ClevesMario's profile picture. Médico gral Usco👨🏻‍⚕  R3 Patología, UdeA 🔬 Especialista en formación, en Docencia Universitaria, UPC 📚 📍Medellín

Mario Caviedes Cleves

@ClevesMario

Médico gral Usco👨🏻‍⚕ R3 Patología, UdeA 🔬 Especialista en formación, en Docencia Universitaria, UPC 📚 📍Medellín

Mario Caviedes Cleves reposted

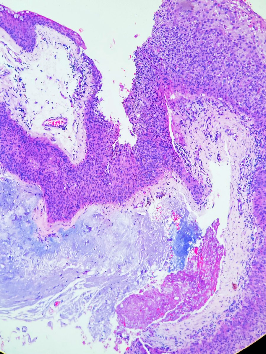
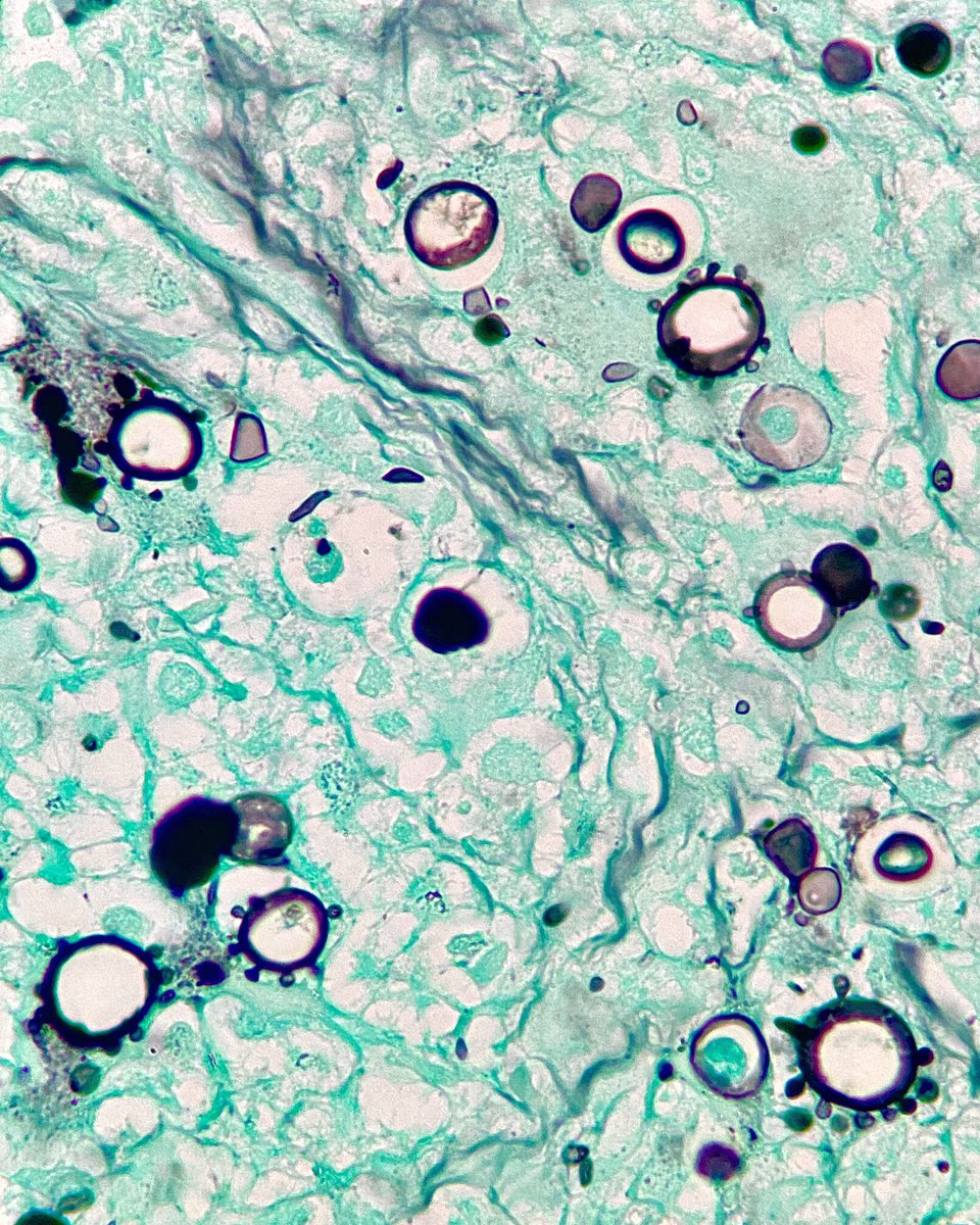
Oesophagus ulcer 38/M

gauriii_23's tweet image. Oesophagus ulcer 38/M
gauriii_23's tweet image. Oesophagus ulcer 38/M
gauriii_23's tweet image. Oesophagus ulcer 38/M

Mario Caviedes Cleves reposted

Nice classic Henderson-Peterson bodies in molluscum contagiosum #PathTwitter #dermpath #dermatology

Romanow_MD's tweet image. Nice classic Henderson-Peterson bodies in molluscum contagiosum 
#PathTwitter #dermpath #dermatology

Mario Caviedes Cleves reposted

Conjunctival intraepithelial neoplasia. Thickened epithelium (acanthosis); increased cellularity. Loss of normal maturation sequence; disorganization. Dysplasia begins in basal layers and extends toward surface. Noninvasive. Chronic inflammatory infiltrate may be present. 👁️

sebastianpathos's tweet image. Conjunctival intraepithelial neoplasia. Thickened epithelium (acanthosis); increased cellularity. Loss of normal maturation sequence; disorganization. Dysplasia begins in basal layers and extends toward surface. Noninvasive. Chronic inflammatory infiltrate may be present. 👁️

Mario Caviedes Cleves reposted

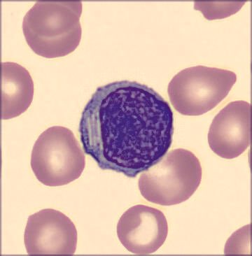
#hemepath #pathology #hematology So, a patient with CLL came in today, and these showed up!

redb56's tweet image. #hemepath #pathology #hematology So, a patient with CLL came in today, and these showed up!
redb56's tweet image. #hemepath #pathology #hematology So, a patient with CLL came in today, and these showed up!
redb56's tweet image. #hemepath #pathology #hematology So, a patient with CLL came in today, and these showed up!

Mario Caviedes Cleves reposted

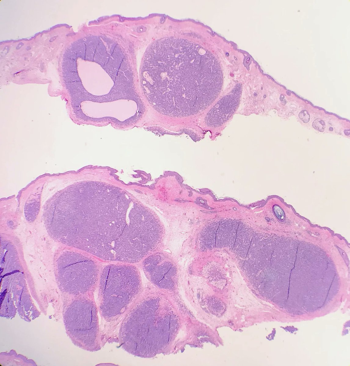
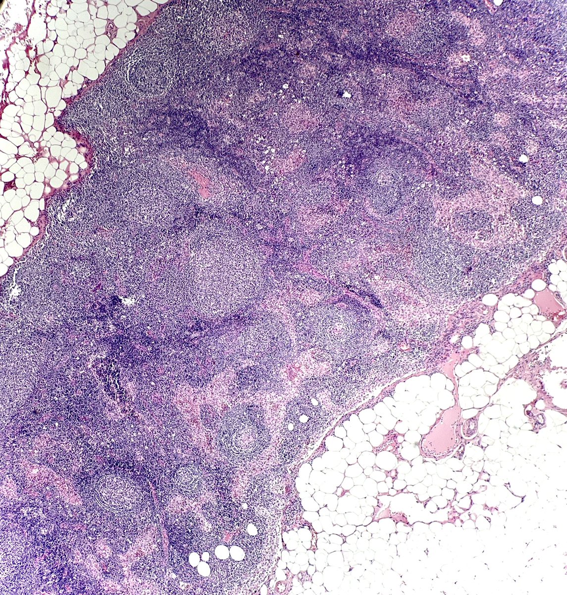
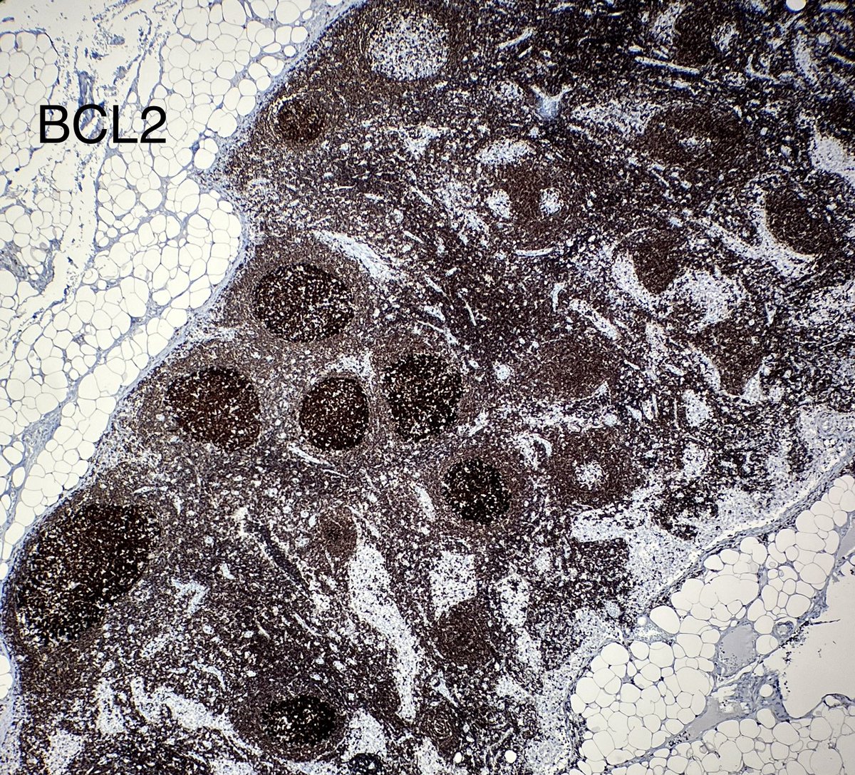
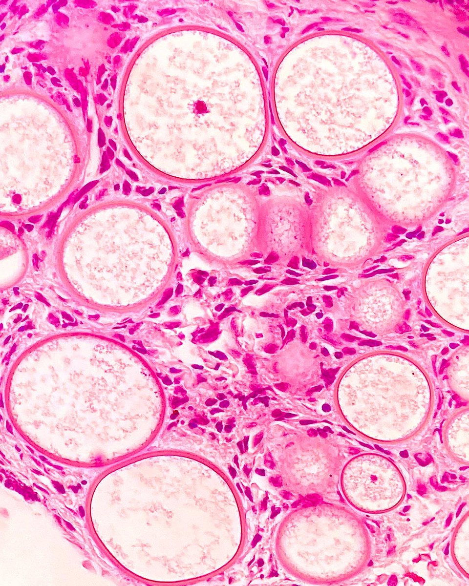
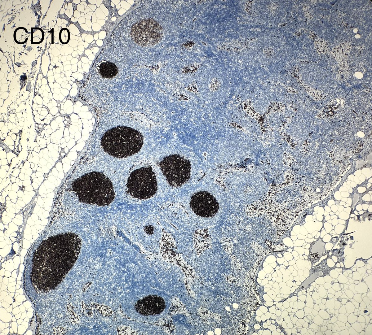
Tiny tiny lymph node that looked a little bit monotonous… what would you call it? #hemepath #PathTwitter @kirillkarlin

NanaMatsumoto8's tweet image. Tiny tiny lymph node that looked a little bit monotonous… what would you call it?  #hemepath #PathTwitter @kirillkarlin
NanaMatsumoto8's tweet image. Tiny tiny lymph node that looked a little bit monotonous… what would you call it?  #hemepath #PathTwitter @kirillkarlin
NanaMatsumoto8's tweet image. Tiny tiny lymph node that looked a little bit monotonous… what would you call it?  #hemepath #PathTwitter @kirillkarlin

Mario Caviedes Cleves reposted

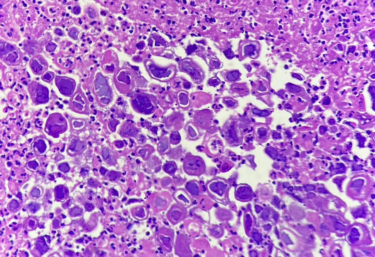
Splendore Hoeppli phenomenon #PathTwitter #pathology #pathtwt

msnsayed14's tweet image. Splendore Hoeppli phenomenon
#PathTwitter #pathology #pathtwt

Cross section of the tube intraluminal gestational sac. Embryo is visible. Ectopic / tubal pregnancy at 7 weeks pregnant. #medicine #anatomy #medschool #pathology #histology #medlife #histologia #path #pathologists

ClevesMario's tweet image. Cross section of the tube intraluminal gestational sac. Embryo is visible. Ectopic / tubal pregnancy at 7 weeks pregnant.

#medicine #anatomy #medschool #pathology #histology #medlife #histologia #path #pathologists

Cervical biopsy. Squamous intraepithelial lesion. What’s the grade? Why? . . . #medicine #anatomy #medschool #pathology #histology #medlife #histologia #path #pathologists #oncology

ClevesMario's tweet image. Cervical biopsy. Squamous intraepithelial lesion. What’s the grade? Why?
.
.
.

#medicine #anatomy #medschool #pathology #histology #medlife #histologia #path #pathologists #oncology

Mario Caviedes Cleves reposted

Guess what are these beautiful cells?

HelenZhangMD1's tweet image. Guess what are these beautiful cells?

Mario Caviedes Cleves reposted

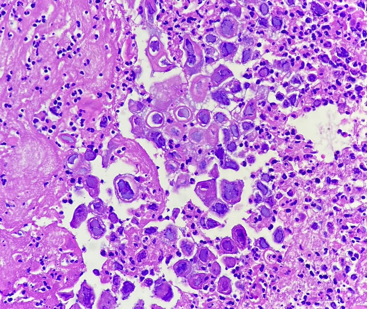
Giant cell with a cute asteroid body from a FNA cell block of a lymph node tissue in a 55yo female

Arshi_Asma's tweet image. Giant cell with a cute asteroid body from a FNA cell block of a lymph node tissue in a 55yo female

Loading...

Something went wrong.


Something went wrong.