kiko4docs's profile picture. KiKo is bringing doctors together on a new social platform. Tell your story and network with other doctors in your field.

KiKo

@kiko4docs

KiKo is bringing doctors together on a new social platform. Tell your story and network with other doctors in your field.

What are these structures called in a nevus? What other tumor has similar structures? Answer (in comments): kikoxp.com/posts/15383 More posts from Dr. Moesch @moesch_john: kikoxp.com/john_moesch1 #medTwitter #pathology #pathTwitter #dermpath #dermatology #dermtwitter

kiko4docs's tweet image. What are these structures called in a nevus? What other tumor has similar structures?
Answer (in comments): kikoxp.com/posts/15383 
More posts from Dr. Moesch @moesch_john: kikoxp.com/john_moesch1
#medTwitter #pathology #pathTwitter #dermpath #dermatology #dermtwitter

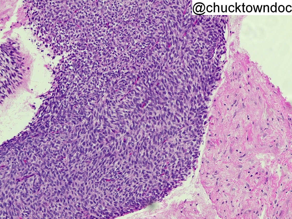
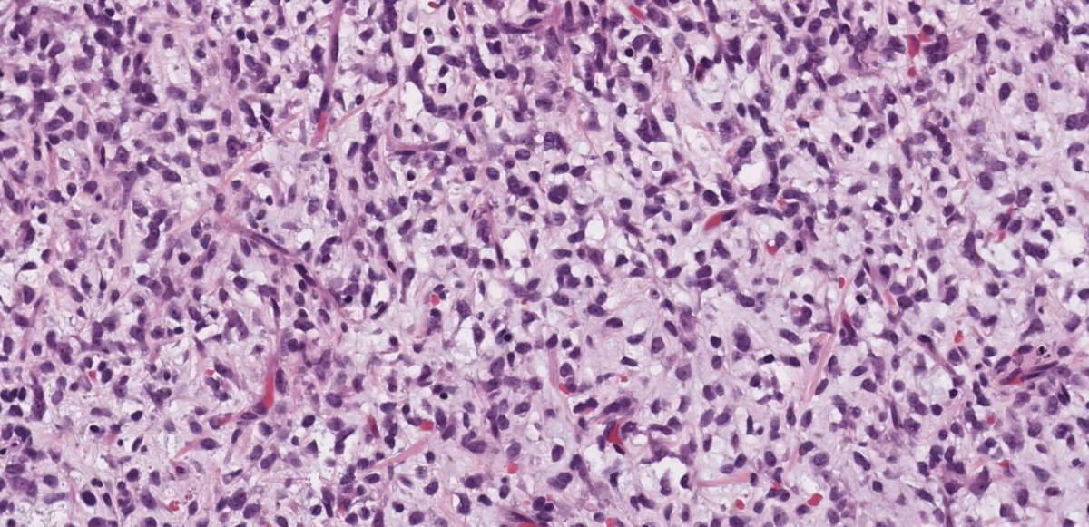
Pancreatic mass in young adult male. EUS FNA. What is the diagnosis? What single stain could confirm it? Answers: kikoxp.com/posts/16463 More posts from Dr. Ingram @Chucktowndoc kikoxp.com/frank_ingram3 #pathology #pathTwitter #medTwitter

kiko4docs's tweet image. Pancreatic mass in young adult male. EUS FNA. 
What is the diagnosis? What single stain could confirm it? 
Answers: kikoxp.com/posts/16463 
More posts from Dr. Ingram @Chucktowndoc kikoxp.com/frank_ingram3
#pathology #pathTwitter #medTwitter
kiko4docs's tweet image. Pancreatic mass in young adult male. EUS FNA. 
What is the diagnosis? What single stain could confirm it? 
Answers: kikoxp.com/posts/16463 
More posts from Dr. Ingram @Chucktowndoc kikoxp.com/frank_ingram3
#pathology #pathTwitter #medTwitter
kiko4docs's tweet image. Pancreatic mass in young adult male. EUS FNA. 
What is the diagnosis? What single stain could confirm it? 
Answers: kikoxp.com/posts/16463 
More posts from Dr. Ingram @Chucktowndoc kikoxp.com/frank_ingram3
#pathology #pathTwitter #medTwitter

What would you call this lesion? WSI digital slide, Dermoscopy, & Answer (in comments): kikoxp.com/posts/5094 More posts from Dr. @VKazlouskaya kikoxp.com/viktoryia_kazl… #medTwitter #pathology #pathologists #pathTwitter #dermpath #dermatology #dermatologia #dermtwitter

kiko4docs's tweet image. What would you call this lesion?
WSI digital slide, Dermoscopy, & Answer (in comments): kikoxp.com/posts/5094 
More posts from Dr. @VKazlouskaya kikoxp.com/viktoryia_kazl…
#medTwitter #pathology #pathologists #pathTwitter #dermpath #dermatology #dermatologia #dermtwitter

Posterior mediastinum of a woman. Diagnosis? More pics (with immunostains) & Answer: kikoxp.com/posts/8873 More posts from Dr. Cho @DrAldehyde kikoxp.com/woo_cheal_cho3 #pathology #pathTwitter #medTwitter

kiko4docs's tweet image. Posterior mediastinum of a woman. Diagnosis?
More pics (with immunostains) & Answer: kikoxp.com/posts/8873 
More posts from Dr. Cho @DrAldehyde kikoxp.com/woo_cheal_cho3
#pathology #pathTwitter #medTwitter

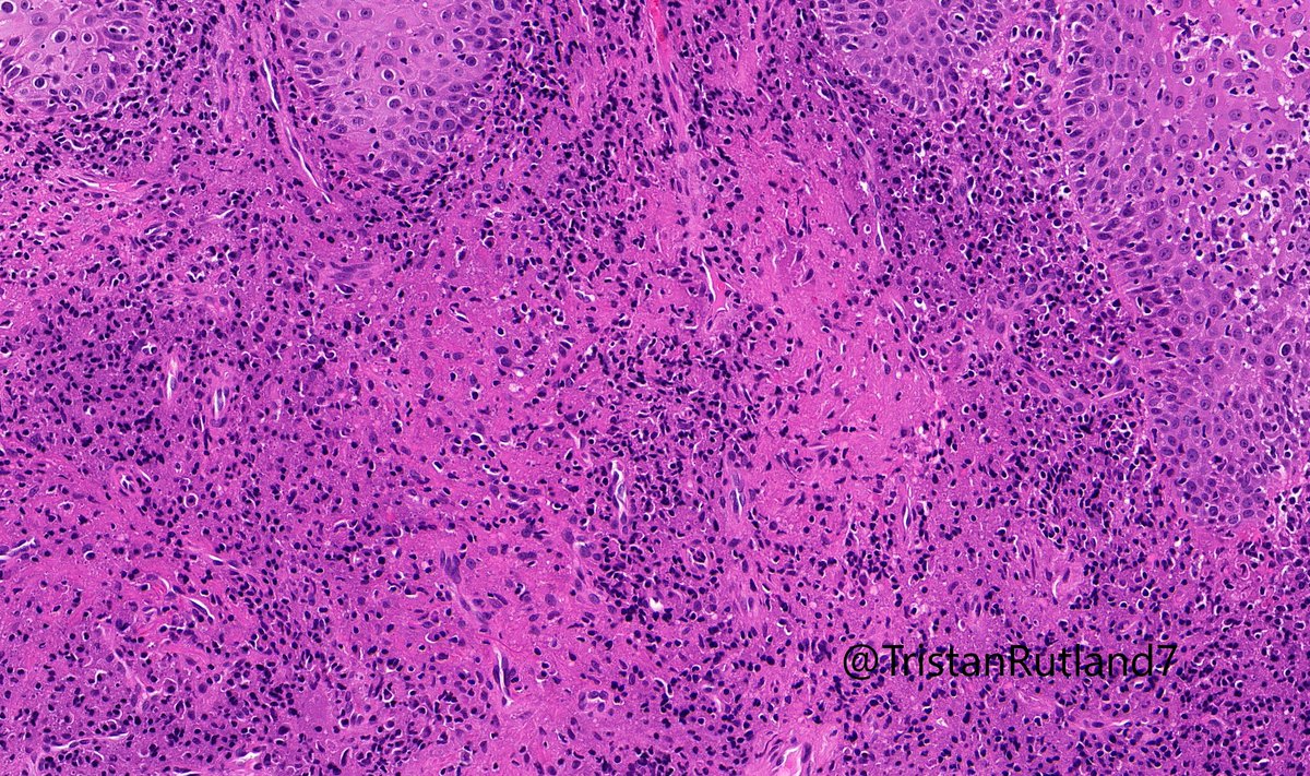
Young adult with lip lesion. Special stains negative. Diagnosis? Answer & More info: kikoxp.com/posts/9905 More posts from Dr. Rutland @TristanRutland7 kikoxp.com/tristan_rutlan… #pathology #pathTwitter #medTwitter #oralpath #ENTpath

kiko4docs's tweet image. Young adult with lip lesion. Special stains negative. Diagnosis?
Answer & More info: kikoxp.com/posts/9905 
More posts from Dr. Rutland @TristanRutland7 kikoxp.com/tristan_rutlan…
#pathology #pathTwitter #medTwitter #oralpath #ENTpath
kiko4docs's tweet image. Young adult with lip lesion. Special stains negative. Diagnosis?
Answer & More info: kikoxp.com/posts/9905 
More posts from Dr. Rutland @TristanRutland7 kikoxp.com/tristan_rutlan…
#pathology #pathTwitter #medTwitter #oralpath #ENTpath
kiko4docs's tweet image. Young adult with lip lesion. Special stains negative. Diagnosis?
Answer & More info: kikoxp.com/posts/9905 
More posts from Dr. Rutland @TristanRutland7 kikoxp.com/tristan_rutlan…
#pathology #pathTwitter #medTwitter #oralpath #ENTpath
kiko4docs's tweet image. Young adult with lip lesion. Special stains negative. Diagnosis?
Answer & More info: kikoxp.com/posts/9905 
More posts from Dr. Rutland @TristanRutland7 kikoxp.com/tristan_rutlan…
#pathology #pathTwitter #medTwitter #oralpath #ENTpath

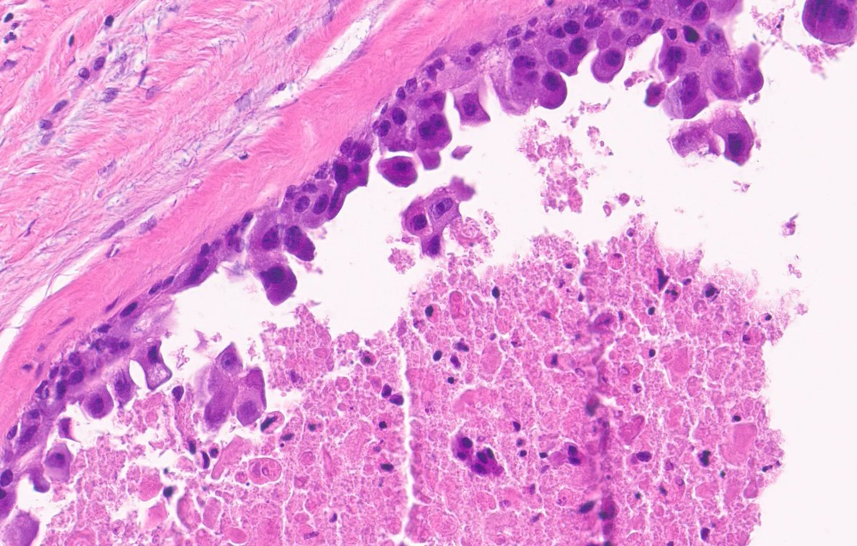
63 M brain mass. Biopsy. Immunostain results & Diagnosis: kikoxp.com/posts/21837 More posts from Dr. Graham @DanGrahamMD kikoxp.com/daniel_graham #pathology #pathTwitter #medTwitter #neuropath #neurosurgery

kiko4docs's tweet image. 63 M brain mass. Biopsy.
Immunostain results & Diagnosis: kikoxp.com/posts/21837 
More posts from Dr. Graham @DanGrahamMD kikoxp.com/daniel_graham
#pathology #pathTwitter #medTwitter #neuropath #neurosurgery
kiko4docs's tweet image. 63 M brain mass. Biopsy.
Immunostain results & Diagnosis: kikoxp.com/posts/21837 
More posts from Dr. Graham @DanGrahamMD kikoxp.com/daniel_graham
#pathology #pathTwitter #medTwitter #neuropath #neurosurgery

What would you call this? Would you even comment? Answer: kikoxp.com/posts/9504 More posts from Dr. Hassell @HassellLewis kikoxp.com/lewis_a_hassel… #pathology #pathTwitter #medTwitter #gynpath

kiko4docs's tweet image. What would you call this? Would you even comment? 
Answer: kikoxp.com/posts/9504 
More posts from Dr. Hassell @HassellLewis kikoxp.com/lewis_a_hassel…
#pathology #pathTwitter #medTwitter #gynpath

50 year old man with bloating, abdominal pain and some diarrhea. Diagnosis? Answer: kikoxp.com/posts/9355 More posts from Dr. Hassell @HassellLewis kikoxp.com/lewis_a_hassel… #pathology #pathTwitter #medTwitter #GIpath #IDpath

kiko4docs's tweet image. 50 year old man with bloating, abdominal pain and some diarrhea. Diagnosis? 
Answer: kikoxp.com/posts/9355 
More posts from Dr. Hassell @HassellLewis kikoxp.com/lewis_a_hassel…
#pathology #pathTwitter #medTwitter #GIpath #IDpath

M59 y/o. polyp (5mm ) located 5cm from the anal margin. Adenoma or.....? More pics & Answer: kikoxp.com/posts/26411 More posts from Dr. Rey @ReyPathology kikoxp.com/severino_rey1 #pathology #pathTwitter #medTwitter #GIpath

kiko4docs's tweet image. M59 y/o. polyp (5mm ) located 5cm from the anal margin. Adenoma or.....? 
More pics & Answer: kikoxp.com/posts/26411 
More posts from Dr. Rey @ReyPathology kikoxp.com/severino_rey1
#pathology #pathTwitter #medTwitter #GIpath

Skin lesion on the leg. F:49-year-old. What is your Dx? More pics & Answer: kikoxp.com/posts/15833 More posts from Dr. Rey @ReyPathology kikoxp.com/severino_rey1 #medTwitter #pathology #pathologists #pathTwitter #dermpath #dermatology #dermatologia #dermtwitter

kiko4docs's tweet image. Skin lesion on the leg. F:49-year-old. What is your Dx? 
More pics & Answer: kikoxp.com/posts/15833 
More posts from Dr. Rey @ReyPathology kikoxp.com/severino_rey1
#medTwitter #pathology #pathologists #pathTwitter #dermpath #dermatology #dermatologia #dermtwitter
kiko4docs's tweet image. Skin lesion on the leg. F:49-year-old. What is your Dx? 
More pics & Answer: kikoxp.com/posts/15833 
More posts from Dr. Rey @ReyPathology kikoxp.com/severino_rey1
#medTwitter #pathology #pathologists #pathTwitter #dermpath #dermatology #dermatologia #dermtwitter
kiko4docs's tweet image. Skin lesion on the leg. F:49-year-old. What is your Dx? 
More pics & Answer: kikoxp.com/posts/15833 
More posts from Dr. Rey @ReyPathology kikoxp.com/severino_rey1
#medTwitter #pathology #pathologists #pathTwitter #dermpath #dermatology #dermatologia #dermtwitter
kiko4docs's tweet image. Skin lesion on the leg. F:49-year-old. What is your Dx? 
More pics & Answer: kikoxp.com/posts/15833 
More posts from Dr. Rey @ReyPathology kikoxp.com/severino_rey1
#medTwitter #pathology #pathologists #pathTwitter #dermpath #dermatology #dermatologia #dermtwitter

What is your diagnosis? (hint: might be more than one!) WSI digital slide & Answer: kikoxp.com/posts/4590 More posts from Dr. @VKazlouskaya kikoxp.com/viktoryia_kazl… #medTwitter #pathology #pathologists #pathTwitter #dermpath #dermatology #dermtwitter

kiko4docs's tweet image. What is your diagnosis? (hint: might be more than one!) 
WSI digital slide & Answer: kikoxp.com/posts/4590 
More posts from Dr. @VKazlouskaya kikoxp.com/viktoryia_kazl…
#medTwitter #pathology #pathologists #pathTwitter #dermpath #dermatology #dermtwitter

Tracheal mass, young adult. Diagnosis? More pics & Answer: kikoxp.com/posts/9678 More posts from Dr. Rutland @TristanRutland7 kikoxp.com/tristan_rutlan… #pathology #pathTwitter #medTwitter #pulmpath

kiko4docs's tweet image. Tracheal mass, young adult. Diagnosis?
More pics & Answer: kikoxp.com/posts/9678 
More posts from Dr. Rutland @TristanRutland7 kikoxp.com/tristan_rutlan…
#pathology #pathTwitter #medTwitter #pulmpath

Parotid gland, adult. What is your diagnosis? Answer: kikoxp.com/posts/11790 More posts from Dr. Rutland @TristanRutland7 kikoxp.com/tristan_rutlan… #pathology #pathTwitter #medTwitter #ENTpath

kiko4docs's tweet image. Parotid gland, adult. What is your diagnosis?
Answer: kikoxp.com/posts/11790 
More posts from Dr. Rutland @TristanRutland7 kikoxp.com/tristan_rutlan…
#pathology #pathTwitter #medTwitter #ENTpath
kiko4docs's tweet image. Parotid gland, adult. What is your diagnosis?
Answer: kikoxp.com/posts/11790 
More posts from Dr. Rutland @TristanRutland7 kikoxp.com/tristan_rutlan…
#pathology #pathTwitter #medTwitter #ENTpath
kiko4docs's tweet image. Parotid gland, adult. What is your diagnosis?
Answer: kikoxp.com/posts/11790 
More posts from Dr. Rutland @TristanRutland7 kikoxp.com/tristan_rutlan…
#pathology #pathTwitter #medTwitter #ENTpath

Chest lesion, older male. Diagnosis? Answer: kikoxp.com/posts/9341 More posts from Dr. Rutland @TristanRutland7 kikoxp.com/tristan_rutlan… #pathology #pathTwitter #medTwitter

kiko4docs's tweet image. Chest lesion, older male. Diagnosis?
Answer: kikoxp.com/posts/9341 
More posts from Dr. Rutland @TristanRutland7 kikoxp.com/tristan_rutlan…
#pathology #pathTwitter #medTwitter
kiko4docs's tweet image. Chest lesion, older male. Diagnosis?
Answer: kikoxp.com/posts/9341 
More posts from Dr. Rutland @TristanRutland7 kikoxp.com/tristan_rutlan…
#pathology #pathTwitter #medTwitter
kiko4docs's tweet image. Chest lesion, older male. Diagnosis?
Answer: kikoxp.com/posts/9341 
More posts from Dr. Rutland @TristanRutland7 kikoxp.com/tristan_rutlan…
#pathology #pathTwitter #medTwitter
kiko4docs's tweet image. Chest lesion, older male. Diagnosis?
Answer: kikoxp.com/posts/9341 
More posts from Dr. Rutland @TristanRutland7 kikoxp.com/tristan_rutlan…
#pathology #pathTwitter #medTwitter

Digit, adult. Diagnosis? (You will be shocked!) Answer: kikoxp.com/posts/7159 More posts from Dr. Rutland @TristanRutland7 kikoxp.com/tristan_rutlan… #pathology #pathTwitter #medTwitter #BSTpath

kiko4docs's tweet image. Digit, adult. Diagnosis? 
(You will be shocked!)
Answer: kikoxp.com/posts/7159 
More posts from Dr. Rutland @TristanRutland7 kikoxp.com/tristan_rutlan…
#pathology #pathTwitter #medTwitter #BSTpath
kiko4docs's tweet image. Digit, adult. Diagnosis? 
(You will be shocked!)
Answer: kikoxp.com/posts/7159 
More posts from Dr. Rutland @TristanRutland7 kikoxp.com/tristan_rutlan…
#pathology #pathTwitter #medTwitter #BSTpath
kiko4docs's tweet image. Digit, adult. Diagnosis? 
(You will be shocked!)
Answer: kikoxp.com/posts/7159 
More posts from Dr. Rutland @TristanRutland7 kikoxp.com/tristan_rutlan…
#pathology #pathTwitter #medTwitter #BSTpath
kiko4docs's tweet image. Digit, adult. Diagnosis? 
(You will be shocked!)
Answer: kikoxp.com/posts/7159 
More posts from Dr. Rutland @TristanRutland7 kikoxp.com/tristan_rutlan…
#pathology #pathTwitter #medTwitter #BSTpath

Loading...

Something went wrong.


Something went wrong.