EspWorking's profile picture. Infectious diseases Working Group of European Society of Pathology

ESP WG of Infectious Diseases

@EspWorking

Infectious diseases Working Group of European Society of Pathology

ESP WG of Infectious Diseases reposted

💪Working to reduce maternal & perinatal mortality in low-income countries 📷Kick-off of the #MIBio project in📍Maputo (Mozambique) focused on evaluating #angiogenic factors in the diagnosis of perinatal deaths due to #preeclampsia in postmortem samples 🔗isglobal.org/en/-/mibio

ISGLOBALorg's tweet image. 💪Working to reduce maternal & perinatal mortality in low-income countries

📷Kick-off of the #MIBio project in📍Maputo (Mozambique) focused on evaluating #angiogenic factors in the diagnosis of perinatal deaths due to #preeclampsia in postmortem samples
🔗isglobal.org/en/-/mibio

ESP WG of Infectious Diseases reposted

Vascular Lesions, APOE ε4, and Tau Pathology in Alzheimer Disease. #neuropath academic.oup.com/jnen/article-a…


ESP WG of Infectious Diseases reposted

Submission open until 13th December 2021


ESP WG of Infectious Diseases reposted

🙌 Proud of our special issue editors @nataliarakislov and Prof. Jaume Ordi from @hospitalclinic Histopathological, Microbiological and Molecular Aspects of Severe COVID-19 mdpi.com/si/74532 #mdpipathogens via @MDPIOpenAccess


ESP WG of Infectious Diseases reposted

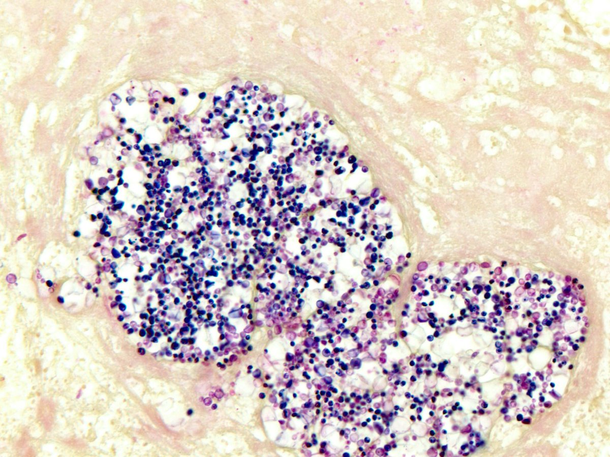
Candida in a COVID-19 lung with DAD, thrombosis and massive unilateral infarction (GMS and Gram stains) Case 1 of this series 👇🏾👇🏾 pubmed.ncbi.nlm.nih.gov/33316056/ #Pathbugs #crittersontwitter #pathology #pulmpath

smlungpathguy's tweet image. Candida in a COVID-19 lung with DAD, thrombosis and massive unilateral infarction (GMS and Gram stains) 

Case 1 of this series 👇🏾👇🏾

pubmed.ncbi.nlm.nih.gov/33316056/

#Pathbugs #crittersontwitter #pathology #pulmpath
smlungpathguy's tweet image. Candida in a COVID-19 lung with DAD, thrombosis and massive unilateral infarction (GMS and Gram stains) 

Case 1 of this series 👇🏾👇🏾

pubmed.ncbi.nlm.nih.gov/33316056/

#Pathbugs #crittersontwitter #pathology #pulmpath

Histopathological, Microbiological and Molecular Aspects of Severe COVID-19 mdpi.com/si/74532 #mdpipathogens via @MDPIOpenAccess


ESP WG of Infectious Diseases reposted

Medical faculty lesson preparing🤗•“A candle doesn’t loose its light, by enlightening another candle.” Rumi

glinglerimek's tweet image. Medical faculty lesson preparing🤗•“A candle doesn’t loose its light, by enlightening another candle.”
Rumi

Minimally Invasive Autopsy in the Age of the Coronavirus isglobal.org/en/healthisglo…


ESP WG of Infectious Diseases reposted
deedee2984's tweet image. Fungating chest wall mass. What do u see? 😊 #pathology #TropicalPath @DrGeeONE @TheKarenPinto @smlungpathguy @Aisha_Nabila09 @drlawalm @JMGardnerMD @nusrat_xahra
deedee2984's tweet image. Fungating chest wall mass. What do u see? 😊 #pathology #TropicalPath @DrGeeONE @TheKarenPinto @smlungpathguy @Aisha_Nabila09 @drlawalm @JMGardnerMD @nusrat_xahra
deedee2984's tweet image. Fungating chest wall mass. What do u see? 😊 #pathology #TropicalPath @DrGeeONE @TheKarenPinto @smlungpathguy @Aisha_Nabila09 @drlawalm @JMGardnerMD @nusrat_xahra
deedee2984's tweet image. Fungating chest wall mass. What do u see? 😊 #pathology #TropicalPath @DrGeeONE @TheKarenPinto @smlungpathguy @Aisha_Nabila09 @drlawalm @JMGardnerMD @nusrat_xahra

ESP WG of Infectious Diseases reposted

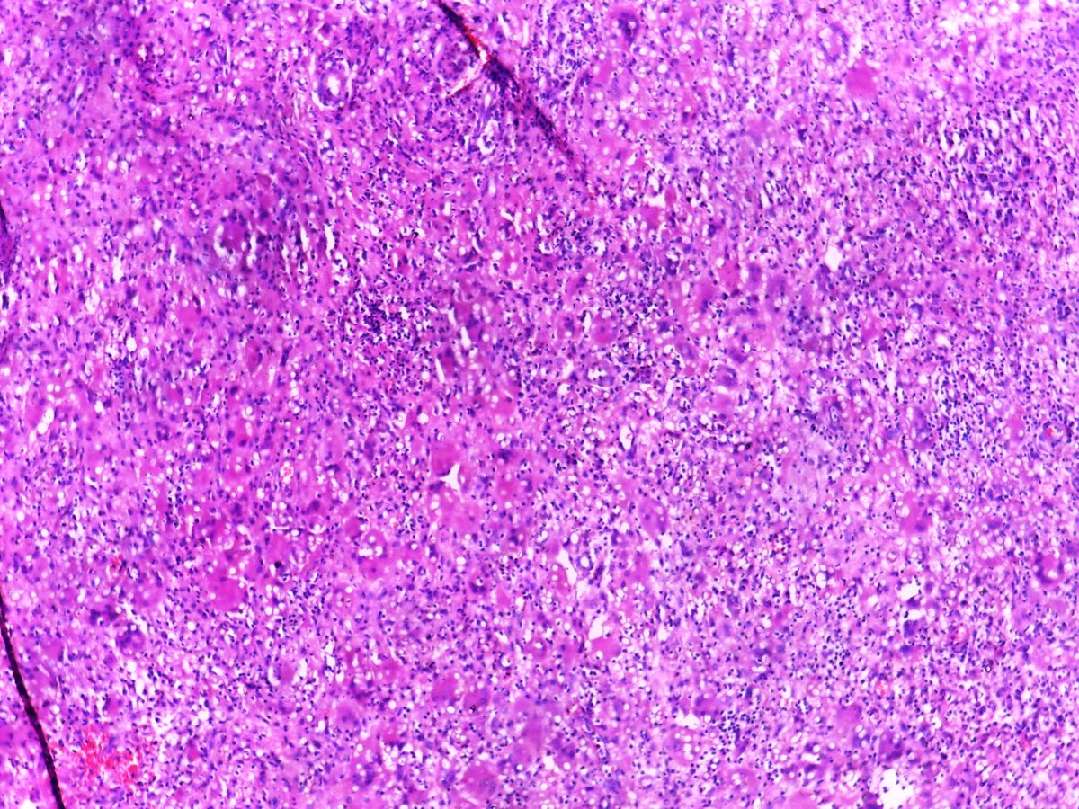
This was one of the most remarkable examples of hemophagocytosis I’ve ever seen. The section is from a splenectomy specimen from a patient with EBV+ DLBCL. #HLH

JingZhangMDPhD's tweet image. This was one of the most remarkable examples of hemophagocytosis I’ve ever seen. The section is from a splenectomy specimen from a patient with EBV+ DLBCL. #HLH

ESP WG of Infectious Diseases reposted
sam_albadri's tweet image. HPV related malignancies #HPVvaccine #cytopath @MayoClinicPath #USCAP2020 @TheUSCAP
sam_albadri's tweet image. HPV related malignancies #HPVvaccine #cytopath @MayoClinicPath #USCAP2020 @TheUSCAP
sam_albadri's tweet image. HPV related malignancies #HPVvaccine #cytopath @MayoClinicPath #USCAP2020 @TheUSCAP
sam_albadri's tweet image. HPV related malignancies #HPVvaccine #cytopath @MayoClinicPath #USCAP2020 @TheUSCAP

ESP WG of Infectious Diseases reposted

Twofer in a colon polyp ⁦@SuntreaHammer⁩ ⁦@Purvago⁩ ⁦@ALBoothMD⁩ ⁦@CArnold_GI⁩ ⁦@NU_GIpath#gipath

UTSW_GIpath's tweet image. Twofer in a colon polyp ⁦@SuntreaHammer⁩ ⁦@Purvago⁩ ⁦@ALBoothMD⁩ ⁦@CArnold_GI⁩ ⁦@NU_GIpath⁩ #gipath

ESP WG of Infectious Diseases reposted

What the... who spilled corn flakes all over my duodenal biopsy? WSI: the.pathology.network/share/8850556e… #pedipath #gipath #idpath

hematogones's tweet image. What the... who spilled corn flakes all over my duodenal biopsy?

WSI: the.pathology.network/share/8850556e…

#pedipath #gipath #idpath

ESP WG of Infectious Diseases reposted

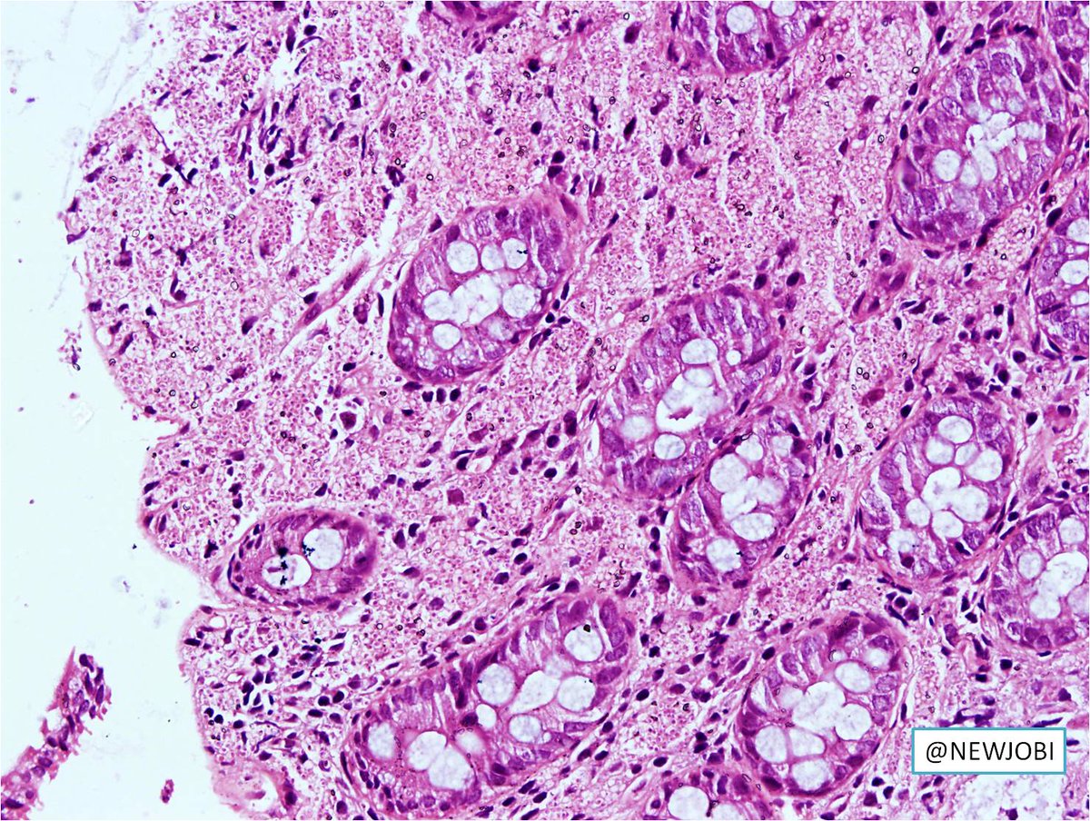
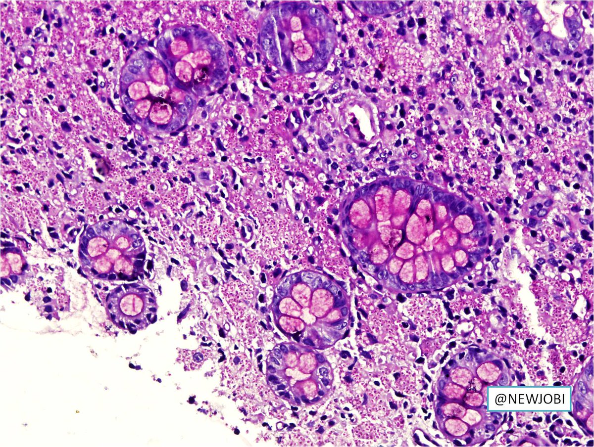
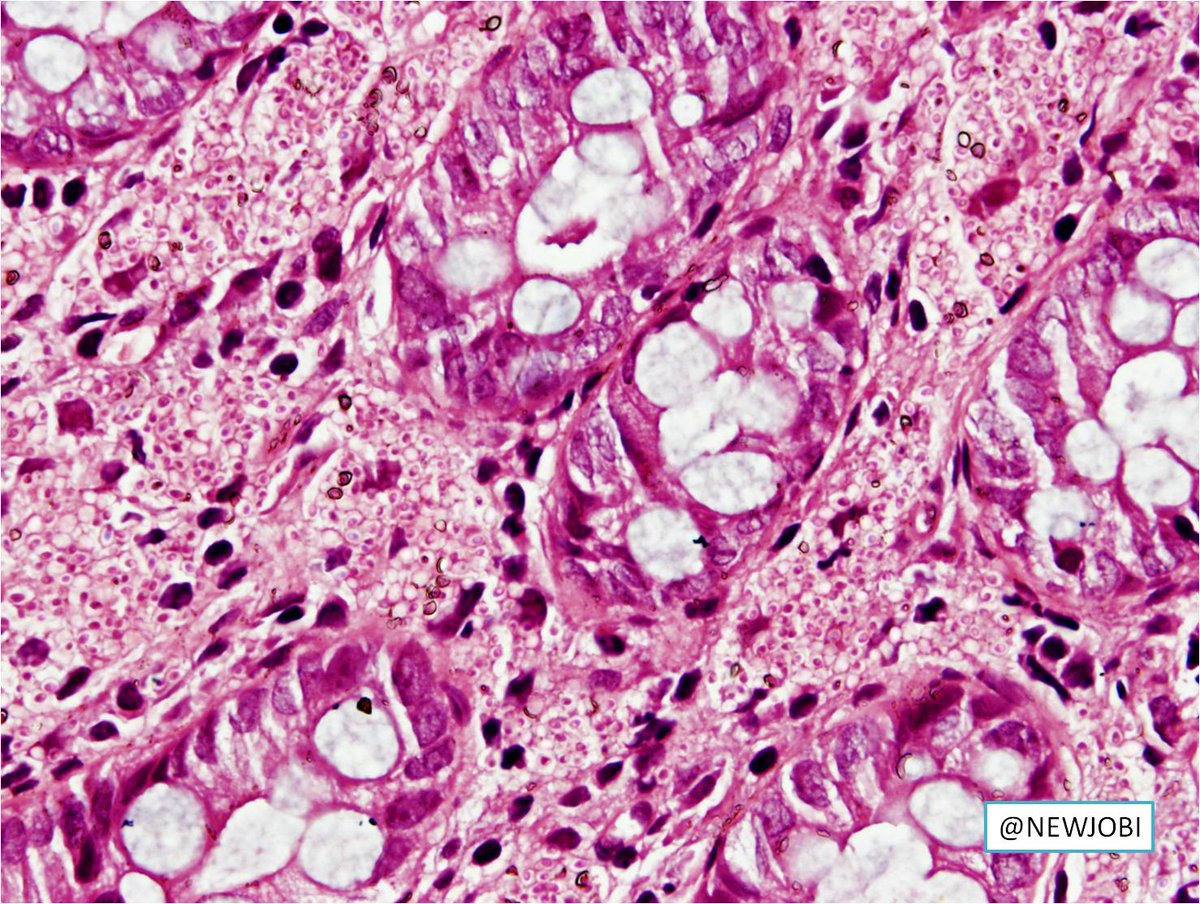
Young female with multiple colonic ulcers, lymphadenopathy #pathology #GIpath

NewjobiRakesh's tweet image. Young female with multiple colonic ulcers, lymphadenopathy #pathology #GIpath
NewjobiRakesh's tweet image. Young female with multiple colonic ulcers, lymphadenopathy #pathology #GIpath
NewjobiRakesh's tweet image. Young female with multiple colonic ulcers, lymphadenopathy #pathology #GIpath
NewjobiRakesh's tweet image. Young female with multiple colonic ulcers, lymphadenopathy #pathology #GIpath

ESP WG of Infectious Diseases reposted

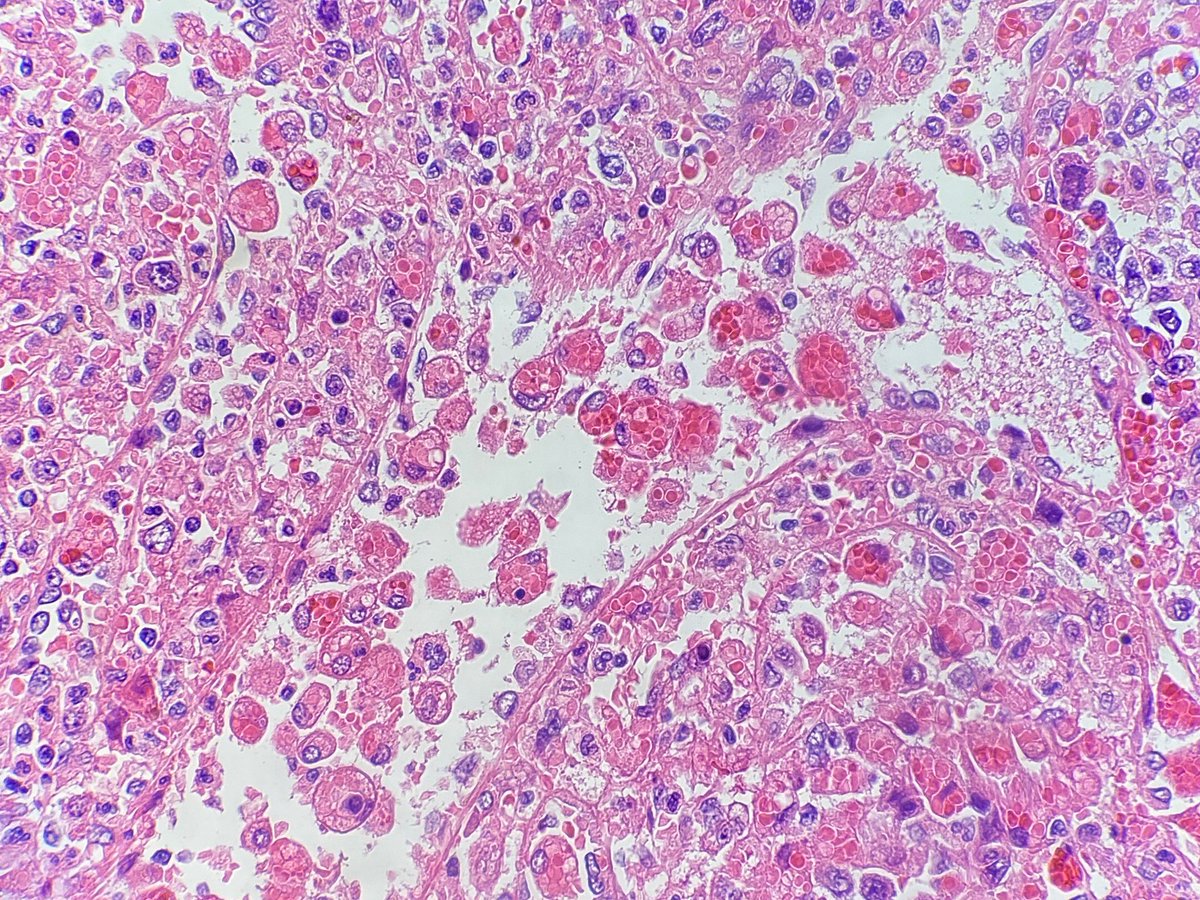
Histoplasmosis clinically presents in 3 forms acute pulmonary histoplasmosis, chronic pulmonary histoplasmosis and progressive disseminated histoplasmosis, respiratory systemis MC portal of entry here, it is preceded by gastro-intestinal symptoms


ESP WG of Infectious Diseases reposted
NewjobiRakesh's tweet image.

ESP WG of Infectious Diseases reposted

Check out this Curshmann spiral in this respiratory Gram stain. Nope, it is not a parasite, just spiral-shaped plugs of mucus. 1000x

GaryProcop's tweet image. Check out this Curshmann spiral in this respiratory Gram stain. Nope, it is not a parasite, just spiral-shaped plugs of mucus. 1000x

ESP WG of Infectious Diseases reposted

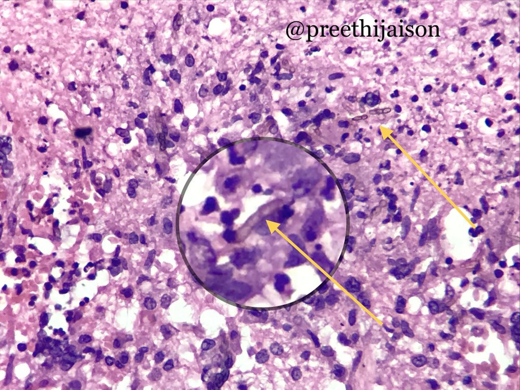
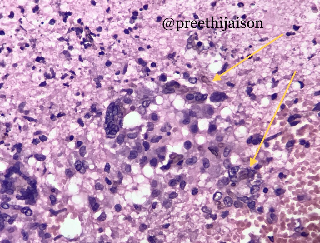
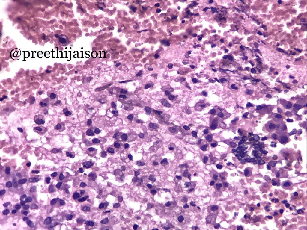
1/ Cerebral Pheohyphomycosis ⚜️ Pigmented fungal hyphae, cell wall has melanin. 🤯 Brain abscess, meningitis, encephalitis or as disseminated disease. 🤒 >50% immunocompetent, others h/o transplant or HIV. 🔬 Granulomas++ ☠️ Mortality 73%⬆️ #NeuroPath #pembified @pembeoltulu

preethijaison's tweet image. 1/ Cerebral Pheohyphomycosis

⚜️ Pigmented fungal hyphae, cell wall has melanin.
🤯 Brain abscess, meningitis, encephalitis or as disseminated disease.
🤒 >50% immunocompetent, others h/o transplant or HIV.
🔬 Granulomas++
☠️ Mortality 73%⬆️

#NeuroPath #pembified @pembeoltulu
preethijaison's tweet image. 1/ Cerebral Pheohyphomycosis

⚜️ Pigmented fungal hyphae, cell wall has melanin.
🤯 Brain abscess, meningitis, encephalitis or as disseminated disease.
🤒 >50% immunocompetent, others h/o transplant or HIV.
🔬 Granulomas++
☠️ Mortality 73%⬆️

#NeuroPath #pembified @pembeoltulu
preethijaison's tweet image. 1/ Cerebral Pheohyphomycosis

⚜️ Pigmented fungal hyphae, cell wall has melanin.
🤯 Brain abscess, meningitis, encephalitis or as disseminated disease.
🤒 >50% immunocompetent, others h/o transplant or HIV.
🔬 Granulomas++
☠️ Mortality 73%⬆️

#NeuroPath #pembified @pembeoltulu
preethijaison's tweet image. 1/ Cerebral Pheohyphomycosis

⚜️ Pigmented fungal hyphae, cell wall has melanin.
🤯 Brain abscess, meningitis, encephalitis or as disseminated disease.
🤒 >50% immunocompetent, others h/o transplant or HIV.
🔬 Granulomas++
☠️ Mortality 73%⬆️

#NeuroPath #pembified @pembeoltulu

ESP WG of Infectious Diseases reposted

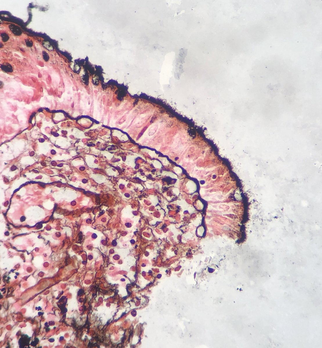
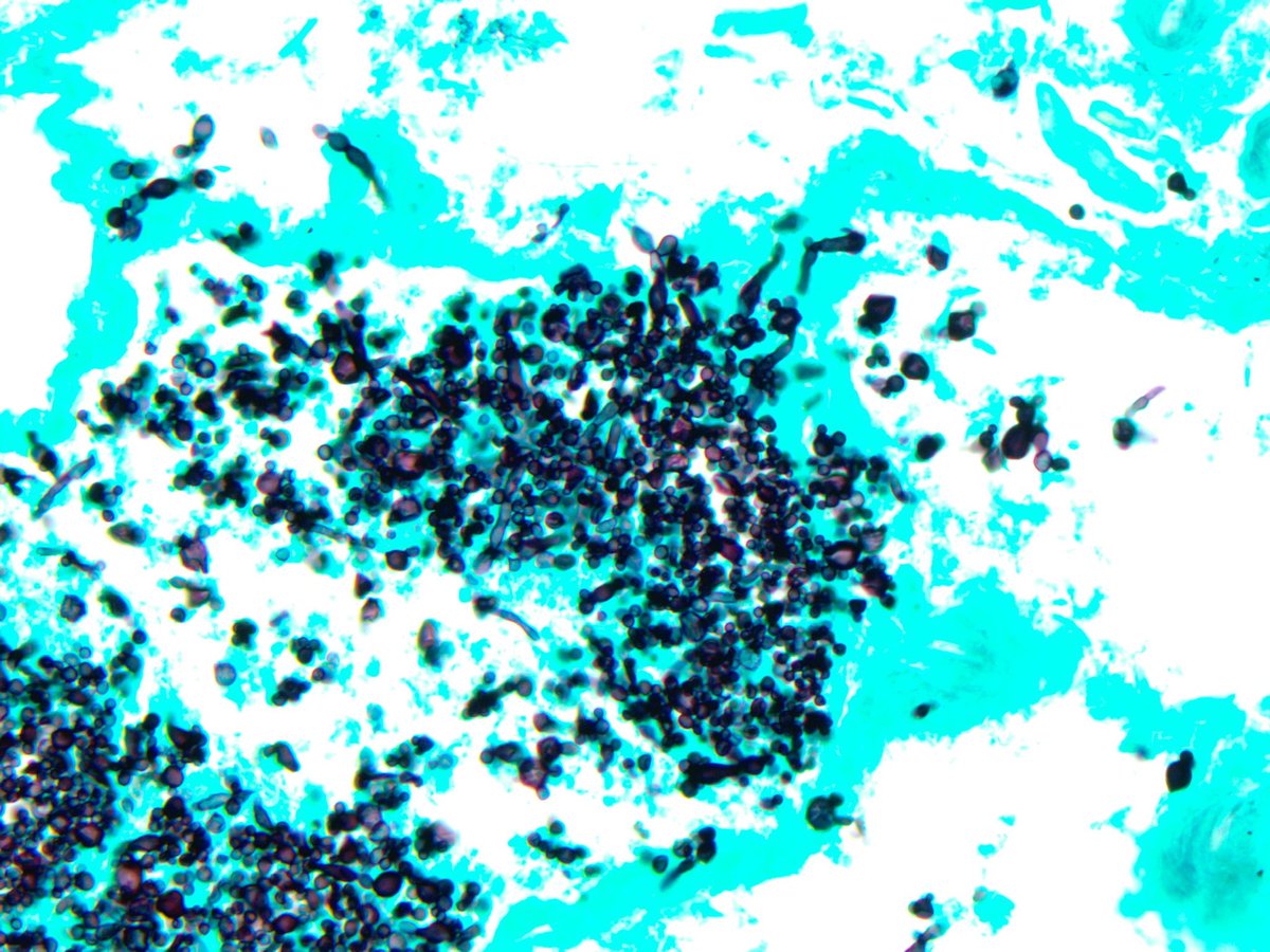
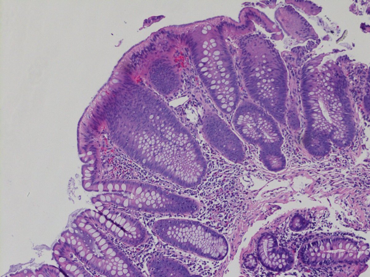
Guess what? #GITpath #pathology Last photo- sliver stain

D4L14H's tweet image. Guess what?

#GITpath #pathology 
Last photo- sliver stain
D4L14H's tweet image. Guess what?

#GITpath #pathology 
Last photo- sliver stain
D4L14H's tweet image. Guess what?

#GITpath #pathology 
Last photo- sliver stain

ESP WG of Infectious Diseases reposted

Superb images🔬🤯

This post is unavailable.

Loading...

Something went wrong.


Something went wrong.