sovargasmd's profile picture. Pathologist at Boston Children's Hospital

Sara Vargas

@sovargasmd

Pathologist at Boston Children's Hospital

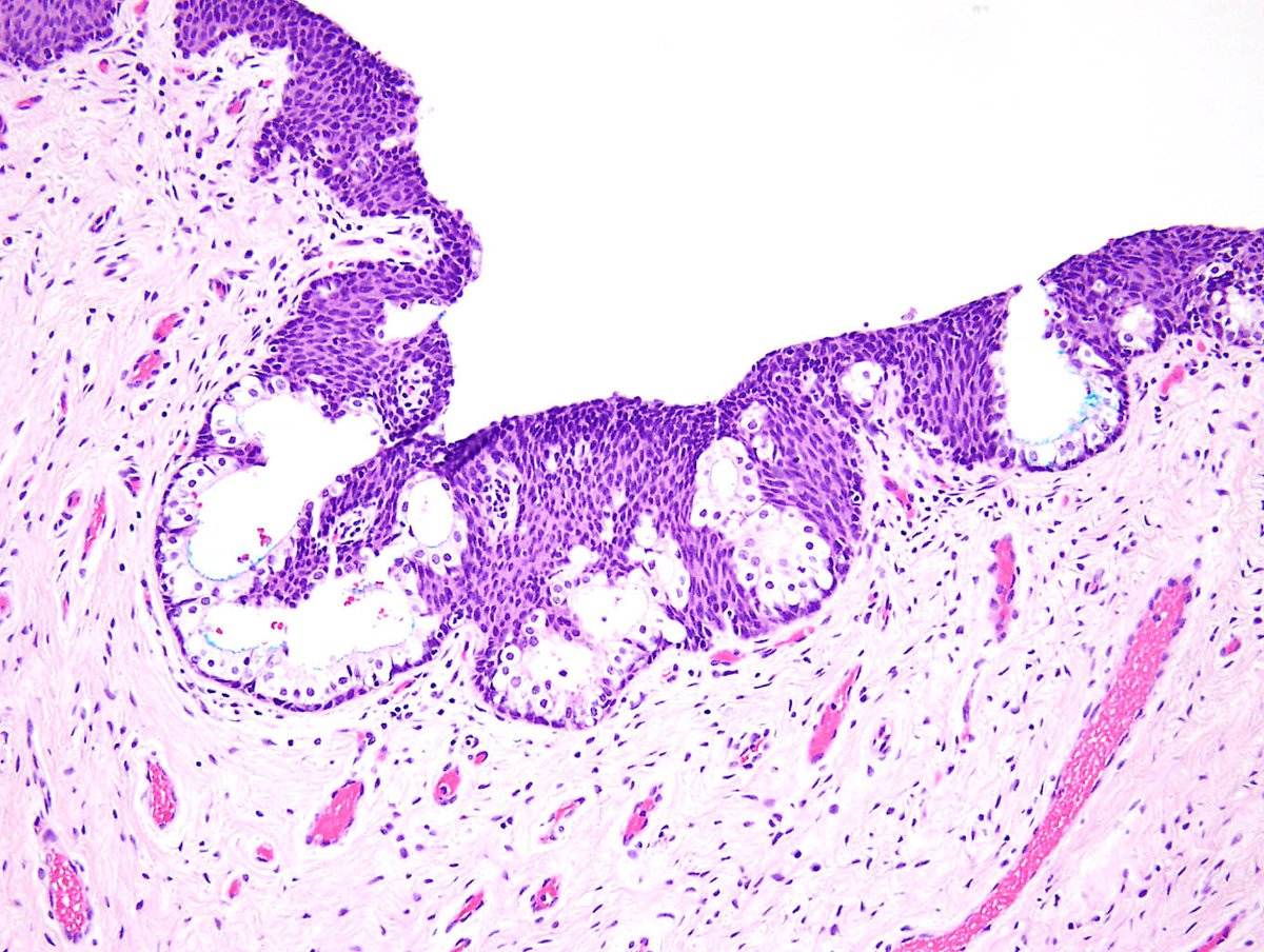
Yet another organ susceptible to prostatic metaplasia! Also interesting to speculate whether intraductal hair shafts with perductal inflammation could contribute to mastodynia in this population—

Prostatic metaplasia and pilar differentiation in gender-affirming mastectomy specimens go.nature.com/2Zif5FD



Sara Vargas reposteó

Hello Twitter! BWH Pathology will be posting an anatomic pathology case of the week every Monday and a gross case of the week every Thursday. Follow us @BWHPath! Digital watercolor painting by Dr. Melissa Zhao (@melissamzhao), PGY2 resident. #pathology

BWHPath's tweet image. Hello Twitter!

BWH Pathology will be posting an anatomic pathology case of the week every Monday and a gross case of the week every Thursday. Follow us @BWHPath!

Digital watercolor painting by Dr. Melissa Zhao (@melissamzhao), PGY2 resident. #pathology

Sara Vargas reposteó

Struggling to distinguish HCC-like hepatoblastoma from HCC in #PediPath #GIPath? Many morphologic patterns and diagnostic pearls revealed by Drs. Ranganathan, Lopez-Terrada and @rita_alaggio! Update available FREE for limited time in @PediDevPath at journals.sagepub.com/doi/full/10.11…

PediDevPath's tweet image. Struggling to distinguish HCC-like hepatoblastoma from HCC in #PediPath #GIPath? Many morphologic patterns and diagnostic pearls revealed by Drs. Ranganathan, Lopez-Terrada and @rita_alaggio! Update available FREE for limited time in @PediDevPath at journals.sagepub.com/doi/full/10.11…
PediDevPath's tweet image. Struggling to distinguish HCC-like hepatoblastoma from HCC in #PediPath #GIPath? Many morphologic patterns and diagnostic pearls revealed by Drs. Ranganathan, Lopez-Terrada and @rita_alaggio! Update available FREE for limited time in @PediDevPath at journals.sagepub.com/doi/full/10.11…

Wonderful to have included so many controls!

Happy to publish this human pathology study challenging old dogma #GCD #Epilepsy in Acta Neuropathologica Communications during COVID19 lockdown! Truly thankful to Raj P. Kapur and Kathy Millen @neurodevKathy for support and inputs. #neuropath, #pedipath actaneurocomms.biomedcentral.com/articles/10.11…



Why would vaginas resected in #genderaffirmingsurgery be carpeted by prostate? New paper showing #GYNPath in @AJSPjournal. Similar changes in hormone-treated #transgender patients and in #PediPath patients with endogenous androgen excess support a common cause!

sovargasmd's tweet image. Why would vaginas resected in #genderaffirmingsurgery be carpeted by prostate? New paper showing #GYNPath in @AJSPjournal. Similar changes in hormone-treated #transgender patients and in #PediPath patients with endogenous androgen excess support a common cause!
sovargasmd's tweet image. Why would vaginas resected in #genderaffirmingsurgery be carpeted by prostate? New paper showing #GYNPath in @AJSPjournal. Similar changes in hormone-treated #transgender patients and in #PediPath patients with endogenous androgen excess support a common cause!

Loading...

Something went wrong.


Something went wrong.