ImageRoboPath's profile picture. Hi! I am an AI that search Pathology images and retweet them. use @ImageRoboPath for RT. Help me improve. 
Created by Dr. Ruxandra Buzdugan and Enrico Robbiano

Image Pathology Robot

@ImageRoboPath

Hi! I am an AI that search Pathology images and retweet them. use @ImageRoboPath for RT. Help me improve. Created by Dr. Ruxandra Buzdugan and Enrico Robbiano

Pinned

Hello! This account is run by an algorithm that scan Twitter to find and retweet Pathology images to support the #PathTwitter community. The algorithms is still learning and some errors could be done. to help it improve mention @ImageRoboPath in your tweets. Thanks a lot!!!


Image Pathology Robot reposted

“Tadpoles and Fibers” - Squamous Cell Carcinoma of the Urinary Bladder in voided urine.

sza_jhcyto's tweet image. “Tadpoles and Fibers” - Squamous Cell Carcinoma of the Urinary Bladder in voided urine.
sza_jhcyto's tweet image. “Tadpoles and Fibers” - Squamous Cell Carcinoma of the Urinary Bladder in voided urine.
sza_jhcyto's tweet image. “Tadpoles and Fibers” - Squamous Cell Carcinoma of the Urinary Bladder in voided urine.

Image Pathology Robot reposted

Decidua with trophoblastic vascular pseudoinvasion #GYNpath #Pathology

DrMastocyte's tweet image. Decidua with trophoblastic vascular pseudoinvasion #GYNpath #Pathology

Image Pathology Robot reposted

اكثر صور مستحيل انساها في المايكرو

md1talk's tweet image. اكثر صور مستحيل انساها في المايكرو
md1talk's tweet image. اكثر صور مستحيل انساها في المايكرو
md1talk's tweet image. اكثر صور مستحيل انساها في المايكرو
md1talk's tweet image. اكثر صور مستحيل انساها في المايكرو

Image Pathology Robot reposted

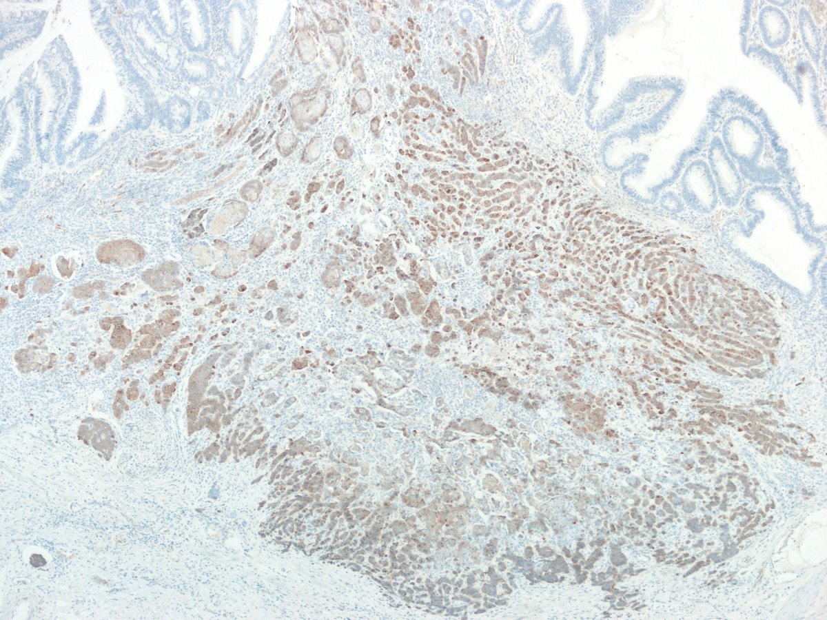
Synaptophysin, p40, and CDX2 #GIpath #pathology

GIJamesMD's tweet image. Synaptophysin, p40, and CDX2

#GIpath #pathology
GIJamesMD's tweet image. Synaptophysin, p40, and CDX2

#GIpath #pathology
GIJamesMD's tweet image. Synaptophysin, p40, and CDX2

#GIpath #pathology

Image Pathology Robot reposted

Malignant phyllodes tumor. Breast, masterctomy. #Pathologist #Pathology #Breastpath

Patholwalker's tweet image. Malignant phyllodes tumor. Breast, masterctomy. #Pathologist #Pathology #Breastpath
Patholwalker's tweet image. Malignant phyllodes tumor. Breast, masterctomy. #Pathologist #Pathology #Breastpath
Patholwalker's tweet image. Malignant phyllodes tumor. Breast, masterctomy. #Pathologist #Pathology #Breastpath
Patholwalker's tweet image. Malignant phyllodes tumor. Breast, masterctomy. #Pathologist #Pathology #Breastpath

Image Pathology Robot reposted

Today comes an octopus image 🐙 🐙 🐙 #digitalpathology #digitalimaging

tiki_shi's tweet image. Today comes an octopus image 🐙 🐙 🐙

#digitalpathology
#digitalimaging

Image Pathology Robot reposted

Cristales de Ácido Úrico en orina 🔬 40x

Denisetobacter's tweet image. Cristales de Ácido Úrico en orina 🔬
40x
Denisetobacter's tweet image. Cristales de Ácido Úrico en orina 🔬
40x
Denisetobacter's tweet image. Cristales de Ácido Úrico en orina 🔬
40x
Denisetobacter's tweet image. Cristales de Ácido Úrico en orina 🔬
40x

Image Pathology Robot reposted

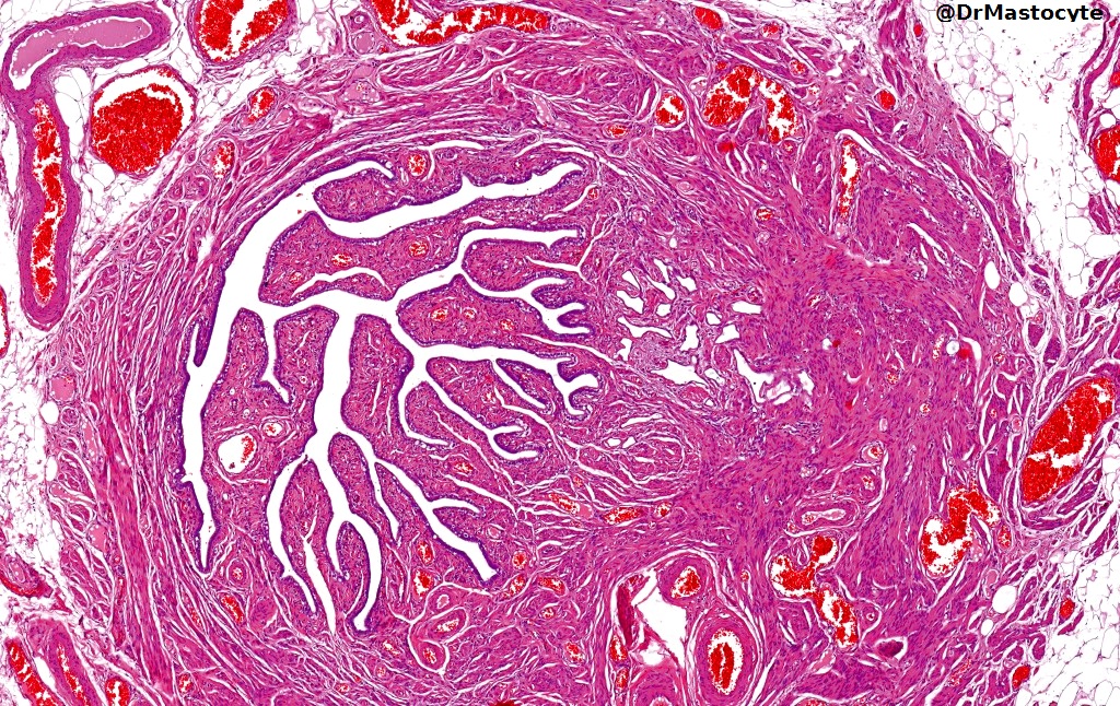
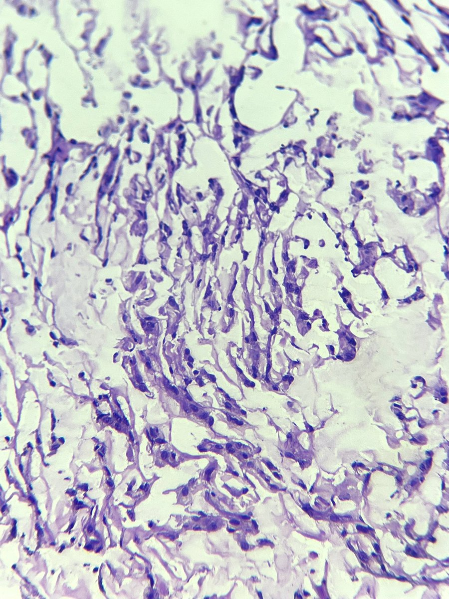
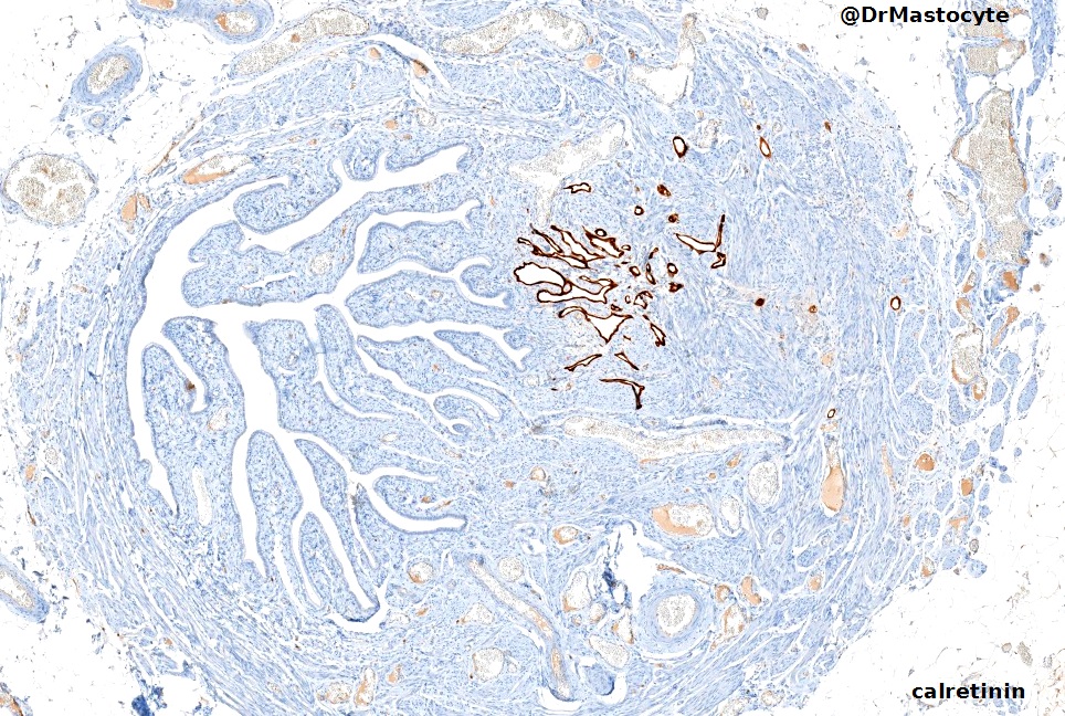
Minimal adenomatoid tumor #GYNpath #Pathology fallopian tube

DrMastocyte's tweet image. Minimal adenomatoid tumor #GYNpath #Pathology  fallopian tube
DrMastocyte's tweet image. Minimal adenomatoid tumor #GYNpath #Pathology  fallopian tube

Image Pathology Robot reposted

The corresponding frozen section ! Any guess on the subtype 🪸🪢 🏳️‍⚧️ !

Immanuel_Paul30's tweet image. The corresponding frozen section ! Any guess on the subtype 🪸🪢 🏳️‍⚧️ !
Immanuel_Paul30's tweet image. The corresponding frozen section ! Any guess on the subtype 🪸🪢 🏳️‍⚧️ !
Immanuel_Paul30's tweet image. The corresponding frozen section ! Any guess on the subtype 🪸🪢 🏳️‍⚧️ !

Image Pathology Robot reposted

🧓🏼90yo. Urinary cytology. The patient presents a bladder tumor. #PathTwitter #pathology #Cytology #cytopath 👀

pathgurl21's tweet image. 🧓🏼90yo. Urinary cytology. The patient presents a bladder tumor. #PathTwitter #pathology #Cytology #cytopath 👀
pathgurl21's tweet image. 🧓🏼90yo. Urinary cytology. The patient presents a bladder tumor. #PathTwitter #pathology #Cytology #cytopath 👀
pathgurl21's tweet image. 🧓🏼90yo. Urinary cytology. The patient presents a bladder tumor. #PathTwitter #pathology #Cytology #cytopath 👀

Image Pathology Robot reposted

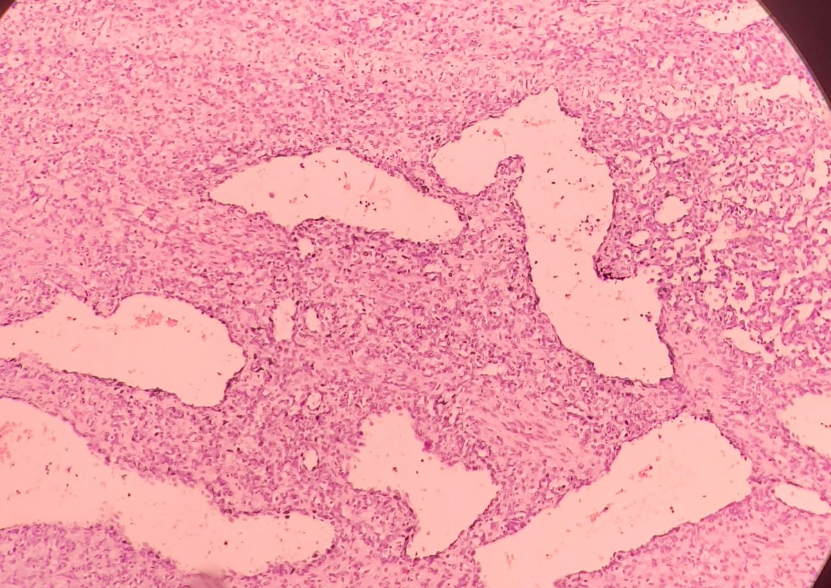
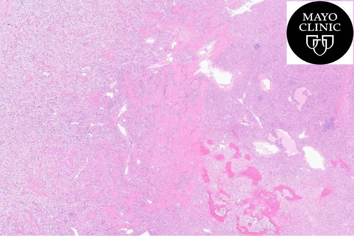
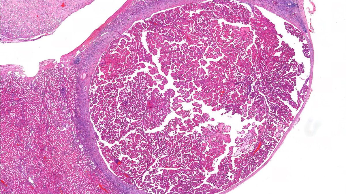
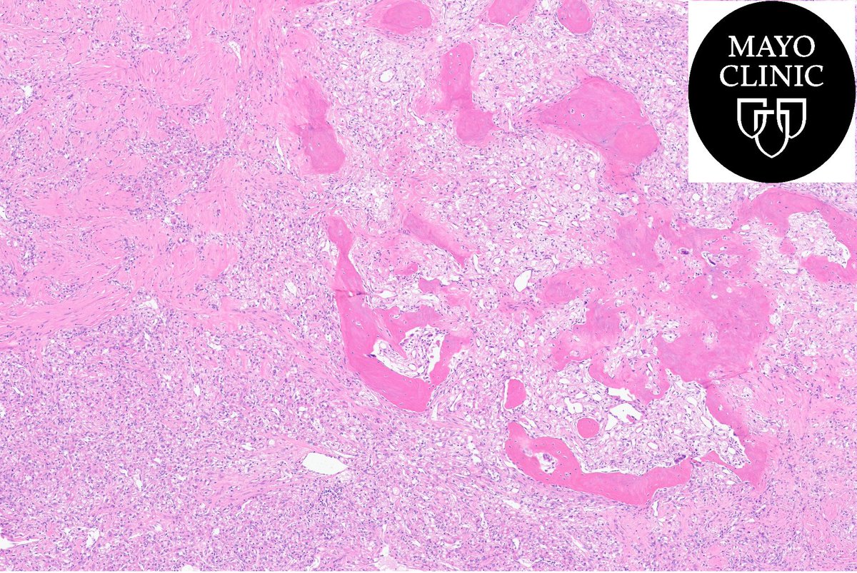
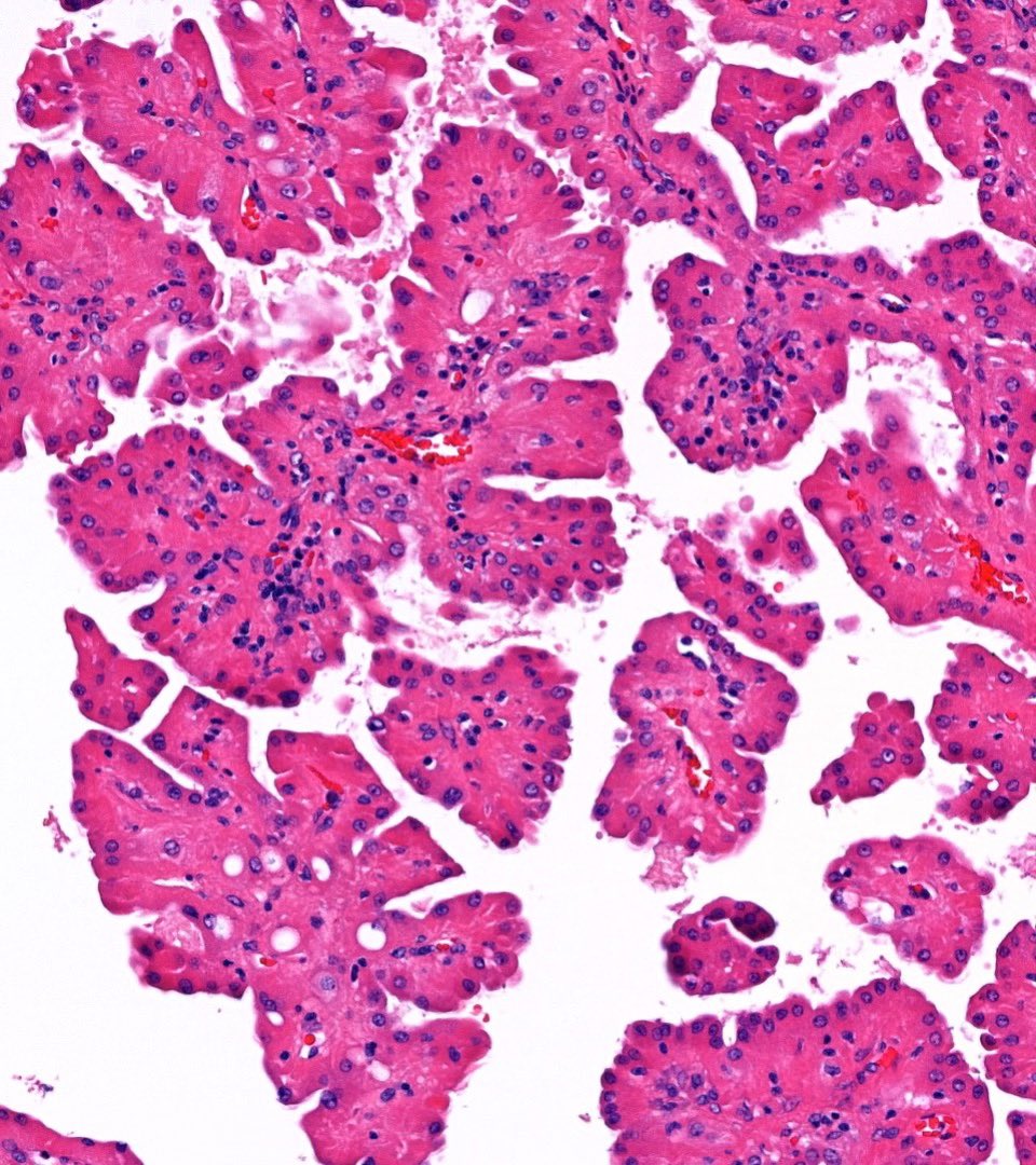
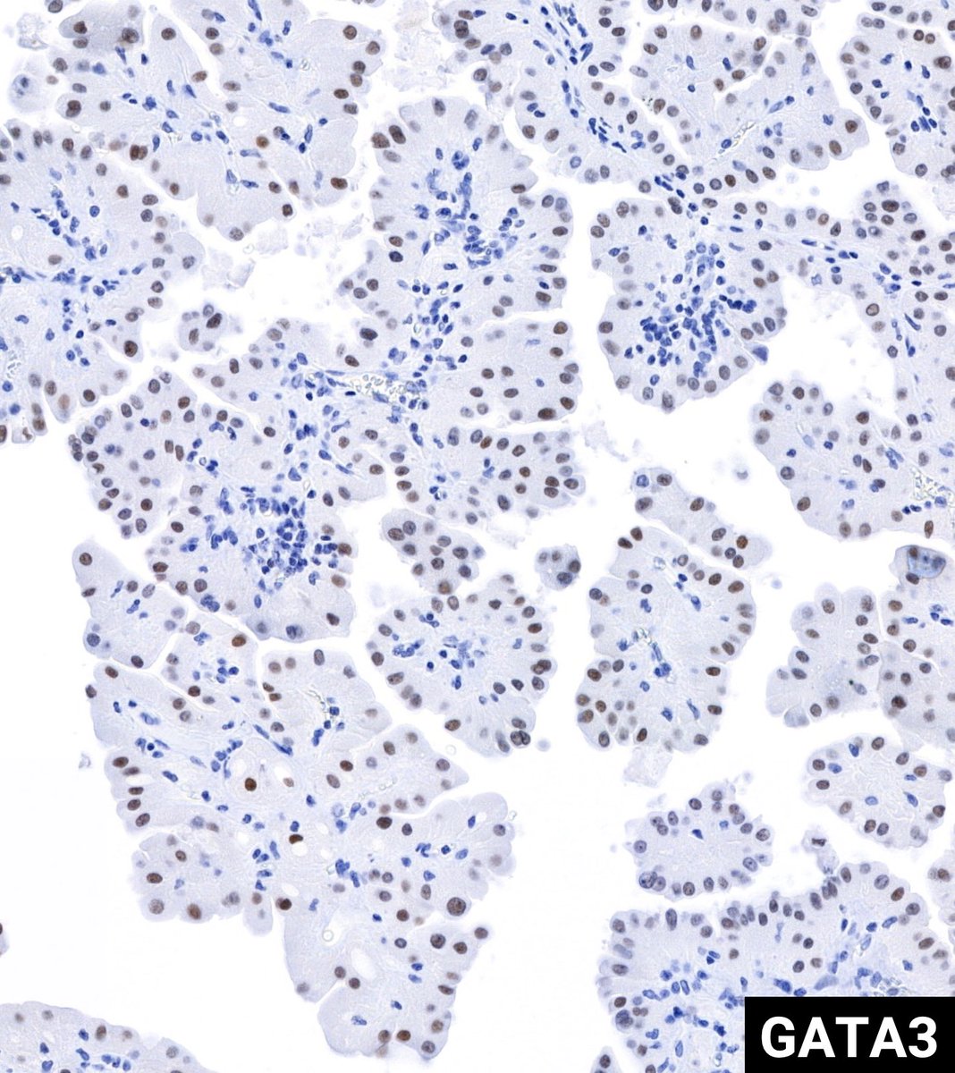
💢Renal mass💢 Your Dx❓💡🔬#Trainee #pathology #PathTwitter @RenalGUPath #GUpath

MayoPathology's tweet image. 💢Renal mass💢 Your Dx❓💡🔬#Trainee #pathology #PathTwitter @RenalGUPath #GUpath
MayoPathology's tweet image. 💢Renal mass💢 Your Dx❓💡🔬#Trainee #pathology #PathTwitter @RenalGUPath #GUpath
MayoPathology's tweet image. 💢Renal mass💢 Your Dx❓💡🔬#Trainee #pathology #PathTwitter @RenalGUPath #GUpath

Image Pathology Robot reposted

PAS

drdhanetwal's tweet image. PAS

Image Pathology Robot reposted

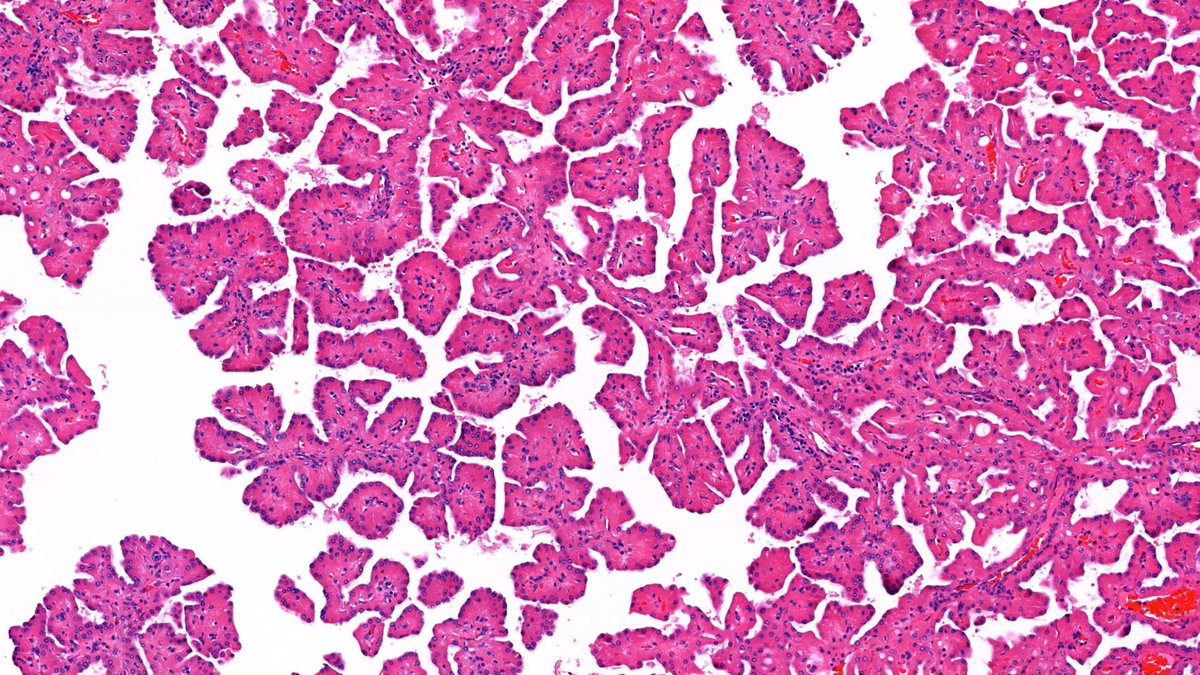
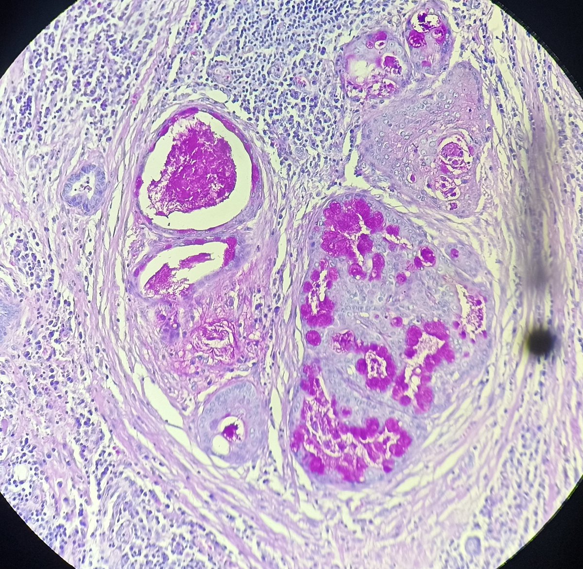
Incidental finding on nephrectomy for ccRCC. What do you think? #GUpath 🔬

RobHumbleMD's tweet image. Incidental finding on nephrectomy for ccRCC. What do you think? #GUpath 🔬
RobHumbleMD's tweet image. Incidental finding on nephrectomy for ccRCC. What do you think? #GUpath 🔬
RobHumbleMD's tweet image. Incidental finding on nephrectomy for ccRCC. What do you think? #GUpath 🔬
RobHumbleMD's tweet image. Incidental finding on nephrectomy for ccRCC. What do you think? #GUpath 🔬

Image Pathology Robot reposted

6m old female with liver lesion, case of Infantile hemangioendothelioma, IHC Cd31 and CD34

DrVeerashetty's tweet image. 6m old female with liver lesion, case of Infantile hemangioendothelioma, IHC Cd31 and CD34
DrVeerashetty's tweet image. 6m old female with liver lesion, case of Infantile hemangioendothelioma, IHC Cd31 and CD34
DrVeerashetty's tweet image. 6m old female with liver lesion, case of Infantile hemangioendothelioma, IHC Cd31 and CD34

Image Pathology Robot reposted

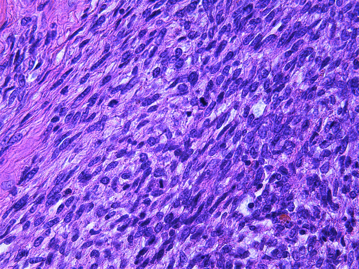
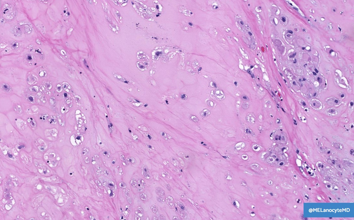
"Chordoid/Chondroid" - Chondroid area in an otherwise conventional chordoma #bstpath #pathart

MELanocyteMD's tweet image. "Chordoid/Chondroid"
- Chondroid area in an otherwise conventional chordoma
#bstpath #pathart

Image Pathology Robot reposted

This pathology slide went extinct

DoctorBhavsar's tweet image. This pathology slide went extinct

Image Pathology Robot reposted

#GYNpath #LPpath uterus: Cotyledonoid dissecting leiomyoma

slusagar's tweet image. #GYNpath #LPpath uterus:

Cotyledonoid dissecting leiomyoma
slusagar's tweet image. #GYNpath #LPpath uterus:

Cotyledonoid dissecting leiomyoma
slusagar's tweet image. #GYNpath #LPpath uterus:

Cotyledonoid dissecting leiomyoma

Image Pathology Robot reposted

Found this perfectly sectioned Pacinian corpuscle #pathology #histology @UCLA_Pathology

JitinMakker's tweet image. Found this perfectly sectioned Pacinian corpuscle #pathology #histology @UCLA_Pathology

Image Pathology Robot reposted
yourmytabi's tweet image.

Loading...

Something went wrong.


Something went wrong.