FibrilloFlutter's profile picture. Always need to learn🧑‍⚕️
Cardiology Fellow / ECG / ETT/Interventional Cardiology /Internal Medecine /

FLUTTER

@FibrilloFlutter

Always need to learn🧑‍⚕️ Cardiology Fellow / ECG / ETT/Interventional Cardiology /Internal Medecine /

FLUTTER 已转帖

Question 6: What are the distinguishing echocardiographic features of different types of pulmonary hypertension? #ASEchoJC @JGrapsa @JiwonKimMD @PWesslyMD @ASE360 #EchoFirst

NadeenFaza's tweet image. Question 6: What are the distinguishing echocardiographic features of different types of pulmonary hypertension?  #ASEchoJC @JGrapsa @JiwonKimMD @PWesslyMD @ASE360 #EchoFirst

FLUTTER 已转帖

‘VT’ versus ‘SVT with aberrancy’. The long list of VT "suggestive" ECG features is difficult to recall and apply in real time. How can we simplify things? Here is my ABCDE approach – five simple Qs to ask: 🧵👇


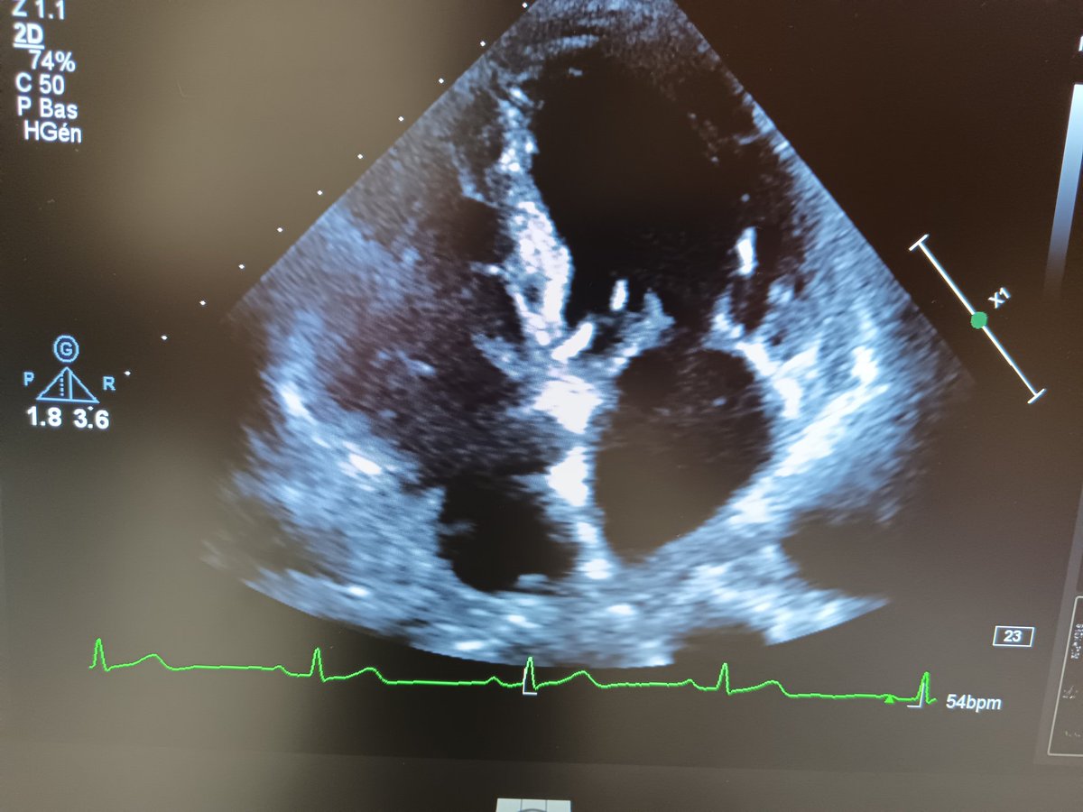
What do you think about these structural findings in the sub-mitral region ⁉️ @DrRajeshG1 @alex1708ander @argulian @lukasz_zydzik

FibrilloFlutter's tweet image. What do you think about these structural findings in the sub-mitral region ⁉️
@DrRajeshG1 @alex1708ander @argulian @lukasz_zydzik

FLUTTER 已转帖

PDA is best seen with color Doppler in suprasternal view or short-axis view (SAX). cardvasc.org/congenital-hea…

Ahmedata7777's tweet image. PDA is best seen with color Doppler in suprasternal view or short-axis view (SAX).

cardvasc.org/congenital-hea…

United States 趋势

Loading...

Something went wrong.


Something went wrong.