
Lara Pijuan,MD PhD,MIAC
@lara_pijuan
MD PhD MIAC #Cytopath, digital & #pulmpath #pathologist. Head of #Pathology Department at @HospitalSantPau #SoMe #DigitalPathology #cvpath #PathTwitter #PathX
Potrebbero piacerti
My 3 favorites specialities in #pathology are #PulmPath #cytopath & #digitalpathology 😁



Enhorabuena a Elena María García Pastor, residente del Hospital Universitario Virgen de la Victoria (Málaga), por ser la autora de nuestro #CasoDelMes de OCTUBRE 2025. seap.es/actualidad/not…




Inici de Curs d'actualització Citològica 25/26. Obre la sessió el President Dr Lluís Pons i modera la Dra @pivonne10. Conferència: Maniobres d'escaqueig de les cèl tumorals per la Griselda Esteagué + cas Clinic amb la Dra @lara_pijuan i el Dr Sergi Villatoro. #CitopatCat



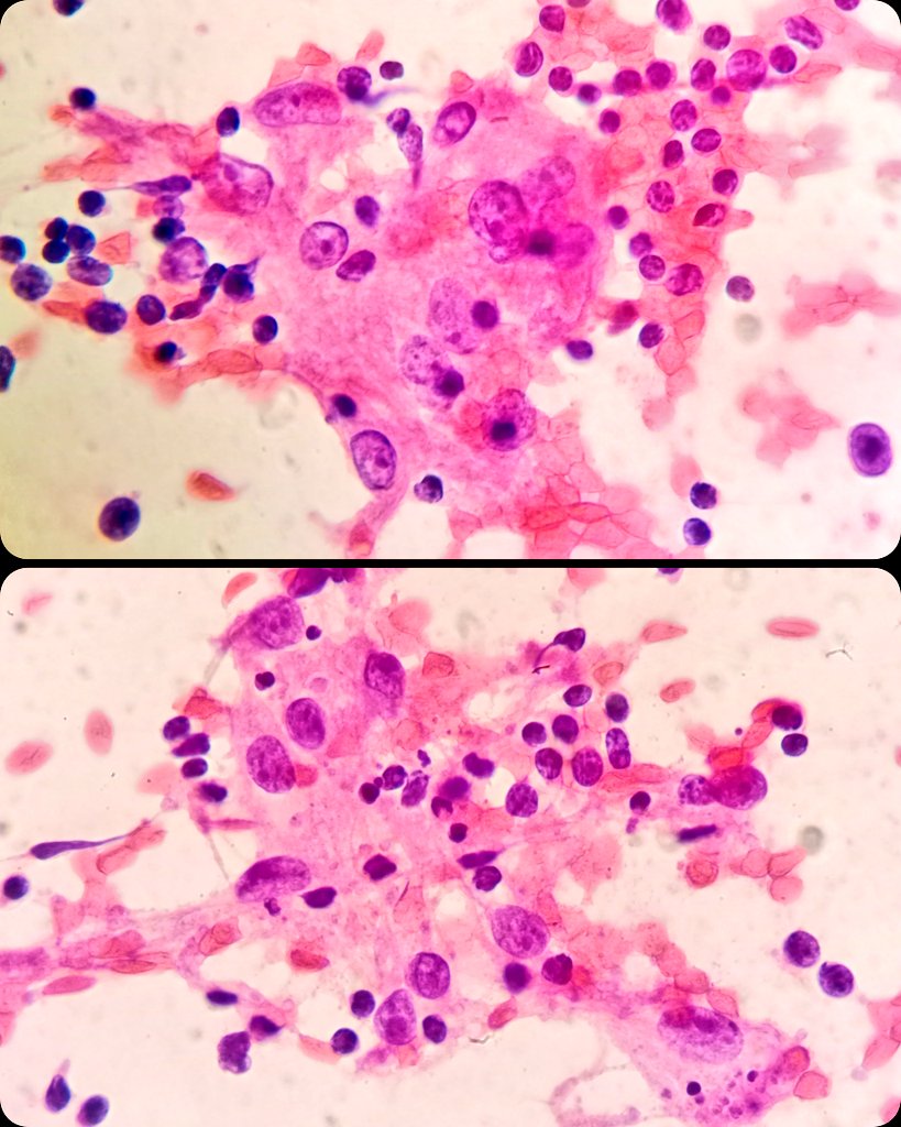
The "sneaky" pale cells, so easy to be missed. High-grade Squamous Intraepithelial Lesion (HSIL) in an anal PAP test. (ThinPrep)

🎉 La Dra. Martha Melo, adjunta de la Unitat del Dolor del Servei d’Anestesiologia de #SantPau, ha estat guardonada amb el European Diploma in Pain Medicine (EDPM), atorgat per la European Pain Federation - EFIC. Un reconeixement que certifica l’excel·lència i l’alt nivell de…

Pls RT: Register now for our next #IACwebinar on 16 October 14:00 CET (08:00 AM EDT) Prof. Dr. med. Niels J. Rupp: Current Concepts & Diagnostic Significance of Molecular Alterations in Salivary Gland #Cytopath cytology-iac.org/iac-webinar-16…

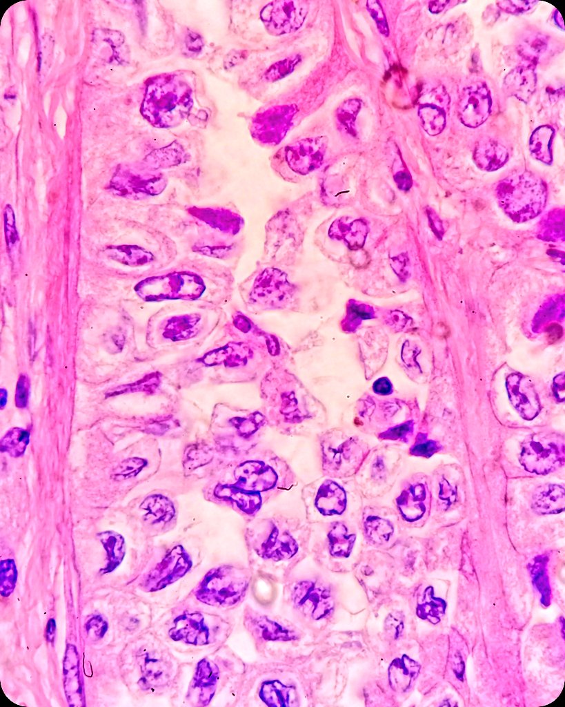
"Epithelioid" cells with cytoplasmic tails - The typical differential is between melanoma and urothelial carcinoma. Shown here is a high-grade urothelial carcinoma. (voided urine, ThinPrep)


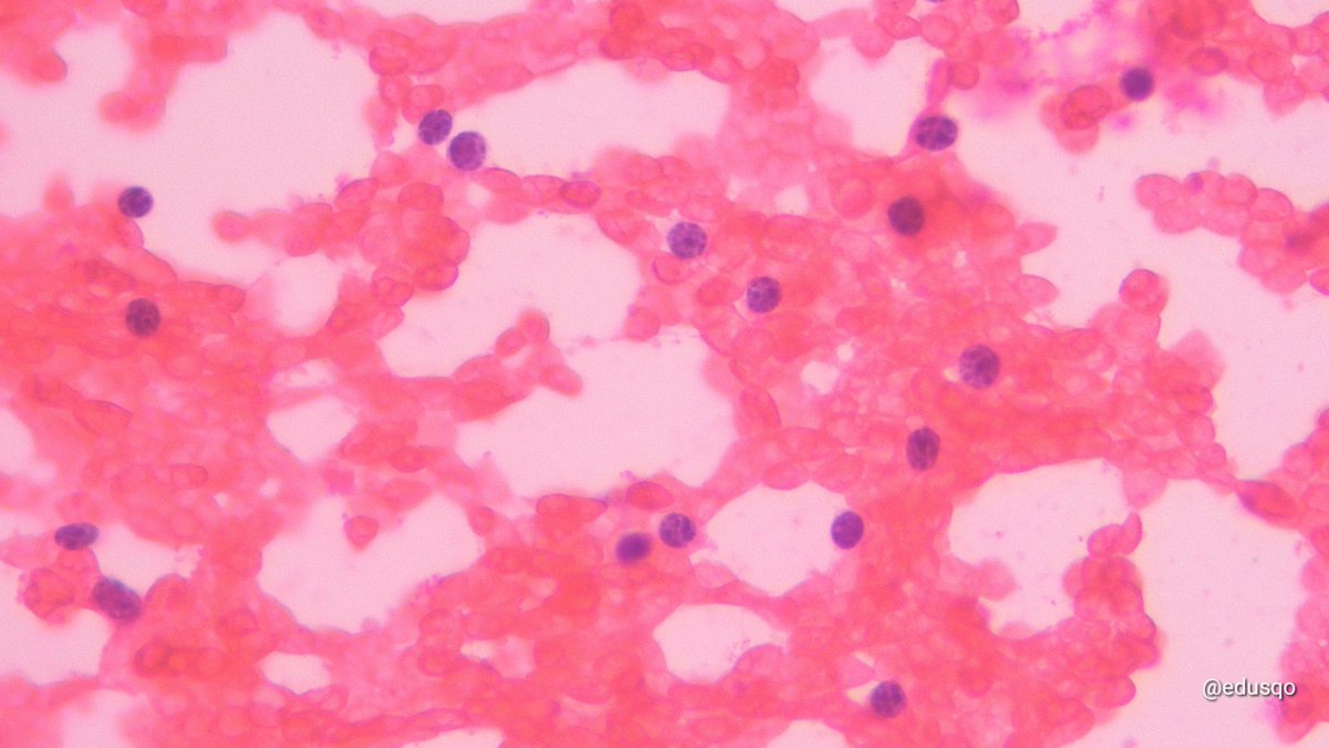
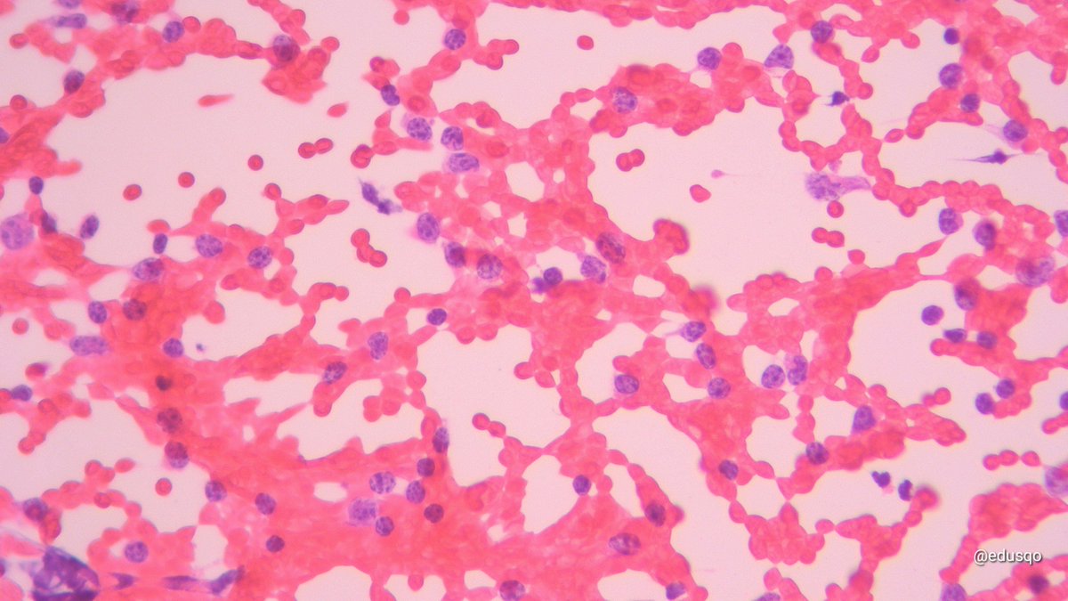
ARTISTIC appearance of endobronchial luminal mucin from a case of EBUS-FNA. (Patient with lung lesion)




🦀 Medical record: Breast Carcinoma. 🫁 Pleural effusion. 💉 Thoracentesis. 🔬 Metastatic Ductal Carcinoma. Category 5️⃣ The International System for Reporting Serous Fluid Cytopathology. 🎱 Perfect cannonball. #Cytology #CytoPath

Determinaciones moleculares en muestras citológicas mediante Idylla - Terminando la mañana aprendiendo de Dres. Héctor Torres y Aida Molero 👏🏼 @duckhuca @turandot85 📚🔬 💉 🍔 🎮




Intervencionismo: Tomar un papel proactivo en la adquisición de la muestra y en la toma de decisiones para la optimización de recursos. Jornadas teórico-prácticas de #PAAF. Hospital Universitario Morales Meseguer, Murcia #PAAFMurcia2025 #SegPac #Citología #CytoPath

Mañana... Educación médica basada en Simulación: A Propósito de un modelo de punción en Patología VI Congreso Internacional de Medicina Humana-UPAO 2025. Universidad Antenor Orrego @upao, Trujillo, Perú, en su 30° aniversario. #MedEd #UPAOMed2025 #FioNA

Del 🔬 al reconocimiento internacional 🌎 🚀 Eleva tu carrera 🎓📚🔖 @IACytology @ACitopatologia @citologiala @CitologiaSac #cytopathworldwide #cytology #cytopath #IAC ℹ️ cytology-iac.org/application-fo… y previo al #IACexam #IACtutorial virtual de repaso 📖🧐🤓✅

¿Quieres hacer el #IACexam? ¡Pues inscríbete hasta el 10 noviembre para el examen del 7 diciembre 2025 en la Ciudad de México! Consejo especial: prueba nuestro #IACmockExam para ver en qué nivel estás cytology-iac.org/examination-sc…

Well, I do chair a webinar tomorrow. Breast cancer in women with dense breasts: europeancancer.org/events/385:tac…

Clinical trials part 1 👏🏼 @ESP_Pathology @EloyCatarina @xmatiasguiu @PerezFidal @Chris_PouliosMD #everydaypathology 📚🔬Thanks 👏🏼

Too perfect not to share! 🐠🐟🐡 #CytoPath #PathTwitter #PathArt

Hope this book would be helpful for those who are doing rapid on-site evaluation! springer.com/gp/book/978303… #cytology #cytopath


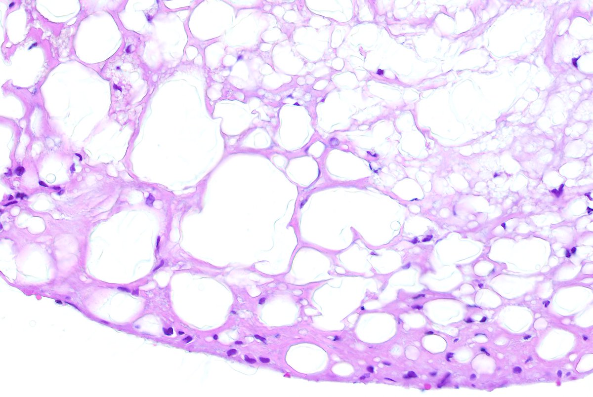
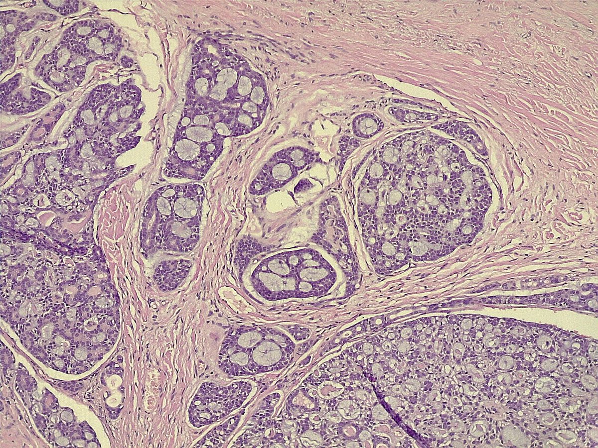
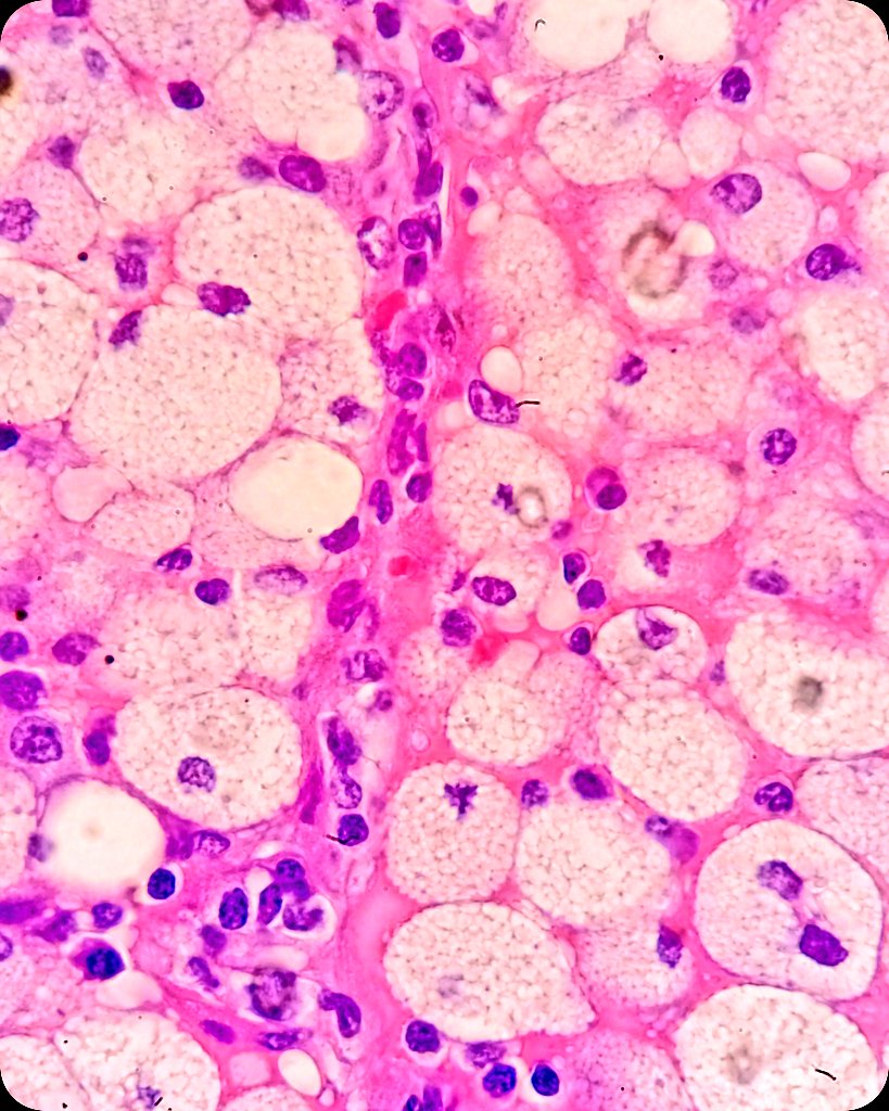
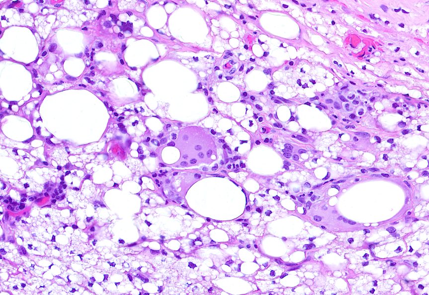
🫁 Enlarged Mediastinal Lymph Node. ❄️ CryoEBUS by Dr @MiguelAriza83. 🔬 Granulomatous lymphadenitis. 4️⃣ Level indication for CryoEBUS. Mill 🔗 Open access: pubmed.ncbi.nlm.nih.gov/39837131/ #LungPath #PulmPath #PathX

La Dra. Cleofé Romagosa hace balance del Curso y Workshop IMPERAS 2025, dos días de aprendizaje y colaboración en torno a los sarcomas. Gracias a todos los que lo habéis hecho posible 💛 #IMPERAS #Sarcomas #Patología #Investigación
El pasado 1 de octubre, la Dra. Ana Belén Lárque, adjunta de nuestro hospital, participó en el 4.º Workshop IMPERAS 2025 presentando el caso de un paciente joven con una lesión en glande, cuyo diagnóstico fue un hemangioendotelioma pseudomiogenico.


United States Tendenze
- 1. Baker 32.5K posts
- 2. Packers 30.2K posts
- 3. #BNBdip N/A
- 4. 49ers 32.4K posts
- 5. Cowboys 73.5K posts
- 6. Flacco 11.6K posts
- 7. Fred Warner 10.8K posts
- 8. Bucs 10.5K posts
- 9. Cam Ward 2,863 posts
- 10. Panthers 74.6K posts
- 11. Niners 5,253 posts
- 12. Zac Taylor 3,057 posts
- 13. Titans 23.7K posts
- 14. Tez Johnson 3,072 posts
- 15. #FTTB 4,149 posts
- 16. #GoPackGo 3,901 posts
- 17. #Bengals 3,117 posts
- 18. Browns 65.5K posts
- 19. Ja'Marr Chase 2,621 posts
- 20. Yoshi 32.3K posts
Potrebbero piacerti
-
Pembe Oltulu, MD
@pembeoltulu -
WC Faquin, MD, PhD
@bfaquin -
Zubair Baloch
@aakasharmand -
Tania Labiano
@tlabiano -
Vijay Shankar S
@VijayPatho -
Matthew Cecchini MD PhD FRCPC
@Path_Matt -
Eduardo Alcaraz, MD PhD
@edusqo -
Laura G. Pastrián MD
@DraEosina -
Michael Arnold, MD, PhD
@MArnold_PedPath -
Irene Sansano, MD Phd
@SansanoValero -
Texas Society of Pathologists
@TexPathol -
Xiaoyin "Sara" Jiang, MD (She/Her)
@Sara_Jiang -
Vanda Torous MD
@VandaTorousMD -
Sinchita Roy MD PhD
@Sinchita_Roy -
Pascual Meseguer
@Histopatolomon
Something went wrong.
Something went wrong.