saurabhmoond's profile picture. MD-Pathology, Veteran , Doctor,  Army Hospital (Research & Referral) India , Retweets not endorsement

Maj (Dr) Saurabh Moond

@saurabhmoond

MD-Pathology, Veteran , Doctor, Army Hospital (Research & Referral) India , Retweets not endorsement

Maj (Dr) Saurabh Moond reposted

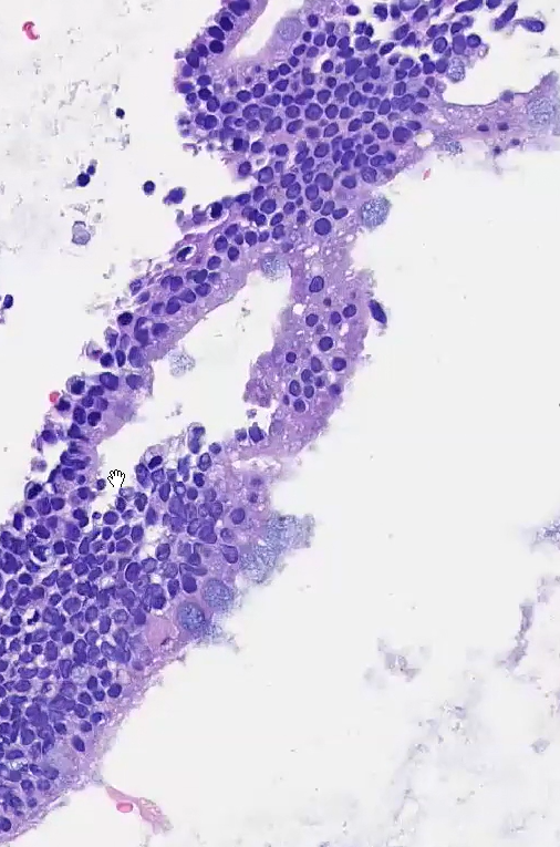
WALTHARD CELL NESTS seen in the Serosa of fallopian tube. Resemble transitional epithelium showing central cystic change.

patho_mad's tweet image. WALTHARD CELL NESTS seen in the Serosa of fallopian tube. Resemble transitional epithelium showing central cystic change.
patho_mad's tweet image. WALTHARD CELL NESTS seen in the Serosa of fallopian tube. Resemble transitional epithelium showing central cystic change.

Maj (Dr) Saurabh Moond reposted

Procalcitonin Because interferon gamma is triggered by viruses and suppresses procalcitonin, so procalcitonin can differentiate bacterial vs viral etiology, so procalcitonin testing can be used to reduce lower respiratory tract infection abx use without affecting mortality

drsthanus's tweet image. Procalcitonin

Because interferon gamma is triggered by viruses and suppresses procalcitonin, so procalcitonin can differentiate bacterial vs viral etiology, so procalcitonin testing can be used to reduce lower respiratory tract infection abx use without affecting mortality

Maj (Dr) Saurabh Moond reposted

On the occasion of the Army Medical Corps Raising Day, #Surg Vice Adm Arti Sarin, #DGAFMS salutes the exemplary courage, utmost devotion to duty and the supreme sacrifice made by Sepoy Dhan Singh of #AMC. The soldier was on duty in the cook house of a General Hospital in Northern…

dgafms_mod's tweet image. On the occasion of the Army Medical Corps Raising Day, #Surg Vice Adm Arti Sarin, #DGAFMS salutes the exemplary courage, utmost devotion to duty and the supreme sacrifice made by Sepoy Dhan Singh of #AMC. The soldier was on duty in the cook house of a General Hospital in Northern…

Maj (Dr) Saurabh Moond reposted

I (finally) completed my CNS tumor notes for "Kurt's Notes" (kurtsnotes.net)! 🧠🧠🧠🧠🧠🧠🧠🧠🧠🧠 Full notes here: schaberg.faculty.ucdavis.edu/wp-content/upl… 🧠🧠🧠🧠🧠🧠🧠🧠🧠🧠

KurtSchaberg's tweet image. I (finally) completed my CNS tumor notes for "Kurt's Notes" (kurtsnotes.net)!

🧠🧠🧠🧠🧠🧠🧠🧠🧠🧠
Full notes here: schaberg.faculty.ucdavis.edu/wp-content/upl…
🧠🧠🧠🧠🧠🧠🧠🧠🧠🧠
KurtSchaberg's tweet image. I (finally) completed my CNS tumor notes for "Kurt's Notes" (kurtsnotes.net)!

🧠🧠🧠🧠🧠🧠🧠🧠🧠🧠
Full notes here: schaberg.faculty.ucdavis.edu/wp-content/upl…
🧠🧠🧠🧠🧠🧠🧠🧠🧠🧠
KurtSchaberg's tweet image. I (finally) completed my CNS tumor notes for "Kurt's Notes" (kurtsnotes.net)!

🧠🧠🧠🧠🧠🧠🧠🧠🧠🧠
Full notes here: schaberg.faculty.ucdavis.edu/wp-content/upl…
🧠🧠🧠🧠🧠🧠🧠🧠🧠🧠
KurtSchaberg's tweet image. I (finally) completed my CNS tumor notes for "Kurt's Notes" (kurtsnotes.net)!

🧠🧠🧠🧠🧠🧠🧠🧠🧠🧠
Full notes here: schaberg.faculty.ucdavis.edu/wp-content/upl…
🧠🧠🧠🧠🧠🧠🧠🧠🧠🧠

Maj (Dr) Saurabh Moond reposted

Rs 70,000 For Medical Degree: 14 Fake Doctors Arrested In Gujarat ndtv.com/india-news/rs-…


Maj (Dr) Saurabh Moond reposted

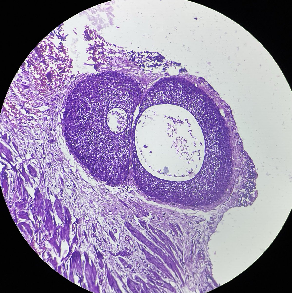
For the PGY1s in Pathology.. #gynpath #histology #PGY1 #OVARY #normalhistology Image1- mature graffian follicle Image2- Yellow: Granulosa layer Blue: Theca interna Black: Theca externa

pratishtha_07's tweet image. For the PGY1s in Pathology..
#gynpath #histology #PGY1 #OVARY  #normalhistology 

Image1- mature graffian follicle
Image2- Yellow: Granulosa layer
                Blue: Theca interna
                Black: Theca externa
pratishtha_07's tweet image. For the PGY1s in Pathology..
#gynpath #histology #PGY1 #OVARY  #normalhistology 

Image1- mature graffian follicle
Image2- Yellow: Granulosa layer
                Blue: Theca interna
                Black: Theca externa

Maj (Dr) Saurabh Moond reposted

"A picture is worth a thousand words!" In publications, specially in Pathology, visuals like illustrations, microscopic images, gross images, special stains, IHC, molecular pathology, graphs, and even cartoons convey more than words ever could. We've seen some great images in…

VijayPatho's tweet image. "A picture is worth a thousand words!"
 In publications, specially in Pathology, visuals like illustrations, microscopic images, gross images, special stains, IHC, molecular pathology, graphs, and even cartoons convey more than words ever could. We've seen some great images in…
VijayPatho's tweet image. "A picture is worth a thousand words!"
 In publications, specially in Pathology, visuals like illustrations, microscopic images, gross images, special stains, IHC, molecular pathology, graphs, and even cartoons convey more than words ever could. We've seen some great images in…
VijayPatho's tweet image. "A picture is worth a thousand words!"
 In publications, specially in Pathology, visuals like illustrations, microscopic images, gross images, special stains, IHC, molecular pathology, graphs, and even cartoons convey more than words ever could. We've seen some great images in…

Maj (Dr) Saurabh Moond reposted

I just updated my notes on "Soft tissue tumors" for my teaching website, "Kurt's Notes" (kurtsnotes.net). 🔬🔬🔬🔬🔬🔬🔬🔬🔬🔬🔬🔬🔬🔬🔬🔬🔬🔬🔬🔬🔬🔬🔬🔬🔬🔬🔬🔬🔬🔬 Full notes available here: schaberg.faculty.ucdavis.edu/wp-content/upl…

KurtSchaberg's tweet image. I just updated my notes on "Soft tissue tumors" for my teaching website, "Kurt's Notes" (kurtsnotes.net).

🔬🔬🔬🔬🔬🔬🔬🔬🔬🔬🔬🔬🔬🔬🔬🔬🔬🔬🔬🔬🔬🔬🔬🔬🔬🔬🔬🔬🔬🔬

Full notes available here: schaberg.faculty.ucdavis.edu/wp-content/upl…
KurtSchaberg's tweet image. I just updated my notes on "Soft tissue tumors" for my teaching website, "Kurt's Notes" (kurtsnotes.net).

🔬🔬🔬🔬🔬🔬🔬🔬🔬🔬🔬🔬🔬🔬🔬🔬🔬🔬🔬🔬🔬🔬🔬🔬🔬🔬🔬🔬🔬🔬

Full notes available here: schaberg.faculty.ucdavis.edu/wp-content/upl…
KurtSchaberg's tweet image. I just updated my notes on "Soft tissue tumors" for my teaching website, "Kurt's Notes" (kurtsnotes.net).

🔬🔬🔬🔬🔬🔬🔬🔬🔬🔬🔬🔬🔬🔬🔬🔬🔬🔬🔬🔬🔬🔬🔬🔬🔬🔬🔬🔬🔬🔬

Full notes available here: schaberg.faculty.ucdavis.edu/wp-content/upl…
KurtSchaberg's tweet image. I just updated my notes on "Soft tissue tumors" for my teaching website, "Kurt's Notes" (kurtsnotes.net).

🔬🔬🔬🔬🔬🔬🔬🔬🔬🔬🔬🔬🔬🔬🔬🔬🔬🔬🔬🔬🔬🔬🔬🔬🔬🔬🔬🔬🔬🔬

Full notes available here: schaberg.faculty.ucdavis.edu/wp-content/upl…

Maj (Dr) Saurabh Moond reposted

'Cell for scale' 38/M, Pleural fluid @pepeheffernan @saurabhmoond @AnupamaArya12 @CancerCytopath

drdhanetwal's tweet image. 'Cell for scale'
38/M, Pleural fluid
@pepeheffernan 
@saurabhmoond 
@AnupamaArya12 
@CancerCytopath

Maj (Dr) Saurabh Moond reposted

अब सिर्फ़ @RaoNarbir जी का ही साथ है । #kherkiDaulaToll removal. @AmitShah @nitin_gadkari @PMOIndia @narendramodi @its_AkankshaG @DC_Gurugram @SSikenderpur @MlaSatya @aajtak

mishraamresh's tweet image. अब सिर्फ़ @RaoNarbir जी का ही साथ है । #kherkiDaulaToll removal. @AmitShah @nitin_gadkari @PMOIndia @narendramodi @its_AkankshaG @DC_Gurugram @SSikenderpur @MlaSatya @aajtak

Maj (Dr) Saurabh Moond reposted

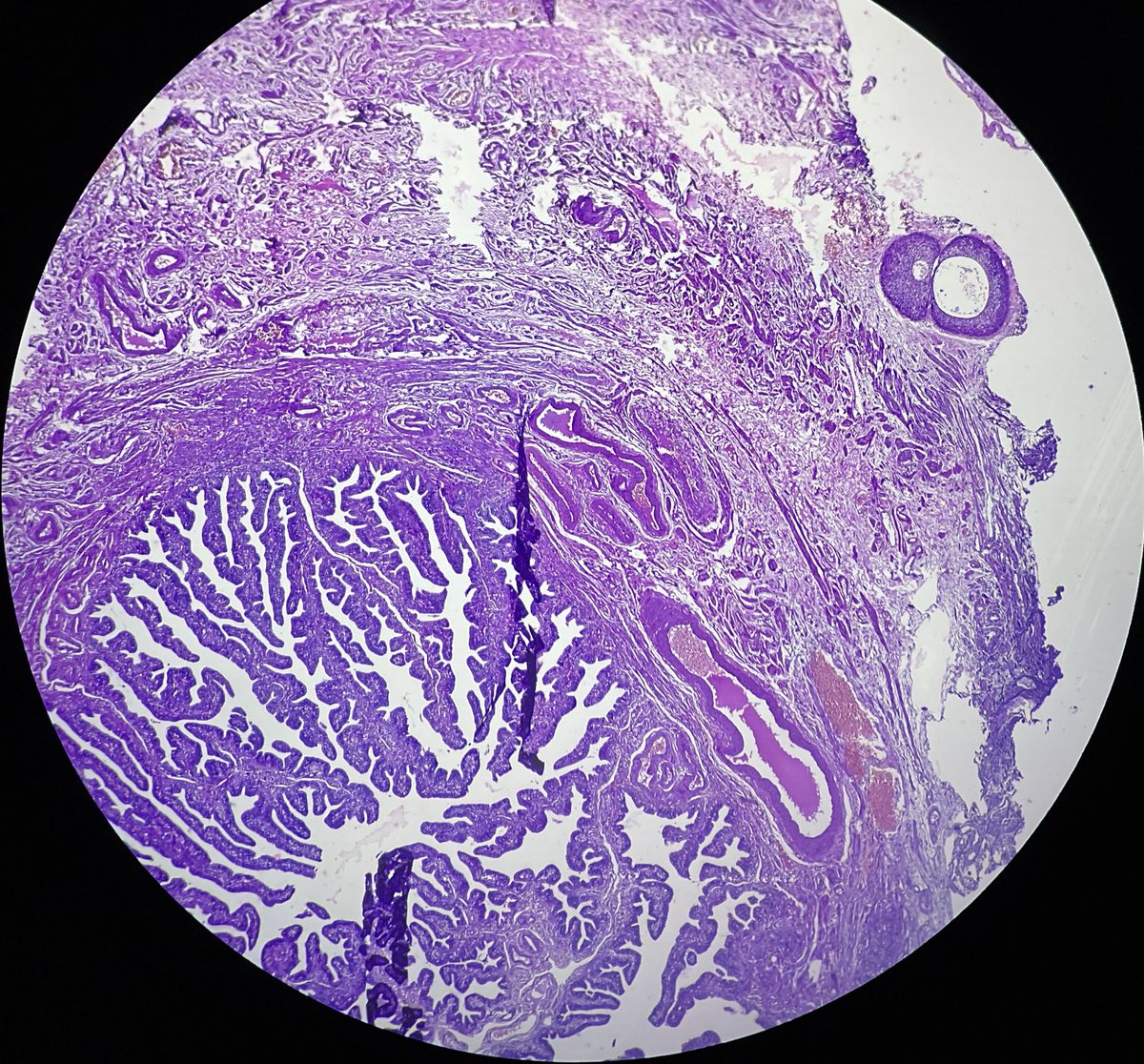
Mucinous lesions of the endometrium -60 yo female with hydrometra -Endometrial biopsy with glands with mucin cells, goblet cells and red granules (last 2 pics) IHC: ER neg. PAX-8, CK7, CDX-2 patchy positive. CK20 focal +. p53 wild type. Chromogranin focally + How would you sign…

Janiranavarro's tweet image. Mucinous lesions of the endometrium
-60 yo female with hydrometra
-Endometrial biopsy with glands with mucin cells, goblet cells and red granules (last 2 pics)
IHC: ER neg. PAX-8, CK7, CDX-2 patchy positive. CK20 focal +. p53 wild type. Chromogranin focally +
How would you sign…
Janiranavarro's tweet image. Mucinous lesions of the endometrium
-60 yo female with hydrometra
-Endometrial biopsy with glands with mucin cells, goblet cells and red granules (last 2 pics)
IHC: ER neg. PAX-8, CK7, CDX-2 patchy positive. CK20 focal +. p53 wild type. Chromogranin focally +
How would you sign…
Janiranavarro's tweet image. Mucinous lesions of the endometrium
-60 yo female with hydrometra
-Endometrial biopsy with glands with mucin cells, goblet cells and red granules (last 2 pics)
IHC: ER neg. PAX-8, CK7, CDX-2 patchy positive. CK20 focal +. p53 wild type. Chromogranin focally +
How would you sign…
Janiranavarro's tweet image. Mucinous lesions of the endometrium
-60 yo female with hydrometra
-Endometrial biopsy with glands with mucin cells, goblet cells and red granules (last 2 pics)
IHC: ER neg. PAX-8, CK7, CDX-2 patchy positive. CK20 focal +. p53 wild type. Chromogranin focally +
How would you sign…

Maj (Dr) Saurabh Moond reposted

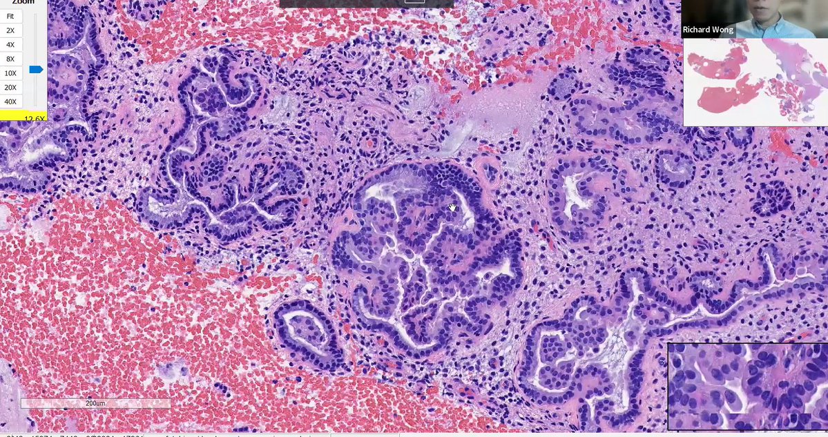
Mucinous lesions of the endometrium Papillary endometrial proliferations with mucinous metaplasia -Mucinous glands with intraglandular simple papillary structures How would you sign out this endometrial biopsy? See next post 👇 Dr. Wong #isgyp #PathTwitter #PathX #pathresidents

Janiranavarro's tweet image. Mucinous lesions of the endometrium
Papillary endometrial proliferations with mucinous metaplasia
-Mucinous glands with intraglandular simple papillary structures
How would you sign out this endometrial biopsy?
See next post 👇
Dr. Wong #isgyp #PathTwitter #PathX #pathresidents…
Janiranavarro's tweet image. Mucinous lesions of the endometrium
Papillary endometrial proliferations with mucinous metaplasia
-Mucinous glands with intraglandular simple papillary structures
How would you sign out this endometrial biopsy?
See next post 👇
Dr. Wong #isgyp #PathTwitter #PathX #pathresidents…

Maj (Dr) Saurabh Moond reposted

‘Don’t follow the crowd, let the crowd follow you !’ Thoughts 💭 #PathX #pathtwitter #surgicalpath #BSTpath #pathology #histopath #softtissue #oncopath

Immanuel_Paul30's tweet image. ‘Don’t follow the crowd, let the crowd follow you !’

Thoughts 💭 

#PathX #pathtwitter #surgicalpath #BSTpath #pathology #histopath #softtissue #oncopath

Maj (Dr) Saurabh Moond reposted

🔬 Usual Ductal Hyperplasia (Breast) 🔬In addition to the windswept architecture and slit like spaces, another clue for Usual Ductal Hyperplasia ⬇️ 👀👀Intranuclear Cytoplasmic Pseudoinclusion👀 👀 #pathx #path4people #breastpath #pathagonia #breastx #medx #pathx #pathology

Path4People's tweet image. 🔬 Usual Ductal Hyperplasia (Breast)

🔬In addition to the windswept architecture and slit like spaces, another clue for Usual Ductal Hyperplasia ⬇️ 
👀👀Intranuclear Cytoplasmic Pseudoinclusion👀 👀 

 #pathx #path4people #breastpath #pathagonia #breastx #medx #pathx #pathology

Maj (Dr) Saurabh Moond reposted

Claudin 18.2 immunohistochemistry is new for gastric and esophageal adenocarcinomas. Benign gastric mucosa is the internal positive control. 2+-3+ membrane staining in ≥75% of tumor cells is the cutoff for use of anti-CLDN18.2 (zolbetuximab). #UMiamiPath PMID: 39098518.

LizMontgomeryMD's tweet image. Claudin 18.2 immunohistochemistry is new for gastric and esophageal adenocarcinomas.  Benign gastric mucosa is the internal positive control.  2+-3+ membrane staining in ≥75% of tumor cells is the cutoff for use of  anti-CLDN18.2 (zolbetuximab). #UMiamiPath PMID: 39098518.
LizMontgomeryMD's tweet image. Claudin 18.2 immunohistochemistry is new for gastric and esophageal adenocarcinomas.  Benign gastric mucosa is the internal positive control.  2+-3+ membrane staining in ≥75% of tumor cells is the cutoff for use of  anti-CLDN18.2 (zolbetuximab). #UMiamiPath PMID: 39098518.

Maj (Dr) Saurabh Moond reposted

#SundayEveningMotivation ⬇️ shows how doing nothing vs incremental change everyday could help immensely in all spheres of LIFE! 😇 Try for yourself! Being conservative & consistent is the 🔑 Good evening! #HealthFIPassion

HealthFIPassion's tweet image. #SundayEveningMotivation 

⬇️ shows how doing nothing vs incremental change everyday could help immensely in all spheres of LIFE! 😇

Try for yourself!

Being conservative & consistent is the 🔑

Good evening!
#HealthFIPassion

52 weeks 💰 savings challenge ‼️ Have you ever tried this savings challenge to save: *💯₹ in week 1 * 200₹ in week 2 * 300₹ in week 3 … … * 5100₹ in week 51 * 5200₹ in week 52 Voila!!! 137800 ₹ saved in a year! Who all are ready? Use the arithmetic…



Maj (Dr) Saurabh Moond reposted

60+ female with axillary lymph node. Ultrasound-guided core biopsies. I made a diagnosis. Case reviewed elsewhere and called something else. Maybe no "right" answer and so a good case for discussion? Basic IHC in next tweet, then poll in one after. #pathology

DrMarkOng's tweet image. 60+ female with axillary lymph node. Ultrasound-guided core biopsies.

I made a diagnosis. Case reviewed elsewhere and called something else. Maybe no "right" answer and so a good case for discussion?

Basic IHC in next tweet, then poll in one after.

#pathology
DrMarkOng's tweet image. 60+ female with axillary lymph node. Ultrasound-guided core biopsies.

I made a diagnosis. Case reviewed elsewhere and called something else. Maybe no "right" answer and so a good case for discussion?

Basic IHC in next tweet, then poll in one after.

#pathology
DrMarkOng's tweet image. 60+ female with axillary lymph node. Ultrasound-guided core biopsies.

I made a diagnosis. Case reviewed elsewhere and called something else. Maybe no "right" answer and so a good case for discussion?

Basic IHC in next tweet, then poll in one after.

#pathology
DrMarkOng's tweet image. 60+ female with axillary lymph node. Ultrasound-guided core biopsies.

I made a diagnosis. Case reviewed elsewhere and called something else. Maybe no "right" answer and so a good case for discussion?

Basic IHC in next tweet, then poll in one after.

#pathology

Maj (Dr) Saurabh Moond reposted
GeronimoJrLapac's tweet image. #dermpath #Pathology

Loading...

Something went wrong.


Something went wrong.