AzeneMD's profile picture. Vascular and interventional radiologist practicing at Gundersen Health System in La Crosse, WI #iRad

Ezana Azene MD PhD

@AzeneMD

Vascular and interventional radiologist practicing at Gundersen Health System in La Crosse, WI #iRad

In Episode 65 Dr. Dunleavy and I chat about the challenges and importance of addressing Interventional Radiology shortages in small and rural communities, like those served by Gundersen Health System. @emplifyghs @SIRspecialists @LaCrosseWI buzzsprout.com/846361/episode…

AzeneMD's tweet card. Episode 65: Small and rural IR practices with Dana Dunleavy, MD - The...

buzzsprout.com

Episode 65: Small and rural IR practices with Dana Dunleavy, MD - The...


If you’re age 18 or older, have been diagnosed with a #bloodclot and still experience leg fatigue or swelling, you might be a fit for the #CTRACT study: bloodclotstudy.wustl.edu/c-tract/

AzeneMD's tweet image. If you’re age 18 or older, have been diagnosed with a #bloodclot and still experience leg fatigue
or swelling, you might be a fit for the #CTRACT study: bloodclotstudy.wustl.edu/c-tract/

Carefully evaluating patients who are treated in #clinicalresearch studies is the best way for doctors to learn what the best treatments are for specific #medical conditions. Learn more here: bloodclotstudy.wustl.edu/c-tract/ #patientcare

AzeneMD's tweet image. Carefully evaluating patients who are treated in #clinicalresearch studies is the best way for doctors to learn what the best treatments are for specific #medical conditions. Learn more here: bloodclotstudy.wustl.edu/c-tract/ #patientcare

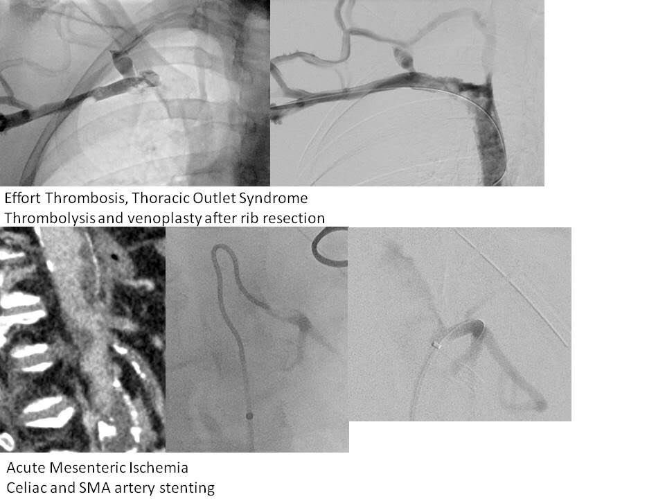
IR’s do everything. Provide tremendous value to their practices, hospitals, and healthcare. No other procedural specialty can provide the same depth and breadth as IR. This is only half of the procedures performed by 1 IR in 1 day on 9/20; and it’s routine. @SIRspecialists #IRad

AzeneMD's tweet image. IR’s do everything. Provide tremendous value to their practices, hospitals, and healthcare. No other procedural specialty can provide the same depth and breadth as IR. This is only half of the procedures performed by 1 IR in 1 day on 9/20; and it’s routine. @SIRspecialists #IRad
AzeneMD's tweet image. IR’s do everything. Provide tremendous value to their practices, hospitals, and healthcare. No other procedural specialty can provide the same depth and breadth as IR. This is only half of the procedures performed by 1 IR in 1 day on 9/20; and it’s routine. @SIRspecialists #IRad
AzeneMD's tweet image. IR’s do everything. Provide tremendous value to their practices, hospitals, and healthcare. No other procedural specialty can provide the same depth and breadth as IR. This is only half of the procedures performed by 1 IR in 1 day on 9/20; and it’s routine. @SIRspecialists #IRad
AzeneMD's tweet image. IR’s do everything. Provide tremendous value to their practices, hospitals, and healthcare. No other procedural specialty can provide the same depth and breadth as IR. This is only half of the procedures performed by 1 IR in 1 day on 9/20; and it’s routine. @SIRspecialists #IRad

Watch @Gundersenhealth Pulmonary Embolism Response Team educate community on PE and PERT. @PERTConsortium #irad wxow.com/story/36886136…


bit.ly/2kbNBfG Nivolumab for HCC combo w/ liver-directed therapy. Lots more research needed. @SIO_Central helping lead. #IRad


If the snare doesn't work, go straight to forceps. Why waste time? 2 yr old #FilterOut in under 10 minutes. #FilterFriday #irad

AzeneMD's tweet image. If the snare doesn't work, go straight to forceps. Why waste time? 2 yr old #FilterOut in under 10 minutes. #FilterFriday #irad
AzeneMD's tweet image. If the snare doesn't work, go straight to forceps. Why waste time? 2 yr old #FilterOut in under 10 minutes. #FilterFriday #irad

Ezana Azene MD PhD reposted

Pinhole in the wrist vs hysterectomy? @ThinkRadial TRUFE. @SIRspecialists @ask4UFE @FibroidsNoMore @SIRRFS @keithppereira

AlexCVIR's tweet image. Pinhole in the wrist vs hysterectomy? @ThinkRadial TRUFE. @SIRspecialists @ask4UFE @FibroidsNoMore @SIRRFS @keithppereira
AlexCVIR's tweet image. Pinhole in the wrist vs hysterectomy? @ThinkRadial TRUFE. @SIRspecialists @ask4UFE @FibroidsNoMore @SIRRFS @keithppereira

Inf epigast bleed, warfarin & new heart valve, radial artery access excellent option. INR 2. No wrist hematoma. #radialfirst

AzeneMD's tweet image. Inf epigast bleed, warfarin & new heart valve, radial artery access excellent option. INR 2. No wrist hematoma.  #radialfirst

Ezana Azene MD PhD reposted

#OnCall Urgent embo for spontaneous rupture of a giant renal AML. #Wunderlich #syndrome. #IRad #MIIP #justcoilit @SIRRFS


Ezana Azene MD PhD reposted

The next @PERTConsortium webinar is 10 days away! Link coming soon! #vte

PERTConsortium's tweet image. The next @PERTConsortium webinar is 10 days away! Link coming soon! #vte

Ezana Azene MD PhD reposted

1977 twins: Gruentzig did 1st coronary angioplasty & Biggs Darklighter attacked the DeathStar. Coincidence? I think not. #Angio40 #StarWars

angioplastyorg's tweet image. 1977 twins: Gruentzig did 1st coronary angioplasty & Biggs Darklighter attacked the DeathStar. Coincidence? I think not. #Angio40 #StarWars

Ezana Azene MD PhD reposted

Episode 6 of Behind the Scrubs focuses on #MIIPs to treat broken bones in the back #withoutascalpel #IRad #osteoporosis #cancer


Cultivate friendship, not enmity. The Power of Making Friends with Ideological Enemies | Sean Malone fee.org/articles/makin… via @feeonline


Ezana Azene MD PhD reposted

Few women aware of UFE as a #fibroid treatment option. More on the #fibroidfix report via @Medscape. ow.ly/pCTv30f49b7


Ezana Azene MD PhD reposted

SIR report highlights lack of awareness of uterine #fibroids & treatments. Here are the top 5 findings. sirweb.org/fibroidfix #fibroidfix

SIRspecialists's tweet image. SIR report highlights lack of awareness of uterine #fibroids & treatments. Here are the top 5 findings. sirweb.org/fibroidfix #fibroidfix

2017 Cancer Programs Conference ongoing. Need more IO's to join their local Commission on Cancer. @CoC_ACS @SIO_Central #cancerprogramsday

AzeneMD's tweet image. 2017 Cancer Programs Conference ongoing. Need more IO's to join their local Commission on Cancer. @CoC_ACS @SIO_Central #cancerprogramsday
AzeneMD's tweet image. 2017 Cancer Programs Conference ongoing. Need more IO's to join their local Commission on Cancer. @CoC_ACS @SIO_Central #cancerprogramsday
AzeneMD's tweet image. 2017 Cancer Programs Conference ongoing. Need more IO's to join their local Commission on Cancer. @CoC_ACS @SIO_Central #cancerprogramsday

Loading...

Something went wrong.


Something went wrong.