#upperteeth search results

#FunFactMonday: When your #upperteeth fit slightly over your #lowerteeth and the points of your #molars fit the grooves of its opposite molars, congratulations🎉🎉🎉 You have #healthybite! Otherwise, give us a call. #theburbankdentist #burbank

ChanandSegulyev's tweet image. #FunFactMonday: When your #upperteeth fit slightly over your #lowerteeth and the points of your #molars fit the grooves of its opposite molars, congratulations🎉🎉🎉 You have #healthybite! Otherwise, give us a call. #theburbankdentist #burbank

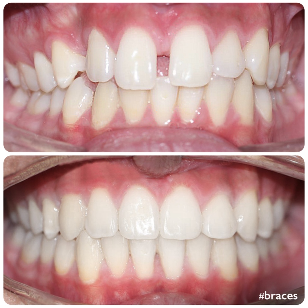
#SmileTransformed! This patient had #gaps in his #upperteeth & an #impactedcanine, affecting his #smileline. Fortunately, Dr. Teertha Karnakar our expert #orthodontist performed a surgical procedure & worked with #braces to correct the #teethmisalignment and return his smile.

doctor_michaels's tweet image. #SmileTransformed!

This patient had #gaps in his #upperteeth & an #impactedcanine, affecting his #smileline.

Fortunately, Dr. Teertha Karnakar our expert #orthodontist performed a surgical procedure & worked with #braces to correct the #teethmisalignment and return his smile.

This #patient had a case of protruding #upperteeth. Adding to their trouble was a traumatic #deepbite & spaces between the upper & lower teeth. Fortunately, our #orthodontist, Dr. Omar Said used #ceramicbraces to reduce upper teeth protrusion, giving the patient his #lostsmile.

MicrisDental's tweet image. This #patient had a case of protruding #upperteeth. Adding to their trouble was a traumatic #deepbite & spaces between the upper & lower teeth.

Fortunately, our #orthodontist, Dr. Omar Said used #ceramicbraces to reduce upper teeth protrusion, giving the patient his #lostsmile.

This #patient had a case of protruding #upperteeth. Adding to their trouble was a traumatic #deepbite & spaces between the upper & lower teeth. Fortunately, our #orthodontist, Dr. Omar Said used #ceramicbraces to reduce upper teeth protrusion, giving the patient his #lostsmile.

MicrisDental's tweet image. This #patient had a case of protruding #upperteeth. Adding to their trouble was a traumatic #deepbite & spaces between the upper & lower teeth.

Fortunately, our #orthodontist, Dr. Omar Said used #ceramicbraces to reduce upper teeth protrusion, giving the patient his #lostsmile.

#SmileTransformed! This patient had #gaps in his #upperteeth & an #impactedcanine, affecting his #smileline. Fortunately, Dr. Teertha Karnakar our expert #orthodontist performed a surgical procedure & worked with #braces to correct the #teethmisalignment and return his smile.

doctor_michaels's tweet image. #SmileTransformed!

This patient had #gaps in his #upperteeth & an #impactedcanine, affecting his #smileline.

Fortunately, Dr. Teertha Karnakar our expert #orthodontist performed a surgical procedure & worked with #braces to correct the #teethmisalignment and return his smile.

#SmileTransformed! This patient had #gaps in his #upperteeth & an #impactedcanine, affecting his #smileline. Fortunately, Dr. Teertha Karnakar our expert #orthodontist performed a surgical procedure & worked with #braces to correct the #teethmisalignment and return his smile.

doctor_michaels's tweet image. #SmileTransformed!

This patient had #gaps in his #upperteeth & an #impactedcanine, affecting his #smileline.

Fortunately, Dr. Teertha Karnakar our expert #orthodontist performed a surgical procedure & worked with #braces to correct the #teethmisalignment and return his smile.

This #patient had a case of protruding #upperteeth. Adding to their trouble was a traumatic #deepbite & spaces between the upper & lower teeth. Fortunately, our #orthodontist, Dr. Omar Said used #ceramicbraces to reduce upper teeth protrusion, giving the patient his #lostsmile.

MicrisDental's tweet image. This #patient had a case of protruding #upperteeth. Adding to their trouble was a traumatic #deepbite & spaces between the upper & lower teeth.

Fortunately, our #orthodontist, Dr. Omar Said used #ceramicbraces to reduce upper teeth protrusion, giving the patient his #lostsmile.

#FunFactMonday: When your #upperteeth fit slightly over your #lowerteeth and the points of your #molars fit the grooves of its opposite molars, congratulations🎉🎉🎉 You have #healthybite! Otherwise, give us a call. #theburbankdentist #burbank

ChanandSegulyev's tweet image. #FunFactMonday: When your #upperteeth fit slightly over your #lowerteeth and the points of your #molars fit the grooves of its opposite molars, congratulations🎉🎉🎉 You have #healthybite! Otherwise, give us a call. #theburbankdentist #burbank

Loading...

Something went wrong.


Something went wrong.