path4ever's profile picture. Mom for 3 nice boys and histopathologist and interested in head and neck pathology

oula fh

@path4ever

Mom for 3 nice boys and histopathologist and interested in head and neck pathology

oula fh reposted

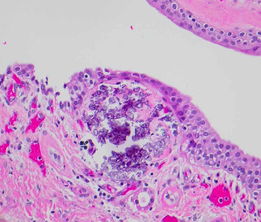
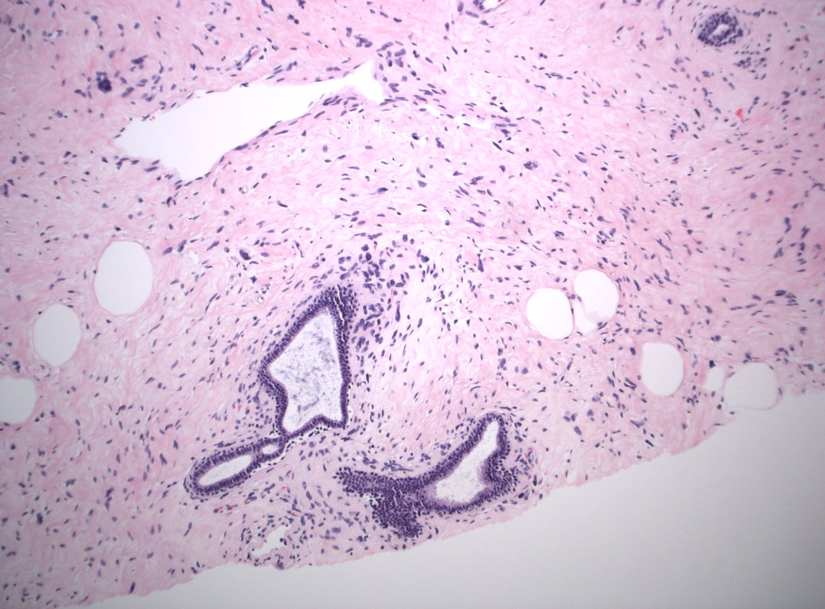
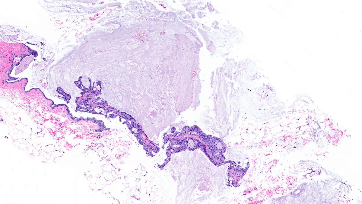
Case of Atypical Ductal Hyperplasia (ADH) in Mucocele-Like Lesion 🍪🔬 ☑️ Dilated ducts with extravasated mucin ☑️ Foci of ADH lining mucin-filled spaces ☑️ Upgrade rate to DCIS/invasive carcinoma is 20-40% #PathX #PathTwitter #breastpath

RazaHoda's tweet image. Case of Atypical Ductal Hyperplasia (ADH) in Mucocele-Like Lesion 🍪🔬

☑️ Dilated ducts with extravasated mucin
☑️ Foci of ADH lining mucin-filled spaces
☑️ Upgrade rate to DCIS/invasive carcinoma is 20-40%

#PathX #PathTwitter #breastpath

oula fh reposted

Lichen simplex chronicus 🔬 ✔️Chronic dermatitis characterized by localized areas of thickened skin resulting from chronic scratching ✔️Orthokeratosis with focal parakeratosis ✔️Hypergranulosis ✔️irregular acanthosis ✔️Papillary dermal fibrosis #dermpath #Xpath

malakbehnas's tweet image. Lichen simplex chronicus 🔬

✔️Chronic dermatitis characterized by localized areas of thickened skin resulting from chronic scratching
✔️Orthokeratosis with focal parakeratosis
✔️Hypergranulosis
✔️irregular acanthosis
✔️Papillary dermal fibrosis

#dermpath #Xpath

oula fh reposted

Not something you see everyday 👇🏼🧐 Male patient presenting with an anal mass. 🔬What would be your diagnosis? "Leaf" all things aside and check out this case report @ IJSP for the ✅answer: doi.org/10.1177/106689… #PathTwitter #GIPath

IJSPjournal's tweet image. Not something you see everyday 👇🏼🧐
Male patient presenting with an anal mass.
🔬What would be your diagnosis?
"Leaf" all things aside and check out this case report @ IJSP for the ✅answer:
doi.org/10.1177/106689…

#PathTwitter #GIPath

oula fh reposted

One slide one field. Diagnosis? The site is lateral end of clavicle left side

Swathiprabhu5's tweet image. One slide one field. Diagnosis? 
The site is lateral end of clavicle left side

oula fh reposted

Glycogenated intermediate cells on #papsmear or “Navicular cells” 🛶 🍯💙They contain golden yellow glycogen in the cytoplasm 🤰👩🏽‍🦳They are abundant in the post-ovulatory phase,during pregnancy and in some menopausal smears #cytopath #cytology #beautyandbenign #simple #worth

tlabiano's tweet image. Glycogenated intermediate cells on #papsmear or “Navicular cells” 🛶

🍯💙They contain golden yellow glycogen in the cytoplasm 

🤰👩🏽‍🦳They are abundant in the post-ovulatory phase,during pregnancy and in some menopausal smears #cytopath #cytology #beautyandbenign  #simple #worth

oula fh reposted

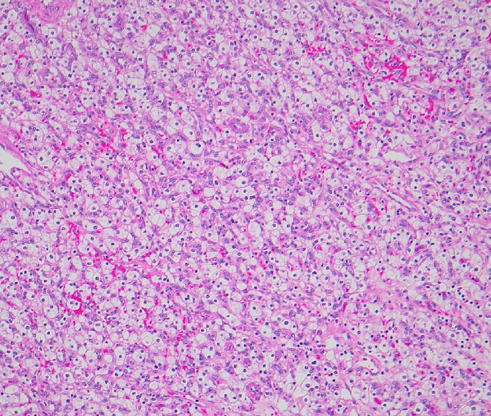
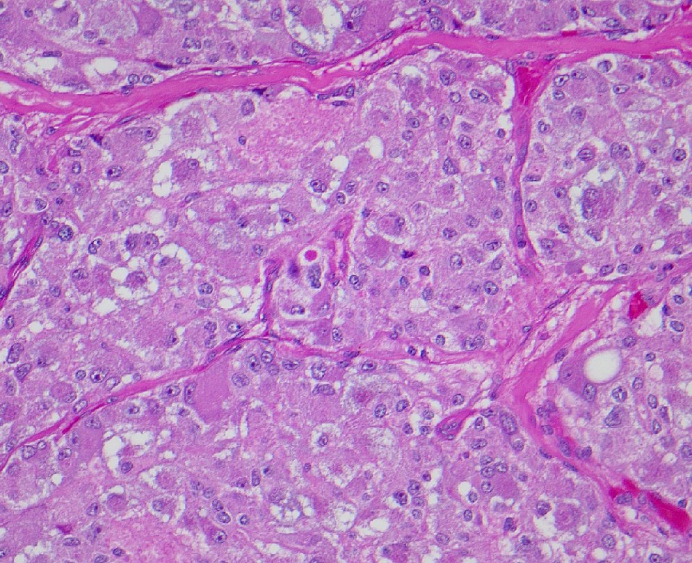
40s F breast mass. Dx/IHC? #PathTwitter #PathX #BreastPath

DanGrahamMD's tweet image. 40s F breast mass. Dx/IHC?

#PathTwitter #PathX #BreastPath
DanGrahamMD's tweet image. 40s F breast mass. Dx/IHC?

#PathTwitter #PathX #BreastPath
DanGrahamMD's tweet image. 40s F breast mass. Dx/IHC?

#PathTwitter #PathX #BreastPath
DanGrahamMD's tweet image. 40s F breast mass. Dx/IHC?

#PathTwitter #PathX #BreastPath

oula fh reposted

‘Fluidity and discontinuity are central to the reality in which we live in’ 60s/F Breast mass Thoughts 💭 #PathTwitter #breastpath #oncopath #PathX

Immanuel_Paul30's tweet image. ‘Fluidity and discontinuity are central to the reality in which we live in’

60s/F 
Breast mass 

Thoughts 💭 

#PathTwitter #breastpath #oncopath #PathX

oula fh reposted

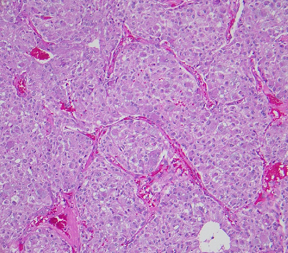
#pathclassic #pathresidents #pathology #gynpath Hyaline globules in ovarian tumors (post-NACT serous carcinoma) Other tumors showing them include hepatocellular carcinoma, Kaposi sarcoma, lung adenoca. Benign/ non-neoplastic inc meningioma,inclusion body fibromatosis, pl adenoma

padmapathology1's tweet image. #pathclassic #pathresidents #pathology #gynpath
Hyaline globules in ovarian tumors (post-NACT serous carcinoma)
Other tumors showing them include hepatocellular carcinoma, Kaposi sarcoma, lung adenoca. Benign/ non-neoplastic inc meningioma,inclusion body fibromatosis, pl adenoma
padmapathology1's tweet image. #pathclassic #pathresidents #pathology #gynpath
Hyaline globules in ovarian tumors (post-NACT serous carcinoma)
Other tumors showing them include hepatocellular carcinoma, Kaposi sarcoma, lung adenoca. Benign/ non-neoplastic inc meningioma,inclusion body fibromatosis, pl adenoma
padmapathology1's tweet image. #pathclassic #pathresidents #pathology #gynpath
Hyaline globules in ovarian tumors (post-NACT serous carcinoma)
Other tumors showing them include hepatocellular carcinoma, Kaposi sarcoma, lung adenoca. Benign/ non-neoplastic inc meningioma,inclusion body fibromatosis, pl adenoma
padmapathology1's tweet image. #pathclassic #pathresidents #pathology #gynpath
Hyaline globules in ovarian tumors (post-NACT serous carcinoma)
Other tumors showing them include hepatocellular carcinoma, Kaposi sarcoma, lung adenoca. Benign/ non-neoplastic inc meningioma,inclusion body fibromatosis, pl adenoma

oula fh reposted

As we celebrate the 2-year anniversary of the #PathologyPortal, do join us and explore! Discover whole slide images and long cases, to specialist pathology content not available anywhere else! Sign up now to help improve your professional practice: rcpath.org/profession/pat…


oula fh reposted

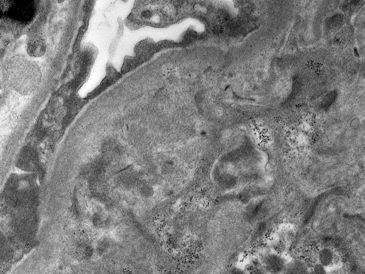
Biopsy for CKD and proteinuria. +cryocrit and low C4. IgM dominant GN with MPGN pattern and short microtubules in EM c/w a low grade cyro GN. Organized deposits may be rare and ill formed in cryo GN. EM below is about the best one usually gets. #renalpath #pathtwitter #nephrology

JZRenalPath's tweet image. Biopsy for CKD and proteinuria. +cryocrit and low C4. IgM dominant GN with MPGN pattern and short microtubules in EM c/w a low grade cyro GN. Organized deposits may be rare and ill formed in cryo GN. EM below is about the best one usually gets. #renalpath #pathtwitter #nephrology
JZRenalPath's tweet image. Biopsy for CKD and proteinuria. +cryocrit and low C4. IgM dominant GN with MPGN pattern and short microtubules in EM c/w a low grade cyro GN. Organized deposits may be rare and ill formed in cryo GN. EM below is about the best one usually gets. #renalpath #pathtwitter #nephrology
JZRenalPath's tweet image. Biopsy for CKD and proteinuria. +cryocrit and low C4. IgM dominant GN with MPGN pattern and short microtubules in EM c/w a low grade cyro GN. Organized deposits may be rare and ill formed in cryo GN. EM below is about the best one usually gets. #renalpath #pathtwitter #nephrology
JZRenalPath's tweet image. Biopsy for CKD and proteinuria. +cryocrit and low C4. IgM dominant GN with MPGN pattern and short microtubules in EM c/w a low grade cyro GN. Organized deposits may be rare and ill formed in cryo GN. EM below is about the best one usually gets. #renalpath #pathtwitter #nephrology

This post is unavailable.

oula fh reposted

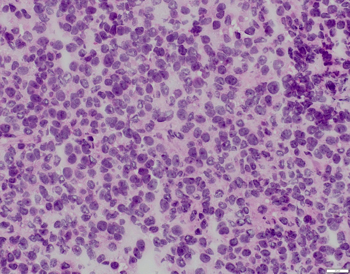
“Small round blue cell tumor “ in a thigh mass; positive for CD99 and NKX2.2 IHCs, what molecular testing can further support the diagnosis🤔 #bstpath #pedipath #surgpath #molecpath #cytogenetics #pathtwitter

bitar_mireille's tweet image. “Small round blue cell tumor “ in a thigh mass; positive for CD99 and NKX2.2 IHCs, what molecular testing can further support the diagnosis🤔

#bstpath #pedipath #surgpath #molecpath #cytogenetics #pathtwitter

oula fh reposted

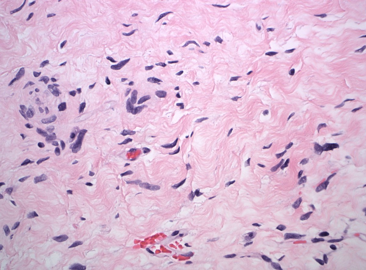
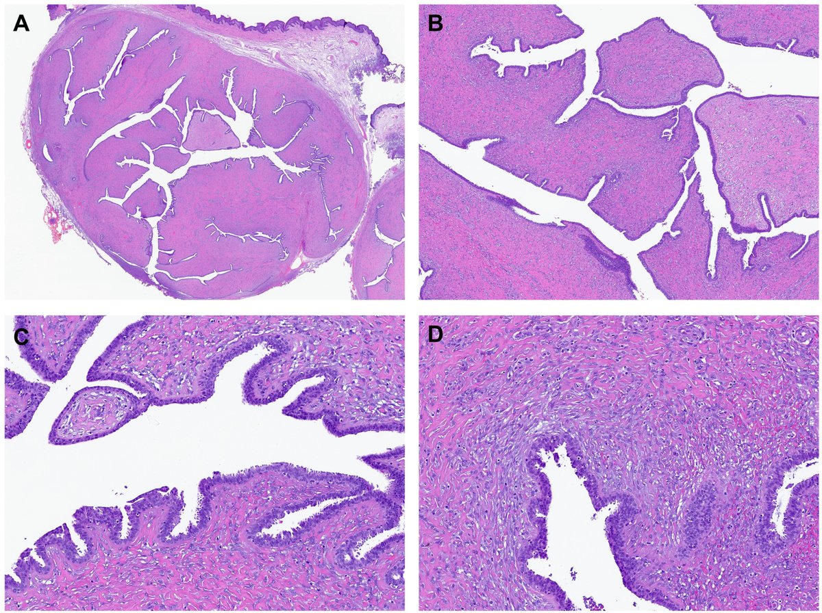
How would you describe this architectural pattern, #pathresidents? #PathTwitter

megothelioma's tweet image. How would you describe this architectural pattern, #pathresidents?

#PathTwitter
megothelioma's tweet image. How would you describe this architectural pattern, #pathresidents?

#PathTwitter
megothelioma's tweet image. How would you describe this architectural pattern, #pathresidents?

#PathTwitter

oula fh reposted

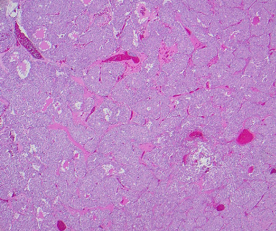
My awesome attending pointed out this incidental sub-urothelial calcification in this RCC case. These are referred to as "Randall's plaques" are thought to be precursors to kidney stones. #PathTwitter #GUPath #urology

megothelioma's tweet image. My awesome attending pointed out this incidental sub-urothelial calcification in this RCC case. These are referred to as "Randall's plaques" are thought to be precursors to kidney stones.

#PathTwitter #GUPath  #urology
megothelioma's tweet image. My awesome attending pointed out this incidental sub-urothelial calcification in this RCC case. These are referred to as "Randall's plaques" are thought to be precursors to kidney stones.

#PathTwitter #GUPath  #urology
megothelioma's tweet image. My awesome attending pointed out this incidental sub-urothelial calcification in this RCC case. These are referred to as "Randall's plaques" are thought to be precursors to kidney stones.

#PathTwitter #GUPath  #urology

oula fh reposted

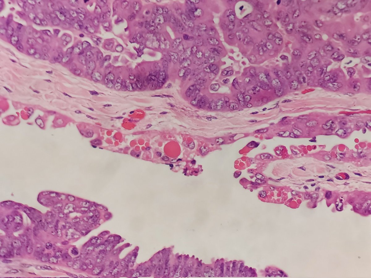
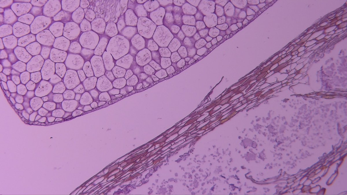
#Grosspath #pathresidents #GIpath Cecal appendix #LAMN 1. Evaluate serosa and ink it. 2. Surgical margin. 3. Submit the entire specimen. @DraEosina @luishcruzc @vij_mukul


oula fh reposted

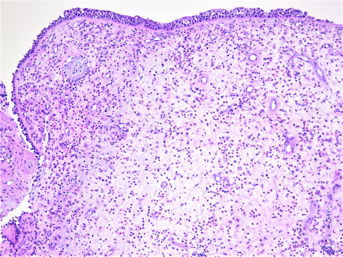
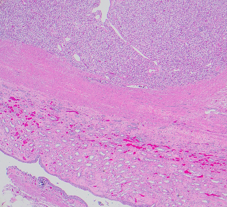
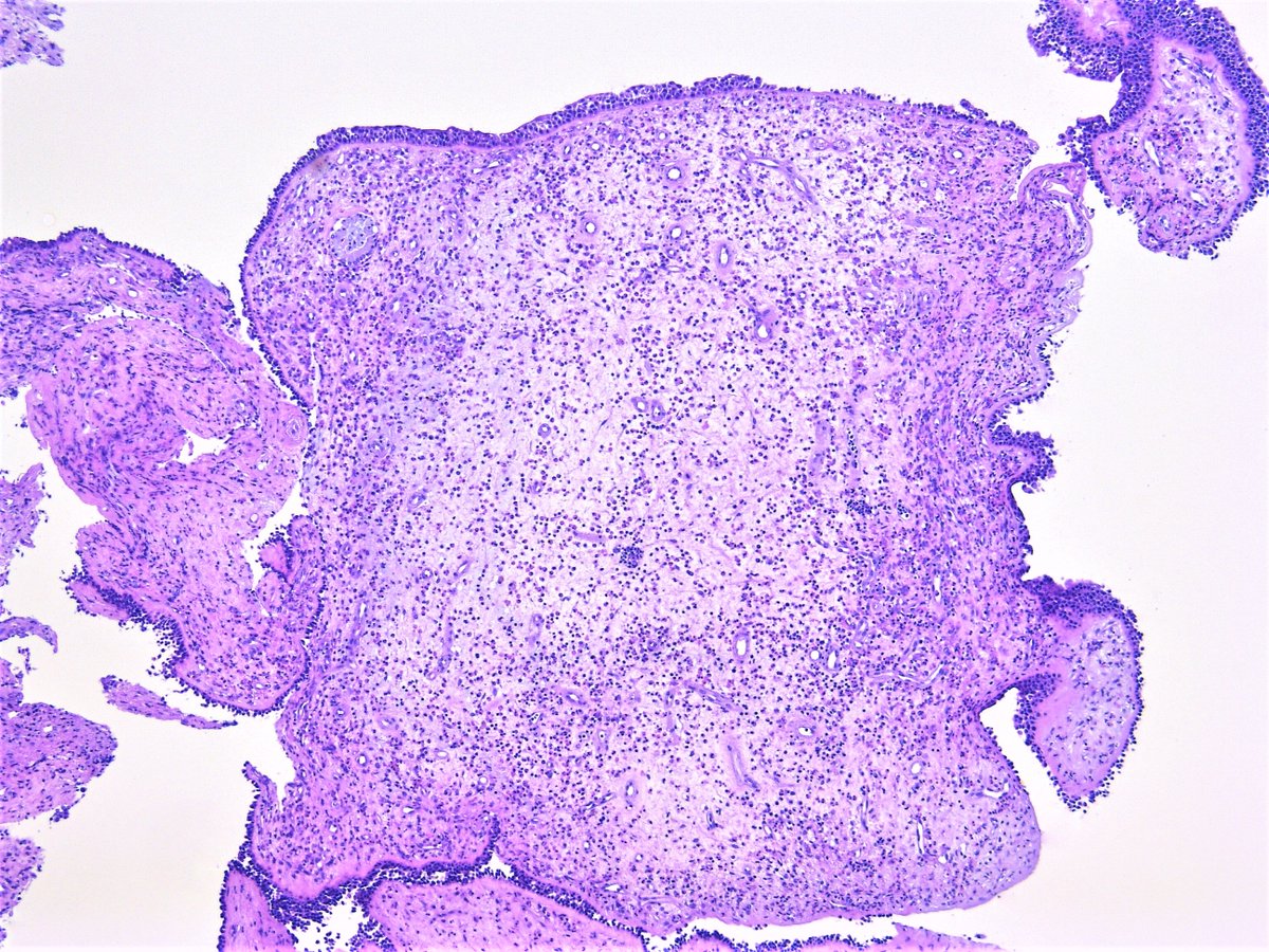
Eosinophilic sinusitis. Nasal cavity (polyp), excisional biopsy. #pathology #ENTpath

Patholwalker's tweet image. Eosinophilic sinusitis. Nasal cavity (polyp), excisional biopsy. #pathology #ENTpath
Patholwalker's tweet image. Eosinophilic sinusitis. Nasal cavity (polyp), excisional biopsy. #pathology #ENTpath
Patholwalker's tweet image. Eosinophilic sinusitis. Nasal cavity (polyp), excisional biopsy. #pathology #ENTpath
Patholwalker's tweet image. Eosinophilic sinusitis. Nasal cavity (polyp), excisional biopsy. #pathology #ENTpath

oula fh reposted

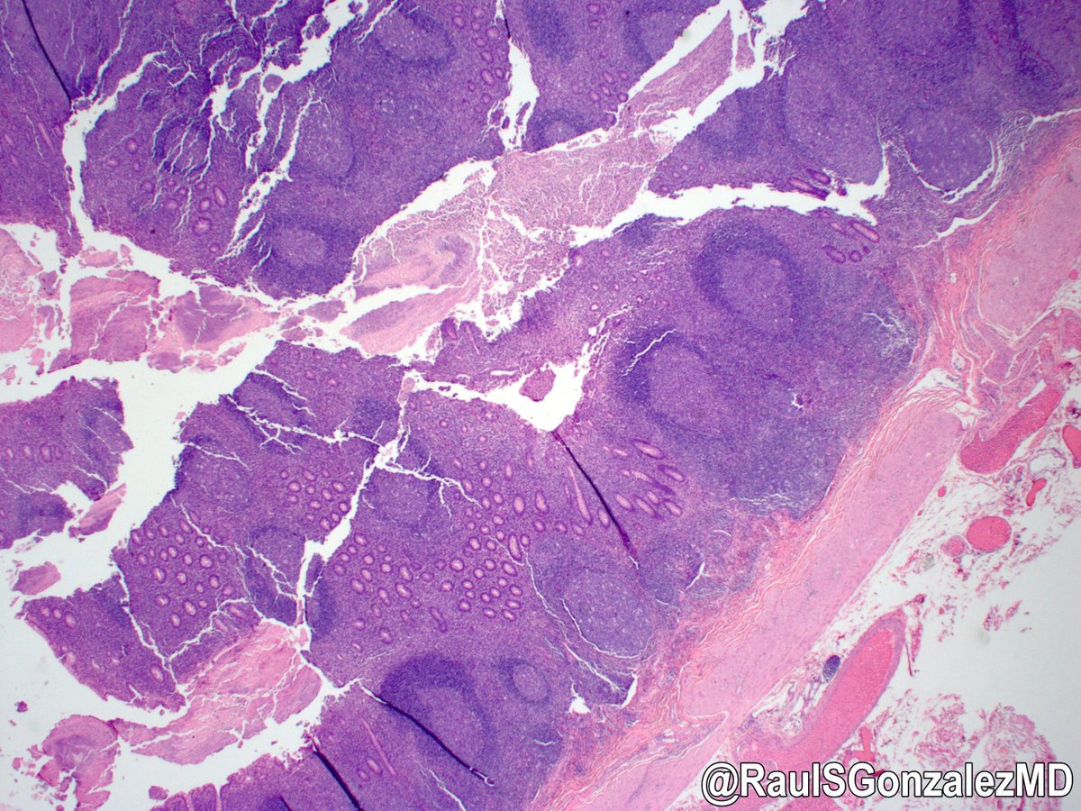
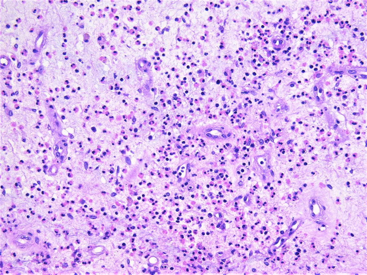
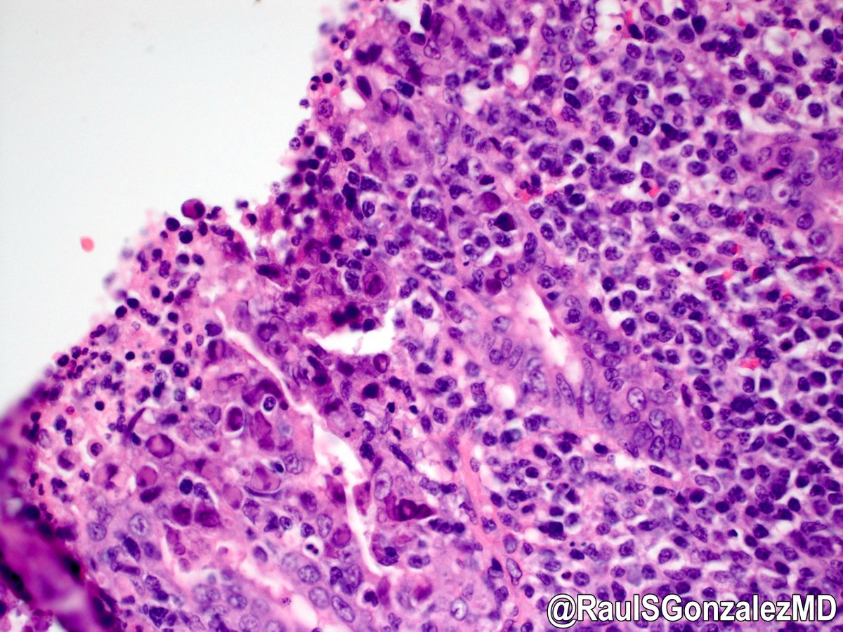
Old cases, day 10: adenovirus appendicitis. This was a pediatric case I found in the archives, so I can’t take credit for the eagle eyes required to spot the viral cytopathic effect (smudgy, glassy nuclei). Never knowingly seen a case since. #pathology #gipath #PathTwitter

RaulSGonzalezMD's tweet image. Old cases, day 10: adenovirus appendicitis. This was a pediatric case I found in the archives, so I can’t take credit for the eagle eyes required to spot the viral cytopathic effect (smudgy, glassy nuclei). Never knowingly seen a case since. #pathology #gipath #PathTwitter
RaulSGonzalezMD's tweet image. Old cases, day 10: adenovirus appendicitis. This was a pediatric case I found in the archives, so I can’t take credit for the eagle eyes required to spot the viral cytopathic effect (smudgy, glassy nuclei). Never knowingly seen a case since. #pathology #gipath #PathTwitter

Loading...

Something went wrong.


Something went wrong.