#raysofgray search results

Students: Where is the probe on the body (and what is the name of the probe being used)? Residents: What is your interpretation and ddx? #raysofgray #POCUS #ultrasound #FOAMed #MedEd #emergencymedicine #medicalstudent #resident


Students: What anatomy do you appreciate? What plane is being viewed? Residents: What pathology is shown? #raysofgray #POCUS #ultrasound #FOAMed #MedEd #emergencymedicine #medicalstudent #resident


Students: What probe is being used? Where is the indicator directed on the patient? Residents: What is your interpretation? #raysofgray #POCUS #ultrasound #FOAMed #MedEd #emergencymedicine #medicalstudent #resident


Students: What organ is being viewed? Residents: Which direction is the indicator pointing? #raysofgray #POCUS #ultrasound #FOAMed #MedEd #emergencymedicine #medicalstudent #resident


50-year-old male with chest pain radiating to jaw. No other symptoms. Students: What cardiac view is shown? Residents: What diagnosis is most likely? #raysofgray #POCUS #ultrasound #FOAMed #MedEd #emergencymedicine #medicalstudent #resident


Students: What probe is being used, and where on the body is it most likely? Residents: What diagnosis is consistent with this clip? #raysofgray #POCUS #ultrasound #FOAMed #MedEd #emergencymedicine #medicalstudent #resident


Students: Where is the probe on the body? Residents: What is your interpretation? #raysofgray #POCUS #ultrasound #FOAMed #MedEd #emergencymedicine #medicalstudent #resident


Students: What organ is viewed (and in what plane)? Residents: What is your diagnosis? #raysofgray #POCUS #ultrasound #FOAMed #MedEd #emergencymedicine #medicalstudent #resident


Students: What probe is being used? Where do you think it is on the body? Residents: What organ is being viewed? What is the pathology? #raysofgray #POCUS #ultrasound #FOAMed #MedEd #emergencymedicine #medicalstudent #resident


Students: What is the plane and finding shown? Residents: What is your differential for this finding? #raysofgray #POCUS #ultrasound #FOAMed #MedEd #emergencymedicine #medicalstudent #resident


Students: In what anatomical plane is this view obtained (transverse, sagittal, coronal)? Residents: What pathology is shown? #raysofgray #POCUS #ultrasound #FOAMed #MedEd #emergencymedicine #medicalstudent #resident


Students: Where is the probe? Residents: What diagnosis is most likely? #raysofgray #POCUS #ultrasound #FOAMed #MedEd #emergencymedicine #medicalstudent #resident


Students: Which probe is being used (and where is it)? Residents: What procedure is being performed? #raysofgray #POCUS #ultrasound #FOAMed #MedEd #emergencymedicine #medicalstudent #resident


ECOGRAFÍA CLINICA OCULAR Desprendimiento de retina (mejor pronóstico para el paciente cuando la retina todavía está adherida a la mácula) #raysofgray #POCUS #ultrasound #FOAMed #MedEd #emergencymedicine #medicalstudent #resident

RESOLUTION: S: Eyeball/Globe/Small Part/Small Organ R: Mac ON Retinal Detachment (better prognosis for patient when the retina is still attached to the macula) #raysofgray #POCUS #ultrasound #FOAMed #MedEd #emergencymedicine #medicalstudent #resident



Students: What cardiac view is shown here? What modes are used? Residents: What pathology(ies) do you appreciate? #raysofgray #POCUS #ultrasound #FOAMed #MedEd #emergencymedicine #medicalstudent #resident


Students: What ultrasound modes are being used? Residents: What is demonstrated? #raysofgray #POCUS #ultrasound #FOAMed #MedEd #emergencymedicine #medicalstudent #resident


Students: Which probe is being used (and where is it)? Residents: What procedure is being performed? #raysofgray #POCUS #ultrasound #FOAMed #MedEd #emergencymedicine #medicalstudent #resident


Students: What organ is viewed (and in what plane)? Residents: What is your diagnosis? #raysofgray #POCUS #ultrasound #FOAMed #MedEd #emergencymedicine #medicalstudent #resident


Students: What organ is being viewed? Residents: Which direction is the indicator pointing? #raysofgray #POCUS #ultrasound #FOAMed #MedEd #emergencymedicine #medicalstudent #resident


Students: What probe is being used? Where is the indicator directed on the patient? Residents: What is your interpretation? #raysofgray #POCUS #ultrasound #FOAMed #MedEd #emergencymedicine #medicalstudent #resident


Students: What probe is being used? Where do you think it is on the body? Residents: What organ is being viewed? What is the pathology? #raysofgray #POCUS #ultrasound #FOAMed #MedEd #emergencymedicine #medicalstudent #resident


Students: Where is the probe? Residents: What procedure is being performed? #raysofgray #POCUS #ultrasound #FOAMed #MedEd #emergencymedicine #medicalstudent #resident


Students: What probe is being used, and where on the body is it most likely? Residents: What diagnosis is consistent with this clip? #raysofgray #POCUS #ultrasound #FOAMed #MedEd #emergencymedicine #medicalstudent #resident


Students: Where is the probe? Residents: What diagnosis is most likely? #raysofgray #POCUS #ultrasound #FOAMed #MedEd #emergencymedicine #medicalstudent #resident


50-year-old male with chest pain radiating to jaw. No other symptoms. Students: What cardiac view is shown? Residents: What diagnosis is most likely? #raysofgray #POCUS #ultrasound #FOAMed #MedEd #emergencymedicine #medicalstudent #resident


Students: What is the plane and finding shown? Residents: What is your differential for this finding? #raysofgray #POCUS #ultrasound #FOAMed #MedEd #emergencymedicine #medicalstudent #resident


Students: In what anatomical plane is this view obtained (transverse, sagittal, coronal)? Residents: What pathology is shown? #raysofgray #POCUS #ultrasound #FOAMed #MedEd #emergencymedicine #medicalstudent #resident


Students: What probe is being used? What tissues do you recognize? Residents: What pathology is shown? #raysofgray #POCUS #ultrasound #FOAMed #MedEd #emergencymedicine #medicalstudent #resident


Students: What anatomy do you appreciate? What plane is being viewed? Residents: What pathology is shown? #raysofgray #POCUS #ultrasound #FOAMed #MedEd #emergencymedicine #medicalstudent #resident


RESOLUTION: This patient has dental pain. S: A linear transducer is over the patient’s lip, viewing the maxilla just above the tooth. R: There is a periapical abscess. #raysofgray #POCUS #ultrasound #FOAMed #MedEd #emergencymedicine #medicalstudent #resident


This patient has dental pain. Students: Where is the transducer? Residents: What is your interpretation? #raysofgray #POCUS #ultrasound #FOAMed #MedEd #emergencymedicine #medicalstudent #resident


RESOLUTION: S: A high frequency linear transducer is aligned with a tender rib. R: Interpretation = slightly displaced rib fracture #raysofgray #POCUS #ultrasound #FOAMed #MedEd #emergencymedicine #medicalstudent #resident


Students: What transducer is being used and where is it located on the patient? Residents: What is your interpretation? #raysofgray #POCUS #ultrasound #FOAMed #MedEd #emergencymedicine #medicalstudent #resident


RESOLUTION: S: The glenohumeral joint is shown from a posterior approach. Residents: There is no dislocation, but there is a humeral head fracture. #raysofgray #POCUS #ultrasound #FOAMed #MedEd #emergencymedicine #medicalstudent #resident


This patient has pain over the region being scanned. Students: What anatomy is shown? Residents: What is your interpretation? #raysofgray #POCUS #ultrasound #FOAMed #MedEd #emergencymedicine #medicalstudent #resident


Students: What anatomy (organ and vasculature) is being viewed? Residents: What is the pathology? #raysofgray #POCUS #ultrasound #FOAMed #MedEd #emergencymedicine #medicalstudent #resident


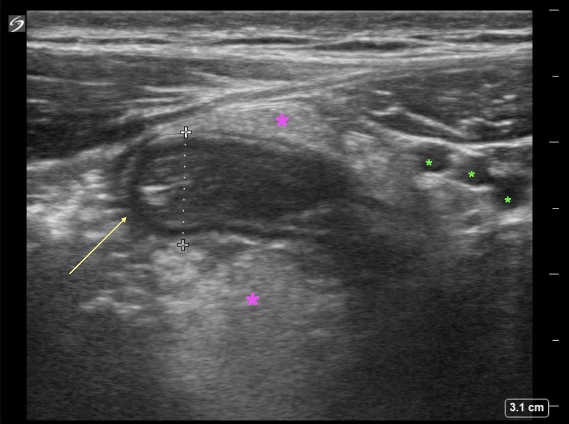
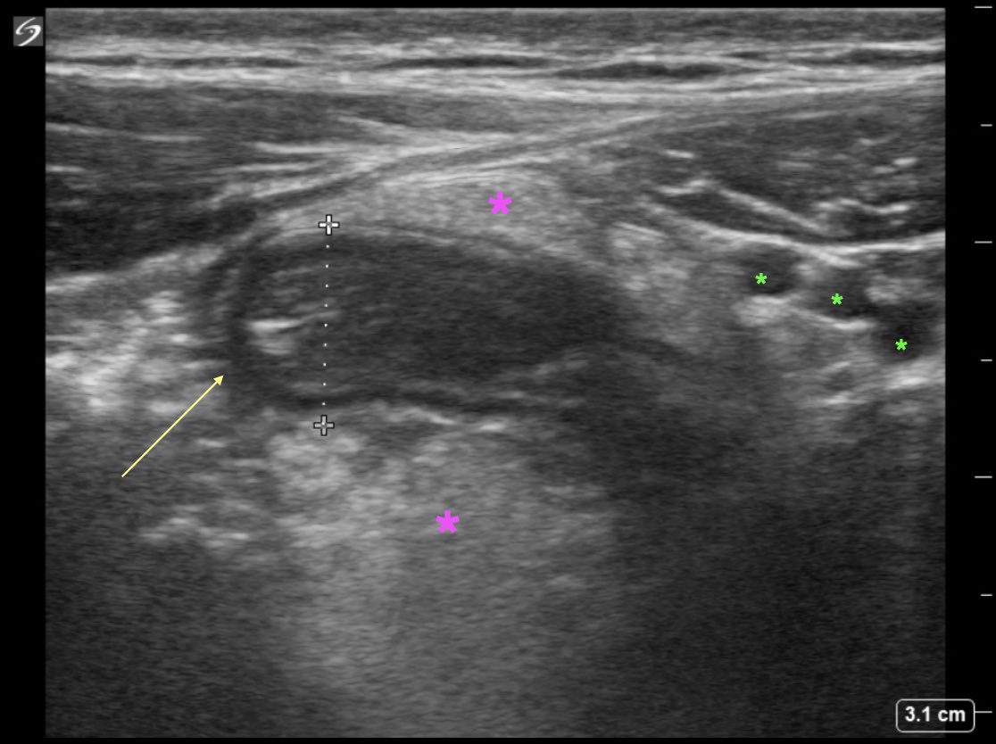
RESOLUTION S: 9mm structure (yellow arrow)—>inflamed appendix (>6mm, non compressible, no peristalsis, blind ended) R: pink stars—>inflamed fat, green stars —>inferior epigastric vessels #raysofgray #POCUS #ultrasound #FOAMed #MedEd #emergencymedicine #medicalstudent #resident

EUSmkh's tweet image. RESOLUTION
S: 9mm structure (yellow arrow)—>inflamed appendix (>6mm, non compressible, no peristalsis, blind ended)
R: pink stars—>inflamed fat, green stars —>inferior epigastric vessels
#raysofgray #POCUS #ultrasound #FOAMed #MedEd #emergencymedicine #medicalstudent #resident

RESOLUTION: S: Morison’s pouch & pelvis views of FAST —> free peritoneal fluid. R: atraumatic setting suggests fluid overload from CHF, renal dz, pancreatitis; or liver failure/cirrhosis. #raysofgray #POCUS #ultrasound #FOAMed #MedEd #emergencymedicine #medicalstudent #resident

EUSmkh's tweet image. RESOLUTION:
S: Morison’s pouch & pelvis views of FAST —> free peritoneal fluid.
R: atraumatic setting suggests fluid overload from CHF, renal dz, pancreatitis; or liver failure/cirrhosis.
#raysofgray #POCUS #ultrasound #FOAMed #MedEd #emergencymedicine #medicalstudent #resident

Students: What tissue structures do you see in this image? Residents: What is causing this person’s pain? #raysofgray #POCUS #ultrasound #FOAMed #MedEd #emergencymedicine #medicalstudent #resident

EUSmkh's tweet image. Students: What tissue structures do you see in this image?
Residents: What is causing this person’s pain?
#raysofgray #POCUS #ultrasound #FOAMed #MedEd #emergencymedicine #medicalstudent #resident

Students: Where is the transducer? What is being viewed? Residents: What is your interpretation? #raysofgray #POCUS #ultrasound #FOAMed #MedEd #emergencymedicine #medicalstudent #resident

EUSmkh's tweet image. Students: Where is the transducer? What is being viewed?
Residents: What is your interpretation?
#raysofgray #POCUS #ultrasound #FOAMed #MedEd #emergencymedicine #medicalstudent #resident

This 50yo F presents with chest pain at 2am. Students: What is your interpretation of the ECG?  Residents: What is your next step?  #raysofgray #POCUS #ultrasound #FOAMed #MedEd #emergencymedicine #medicalstudent #resident

EUSmkh's tweet image. This 50yo F presents with chest pain at 2am.
Students: What is your interpretation of the ECG? 
Residents: What is your next step? 
#raysofgray #POCUS #ultrasound #FOAMed #MedEd #emergencymedicine #medicalstudent #resident

Students: What structure is represented by the yellow arrow (measuring 9mm)? Residents: What is represented by the pink stars? What structures are the green stars indicating? #raysofgray #POCUS #ultrasound #FOAMed #MedEd #emergencymedicine #medicalstudent #resident

EUSmkh's tweet image. Students: What structure is represented by the yellow arrow (measuring 9mm)?
Residents: What is represented by the pink stars? What structures are the green stars indicating?
#raysofgray #POCUS #ultrasound #FOAMed #MedEd #emergencymedicine #medicalstudent #resident

Novel ultrasound application for assessing gunshot wound depth and course: tinyurl.com/y5v62hdx #raysofgray #POCUS #ultrasound #FOAMed #MedEd #emergencymedicine #medicalstudent #resident

EUSmkh's tweet image. Novel ultrasound application for assessing gunshot wound depth and course: tinyurl.com/y5v62hdx

#raysofgray #POCUS #ultrasound #FOAMed #MedEd #emergencymedicine #medicalstudent #resident

Loading...

Something went wrong.


Something went wrong.