#pyomyositis resultados da pesquisa

Clinical Characteristics and Management of Children & Adolescents Hospitalized With #Pyomyositis Study in 11 Swiss children hospitals. S. aureus & S. pyogens identified as predominant causative agents. Editor's pick #PIDJ Weber S and Heininger U et al journals.lww.com/pidj/fulltext/…


New Team Approach Article in #JBJSReviews¬—How to evaluate and treat #pyomyositis in kids bit.ly/2t0UdhD

jbjs's tweet image. New Team Approach Article in #JBJSReviews¬—How to evaluate and treat #pyomyositis in kids bit.ly/2t0UdhD

An Unusual Case of #Pyomyositis in a Neutropenic Patient with #Acute Myelogenous Leukemia submissions open : bit.ly/2EQ7KN


#Pyomyositis, also known as #tropical pyomyositis or #myositis #tropicans, is a #bacterial infection of the #skeletal #muscles which results in a #pus-filled abscess. For more: sciaeon.org/bone-and-muscl… #BoneandMuscle


A rare presentation of Escherichia coli urosepsis complicated by #myositis #Pyomyositis is a purulent infection involving the skeletal musclesas a result of haematogenous spread. #Escherichia coli (E. coli) is a rare cause for pyomyositis. More Details @ bit.ly/406LHfS


If your kid w/ #pyomyositis has a travel history, consider trichinosis and cysticercosis.


Infectious #pyomyositis - Gram-positive bacteria accounted for most infections at this centre in Connecticut, and management commonly involved open or percutaneous drainage procedures. pubmed.ncbi.nlm.nih.gov/33884279/

LatikaGupta_'s tweet image. Infectious #pyomyositis - Gram-positive bacteria accounted for most infections at this centre in Connecticut, and management commonly involved open or percutaneous drainage procedures. pubmed.ncbi.nlm.nih.gov/33884279/
LatikaGupta_'s tweet image. Infectious #pyomyositis - Gram-positive bacteria accounted for most infections at this centre in Connecticut, and management commonly involved open or percutaneous drainage procedures. pubmed.ncbi.nlm.nih.gov/33884279/

📑Discover a new published study on #Pyomyositis in children and adolescents in the @PIDJournal This research explores a bacterial muscle infection that's often overlooked in temperate regions but is now on the rise. ➡️ bit.ly/47AQNFL #PaediatricInfectiousDiseases

ESPIDsociety's tweet image. 📑Discover a new published study on #Pyomyositis in children and adolescents in the @PIDJournal  

This research explores a bacterial muscle infection that's often overlooked in temperate regions but is now on the rise. 

➡️ bit.ly/47AQNFL
 #PaediatricInfectiousDiseases

#Influenza and Coxsackie are the most common causes of viral #pyomyositis. Influenza B especially involves the calf.


#Pyomyositis; A Rare but Dangerous Adverse Effect of Anabolic Steroids was written by Kostidou E.

AnnalsMedical's tweet image. #Pyomyositis; A Rare but Dangerous Adverse Effect of Anabolic Steroids was written by Kostidou E.
AnnalsMedical's tweet image. #Pyomyositis; A Rare but Dangerous Adverse Effect of Anabolic Steroids was written by Kostidou E.

An Unusual Case of Pyomyositis in a Neutropenic Patient with Acute Myelogenous Leukemia To access the article: hilarispublisher.com/open-access/an… #AcuteMyelogenousLeukemia #Pyomyositis


Weakness in a limb along with the four "ors" of Galen suggests #pyomyositis.


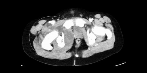
🧫JASPI Case Report (Vol. 3 Issue 4) 🦠MRSA Pyomyositis in Chronic Granulomatous Disease. 📌CT: Multiloculated gluteal & thigh abscesses. 🔬Culture: MRSA. 💊Treated with drainage + targeted antibiotics. 🔗 doi.org/10.62541/jaspi… #MRSA #ICMRDelhi #Pyomyositis #InfectiousDiseases

SASPI_2023's tweet image. 🧫JASPI Case Report (Vol. 3 Issue 4)
🦠MRSA Pyomyositis in Chronic Granulomatous Disease.
📌CT: Multiloculated gluteal & thigh abscesses.
🔬Culture: MRSA.
💊Treated with drainage + targeted antibiotics.
🔗 doi.org/10.62541/jaspi…

#MRSA #ICMRDelhi #Pyomyositis #InfectiousDiseases

🧫JASPI Case Report (Vol. 3 Issue 4) 🦠MRSA Pyomyositis in Chronic Granulomatous Disease. 📌CT: Multiloculated gluteal & thigh abscesses. 🔬Culture: MRSA. 💊Treated with drainage + targeted antibiotics. 🔗 doi.org/10.62541/jaspi… #MRSA #ICMRDelhi #Pyomyositis #InfectiousDiseases

SASPI_2023's tweet image. 🧫JASPI Case Report (Vol. 3 Issue 4)
🦠MRSA Pyomyositis in Chronic Granulomatous Disease.
📌CT: Multiloculated gluteal & thigh abscesses.
🔬Culture: MRSA.
💊Treated with drainage + targeted antibiotics.
🔗 doi.org/10.62541/jaspi…

#MRSA #ICMRDelhi #Pyomyositis #InfectiousDiseases

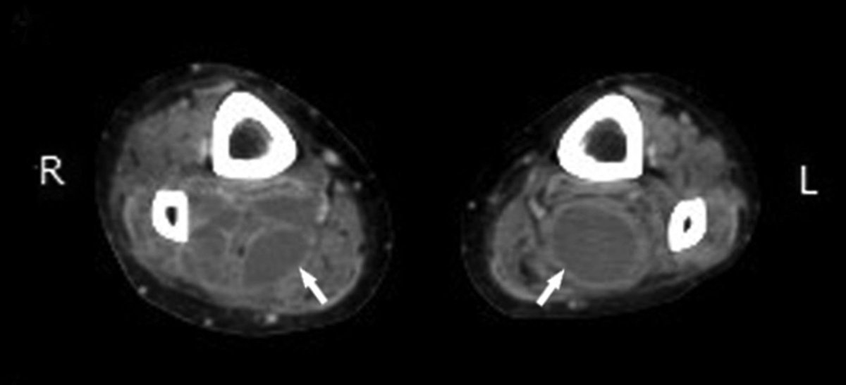
A healthy 15-year-old developed #pyomyositis—not from the usual bacteria, but from Coccidioidomycosis (#ValleyFever), a fungal infection rarely seen in muscle tissue. 📝 Read more: tinyurl.com/275r6ebh #InfectiousDisease #CaseStudy #CaseInPoint

Consultant360's tweet image. A healthy 15-year-old developed #pyomyositis—not from the usual bacteria, but from Coccidioidomycosis (#ValleyFever), a fungal infection rarely seen in muscle tissue.

📝 Read more: tinyurl.com/275r6ebh 
#InfectiousDisease #CaseStudy #CaseInPoint

Clinical Characteristics and Management of Children & Adolescents Hospitalized With #Pyomyositis Study in 11 Swiss children hospitals. S. aureus & S. pyogens identified as predominant causative agents. Editor's pick #PIDJ Weber S and Heininger U et al journals.lww.com/pidj/fulltext/…


📑Discover a new published study on #Pyomyositis in children and adolescents in the @PIDJournal This research explores a bacterial muscle infection that's often overlooked in temperate regions but is now on the rise. ➡️ bit.ly/47AQNFL #PaediatricInfectiousDiseases

ESPIDsociety's tweet image. 📑Discover a new published study on #Pyomyositis in children and adolescents in the @PIDJournal  

This research explores a bacterial muscle infection that's often overlooked in temperate regions but is now on the rise. 

➡️ bit.ly/47AQNFL
 #PaediatricInfectiousDiseases

#Pyomyositis; A Rare but Dangerous Adverse Effect of Anabolic Steroids was written by Kostidou E.

AnnalsMedical's tweet image. #Pyomyositis; A Rare but Dangerous Adverse Effect of Anabolic Steroids was written by Kostidou E.
AnnalsMedical's tweet image. #Pyomyositis; A Rare but Dangerous Adverse Effect of Anabolic Steroids was written by Kostidou E.

A rare presentation of Escherichia coli urosepsis complicated by #myositis #Pyomyositis is a purulent infection involving the skeletal musclesas a result of haematogenous spread. #Escherichia coli (E. coli) is a rare cause for pyomyositis. More Details @ bit.ly/406LHfS


Infectious #pyomyositis - Gram-positive bacteria accounted for most infections at this centre in Connecticut, and management commonly involved open or percutaneous drainage procedures. pubmed.ncbi.nlm.nih.gov/33884279/

LatikaGupta_'s tweet image. Infectious #pyomyositis - Gram-positive bacteria accounted for most infections at this centre in Connecticut, and management commonly involved open or percutaneous drainage procedures. pubmed.ncbi.nlm.nih.gov/33884279/
LatikaGupta_'s tweet image. Infectious #pyomyositis - Gram-positive bacteria accounted for most infections at this centre in Connecticut, and management commonly involved open or percutaneous drainage procedures. pubmed.ncbi.nlm.nih.gov/33884279/

New in JACEP Open: Emergency physician–performed bedside ultrasound of pyomyositis. #FOAM, #POCUS, #Pyomyositis buff.ly/3x8Mejn @EmergencyDocs, @ACEPNow, @Wiley_Health, @WileyinResearch

JACEPOpen's tweet image. New in JACEP Open: Emergency physician–performed bedside ultrasound of pyomyositis.
#FOAM, #POCUS, #Pyomyositis
buff.ly/3x8Mejn
@EmergencyDocs, @ACEPNow, @Wiley_Health, @WileyinResearch

An Unusual Case of #Pyomyositis in a Neutropenic Patient with #Acute Myelogenous Leukemia submissions open : bit.ly/2EQ7KN


An Unusual Case of #Pyomyositis in a Neutropenic Patient with #Acute Myelogenous Leukemia hilarispublisher.com/open-access/an… submissions open : bit.ly/2EQ7KN

clininfectidis's tweet image. An Unusual Case of #Pyomyositis in a Neutropenic Patient with #Acute Myelogenous Leukemia
hilarispublisher.com/open-access/an…
submissions open : bit.ly/2EQ7KN

#Pyomyositis in a Neutropenic Patient with #Acute Myelogenous Leukemia. submissions open: bit.ly/2EQ7KNI

clininfectidis's tweet image. #Pyomyositis in a Neutropenic Patient with #Acute
Myelogenous Leukemia.
submissions open: bit.ly/2EQ7KNI

An Unusual Case of #Pyomyositis in a Neutropenic Patient with #Acute Myelogenous Leukemia. For more details: bit.ly/2EQ7KNI

clininfectidis's tweet image. An Unusual Case of #Pyomyositis in a Neutropenic Patient with #Acute Myelogenous Leukemia.
For more details: bit.ly/2EQ7KNI

#Pyomyositis, also known as #tropical pyomyositis or #myositis #tropicans, is a #bacterial infection of the #skeletal #muscles which results in a #pus-filled abscess. For more: sciaeon.org/bone-and-muscl… #BoneandMuscle


Nenhum resultado para "#pyomyositis"

#Pyomyositis; A Rare but Dangerous Adverse Effect of Anabolic Steroids was written by Kostidou E.

AnnalsMedical's tweet image. #Pyomyositis; A Rare but Dangerous Adverse Effect of Anabolic Steroids was written by Kostidou E.
AnnalsMedical's tweet image. #Pyomyositis; A Rare but Dangerous Adverse Effect of Anabolic Steroids was written by Kostidou E.

📑Discover a new published study on #Pyomyositis in children and adolescents in the @PIDJournal This research explores a bacterial muscle infection that's often overlooked in temperate regions but is now on the rise. ➡️ bit.ly/47AQNFL #PaediatricInfectiousDiseases

ESPIDsociety's tweet image. 📑Discover a new published study on #Pyomyositis in children and adolescents in the @PIDJournal  

This research explores a bacterial muscle infection that's often overlooked in temperate regions but is now on the rise. 

➡️ bit.ly/47AQNFL
 #PaediatricInfectiousDiseases

🧫JASPI Case Report (Vol. 3 Issue 4) 🦠MRSA Pyomyositis in Chronic Granulomatous Disease. 📌CT: Multiloculated gluteal & thigh abscesses. 🔬Culture: MRSA. 💊Treated with drainage + targeted antibiotics. 🔗 doi.org/10.62541/jaspi… #MRSA #ICMRDelhi #Pyomyositis #InfectiousDiseases

SASPI_2023's tweet image. 🧫JASPI Case Report (Vol. 3 Issue 4)
🦠MRSA Pyomyositis in Chronic Granulomatous Disease.
📌CT: Multiloculated gluteal & thigh abscesses.
🔬Culture: MRSA.
💊Treated with drainage + targeted antibiotics.
🔗 doi.org/10.62541/jaspi…

#MRSA #ICMRDelhi #Pyomyositis #InfectiousDiseases

Infectious #pyomyositis - Gram-positive bacteria accounted for most infections at this centre in Connecticut, and management commonly involved open or percutaneous drainage procedures. pubmed.ncbi.nlm.nih.gov/33884279/

LatikaGupta_'s tweet image. Infectious #pyomyositis - Gram-positive bacteria accounted for most infections at this centre in Connecticut, and management commonly involved open or percutaneous drainage procedures. pubmed.ncbi.nlm.nih.gov/33884279/
LatikaGupta_'s tweet image. Infectious #pyomyositis - Gram-positive bacteria accounted for most infections at this centre in Connecticut, and management commonly involved open or percutaneous drainage procedures. pubmed.ncbi.nlm.nih.gov/33884279/

New Team Approach Article in #JBJSReviews¬—How to evaluate and treat #pyomyositis in kids bit.ly/2t0UdhD

jbjs's tweet image. New Team Approach Article in #JBJSReviews¬—How to evaluate and treat #pyomyositis in kids bit.ly/2t0UdhD

New in JACEP Open: Emergency physician–performed bedside ultrasound of pyomyositis. #FOAM, #POCUS, #Pyomyositis buff.ly/3x8Mejn @EmergencyDocs, @ACEPNow, @Wiley_Health, @WileyinResearch

JACEPOpen's tweet image. New in JACEP Open: Emergency physician–performed bedside ultrasound of pyomyositis.
#FOAM, #POCUS, #Pyomyositis
buff.ly/3x8Mejn
@EmergencyDocs, @ACEPNow, @Wiley_Health, @WileyinResearch

An Unusual Case of #Pyomyositis in a Neutropenic Patient with #Acute Myelogenous Leukemia hilarispublisher.com/open-access/an… submissions open : bit.ly/2EQ7KN

clininfectidis's tweet image. An Unusual Case of #Pyomyositis in a Neutropenic Patient with #Acute Myelogenous Leukemia
hilarispublisher.com/open-access/an…
submissions open : bit.ly/2EQ7KN

A healthy 15-year-old developed #pyomyositis—not from the usual bacteria, but from Coccidioidomycosis (#ValleyFever), a fungal infection rarely seen in muscle tissue. 📝 Read more: tinyurl.com/275r6ebh #InfectiousDisease #CaseStudy #CaseInPoint

Consultant360's tweet image. A healthy 15-year-old developed #pyomyositis—not from the usual bacteria, but from Coccidioidomycosis (#ValleyFever), a fungal infection rarely seen in muscle tissue.

📝 Read more: tinyurl.com/275r6ebh 
#InfectiousDisease #CaseStudy #CaseInPoint

#Pyomyositis in a Neutropenic Patient with #Acute Myelogenous Leukemia. submissions open: bit.ly/2EQ7KNI

clininfectidis's tweet image. #Pyomyositis in a Neutropenic Patient with #Acute
Myelogenous Leukemia.
submissions open: bit.ly/2EQ7KNI

Candida albicans #Pyomyositis in a Patient with Systemic #Lupus Erythematosus ow.ly/8Dpd30ipadz

jrheum's tweet image. Candida albicans #Pyomyositis in a Patient with Systemic #Lupus Erythematosus ow.ly/8Dpd30ipadz

Loading...

Something went wrong.


Something went wrong.