Jai_prakashh's profile picture. Consultant pathologist😍

Jaishree Prakash

@Jai_prakashh

Consultant pathologist😍

Jaishree Prakash 님이 재게시함

32 female #breastpath. What would you call this? @RazaHoda @fouad_boulos @mhassanaimc @Gowri_passionP @ADamronMD More pictures in the thread

nandinipath's tweet image. 32 female #breastpath. What would you call this? @RazaHoda @fouad_boulos @mhassanaimc @Gowri_passionP @ADamronMD More pictures in the thread
nandinipath's tweet image. 32 female #breastpath. What would you call this? @RazaHoda @fouad_boulos @mhassanaimc @Gowri_passionP @ADamronMD More pictures in the thread
nandinipath's tweet image. 32 female #breastpath. What would you call this? @RazaHoda @fouad_boulos @mhassanaimc @Gowri_passionP @ADamronMD More pictures in the thread
nandinipath's tweet image. 32 female #breastpath. What would you call this? @RazaHoda @fouad_boulos @mhassanaimc @Gowri_passionP @ADamronMD More pictures in the thread

Jaishree Prakash 님이 재게시함

A 28-year-old cisgender woman from the Colombian Pacific region is 36 weeks pregnant, with fever and thrombocytopenia in the last week. Cesarean section due to unsatisfactory fetal status. #placental #pathology

sebastianpathos's tweet image. A 28-year-old cisgender woman from the Colombian Pacific region is 36 weeks pregnant, with fever and thrombocytopenia in the last week. Cesarean section due to unsatisfactory fetal status. #placental #pathology
sebastianpathos's tweet image. A 28-year-old cisgender woman from the Colombian Pacific region is 36 weeks pregnant, with fever and thrombocytopenia in the last week. Cesarean section due to unsatisfactory fetal status. #placental #pathology
sebastianpathos's tweet image. A 28-year-old cisgender woman from the Colombian Pacific region is 36 weeks pregnant, with fever and thrombocytopenia in the last week. Cesarean section due to unsatisfactory fetal status. #placental #pathology

Jaishree Prakash 님이 재게시함

Breast-Challenges in diagnosis Case diagnosed as invasive lobular carcinoma due to negativity for ecadherin This lesion was also triple negative and CK negative Patient had history of plasma cell neoplasm Lambda stains were positive Final diagnosis: metastasis of a plasma cell…

Janiranavarro's tweet image. Breast-Challenges in diagnosis
Case diagnosed as invasive lobular carcinoma due to negativity for ecadherin
This lesion was also triple negative and CK negative
Patient had history of plasma cell neoplasm
Lambda stains were positive
Final diagnosis: metastasis of a plasma cell…

Jaishree Prakash 님이 재게시함

I found this labeled image very helpful as a resident #grosspath #pathology #entpath #larynx #PathTwitter #pathX

smlungpathguy's tweet image. I found this labeled image very helpful as a resident 

#grosspath 
#pathology #entpath #larynx #PathTwitter #pathX

Jaishree Prakash 님이 재게시함

The art of grossing. A 47 yo woman with abnormal vaginal bleeding. Final Dx.6x5cm Hydropic Degeneration of Leiomyoma.#pathologists #pathresidents #Pathtweeter

vintage81106614's tweet image. The art of grossing. A 47 yo woman with abnormal vaginal bleeding. Final Dx.6x5cm Hydropic Degeneration of Leiomyoma.#pathologists #pathresidents #Pathtweeter

Jaishree Prakash 님이 재게시함

"Tram tracking" in tall cell papillary thyroid carcinoma.

DrJuhlin's tweet image. "Tram tracking" in tall cell papillary thyroid carcinoma.
DrJuhlin's tweet image. "Tram tracking" in tall cell papillary thyroid carcinoma.

Wow😍

Looking at a "Curschmann's spiral" never gets too old in cytology. A BAL sample from a 35 year old asthmatic patient.

mtsiddi's tweet image. Looking at a "Curschmann's spiral" never gets too old in cytology. A BAL sample from a 35 year old asthmatic patient.
mtsiddi's tweet image. Looking at a "Curschmann's spiral" never gets too old in cytology. A BAL sample from a 35 year old asthmatic patient.


Jaishree Prakash 님이 재게시함

#endopath holiday🎁! adrenalectomy for small mass, limited history had to hunt🔬but found spironolactone bodies😍! digging through chart, found out patient had hyperaldosteronism & was treated with spironolactone I tend to see🔬these in oncocytic component (vs clear cells)

slusagar's tweet image. #endopath holiday🎁!

adrenalectomy for small mass, limited history

had to hunt🔬but found spironolactone bodies😍!

digging through chart, found out patient had hyperaldosteronism & was treated with spironolactone

I tend to see🔬these in oncocytic component (vs clear cells)
slusagar's tweet image. #endopath holiday🎁!

adrenalectomy for small mass, limited history

had to hunt🔬but found spironolactone bodies😍!

digging through chart, found out patient had hyperaldosteronism & was treated with spironolactone

I tend to see🔬these in oncocytic component (vs clear cells)
slusagar's tweet image. #endopath holiday🎁!

adrenalectomy for small mass, limited history

had to hunt🔬but found spironolactone bodies😍!

digging through chart, found out patient had hyperaldosteronism & was treated with spironolactone

I tend to see🔬these in oncocytic component (vs clear cells)

Jaishree Prakash 님이 재게시함

So I am here at the age of 32 realising few things I was always a good student in school Somehow after joining medical college as an undergraduate I couldn’t cope up always fought for pass mark though I always secured first class Never gained confidence to face exams With…


Jaishree Prakash 님이 재게시함

Lytic bone lesion in femoral head. What does this patient have a history of? Answer & more pics: kikoxp.com/posts/8385. #BSTpath #pathologists #pathology #pathTwitter

JMGardnerMD's tweet image. Lytic bone lesion in femoral head. What does this patient have a history of? Answer & more pics: kikoxp.com/posts/8385. #BSTpath #pathologists #pathology #pathTwitter

Jaishree Prakash 님이 재게시함

60 y/f, post mastectomy status. Completed radiation in 2016, now a skin nodule. @fouad_boulos @mhassanaimc @JMGardnerMD @Vik_deshpandeMD @Gowri_passionP @kis_lorand @TristanRutland7

nandinipath's tweet image. 60 y/f, post mastectomy status. Completed radiation in 2016, now a skin nodule. @fouad_boulos @mhassanaimc @JMGardnerMD @Vik_deshpandeMD @Gowri_passionP @kis_lorand @TristanRutland7
nandinipath's tweet image. 60 y/f, post mastectomy status. Completed radiation in 2016, now a skin nodule. @fouad_boulos @mhassanaimc @JMGardnerMD @Vik_deshpandeMD @Gowri_passionP @kis_lorand @TristanRutland7
nandinipath's tweet image. 60 y/f, post mastectomy status. Completed radiation in 2016, now a skin nodule. @fouad_boulos @mhassanaimc @JMGardnerMD @Vik_deshpandeMD @Gowri_passionP @kis_lorand @TristanRutland7
nandinipath's tweet image. 60 y/f, post mastectomy status. Completed radiation in 2016, now a skin nodule. @fouad_boulos @mhassanaimc @JMGardnerMD @Vik_deshpandeMD @Gowri_passionP @kis_lorand @TristanRutland7

Jaishree Prakash 님이 재게시함

Thank you all for taking part in the case I posted last Friday. I chose one of the trickier fields to share with you, because of its educational value. The additional images provide more insight into the diagnosis. Let's go over the answers 1 by 1🧵 #breastpath #PathTwitter

fouad_boulos's tweet image. Thank you all for taking part in the case I posted last Friday. 

I chose one of the trickier fields to share with you, because of its educational value. The additional images provide more insight into the diagnosis.

Let's go over the answers 1 by 1🧵

#breastpath #PathTwitter
fouad_boulos's tweet image. Thank you all for taking part in the case I posted last Friday. 

I chose one of the trickier fields to share with you, because of its educational value. The additional images provide more insight into the diagnosis.

Let's go over the answers 1 by 1🧵

#breastpath #PathTwitter
fouad_boulos's tweet image. Thank you all for taking part in the case I posted last Friday. 

I chose one of the trickier fields to share with you, because of its educational value. The additional images provide more insight into the diagnosis.

Let's go over the answers 1 by 1🧵

#breastpath #PathTwitter
fouad_boulos's tweet image. Thank you all for taking part in the case I posted last Friday. 

I chose one of the trickier fields to share with you, because of its educational value. The additional images provide more insight into the diagnosis.

Let's go over the answers 1 by 1🧵

#breastpath #PathTwitter

Jaishree Prakash 님이 재게시함

Breast-Cystic Neutrophilic Granulomatous Mastitis (CNGM) Histologic criteria 1-Lobulocentric inflammation 2-Cystic spaces rimmed by neutrophils 3-Non-necrotizing granulomas 4-Gram stain with gram positive corynebacteria If you have at least 2 of the first 3 criteria and a…

Janiranavarro's tweet image. Breast-Cystic Neutrophilic Granulomatous Mastitis (CNGM)
Histologic criteria
1-Lobulocentric inflammation
2-Cystic spaces rimmed by neutrophils
3-Non-necrotizing granulomas
4-Gram stain with gram positive corynebacteria

If you have at least 2 of the first 3 criteria and a…
Janiranavarro's tweet image. Breast-Cystic Neutrophilic Granulomatous Mastitis (CNGM)
Histologic criteria
1-Lobulocentric inflammation
2-Cystic spaces rimmed by neutrophils
3-Non-necrotizing granulomas
4-Gram stain with gram positive corynebacteria

If you have at least 2 of the first 3 criteria and a…

Jaishree Prakash 님이 재게시함

Hey #Medicine residents 👋🏼 Time to talk about EOSINOPHILS today! Not as common a consult as thrombocytopenia & anemia but important nonetheless 🤷🏼 A short 🧵 to touch upon all things eosinophilia 👇🏻 #MedTwitter

nihardesai89's tweet image. Hey #Medicine residents 👋🏼

Time to talk about EOSINOPHILS today!

Not as common a consult as thrombocytopenia & anemia but important nonetheless 🤷🏼

A short 🧵 to touch upon all things eosinophilia 👇🏻

#MedTwitter

Jaishree Prakash 님이 재게시함

One of our brilliant residents showed me this case. Supraclavicular lymph node. No other clinical information at the moment. Micropapillary to papillary structures, some mitoses, some mucin production. (Short thread follows):

DrJuhlin's tweet image. One of our brilliant residents showed me this case. Supraclavicular lymph node. No other clinical information at the moment.

Micropapillary to papillary structures, some mitoses, some mucin production.

(Short thread follows):

Jaishree Prakash 님이 재게시함

Female with history of FLUS in 2019 (cytology) and PAX8/PPARG gene fusion (ThyroSeq). No treatment due to COVID pandemic/other personal reasons Now with soft tissue mass in central skull with aggressive features and a bulky thyroid mass with airway compression Diagnosis? See…

Janiranavarro's tweet image. Female with history of FLUS in 2019 (cytology) and PAX8/PPARG gene fusion (ThyroSeq). No treatment due to COVID pandemic/other personal reasons

Now with soft tissue mass in central skull with aggressive features and a bulky thyroid mass  with airway compression
Diagnosis? See…
Janiranavarro's tweet image. Female with history of FLUS in 2019 (cytology) and PAX8/PPARG gene fusion (ThyroSeq). No treatment due to COVID pandemic/other personal reasons

Now with soft tissue mass in central skull with aggressive features and a bulky thyroid mass  with airway compression
Diagnosis? See…

Jaishree Prakash 님이 재게시함

Isn't Cyto amazing? By using the images on twitter, I'm trying to entice those trainees who are yet uncommitted to seriously think of doing "Cytopath" as their future sub-specialty. See the wild example below - A honeycomb in CSF at low power?? - Swarming with Cryptococcus.

sza_jhcyto's tweet image. Isn't Cyto amazing?  By using the images on twitter, I'm trying to entice those trainees who are yet uncommitted to seriously think of doing "Cytopath" as their future sub-specialty. See the wild example below - A honeycomb in CSF at low power?? - Swarming with Cryptococcus.
sza_jhcyto's tweet image. Isn't Cyto amazing?  By using the images on twitter, I'm trying to entice those trainees who are yet uncommitted to seriously think of doing "Cytopath" as their future sub-specialty. See the wild example below - A honeycomb in CSF at low power?? - Swarming with Cryptococcus.
sza_jhcyto's tweet image. Isn't Cyto amazing?  By using the images on twitter, I'm trying to entice those trainees who are yet uncommitted to seriously think of doing "Cytopath" as their future sub-specialty. See the wild example below - A honeycomb in CSF at low power?? - Swarming with Cryptococcus.

👏😊👏😊

1. Introducing a new thread: super basic lung pathology for PGY1s, with arrows. If you are a PGY1, leave a comment and I will tag you in a future post. A hamartoma is a disorganized mix of overgrown normal tissues (in their normal location) that creates a mass. Good news: they…

smlungpathguy's tweet image. 1. 
Introducing a new thread: super basic lung pathology for PGY1s, with arrows. If you are a PGY1, leave a comment and I will tag you in a future post. 

A hamartoma is a disorganized mix of overgrown normal tissues (in their normal location) that creates a mass. Good news: they…


Jaishree Prakash 님이 재게시함

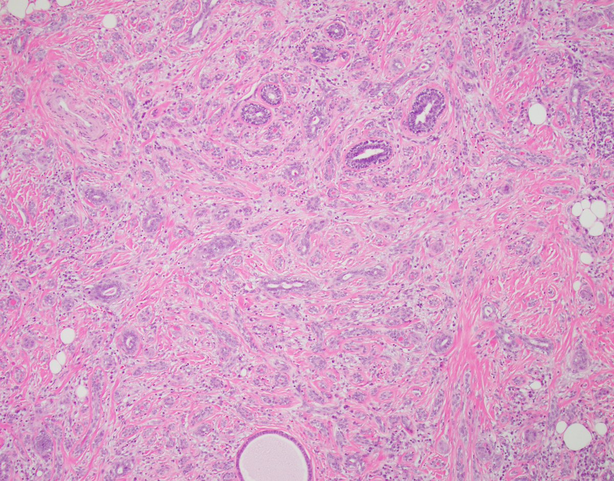
#GUpath nephrectomy🧩 (old case) from adult human #IHCpath (not shown): pos: PAX8, CD117, keratin neg: CK7, cathepsinK 🤔🔬❓

slusagar's tweet image. #GUpath nephrectomy🧩 (old case) from adult human

#IHCpath (not shown): 
pos: PAX8, CD117, keratin
neg: CK7, cathepsinK

🤔🔬❓
slusagar's tweet image. #GUpath nephrectomy🧩 (old case) from adult human

#IHCpath (not shown): 
pos: PAX8, CD117, keratin
neg: CK7, cathepsinK

🤔🔬❓
slusagar's tweet image. #GUpath nephrectomy🧩 (old case) from adult human

#IHCpath (not shown): 
pos: PAX8, CD117, keratin
neg: CK7, cathepsinK

🤔🔬❓

Jaishree Prakash 님이 재게시함

Clear cell RCC: “There is a complex vascular network with capillaries surrounding essentially every nest of tumour cells. Rarely, this may lead to mimicry of a vascular neoplasm if the epithelial component is less conspicuous” ~ WHO bluebook Here is a perfect example 👌🏽…

AMontasserMD's tweet image. Clear cell RCC:

“There is a complex vascular network with capillaries surrounding essentially every nest of tumour cells. Rarely, this may lead to mimicry of a vascular neoplasm if the epithelial component is less conspicuous” ~ WHO bluebook

Here is a perfect example 👌🏽…
AMontasserMD's tweet image. Clear cell RCC:

“There is a complex vascular network with capillaries surrounding essentially every nest of tumour cells. Rarely, this may lead to mimicry of a vascular neoplasm if the epithelial component is less conspicuous” ~ WHO bluebook

Here is a perfect example 👌🏽…

Loading...

Something went wrong.


Something went wrong.