#meniscustear search results

Check out Drs. Waterman and Trassolini demonstrating how new knotless implants can allow for re-tensionable direct fixation of medial meniscus posterior root tears #MeniscusTear #SurgeryDemonstration @H2O_SportsMD @WakeSportsMed ow.ly/vMsw50UN0kp

ArthroscopyJ's tweet image. Check out Drs. Waterman and Trassolini demonstrating how new knotless implants can allow for re-tensionable direct fixation of medial meniscus posterior root tears  #MeniscusTear #SurgeryDemonstration @H2O_SportsMD @WakeSportsMed

ow.ly/vMsw50UN0kp

This article by El Alam et al reports that increased tibial slope is not indicative of concomitant meniscal tears #TibialSlope #MeniscusTear

ArthroscopyJ's tweet image. This article by El Alam et al reports that increased tibial slope is not indicative of concomitant meniscal tears  #TibialSlope #MeniscusTear

📢 Meniscus tears, repairs, and rehab options to preserve tissue function ✨ #Meniscus #MeniscusTear #KneeInjury #ACL #SEM Have you seen the latest #MSKPlaybook? 🔗️ bit.ly/44heSjr @Ryan_Linn_ @RifatHassan_ @ExerciseIrfan @DocLasker @JeffreyPengMD @MyKneeSurgeon

BJSM_BMJ's tweet image. 📢 Meniscus tears, repairs, and rehab options to preserve tissue function ✨ #Meniscus #MeniscusTear #KneeInjury #ACL #SEM

Have you seen the latest #MSKPlaybook? 

🔗️ bit.ly/44heSjr 

@Ryan_Linn_ @RifatHassan_ @ExerciseIrfan @DocLasker @JeffreyPengMD @MyKneeSurgeon
BJSM_BMJ's tweet image. 📢 Meniscus tears, repairs, and rehab options to preserve tissue function ✨ #Meniscus #MeniscusTear #KneeInjury #ACL #SEM

Have you seen the latest #MSKPlaybook? 

🔗️ bit.ly/44heSjr 

@Ryan_Linn_ @RifatHassan_ @ExerciseIrfan @DocLasker @JeffreyPengMD @MyKneeSurgeon

This recent retrospective study demonstrates how the maximum thickness of the medial meniscus is associated with medial meniscus posterior root tears. #MedialMeniscus #MeniscusTear #RootTear ow.ly/iqFe50XaaX0

ArthroscopyJ's tweet image. This recent retrospective study demonstrates how the maximum thickness of the medial meniscus is associated with medial meniscus posterior root tears.  #MedialMeniscus #MeniscusTear #RootTear ow.ly/iqFe50XaaX0

After battling a #meniscustear for nearly 24 months, an #AmazingTeam at @nyphospital successfully completed #kneesurgery on my left leg last week. @ColumbiaMed #NYPColumbia #WorldClass #Orthopedics #Grateful #AmazingGrace 😃❤️‍🩹

spiritofmalabo's tweet image. After battling a #meniscustear for nearly 24 months, an #AmazingTeam at @nyphospital successfully completed #kneesurgery on my left leg last week. @ColumbiaMed #NYPColumbia #WorldClass #Orthopedics #Grateful #AmazingGrace 😃❤️‍🩹

Everything happens for a reason. This will, without a doubt, be my biggest challenge to overcome. The comeback is always greater than the setback‼️‼️ I’ll be back. #meniscustear #mpflreconstruction

ashlan2430's tweet image. Everything happens for a reason. This will, without a doubt, be my biggest challenge to overcome. The comeback is always greater than the setback‼️‼️ I’ll be back. #meniscustear #mpflreconstruction
ashlan2430's tweet image. Everything happens for a reason. This will, without a doubt, be my biggest challenge to overcome. The comeback is always greater than the setback‼️‼️ I’ll be back. #meniscustear #mpflreconstruction

How to treat a meniscus tear 🦵 Mr Andrew Armitage shares which conservative measures are best for treating meniscus tears and the timeline of when surgery should be considered. Find out more about meniscus tear treatment: ow.ly/sgGq50TB13o #MeniscusTear


Dzidzishvili et al report in this systemtic review that more adult patients with discoid lateral meniscus present with tears in the literature compared with the pediatric population. #MeniscusTear

ArthroscopyJ's tweet image. Dzidzishvili et al report in this systemtic review that more adult patients with discoid lateral meniscus present with tears in the literature compared with the pediatric population.  #MeniscusTear

A #meniscustear can create immense pain in the knee. Thankfully, there are a lot of treatment options for meniscus tears, including physical therapy! Click the link to learn more about the symptoms and treatment plans. #BayArea #sportsinjuries #kneepain iasm.com/services/menis…

DrHalbrecht's tweet image. A #meniscustear can create immense pain in the knee. Thankfully, there are a lot of treatment options for meniscus tears, including physical therapy! Click the link to learn more about the symptoms and treatment plans. #BayArea #sportsinjuries #kneepain   iasm.com/services/menis…

#MeniscusTear in Knee: Symptoms Causes and Treatment The #Knee is the most robust joint in the human body, comprising a complex structure of ligaments, tendons, bones, muscles, and cartilage.. Know more at: drnirajvora.com/blog/meniscus-…

DrNirajVora's tweet image. #MeniscusTear in Knee: Symptoms Causes and Treatment

The #Knee is the most robust joint in the human body, comprising a complex structure of ligaments, tendons, bones, muscles, and cartilage..
Know more at: drnirajvora.com/blog/meniscus-…

I was sad that I didn’t get to play in my first game of the season, but I know I still have two more years ahead of me. Even though I couldn’t be out there, the team did really good, and I’m so proud of everyone and all the hard work they put in.#acltear #meniscustear

BaileyD2028's tweet image. I was sad that I didn’t get to play in my first game of the season, but I know I still have two more years ahead of me. Even though I couldn’t be out there, the team did really good, and I’m so proud of everyone and all the hard work they put in.#acltear #meniscustear
BaileyD2028's tweet image. I was sad that I didn’t get to play in my first game of the season, but I know I still have two more years ahead of me. Even though I couldn’t be out there, the team did really good, and I’m so proud of everyone and all the hard work they put in.#acltear #meniscustear

First time in the cage in 9 months! Took it very easy since I'm not relased to bat yet. I had a great time and I'm super proud of what I accomplished today! So ready to be back on the field with my girls! #acltear #meniscustear @lindseygage5 @EastonFastpitch @DfwSho


Patients with MMPRT associated with an inciting event are typically younger and more likely to present acutely. Conversely, patients with insidious presentation are older, present chronically, and exhibit higher rates of bone bruising #MeniscusTear

ArthroscopyJ's tweet image. Patients with MMPRT associated with an inciting event are typically younger and more likely to present acutely. Conversely, patients with insidious presentation are older, present chronically, and exhibit higher rates of bone bruising #MeniscusTear

Meniscus Tears Explained: ▪️ White zone → poor blood supply → meniscectomy ▪️ Red zone → better blood supply → repair Minimally invasive surgery = faster recovery & preserved knee function. medilink.us/ahk6 #meniscustear #kneeinjury #kneesurgery #sportsmedicine


I had a really good day at PT today. I was able to start jogging, but only during PT, just to wake my muscles up and get them moving again. It felt good to see progress and know I’m one step closer to getting back to where I want to be. #Acltear #meniscustear

BaileyD2028's tweet image. I had a really good day at PT today. I was able to start jogging, but only during PT, just to wake my muscles up and get them moving again. It felt good to see progress and know I’m one step closer to getting back to where I want to be. #Acltear #meniscustear
BaileyD2028's tweet image. I had a really good day at PT today. I was able to start jogging, but only during PT, just to wake my muscles up and get them moving again. It felt good to see progress and know I’m one step closer to getting back to where I want to be. #Acltear #meniscustear

Recovery day 2! Let's just say that my first at home, PT stretches were not fun, and i am very am thankful for pain medicine! Besides that, I am feeling a little better than yesterday and ready to get this road to recovery started strong! #acltear #meniscustear @amntx16u

BaileyD2028's tweet image. Recovery day 2! Let's just say that my first at home, PT stretches were not fun, and i am very am thankful for pain medicine! Besides that, I am feeling a little better than yesterday and ready to get this road to recovery started strong!
#acltear
#meniscustear 
@amntx16u

Oeding et al. examine how tibiofemoral morphology may influence medial meniscus posterior root tear risk, identifying steeper medial tibial slope, greater varus alignment, and narrower notch morphology as important factors. #MeniscusTear #MedialTibialSlope

DRJONES_'s tweet image. Oeding et al. examine how tibiofemoral morphology may influence medial meniscus posterior root tear risk, identifying steeper medial tibial slope, greater varus alignment, and narrower notch morphology as important factors. #MeniscusTear #MedialTibialSlope

New from VJSM: Tensionless Repair of Lateral Radial Meniscus Tear with the Use of Traction Stitch ow.ly/m6Jh50VLCYt #MeniscusTear #KneeHealth

aossmjournals's tweet image. New from VJSM: Tensionless Repair of Lateral Radial Meniscus Tear with the Use of Traction Stitch

ow.ly/m6Jh50VLCYt

 #MeniscusTear #KneeHealth

आयुष्मान, CGHS और ECHS के तहत इलाज की सुविधा एवं (CM Fund से वित्तीय सहायता उपलब्ध) 📷 MENISCUS TEAR – A COMMON YET PAINFUL KNEE INJURY! क्या आप महसूस करते हैं? 📷 घुटने में अचानक दर्द : #MeniscusTear #KneePainRelief #OrthopedicCare #DrDeepakRai #VaranasiDoctors #KneeInjury

drdeepak_rai's tweet image. आयुष्मान, CGHS और ECHS के तहत इलाज की सुविधा एवं
(CM Fund से वित्तीय सहायता उपलब्ध)

📷 MENISCUS TEAR – A COMMON YET PAINFUL KNEE INJURY!

क्या आप महसूस करते हैं?
📷 घुटने में अचानक दर्द

:
#MeniscusTear #KneePainRelief #OrthopedicCare #DrDeepakRai #VaranasiDoctors #KneeInjury

That “normal” knee pain you keep ignoring? It might not be normal at all If your knee hurts while walking, climbing stairs, or even sitting — your body is trying to tell you something. #kneepain #meniscustear #jointhealth #orthopediccare #kneepaintreatment #healthawareness


Meniscus Tear में कब जरूरी होती है Surgery? जानिए सही समय! | Meniscus Treatment 📍 Address: The Cruciates – Sports Injury & Arthroscopy Medharbour Hospital, Plot No. 222, Sector 51, Gurugram 📞 Contact: +91 85719 48845 #meniscustear #kneepain #arthroscopy #sportsinjury


Can a lateral #meniscustear heal without surgery? ✅ Small tears → sometimes yes, with watchful waiting ⚠️ Tears without blood flow → won’t self-heal Dr. Vidal also uses biologics: #PRP, #StemCells, #BMAC Protect your #meniscus! Learn more: medilink.us/jwuw


First time in the cage in 9 months! Took it very easy since I'm not relased to bat yet. I had a great time and I'm super proud of what I accomplished today! So ready to be back on the field with my girls! #acltear #meniscustear @lindseygage5 @EastonFastpitch @DfwSho


Knee locked after a twist or pop? It could be a meniscus bucket handle tear — when cartilage flips into the joint and blocks movement. Learn symptoms, diagnosis, and treatment options here: wix.to/VESRlhY #MeniscusTear #KneePain #SportsMedicine


Complex medial #meniscustear - what does that mean for you? “Complex” doesn’t always mean hopeless. Some tears can be repaired, while others are too damaged to fix. Preserving the #meniscus is key to protecting your knee from arthritis. medilink.us/8u8e #kneepain


#MeniscusTear in #Knee: Symptoms Causes and Treatment The knee is the most robust joint in the human body, comprising a complex structure of ligaments, tendons, bones, muscles, and cartilage.. Know more at: drnirajvora.com/blog/meniscus-…

DrNirajVora's tweet image. #MeniscusTear in #Knee: Symptoms Causes and Treatment

The knee is the most robust joint in the human body, comprising a complex structure of ligaments, tendons, bones, muscles, and cartilage..
Know more at: drnirajvora.com/blog/meniscus-…

🦵 Knee Pain se Pareshan ho? Meniscus tear ek common problem hai jo cartilage damage hone se hoti hai — jisse pain, swelling aur movement me dikkat aati hai 😖 #KneePain #MeniscusTear #Arthroscopy #OrthopedicCare #JointHealth #PainFreeLife #HealthyJoints #MinimallyInvasive


Most of the degenerative meniscus tears might not need surgery if they do not severely impact movement. Dare to look past your MRI scans and orthopedic doctors advising surgery. Doctors are not GODs. Go by your symptoms, listen to your body. #meniscustear #meniscus #sportsinjury


If your knee suddenly locks up, it could be a warning sign of an underlying issue. Contact us: 0731 498 1538 Visit us : drmurtuzarassiwala.com .. .. #kneelock #meniscustear #arthroscopysurgery #orthopedics #kneepain [knee locking, meniscus tear, ligament tear, loose body knee]


Spring is peeking at us in SW BC but it's cold. I haven't sneezed once so the pollen is still in the trees. I use crutches still but my #MeniscusTear has less pain & better mobility. I research my injuries including this. I've learned so much from #ElPasoManualPhysicalTherapy.


Oeding et al. examine how tibiofemoral morphology may influence medial meniscus posterior root tear risk, identifying steeper medial tibial slope, greater varus alignment, and narrower notch morphology as important factors. #MeniscusTear #MedialTibialSlope

DRJONES_'s tweet image. Oeding et al. examine how tibiofemoral morphology may influence medial meniscus posterior root tear risk, identifying steeper medial tibial slope, greater varus alignment, and narrower notch morphology as important factors. #MeniscusTear #MedialTibialSlope

Oeding et al. examine how tibiofemoral morphology may influence medial meniscus posterior root tear risk, identifying steeper medial tibial slope, greater varus alignment, and narrower notch morphology as important factors. #MeniscusTear #MedialTibialSlope

ArthroscopyJ's tweet image. Oeding et al. examine how tibiofemoral morphology may influence medial meniscus posterior root tear risk, identifying steeper medial tibial slope, greater varus alignment, and narrower notch morphology as important factors. #MeniscusTear #MedialTibialSlope

#meniscustear can also be degenerative in nature, or associated with #kneearthritis . In these cases the tear was often caused by the arthritis, and it is more important to treat the arthritis symptoms with modalities such as injections, PT and medication. #skylineorthopedics

jonwatsonmd's tweet image. #meniscustear can also be degenerative in nature, or associated with #kneearthritis . In these cases the tear was often caused by the arthritis, and it is more important to treat the arthritis symptoms with modalities such as injections, PT and medication. #skylineorthopedics

Should a torn meniscus be repaired or removed? In this Sports Medicine Minute, Dr. Sterett explains how tear location, blood supply & symptoms determine whether a meniscus can heal. Learn more: buff.ly/bRh3N0C #MeniscusTear #KneeInjury #SportsMedicine #KneeSpecialist

drsterett's tweet image. Should a torn meniscus be repaired or removed?

In this Sports Medicine Minute, Dr. Sterett explains how tear location, blood supply & symptoms determine whether a meniscus can heal.

Learn more: buff.ly/bRh3N0C 

#MeniscusTear #KneeInjury #SportsMedicine #KneeSpecialist

“MENISCUS TEAR WILL GET WORSE IF YOU DELAY” 📲 Apne reports bheje aur expert se consult kare: +91 85719 48845 🏥 The Cruciates – Sports Injury & Arthroscopy 📍 Medharbour Hospital, Sector 51, Gurugram Aaj hi apne reports share kare aur expert advice le!” #MeniscusTear

the_cruciates's tweet image. “MENISCUS TEAR WILL GET WORSE IF YOU DELAY”

📲 Apne reports bheje aur expert se consult kare: +91 85719 48845
🏥 The Cruciates – Sports Injury & Arthroscopy
📍 Medharbour Hospital, Sector 51, Gurugram

Aaj hi apne reports share kare aur expert advice le!”

#MeniscusTear

#meniscustear pushing the envelope for repair considerations! This 17 year old male sustained a complex tear of the posterior horn and mid body of the lateral meniscus. This was repaired utilizing inside out techniques. #savethemeniscus #skylineorthopedics

jonwatsonmd's tweet image. #meniscustear pushing the envelope for repair considerations! This 17 year old male sustained a complex tear of the posterior horn and mid body of the lateral meniscus. This was repaired utilizing inside out techniques. #savethemeniscus #skylineorthopedics
jonwatsonmd's tweet image. #meniscustear pushing the envelope for repair considerations! This 17 year old male sustained a complex tear of the posterior horn and mid body of the lateral meniscus. This was repaired utilizing inside out techniques. #savethemeniscus #skylineorthopedics

Why does the medial #meniscustear more often? It’s less mobile and more firmly attached to the joint making it ~3x more vulnerable.The lateral meniscus is more mobile and resilient, except in the setting of an ACL injury. medilink.us/9otk #meniscus #sportsmedicine


Torn Meniscus Symptoms and Diagnosis - Jeffrey H. Berg, M.D. bit.ly/44aADmE #MeniscusTear #KneeArthroscopy #SportsMedicine

DrJeffBerg's tweet image. Torn Meniscus Symptoms and Diagnosis - Jeffrey H. Berg, M.D. bit.ly/44aADmE #MeniscusTear #KneeArthroscopy #SportsMedicine

Missed lateral meniscus tears on #MRI can happen more often than you might think. Research suggests MRI diagnoses for lateral tears are 80-90% accurate. Learn about the implications: medilink.us/i9xi #MeniscusTear

thekneedoc's tweet image. Missed lateral meniscus tears on #MRI can happen more often than you might think. Research suggests MRI diagnoses for lateral tears are 80-90% accurate. Learn about the implications: medilink.us/i9xi  #MeniscusTear

A meniscus tear isn’t the real problem—wrong decisions are. 🚨 This is the BIG mistake I see patients make again and again. Full video drops tonight at 8 PM ▶️ youtu.be/bRiMXplnJEs #MeniscusTear #KneePain #SportsMedicine #Orthopedic

TheDaral's tweet image. A meniscus tear isn’t the real problem—wrong decisions are. 🚨
This is the BIG mistake I see patients make again and again.
Full video drops tonight at 8 PM ▶️
youtu.be/bRiMXplnJEs

#MeniscusTear #KneePain #SportsMedicine #Orthopedic

Check out Drs. Waterman and Trassolini demonstrating how new knotless implants can allow for re-tensionable direct fixation of medial meniscus posterior root tears #MeniscusTear #SurgeryDemonstration @H2O_SportsMD @WakeSportsMed ow.ly/vMsw50UN0kp

ArthroscopyJ's tweet image. Check out Drs. Waterman and Trassolini demonstrating how new knotless implants can allow for re-tensionable direct fixation of medial meniscus posterior root tears  #MeniscusTear #SurgeryDemonstration @H2O_SportsMD @WakeSportsMed

ow.ly/vMsw50UN0kp

Medial #meniscus tears: To repair or not to repair? If you're experiencing pain or have a complex tear, surgery might be the best path to prevent further damage and #arthritis. Explore your options and keep your knee healthy! medilink.us/mcyf #meniscustear #meniscusrepair

thekneedoc's tweet image. Medial #meniscus tears: To repair or not to repair? If you're experiencing pain or have a complex tear, surgery might be the best path to prevent further damage and #arthritis. Explore your options and keep your knee healthy! medilink.us/mcyf  #meniscustear #meniscusrepair

When should you consider surgery for a #meniscustear? If you’re feeling pain while twisting, squatting, or have a complex tear (meniscocapsular, radial), surgery may be necessary. #MeniscusRepair can help prevent arthritis & further knee damage! More info: medilink.us/7sy4

thekneedoc's tweet image. When should you consider surgery for a #meniscustear? If you’re feeling pain while twisting, squatting, or have a complex tear (meniscocapsular, radial), surgery may be necessary. #MeniscusRepair can help prevent arthritis & further knee damage!
More info: medilink.us/7sy4

Understanding how to interpret an #MRI of a medial #meniscustear is crucial for accurate diagnosis. Dr. LaPrade provides detailed insights into the process. Watch the video here>>>medilink.us/9un8 #orthotwitter #sportsmedicine

thekneedoc's tweet image. Understanding how to interpret an #MRI of a medial #meniscustear is crucial for accurate diagnosis. Dr. LaPrade provides detailed insights into the process.

Watch the video here>>>medilink.us/9un8  #orthotwitter #sportsmedicine

Dzidzishvili et al report in this systemtic review that more adult patients with discoid lateral meniscus present with tears in the literature compared with the pediatric population. #MeniscusTear

ArthroscopyJ's tweet image. Dzidzishvili et al report in this systemtic review that more adult patients with discoid lateral meniscus present with tears in the literature compared with the pediatric population.  #MeniscusTear

Oeding et al. examine how tibiofemoral morphology may influence medial meniscus posterior root tear risk, identifying steeper medial tibial slope, greater varus alignment, and narrower notch morphology as important factors. #MeniscusTear #MedialTibialSlope

ArthroscopyJ's tweet image. Oeding et al. examine how tibiofemoral morphology may influence medial meniscus posterior root tear risk, identifying steeper medial tibial slope, greater varus alignment, and narrower notch morphology as important factors. #MeniscusTear #MedialTibialSlope

All diagnosis of #arthritis has an underlying factor of dehydrated joint... The longer the joint stays dehydrated... + the more the #knee wears... + the easier the knee is to injure + the easier the #meniscustear + the more pain you feel... #kneepainrelief #holistichealth

TheKneePainGuru's tweet image. All diagnosis of #arthritis has an underlying factor of dehydrated joint...

The longer the joint stays dehydrated... 
+ the more the #knee wears...
+ the easier the knee is to injure
+ the easier the #meniscustear
+ the more pain you feel...

#kneepainrelief #holistichealth

This recent retrospective study demonstrates how the maximum thickness of the medial meniscus is associated with medial meniscus posterior root tears. #MedialMeniscus #MeniscusTear #RootTear ow.ly/iqFe50XaaX0

ArthroscopyJ's tweet image. This recent retrospective study demonstrates how the maximum thickness of the medial meniscus is associated with medial meniscus posterior root tears.  #MedialMeniscus #MeniscusTear #RootTear ow.ly/iqFe50XaaX0

Are #xrays useful for #meniscus tears? Standing x-rays help assess joint space & bone health ✅ Normal joint space = repair/preservation options ❌ Narrowed space & bone spurs = arthritis, surgery less likely X-rays guide treatment decisions! medilink.us/0s46 #meniscustear

thekneedoc's tweet image. Are #xrays useful for #meniscus tears?
Standing x-rays help assess joint space & bone health
✅ Normal joint space = repair/preservation options
❌ Narrowed space & bone spurs = arthritis, surgery less likely
X-rays guide treatment decisions!
medilink.us/0s46 #meniscustear

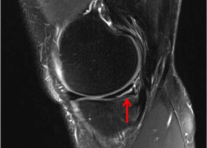
Dr.LaPrade breaks down how to read an #MRI of a medial #meniscus tear! Did you know a horizontal cleavage tear splits the meniscus into top and bottom pieces? Understanding these nuances is key to precise treatment. medilink.us/acnv #meniscustear

thekneedoc's tweet image. Dr.LaPrade breaks down how to read an #MRI of a medial #meniscus tear! Did you know a horizontal cleavage tear splits the meniscus into top and bottom pieces? Understanding these nuances is key to precise treatment. medilink.us/acnv  #meniscustear

This article by El Alam et al reports that increased tibial slope is not indicative of concomitant meniscal tears #TibialSlope #MeniscusTear

ArthroscopyJ's tweet image. This article by El Alam et al reports that increased tibial slope is not indicative of concomitant meniscal tears  #TibialSlope #MeniscusTear

Is Joel Embiid’s latest #meniscustear season-ending, or can he return? The @76ers star, who had surgery Tuesday, will be re-evaluated in 1 month. Learn about rehab & recovery after #meniscusrepair at #OrthoInfo: bit.ly/2PhwJnO @AANAORG @AOSSM_SportsMed @NBA #Orthotwitter

AAOS1's tweet image. Is Joel Embiid’s latest #meniscustear season-ending, or can he return? The @76ers star, who had surgery Tuesday, will be re-evaluated in 1 month. Learn about rehab & recovery after #meniscusrepair at #OrthoInfo: bit.ly/2PhwJnO @AANAORG @AOSSM_SportsMed @NBA #Orthotwitter

The purpose of this study is to evaluate the postoperative outcomes and failure rates of the all-inside versus inside-out suture techniques in meniscal repairs among athletes. medilink.us/sdl3 #medtwitter #meniscustear

bennwachukwumd's tweet image. The purpose of this study is to evaluate the postoperative outcomes and failure rates of the all-inside versus inside-out suture techniques in meniscal repairs among athletes. medilink.us/sdl3 #medtwitter #meniscustear

What are consequences of a #meniscustear in an #NFLathlete? We have definitive info: For #NFL athletes who have #meniscus removed, they have further progression of #arthritis & their careers are shortened. For athletes who have their meniscus repaired...medilink.us/m2zl

thekneedoc's tweet image. What are consequences of a #meniscustear in an #NFLathlete?

We have definitive info: For #NFL athletes who have #meniscus removed, they have further progression of #arthritis & their careers are shortened. For athletes who have their meniscus repaired...medilink.us/m2zl

📢 Meniscus tears, repairs, and rehab options to preserve tissue function ✨ #Meniscus #MeniscusTear #KneeInjury #ACL #SEM Have you seen the latest #MSKPlaybook? 🔗️ bit.ly/44heSjr @Ryan_Linn_ @RifatHassan_ @ExerciseIrfan @DocLasker @JeffreyPengMD @MyKneeSurgeon

BJSM_BMJ's tweet image. 📢 Meniscus tears, repairs, and rehab options to preserve tissue function ✨ #Meniscus #MeniscusTear #KneeInjury #ACL #SEM

Have you seen the latest #MSKPlaybook? 

🔗️ bit.ly/44heSjr 

@Ryan_Linn_ @RifatHassan_ @ExerciseIrfan @DocLasker @JeffreyPengMD @MyKneeSurgeon
BJSM_BMJ's tweet image. 📢 Meniscus tears, repairs, and rehab options to preserve tissue function ✨ #Meniscus #MeniscusTear #KneeInjury #ACL #SEM

Have you seen the latest #MSKPlaybook? 

🔗️ bit.ly/44heSjr 

@Ryan_Linn_ @RifatHassan_ @ExerciseIrfan @DocLasker @JeffreyPengMD @MyKneeSurgeon

Patients with MMPRT associated with an inciting event are typically younger and more likely to present acutely. Conversely, patients with insidious presentation are older, present chronically, and exhibit higher rates of bone bruising #MeniscusTear

ArthroscopyJ's tweet image. Patients with MMPRT associated with an inciting event are typically younger and more likely to present acutely. Conversely, patients with insidious presentation are older, present chronically, and exhibit higher rates of bone bruising #MeniscusTear

What does a medial #meniscustear feel like? Is your knee pain worse when squatting or turning? A medial meniscus tear can cause joint line pain and discomfort in the back of the knee. Chronic tears may be silent—until they aren't. medilink.us/phju #kneecare #meniscus

thekneedoc's tweet image. What does a medial #meniscustear feel like? Is your knee pain worse when squatting or turning? A medial meniscus tear can cause joint line pain and discomfort in the back of the knee. Chronic tears may be silent—until they aren't. medilink.us/phju #kneecare #meniscus

Loading...

Something went wrong.


Something went wrong.