PodSchuler's profile picture. Podiatric Foot and Ankle Surgeon.

Christine Schuler

@PodSchuler

Podiatric Foot and Ankle Surgeon.

Christine Schuler reposted

New in FAO: Systematic Review of Operative vs Nonoperative Treatment of Displaced Intraarticular Calcaneal Fractures. ow.ly/3JbZ50JmiUI


Christine Schuler reposted

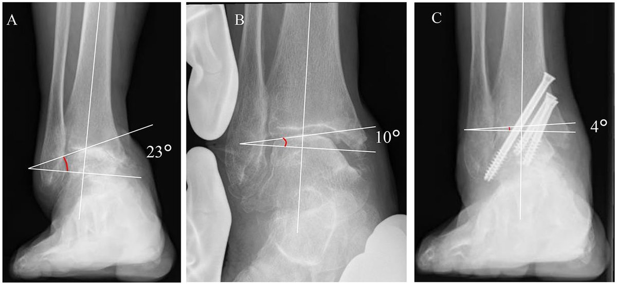
This tip provides a surgical option to correct a distal tibial varus deformity resulting from medial tibial physeal arrest. Using an oblique opening wedge distal tibia osteotomy, surgeons can correct coronal plane deformity in the pediatric population. doi.org/10.1177/107110…

AOFAS_Journals's tweet image. This tip provides a surgical option to correct a distal tibial varus deformity resulting from medial tibial physeal arrest. Using an oblique opening wedge distal tibia osteotomy, surgeons can correct coronal plane deformity in the pediatric population. doi.org/10.1177/107110…

Christine Schuler reposted

In this study, antibiotic-impregnated calcium sulfate achieved higher single stage cure rate than irrigation and debridement alone when treating chronic calcaneal osteomyelitis, however is associated with an increase in post-operative wound exudate. doi.org/10.1177/107110…

AOFAS_Journals's tweet image. In this study, antibiotic-impregnated calcium sulfate achieved higher single stage cure rate than irrigation and debridement alone when treating chronic calcaneal osteomyelitis, however is associated with an increase in post-operative wound exudate. doi.org/10.1177/107110…

Christine Schuler reposted

A retrospective study of 100 patients who underwent operative treatment due to calcaneal malunions showed that patients with talar inclination angle greater than 6.5 degrees seem to have better functional outcomes at 2 years postop: ow.ly/OBH450IzJ8c

AOFAS_Journals's tweet image. A retrospective study of 100 patients who underwent operative treatment due to calcaneal malunions showed that patients with talar inclination angle greater than 6.5 degrees seem to have better functional outcomes at 2 years postop: ow.ly/OBH450IzJ8c

See one, do one, teach one! Any day the OR is going TIBIA good day! #Residency #podiatry

PodSchuler's tweet image. See one, do one, teach one! Any day the OR is going TIBIA good day! #Residency #podiatry

Christine Schuler reposted

Happy Match Day!


Christine Schuler reposted

In this randomized controlled trial on Lisfranc injuries, bridge plating is compared to primary arthrodesis of the 1st TMT joint. The 2nd & 3rd TMT joints were fused in all patients. No method was found to be superior in regards to the AOFAS midfoot score. ow.ly/IFcu50AWqOq

AOFAS_Journals's tweet image. In this randomized controlled trial on Lisfranc injuries, bridge plating is compared to primary arthrodesis of the 1st TMT joint. The 2nd & 3rd TMT joints were fused in all patients. No method was found to be superior in regards to the AOFAS midfoot score. ow.ly/IFcu50AWqOq

Christine Schuler reposted

5-yr data after nonoperative treatment for Achilles tendon rupture shown 94% overall patient satisfaction. 91% of patients with low pre-injury athletic activity were able to return to same level. While only 67% with high activity were able to do the same. ow.ly/aRlo50AzXhh

AOFAS_Journals's tweet image. 5-yr data after nonoperative treatment for Achilles tendon rupture shown 94% overall patient satisfaction. 91% of patients with low pre-injury athletic activity were able to return to same level. While only 67% with high activity were able to do the same. ow.ly/aRlo50AzXhh

Christine Schuler reposted

This study emphasized the increased prevalence of lateral gutter osteophytes in moderate-to-severe varus deformity end-stage ankle arthritis patients and the importance of osteophyte resection in deformity correction during arthroscopic arthrodesis. ow.ly/XHqD50AuZ0B

AOFAS_Journals's tweet image. This study emphasized the increased prevalence of lateral gutter osteophytes in moderate-to-severe varus deformity end-stage ankle arthritis patients and the importance of osteophyte resection in deformity correction during arthroscopic arthrodesis. ow.ly/XHqD50AuZ0B

Christine Schuler reposted

Treatment of chronic lateral ankle instability with the all-inside arthroscopic Brostrom-Gould surgery yields better functional outcomes and recovery to preinjury mobility when 2 anchors are used instead of 1. ow.ly/1Ben50AkS89

AOFAS_Journals's tweet image. Treatment of chronic lateral ankle instability with the all-inside arthroscopic Brostrom-Gould surgery yields better functional outcomes and recovery to preinjury mobility when 2 anchors are used instead of 1. ow.ly/1Ben50AkS89

Christine Schuler reposted

Will tourniquet use during ankle fracture surgery negatively affect wound healing and increase infection related complications? ow.ly/BOuo50AgD1Q


Christine Schuler reposted

The study reported better clinical and functional outcomes for proximal 5th metatarsal fractures treated with elastic bandage than with cast immobilization, regardless of degree of fracture displacement: ow.ly/SSFv50A7Yke

AOFAS_Journals's tweet image. The study reported better clinical and functional outcomes for proximal 5th metatarsal fractures treated with elastic bandage than with cast immobilization, regardless of degree of fracture displacement: ow.ly/SSFv50A7Yke

Christine Schuler reposted

Vaccine-preventable diseases include: Cervical cancer Cholera Diphtheria Ebola Hep B Influenza Japanese encephalitis Measles Meningitis Mumps Pertussis Pneumonia Polio Rabies Rotavirus Rubella Tetanus Typhoid Varicella Yellow Fever Yes, #VaccinesWork!


Christine Schuler reposted

BREAKING UPDATE: Florida’s Department of Health on Wednesday confirmed 1,317 additional cases of COVID-19, bringing the state’s total to 58,764 confirmed cases. Wednesday’s daily total of new known cases is the highest the state has seen since April 17. trib.al/VICMpsa


Christine Schuler reposted

Authors report that ongoing regeneration is a feature of diabetic & neuropathic muscle that declines with increasing pathological severity. This suggests the potential for adjuvant cell-based regenerative medicine strategies to improve clinical outcomes. doi.org/10.1177/107110…

AOFAS_Journals's tweet image. Authors report that ongoing regeneration is a feature of diabetic & neuropathic muscle that declines with increasing pathological severity. This suggests the potential for adjuvant cell-based regenerative medicine strategies to improve clinical outcomes. doi.org/10.1177/107110…

Christine Schuler reposted

Internal medicine seems hard


Christine Schuler reposted

I did it. I made a tiktok that nobody on tiktok will understand.


Christine Schuler reposted

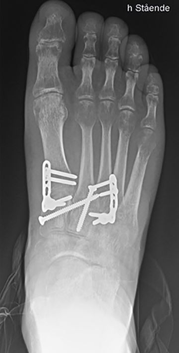
This study compared two treatments for Freiberg disease. Osteochondral autologous transplantation was found to have better outcomes versus dorsal closing wedge metatarsal osteotomy. ow.ly/6Y6C50zTCX3


Christine Schuler reposted

This week, CDC received 15 models to forecast possible #COVID19 deaths in the US. As of May 25, the forecasts suggest the increase in total number of deaths to continue to slow but exceed 115,000 by June 20. Forecasts vary by state, see yours here: bit.ly/3cKQIl4.

CDCgov's tweet image. This week, CDC received 15 models to forecast possible #COVID19 deaths in the US. As of May 25, the forecasts suggest the increase in total number of deaths to continue to slow but exceed 115,000 by June 20. Forecasts vary by state, see yours here: bit.ly/3cKQIl4.

Loading...

Something went wrong.


Something went wrong.