
Robert LaPrade, MD
@thekneedoc
Complex Knee Surgeon & Sports Medicine Specialist Twin Cities Orthopedics. http://drlaprade.com
คุณอาจชื่นชอบ
Managing discoid lateral #meniscus injuries goes beyond the OR. Here’s how we handle repair, recovery, and long-term joint health. medilink.us/n18o #kneeinjury #kneepain
A single dislocation isn't always the end. Here’s what raises the risk of repeat patellar dislocations: – MPFL tear – High-riding patella – Flat trochlear groove – Knock-knee alignment 👉 Risk may exceed 40%, even with rehab: medilink.us/qi0w #KneeHealth #KneeDislocatio
Until 10 yrs ago, #PCL reconstructions had poor outcomes due to non-anatomic techniques. Today, thanks to biomechanically validated, anatomic double-bundle reconstructions, success rates have climbed to 85–90%, comparable to #ACL outcomes. Learn more 👉 medilink.us/kpbc
#EhlersDanlos Syndrome (EDS) affects connective tissue throughout the body, not just joints. It’s a genetically inherited disorder that can involve: ✅ Skin ✅ Ligaments ✅ Blood vessels ✅ Organs Understanding EDS is key to early diagnosis and care. medilink.us/re6v
In this video, Dr. LaPrade takes you through how to read an #MRI for an #ACLtear. He covers: · Normal anatomy of the knee · Clear indicators of a #tornACL · Secondary signs of ligament damage medilink.us/upgm #orthotwitter #kneeexpert #ACL

Treating #knee #tendinitis: 1️⃣ Cut back on activity 2️⃣ Do PT w/ eccentric focus 3️⃣ Use MRI if symptoms persist 4️⃣ Try PRP injections 5️⃣ Surgery if tendon is severely damaged Surgery is rare but can be effective. medilink.us/px8n #kneepain #sportsmedicine
What does increased MRI signal in the posterior horn of the medial meniscus mean? ➡️ Often it’s intrasubstance degeneration (Grade 1 or 2), not a tear. Most don’t cause symptoms unless the meniscus fully tears through. medilink.us/a06y #medtwitter
Can #ACLreconstruction fail? Yes, even in ideal cases, 5% fail due to: •Trauma •Technical error (tunnel misplacement) •Missed injuries (#MCL, #meniscus, PLC) •Allograft use in young patients •Hyperextension/laxity Revision requires full workup. medilink.us/00zf
#GenuRecurvatum is uncommon, and many doctors may be uncomfortable performing the needed osteotomy. That’s why accurate diagnosis and referral to an experienced center are key. More on treatment options: medilink.us/07lq #sportsmedicine #kneehealth
What tendon transfers treat foot drop?The most common: posterior tibialis #tendontransfer, rerouted through the ankle bones to the front of the foot. ✅ Helps many patients stop using an ankle-foot orthosis (AFO). Timing & #peronealnerve status are key. medilink.us/bebu
In a newly published article, Dr. LaPrade and team present a technique using semitendinosus tendon autograft to address chronic quadriceps tendon re-ruptures which is a challenge in knee reconstruction. medilink.us/849o #medtwitter #orthotwitter
Cartilage defects of the femoral condyles need a full workup, not just an MRI diagnosis. Only treat if the defect is truly symptomatic. Surgery on a quiet knee can lead to more harm than good if the procedure fails. medilink.us/1m75
What matters more in meniscus root surgery — age or cartilage quality? ✅ Cartilage quality wins. Even patients in their 70s can thrive with #meniscus root repair if the joint surface is healthy. Age matters, but it shouldn’t be the deciding factor. medilink.us/b42e
The #TushPush — Unstoppable? Not for everyone. The #PhiladelphiaEagles convert it 96.6% of the time on 4th-and-1, so why don’t all #NFL teams use it? It looks simple, but there's more to it. medilink.us/0nrz

Plantarflexion restored. This arthroscopically assisted technique repairs proximal medial gastrocnemius tendon avulsions with stable, tensioned fixation at the femoral footprint. Confirmed by knee flexion + dorsiflexion testing. Watch ➡️ medilink.us/7wnh #medtwitter
No wearables. No subscriptions. No excuses. This one daily check can tell you if you're overtraining using nothing but your pulse and 60 seconds. Learn how 👉 medilink.us/p7fc #Fitness #WorkoutRecovery #TrainingTips

How do you read an MRI of an #MCLinjury? Dr. LaPrade walks through a real case involving a skiing accident. ➡️ See the injury ➡️ Learn what to look for Full breakdown ➡️ medilink.us/svru #Orthopedics #KneeMRI #MCLtear

The priority in posterior horn lateral meniscus tears: Preserve the #meniscus. Repair if possible. If not: monitor for arthritis & consider alternatives. medilink.us/f61w #meniscustear #kneepain #sportsmedicine
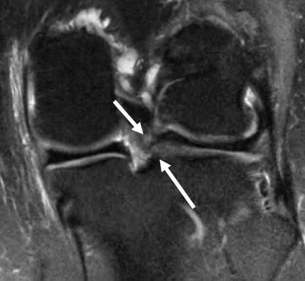
Treating a discoid lateral #meniscus? 🔹 Most often: Resection of torn, unrepairable tissue 🔹 Remaining meniscus is reshaped or “saucerized” Goal: Restore near-normal function medilink.us/vixg #KneeSurgery #Orthopedics #SportsMedicine
In Case You Missed It! Dr. LaPrade will chair the “Elevating Knee Arthroscopy: Pick Your Procedures” course at the Orthopaedic Learning Center! Personalized cadaver labs + real-time decision making. medilink.us/7cl7 #medtwitter #orthotwitter
United States เทรนด์
- 1. Good Sunday 43.1K posts
- 2. Discussing Web3 N/A
- 3. Auburn 46.7K posts
- 4. MACROHARD 7,251 posts
- 5. Brewers 66.4K posts
- 6. Gilligan's Island 5,062 posts
- 7. Wordle 1,576 X N/A
- 8. #SEVENTEEN_NEW_IN_TACOMA 37.5K posts
- 9. Georgia 68.3K posts
- 10. #MakeOffer 19.8K posts
- 11. Kirby 24.5K posts
- 12. #SVT_TOUR_NEW_ 29.8K posts
- 13. QUICK TRADE 2,372 posts
- 14. #HawaiiFB N/A
- 15. #BYUFOOTBALL 1,028 posts
- 16. mingyu 106K posts
- 17. Utah 25.5K posts
- 18. Boots 51.4K posts
- 19. Holy War 2,094 posts
- 20. FDV 5min 2,280 posts
คุณอาจชื่นชอบ
-
ISAKOS
@ISAKOS -
Arthroscopy Journal
@ArthroscopyJ -
J Bone & Joint Surg
@jbjs -
Knee Surgery, Sports Traumatology, Arthroscopy
@KSSTA -
Peter Millett, MD
@MillettMD -
Bone & Joint
@BoneJointPortal -
AOSSM Journals
@aossmjournals -
The Bone & Joint Journal
@BoneJointJ -
OTA
@otatrauma -
Matt Provencher, MD
@drprovencher -
Brian Cole
@BrianColeMD -
AAOS
@AAOS1 -
Bone & Joint 360
@BoneJoint360 -
AANA
@AANAORG -
CORR
@Clinorthop
Something went wrong.
Something went wrong.