#cytopath search results

Free access🔬 | Comparison of conventional and novel rotational FNA needles using conventional microscopy and image analysis to quantitatively assess yield acsjournals.onlinelibrary.wiley.com/doi/full/10.10… #CytoPath @SMonaco3

CancerCytopath's tweet image. Free access🔬 | Comparison of conventional and novel rotational FNA needles using conventional microscopy and image analysis to quantitatively assess yield

acsjournals.onlinelibrary.wiley.com/doi/full/10.10…

#CytoPath @SMonaco3

#PathQuiz 🔬🔬 #CytoPath A) Candida Species B) Trichomonas vaginalis C) Bacterial Vaginosis D) Actinomyces #Pathology #Microbiology Clue in caption 🧐

DrCycloPath's tweet image. #PathQuiz 🔬🔬 #CytoPath

A) Candida Species
B) Trichomonas vaginalis
C) Bacterial Vaginosis
D) Actinomyces

#Pathology #Microbiology Clue in caption 🧐

Yes, @CancerCytopath editors wait for interesting papers #cytopath #cytology

Submit your cutting edge manuscript to Cancer Cytopathology- the leading cytology journal from the American Cancer Society!! 😃😍😃

bfaquin's tweet image. Submit your cutting edge manuscript to Cancer Cytopathology- the leading cytology journal from the American Cancer Society!! 😃😍😃


Pt has a Parotid Mass FNA done and on Path Report: Milan IVB SUMP Resection done ⬇️ Diagnosis? 🤔 #pathx #cytopath #pathtwitter #ent #headandneck #ops #salivarygland #medx #surgery

Path4People's tweet image. Pt has a Parotid Mass

FNA done and on Path Report: Milan IVB SUMP

Resection done ⬇️ 

Diagnosis? 🤔 

#pathx #cytopath #pathtwitter #ent #headandneck #ops #salivarygland #medx #surgery
Path4People's tweet image. Pt has a Parotid Mass

FNA done and on Path Report: Milan IVB SUMP

Resection done ⬇️ 

Diagnosis? 🤔 

#pathx #cytopath #pathtwitter #ent #headandneck #ops #salivarygland #medx #surgery
Path4People's tweet image. Pt has a Parotid Mass

FNA done and on Path Report: Milan IVB SUMP

Resection done ⬇️ 

Diagnosis? 🤔 

#pathx #cytopath #pathtwitter #ent #headandneck #ops #salivarygland #medx #surgery

CC378. Gloomy Sunday case. Pleural effusion (cytocentrifugation). In her 60s. The patient has a systemic disease, which is easily inferred from the cytological analysis of her effusion. I don't see this often. #cytopath @DrBMcGinn @kriyer68 @smlungpathguy @DrMarkOng

pepeheffernan's tweet image. CC378. Gloomy Sunday case. Pleural effusion (cytocentrifugation). In her 60s. The patient has a systemic disease, which is easily inferred from the cytological analysis of her effusion. I don't see this often. #cytopath @DrBMcGinn @kriyer68 @smlungpathguy @DrMarkOng
pepeheffernan's tweet image. CC378. Gloomy Sunday case. Pleural effusion (cytocentrifugation). In her 60s. The patient has a systemic disease, which is easily inferred from the cytological analysis of her effusion. I don't see this often. #cytopath @DrBMcGinn @kriyer68 @smlungpathguy @DrMarkOng
pepeheffernan's tweet image. CC378. Gloomy Sunday case. Pleural effusion (cytocentrifugation). In her 60s. The patient has a systemic disease, which is easily inferred from the cytological analysis of her effusion. I don't see this often. #cytopath @DrBMcGinn @kriyer68 @smlungpathguy @DrMarkOng

Qué mejor forma de comenzar la semana que con una dosis de #CitoTour2026 @SECitologia con @drruizcor @univmiami 🔬 #cytopath #cytology #CytopathologyWorldWide

CiolyRiveroC's tweet image. Qué mejor forma de comenzar la semana que con una dosis de #CitoTour2026 @SECitologia con @drruizcor @univmiami 🔬

#cytopath #cytology #CytopathologyWorldWide
CiolyRiveroC's tweet image. Qué mejor forma de comenzar la semana que con una dosis de #CitoTour2026 @SECitologia con @drruizcor @univmiami 🔬

#cytopath #cytology #CytopathologyWorldWide

⌛ A pocas horas de la ponencia del Dr Roberto Ruiz Cordero.@drruizcor. ✅ #CitoTour2026 🗓️ Nos vemos hoy a las 4pm (CET).



Touch prep at #FrozenSection, testicular tumor. What's your diagnosis? 🔬 #CytoPath #GUPath #PathTwitter

MirunaPopescu13's tweet image. Touch prep at #FrozenSection, testicular tumor.
What's your diagnosis? 🔬

#CytoPath #GUPath #PathTwitter

Apply for the @cytopathology Foundation Patient Advocacy Grant. Funding advocacy projects in #CytoPath #cytology that educate or improve patient care in gynecology or other cancers. @Dra_Cells @EfcsYoung

💙 The ASC Foundation funds a Patient Advocacy Grant, this grant ($10,000) is for ongoing or new advocacy projects for patients with gynecologic and other cancers, or to educate patients on the need for effective screening programs. buff.ly/MUvvA9F #cytopathology

cytopathology's tweet image. 💙 The ASC Foundation funds a Patient Advocacy Grant, this grant ($10,000) is for ongoing or new advocacy projects for patients with gynecologic and other cancers, or to educate patients on the need for effective screening programs.
buff.ly/MUvvA9F 
#cytopathology


Free to read! | A rapid turnaround time workflow for a cytological liquid biopsy assay using FNA supernatant specimens acsjournals.onlinelibrary.wiley.com/doi/10.1002/cn… @Sinchita_Roy #CytoPath

CancerCytopath's tweet image. Free to read! | A rapid turnaround time workflow for a cytological liquid biopsy assay using FNA supernatant specimens

acsjournals.onlinelibrary.wiley.com/doi/10.1002/cn…

@Sinchita_Roy #CytoPath

Free access!✨Grading MTC on FNA cytology specimens with the International Medullary Thyroid Carcinoma Grading System: A cytologic–histologic correlation acsjournals.onlinelibrary.wiley.com/doi/full/10.10… @EmoryPathology #CytoPath

CancerCytopath's tweet image. Free access!✨Grading MTC on FNA cytology specimens with the International Medullary Thyroid Carcinoma Grading System: A cytologic–histologic correlation

acsjournals.onlinelibrary.wiley.com/doi/full/10.10…

@EmoryPathology #CytoPath

This morphologic finding is more powerful than you think! Please give our latest case report a read if you have a minute. Open access in @DiagnosticCyto 🔥🔥🔥#cytopath onlinelibrary.wiley.com/doi/10.1002/dc…

smlungpathguy's tweet image. This morphologic finding is more powerful than you think! Please give our latest case report a read if you have a minute. Open access in @DiagnosticCyto 🔥🔥🔥#cytopath 

onlinelibrary.wiley.com/doi/10.1002/dc…

#CitoTour2026. 👍🏽 Excelente ponencia del Dr Roberto Ruiz-Cordero @drruizcor. #Cytology #CytoPath #PathX

duckhuca's tweet image. ✅ #CitoTour2026.
👍🏽 Excelente ponencia del Dr Roberto Ruiz-Cordero @drruizcor.

#Cytology #CytoPath #PathX
duckhuca's tweet image. ✅ #CitoTour2026.
👍🏽 Excelente ponencia del Dr Roberto Ruiz-Cordero @drruizcor.

#Cytology #CytoPath #PathX
duckhuca's tweet image. ✅ #CitoTour2026.
👍🏽 Excelente ponencia del Dr Roberto Ruiz-Cordero @drruizcor.

#Cytology #CytoPath #PathX
duckhuca's tweet image. ✅ #CitoTour2026.
👍🏽 Excelente ponencia del Dr Roberto Ruiz-Cordero @drruizcor.

#Cytology #CytoPath #PathX

#OpenAccess | Follicular neoplasms with nuclear atypia versus other types of atypia: Should follicular neoplasms be stratified according to the presence of nuclear atypia? acsjournals.onlinelibrary.wiley.com/doi/full/10.10… #CytoPath @JaylouVelez @Y_Tjendra

CancerCytopath's tweet image. #OpenAccess | Follicular neoplasms with nuclear atypia versus other types of atypia: Should follicular neoplasms be stratified according to the presence of nuclear atypia?

acsjournals.onlinelibrary.wiley.com/doi/full/10.10…

#CytoPath @JaylouVelez @Y_Tjendra

Pleural fluid #cytopath from a middle-aged woman -> ⚡️diagnosis? #PathTwitter #1picdiagnosis

MirunaPopescu13's tweet image. Pleural fluid #cytopath from a middle-aged woman -> ⚡️diagnosis?

#PathTwitter #1picdiagnosis
MirunaPopescu13's tweet image. Pleural fluid #cytopath from a middle-aged woman -> ⚡️diagnosis?

#PathTwitter #1picdiagnosis

CC382. What antibody is it? As you can imagine, I have a cytological sample of the same case #cytopath @kriyer68 @DrBMcGinn @DrMarkOng @smlungpathguy

pepeheffernan's tweet image. CC382. What antibody is it? As you can imagine, I have a cytological sample of the same case #cytopath
@kriyer68 @DrBMcGinn @DrMarkOng @smlungpathguy

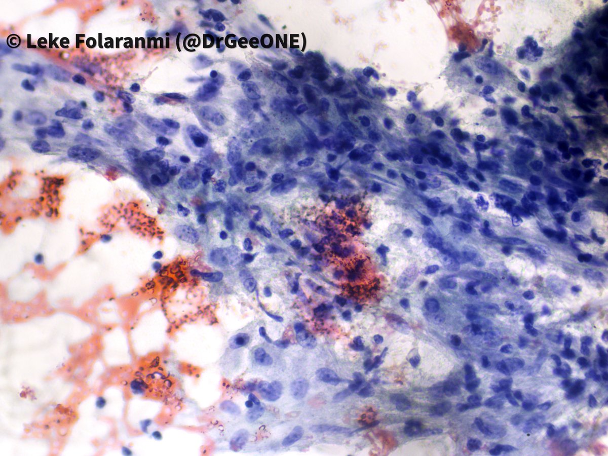
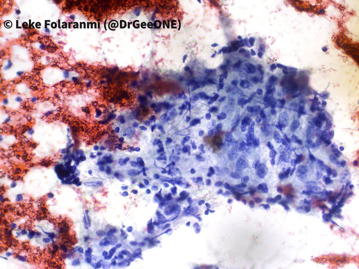
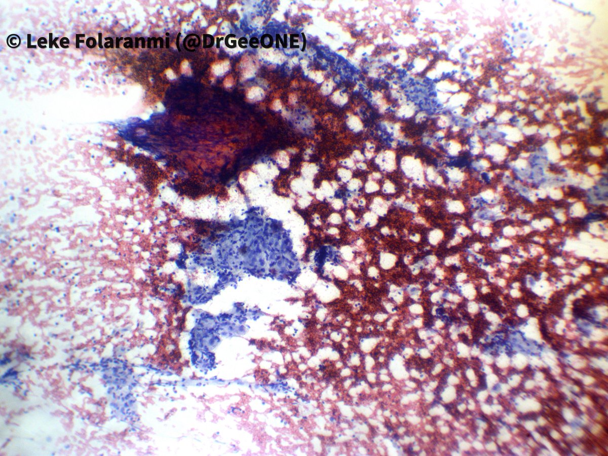
I need your thoughts on this A patient in late 20s who presented with submandibular mass of a year duration. USS suggests a benign submandibular gland mass. #Cytopath #HNPath #Pathology

DrGeeONE's tweet image. I need your thoughts on this
A patient in late 20s who presented with submandibular mass of a year duration. USS suggests a benign submandibular gland mass.
#Cytopath #HNPath #Pathology
DrGeeONE's tweet image. I need your thoughts on this
A patient in late 20s who presented with submandibular mass of a year duration. USS suggests a benign submandibular gland mass.
#Cytopath #HNPath #Pathology
DrGeeONE's tweet image. I need your thoughts on this
A patient in late 20s who presented with submandibular mass of a year duration. USS suggests a benign submandibular gland mass.
#Cytopath #HNPath #Pathology
DrGeeONE's tweet image. I need your thoughts on this
A patient in late 20s who presented with submandibular mass of a year duration. USS suggests a benign submandibular gland mass.
#Cytopath #HNPath #Pathology

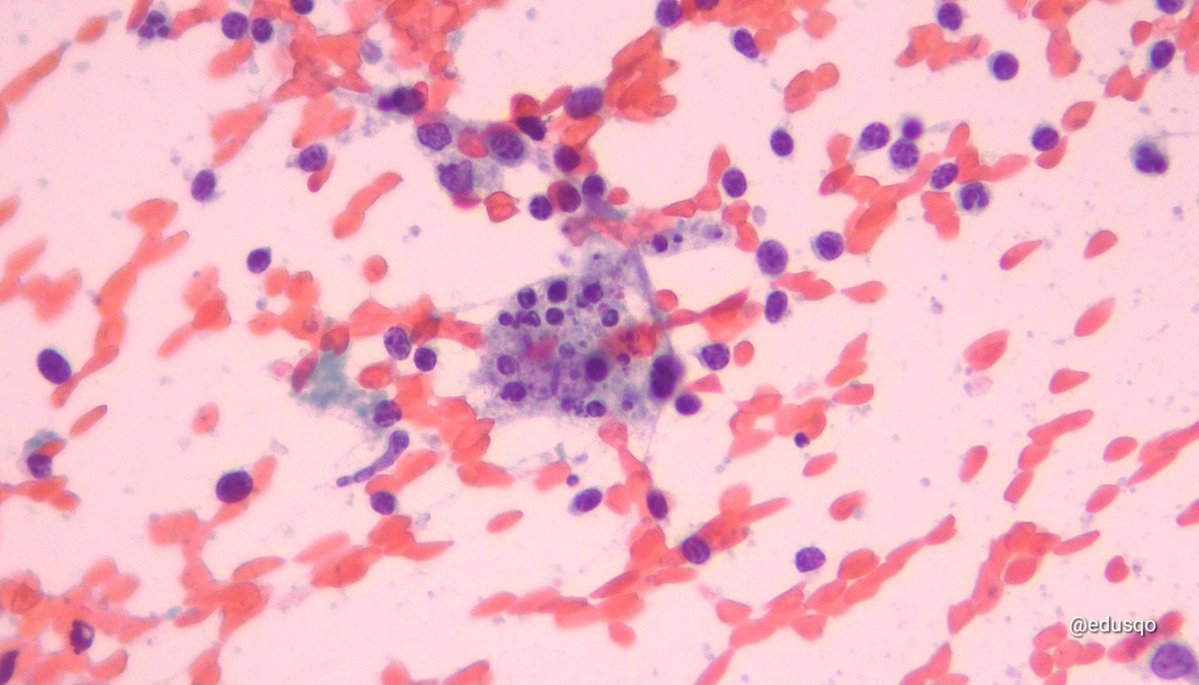
#asciticfluid #cytopath Elderly male with ca pancreas and ascitis. Any idea what this could be ? @kriyer68 @pepeheffernan @AnupamaArya12 @DrGeeONE @SumantaDas_7 @Jaysharav53

vi_monappa's tweet image. #asciticfluid #cytopath 
Elderly male with ca pancreas and ascitis. Any idea what this could be ?
@kriyer68  @pepeheffernan @AnupamaArya12 @DrGeeONE @SumantaDas_7 @Jaysharav53
vi_monappa's tweet image. #asciticfluid #cytopath 
Elderly male with ca pancreas and ascitis. Any idea what this could be ?
@kriyer68  @pepeheffernan @AnupamaArya12 @DrGeeONE @SumantaDas_7 @Jaysharav53

Free access🔬 | Comparison of conventional and novel rotational FNA needles using conventional microscopy and image analysis to quantitatively assess yield acsjournals.onlinelibrary.wiley.com/doi/full/10.10… #CytoPath @SMonaco3

CancerCytopath's tweet image. Free access🔬 | Comparison of conventional and novel rotational FNA needles using conventional microscopy and image analysis to quantitatively assess yield

acsjournals.onlinelibrary.wiley.com/doi/full/10.10…

#CytoPath @SMonaco3

Apply for the @cytopathology Foundation Patient Advocacy Grant. Funding advocacy projects in #CytoPath #cytology that educate or improve patient care in gynecology or other cancers. @Dra_Cells @EfcsYoung

💙 The ASC Foundation funds a Patient Advocacy Grant, this grant ($10,000) is for ongoing or new advocacy projects for patients with gynecologic and other cancers, or to educate patients on the need for effective screening programs. buff.ly/MUvvA9F #cytopathology

cytopathology's tweet image. 💙 The ASC Foundation funds a Patient Advocacy Grant, this grant ($10,000) is for ongoing or new advocacy projects for patients with gynecologic and other cancers, or to educate patients on the need for effective screening programs.
buff.ly/MUvvA9F 
#cytopathology


Pap smear. Endocervical zone What type of cells are impregnated in the mucus? #papsmear #cytology #cytopath

touilhisto's tweet image. Pap smear. Endocervical zone
What type of cells are impregnated in the mucus? 
#papsmear #cytology #cytopath

Yes, @CancerCytopath editors wait for interesting papers #cytopath #cytology

Submit your cutting edge manuscript to Cancer Cytopathology- the leading cytology journal from the American Cancer Society!! 😃😍😃

bfaquin's tweet image. Submit your cutting edge manuscript to Cancer Cytopathology- the leading cytology journal from the American Cancer Society!! 😃😍😃


New and #OpenAccess! | Exploring alternatives to tumor tissue for BRCA1/2 next-generation sequencing testing in high-grade serous ovarian cancer: A 34-case series of malignant ascites acsjournals.onlinelibrary.wiley.com/doi/full/10.10… #CytoPath CC: @HeymannJonas

CancerCytopath's tweet image. New and #OpenAccess! | Exploring alternatives to tumor tissue for BRCA1/2 next-generation sequencing testing in high-grade serous ovarian cancer: A 34-case series of malignant ascites

acsjournals.onlinelibrary.wiley.com/doi/full/10.10…

#CytoPath CC: @HeymannJonas

Great news for @UTMDAnderson patients. This rapid assay from FNA supernatants is now validated for clinical testing 🙌🏽 One day TAT for NGS 🧬 + save tissue for IHC 🔬= Win for everyone #CytoPath #MolDx #liquidbiopsy @lungoncdoc @DrMCabanillas @DrAManiakas @MehmetAltanMD

Free to read! | A rapid turnaround time workflow for a cytological liquid biopsy assay using FNA supernatant specimens acsjournals.onlinelibrary.wiley.com/doi/10.1002/cn… @Sinchita_Roy #CytoPath

CancerCytopath's tweet image. Free to read! | A rapid turnaround time workflow for a cytological liquid biopsy assay using FNA supernatant specimens

acsjournals.onlinelibrary.wiley.com/doi/10.1002/cn…

@Sinchita_Roy #CytoPath


#CitoTour2026. 👍🏽 Excelente ponencia del Dr Roberto Ruiz-Cordero @drruizcor. #Cytology #CytoPath #PathX

duckhuca's tweet image. ✅ #CitoTour2026.
👍🏽 Excelente ponencia del Dr Roberto Ruiz-Cordero @drruizcor.

#Cytology #CytoPath #PathX
duckhuca's tweet image. ✅ #CitoTour2026.
👍🏽 Excelente ponencia del Dr Roberto Ruiz-Cordero @drruizcor.

#Cytology #CytoPath #PathX
duckhuca's tweet image. ✅ #CitoTour2026.
👍🏽 Excelente ponencia del Dr Roberto Ruiz-Cordero @drruizcor.

#Cytology #CytoPath #PathX
duckhuca's tweet image. ✅ #CitoTour2026.
👍🏽 Excelente ponencia del Dr Roberto Ruiz-Cordero @drruizcor.

#Cytology #CytoPath #PathX

Free to read! | A rapid turnaround time workflow for a cytological liquid biopsy assay using FNA supernatant specimens acsjournals.onlinelibrary.wiley.com/doi/10.1002/cn… @Sinchita_Roy #CytoPath

CancerCytopath's tweet image. Free to read! | A rapid turnaround time workflow for a cytological liquid biopsy assay using FNA supernatant specimens

acsjournals.onlinelibrary.wiley.com/doi/10.1002/cn…

@Sinchita_Roy #CytoPath

Qué mejor forma de comenzar la semana que con una dosis de #CitoTour2026 @SECitologia con @drruizcor @univmiami 🔬 #cytopath #cytology #CytopathologyWorldWide

CiolyRiveroC's tweet image. Qué mejor forma de comenzar la semana que con una dosis de #CitoTour2026 @SECitologia con @drruizcor @univmiami 🔬

#cytopath #cytology #CytopathologyWorldWide
CiolyRiveroC's tweet image. Qué mejor forma de comenzar la semana que con una dosis de #CitoTour2026 @SECitologia con @drruizcor @univmiami 🔬

#cytopath #cytology #CytopathologyWorldWide

⌛ A pocas horas de la ponencia del Dr Roberto Ruiz Cordero.@drruizcor. ✅ #CitoTour2026 🗓️ Nos vemos hoy a las 4pm (CET).



These include: 1) direct extension of the disease to the pleura from adjacent skeletal or lung parenchymal tumors; 2) direct infiltration or implantation of tumour deposits on the pleura, and 3) lymphatic obstruction from mediastinal lymph node inflitration (3/3) #CytoPath 🔬


#CytoPath #cytology supernatant FTW No surprises 🤩

New and #OpenAccess! Ultrarapid BRAF mutation detection on supernatant cell-free DNA obtained by FNA: An accurate and expedient method for BRAF assessment in aggressive thyroid carcinomas acsjournals.onlinelibrary.wiley.com/doi/10.1002/cn… #CytoPath @carliesigel

CancerCytopath's tweet image. New and #OpenAccess! Ultrarapid BRAF mutation detection on supernatant cell-free DNA obtained by FNA: An accurate and expedient method for BRAF assessment in aggressive thyroid carcinomas

acsjournals.onlinelibrary.wiley.com/doi/10.1002/cn…

#CytoPath @carliesigel


New and #OpenAccess! Ultrarapid BRAF mutation detection on supernatant cell-free DNA obtained by FNA: An accurate and expedient method for BRAF assessment in aggressive thyroid carcinomas acsjournals.onlinelibrary.wiley.com/doi/10.1002/cn… #CytoPath @carliesigel

CancerCytopath's tweet image. New and #OpenAccess! Ultrarapid BRAF mutation detection on supernatant cell-free DNA obtained by FNA: An accurate and expedient method for BRAF assessment in aggressive thyroid carcinomas

acsjournals.onlinelibrary.wiley.com/doi/10.1002/cn…

#CytoPath @carliesigel

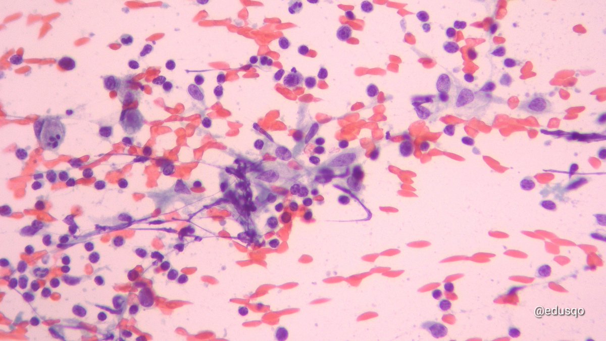
Cat scratch 🐱 disease for this #FNAFriday: ▫️Self-limited (Bartonella) ▫️Lymph node involvement ▫️Neutrophils, necrosis, granulomas and tingible body macrophages ▫️It resolves in 1-4 months ▫️Fine Needle Aspiration rules out malignancy ▫️Serology for def Dx #HemePath #CytoPath

edusqo's tweet image. Cat scratch 🐱 disease for this #FNAFriday:
▫️Self-limited (Bartonella)
▫️Lymph node involvement
▫️Neutrophils, necrosis, granulomas and tingible body macrophages
▫️It resolves in 1-4 months 
▫️Fine Needle Aspiration rules out malignancy
▫️Serology for def Dx
#HemePath #CytoPath
edusqo's tweet image. Cat scratch 🐱 disease for this #FNAFriday:
▫️Self-limited (Bartonella)
▫️Lymph node involvement
▫️Neutrophils, necrosis, granulomas and tingible body macrophages
▫️It resolves in 1-4 months 
▫️Fine Needle Aspiration rules out malignancy
▫️Serology for def Dx
#HemePath #CytoPath
edusqo's tweet image. Cat scratch 🐱 disease for this #FNAFriday:
▫️Self-limited (Bartonella)
▫️Lymph node involvement
▫️Neutrophils, necrosis, granulomas and tingible body macrophages
▫️It resolves in 1-4 months 
▫️Fine Needle Aspiration rules out malignancy
▫️Serology for def Dx
#HemePath #CytoPath
edusqo's tweet image. Cat scratch 🐱 disease for this #FNAFriday:
▫️Self-limited (Bartonella)
▫️Lymph node involvement
▫️Neutrophils, necrosis, granulomas and tingible body macrophages
▫️It resolves in 1-4 months 
▫️Fine Needle Aspiration rules out malignancy
▫️Serology for def Dx
#HemePath #CytoPath

New #OpenAccess review by N. Paul Ohori MD of @UPMCPathology et al details the fascinating history of PTC nuclei & summarizes the major events representing the paradigm shifts, classification system changes, and controversies: acsjournals.onlinelibrary.wiley.com/doi/full/10.10… #CytoPath #ENTPath

CancerCytopath's tweet image. New #OpenAccess review by N. Paul Ohori MD of @UPMCPathology et al details the fascinating history of PTC nuclei & summarizes the major events representing the paradigm shifts, classification system changes, and controversies: acsjournals.onlinelibrary.wiley.com/doi/full/10.10… #CytoPath #ENTPath

It is important "to check" new #cytopath classification systems in pediatric population

New this week! 📢 Beyond the adult standard: Tailoring the WHO Reporting System for Lymph Node Cytopathology to pediatric diagnostics and management acsjournals.onlinelibrary.wiley.com/doi/10.1002/cn… #CytoPath CC: @IvanaKholova

CancerCytopath's tweet image. New this week! 📢 Beyond the adult standard: Tailoring the WHO Reporting System for Lymph Node Cytopathology to pediatric diagnostics and management

acsjournals.onlinelibrary.wiley.com/doi/10.1002/cn…

#CytoPath CC: @IvanaKholova


New this week! 📢 Beyond the adult standard: Tailoring the WHO Reporting System for Lymph Node Cytopathology to pediatric diagnostics and management acsjournals.onlinelibrary.wiley.com/doi/10.1002/cn… #CytoPath CC: @IvanaKholova

CancerCytopath's tweet image. New this week! 📢 Beyond the adult standard: Tailoring the WHO Reporting System for Lymph Node Cytopathology to pediatric diagnostics and management

acsjournals.onlinelibrary.wiley.com/doi/10.1002/cn…

#CytoPath CC: @IvanaKholova

#asciticfluid #cytopath Elderly male with ca pancreas and ascitis. Any idea what this could be ? @kriyer68 @pepeheffernan @AnupamaArya12 @DrGeeONE @SumantaDas_7 @Jaysharav53

vi_monappa's tweet image. #asciticfluid #cytopath 
Elderly male with ca pancreas and ascitis. Any idea what this could be ?
@kriyer68  @pepeheffernan @AnupamaArya12 @DrGeeONE @SumantaDas_7 @Jaysharav53
vi_monappa's tweet image. #asciticfluid #cytopath 
Elderly male with ca pancreas and ascitis. Any idea what this could be ?
@kriyer68  @pepeheffernan @AnupamaArya12 @DrGeeONE @SumantaDas_7 @Jaysharav53

🦀 Medical record: High-Grade Serous Ovarian Carcinoma. 🫁 Pleural effusion. 💉 Thoracocentesis. 🔬 Metastatic Serous Ovarian Carcinoma. Category 5️⃣ The International System for Reporting Serous Fluid Cytopathology. #Cytology #CytoPath #PathX

duckhuca's tweet image. 🦀 Medical record: High-Grade Serous Ovarian Carcinoma.
🫁 Pleural effusion.
💉 Thoracocentesis.
🔬 Metastatic Serous Ovarian Carcinoma.  Category 5️⃣ The International System for Reporting Serous Fluid Cytopathology.
#Cytology #CytoPath #PathX
duckhuca's tweet image. 🦀 Medical record: High-Grade Serous Ovarian Carcinoma.
🫁 Pleural effusion.
💉 Thoracocentesis.
🔬 Metastatic Serous Ovarian Carcinoma.  Category 5️⃣ The International System for Reporting Serous Fluid Cytopathology.
#Cytology #CytoPath #PathX

Touch prep at #FrozenSection, testicular tumor. What's your diagnosis? 🔬 #CytoPath #GUPath #PathTwitter

MirunaPopescu13's tweet image. Touch prep at #FrozenSection, testicular tumor.
What's your diagnosis? 🔬

#CytoPath #GUPath #PathTwitter

Post Day 1 after AP/CP Boards, 😮‍💨 ⚪️ Let's talk Medullary Thyroid Carcinoma 🧬 Ass w MEN2a and MEN2b syndrome 🧬 Due to RET mutation 🔬 I find the Calcitonin amyloid it produces tricky as it looks like good ole colloid! ⬇️ #pathx #cytopath #ent #hemeonc #thyroidcancer

Path4People's tweet image. Post Day 1 after AP/CP Boards, 😮‍💨 

⚪️   Let's talk Medullary Thyroid Carcinoma 

🧬 Ass w MEN2a and MEN2b syndrome
🧬 Due to RET mutation
🔬 I find the Calcitonin amyloid it produces tricky as it looks like good ole colloid! ⬇️ 

#pathx #cytopath #ent #hemeonc #thyroidcancer

#Cytopath #Pulmpath BAL fluid. Can you name this beauty I found 🏋️? #PathTwitter

MirunaPopescu13's tweet image. #Cytopath #Pulmpath
BAL fluid. Can you name this beauty I found 🏋️? 

#PathTwitter

Pt has a Parotid Mass FNA done and on Path Report: Milan IVB SUMP Resection done ⬇️ Diagnosis? 🤔 #pathx #cytopath #pathtwitter #ent #headandneck #ops #salivarygland #medx #surgery

Path4People's tweet image. Pt has a Parotid Mass

FNA done and on Path Report: Milan IVB SUMP

Resection done ⬇️ 

Diagnosis? 🤔 

#pathx #cytopath #pathtwitter #ent #headandneck #ops #salivarygland #medx #surgery
Path4People's tweet image. Pt has a Parotid Mass

FNA done and on Path Report: Milan IVB SUMP

Resection done ⬇️ 

Diagnosis? 🤔 

#pathx #cytopath #pathtwitter #ent #headandneck #ops #salivarygland #medx #surgery
Path4People's tweet image. Pt has a Parotid Mass

FNA done and on Path Report: Milan IVB SUMP

Resection done ⬇️ 

Diagnosis? 🤔 

#pathx #cytopath #pathtwitter #ent #headandneck #ops #salivarygland #medx #surgery

CC378. Gloomy Sunday case. Pleural effusion (cytocentrifugation). In her 60s. The patient has a systemic disease, which is easily inferred from the cytological analysis of her effusion. I don't see this often. #cytopath @DrBMcGinn @kriyer68 @smlungpathguy @DrMarkOng

pepeheffernan's tweet image. CC378. Gloomy Sunday case. Pleural effusion (cytocentrifugation). In her 60s. The patient has a systemic disease, which is easily inferred from the cytological analysis of her effusion. I don't see this often. #cytopath @DrBMcGinn @kriyer68 @smlungpathguy @DrMarkOng
pepeheffernan's tweet image. CC378. Gloomy Sunday case. Pleural effusion (cytocentrifugation). In her 60s. The patient has a systemic disease, which is easily inferred from the cytological analysis of her effusion. I don't see this often. #cytopath @DrBMcGinn @kriyer68 @smlungpathguy @DrMarkOng
pepeheffernan's tweet image. CC378. Gloomy Sunday case. Pleural effusion (cytocentrifugation). In her 60s. The patient has a systemic disease, which is easily inferred from the cytological analysis of her effusion. I don't see this often. #cytopath @DrBMcGinn @kriyer68 @smlungpathguy @DrMarkOng

re-reading this🤘🏽paper by @HubertLauMD on renal mass biopsy although current #GUpath #cytopath kidney tumor classification has updates, I still LOVE this flowchart & had to share PMID: 30193011 DOI: 10.1002/cncy.22037

slusagar's tweet image. re-reading this🤘🏽paper by @HubertLauMD on renal mass biopsy

although current #GUpath #cytopath kidney tumor classification has updates, I still LOVE this flowchart & had to share

PMID: 30193011 
DOI: 10.1002/cncy.22037

Pleural fluid #cytopath from a middle-aged woman -> ⚡️diagnosis? #PathTwitter #1picdiagnosis

MirunaPopescu13's tweet image. Pleural fluid #cytopath from a middle-aged woman -> ⚡️diagnosis?

#PathTwitter #1picdiagnosis
MirunaPopescu13's tweet image. Pleural fluid #cytopath from a middle-aged woman -> ⚡️diagnosis?

#PathTwitter #1picdiagnosis

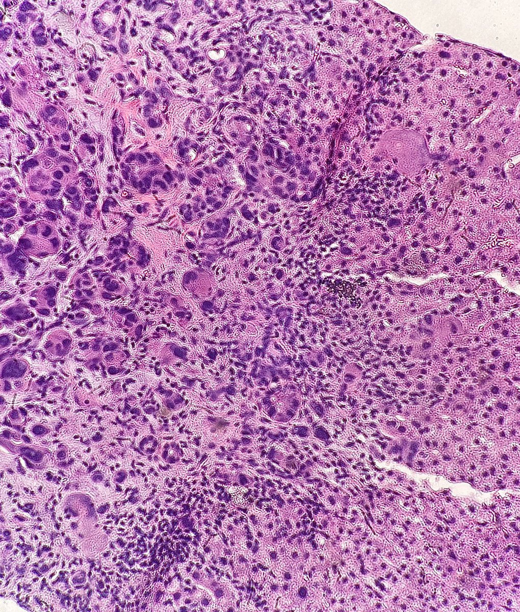
Metastatic breast carcinoma in a liver Diagnosed via Core Needle Biopsy #cytopath #pathx #breastpath #gipath

Path4People's tweet image. Metastatic breast carcinoma in a liver 

Diagnosed via Core Needle Biopsy 

#cytopath #pathx #breastpath #gipath
Path4People's tweet image. Metastatic breast carcinoma in a liver 

Diagnosed via Core Needle Biopsy 

#cytopath #pathx #breastpath #gipath
Path4People's tweet image. Metastatic breast carcinoma in a liver 

Diagnosed via Core Needle Biopsy 

#cytopath #pathx #breastpath #gipath
Path4People's tweet image. Metastatic breast carcinoma in a liver 

Diagnosed via Core Needle Biopsy 

#cytopath #pathx #breastpath #gipath

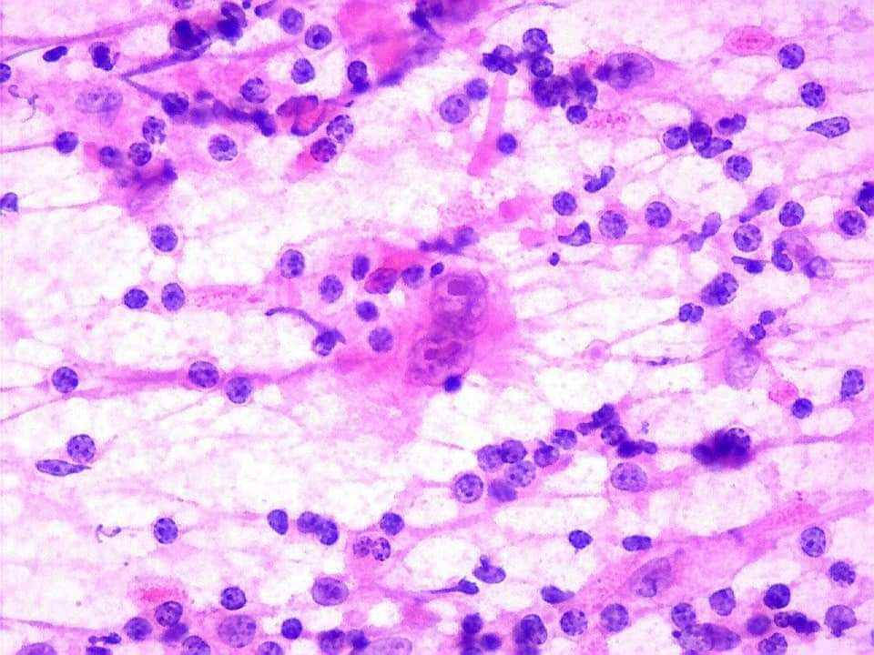
Below is a biliary duct brushing showing a normal bile duct I used to get confused why bile ducts looked like a flat sheet on cytology. Since on histo, they are a tube. 👇 #cytopath #histopath #pathx #cytology #medx

Path4People's tweet image. Below is a biliary duct brushing showing a normal bile duct

I used to get confused why bile ducts looked like a flat sheet on cytology. 

Since on histo, they are a tube. 

👇 

#cytopath #histopath #pathx #cytology #medx
Path4People's tweet image. Below is a biliary duct brushing showing a normal bile duct

I used to get confused why bile ducts looked like a flat sheet on cytology. 

Since on histo, they are a tube. 

👇 

#cytopath #histopath #pathx #cytology #medx
Path4People's tweet image. Below is a biliary duct brushing showing a normal bile duct

I used to get confused why bile ducts looked like a flat sheet on cytology. 

Since on histo, they are a tube. 

👇 

#cytopath #histopath #pathx #cytology #medx

CC382. What antibody is it? As you can imagine, I have a cytological sample of the same case #cytopath @kriyer68 @DrBMcGinn @DrMarkOng @smlungpathguy

pepeheffernan's tweet image. CC382. What antibody is it? As you can imagine, I have a cytological sample of the same case #cytopath
@kriyer68 @DrBMcGinn @DrMarkOng @smlungpathguy

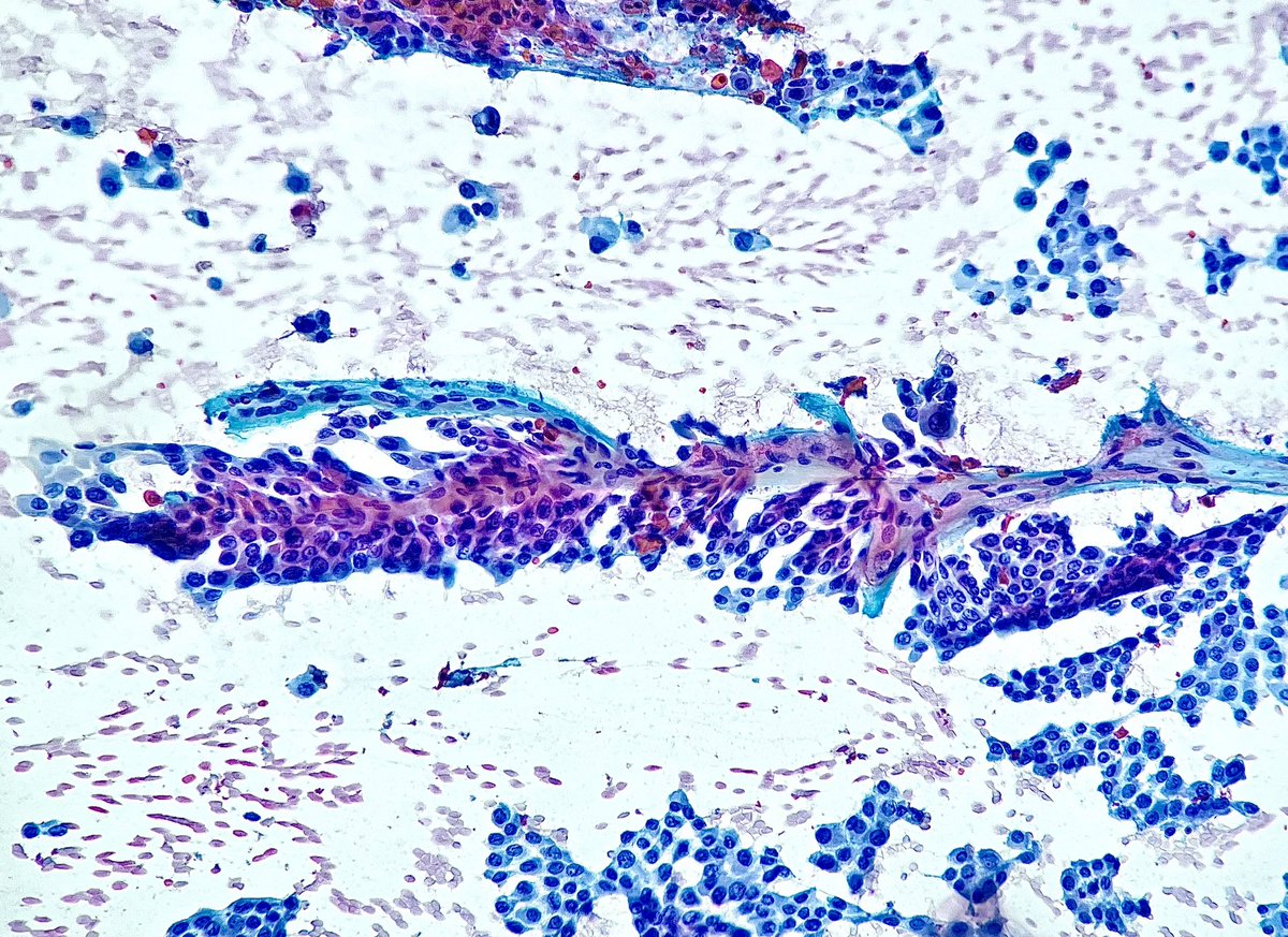
A difficult case (for me) of atypical glandular cells (AGC) Not quite AIS with the lack of great feathering. One thing my staff taught me is a ddx of AIS is HSIL; on histo sometimes HSIL involves endocervical glands. That can sometimes happen on PAPs too. #pathx #cytopath

Path4People's tweet image. A difficult case (for me) of atypical glandular cells (AGC)

Not quite AIS with the lack of great feathering. 

One thing my staff taught me is a ddx of AIS is HSIL; on histo sometimes HSIL involves endocervical glands. That can sometimes happen on PAPs too. 

#pathx #cytopath
Path4People's tweet image. A difficult case (for me) of atypical glandular cells (AGC)

Not quite AIS with the lack of great feathering. 

One thing my staff taught me is a ddx of AIS is HSIL; on histo sometimes HSIL involves endocervical glands. That can sometimes happen on PAPs too. 

#pathx #cytopath
Path4People's tweet image. A difficult case (for me) of atypical glandular cells (AGC)

Not quite AIS with the lack of great feathering. 

One thing my staff taught me is a ddx of AIS is HSIL; on histo sometimes HSIL involves endocervical glands. That can sometimes happen on PAPs too. 

#pathx #cytopath
Path4People's tweet image. A difficult case (for me) of atypical glandular cells (AGC)

Not quite AIS with the lack of great feathering. 

One thing my staff taught me is a ddx of AIS is HSIL; on histo sometimes HSIL involves endocervical glands. That can sometimes happen on PAPs too. 

#pathx #cytopath

👄 All right, yesterday, I talked about acinic cell carcinoma. 🤔Well...how about this one 👄 45 y/o M with parotid mass Photo Credit: Jessica Lawson, MD #pathx #cytopath #ent #hemeonc #pathtwitter

Path4People's tweet image. 👄 All right, yesterday, I talked about acinic cell carcinoma.

🤔Well...how about this one

👄 45 y/o M with parotid mass

Photo Credit: Jessica Lawson, MD

#pathx #cytopath #ent #hemeonc #pathtwitter
Path4People's tweet image. 👄 All right, yesterday, I talked about acinic cell carcinoma.

🤔Well...how about this one

👄 45 y/o M with parotid mass

Photo Credit: Jessica Lawson, MD

#pathx #cytopath #ent #hemeonc #pathtwitter
Path4People's tweet image. 👄 All right, yesterday, I talked about acinic cell carcinoma.

🤔Well...how about this one

👄 45 y/o M with parotid mass

Photo Credit: Jessica Lawson, MD

#pathx #cytopath #ent #hemeonc #pathtwitter
Path4People's tweet image. 👄 All right, yesterday, I talked about acinic cell carcinoma.

🤔Well...how about this one

👄 45 y/o M with parotid mass

Photo Credit: Jessica Lawson, MD

#pathx #cytopath #ent #hemeonc #pathtwitter

Practice Essentials! 🔬📘🛠️ Revisit this informative edition, authored by Marc P. Pusztaszeri MD and @ZMaleki_cyto, offering practical guidance on the diagnostic challenges of medullary thyroid carcinoma. acsjournals.onlinelibrary.wiley.com/doi/epdf/10.10… #CytoPath #ENTPath

CancerCytopath's tweet image. Practice Essentials! 🔬📘🛠️ Revisit this informative edition, authored by Marc P. Pusztaszeri MD and @ZMaleki_cyto, offering practical guidance on the diagnostic challenges of medullary thyroid carcinoma.

acsjournals.onlinelibrary.wiley.com/doi/epdf/10.10…

#CytoPath #ENTPath

CC379. Hematuria. Urine sample from a man in his 40s. In addition to hematuria and, most likely, some inflammation, this patient suffers from... #cytopath @DrBMcGinn @kriyer68 @kis_lorand @DrMarkOng @DanGrahamMD @premcharles

pepeheffernan's tweet image. CC379. Hematuria. Urine sample from a man in his 40s. In addition to hematuria and, most likely, some inflammation, this patient suffers from... 
#cytopath @DrBMcGinn @kriyer68 @kis_lorand @DrMarkOng @DanGrahamMD @premcharles

New and #OpenAccess! Ultrarapid BRAF mutation detection on supernatant cell-free DNA obtained by FNA: An accurate and expedient method for BRAF assessment in aggressive thyroid carcinomas acsjournals.onlinelibrary.wiley.com/doi/10.1002/cn… #CytoPath @carliesigel

CancerCytopath's tweet image. New and #OpenAccess! Ultrarapid BRAF mutation detection on supernatant cell-free DNA obtained by FNA: An accurate and expedient method for BRAF assessment in aggressive thyroid carcinomas

acsjournals.onlinelibrary.wiley.com/doi/10.1002/cn…

#CytoPath @carliesigel

Loading...

Something went wrong.


Something went wrong.