Wiley_CancerRep's profile picture. Cancer Reports is an international, peer-reviewed, OA journal publishing basic, translational, clinical & interdisciplinary research in all aspects of cancer.

Cancer Reports

@Wiley_CancerRep

Cancer Reports is an international, peer-reviewed, OA journal publishing basic, translational, clinical & interdisciplinary research in all aspects of cancer.

Pehlivan et al. investigated association between cigarette smoking & poor sleep in patients diagnosed with cancer, using data from National Health & Nutrition Examination Survey. doi.org/10.1002/cnr2.7… #CancerReports #Wiley #Cancer #Smoking #PoorSleep #SmokingCessation

Wiley_CancerRep's tweet image. Pehlivan et al. investigated association between cigarette smoking & poor sleep in patients diagnosed with cancer, using data from National Health & Nutrition Examination Survey.
doi.org/10.1002/cnr2.7…
#CancerReports #Wiley #Cancer #Smoking #PoorSleep #SmokingCessation

Azadi et al. reviewed the roles of nicotinic acetylcholine receptors (nAChRs) in cancer development with their context-dependent activation & downstream effectors. doi.org/10.1002/cnr2.7… #CancerReports #Wiley #Cancer #NicotinicAcetylcholineReceptor #Therapeutics

Wiley_CancerRep's tweet image. Azadi et al. reviewed the roles of nicotinic acetylcholine receptors (nAChRs) in cancer development with their context-dependent activation & downstream effectors.
doi.org/10.1002/cnr2.7…
#CancerReports #Wiley #Cancer #NicotinicAcetylcholineReceptor #Therapeutics
Wiley_CancerRep's tweet image. Azadi et al. reviewed the roles of nicotinic acetylcholine receptors (nAChRs) in cancer development with their context-dependent activation & downstream effectors.
doi.org/10.1002/cnr2.7…
#CancerReports #Wiley #Cancer #NicotinicAcetylcholineReceptor #Therapeutics
Wiley_CancerRep's tweet image. Azadi et al. reviewed the roles of nicotinic acetylcholine receptors (nAChRs) in cancer development with their context-dependent activation & downstream effectors.
doi.org/10.1002/cnr2.7…
#CancerReports #Wiley #Cancer #NicotinicAcetylcholineReceptor #Therapeutics
Wiley_CancerRep's tweet image. Azadi et al. reviewed the roles of nicotinic acetylcholine receptors (nAChRs) in cancer development with their context-dependent activation & downstream effectors.
doi.org/10.1002/cnr2.7…
#CancerReports #Wiley #Cancer #NicotinicAcetylcholineReceptor #Therapeutics

Seto et al. assessed correlation between tumor-infiltrating immune cells, expression levels of TGFβ1 & SMAD3, & survival of patients with small cell lung cancer after treatment with immune checkpoint inhibitors plus chemotherapy. doi.org/10.1002/cnr2.7… #CancerReports #Wiley

Wiley_CancerRep's tweet image. Seto et al. assessed correlation between tumor-infiltrating immune cells, expression levels of TGFβ1 & SMAD3, & survival of patients with small cell lung cancer after treatment with immune checkpoint inhibitors plus chemotherapy.
doi.org/10.1002/cnr2.7…
#CancerReports #Wiley

Haney & Holstein reviewed advantages & shortcomings of osteosarcoma mouse models—transgenic, orthotopic & heterotopic models, and patient-derived xenografts. doi.org/10.1002/cnr2.7… #CancerReports #Wiley #Review #Osteosarcoma #MouseModel #Preclinical #Therapeutics

Wiley_CancerRep's tweet image. Haney & Holstein reviewed advantages & shortcomings of osteosarcoma mouse models—transgenic, orthotopic & heterotopic models, and patient-derived xenografts.
doi.org/10.1002/cnr2.7…
#CancerReports #Wiley #Review #Osteosarcoma #MouseModel #Preclinical #Therapeutics

Uetani et al. retrospectively reviewed preoperative clinical & pathological data of patients who underwent radical or partial nephrectomy for clear cell renal cell carcinoma. doi.org/10.1002/cnr2.7… #CancerReports #Wiley #ClearCellRenalCellCarcinoma #InflammatoryMarkers

Wiley_CancerRep's tweet image. Uetani et al. retrospectively reviewed preoperative clinical & pathological data of patients who underwent radical or partial nephrectomy for clear cell renal cell carcinoma.
doi.org/10.1002/cnr2.7…
#CancerReports #Wiley #ClearCellRenalCellCarcinoma #InflammatoryMarkers

Skenderi & Babu et al. performed a SEER analysis of acinic cell carcinoma of the breast. The study indicates potentially aggressive clinical behavior in mammary acinic cell carcinoma. doi.org/10.1002/cnr2.7… #CancerReports #Wiley #AcinicCellCarcinoma #Population #SEER

Wiley_CancerRep's tweet image. Skenderi & Babu et al. performed a SEER analysis of acinic cell carcinoma of the breast. The study indicates potentially aggressive clinical behavior in mammary acinic cell carcinoma.
doi.org/10.1002/cnr2.7…
#CancerReports #Wiley #AcinicCellCarcinoma #Population #SEER

Sasaki et al. report a case where comprehensive genomic profiling identified microsatellite instability, high tumor mutational burden & actionable genetic mutations in cancer of unknown origin and gastric cancer. doi.org/10.1002/cnr2.7… #CancerReports #Wiley #CaseReport

Wiley_CancerRep's tweet image. Sasaki et al. report a case where comprehensive genomic profiling identified microsatellite instability, high tumor mutational burden & actionable genetic mutations in cancer of unknown origin and gastric cancer.
doi.org/10.1002/cnr2.7…
#CancerReports #Wiley #CaseReport
Wiley_CancerRep's tweet image. Sasaki et al. report a case where comprehensive genomic profiling identified microsatellite instability, high tumor mutational burden & actionable genetic mutations in cancer of unknown origin and gastric cancer.
doi.org/10.1002/cnr2.7…
#CancerReports #Wiley #CaseReport

Wang et al. analyzed risk factors of cervical & intrathoracic anastomotic leakage after radical resection of esophageal cancer & establish prediction model for early clinical prevention & treatment. doi.org/10.1002/cnr2.7… #CancerReports #Wiley #EsophagealCancer @WileyOnc_Hem

Wiley_CancerRep's tweet image. Wang et al. analyzed risk factors of cervical & intrathoracic anastomotic leakage after radical resection of esophageal cancer & establish prediction model for early clinical prevention & treatment.
doi.org/10.1002/cnr2.7…
#CancerReports #Wiley #EsophagealCancer
@WileyOnc_Hem

Xia et al. examined m6A modification patterns in lung adenocarcinoma. m6A score can be prognostic marker associated with survival, obstructive sleep apnea-hypopnea syndrome incidence & drug sensitivity doi.org/10.1002/cnr2.7… #CancerReports #LungAdenocarcinoma #N6methyladenosine

Wiley_CancerRep's tweet image. Xia et al. examined m6A modification patterns in lung adenocarcinoma. m6A score can be prognostic marker associated with survival, obstructive sleep apnea-hypopnea syndrome incidence & drug sensitivity
doi.org/10.1002/cnr2.7…
#CancerReports #LungAdenocarcinoma #N6methyladenosine

Quach et al. present a case study of patient with synchronous bilateral primary non-small cell lung cancer (#NSCLC) with different mutations in #EGFR—G719C in exon 18 in right lung & exon 19 deletion in left lung. doi.org/10.1002/cnr2.7… #CancerReports #CaseReport @WileyOnc_Hem

Wiley_CancerRep's tweet image. Quach et al. present a case study of patient with synchronous bilateral primary non-small cell lung cancer (#NSCLC) with different mutations in #EGFR—G719C in exon 18 in right lung & exon 19 deletion in left lung.
doi.org/10.1002/cnr2.7…
#CancerReports #CaseReport
@WileyOnc_Hem

Luo et al. analyzed trends in prevalence, incidence, mortality & disability-adjusted life years of patients with head & neck cancer, focusing on regional & gender differences, using data from Global Burden of Disease 2021. doi.org/10.1002/cnr2.7… #CancerReports #HeadNeckCancer

Wiley_CancerRep's tweet image. Luo et al. analyzed trends in prevalence, incidence, mortality & disability-adjusted life years of patients with head & neck cancer, focusing on regional & gender differences, using data from Global Burden of Disease 2021.
doi.org/10.1002/cnr2.7…
#CancerReports #HeadNeckCancer
Wiley_CancerRep's tweet image. Luo et al. analyzed trends in prevalence, incidence, mortality & disability-adjusted life years of patients with head & neck cancer, focusing on regional & gender differences, using data from Global Burden of Disease 2021.
doi.org/10.1002/cnr2.7…
#CancerReports #HeadNeckCancer

Hao et al. developed biologically interpretable machine learning framework—OncoTrace-TOO—to accurately classify tissue-of-origin across diverse cancers. doi.org/10.1002/cnr2.7… #CancerReports #Wiley #Cancer #Cancer_Unknown_Primary #MachineLearning #OncoTraceTOO #Transcriptome

Wiley_CancerRep's tweet image. Hao et al. developed biologically interpretable machine learning framework—OncoTrace-TOO—to accurately classify tissue-of-origin across diverse cancers.
doi.org/10.1002/cnr2.7…
#CancerReports #Wiley #Cancer #Cancer_Unknown_Primary #MachineLearning #OncoTraceTOO #Transcriptome

Li, Yang & Peng et al. developed deep learning models for predicting 3-year survival in patients with Pineoblastoma, using SEER database. doi.org/10.1002/cnr2.7… #CancerReports #Wiley #Pineoblastoma #DeepLearning #SurvivalPredictionModel #SEER @WileyOnc_Hem @WileyBiomedical

Wiley_CancerRep's tweet image. Li, Yang & Peng et al. developed deep learning models for predicting 3-year survival in patients with Pineoblastoma, using SEER database.
doi.org/10.1002/cnr2.7…
#CancerReports #Wiley #Pineoblastoma #DeepLearning #SurvivalPredictionModel #SEER 
@WileyOnc_Hem @WileyBiomedical

Cai & Jiang et al. reviewed roles of piwi-interacting RNA (#piRNA) in urologic carcinoma—N6-methyladenosine modification & silencing of transposable elements; application in clinical diagnosis. doi.org/10.1002/cnr2.7… #CancerReports #Wiley #PiwiRNA #piRNA #UrologicCarcinoma

Wiley_CancerRep's tweet image. Cai & Jiang et al. reviewed roles of piwi-interacting RNA (#piRNA) in urologic carcinoma—N6-methyladenosine modification & silencing of transposable elements; application in clinical diagnosis.
doi.org/10.1002/cnr2.7…
#CancerReports #Wiley #PiwiRNA #piRNA #UrologicCarcinoma
Wiley_CancerRep's tweet image. Cai & Jiang et al. reviewed roles of piwi-interacting RNA (#piRNA) in urologic carcinoma—N6-methyladenosine modification & silencing of transposable elements; application in clinical diagnosis.
doi.org/10.1002/cnr2.7…
#CancerReports #Wiley #PiwiRNA #piRNA #UrologicCarcinoma
Wiley_CancerRep's tweet image. Cai & Jiang et al. reviewed roles of piwi-interacting RNA (#piRNA) in urologic carcinoma—N6-methyladenosine modification & silencing of transposable elements; application in clinical diagnosis.
doi.org/10.1002/cnr2.7…
#CancerReports #Wiley #PiwiRNA #piRNA #UrologicCarcinoma

Yoshimura et al. examined relationship between mutation allele frequency & genetic mutation site & factors that influence prediction of recurrence by circulating tumor DNA in patients with colorectal cancer. doi.org/10.1002/cnr2.7… #CancerReports #Wiley #Mutations @WileyOnc_Hem

Wiley_CancerRep's tweet image. Yoshimura et al. examined relationship between mutation allele frequency & genetic mutation site & factors that influence prediction of recurrence by circulating tumor DNA in patients with colorectal cancer.
doi.org/10.1002/cnr2.7…
#CancerReports #Wiley #Mutations
@WileyOnc_Hem

Kuchimanchi et al. present a rare case of immune checkpoint inhibitor-related #dysautonomia—an immune-related adverse event—in a patient with Merkel cell carcinoma. doi.org/10.1002/cnr2.7… #CancerReports #Wiley #CaseReport #ImmuneCheckpointInhibitor #MerkelCellCarcinoma

Wiley_CancerRep's tweet image. Kuchimanchi et al. present a rare case of immune checkpoint inhibitor-related #dysautonomia—an immune-related adverse event—in a patient with Merkel cell carcinoma.
doi.org/10.1002/cnr2.7…
#CancerReports #Wiley #CaseReport #ImmuneCheckpointInhibitor #MerkelCellCarcinoma

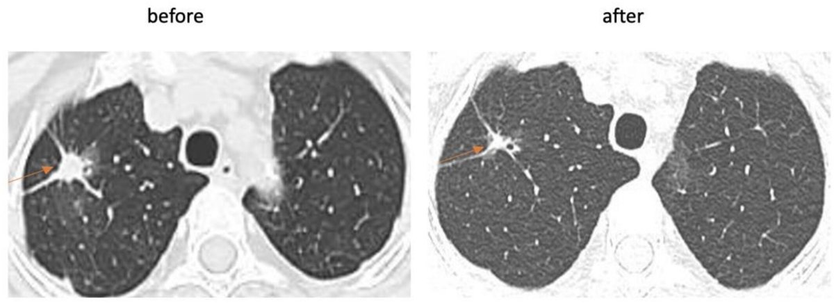
Matsumura et al. present a case of EGFR-mutated squamous cell lung carcinoma that responded to osimertinib. doi.org/10.1002/cnr2.7… #CancerReports #Wiley #CaseReport #SquamousCellLungCarcinoma #SCLC #EGFR #Osimertinib @WileyOnc_Hem @WileyBiomedical

Wiley_CancerRep's tweet image. Matsumura et al. present a case of EGFR-mutated squamous cell lung carcinoma that responded to osimertinib.

doi.org/10.1002/cnr2.7…

#CancerReports #Wiley #CaseReport #SquamousCellLungCarcinoma #SCLC #EGFR #Osimertinib

@WileyOnc_Hem @WileyBiomedical

Cancer Reports is delighted to present some updated journal metrics! Impact factor (Clarivate; 2024): 1.9; CiteScore (Scopus; 2024): 3.3; SCImago quartile: Q2 onlinelibrary.wiley.com/journal/257383… #CancerReports #Wiley #OpenAccess @WileyOnc_Hem @WileyBiomedical @wileyinresearch

Wiley_CancerRep's tweet image. Cancer Reports is delighted to present some updated journal metrics!
Impact factor (Clarivate; 2024): 1.9;
CiteScore (Scopus; 2024): 3.3;
SCImago quartile: Q2
onlinelibrary.wiley.com/journal/257383…
#CancerReports #Wiley #OpenAccess
@WileyOnc_Hem @WileyBiomedical @wileyinresearch

Asadzadeh & Zangooie et al. present systematic review that comprehensively evaluates current literature on involvement of #pseudogenes in colorectal cancer. doi.org/10.1002/cnr2.7… #CancerReports #Wiley #ColorectalCancer #SystematicReview @WileyOnc_Hem @WileyBiomedical

Wiley_CancerRep's tweet image. Asadzadeh & Zangooie et al. present systematic review that comprehensively evaluates current literature on involvement of #pseudogenes in colorectal cancer.

doi.org/10.1002/cnr2.7…

#CancerReports #Wiley #ColorectalCancer #SystematicReview

@WileyOnc_Hem @WileyBiomedical

Zhang et al. conducted systematic review & meta-analysis of high-throughput sequencing studies to assess changes in #microbiome alpha–beta diversity & composition in patients with #HPV infection & cervical cancer. doi.org/10.1002/cnr2.7… #CancerReports #Wiley @WileyOnc_Hem

Wiley_CancerRep's tweet image. Zhang et al. conducted systematic review & meta-analysis of high-throughput sequencing studies to assess changes in #microbiome alpha–beta diversity & composition in patients with #HPV infection & cervical cancer.
doi.org/10.1002/cnr2.7…
#CancerReports #Wiley
@WileyOnc_Hem

United States Trends

Loading...

Something went wrong.


Something went wrong.