#pulmccm search results

PDs & Fellows ~ ๐Ÿ“ขIt's Here! ๐ŸŒŸ ๐Ÿ”— apccmpdscholars.org/2025/11/17/carโ€ฆ #PCCM #meded #pulmCCM #PCCMedEd


Another successful POCUS workshop is in the books! Glad @UNCneurology critical care could join! #ccm #pulmccm #neurocc #emccm @aartisarwal @HOGTOWN_DOC @BhavitaGaglani

WakeForestCCM's tweet image. Another successful POCUS workshop is in the books! Glad @UNCneurology critical care could join! #ccm #pulmccm #neurocc #emccm @aartisarwal @HOGTOWN_DOC @BhavitaGaglani

How are YOU measuring SDOH? ๐Ÿค” ๐Ÿ’ก Fellows + SDOH = Essential Skills ๐ŸŒ Drs. Brady + Garbarino + Kapoor = SODH Barriers + Solutions Podcat ๐Ÿ‘‰ Listen now: tinyurl.com/bdktmhcc #PCCM #meded #pulmCCM #PCCMedEd @KapoorA_CC


Happy New year for medical professionals, patients, and humanity ! #PulmCCM #rad #radres #2024 #chest

MBouanzoul's tweet image. Happy New year for medical professionals, patients, and humanity ! #PulmCCM #rad #radres #2024 #chest

๐Ÿ“ฃ Program Coordinator Connect! ๐Ÿ—“๏ธ November 20, 1:00 PM, Eastern Register Today: ๐Ÿ”— tinyurl.com/2w2d5hpa Learn. Network. Implement. #PCCM #meded #pulmCCM #PCCMedEd

APCCMPD's tweet image. ๐Ÿ“ฃ Program Coordinator Connect!
๐Ÿ—“๏ธ November 20, 1:00 PM, Eastern

Register Today: ๐Ÿ”— tinyurl.com/2w2d5hpa

Learn.  Network. Implement.  
#PCCM #meded #pulmCCM #PCCMedEd

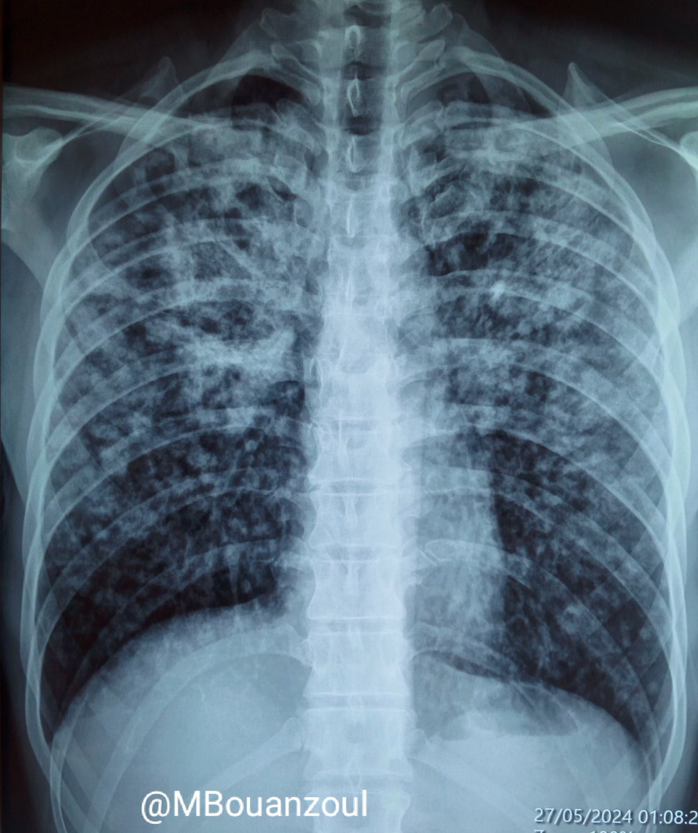
Sharing a chest radiograph of a pulmonary tuberculosis in a 42-year-old man presenting with cough and malaise. Rapid sputum exam was positive. HIV testing was negative. #tuberculosis #chestrad #PulmCCM #radres

MBouanzoul's tweet image. Sharing a chest radiograph of a pulmonary tuberculosis in a 42-year-old man presenting with cough and malaise. Rapid sputum exam was positive. HIV testing was negative. 
#tuberculosis #chestrad #PulmCCM #radres

๐Ÿš€ Tuesday at #ATS2025 โ€” Another full day ahead! Letโ€™s keep the momentum going! ๐Ÿ’ก #PulmCCM #MedEd #lungcancer #covid19

NYULangonePCCSM's tweet image. ๐Ÿš€ Tuesday at #ATS2025 โ€” Another full day ahead! Letโ€™s keep the momentum going! 

๐Ÿ’ก #PulmCCM #MedEd #lungcancer #covid19
NYULangonePCCSM's tweet image. ๐Ÿš€ Tuesday at #ATS2025 โ€” Another full day ahead! Letโ€™s keep the momentum going! 

๐Ÿ’ก #PulmCCM #MedEd #lungcancer #covid19
NYULangonePCCSM's tweet image. ๐Ÿš€ Tuesday at #ATS2025 โ€” Another full day ahead! Letโ€™s keep the momentum going! 

๐Ÿ’ก #PulmCCM #MedEd #lungcancer #covid19

An attached bronchoscopic recording demonstrating an obstruction in the bronchus intermedius, due to a pulmonary squamous cell carcinoma. #bronchoscopy #PulmCCM #Pathology #Lung #Cancer


A 43-year-old male patient with a history of heavy tobacco use, presents with a bronchus intermedius obstruction secondary to pulmonary squamous cell carcinoma. (Bronchoscopic view). #bronchoscopy #PulmCCM #Pathology #Lung #Cancer

MBouanzoul's tweet image. A 43-year-old male patient with a history of heavy tobacco use, presents with a bronchus intermedius obstruction secondary to pulmonary squamous cell carcinoma. (Bronchoscopic view).
#bronchoscopy #PulmCCM #Pathology #Lung #Cancer

๐Ÿ“ฃOPEN! ๐Ÿ” RETAKES Registration for In-Service Exam! ๐Ÿ—“๏ธ Registration: Now - October 24 ๐Ÿ—“๏ธ Testing Window: October 20 -31 Register your Fellows & measure progress after remediation. ๐Ÿ“Š ๐Ÿ‘‰ apccmpd.memberclicks.net/available-exams #PCCM #meded #pulmCCM #PCCMedEd

APCCMPD's tweet image. ๐Ÿ“ฃOPEN! ๐Ÿ” RETAKES Registration for In-Service Exam!
    ๐Ÿ—“๏ธ Registration: Now - October 24
    ๐Ÿ—“๏ธ Testing Window:  October 20 -31
Register your Fellows & measure progress after remediation. ๐Ÿ“Š
๐Ÿ‘‰  apccmpd.memberclicks.net/available-exams
#PCCM #meded #pulmCCM #PCCMedEd

๐ŸŒŸ #ATS2025 is almost here! ๐Ÿ‘‰ to learn more about where our faculty & trainees will be to to connect, learn, and engage. Follow along for live updates, key takeaways, and more! ๐Ÿ“ฒ #PulmCCM #MedEd #Bronchiectasis #lungcancer #Lungtransplant #ILD

NYULangonePCCSM's tweet image. ๐ŸŒŸ #ATS2025 is almost here! ๐Ÿ‘‰ to learn more about where our faculty & trainees will be to to connect, learn, and engage. Follow along for live updates, key takeaways, and more! ๐Ÿ“ฒ 

#PulmCCM #MedEd #Bronchiectasis #lungcancer #Lungtransplant #ILD
NYULangonePCCSM's tweet image. ๐ŸŒŸ #ATS2025 is almost here! ๐Ÿ‘‰ to learn more about where our faculty & trainees will be to to connect, learn, and engage. Follow along for live updates, key takeaways, and more! ๐Ÿ“ฒ 

#PulmCCM #MedEd #Bronchiectasis #lungcancer #Lungtransplant #ILD
NYULangonePCCSM's tweet image. ๐ŸŒŸ #ATS2025 is almost here! ๐Ÿ‘‰ to learn more about where our faculty & trainees will be to to connect, learn, and engage. Follow along for live updates, key takeaways, and more! ๐Ÿ“ฒ 

#PulmCCM #MedEd #Bronchiectasis #lungcancer #Lungtransplant #ILD
NYULangonePCCSM's tweet image. ๐ŸŒŸ #ATS2025 is almost here! ๐Ÿ‘‰ to learn more about where our faculty & trainees will be to to connect, learn, and engage. Follow along for live updates, key takeaways, and more! ๐Ÿ“ฒ 

#PulmCCM #MedEd #Bronchiectasis #lungcancer #Lungtransplant #ILD

What a week at #ATS2025! Grateful for the connections, mentors, and memories. Already looking forward to next year! #PulmCCM #MedTwitter

geranmaule's tweet image. What a week at #ATS2025!
Grateful for the connections, mentors, and memories. Already looking forward to next year!

#PulmCCM #MedTwitter
geranmaule's tweet image. What a week at #ATS2025!
Grateful for the connections, mentors, and memories. Already looking forward to next year!

#PulmCCM #MedTwitter
geranmaule's tweet image. What a week at #ATS2025!
Grateful for the connections, mentors, and memories. Already looking forward to next year!

#PulmCCM #MedTwitter
geranmaule's tweet image. What a week at #ATS2025!
Grateful for the connections, mentors, and memories. Already looking forward to next year!

#PulmCCM #MedTwitter

#AABIP2023 El pollo loco and el dragon Gordo are tag teaming the First plenary session on lung nodules. #luchador #pulmccm #IPtwitter @handsnotmitts @criticalMD


๐ŸŽ‰ Happy Medical New Year! ๐Ÿฉบ New cohorts, new challenges, endless opportunities to lead and inspire. Have a great year! #PCCM #meded #pulmCCM #PCCMedEd


๐Ÿ“ฃ Medical Educators! ๐Ÿ“ฃ ๐Ÿ“… Join us! Check-In Tuesday, July 30 at 12:00 PM EST ๐Ÿ”— tinyurl.com/mujuce77 โš•๏ธ Learn. ๐Ÿ’ฌ Network. ๐Ÿ—ฃ๏ธ Implement. #PCCM #meded #pulmCCM #PCCMedEd

APCCMPD's tweet image. ๐Ÿ“ฃ Medical Educators! ๐Ÿ“ฃ
๐Ÿ“… Join us! Check-In Tuesday, July 30 at 12:00 PM EST 
๐Ÿ”— tinyurl.com/mujuce77
โš•๏ธ Learn. ๐Ÿ’ฌ Network. ๐Ÿ—ฃ๏ธ Implement.
#PCCM #meded #pulmCCM #PCCMedEd

โœจ Pause. Breathe. Appreciate. โœจ Take a 1 min. mindfulness beak ~ shift your mindset, boost connection, & recharge your focus. ๐ŸŒฑ๐Ÿ’ก๐Ÿ’ผ #PCCM #meded #pulmCCM #PCCMedEd

APCCMPD's tweet image. โœจ Pause. Breathe. Appreciate. โœจ

Take a 1 min. mindfulness beak ~ shift your mindset, boost connection, & recharge your focus. ๐ŸŒฑ๐Ÿ’ก๐Ÿ’ผ

#PCCM #meded #pulmCCM #PCCMedEd
APCCMPD's tweet image. โœจ Pause. Breathe. Appreciate. โœจ

Take a 1 min. mindfulness beak ~ shift your mindset, boost connection, & recharge your focus. ๐ŸŒฑ๐Ÿ’ก๐Ÿ’ผ

#PCCM #meded #pulmCCM #PCCMedEd

๐ŸŽ™๏ธ Check-In: Fellowship Interview Season ๐Ÿ—“๏ธ Wed Aug 6 @ 1PM EST ๐Ÿ“ tinyurl.com/kfv64dyh Practical insights! Evolving strategies! Thoughtful prep! Whether you're new or a seasoned pro - this one's for you! โš•๏ธ Learn. ๐Ÿ’ฌ Network. ๐Ÿ—ฃ๏ธ Implement. #PCCM #meded #pulmCCM #PCCMedEd

APCCMPD's tweet image. ๐ŸŽ™๏ธ Check-In: Fellowship Interview Season
๐Ÿ—“๏ธ Wed Aug 6 @ 1PM EST
๐Ÿ“ tinyurl.com/kfv64dyh
Practical insights! Evolving strategies! Thoughtful prep! Whether you're new or a seasoned pro - this one's for you! 
โš•๏ธ Learn. ๐Ÿ’ฌ Network. ๐Ÿ—ฃ๏ธ Implement.
#PCCM #meded #pulmCCM #PCCMedEd

๐Ÿ† MedEd Coaching: Where Every Learner is a MVP ๐Ÿฉบ We share the playbook in this 4-part Coaching Series! โญ๏ธScan QR!โญ๏ธ #PCCM #meded #pulmCCM #PCCMedEd


PDs & Fellows ~ ๐Ÿ“ขIt's Here! ๐ŸŒŸ ๐Ÿ”— apccmpdscholars.org/2025/11/17/carโ€ฆ #PCCM #meded #pulmCCM #PCCMedEd


๐Ÿ“ฃ Program Coordinator Connect! ๐Ÿ—“๏ธ November 20, 1:00 PM, Eastern Register Today: ๐Ÿ”— tinyurl.com/2w2d5hpa Learn. Network. Implement. #PCCM #meded #pulmCCM #PCCMedEd

APCCMPD's tweet image. ๐Ÿ“ฃ Program Coordinator Connect!
๐Ÿ—“๏ธ November 20, 1:00 PM, Eastern

Register Today: ๐Ÿ”— tinyurl.com/2w2d5hpa

Learn.  Network. Implement.  
#PCCM #meded #pulmCCM #PCCMedEd

๐Ÿ“ฃOPEN! ๐Ÿ” RETAKES Registration for In-Service Exam! ๐Ÿ—“๏ธ Registration: Now - October 24 ๐Ÿ—“๏ธ Testing Window: October 20 -31 Register your Fellows & measure progress after remediation. ๐Ÿ“Š ๐Ÿ‘‰ apccmpd.memberclicks.net/available-exams #PCCM #meded #pulmCCM #PCCMedEd

APCCMPD's tweet image. ๐Ÿ“ฃOPEN! ๐Ÿ” RETAKES Registration for In-Service Exam!
    ๐Ÿ—“๏ธ Registration: Now - October 24
    ๐Ÿ—“๏ธ Testing Window:  October 20 -31
Register your Fellows & measure progress after remediation. ๐Ÿ“Š
๐Ÿ‘‰  apccmpd.memberclicks.net/available-exams
#PCCM #meded #pulmCCM #PCCMedEd

How are YOU measuring SDOH? ๐Ÿค” ๐Ÿ’ก Fellows + SDOH = Essential Skills ๐ŸŒ Drs. Brady + Garbarino + Kapoor = SODH Barriers + Solutions Podcat ๐Ÿ‘‰ Listen now: tinyurl.com/bdktmhcc #PCCM #meded #pulmCCM #PCCMedEd @KapoorA_CC


๐ŸŽ“3 grads ๐Ÿ“•One playbook ๐Ÿ”ฅBoard-prep Essentials โœจBlog Available Now! @EmilyOlsonMD @UMdPCCM @NM_Lung ๐Ÿ”— tinyurl.com/msxsy42a #PCCM #meded #pulmCCM #PCCMedEd


โœจ Pause. Breathe. Appreciate. โœจ Take a 1 min. mindfulness beak ~ shift your mindset, boost connection, & recharge your focus. ๐ŸŒฑ๐Ÿ’ก๐Ÿ’ผ #PCCM #meded #pulmCCM #PCCMedEd

APCCMPD's tweet image. โœจ Pause. Breathe. Appreciate. โœจ

Take a 1 min. mindfulness beak ~ shift your mindset, boost connection, & recharge your focus. ๐ŸŒฑ๐Ÿ’ก๐Ÿ’ผ

#PCCM #meded #pulmCCM #PCCMedEd
APCCMPD's tweet image. โœจ Pause. Breathe. Appreciate. โœจ

Take a 1 min. mindfulness beak ~ shift your mindset, boost connection, & recharge your focus. ๐ŸŒฑ๐Ÿ’ก๐Ÿ’ผ

#PCCM #meded #pulmCCM #PCCMedEd

๐Ÿšจ ATS Workshop Report on non-invasive sampling of the lower respiratory tract: Experts highlight how to tailor your testing and make non-invasive testing fast, reproducible, and scalable. #PulmCCM #ATSworkshop buff.ly/i2qobaA


๐Ÿ† MedEd Coaching: Where Every Learner is a MVP ๐Ÿฉบ We share the playbook in this 4-part Coaching Series! โญ๏ธScan QR!โญ๏ธ #PCCM #meded #pulmCCM #PCCMedEd


๐Ÿ–๏ธ What Iโ€™m Doing in August ๐ŸŒž Program Coordinators & Admins - you're calm, steady & ready for the changing tides.๐Ÿ„โ€โ™€๏ธ Ride that wave & enjoy the Mindfulness Tip below! ๐ŸŒŠ#PCCM #meded #pulmCCM #PCCMedEd

APCCMPD's tweet image. ๐Ÿ–๏ธ What Iโ€™m Doing in August ๐ŸŒž
Program Coordinators & Admins - you're calm, steady & ready for the changing tides.๐Ÿ„โ€โ™€๏ธ Ride that wave & enjoy the Mindfulness Tip below!
๐ŸŒŠ#PCCM #meded #pulmCCM #PCCMedEd

๐ŸŽ™๏ธ Check-In: Fellowship Interview Season ๐Ÿ—“๏ธ Wed Aug 6 @ 1PM EST ๐Ÿ“ tinyurl.com/kfv64dyh Practical insights! Evolving strategies! Thoughtful prep! Whether you're new or a seasoned pro - this one's for you! โš•๏ธ Learn. ๐Ÿ’ฌ Network. ๐Ÿ—ฃ๏ธ Implement. #PCCM #meded #pulmCCM #PCCMedEd

APCCMPD's tweet image. ๐ŸŽ™๏ธ Check-In: Fellowship Interview Season
๐Ÿ—“๏ธ Wed Aug 6 @ 1PM EST
๐Ÿ“ tinyurl.com/kfv64dyh
Practical insights! Evolving strategies! Thoughtful prep! Whether you're new or a seasoned pro - this one's for you! 
โš•๏ธ Learn. ๐Ÿ’ฌ Network. ๐Ÿ—ฃ๏ธ Implement.
#PCCM #meded #pulmCCM #PCCMedEd

Another successful POCUS workshop is in the books! Glad @UNCneurology critical care could join! #ccm #pulmccm #neurocc #emccm @aartisarwal @HOGTOWN_DOC @BhavitaGaglani

WakeForestCCM's tweet image. Another successful POCUS workshop is in the books! Glad @UNCneurology critical care could join! #ccm #pulmccm #neurocc #emccm @aartisarwal @HOGTOWN_DOC @BhavitaGaglani

๐Ÿš€ Tuesday at #ATS2025 โ€” Another full day ahead! Letโ€™s keep the momentum going! ๐Ÿ’ก #PulmCCM #MedEd #lungcancer #covid19

NYULangonePCCSM's tweet image. ๐Ÿš€ Tuesday at #ATS2025 โ€” Another full day ahead! Letโ€™s keep the momentum going! 

๐Ÿ’ก #PulmCCM #MedEd #lungcancer #covid19
NYULangonePCCSM's tweet image. ๐Ÿš€ Tuesday at #ATS2025 โ€” Another full day ahead! Letโ€™s keep the momentum going! 

๐Ÿ’ก #PulmCCM #MedEd #lungcancer #covid19
NYULangonePCCSM's tweet image. ๐Ÿš€ Tuesday at #ATS2025 โ€” Another full day ahead! Letโ€™s keep the momentum going! 

๐Ÿ’ก #PulmCCM #MedEd #lungcancer #covid19

๐Ÿ“ฃ Program Coordinator Connect! ๐Ÿ—“๏ธ November 20, 1:00 PM, Eastern Register Today: ๐Ÿ”— tinyurl.com/2w2d5hpa Learn. Network. Implement. #PCCM #meded #pulmCCM #PCCMedEd

APCCMPD's tweet image. ๐Ÿ“ฃ Program Coordinator Connect!
๐Ÿ—“๏ธ November 20, 1:00 PM, Eastern

Register Today: ๐Ÿ”— tinyurl.com/2w2d5hpa

Learn.  Network. Implement.  
#PCCM #meded #pulmCCM #PCCMedEd

Happy New year for medical professionals, patients, and humanity ! #PulmCCM #rad #radres #2024 #chest

MBouanzoul's tweet image. Happy New year for medical professionals, patients, and humanity ! #PulmCCM #rad #radres #2024 #chest

๐ŸŽ“From learners to leadersโ€”congrats, grads!๐ŸŽ‰๐Ÿฉบ๐Ÿฅผ #PCCM #meded #pulmCCM #PCCMedEd

APCCMPD's tweet image. ๐ŸŽ“From learners to leadersโ€”congrats, grads!๐ŸŽ‰๐Ÿฉบ๐Ÿฅผ
#PCCM #meded #pulmCCM #PCCMedEd

๐ŸŒŸ #ATS2025 is almost here! ๐Ÿ‘‰ to learn more about where our faculty & trainees will be to to connect, learn, and engage. Follow along for live updates, key takeaways, and more! ๐Ÿ“ฒ #PulmCCM #MedEd #Bronchiectasis #lungcancer #Lungtransplant #ILD

NYULangonePCCSM's tweet image. ๐ŸŒŸ #ATS2025 is almost here! ๐Ÿ‘‰ to learn more about where our faculty & trainees will be to to connect, learn, and engage. Follow along for live updates, key takeaways, and more! ๐Ÿ“ฒ 

#PulmCCM #MedEd #Bronchiectasis #lungcancer #Lungtransplant #ILD
NYULangonePCCSM's tweet image. ๐ŸŒŸ #ATS2025 is almost here! ๐Ÿ‘‰ to learn more about where our faculty & trainees will be to to connect, learn, and engage. Follow along for live updates, key takeaways, and more! ๐Ÿ“ฒ 

#PulmCCM #MedEd #Bronchiectasis #lungcancer #Lungtransplant #ILD
NYULangonePCCSM's tweet image. ๐ŸŒŸ #ATS2025 is almost here! ๐Ÿ‘‰ to learn more about where our faculty & trainees will be to to connect, learn, and engage. Follow along for live updates, key takeaways, and more! ๐Ÿ“ฒ 

#PulmCCM #MedEd #Bronchiectasis #lungcancer #Lungtransplant #ILD
NYULangonePCCSM's tweet image. ๐ŸŒŸ #ATS2025 is almost here! ๐Ÿ‘‰ to learn more about where our faculty & trainees will be to to connect, learn, and engage. Follow along for live updates, key takeaways, and more! ๐Ÿ“ฒ 

#PulmCCM #MedEd #Bronchiectasis #lungcancer #Lungtransplant #ILD

Sharing a chest radiograph of a pulmonary tuberculosis in a 42-year-old man presenting with cough and malaise. Rapid sputum exam was positive. HIV testing was negative. #tuberculosis #chestrad #PulmCCM #radres

MBouanzoul's tweet image. Sharing a chest radiograph of a pulmonary tuberculosis in a 42-year-old man presenting with cough and malaise. Rapid sputum exam was positive. HIV testing was negative. 
#tuberculosis #chestrad #PulmCCM #radres

๐Ÿ“ฃ Medical Educators! ๐Ÿ“ฃ ๐Ÿ“… Join us! Check-In Tuesday, July 30 at 12:00 PM EST ๐Ÿ”— tinyurl.com/mujuce77 โš•๏ธ Learn. ๐Ÿ’ฌ Network. ๐Ÿ—ฃ๏ธ Implement. #PCCM #meded #pulmCCM #PCCMedEd

APCCMPD's tweet image. ๐Ÿ“ฃ Medical Educators! ๐Ÿ“ฃ
๐Ÿ“… Join us! Check-In Tuesday, July 30 at 12:00 PM EST 
๐Ÿ”— tinyurl.com/mujuce77
โš•๏ธ Learn. ๐Ÿ’ฌ Network. ๐Ÿ—ฃ๏ธ Implement.
#PCCM #meded #pulmCCM #PCCMedEd

A 43-year-old male patient with a history of heavy tobacco use, presents with a bronchus intermedius obstruction secondary to pulmonary squamous cell carcinoma. (Bronchoscopic view). #bronchoscopy #PulmCCM #Pathology #Lung #Cancer

MBouanzoul's tweet image. A 43-year-old male patient with a history of heavy tobacco use, presents with a bronchus intermedius obstruction secondary to pulmonary squamous cell carcinoma. (Bronchoscopic view).
#bronchoscopy #PulmCCM #Pathology #Lung #Cancer

SAVE THE DATE! APCCMPD Annual Conference March 4 - 6, 2026 l Scottsdale, AZ #PCCM #meded #pulmCCM #PCCMedEd

APCCMPD's tweet image. SAVE THE DATE! APCCMPD Annual Conference
March 4 - 6, 2026  l  Scottsdale, AZ

#PCCM #meded #pulmCCM #PCCMedEd

๐ŸŒž What Iโ€™m Doing in June ๐ŸŒž Program Coordinators & Administrators, whatโ€™s keeping you busy this month? #PCCM #meded #pulmCCM #PCCMedEd

APCCMPD's tweet image. ๐ŸŒž What Iโ€™m Doing in June ๐ŸŒž
Program Coordinators & Administrators, whatโ€™s keeping you busy this month?
#PCCM #meded #pulmCCM #PCCMedEd

๐Ÿ“ˆ Peak flow measures lung strength, but how to measure the impact of great educators? #PCCM #meded #pulmCCM #PCCMedEd

APCCMPD's tweet image. ๐Ÿ“ˆ Peak flow measures lung strength, but how to measure the impact of great educators?
#PCCM #meded #pulmCCM #PCCMedEd

โœจ Pause. Breathe. Appreciate. โœจ Take a 1 min. mindfulness beak ~ shift your mindset, boost connection, & recharge your focus. ๐ŸŒฑ๐Ÿ’ก๐Ÿ’ผ #PCCM #meded #pulmCCM #PCCMedEd

APCCMPD's tweet image. โœจ Pause. Breathe. Appreciate. โœจ

Take a 1 min. mindfulness beak ~ shift your mindset, boost connection, & recharge your focus. ๐ŸŒฑ๐Ÿ’ก๐Ÿ’ผ

#PCCM #meded #pulmCCM #PCCMedEd
APCCMPD's tweet image. โœจ Pause. Breathe. Appreciate. โœจ

Take a 1 min. mindfulness beak ~ shift your mindset, boost connection, & recharge your focus. ๐ŸŒฑ๐Ÿ’ก๐Ÿ’ผ

#PCCM #meded #pulmCCM #PCCMedEd

๐Ÿ“ฃOPEN! ๐Ÿ” RETAKES Registration for In-Service Exam! ๐Ÿ—“๏ธ Registration: Now - October 24 ๐Ÿ—“๏ธ Testing Window: October 20 -31 Register your Fellows & measure progress after remediation. ๐Ÿ“Š ๐Ÿ‘‰ apccmpd.memberclicks.net/available-exams #PCCM #meded #pulmCCM #PCCMedEd

APCCMPD's tweet image. ๐Ÿ“ฃOPEN! ๐Ÿ” RETAKES Registration for In-Service Exam!
    ๐Ÿ—“๏ธ Registration: Now - October 24
    ๐Ÿ—“๏ธ Testing Window:  October 20 -31
Register your Fellows & measure progress after remediation. ๐Ÿ“Š
๐Ÿ‘‰  apccmpd.memberclicks.net/available-exams
#PCCM #meded #pulmCCM #PCCMedEd

๐Ÿ–๏ธ What Iโ€™m Doing in August ๐ŸŒž Program Coordinators & Admins - you're calm, steady & ready for the changing tides.๐Ÿ„โ€โ™€๏ธ Ride that wave & enjoy the Mindfulness Tip below! ๐ŸŒŠ#PCCM #meded #pulmCCM #PCCMedEd

APCCMPD's tweet image. ๐Ÿ–๏ธ What Iโ€™m Doing in August ๐ŸŒž
Program Coordinators & Admins - you're calm, steady & ready for the changing tides.๐Ÿ„โ€โ™€๏ธ Ride that wave & enjoy the Mindfulness Tip below!
๐ŸŒŠ#PCCM #meded #pulmCCM #PCCMedEd

๐ŸŒž What Iโ€™m Doing in July ๐ŸŒž Program Coordinators & Administrators, you've got your hands full this month and you are deeply appreciated! Check out the Mindfulness Tip included below. #PCCM #meded #pulmCCM #PCCMedEd

APCCMPD's tweet image. ๐ŸŒž What Iโ€™m Doing in July ๐ŸŒž
Program Coordinators & Administrators, you've got your hands full this month and you are deeply appreciated! Check out the Mindfulness Tip included below.  #PCCM #meded #pulmCCM #PCCMedEd

๐ŸŽ™๏ธ Check-In: Fellowship Interview Season ๐Ÿ—“๏ธ Wed Aug 6 @ 1PM EST ๐Ÿ“ tinyurl.com/kfv64dyh Practical insights! Evolving strategies! Thoughtful prep! Whether you're new or a seasoned pro - this one's for you! โš•๏ธ Learn. ๐Ÿ’ฌ Network. ๐Ÿ—ฃ๏ธ Implement. #PCCM #meded #pulmCCM #PCCMedEd

APCCMPD's tweet image. ๐ŸŽ™๏ธ Check-In: Fellowship Interview Season
๐Ÿ—“๏ธ Wed Aug 6 @ 1PM EST
๐Ÿ“ tinyurl.com/kfv64dyh
Practical insights! Evolving strategies! Thoughtful prep! Whether you're new or a seasoned pro - this one's for you! 
โš•๏ธ Learn. ๐Ÿ’ฌ Network. ๐Ÿ—ฃ๏ธ Implement.
#PCCM #meded #pulmCCM #PCCMedEd

Harness the โšก๏ธPOWERโšก๏ธ of Smartsheets with Nicole Calder during Program Coordinator Connect ๐Ÿ“… Wednesday, May 21, 2025 ๐Ÿ”— Register here: tinyurl.com/4u25dur7 #PCCM #meded #pulmCCM #PCCMedEd

APCCMPD's tweet image. Harness the โšก๏ธPOWERโšก๏ธ of Smartsheets with Nicole Calder during Program Coordinator Connect
๐Ÿ“… Wednesday, May 21, 2025
๐Ÿ”— Register here: tinyurl.com/4u25dur7

#PCCM #meded #pulmCCM #PCCMedEd

What a week at #ATS2025! Grateful for the connections, mentors, and memories. Already looking forward to next year! #PulmCCM #MedTwitter

geranmaule's tweet image. What a week at #ATS2025!
Grateful for the connections, mentors, and memories. Already looking forward to next year!

#PulmCCM #MedTwitter
geranmaule's tweet image. What a week at #ATS2025!
Grateful for the connections, mentors, and memories. Already looking forward to next year!

#PulmCCM #MedTwitter
geranmaule's tweet image. What a week at #ATS2025!
Grateful for the connections, mentors, and memories. Already looking forward to next year!

#PulmCCM #MedTwitter
geranmaule's tweet image. What a week at #ATS2025!
Grateful for the connections, mentors, and memories. Already looking forward to next year!

#PulmCCM #MedTwitter

Loading...

Something went wrong.


Something went wrong.


United States Trends