SeanHacking's profile picture. Precision Medicine. Asst Prof, Pathology @NYUGrossman

Sean Hacking

@SeanHacking

Precision Medicine. Asst Prof, Pathology @NYUGrossman

Pinned

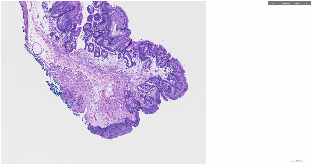
Rectal Polyp. #PathTwitter

SeanHacking's tweet image. Rectal Polyp. #PathTwitter
SeanHacking's tweet image. Rectal Polyp. #PathTwitter
SeanHacking's tweet image. Rectal Polyp. #PathTwitter

Collision dysplasia: traditional serrated adenoma abutting high‑grade anal intraepithelial neoplasia (AIN 2/3) #pathology #PathTwitter

SeanHacking's tweet image. Collision dysplasia: traditional serrated adenoma abutting high‑grade anal intraepithelial neoplasia (AIN 2/3) #pathology #PathTwitter
SeanHacking's tweet image. Collision dysplasia: traditional serrated adenoma abutting high‑grade anal intraepithelial neoplasia (AIN 2/3) #pathology #PathTwitter
SeanHacking's tweet image. Collision dysplasia: traditional serrated adenoma abutting high‑grade anal intraepithelial neoplasia (AIN 2/3) #pathology #PathTwitter

Sean Hacking reposted

What a pleasure to work with rising pathology star, @FranReyesMD et al, to address gaps in pathology MedEd that are worldwide. Read more below & let us know your thoughts! @UMichPath @KMirza @atman_ci

Pathology exposure in Spanish medical schools is strikingly low and strongly influences residency choices against the specialty. Our nationwide study reveals the current landscape + concrete proposals to make pathology more visible & attractive to students. Link below! 📚🔬

FranReyesMD's tweet image. Pathology exposure in Spanish medical schools is strikingly low and strongly influences residency choices against the specialty. Our nationwide study reveals the current landscape + concrete proposals to make pathology more visible & attractive to students. Link below! 📚🔬


Gastric Epithelioid GIST Mimicking Signet Ring Cell Carcinoma. #PathTwitter #GIPathology

SeanHacking's tweet image. Gastric Epithelioid GIST Mimicking Signet Ring Cell Carcinoma. #PathTwitter #GIPathology
SeanHacking's tweet image. Gastric Epithelioid GIST Mimicking Signet Ring Cell Carcinoma. #PathTwitter #GIPathology
SeanHacking's tweet image. Gastric Epithelioid GIST Mimicking Signet Ring Cell Carcinoma. #PathTwitter #GIPathology
SeanHacking's tweet image. Gastric Epithelioid GIST Mimicking Signet Ring Cell Carcinoma. #PathTwitter #GIPathology

Sean Hacking reposted

📢 New study alert! 🖥️Pathologists are cautiously exploring AI: familiar but not frequent users. 💿Mostly used for writing & research — not diagnosis. 👩‍💻Concerns: privacy, errors & unclear guidelines. Read more: sciencedirect.com/science/articl… Thoughts?💭 #Pathology #AI #MedTwitter

MeredithKHerman's tweet image. 📢 New study alert!
🖥️Pathologists are cautiously exploring AI: familiar but not frequent users.
💿Mostly used for writing & research — not diagnosis.
👩‍💻Concerns: privacy, errors & unclear guidelines.
Read more: sciencedirect.com/science/articl…

Thoughts?💭 
#Pathology #AI #MedTwitter
MeredithKHerman's tweet image. 📢 New study alert!
🖥️Pathologists are cautiously exploring AI: familiar but not frequent users.
💿Mostly used for writing & research — not diagnosis.
👩‍💻Concerns: privacy, errors & unclear guidelines.
Read more: sciencedirect.com/science/articl…

Thoughts?💭 
#Pathology #AI #MedTwitter

Sean Hacking reposted

Stop by to meet superstar medical students/future pathologists @Saniaqazi10 @elisarfarrell on Sunday Sep 14th, 12-1:30pm poster #158 and learn about AI usage in pathology @DrBuiPathology @SeanHacking #CAP25 #PathX

Excited to share that we will be presenting our poster at #CAP25! This work explores how AI tools like ChatGPT are being used in pathology, where they help, and the future of their use. Looking forward to discussing the future of AI in pathology! #CAP2025 #Pathx #PathMatch26

Saniaqazi10's tweet image. Excited to share that we will be presenting our poster at #CAP25!

This work explores how AI tools like ChatGPT are being used in pathology, where they help, and the future of their use.

Looking forward to discussing the future of AI in pathology! 
#CAP2025 #Pathx #PathMatch26


Sean Hacking reposted

Sharing for the genius behind this meme, my co-resident Chris Henderson. Which one beat describes you? 😂 #DigPath @dpatweet @Pathologists @UMichPath #PathX

MeredithKHerman's tweet image. Sharing for the genius behind this meme, my co-resident Chris Henderson. 

Which one beat describes you? 😂

#DigPath @dpatweet @Pathologists @UMichPath #PathX

Sean Hacking reposted

🌍 IMGs face barriers to observerships—limited access, unclear pathways, and global inequities. At MatchToPath.com, we’re bridging the gap with tools, transparency & opportunity. 📖 Read our latest piece: sciencedirect.com/science/articl…

MeredithKHerman's tweet image. 🌍 IMGs face barriers to observerships—limited access, unclear pathways, and global inequities.
At MatchToPath.com, we’re bridging the gap with tools, transparency & opportunity.
📖 Read our latest piece: sciencedirect.com/science/articl…

Sean Hacking reposted

Pathology 🔬 1980 – “Immunohistochemistry will replace you!” 2010 – “Molecular genetics will replace you!” 2020 – “AI will replace you!” 2025 – “This app made by a startup with zero pathologists will replace you!” ”E pur si muove” /Galileo Galilei


Sean Hacking reposted

we have so much data but the most fierce 2 stats about @NYUGSOM_Path Digital Pathology transformation are: Surg Path cases digitized: 5/12/24: 0% 5/12/25: 100% Surg Path cases SIGNED OUT digitally: 5/12/24: 0% 5/12/25: ~70% (!) #pathtwitter #digitalpathology


LA Grade D Esophagitis on upper endoscopy. What is your diagnosis? #Pathology

SeanHacking's tweet image. LA Grade D Esophagitis on upper endoscopy. What is your diagnosis? #Pathology
SeanHacking's tweet image. LA Grade D Esophagitis on upper endoscopy. What is your diagnosis? #Pathology
SeanHacking's tweet image. LA Grade D Esophagitis on upper endoscopy. What is your diagnosis? #Pathology

Sean Hacking reposted

Oxyntic mucosa pseudopolyp. In patients with autoimmune gastritis (pernicious anemia pattern of injury), small foci of undamaged mucosa can appear as polyps because the surrounding mucosa is atrophic and flattened. Krasinskas AM, et al. PMID: 12548171.

LizMontgomeryMD's tweet image. Oxyntic mucosa pseudopolyp. In patients with autoimmune gastritis (pernicious anemia pattern of injury), small foci of undamaged mucosa can appear as polyps because the surrounding mucosa is atrophic  and flattened. 
Krasinskas AM, et al.  PMID: 12548171.
LizMontgomeryMD's tweet image. Oxyntic mucosa pseudopolyp. In patients with autoimmune gastritis (pernicious anemia pattern of injury), small foci of undamaged mucosa can appear as polyps because the surrounding mucosa is atrophic  and flattened. 
Krasinskas AM, et al.  PMID: 12548171.

🚨 Don’t miss your chance! 🚨 How are AI & tools like ChatGPT shaping your pathology training & practice? 📝 Share your thoughts in this short, anonymous survey: umich.qualtrics.com/jfe/form/SV_0x… Your input matters! 🌟 #Pathology #AI #ChatGPT @MeredithKHerman


Sean Hacking reposted

#PathX I’m curious, what version(s) of ChatGPT/AI do you use? #pathology #medicaltwitter @Path_Matt @SeanHacking @01sth02 @KMirza @DrBuiPathology @cpschukow


Sean Hacking reposted

Interpreter of all IgG4 maladies!!! Unknown slide session in the morning. Early Diwali gift -a masterclass with Dr. Vikram Deshpande. Thank you! Cool cases and fun anecdotes. More in the afternoon Grand Rounds! @Vik_deshpandeMD #PathTwitter

sarkarstics's tweet image. Interpreter of all IgG4 maladies!!! Unknown slide session in the morning. Early Diwali gift -a masterclass with Dr. Vikram Deshpande. Thank you!  Cool cases and fun anecdotes.  More in the afternoon Grand Rounds!
@Vik_deshpandeMD 
#PathTwitter

Sean Hacking reposted

adding this to me: Director of Digital Pathology (clinical) ⚡️ SO happy to be leading a unique & BOLD effort for NYU Pathology! in 6-9 months we will be FULLY digital this is unlike other digital path rollouts & I can’t wait to help others afterwards! #pathX #pathtwitter


Sean Hacking reposted

Bread and Butter: It's easy to overlook T4a colorectal carcinoma when mesothelium (indicated) extends up along adipose tissue lobules. In this case, the cancer cells link to the mesothelial cells via inflammation. #umiamipath

LizMontgomeryMD's tweet image. Bread and Butter: It's easy to overlook T4a colorectal carcinoma when mesothelium (indicated) extends up along adipose tissue lobules. In this case, the cancer cells link to the mesothelial cells via inflammation. #umiamipath
LizMontgomeryMD's tweet image. Bread and Butter: It's easy to overlook T4a colorectal carcinoma when mesothelium (indicated) extends up along adipose tissue lobules. In this case, the cancer cells link to the mesothelial cells via inflammation. #umiamipath

Sean Hacking reposted

This is a striking example of portal hypertensive colopathy in a patient with cirrhosis. #umiamipath

LizMontgomeryMD's tweet image. This is a striking example of portal hypertensive colopathy in a patient with cirrhosis. #umiamipath
LizMontgomeryMD's tweet image. This is a striking example of portal hypertensive colopathy in a patient with cirrhosis. #umiamipath
LizMontgomeryMD's tweet image. This is a striking example of portal hypertensive colopathy in a patient with cirrhosis. #umiamipath

Sean Hacking reposted

Intranodal ___ affecting an inguinal lymph node A) schwannoma B) hyalinizing spindle cell tumor with giant rosettes C) palisaded myofibroblastoma 🔬virtualpathology.leeds.ac.uk/slides/library… #BSTPath #PathTwitter #Pathology #HemePath

DrCycloPath's tweet image. Intranodal ___ affecting an inguinal lymph node 
A) schwannoma
B) hyalinizing spindle cell tumor with giant rosettes 
C) palisaded myofibroblastoma
🔬virtualpathology.leeds.ac.uk/slides/library…
#BSTPath #PathTwitter #Pathology #HemePath

Sean Hacking reposted

ChatGPT and Medicine: Together We Embrace the AI Renaissance dlvr.it/T6YPYw

jmirpub's tweet image. ChatGPT and Medicine: Together We Embrace the AI Renaissance dlvr.it/T6YPYw

Sean Hacking reposted

the best teachers don’t try and remember how it feels to be a student because they are still students.


Loading...

Something went wrong.


Something went wrong.