oilyskin #freshskin #hydratingskincare

makeO_skin's tweet image. Strong skin starts with a strong barrier. 

Our ceramide-rich Happy Hydrate Moisturiser locks in moisture and leaves your skin feeling calm, nourished, and ready for the day. 🤗

#MakeO #dullskin #facial #skincare #skintreatment #oilyskin #freshskin #hydratingskincare
makeO_skin's tweet image. Strong skin starts with a strong barrier. 

Our ceramide-rich Happy Hydrate Moisturiser locks in moisture and leaves your skin feeling calm, nourished, and ready for the day. 🤗

#MakeO #dullskin #facial #skincare #skintreatment #oilyskin #freshskin #hydratingskincare
makeO_skin's tweet image. Strong skin starts with a strong barrier. 

Our ceramide-rich Happy Hydrate Moisturiser locks in moisture and leaves your skin feeling calm, nourished, and ready for the day. 🤗

#MakeO #dullskin #facial #skincare #skintreatment #oilyskin #freshskin #hydratingskincare

Why haven't I have received any updates what is the status of my @toothsialigners #Aliners which plan have I am shifted to without taking any permission? When the delivery of my aliners for which I have confirmed you on 5th November 2025 will be received? #Shame #MakeO #Toothsi

GeetDhirBJP's tweet image. Why haven't I have received any updates what is the status of my @toothsialigners #Aliners which plan have I am shifted to without taking any permission?

When the delivery of my aliners for which I have confirmed you on 5th November 2025 will be received?

#Shame #MakeO #Toothsi

Still choosing between shaving rashes and waxing pain? With our next-gen 4-wavelength laser and dermatologist-supervised care, you get long-lasting hair reduction that’s safer, smoother, and far more comfortable. Start your Laser Hair Reduction journey with MakeO today #MakeO


If you’re ready to see real change, we’ve got a personalised plan just for you. 🥳 Up to 70% permanent reduction with MakeO Advanced Acne Treatment. 😊 Book now. #MakeO #MakeOskin #dullskin #facial #skincare #skintreatment #oilyskin #freshskin #hydratingskincare #glowingskin

makeO_skin's tweet image. If you’re ready to see real change, we’ve got a personalised plan just for you. 🥳

Up to 70% permanent reduction with MakeO Advanced Acne Treatment. 😊
Book now.

#MakeO #MakeOskin #dullskin #facial #skincare #skintreatment #oilyskin #freshskin #hydratingskincare #glowingskin

In its most recent #fundraising round, makeO secured $16 million, or Rs 135 crore, with the help of 360 ONE (previously IIFL Wealth) and Ashish Kacholia’s investment office. Read more - viestories.com/makeo-secures-… #makeo #toothsi #funding

viestories_com's tweet image. In its most recent #fundraising round, makeO secured $16 million, or Rs 135 crore, with the help of 360 ONE (previously IIFL Wealth) and Ashish Kacholia’s investment office.

Read more - viestories.com/makeo-secures-…

#makeo #toothsi #funding

Explore lasting solutions to healthier and fuller hair at MakeO. Our hair growth treatments aren’t based on what’s trending - they are designed by dermatologist for visible results. Book a free consultation to speak to our experts. #MakeO #GlowingSkin #MakeOver #SmoothSkin

makeO_skin's tweet image. Explore lasting solutions to healthier and fuller hair at MakeO. 

Our hair growth treatments aren’t based on what’s trending - they are designed by dermatologist for visible results. 

Book a free consultation to speak to our experts.

#MakeO #GlowingSkin #MakeOver #SmoothSkin

From self-care rituals to science backed results, we just made something for every kind of skin. 🥰 #MakeO #dullskin #facial #skincare #skintreatment #oilyskin #freshskin #hydratingskincare #glowingskin #glow #youngskinforever #MakeOver

makeO_skin's tweet image. From self-care rituals to science backed results, we just made something for every kind of skin. 🥰

#MakeO #dullskin #facial #skincare #skintreatment #oilyskin #freshskin #hydratingskincare #glowingskin #glow #youngskinforever #MakeOver
makeO_skin's tweet image. From self-care rituals to science backed results, we just made something for every kind of skin. 🥰

#MakeO #dullskin #facial #skincare #skintreatment #oilyskin #freshskin #hydratingskincare #glowingskin #glow #youngskinforever #MakeOver
makeO_skin's tweet image. From self-care rituals to science backed results, we just made something for every kind of skin. 🥰

#MakeO #dullskin #facial #skincare #skintreatment #oilyskin #freshskin #hydratingskincare #glowingskin #glow #youngskinforever #MakeOver

What is the status of my new set of aliners @toothsialigners Are they in production or what exactly is going on because I had a conversation with your #MakeO #Toothsi executive and he says that the data is still saying that I am using the sixth liner only ? #Ridiculous

GeetDhirBJP's tweet image. What is the status of my new set of aliners @toothsialigners 
Are they in production or what exactly is going on because I had a conversation with your #MakeO #Toothsi executive and he says that the data is still saying that I am using the sixth liner only ?
#Ridiculous

Visible results need expert care. ✨✅ Book a free consultation at your nearest MakeO experience centre. Link in Bio! #MakeO #dullskin #facial #skincare #skintreatment #oilyskin #freshskin #hydratingskincare #glowingskin #glow #youngskinforever #MakeOver

makeO_skin's tweet image. Visible results need expert care. ✨✅

Book a free consultation at your nearest MakeO experience centre. Link in Bio!

#MakeO #dullskin #facial #skincare #skintreatment #oilyskin #freshskin #hydratingskincare #glowingskin #glow #youngskinforever #MakeOver

Explore science-backed solutions to combat hair loss. Walk into your nearest MakeO experience centre for a free consultation. #MakeO #MakeOskin #dullskin #facial #skincare #skintreatment #skinunfiltered #oilyskin #freshskin #hydratingskincare #glowingskin #glow #youngskinforever

makeO_skin's tweet image. Explore science-backed solutions to combat hair loss. Walk into your nearest MakeO experience centre for a free consultation.

#MakeO #MakeOskin #dullskin #facial #skincare #skintreatment #skinunfiltered #oilyskin #freshskin #hydratingskincare #glowingskin #glow #youngskinforever
makeO_skin's tweet image. Explore science-backed solutions to combat hair loss. Walk into your nearest MakeO experience centre for a free consultation.

#MakeO #MakeOskin #dullskin #facial #skincare #skintreatment #skinunfiltered #oilyskin #freshskin #hydratingskincare #glowingskin #glow #youngskinforever
makeO_skin's tweet image. Explore science-backed solutions to combat hair loss. Walk into your nearest MakeO experience centre for a free consultation.

#MakeO #MakeOskin #dullskin #facial #skincare #skintreatment #skinunfiltered #oilyskin #freshskin #hydratingskincare #glowingskin #glow #youngskinforever

If you’re ready to see real change, we’ve got a personalised plan just for you. 🥳 Up to 70% permanent reduction with MakeO Advanced Acne Treatment. 😊 Book now. #MakeO #MakeOskin #dullskin #facial #skincare #skintreatment #oilyskin #freshskin #hydratingskincare #glowingskin

makeO_skin's tweet image. If you’re ready to see real change, we’ve got a personalised plan just for you. 🥳

Up to 70% permanent reduction with MakeO Advanced Acne Treatment. 😊
Book now.

#MakeO #MakeOskin #dullskin #facial #skincare #skintreatment #oilyskin #freshskin #hydratingskincare #glowingskin

Extremely improper fitting with the new set of #ToothsiAlliners from Alliners no 9 onwards, this is the new set which I have received last week, Raised ticket no 01405649 #MakeO #Toothsi @toothsialigners

GeetDhirBJP's tweet image. Extremely improper fitting with the new set of #ToothsiAlliners from Alliners no 9 onwards, this is the new set which I have received last week,
Raised ticket no 01405649
#MakeO #Toothsi @toothsialigners

Still the your @toothsialigners app is showing limited alliners., even over the telephonic conversation I was been told that there will be unlimited alliners till my teeth gets allined I really need to know whats really going on with #MakeO #Toothsi

GeetDhirBJP's tweet image. Still the your @toothsialigners app is showing limited alliners., even over the telephonic conversation I was been told that there will be unlimited alliners till my teeth gets allined 

I really need to know whats really going on with #MakeO #Toothsi

Why haven't I have received any updates what is the status of my @toothsialigners #Aliners which plan have I am shifted to without taking any permission? When the delivery of my aliners for which I have confirmed you on 5th November 2025 will be received? #Shame #MakeO #Toothsi

GeetDhirBJP's tweet image. Why haven't I have received any updates what is the status of my @toothsialigners #Aliners which plan have I am shifted to without taking any permission?

When the delivery of my aliners for which I have confirmed you on 5th November 2025 will be received?

#Shame #MakeO #Toothsi

Confidence looks good on you - and it’s 50% off! Glow, smooth, and shine your way till Oct 31. #makeO #ExcitingDeal #StealtheDeal #GlowUp #SmoothSkin #makeOver #GlowingSkin

makeO_skin's tweet image. Confidence looks good on you - and it’s 50% off!

Glow, smooth, and shine your way till Oct 31.

#makeO #ExcitingDeal #StealtheDeal #GlowUp #SmoothSkin #makeOver #GlowingSkin

#MakeO #Toothsi how much more time do you guys meet to do scan for mine 9th onwards set of aliners @toothsialigners ?

GeetDhirBJP's tweet image. #MakeO #Toothsi how much more time do you guys meet to do scan for mine 9th onwards set of aliners @toothsialigners ?

Ready to get rid of acne and blemishes for good? 🤫 Tap the link in bio to book your treatment and hit ‘remove’! ✨ #MakeO #MakeOskin #dullskin #facial #skincare #skintreatment #oilyskin #freshskin #hydratingskincare #glowingskin #glow #youngskinforever #makeOver

makeO_skin's tweet image. Ready to get rid of acne and blemishes for good? 🤫

Tap the link in bio to book your treatment and hit ‘remove’! ✨

#MakeO #MakeOskin #dullskin #facial #skincare #skintreatment #oilyskin #freshskin #hydratingskincare #glowingskin #glow #youngskinforever #makeOver
makeO_skin's tweet image. Ready to get rid of acne and blemishes for good? 🤫

Tap the link in bio to book your treatment and hit ‘remove’! ✨

#MakeO #MakeOskin #dullskin #facial #skincare #skintreatment #oilyskin #freshskin #hydratingskincare #glowingskin #glow #youngskinforever #makeOver

Still I am bearing because of you #MakeO #Toothsi since last year, how much more will you keep me waiting @toothsialigners #Shame #MakeOToothsi

GeetDhirBJP's tweet image. Still I am bearing because of you #MakeO #Toothsi since last year, how much more will you keep me waiting @toothsialigners 

#Shame #MakeOToothsi

Glow into the new year. ✨ Get flat 40% OFF on your favourite skin treatments + a free doctor consult. Offer ends 10th Dec - book now! #MakeO #ExcitingDeal #StealtheDeal #GlowUp #SmoothSkin #MakeOver #GlowingSkin

makeO_skin's tweet image. Glow into the new year. ✨ 

Get flat 40% OFF on your favourite skin treatments + a free doctor consult. 
Offer ends 10th Dec - book now!

#MakeO #ExcitingDeal #StealtheDeal #GlowUp #SmoothSkin #MakeOver #GlowingSkin

It’s been 524 days since I started my treatment with #Toothsi (#MakeO). They promised results in 1 year — but I’m back to my original teeth position now they’re covering it up with "booster aligners". This is a failure. I want my refund. #ToothsiScam #ConsumerRights #MakeOFailure

Udayzone909's tweet image. It’s been 524 days since I started my treatment with #Toothsi (#MakeO).
They promised results in 1 year — but I’m back to my original teeth position now they’re covering it up with "booster aligners".
This is a failure. I want my refund.
#ToothsiScam #ConsumerRights #MakeOFailure
Udayzone909's tweet image. It’s been 524 days since I started my treatment with #Toothsi (#MakeO).
They promised results in 1 year — but I’m back to my original teeth position now they’re covering it up with "booster aligners".
This is a failure. I want my refund.
#ToothsiScam #ConsumerRights #MakeOFailure
Udayzone909's tweet image. It’s been 524 days since I started my treatment with #Toothsi (#MakeO).
They promised results in 1 year — but I’m back to my original teeth position now they’re covering it up with "booster aligners".
This is a failure. I want my refund.
#ToothsiScam #ConsumerRights #MakeOFailure

Do away with all the acne, just with this serum! 🥰 MakeO Acne Away Potent Serum does all the heavy lifting so you get the soft, clear, glowing skin of your dreams. ✨ #MakeO #dullskin #facial #skincare #skintreatment #oilyskin #freshskin #hydratingskincare #glowingskin #glow

makeO_skin's tweet image. Do away with all the acne, just with this serum! 🥰

MakeO Acne Away Potent Serum does all the heavy lifting so you get the soft, clear, glowing skin of your dreams. ✨

#MakeO #dullskin #facial #skincare #skintreatment #oilyskin #freshskin #hydratingskincare #glowingskin #glow

This Christmas, gift your skin what winter takes away. Book a session today. #MakeO #MerryChristmas #Christmas2025 #GlowingSkin #MakeOver #Glow #skincare

makeO_skin's tweet image. This Christmas, gift your skin what winter takes away.
Book a session today.

#MakeO #MerryChristmas #Christmas2025 #GlowingSkin #MakeOver #Glow #skincare

Loading...

Something went wrong.


Something went wrong.