jbjs's profile picture. JBJS Inc. is an independent, non-profit organization dedicated to producing the best content and education for all musculoskeletal health professionals.

J Bone & Joint Surg

@jbjs

JBJS Inc. is an independent, non-profit organization dedicated to producing the best content and education for all musculoskeletal health professionals.

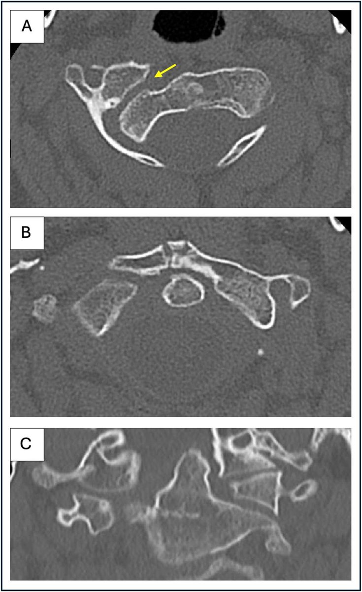
"Staged Management of Chronic Atlantoaxial Rotatory Subluxation With Halo-Gravity Traction and Cervical Fusion" by Gausper et al. Read online at: bit.ly/43RDccL

jbjs's tweet image. "Staged Management of Chronic Atlantoaxial Rotatory Subluxation With Halo-Gravity Traction and Cervical Fusion" by Gausper et al.

Read online at: bit.ly/43RDccL

🌎 Report: A Snapshot of Orthopaedic Surgery in The Netherlands" by Poolman et al. Read online at: bit.ly/4ptjnAP

jbjs's tweet image. 🌎 Report: A Snapshot of Orthopaedic Surgery in The Netherlands" by Poolman et al.

Read online at: bit.ly/4ptjnAP

💎 Go Platinum this Black Friday — your all-inclusive orthopaedic bundle is 30% off with code BFR30 at  bit.ly/4aM5pmp Prefer journals only? 📚 Save 30% on all six at bit.ly/4azeJcH Both options include the newly enhanced Journal of Bone and Joint Surgery plus…


🚨 8 Weeks and counting to Spine Diploma Course from JBJS and MRC Oxford! 🚨 Join us for the Spine Diploma Course — a brand new online program led by Course Directors Professors Tom Cosker and Sherief Elsayed. 🧠 25 weekly sessions, each one hour long 🗓️ Starts January 12, 6 PM…

jbjs's tweet image. 🚨 8 Weeks and counting to Spine Diploma Course from JBJS and MRC Oxford! 🚨

Join us for the Spine Diploma Course — a brand new online program led by Course Directors Professors Tom Cosker and Sherief Elsayed.

🧠 25 weekly sessions, each one hour long
🗓️ Starts January 12, 6 PM…

Introducing a new JBJS article type: Patient Voices "A Second Trauma: Navigating Infection After Orthopaedic Surgery" by Marvel et al. Read online at: bit.ly/48jNcNk

jbjs's tweet image. Introducing a new JBJS article type: Patient Voices

"A Second Trauma: Navigating Infection After Orthopaedic Surgery" by Marvel et al.

Read online at: bit.ly/48jNcNk

"Epidemiology of Lower Limb Musculoskeletal Pathology in Cerebral Palsy" by Korbal et al. Read online at: bit.ly/49D2XkL

jbjs's tweet image. "Epidemiology of Lower Limb Musculoskeletal Pathology in Cerebral Palsy" by Korbal et al.

Read online at: bit.ly/49D2XkL

"Risk Factors Associated With Nonunion Following Periacetabular Osteotomy for Treatment of Symptomatic Hip Dysplasia" by Beyer et al. Read online at: bit.ly/3JLFt2f

jbjs's tweet image. "Risk Factors Associated With Nonunion Following Periacetabular Osteotomy for Treatment of Symptomatic Hip Dysplasia" by Beyer et al.

Read online at: bit.ly/3JLFt2f

💥 Introducing One of Our Course Directors: Professor Sherief Elsayed We’re excited to introduce Professor Sherief Elsayed, Co-course Director and Co-founder of MRC Oxford, and Consultant Spinal Surgeon — one of two expert directors leading The Spine Diploma Course. 🎓Course:…

jbjs's tweet image. 💥 Introducing One of Our Course Directors: Professor Sherief Elsayed

We’re excited to introduce Professor Sherief Elsayed, Co-course Director and Co-founder of MRC Oxford, and Consultant Spinal Surgeon — one of two expert directors leading The Spine Diploma Course.

🎓Course:…

🦴✨ Early Black Friday Starts NOW! ✨🦴 We’re kicking off the season with our BIGGEST sale of the year — enjoy 30% OFF all JBJS products through December 2! This includes subscriptions, CME packages, clinical learning tools, and the ALL-NEW JBJS journal that premiered on Nov.…

jbjs's tweet image. 🦴✨ Early Black Friday Starts NOW! ✨🦴

We’re kicking off the season with our BIGGEST sale of the year — enjoy 30% OFF all JBJS products through December 2!

This includes subscriptions, CME packages, clinical learning tools, and the ALL-NEW JBJS journal that premiered on Nov.…

"Objective Ignorance: A Flaw in Our Ability to Predict Patient Outcomes" by Frederick A. Matsen. Read this one of JBJS' new Viewpoints articles here: bit.ly/3XH79Zc

jbjs's tweet image. "Objective Ignorance: A Flaw in Our Ability to Predict Patient Outcomes" by Frederick A. Matsen.

Read this one of JBJS' new Viewpoints articles here: bit.ly/3XH79Zc

🦴✨ Early Black Friday Starts NOW! ✨🦴 We’re kicking off the season with our BIGGEST sale of the year — enjoy 30% OFF all JBJS products through December 2! This includes subscriptions, CME packages, clinical learning tools, and the ALL-NEW JBJS journal that premiered on Nov.…

jbjs's tweet image. 🦴✨ Early Black Friday Starts NOW! ✨🦴

We’re kicking off the season with our BIGGEST sale of the year — enjoy 30% OFF all JBJS products through December 2!

This includes subscriptions, CME packages, clinical learning tools, and the ALL-NEW JBJS journal that premiered on Nov.…

INNOVATIONS "Mandated Patient-Reported Outcome Measures Driving Reimbursement for Arthroplasties" by Rana et al. @DrAntoniaChen  Read the full article 👉 bit.ly/47Uizin

jbjs's tweet image. INNOVATIONS
"Mandated Patient-Reported Outcome Measures Driving Reimbursement for Arthroplasties" by Rana et al.
@DrAntoniaChen 

Read the full article 👉 bit.ly/47Uizin

"What’s New in Musculoskeletal Infection" by Citak et al. Read this new article type with JBJS online at: bit.ly/49sZBR7

jbjs's tweet image. "What’s New in Musculoskeletal Infection" by Citak et al.

Read this new article type with JBJS online at: bit.ly/49sZBR7

In this JBJS Arts & Humanities poem, Dr. Adolph Yates captures the ancient, ongoing fight against the foes of health. bit.ly/4iqsjV9

jbjs's tweet image. In this JBJS Arts & Humanities poem, Dr. Adolph Yates captures the ancient, ongoing fight against the foes of health.

bit.ly/4iqsjV9

🔥 The new JBJS November 19th issue features a standout expert review article you won’t want to miss: “Global Perspectives on the Management of Periprosthetic Joint Infection” 👉 Read more:  bit.ly/3XD2KGL   #JBJS #infection #ThinkJBJS #periprosthetic

jbjs's tweet image. 🔥 The new JBJS November 19th issue features a standout expert review article you won’t want to miss:

“Global Perspectives on the Management of Periprosthetic Joint Infection”

👉 Read more:  bit.ly/3XD2KGL
 
#JBJS #infection #ThinkJBJS #periprosthetic

In the latest episode of #OrthoJOE, Mo and Marc are joined by special guest Josh Blomberg, MD (trauma surgeon at ThedaCare Hospital in Neenah, WI) in a discussion on the benefits of outside reading and its impact on broadening knowledge, enriching life, reducing stress,…


"Consensus Recommendations and Insights on Infection" Commentary on an article by the International Consensus Meeting Executive Committee: “International Consensus Meeting on Infection. Top 10 Evidence-Backed Recommendations and Insights” by Emil H. Schemitsch, MD Read the full…

jbjs's tweet image. "Consensus Recommendations and Insights on Infection"
Commentary on an article by the International Consensus Meeting Executive Committee: “International Consensus Meeting on Infection. Top 10 Evidence-Backed Recommendations and Insights” by Emil H. Schemitsch, MD

Read the full…

"Advances in the Prevention of Surgical Site Infection After Joint Replacement"  Commentary on an article by the International Consensus Meeting Executive Committee: “International Consensus Meeting on Infection. Top 10 Evidence-Backed Recommendations and Insights” by Bassam…

jbjs's tweet image. "Advances in the Prevention of Surgical Site Infection After Joint Replacement" 
Commentary on an article by the International Consensus Meeting Executive Committee: “International Consensus Meeting on Infection. Top 10 Evidence-Backed Recommendations and Insights” by Bassam…

Introducing a new JBJS article type: Healthcare Recommentations  "International Consensus Meeting on Infection: Top 10 Evidence-Backed Recommendations and Insights" by ICME et al.  Read the full summary of recommendations 👉 bit.ly/48eal3s #infection

jbjs's tweet image. Introducing a new JBJS article type: Healthcare Recommentations 
"International Consensus Meeting on Infection: Top 10 Evidence-Backed Recommendations and Insights" by ICME et al. 

Read the full summary of recommendations 👉 bit.ly/48eal3s

#infection

“Oops, I Did It Again” Commentary on an article by Jocelyn Corbaz, MD, et al.: “Chemical Disinfection of an Accidentally Contaminated and Irreplaceable Inorganic Element During Orthopaedic Surgery Is a Safe Option” by Fischer et al.  Read the full commentary 👉…

jbjs's tweet image. “Oops, I Did It Again”
Commentary on an article by Jocelyn Corbaz, MD, et al.: “Chemical Disinfection of an Accidentally Contaminated and Irreplaceable Inorganic Element During Orthopaedic Surgery Is a Safe Option” by Fischer et al. 

Read the full commentary 👉…

Loading...

Something went wrong.


Something went wrong.