#studies search results

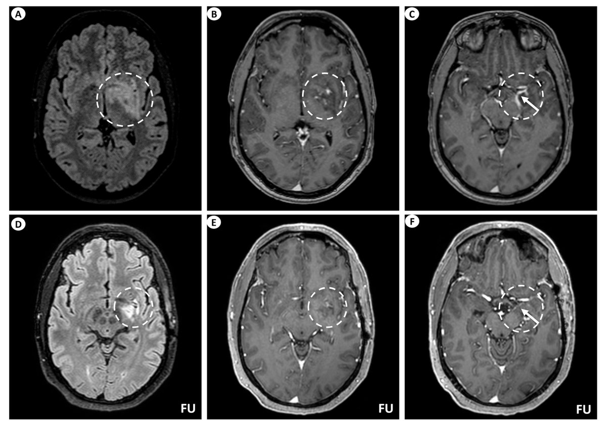
Glad to share this paper @MediPharma_MDPI "Unveiling GFAP Astrocytopathy: Insights from Case #Studies and a Comprehensive #Review of the Literature" mdpi.com/2073-4468/13/4…

Antibodies_MDPI's tweet image. Glad to share this paper @MediPharma_MDPI 

"Unveiling GFAP Astrocytopathy: Insights from Case #Studies and a Comprehensive #Review of the Literature"

mdpi.com/2073-4468/13/4…

ೀ⋆。˚ #studytwt #studies #vestibulanda ; ࣭ ࣪ ֢ㅤ • foco no Enem e vestibular! ࣭ ࣪ ֢ㅤ• 2009/ 3⁰ EM ࣭ ࣪ ֢ • curso atual: Aprova total. • Direito 𓍝 °₊·♡⋆⑅˚₊ DC comics, Livros, F1, música, animes! ⋆.𐙚˚


Estudos noturnos de ontem depois de procrastinar o dia inteiro 💀 #studies #studylog #studytwt #studytwtbr

readnaro's tweet image. Estudos noturnos de ontem depois de procrastinar o dia inteiro 💀
#studies #studylog #studytwt #studytwtbr
readnaro's tweet image. Estudos noturnos de ontem depois de procrastinar o dia inteiro 💀
#studies #studylog #studytwt #studytwtbr

a bunch of 30mins #studies

karack1871's tweet image. a bunch of 30mins #studies

Birds who use more energy for parenthood die younger: talker.news/2026/04/15/bir… #birds #wildlife #studies

talker_news's tweet image. Birds who use more energy for parenthood die younger: talker.news/2026/04/15/bir… 

#birds #wildlife #studies

Came back after a short break, so day 40! #studies

Lindriart's tweet image. Came back after a short break, so day 40!
#studies

Study finds perfectionists happier at work when their boss does this: talker.news/2026/04/13/stu… #work #careers #studies

talker_news's tweet image. Study finds perfectionists happier at work when their boss does this: 
talker.news/2026/04/13/stu… 

#work #careers #studies

#Congratulations to the #Center for José Martí #Studies Affiliate on its 10th #Anniversary! I enjoyed #celebrating with those who have contributed to the #study of #JoseMarti's #life and #legacy. #Cuba @UofTampa

dpedreira's tweet image. #Congratulations to the #Center for José Martí #Studies Affiliate on its 10th #Anniversary! I enjoyed #celebrating with those who have contributed to the #study of #JoseMarti's #life and #legacy. #Cuba @UofTampa
dpedreira's tweet image. #Congratulations to the #Center for José Martí #Studies Affiliate on its 10th #Anniversary! I enjoyed #celebrating with those who have contributed to the #study of #JoseMarti's #life and #legacy. #Cuba @UofTampa

New research suggests cavemen hunted turtles, but not to eat: talker.news/2026/04/13/new… #turtles #studies

talker_news's tweet image. New research suggests cavemen hunted turtles, but not to eat:  talker.news/2026/04/13/new… 

#turtles #studies

#studies show that everyone in the world said Hi toda. Hi


me rn with wha after being so inactive on this account because of #studies 😔 pls i need more wha moots lalo na mga noypi pls pls sang lupalop ko ba kayo mahahanap

trying to join new fandoms none of ur friends are in

alwaybseen's tweet image. trying to join new fandoms none of ur friends are in


తన జీవితానికి ఆలంబనగా నిలిచిన వాటర్ ట్యాంక్ ‌గురించి మాట్లాడుతూ వెన్నెల భావోద్వేగానికి గురయ్యారు. #watertank #hyderabad #studies bbc.com/telugu/article…


It’s impossible to protect a natural #landscape without properly understanding it. This is why we pay much attention to research. 9 peer-reviewed #studies were prepared as part of our project. Here you can find the detailed information about all of them: wildpolesia.org/our-work/studi….


often opaque internal dynamics shaping decisions in #Tehran. Our guest: Lana Ravandi-Fadai, Head of the #Eastern Cultural Center at the Institute of Oriental #Studies of the #Russian Academy of Sciences. Watch now — this one reveals more than you expect: youtu.be/_Vdeg6g-0RY?si…

BonjourGeorgi's tweet card. СОЮЗНЫЙ

youtube.com

YouTube

СОЮЗНЫЙ


Fruit bowls! #art #studies

Dskaia's tweet image. Fruit bowls!
#art #studies

#Congratulations to the #Center for José Martí #Studies Affiliate on its 10th #Anniversary! I enjoyed #celebrating with those who have contributed to the #study of #JoseMarti's #life and #legacy. #Cuba @UofTampa

dpedreira's tweet image. #Congratulations to the #Center for José Martí #Studies Affiliate on its 10th #Anniversary! I enjoyed #celebrating with those who have contributed to the #study of #JoseMarti's #life and #legacy. #Cuba @UofTampa
dpedreira's tweet image. #Congratulations to the #Center for José Martí #Studies Affiliate on its 10th #Anniversary! I enjoyed #celebrating with those who have contributed to the #study of #JoseMarti's #life and #legacy. #Cuba @UofTampa

తన జీవితానికి ఆలంబనగా నిలిచిన వాటర్ ట్యాంక్ ‌గురించి మాట్లాడుతూ వెన్నెల భావోద్వేగానికి గురయ్యారు. #watertank #hyderabad #studies bbc.com/telugu/article…


The findings will help scientists refine theoretical models of magnetic reconnection to better understand how solar storms are powered: talker.news/2026/04/16/nas… #sun #studies #research #science #NASA


Studies are often used to prove health claims—but they don’t always tell the full story. In this short clip, we break down why research can be misleading and why real-world results matter just as much. #health #studies #nutrition #science #wellness #healthtruth #research #natural


Study links air pollution and high temps to more migraine attacks: talker.news/2026/04/15/stu… #healthnews #health #studies

talker_news's tweet image. Study links air pollution and high temps to more migraine attacks: talker.news/2026/04/15/stu… 

#healthnews #health #studies

Glad to share this paper @MediPharma_MDPI "Unveiling GFAP Astrocytopathy: Insights from Case #Studies and a Comprehensive #Review of the Literature" mdpi.com/2073-4468/13/4…

Antibodies_MDPI's tweet image. Glad to share this paper @MediPharma_MDPI 

"Unveiling GFAP Astrocytopathy: Insights from Case #Studies and a Comprehensive #Review of the Literature"

mdpi.com/2073-4468/13/4…

Wait a second...cutting off the genitals of children doesn't cure their mental health? Ya don't say...



Birds who use more energy for parenthood die younger: talker.news/2026/04/15/bir… #birds #wildlife #studies

talker_news's tweet image. Birds who use more energy for parenthood die younger: talker.news/2026/04/15/bir… 

#birds #wildlife #studies

Discover real-world #case #studies proving the ROI of answer engine optimization in 2026. See how brands turn AI visibility into strong business growth with smart strategies and actionable insights. 👇 radaar.io/resources-121/…


#studies show that everyone in the world said Hi toda. Hi


New research suggests cavemen hunted turtles, but not to eat: talker.news/2026/04/13/new… #turtles #studies

talker_news's tweet image. New research suggests cavemen hunted turtles, but not to eat:  talker.news/2026/04/13/new… 

#turtles #studies

Estudos noturnos de ontem depois de procrastinar o dia inteiro 💀 #studies #studylog #studytwt #studytwtbr

readnaro's tweet image. Estudos noturnos de ontem depois de procrastinar o dia inteiro 💀
#studies #studylog #studytwt #studytwtbr
readnaro's tweet image. Estudos noturnos de ontem depois de procrastinar o dia inteiro 💀
#studies #studylog #studytwt #studytwtbr

I'm already at work on the Essos fashion study series. It's gonna be way more long and complex than the previous one, so I decided to start the research for the references and start it for June. Are you excited? 👀 #asoiaf #essos #studies #fashion #illustrations

Chiarart13's tweet image. I'm already at work on the Essos fashion study series. 
It's gonna be way more long and complex than the previous one, so I decided to start the research for the references and start it for June. 
Are you excited? 👀
#asoiaf #essos #studies #fashion #illustrations

Today I wanted to draw Peter Cushing, but it turned out to be King Charles in his younger years. #watercolor #studies #sketches #traditionalart

GlassZooye's tweet image. Today I wanted to draw Peter Cushing, but it turned out to be King Charles in his younger years. 
#watercolor #studies #sketches #traditionalart
GlassZooye's tweet image. Today I wanted to draw Peter Cushing, but it turned out to be King Charles in his younger years. 
#watercolor #studies #sketches #traditionalart

a bunch of 30mins #studies

karack1871's tweet image. a bunch of 30mins #studies

Ancient Naval Rams: Inspiring lecture by Stephen DeCasien @IHAC_NENU, donating a 3D-printed model to our study collection! #ancient #warfare #studies #archaeology #global #antiquity

Sveneca's tweet image. Ancient Naval Rams: Inspiring lecture by Stephen DeCasien @IHAC_NENU, donating a 3D-printed model to our study collection! #ancient #warfare #studies #archaeology #global #antiquity
Sveneca's tweet image. Ancient Naval Rams: Inspiring lecture by Stephen DeCasien @IHAC_NENU, donating a 3D-printed model to our study collection! #ancient #warfare #studies #archaeology #global #antiquity
Sveneca's tweet image. Ancient Naval Rams: Inspiring lecture by Stephen DeCasien @IHAC_NENU, donating a 3D-printed model to our study collection! #ancient #warfare #studies #archaeology #global #antiquity
Sveneca's tweet image. Ancient Naval Rams: Inspiring lecture by Stephen DeCasien @IHAC_NENU, donating a 3D-printed model to our study collection! #ancient #warfare #studies #archaeology #global #antiquity

Who's Got The Power? Studies Of Male And Female Primates Show It's Not Simple #Who's #Power? #Studies #Male #Female #Primates #Show #It's #Simple #USA #Russia #Biden #Ukraine #War #Palestine #Gaza #Israel # dlvr.it/TN6pk6

MENAFN's tweet image. Who's Got The Power? Studies Of Male And Female Primates Show It's Not Simple #Who's #Power? #Studies #Male #Female #Primates #Show #It's #Simple #USA #Russia #Biden #Ukraine #War #Palestine #Gaza #Israel # dlvr.it/TN6pk6

Some Pinterest #studies

sotomojito's tweet image. Some Pinterest #studies
sotomojito's tweet image. Some Pinterest #studies
sotomojito's tweet image. Some Pinterest #studies

📊 In the 2024/25 academic year, students most frequently chose narrow fields in the following subgroups: 💼 Business and administration 🩺 Medical 🌍 Social More data in the #StatisticsPoland publication 🔗 tinyurl.com/4uh8x6uu #education #studies

StatPoland's tweet image. 📊 In the 2024/25 academic year, students most frequently chose narrow fields in the following subgroups:

💼 Business and administration
🩺 Medical
🌍 Social

More data in the #StatisticsPoland publication
🔗 tinyurl.com/4uh8x6uu

#education #studies

Our team recently supported the @DirectEBP with a session of mock interviews for 110 Year-10 Whittington Green School #pupils to help build their confidence as they progress in their #studies and plan for their future #careers. @EastMidsCCA @ChesterfieldAC #Chesterfield

GFTomlinson's tweet image. Our team recently supported the @DirectEBP with a session of mock interviews for 110 Year-10 Whittington Green School #pupils to help build their confidence as they progress in their #studies and plan for their future #careers. 

@EastMidsCCA @ChesterfieldAC #Chesterfield
GFTomlinson's tweet image. Our team recently supported the @DirectEBP with a session of mock interviews for 110 Year-10 Whittington Green School #pupils to help build their confidence as they progress in their #studies and plan for their future #careers. 

@EastMidsCCA @ChesterfieldAC #Chesterfield
GFTomlinson's tweet image. Our team recently supported the @DirectEBP with a session of mock interviews for 110 Year-10 Whittington Green School #pupils to help build their confidence as they progress in their #studies and plan for their future #careers. 

@EastMidsCCA @ChesterfieldAC #Chesterfield

Very lazy days 32-34 #studies

Lindriart's tweet image. Very lazy days 32-34 
#studies

Came back after a short break, so day 40! #studies

Lindriart's tweet image. Came back after a short break, so day 40!
#studies

Loading...

Something went wrong.


Something went wrong.