#gynpath search results

🔬 Pathology Basics 🧑‍🏫: Adenomyosis ~ Do you see the endometrial glands and stroma beneath the surface and deep in the myometrial wall? #GYNpath #Pathology #Histology #Uterus #PathologyBasics #PathResidents

ziad_zaatari's tweet image. 🔬 Pathology Basics 🧑‍🏫: Adenomyosis ~ Do you see the endometrial glands and stroma beneath the surface and deep in the myometrial wall? #GYNpath #Pathology #Histology #Uterus #PathologyBasics #PathResidents

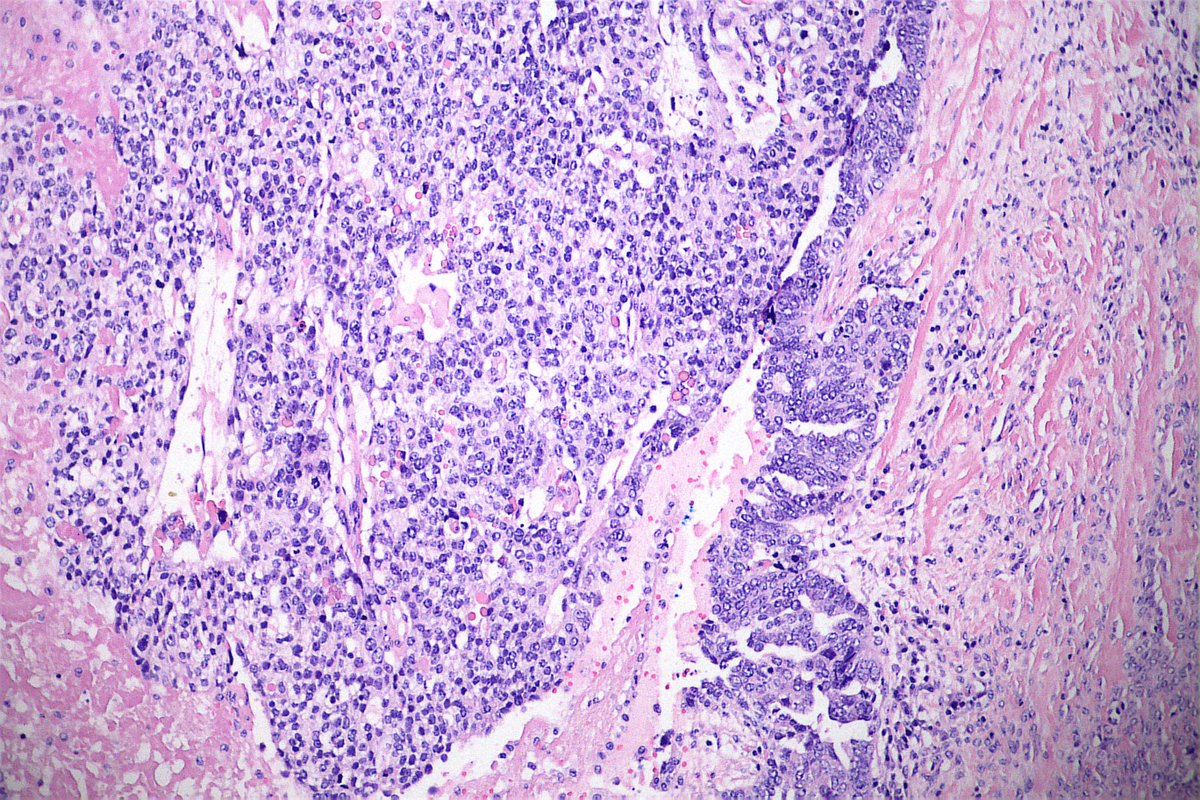
🔬 Clear Cell Endometrial Adenocarcinoma ~ Images showing frequent clear cells with hobnailing (first image) and micropapillary growth pattern (second image) ~ #GYNpath #Pathology

ziad_zaatari's tweet image. 🔬 Clear Cell Endometrial Adenocarcinoma ~ Images showing frequent clear cells with hobnailing (first image) and micropapillary growth pattern (second image) ~ #GYNpath #Pathology
ziad_zaatari's tweet image. 🔬 Clear Cell Endometrial Adenocarcinoma ~ Images showing frequent clear cells with hobnailing (first image) and micropapillary growth pattern (second image) ~ #GYNpath #Pathology

🔬📷 Fallopian Tube.. from a mile above! ✈️ (Super low power view) ~ #Pathology #Histology #GYNpath #PathArt

ziad_zaatari's tweet image. 🔬📷 Fallopian Tube.. from a mile above! ✈️ (Super low power view) ~ #Pathology #Histology #GYNpath #PathArt

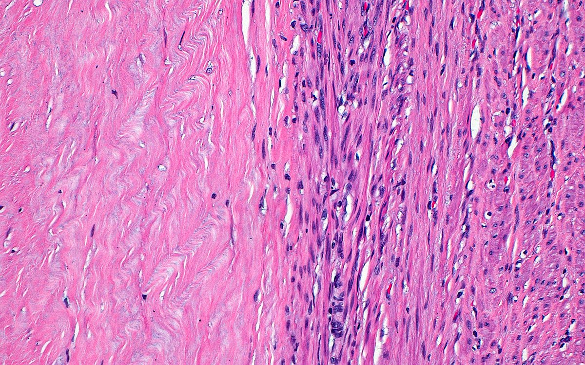
🔬 Leiomyoma with Hyaline Change ~ Collagen fibers (left half of image) next to smooth muscle cells (right half) that transitioned to an area of ischemic type necrosis (outside field of image) ~ #GYNpath #Pathology #Histology

ziad_zaatari's tweet image. 🔬 Leiomyoma with Hyaline Change ~ Collagen fibers (left half of image) next to smooth muscle cells (right half) that transitioned to an area of ischemic type necrosis (outside field of image) ~ #GYNpath #Pathology #Histology

🔬 Luteinized ovarian stromal cells (right) and spindled stromal cells (left) from a case of ovarian hyperthecosis ~ #GYNpath #histology #pathology

ziad_zaatari's tweet image. 🔬 Luteinized ovarian stromal cells (right) and spindled stromal cells (left) from a case of ovarian hyperthecosis ~ #GYNpath #histology #pathology

🚨Check out our new publication: The Spectrum of Vascular Lesions of the Upper Female Genital Tract: A Report of 55 Cases @md_kyle @MGBpathology @MGHPathology @IJGynP #GYNpath #BSTpath journals.lww.com/intjgynpatholo…

TingZhaoPathdoc's tweet image. 🚨Check out our new publication:
The Spectrum of Vascular Lesions of the Upper Female Genital Tract: A Report of 55 Cases

@md_kyle @MGBpathology @MGHPathology @IJGynP 
#GYNpath #BSTpath

journals.lww.com/intjgynpatholo…
TingZhaoPathdoc's tweet image. 🚨Check out our new publication:
The Spectrum of Vascular Lesions of the Upper Female Genital Tract: A Report of 55 Cases

@md_kyle @MGBpathology @MGHPathology @IJGynP 
#GYNpath #BSTpath

journals.lww.com/intjgynpatholo…
TingZhaoPathdoc's tweet image. 🚨Check out our new publication:
The Spectrum of Vascular Lesions of the Upper Female Genital Tract: A Report of 55 Cases

@md_kyle @MGBpathology @MGHPathology @IJGynP 
#GYNpath #BSTpath

journals.lww.com/intjgynpatholo…

"Mucinous" ~ Epithelium from an ovarian mucinous borderline tumor ~ #GYNpath #PathArt

ziad_zaatari's tweet image. "Mucinous" ~ Epithelium from an ovarian mucinous borderline tumor ~ #GYNpath #PathArt

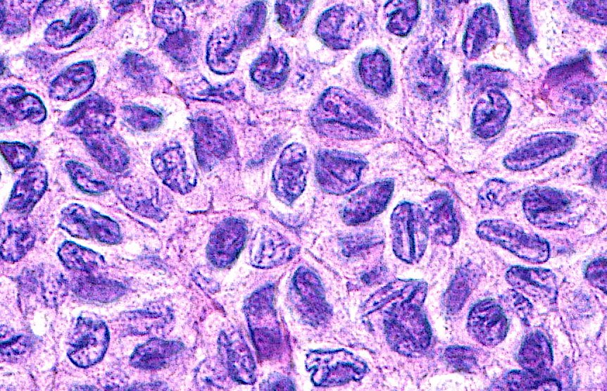
🔬📸 Coffee Bean Shaped Nuclei ~ In a Granulosa Cell Tumor ~ #Pathology #Histology #GYNpath

ziad_zaatari's tweet image. 🔬📸 Coffee Bean Shaped Nuclei ~ In a Granulosa Cell Tumor ~ #Pathology #Histology #GYNpath
ziad_zaatari's tweet image. 🔬📸 Coffee Bean Shaped Nuclei ~ In a Granulosa Cell Tumor ~ #Pathology #Histology #GYNpath

Incidental finding in the uterine corpus. What's the stain? What's the diagnosis? #gynpath #beautyinb9 #pathtwitter

MirunaPopescu13's tweet image. Incidental finding in the uterine corpus.

What's the stain? What's the diagnosis?
#gynpath #beautyinb9 #pathtwitter
MirunaPopescu13's tweet image. Incidental finding in the uterine corpus.

What's the stain? What's the diagnosis?
#gynpath #beautyinb9 #pathtwitter
MirunaPopescu13's tweet image. Incidental finding in the uterine corpus.

What's the stain? What's the diagnosis?
#gynpath #beautyinb9 #pathtwitter

🔬 Endometrial Endometrioid Adenocarcinoma ~ Back-to-back malignant glands (top two-thirds of image) above myometrium (bottom third of image) ~ #GYNpath #Pathology #Histology

ziad_zaatari's tweet image. 🔬 Endometrial Endometrioid Adenocarcinoma ~ Back-to-back malignant glands (top two-thirds of image) above myometrium (bottom third of image) ~ #GYNpath #Pathology #Histology

🔬📸 Endometrial Glands ~ Looking at You 👁️👁️ ~ #PathArt #GYNpath #Pathology #Histology

ziad_zaatari's tweet image. 🔬📸 Endometrial Glands ~ Looking at You 👁️👁️ ~ #PathArt #GYNpath #Pathology #Histology

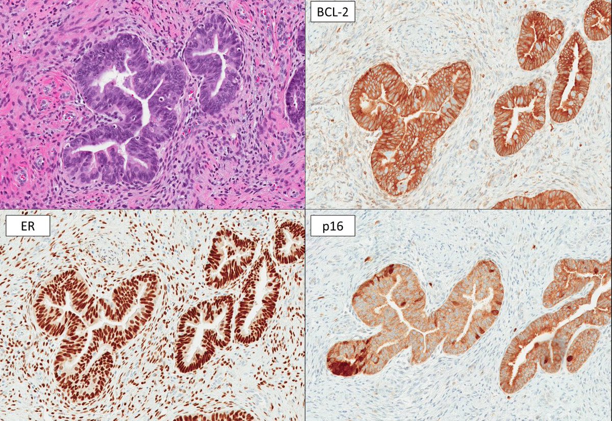
Endometrioid carcinoma with secretory-like features may, at first glance, mimic benign secretory phase endometrium until you see the nuclear atypia and the architectural complexity next to the patient's age (older, postmenopausal female in this case) #PathTwitter #Gynpath

MirunaPopescu13's tweet image. Endometrioid carcinoma with secretory-like features may, at first glance, mimic benign secretory phase endometrium until you see the nuclear atypia and the architectural complexity next to the patient's age (older, postmenopausal female in this case)

#PathTwitter #Gynpath
MirunaPopescu13's tweet image. Endometrioid carcinoma with secretory-like features may, at first glance, mimic benign secretory phase endometrium until you see the nuclear atypia and the architectural complexity next to the patient's age (older, postmenopausal female in this case)

#PathTwitter #Gynpath
MirunaPopescu13's tweet image. Endometrioid carcinoma with secretory-like features may, at first glance, mimic benign secretory phase endometrium until you see the nuclear atypia and the architectural complexity next to the patient's age (older, postmenopausal female in this case)

#PathTwitter #Gynpath

🔬 Clear Cell Adenocarcinoma of the Uterus ~ #GYNpath #Pathology #Histology

ziad_zaatari's tweet image. 🔬 Clear Cell Adenocarcinoma of the Uterus ~ #GYNpath #Pathology #Histology

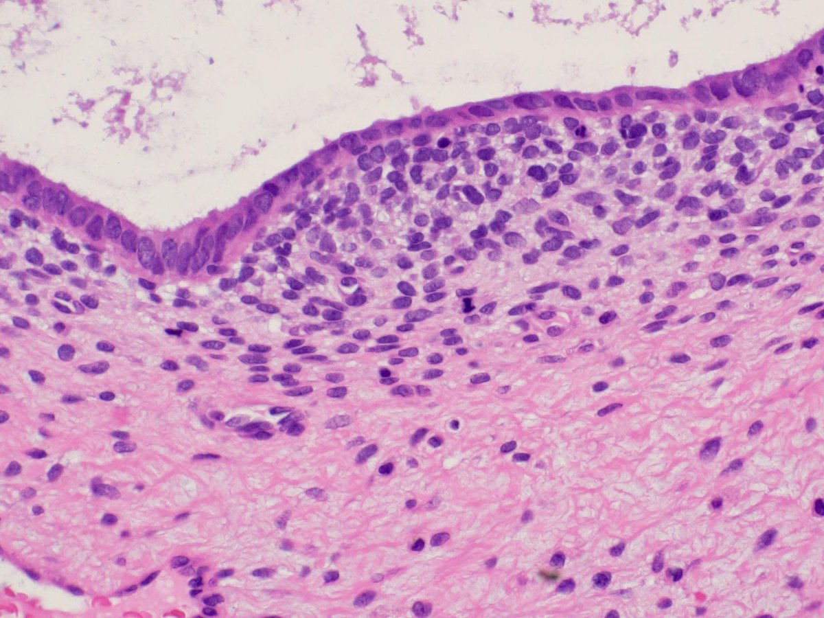
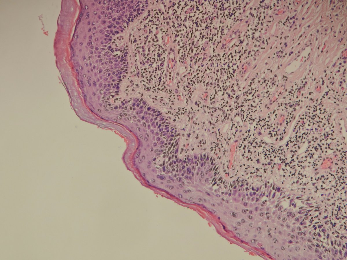
HPV-independent (differentiated) VIN. ➡️ Retained maturation ➡️ Atypia limited to basal and parabasal layers (🔺-shaped atypical basal keratinocytes with prominent intercellular bridges) ➡️ Hyperparakeratosis #IHCPath basally overexpressed, mutant p53 #PathTwitter #Gynpath

MirunaPopescu13's tweet image. HPV-independent (differentiated) VIN.
➡️ Retained maturation
➡️ Atypia limited to basal and parabasal layers (🔺-shaped atypical basal keratinocytes with prominent intercellular bridges)
➡️ Hyperparakeratosis
#IHCPath basally overexpressed, mutant p53

#PathTwitter #Gynpath
MirunaPopescu13's tweet image. HPV-independent (differentiated) VIN.
➡️ Retained maturation
➡️ Atypia limited to basal and parabasal layers (🔺-shaped atypical basal keratinocytes with prominent intercellular bridges)
➡️ Hyperparakeratosis
#IHCPath basally overexpressed, mutant p53

#PathTwitter #Gynpath

🔬 Molar Pregnancy ~ Trophoblastic cell proliferation around a villous from a complete hydatidiform mole ~ #GYNpath #PediPath #Pathology

ziad_zaatari's tweet image. 🔬 Molar Pregnancy ~ Trophoblastic cell proliferation around a villous from a complete hydatidiform mole ~ #GYNpath #PediPath #Pathology

Sometimes you can get an endometrial polyp Sometimes you can get an endocervical polyp Sometimes you can get an endometrial/endocervical polyp (arising from the lower uterine segment) Credit: Lisa Marinelli, MD #pathagonia #path4people #gynpath #pathx #obgyn #pathtwitter

Path4People's tweet image. Sometimes you can get an endometrial polyp

Sometimes you can get an endocervical polyp

Sometimes you can get an endometrial/endocervical polyp (arising from the lower uterine segment)

Credit: Lisa Marinelli, MD

#pathagonia #path4people #gynpath #pathx #obgyn #pathtwitter
Path4People's tweet image. Sometimes you can get an endometrial polyp

Sometimes you can get an endocervical polyp

Sometimes you can get an endometrial/endocervical polyp (arising from the lower uterine segment)

Credit: Lisa Marinelli, MD

#pathagonia #path4people #gynpath #pathx #obgyn #pathtwitter
Path4People's tweet image. Sometimes you can get an endometrial polyp

Sometimes you can get an endocervical polyp

Sometimes you can get an endometrial/endocervical polyp (arising from the lower uterine segment)

Credit: Lisa Marinelli, MD

#pathagonia #path4people #gynpath #pathx #obgyn #pathtwitter

🧬_______ missense mutation confirms the diagnosis. A) SMARCA4 B) DICER1 C) STK11 D) FOXL2 Hx: A 52-year-old woman with postmenopausal bleeding is found to have a large solid ovarian mass. #PathQuiz 🔬🧬 #Pathology #GYNPath #MolecularPath

DrCycloPath's tweet image. 🧬_______ missense mutation confirms the diagnosis.

A) SMARCA4 
B) DICER1 
C) STK11 
D) FOXL2 

Hx: A 52-year-old woman with postmenopausal bleeding is found to have a large solid ovarian mass.

#PathQuiz 🔬🧬
#Pathology #GYNPath 
#MolecularPath

📣 Check out the updated protocol: Reporting Results of Biomarker Testing of Specimens From Patients With Carcinoma of Gynecologic Origin 👉 doi.org/10.5858/arpa.2… #CAP #Archives #GYNPath

ArchivesPath's tweet image. 📣 Check out the updated protocol: Reporting Results of Biomarker Testing of Specimens From Patients With Carcinoma of Gynecologic Origin 👉 doi.org/10.5858/arpa.2…

#CAP #Archives #GYNPath

#breastpath #Gynpath #Molpath #Diagnexia Excelente oportunidad para ver a la Dra. Janira Navarro en un tema actual : Patología molecular práctica para neoplasias endometriales y mamarias 30 de abril de 2026 | 11:00 a. m. EST | 4:00 p. m. GMT | En español Una sesión enfocada en

Join Dr Janira Navarro for: Practical Molecular Pathology for Endometrial and Breast Malignancies April 30, 2026 | 11AM EST | 4PM GMT | En español A focused session on practical diagnostic considerations in Molecular Pathology for Endometrial and Breast Malignancies. ¡Webinar en

diagnexia's tweet image. Join Dr Janira Navarro  for:
Practical Molecular Pathology for Endometrial and Breast Malignancies
April 30, 2026 | 11AM EST | 4PM GMT | En español
A focused session on practical diagnostic considerations in Molecular Pathology for Endometrial and Breast Malignancies.
¡Webinar en


Endometriosis-associated neoplasms - review common diagnostic issues, and clinical, pathologic, and molecular characteristics here 👉 doi.org/10.5858/arpa.2… #CAP #Archives #GYNPath

ArchivesPath's tweet image. Endometriosis-associated neoplasms - review common diagnostic issues, and clinical, pathologic, and molecular characteristics here 👉 doi.org/10.5858/arpa.2…

#CAP #Archives #GYNPath

New option for live-streaming our #gynpath #breastpath interactive digital slide-based course on May 23. Also FREE access for low-middle income country pathologists/trainees. Link to the digital slides will be sent for previewing in advance. Register: ucsf.cloud-cme.com/course/courseo…

UCSFPath's tweet image. New option for live-streaming our #gynpath #breastpath interactive digital slide-based course on May 23. Also FREE access for low-middle income country pathologists/trainees. Link to the digital slides will be sent for previewing in advance. Register: ucsf.cloud-cme.com/course/courseo…

New option for live-streaming our #gynpath #breastpath interactive digital slide-based course on May 23. Also FREE access for low-middle income country pathologists/trainees. Link to the digital slides will be sent for previewing in advance. Register: ucsf.cloud-cme.com/course/courseo…

joerabban's tweet image. New option for live-streaming our #gynpath #breastpath interactive digital slide-based course on May 23. Also FREE access for low-middle income country pathologists/trainees. Link to the digital slides will be sent for previewing in advance. Register: ucsf.cloud-cme.com/course/courseo…

Please join @ISGynP for our monthly gynecologic pathology journal club! April 15 at 12:00 US ET. This month's topic is Winning Abstracts from the USCAP Meeting. Register @ ISGyP.ca #PathTwitter #GynPath #GynaePath

ISGynP's tweet image. Please join @ISGynP for our monthly gynecologic pathology journal club!  April 15 at 12:00 US ET. This month's topic is Winning Abstracts from the USCAP Meeting.  Register @ ISGyP.ca #PathTwitter #GynPath #GynaePath

33Y cervical biopsy, HPV 18 (+) HSIL/ CIN II #gynpath #hpv #pathology

senaadsizdayanc's tweet image. 33Y cervical biopsy, HPV 18 (+)
HSIL/ CIN II 
#gynpath
#hpv
#pathology
senaadsizdayanc's tweet image. 33Y cervical biopsy, HPV 18 (+)
HSIL/ CIN II 
#gynpath
#hpv
#pathology
senaadsizdayanc's tweet image. 33Y cervical biopsy, HPV 18 (+)
HSIL/ CIN II 
#gynpath
#hpv
#pathology
senaadsizdayanc's tweet image. 33Y cervical biopsy, HPV 18 (+)
HSIL/ CIN II 
#gynpath
#hpv
#pathology

🔬 Cracking the Code of Ovarian Mucinous Neoplasms - review diagnostic criteria, recent updates, and ongoing challenges here 👉 doi.org/10.5858/arpa.2… #CAP #Archives #GYNPath

ArchivesPath's tweet image. 🔬 Cracking the Code of Ovarian Mucinous Neoplasms - review diagnostic criteria, recent updates, and ongoing challenges here 👉 doi.org/10.5858/arpa.2…

#CAP #Archives #GYNPath

54Y histerectomy Walthard cell nests, fallopian tube #gynpath #pathology

senaadsizdayanc's tweet image. 54Y histerectomy
Walthard cell nests, fallopian tube 
#gynpath
#pathology

Announcing a free @ISGynP sponsored live virtual slide session on April 9, 2026 at 12 noon US ET by Dr. Salim on "Squamous Cell Carcinoma of the Cervix". Register now @ isgyp.ca #gynpath #gynaepath #PathTwitter

isgyp.ca

Home - ISGyP

Home - ISGyP


Excited that our paper on vascular lesions of the upper female genital tract was among the Top 10 most accessed articles in International Journal of Gynecological Pathology in 2025! 🎉 journals.lww.com/intjgynpatholo… @MGBpathology @IJGynP #SurgPath #GYNpath #BSTpath

TingZhaoPathdoc's tweet image. Excited that our paper on vascular lesions of the upper female genital tract was among the Top 10 most accessed articles in International Journal of Gynecological Pathology in 2025! 🎉
journals.lww.com/intjgynpatholo…

@MGBpathology @IJGynP 
#SurgPath #GYNpath #BSTpath

🚨Check out our new publication: The Spectrum of Vascular Lesions of the Upper Female Genital Tract: A Report of 55 Cases @md_kyle @MGBpathology @MGHPathology @IJGynP #GYNpath #BSTpath journals.lww.com/intjgynpatholo…

TingZhaoPathdoc's tweet image. 🚨Check out our new publication:
The Spectrum of Vascular Lesions of the Upper Female Genital Tract: A Report of 55 Cases

@md_kyle @MGBpathology @MGHPathology @IJGynP 
#GYNpath #BSTpath

journals.lww.com/intjgynpatholo…
TingZhaoPathdoc's tweet image. 🚨Check out our new publication:
The Spectrum of Vascular Lesions of the Upper Female Genital Tract: A Report of 55 Cases

@md_kyle @MGBpathology @MGHPathology @IJGynP 
#GYNpath #BSTpath

journals.lww.com/intjgynpatholo…
TingZhaoPathdoc's tweet image. 🚨Check out our new publication:
The Spectrum of Vascular Lesions of the Upper Female Genital Tract: A Report of 55 Cases

@md_kyle @MGBpathology @MGHPathology @IJGynP 
#GYNpath #BSTpath

journals.lww.com/intjgynpatholo…


Metastases to the ovary can closely mimic primary ovarian tumors making accurate diagnosis both challenging and critical. Review key clinical, gross, and microscopic clues here 👉 doi.org/10.5858/arpa.2… #CAP #Archives #GYNPath

ArchivesPath's tweet image. Metastases to the ovary can closely mimic primary ovarian tumors making accurate diagnosis both challenging and critical. Review key clinical, gross, and microscopic clues here 👉 doi.org/10.5858/arpa.2…

#CAP #Archives #GYNPath

Please join us for our monthly webinar on Wed 8th April at 3 pm UK time. This month's topic is a session on 'The Clinically Important Diagnostic Thresholds in Gynae Pathology' with Dr Costigan. Free to register @ thebagp.org/events/list/ #PathTwitter #GynPath #Gynaepath

BAGPGynPath's tweet image. Please join us for our monthly webinar on Wed 8th April at 3 pm UK time. This month's topic is a session on 'The Clinically Important Diagnostic Thresholds in Gynae Pathology' with Dr Costigan.  Free to register @ thebagp.org/events/list/ 
#PathTwitter #GynPath #Gynaepath

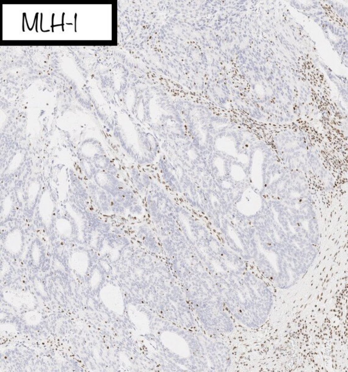
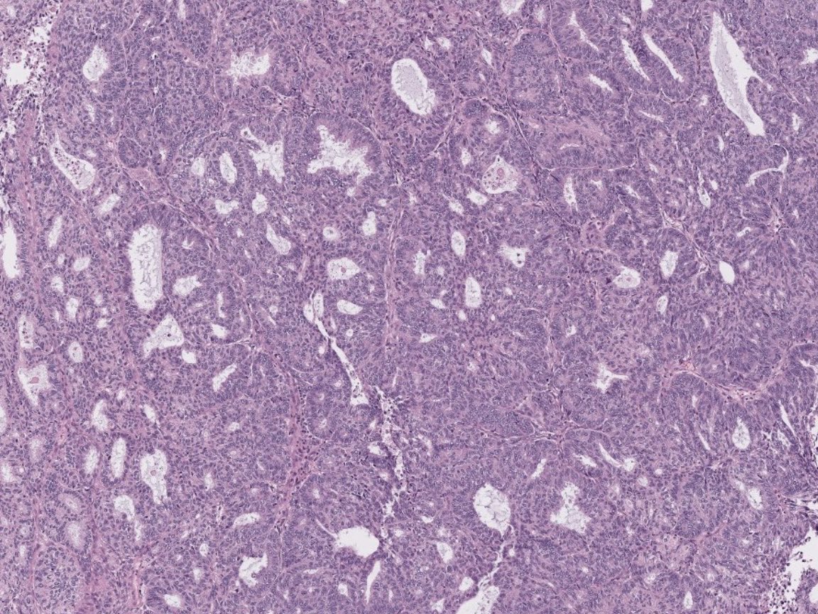
#Gynpath #Surgpath #pathresidents #Pathtwitter Some images of an endometrioid-type adenocarcinoma of the ovary in a 60-year-old woman. Mismatch repair proteins MLH1 and PMS2 show loss of staining (note negatively-staining tumor cell nuclei, with positively-stained stromal

BrownPathology's tweet image. #Gynpath #Surgpath #pathresidents 
#Pathtwitter

Some images of an endometrioid-type adenocarcinoma of the ovary in a 60-year-old woman.
 
Mismatch repair proteins MLH1 and PMS2 show loss of staining (note negatively-staining tumor cell nuclei, with positively-stained stromal
BrownPathology's tweet image. #Gynpath #Surgpath #pathresidents 
#Pathtwitter

Some images of an endometrioid-type adenocarcinoma of the ovary in a 60-year-old woman.
 
Mismatch repair proteins MLH1 and PMS2 show loss of staining (note negatively-staining tumor cell nuclei, with positively-stained stromal
BrownPathology's tweet image. #Gynpath #Surgpath #pathresidents 
#Pathtwitter

Some images of an endometrioid-type adenocarcinoma of the ovary in a 60-year-old woman.
 
Mismatch repair proteins MLH1 and PMS2 show loss of staining (note negatively-staining tumor cell nuclei, with positively-stained stromal
BrownPathology's tweet image. #Gynpath #Surgpath #pathresidents 
#Pathtwitter

Some images of an endometrioid-type adenocarcinoma of the ovary in a 60-year-old woman.
 
Mismatch repair proteins MLH1 and PMS2 show loss of staining (note negatively-staining tumor cell nuclei, with positively-stained stromal


#Gynpath #Surgpath #pathresidents #Pathtwitter Some images of an endometrioid-type adenocarcinoma of the ovary in a 60-year-old woman. Mismatch repair proteins MLH1 and PMS2 show loss of staining (note negatively-staining tumor cell nuclei, with positively-stained stromal

BrownPathology's tweet image. #Gynpath #Surgpath #pathresidents 
#Pathtwitter

Some images of an endometrioid-type adenocarcinoma of the ovary in a 60-year-old woman.
 
Mismatch repair proteins MLH1 and PMS2 show loss of staining (note negatively-staining tumor cell nuclei, with positively-stained stromal
BrownPathology's tweet image. #Gynpath #Surgpath #pathresidents 
#Pathtwitter

Some images of an endometrioid-type adenocarcinoma of the ovary in a 60-year-old woman.
 
Mismatch repair proteins MLH1 and PMS2 show loss of staining (note negatively-staining tumor cell nuclei, with positively-stained stromal
BrownPathology's tweet image. #Gynpath #Surgpath #pathresidents 
#Pathtwitter

Some images of an endometrioid-type adenocarcinoma of the ovary in a 60-year-old woman.
 
Mismatch repair proteins MLH1 and PMS2 show loss of staining (note negatively-staining tumor cell nuclei, with positively-stained stromal
BrownPathology's tweet image. #Gynpath #Surgpath #pathresidents 
#Pathtwitter

Some images of an endometrioid-type adenocarcinoma of the ovary in a 60-year-old woman.
 
Mismatch repair proteins MLH1 and PMS2 show loss of staining (note negatively-staining tumor cell nuclei, with positively-stained stromal

Call For Applicants for Open Positions as ISGyP LiVE Moderators! Members of ISGyP are eligible to apply, each of which is a 2-year term. Closing date for applications April 24. For more details✉️[email protected] #Gynpath #GynaePath #PathTwitter

ISGynP's tweet image. Call For Applicants for Open Positions as ISGyP LiVE Moderators! 
Members of ISGyP are eligible to apply, each of which is a 2-year term. Closing date for applications April 24.   
For more details✉️isgypliveinfo@gmail.com  
#Gynpath #GynaePath #PathTwitter

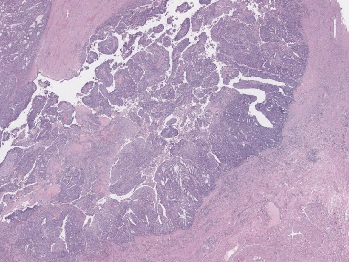
Uterine cervix - History of adenocarcinoma in situ (AIS) with positive margins → new biopsies come in Is this AIS? It’s tuboendometrioid metaplasia. ✅ Seen in ~20% of cone biopsies ✅ Often linked to prior cervical procedures ✅ Columnar mucin-depleted epithelium + reactive

Janiranavarro's tweet image. Uterine cervix - History of adenocarcinoma in situ (AIS) with positive margins → new biopsies come in
Is this AIS?

It’s tuboendometrioid metaplasia.

✅ Seen in ~20% of cone biopsies
✅ Often linked to prior cervical procedures
✅ Columnar mucin-depleted epithelium + reactive
Janiranavarro's tweet image. Uterine cervix - History of adenocarcinoma in situ (AIS) with positive margins → new biopsies come in
Is this AIS?

It’s tuboendometrioid metaplasia.

✅ Seen in ~20% of cone biopsies
✅ Often linked to prior cervical procedures
✅ Columnar mucin-depleted epithelium + reactive
Janiranavarro's tweet image. Uterine cervix - History of adenocarcinoma in situ (AIS) with positive margins → new biopsies come in
Is this AIS?

It’s tuboendometrioid metaplasia.

✅ Seen in ~20% of cone biopsies
✅ Often linked to prior cervical procedures
✅ Columnar mucin-depleted epithelium + reactive
Janiranavarro's tweet image. Uterine cervix - History of adenocarcinoma in situ (AIS) with positive margins → new biopsies come in
Is this AIS?

It’s tuboendometrioid metaplasia.

✅ Seen in ~20% of cone biopsies
✅ Often linked to prior cervical procedures
✅ Columnar mucin-depleted epithelium + reactive


A 62-year-old woman presents with a polypoid intrauterine mass. Aggressive cases of this tumor demonstrate: A) JAZF1::SUZ12 fusion B) FOXL2 mutation C) DICER1 mutation D) MYBL1 amplification #PathQuiz 🔬🧬 #Pathology #GYNPath #MolecularPath Clue in caption 🧐

DrCycloPath's tweet image. A 62-year-old woman presents with a polypoid intrauterine mass. 
Aggressive cases of this tumor demonstrate: 
A) JAZF1::SUZ12 fusion
B) FOXL2 mutation
C) DICER1 mutation
D) MYBL1 amplification

#PathQuiz 🔬🧬
#Pathology #GYNPath #MolecularPath 
Clue in caption 🧐

An interesting incidental finding in a placenta! What do you think it is? Can you name the stain?😉 #PathTwitter #PathX #GYNPath #PediPath

YMirzabeigi's tweet image. An interesting incidental finding in a placenta! What do you think it is? Can you name the stain?😉
 #PathTwitter #PathX #GYNPath #PediPath
YMirzabeigi's tweet image. An interesting incidental finding in a placenta! What do you think it is? Can you name the stain?😉
 #PathTwitter #PathX #GYNPath #PediPath

Adult female. Ovarian mass. Scrape smears prepared during the frozen section. #CytoPath #GynPath #CytoHisto correlation

SumantaDas_7's tweet image. Adult female. Ovarian mass. Scrape smears prepared during the frozen section.
#CytoPath #GynPath #CytoHisto correlation
SumantaDas_7's tweet image. Adult female. Ovarian mass. Scrape smears prepared during the frozen section.
#CytoPath #GynPath #CytoHisto correlation
SumantaDas_7's tweet image. Adult female. Ovarian mass. Scrape smears prepared during the frozen section.
#CytoPath #GynPath #CytoHisto correlation
SumantaDas_7's tweet image. Adult female. Ovarian mass. Scrape smears prepared during the frozen section.
#CytoPath #GynPath #CytoHisto correlation

I love all my children equally but WHOA do we have a treat for you! Please join us tomorrow morning @ 11 ET for our next ISIMM webinar: a #gynpath extravaganza. @AnneMillsMD: MMR/PD-L1 @BrookeHowittMD: mesenchymal tumors Jaclyn Watkins: vulvar pathology Matt Quick: endometrium

IHC_guy's tweet image. I love all my children equally but WHOA do we have a treat for you! Please join us tomorrow morning @ 11 ET for our next ISIMM webinar: a #gynpath extravaganza.

@AnneMillsMD: MMR/PD-L1 
@BrookeHowittMD: mesenchymal tumors
Jaclyn Watkins: vulvar pathology
Matt Quick: endometrium
IHC_guy's tweet image. I love all my children equally but WHOA do we have a treat for you! Please join us tomorrow morning @ 11 ET for our next ISIMM webinar: a #gynpath extravaganza.

@AnneMillsMD: MMR/PD-L1 
@BrookeHowittMD: mesenchymal tumors
Jaclyn Watkins: vulvar pathology
Matt Quick: endometrium
IHC_guy's tweet image. I love all my children equally but WHOA do we have a treat for you! Please join us tomorrow morning @ 11 ET for our next ISIMM webinar: a #gynpath extravaganza.

@AnneMillsMD: MMR/PD-L1 
@BrookeHowittMD: mesenchymal tumors
Jaclyn Watkins: vulvar pathology
Matt Quick: endometrium
IHC_guy's tweet image. I love all my children equally but WHOA do we have a treat for you! Please join us tomorrow morning @ 11 ET for our next ISIMM webinar: a #gynpath extravaganza.

@AnneMillsMD: MMR/PD-L1 
@BrookeHowittMD: mesenchymal tumors
Jaclyn Watkins: vulvar pathology
Matt Quick: endometrium

🔬 Luteinized ovarian stromal cells (right) and spindled stromal cells (left) from a case of ovarian hyperthecosis ~ #GYNpath #histology #pathology

ziad_zaatari's tweet image. 🔬 Luteinized ovarian stromal cells (right) and spindled stromal cells (left) from a case of ovarian hyperthecosis ~ #GYNpath #histology #pathology

🔬 Clear Cell Endometrial Adenocarcinoma ~ Images showing frequent clear cells with hobnailing (first image) and micropapillary growth pattern (second image) ~ #GYNpath #Pathology

ziad_zaatari's tweet image. 🔬 Clear Cell Endometrial Adenocarcinoma ~ Images showing frequent clear cells with hobnailing (first image) and micropapillary growth pattern (second image) ~ #GYNpath #Pathology
ziad_zaatari's tweet image. 🔬 Clear Cell Endometrial Adenocarcinoma ~ Images showing frequent clear cells with hobnailing (first image) and micropapillary growth pattern (second image) ~ #GYNpath #Pathology

HPV-independent (differentiated) VIN. ➡️ Retained maturation ➡️ Atypia limited to basal and parabasal layers (🔺-shaped atypical basal keratinocytes with prominent intercellular bridges) ➡️ Hyperparakeratosis #IHCPath basally overexpressed, mutant p53 #PathTwitter #Gynpath

MirunaPopescu13's tweet image. HPV-independent (differentiated) VIN.
➡️ Retained maturation
➡️ Atypia limited to basal and parabasal layers (🔺-shaped atypical basal keratinocytes with prominent intercellular bridges)
➡️ Hyperparakeratosis
#IHCPath basally overexpressed, mutant p53

#PathTwitter #Gynpath
MirunaPopescu13's tweet image. HPV-independent (differentiated) VIN.
➡️ Retained maturation
➡️ Atypia limited to basal and parabasal layers (🔺-shaped atypical basal keratinocytes with prominent intercellular bridges)
➡️ Hyperparakeratosis
#IHCPath basally overexpressed, mutant p53

#PathTwitter #Gynpath

"Mucinous" ~ Epithelium from an ovarian mucinous borderline tumor ~ #GYNpath #PathArt

ziad_zaatari's tweet image. "Mucinous" ~ Epithelium from an ovarian mucinous borderline tumor ~ #GYNpath #PathArt

🔬 PSTT vs Choriocarcinoma — vascular invasion made simple! ➡️ PSTT: Periphery → Lumen ➡️ Choriocarcinoma: Lumen → Periphery Small clue, BIG diagnostic difference. 🩸✨ #Pathology #GynPath #Histopathology #MedEd #FRCPath #NEETSS

Pathology_mcqs's tweet image. 🔬 PSTT vs Choriocarcinoma — vascular invasion made simple!
➡️ PSTT: Periphery → Lumen
➡️ Choriocarcinoma: Lumen → Periphery
Small clue, BIG diagnostic difference. 🩸✨
#Pathology #GynPath #Histopathology #MedEd #FRCPath #NEETSS
Pathology_mcqs's tweet image. 🔬 PSTT vs Choriocarcinoma — vascular invasion made simple!
➡️ PSTT: Periphery → Lumen
➡️ Choriocarcinoma: Lumen → Periphery
Small clue, BIG diagnostic difference. 🩸✨
#Pathology #GynPath #Histopathology #MedEd #FRCPath #NEETSS
Pathology_mcqs's tweet image. 🔬 PSTT vs Choriocarcinoma — vascular invasion made simple!
➡️ PSTT: Periphery → Lumen
➡️ Choriocarcinoma: Lumen → Periphery
Small clue, BIG diagnostic difference. 🩸✨
#Pathology #GynPath #Histopathology #MedEd #FRCPath #NEETSS
Pathology_mcqs's tweet image. 🔬 PSTT vs Choriocarcinoma — vascular invasion made simple!
➡️ PSTT: Periphery → Lumen
➡️ Choriocarcinoma: Lumen → Periphery
Small clue, BIG diagnostic difference. 🩸✨
#Pathology #GynPath #Histopathology #MedEd #FRCPath #NEETSS

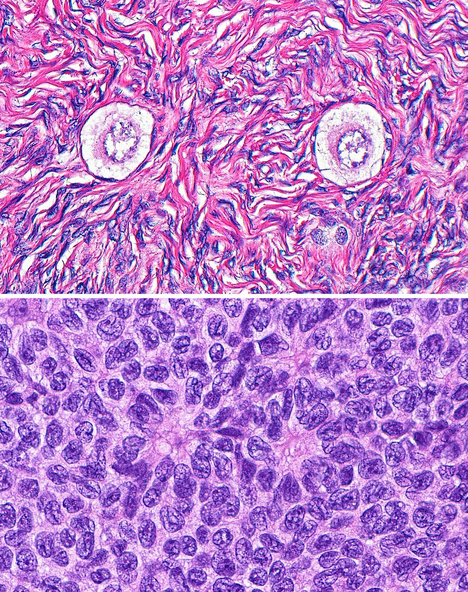
🔬📸 "Duos" 🥚🥚 ~ 2 Primordial Follicles (Top) - Normal Ovary ~ 2 Call-Exner Bodies (Bottom) - Granulosa Cell Tumor #Pathology #GYNpath #Histology #PathArt

ziad_zaatari's tweet image. 🔬📸 "Duos" 🥚🥚 
 ~ 2 Primordial Follicles (Top) - Normal Ovary
 ~ 2 Call-Exner Bodies (Bottom) - Granulosa Cell Tumor
    #Pathology #GYNpath #Histology #PathArt

Tender abdominal nodule. Cutaneous endometriosis. Dermis with scattered endometrial glands with stroma and hemorrhage and surrounding dermal fibrosis. The endometrium in skin also cycles throughout the month. #dermpath #gynpath #pathology

SGottesmanMD's tweet image. Tender abdominal nodule. Cutaneous endometriosis. Dermis with scattered endometrial glands with stroma and hemorrhage and surrounding dermal fibrosis. The endometrium in skin also cycles throughout the month. #dermpath #gynpath #pathology
SGottesmanMD's tweet image. Tender abdominal nodule. Cutaneous endometriosis. Dermis with scattered endometrial glands with stroma and hemorrhage and surrounding dermal fibrosis. The endometrium in skin also cycles throughout the month. #dermpath #gynpath #pathology
SGottesmanMD's tweet image. Tender abdominal nodule. Cutaneous endometriosis. Dermis with scattered endometrial glands with stroma and hemorrhage and surrounding dermal fibrosis. The endometrium in skin also cycles throughout the month. #dermpath #gynpath #pathology
SGottesmanMD's tweet image. Tender abdominal nodule. Cutaneous endometriosis. Dermis with scattered endometrial glands with stroma and hemorrhage and surrounding dermal fibrosis. The endometrium in skin also cycles throughout the month. #dermpath #gynpath #pathology

🔬📷 Fallopian Tube.. from a mile above! ✈️ (Super low power view) ~ #Pathology #Histology #GYNpath #PathArt

ziad_zaatari's tweet image. 🔬📷 Fallopian Tube.. from a mile above! ✈️ (Super low power view) ~ #Pathology #Histology #GYNpath #PathArt

Incidental finding in the uterine corpus. What's the stain? What's the diagnosis? #gynpath #beautyinb9 #pathtwitter

MirunaPopescu13's tweet image. Incidental finding in the uterine corpus.

What's the stain? What's the diagnosis?
#gynpath #beautyinb9 #pathtwitter
MirunaPopescu13's tweet image. Incidental finding in the uterine corpus.

What's the stain? What's the diagnosis?
#gynpath #beautyinb9 #pathtwitter
MirunaPopescu13's tweet image. Incidental finding in the uterine corpus.

What's the stain? What's the diagnosis?
#gynpath #beautyinb9 #pathtwitter

🔬 Pathology Basics 🧑‍🏫: Adenomyosis ~ Do you see the endometrial glands and stroma beneath the surface and deep in the myometrial wall? #GYNpath #Pathology #Histology #Uterus #PathologyBasics #PathResidents

ziad_zaatari's tweet image. 🔬 Pathology Basics 🧑‍🏫: Adenomyosis ~ Do you see the endometrial glands and stroma beneath the surface and deep in the myometrial wall? #GYNpath #Pathology #Histology #Uterus #PathologyBasics #PathResidents

Intravenous (Lipo)Leiomyomatosis • A mouthful but basically a fibroid w fat elements inside a vessel that itself is outside a fibroid • Not staged • Extrauterine extension occurs ~ 30% of times • This case also had a broad ligament leiomyoma #pathagonia #gynpath

Path4People's tweet image. Intravenous (Lipo)Leiomyomatosis    

• A mouthful but basically a fibroid w fat elements inside a vessel that itself is outside a fibroid  
• Not staged 
• Extrauterine extension occurs ~ 30% of times 
• This case also had a broad ligament leiomyoma  

#pathagonia #gynpath
Path4People's tweet image. Intravenous (Lipo)Leiomyomatosis    

• A mouthful but basically a fibroid w fat elements inside a vessel that itself is outside a fibroid  
• Not staged 
• Extrauterine extension occurs ~ 30% of times 
• This case also had a broad ligament leiomyoma  

#pathagonia #gynpath
Path4People's tweet image. Intravenous (Lipo)Leiomyomatosis    

• A mouthful but basically a fibroid w fat elements inside a vessel that itself is outside a fibroid  
• Not staged 
• Extrauterine extension occurs ~ 30% of times 
• This case also had a broad ligament leiomyoma  

#pathagonia #gynpath

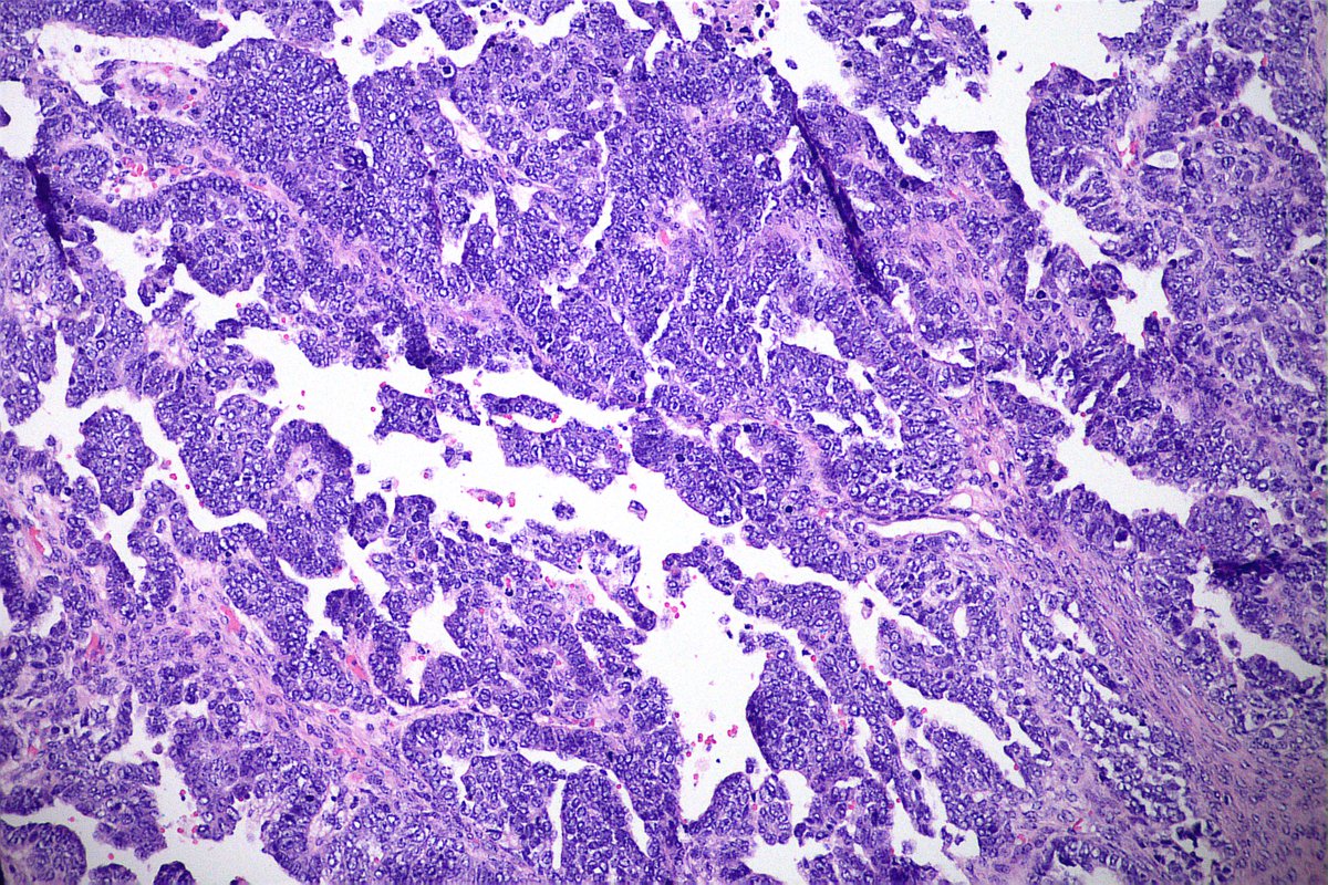
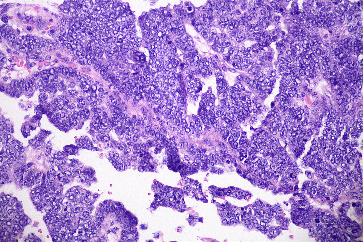
65-year-old patient with bilateral ovarian tumor and omentum implant. Almost all of the avaries with Ca serous morphology and this abrupt focus (last 2 pics). What do you think? #gynpath

GeronimoJrLapac's tweet image. 65-year-old patient with bilateral ovarian tumor and omentum implant. Almost all of the avaries with Ca serous morphology and this abrupt focus (last 2 pics). What do you think?
#gynpath
GeronimoJrLapac's tweet image. 65-year-old patient with bilateral ovarian tumor and omentum implant. Almost all of the avaries with Ca serous morphology and this abrupt focus (last 2 pics). What do you think?
#gynpath
GeronimoJrLapac's tweet image. 65-year-old patient with bilateral ovarian tumor and omentum implant. Almost all of the avaries with Ca serous morphology and this abrupt focus (last 2 pics). What do you think?
#gynpath
GeronimoJrLapac's tweet image. 65-year-old patient with bilateral ovarian tumor and omentum implant. Almost all of the avaries with Ca serous morphology and this abrupt focus (last 2 pics). What do you think?
#gynpath

🔬 Molar Pregnancy ~ Trophoblastic cell proliferation around a villous from a complete hydatidiform mole ~ #GYNpath #PediPath #Pathology

ziad_zaatari's tweet image. 🔬 Molar Pregnancy ~ Trophoblastic cell proliferation around a villous from a complete hydatidiform mole ~ #GYNpath #PediPath #Pathology

🔬Ovary: Clear cell carcinoma 👉Architectural pattern: tubulo-cystic, papillary and solid. 👉Cells with clear and eosinophilic cytoplasm. 👉Do not grade these Ca - All are high grade. 👉Nuclear pleomorphism may be present focally and mitotic activity is generally low. #gynpath

GeronimoJrLapac's tweet image. 🔬Ovary: Clear cell carcinoma 
👉Architectural pattern: tubulo-cystic, papillary and solid.
👉Cells with clear and eosinophilic cytoplasm.
👉Do not grade these Ca - All are high grade.
👉Nuclear pleomorphism may be present focally and mitotic activity is generally low.
#gynpath
GeronimoJrLapac's tweet image. 🔬Ovary: Clear cell carcinoma 
👉Architectural pattern: tubulo-cystic, papillary and solid.
👉Cells with clear and eosinophilic cytoplasm.
👉Do not grade these Ca - All are high grade.
👉Nuclear pleomorphism may be present focally and mitotic activity is generally low.
#gynpath

Uterine Cervix-When to look for and how to measure invasive focus. A great Saturday everyone ! #gynpath #pathology

GeronimoJrLapac's tweet image. Uterine Cervix-When to look for and how to measure invasive focus.
A great Saturday everyone !

#gynpath #pathology

Loading...

Something went wrong.


Something went wrong.