Juliogen's profile picture. Biólogo y Doctor en Ciencias Bio-médicas (Universidad del Valle).
Post Doc Oncovirologia (Universidad de Chile)

Julio Osorio

@Juliogen

Biólogo y Doctor en Ciencias Bio-médicas (Universidad del Valle). Post Doc Oncovirologia (Universidad de Chile)

Here, we synthesize the evidence through a causality-oriented framework that integrates (i) standardized multi-target detection with mandatory contamination controls, (ii) epidemiologic designs researchgate.net/publication/39…


Julio Osorio reposted

Marcadores tumorales que debes recordar: Tumor de ovario → CA 125 Tumor de mama → CA 15-3 Tumor pancreático → CA 19-9 Tumor de próstata → PSA Tumor colorrectal → CEA Teratoma → AFP Seminoma → LDH Coriocarcinoma → Beta-hCG Células pequeñas (CPCP) → NSE Gastrinoma →…


This study investigated the presence of human papillomavirus (HPV) in lung cancer patients from Chile. We found that HPV is present in 4% of lung carcinomas and that the SLC7A11/xCT gene is frequently up-regulated in HPV-positive lung carcinomas. mdpi.com/1422-0067/25/2…

Juliogen's tweet image. This study investigated the presence of human papillomavirus (HPV) in lung cancer patients from Chile. We found that HPV is present in 4% of lung carcinomas and that the SLC7A11/xCT gene is frequently up-regulated in HPV-positive lung carcinomas.  mdpi.com/1422-0067/25/2…
Juliogen's tweet image. This study investigated the presence of human papillomavirus (HPV) in lung cancer patients from Chile. We found that HPV is present in 4% of lung carcinomas and that the SLC7A11/xCT gene is frequently up-regulated in HPV-positive lung carcinomas.  mdpi.com/1422-0067/25/2…

Congreso SoMiCh Chile. Ponencia oral "Barf1 in lung cancer anthracosis"

Juliogen's tweet image. Congreso SoMiCh Chile. Ponencia oral "Barf1 in lung cancer anthracosis"
Juliogen's tweet image. Congreso SoMiCh Chile. Ponencia oral "Barf1 in lung cancer anthracosis"
Juliogen's tweet image. Congreso SoMiCh Chile. Ponencia oral "Barf1 in lung cancer anthracosis"
Juliogen's tweet image. Congreso SoMiCh Chile. Ponencia oral "Barf1 in lung cancer anthracosis"

Julio Osorio reposted

Durante siete años, el CaMM🇨🇴 se ha consolidado como el punto de encuentro de investigadores jóvenes que buscan explorar los avances en microbiología🔬🦠. Continuaremos trabajando para visibilizar en 🇨🇴 la importancia de la microbiología 🦠💙 #CaMM2025 #CienciaParaTodos

CaRo3551's tweet image. Durante siete años, el CaMM🇨🇴 se ha consolidado como el punto de encuentro de investigadores jóvenes que buscan explorar los avances en microbiología🔬🦠.
Continuaremos trabajando para visibilizar en 🇨🇴 la importancia de la microbiología 🦠💙

#CaMM2025
#CienciaParaTodos
CaRo3551's tweet image. Durante siete años, el CaMM🇨🇴 se ha consolidado como el punto de encuentro de investigadores jóvenes que buscan explorar los avances en microbiología🔬🦠.
Continuaremos trabajando para visibilizar en 🇨🇴 la importancia de la microbiología 🦠💙

#CaMM2025
#CienciaParaTodos
CaRo3551's tweet image. Durante siete años, el CaMM🇨🇴 se ha consolidado como el punto de encuentro de investigadores jóvenes que buscan explorar los avances en microbiología🔬🦠.
Continuaremos trabajando para visibilizar en 🇨🇴 la importancia de la microbiología 🦠💙

#CaMM2025
#CienciaParaTodos
CaRo3551's tweet image. Durante siete años, el CaMM🇨🇴 se ha consolidado como el punto de encuentro de investigadores jóvenes que buscan explorar los avances en microbiología🔬🦠.
Continuaremos trabajando para visibilizar en 🇨🇴 la importancia de la microbiología 🦠💙

#CaMM2025
#CienciaParaTodos

If somebody needs Professional Scientific Help. instagram.com/researchbiohel…

Juliogen's tweet image. If somebody needs Professional Scientific Help. instagram.com/researchbiohel…

Julio Osorio reposted

🔬 Agéndate del 4 al 6 de diciembre y participa de este encuentro que presentará avances de investigadores de Colombia 🇨🇴, Chile 🇨🇱 y México 🇲🇽 en diferentes áreas del conocimiento de las ciencias básicas biomédicas.🤓 👉💻 Ingresa: shorturl.at/zw5aB 🖱️🔗 ¡Te esperamos!☝️

BiomedicasUdeA's tweet image. 🔬 Agéndate del 4 al 6 de diciembre y participa de este encuentro que presentará avances de investigadores de Colombia 🇨🇴, Chile 🇨🇱 y México 🇲🇽 en diferentes áreas del conocimiento de las ciencias básicas biomédicas.🤓

👉💻 Ingresa: shorturl.at/zw5aB 🖱️🔗

¡Te esperamos!☝️

Julio Osorio reposted

🚨 Great alternatives to BioRender are now available!! 📢 @NIAIDNews offers a collection of public figures and icons for everyone to use. Check it out at bioart.niaid.nih.gov

rborza_'s tweet image. 🚨 Great alternatives to BioRender are now available!!

📢 @NIAIDNews offers a collection of public figures and icons for everyone to use. Check it out at bioart.niaid.nih.gov

cIAP2 protein in oropharyngeal cancer. Our study suggests targeting cIAP2 might improve treatment outcomes for HPV-positive head and neck cancers. #HPV #headandneckcancer #radiationtherapy #clinicalresearch researchgate.net/publication/38…

Juliogen's tweet image. cIAP2 protein in oropharyngeal cancer. Our study suggests targeting cIAP2 might improve treatment outcomes for HPV-positive head and neck cancers. #HPV #headandneckcancer #radiationtherapy #clinicalresearch
researchgate.net/publication/38…

Julio Osorio reposted

Recruiting faculty to the Dept of Molecular and Cellular Biology at Baylor College of Medicine in Houston, TX! Recruiting broadly in cancer and cell biology. Submit by October 1, 2024, for full review. #cellbio @BCMhouston bcm.edu/departments/mo… jobs.sciencecareers.org/job/659987/ten…


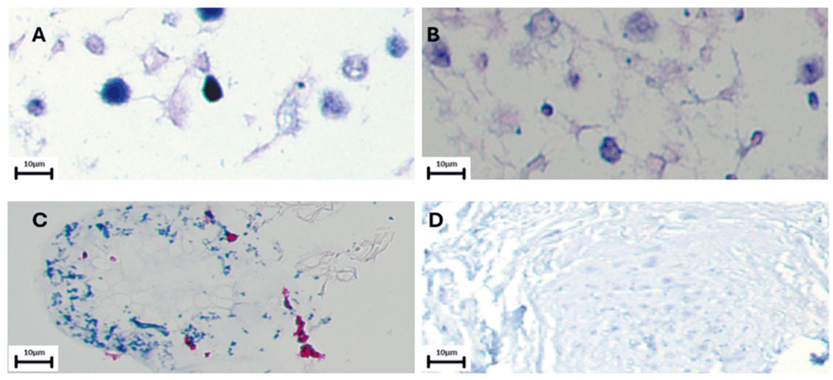
😱 EBV, a virus linked to lymphomas and cancers, may also play a role in lung cancer progression! Our study found EBV in 23% of lung carcinomas and linked the BARF1 protein to increased cell migration and invasion. 🦠🔬 #lungcancer #EBV #research" mdpi.com/2073-4409/13/1…

Juliogen's tweet image. 😱 EBV, a virus linked to lymphomas and cancers, may also play a role in lung cancer progression! Our study found EBV in 23% of lung carcinomas and linked the BARF1 protein to increased cell migration and invasion. 🦠🔬 #lungcancer #EBV #research"  mdpi.com/2073-4409/13/1…

Epstein-Barr Virus BARF1 is expressed in lung cancer and is associated with cancer progressionhttps://www.researchgate.net/publication/384011800_Epstein-Barr_Virus_BARF1_is_expressed_in_lung_cancer_and_is_associated_with_cancer_progression

Juliogen's tweet image. Epstein-Barr Virus BARF1 is expressed in lung cancer and is associated with cancer progressionhttps://www.researchgate.net/publication/384011800_Epstein-Barr_Virus_BARF1_is_expressed_in_lung_cancer_and_is_associated_with_cancer_progression

Julio Osorio reposted

And here the ad for position 2

GeroldLab's tweet image. And here the ad for position 2
GeroldLab's tweet image. And here the ad for position 2

Julio Osorio reposted

We are hiring! 2 #postdoc #positions in advanced infection models and in data-driven #virology tba on Sept 4th at tinyurl.com/2bdvs7yk Join an enthusiastic and international team of virologists @MedUniInnsbruck in beautiful Tyrol. Join the club of those who #lovevirology

GeroldLab's tweet image. We are hiring! 2 #postdoc #positions in advanced infection models and in data-driven #virology tba on Sept 4th at tinyurl.com/2bdvs7yk Join an enthusiastic and international team of virologists @MedUniInnsbruck in beautiful Tyrol. Join the club of those who #lovevirology

Julio Osorio reposted

Postdoc job opportunity alert! 🌟 Note that the dates in the official posting are outdated. The new start date is Spring or Summer 2025. Apply by September 9, 2024 🚀 spartantalent.uncg.edu/postings/28646

Maia_Popova's tweet image. Postdoc job opportunity alert! 🌟 Note that the dates in the official posting are outdated. The new start date is Spring or Summer 2025. Apply by September 9, 2024 🚀 spartantalent.uncg.edu/postings/28646

Loading...

Something went wrong.


Something went wrong.