#acurate search results

#Acurate vs #Sapien3 for #TAVR: 1-year follow-up suggests similar clinical outcomes (despite a higher rate of PVL with Acurate) ahajournals.org/doi/10.1161/CI…

gbiondizoccai's tweet image. #Acurate vs #Sapien3 for #TAVR: 1-year follow-up suggests similar clinical outcomes (despite a higher rate of PVL with Acurate)
ahajournals.org/doi/10.1161/CI…

#BREAKING Polls are set to open in 48 hours across the US as the authoritarian regime of Donald Trump attempts to consolidate its hold over the troubled, oil-rich, nuclear-armed, north American nation. Analysts are sceptical the election will end months of political violence.



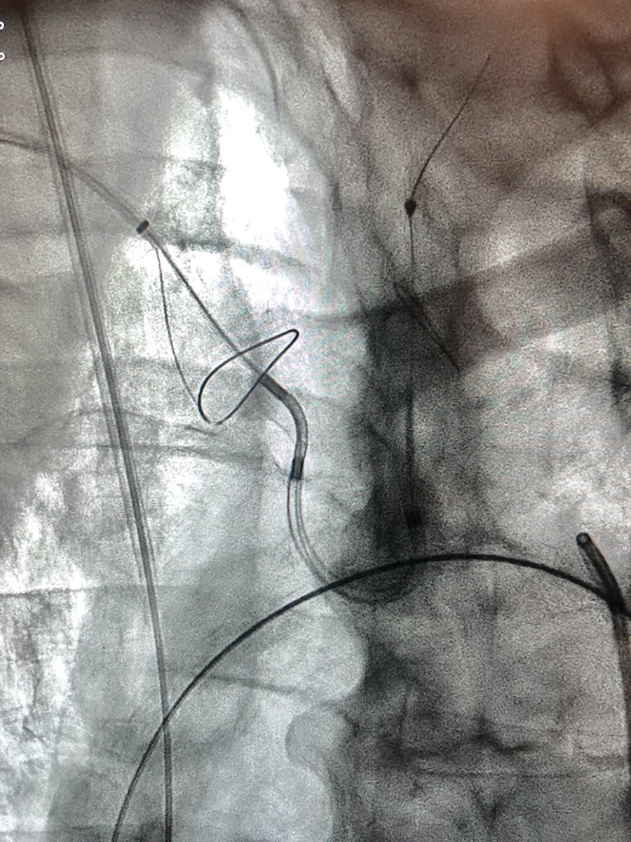
Sometimes #tavr is not just a straight shot. The advantage of the flexible delivery system of Boston #acurate. Bend in iliac, aorta, aortic arch, horizontal aorta. Bicuspid AS Vmax 5,6 m/s. Got the valve in, good result, no complication.


Successful live case transmission from @KarolinskaUnsju to PAFCIC conference in Tunisia today. #tavr using #Acurate, LV wire pacing, #sentinel neuroprotection. Honored to be followed by Alain Cribier in the program. Operators Nawzad Saleh and myself.

AndreasRck2's tweet image. Successful live case transmission from @KarolinskaUnsju to PAFCIC conference in Tunisia today. #tavr using #Acurate, LV wire pacing, #sentinel neuroprotection. Honored to be followed by Alain Cribier in the program. Operators Nawzad Saleh and myself.
AndreasRck2's tweet image. Successful live case transmission from @KarolinskaUnsju to PAFCIC conference in Tunisia today. #tavr using #Acurate, LV wire pacing, #sentinel neuroprotection. Honored to be followed by Alain Cribier in the program. Operators Nawzad Saleh and myself.
AndreasRck2's tweet image. Successful live case transmission from @KarolinskaUnsju to PAFCIC conference in Tunisia today. #tavr using #Acurate, LV wire pacing, #sentinel neuroprotection. Honored to be followed by Alain Cribier in the program. Operators Nawzad Saleh and myself.
AndreasRck2's tweet image. Successful live case transmission from @KarolinskaUnsju to PAFCIC conference in Tunisia today. #tavr using #Acurate, LV wire pacing, #sentinel neuroprotection. Honored to be followed by Alain Cribier in the program. Operators Nawzad Saleh and myself.

this is #acurate as fuck

This post is unavailable.

Malaria Trump’s convention speech preview: “It was such hard going from a simple pole dancer in Slovenia to become world’s most powerful escort”.



Lessons Learned From the ACURATE IDE Trial for Transcatheter Aortic Valve Replacement, by Arturo Giordano et al (open access) onlinelibrary.wiley.com/doi/10.1002/cc… #ACURATE #TAVI #TAVR @ccijournal @djc795 @BSCCardiology

gbiondizoccai's tweet image. Lessons Learned From the ACURATE IDE Trial for Transcatheter Aortic Valve Replacement, by Arturo Giordano et al (open access) onlinelibrary.wiley.com/doi/10.1002/cc… #ACURATE #TAVI #TAVR @ccijournal @djc795 @BSCCardiology

“Twitter is garbage & I’m a raccoon” 🗑 🦝 #acurate

This post is unavailable.

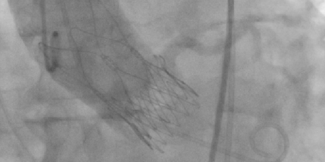
Great to enroll the first patient @TXMedCenter in the #ACURATE neo2 IDE! Smooth deployment, no #PVL, no new conduction abnormalities, AS resolved & nice, big neosinuses! Stellar proctoring by @AlperOener & superb work by our #TAVR team as always!! @BSCCardiology #symetis🇨🇭

DrMoritzWvB's tweet image. Great to enroll the first patient @TXMedCenter in the #ACURATE neo2 IDE! Smooth deployment, no #PVL, no new conduction abnormalities, AS resolved & nice, big neosinuses! Stellar proctoring by @AlperOener & superb work by our #TAVR team as always!! @BSCCardiology #symetis🇨🇭

I got bodice ripper, information technology, and major depressive disorder. #acurate RT @emojiwitch: Cyberpunk 😎

Ever wonder which words first appeared in print the year you were born? Come time travel with us. merriam-webster.com/time-traveler/



🤣😂☺️😂 couldn’t resist... #acurate... 🤣😂🤣😂 facebook.com/story.php?stor…


Nope..#acurate

This post is unavailable.

#TAVI Clinical Case: Risk for coronary obstruction? See a case of #ACURATE neo confirming the 0% coronary obstruction rate in SAVI-TF real-world registry. bddy.me/2Kq0uhH

BSC_EU_Heart's tweet image. #TAVI Clinical Case: Risk for coronary obstruction? See a case of  #ACURATE neo confirming the 0% coronary obstruction rate in SAVI-TF real-world registry. bddy.me/2Kq0uhH

In the RE-ACCESS 2 Study unsuccessful coronary cannulation after #Evolut and #Acurate implanted with commissural alignment was 5.5%. Acurate still better than Evolut, but Remarkable improvement compared with RE-ACCESS.Commissural alignment in #TAVI matters @JACCJournals

barbanti_marco's tweet image. In the RE-ACCESS 2 Study unsuccessful coronary cannulation after #Evolut and #Acurate implanted with commissural alignment was 5.5%. Acurate still better than Evolut, but Remarkable improvement compared with RE-ACCESS.Commissural alignment in #TAVI matters @JACCJournals
barbanti_marco's tweet image. In the RE-ACCESS 2 Study unsuccessful coronary cannulation after #Evolut and #Acurate implanted with commissural alignment was 5.5%. Acurate still better than Evolut, but Remarkable improvement compared with RE-ACCESS.Commissural alignment in #TAVI matters @JACCJournals

#COAPT 3 year outcomes, Mitral valve-in-valve, #ACURATE neo valve vs #SAPIEN3 valve and more. See all the highlights of #TCT2019 Full article: buff.ly/2IolNyl. #CardioTwitter #cardiology #MedEd #CardioEd #EPeeps @TCTMD @TCTConference

CardiolUpdate's tweet image. #COAPT 3 year outcomes, Mitral valve-in-valve, #ACURATE neo valve vs #SAPIEN3 valve and more. See all the highlights of #TCT2019 Full article: buff.ly/2IolNyl. #CardioTwitter #cardiology #MedEd #CardioEd #EPeeps @TCTMD @TCTConference

Two successful TAVR today at King Faisal cardiac center with #ACURATE neo2 . First with very small annulus and bifascicular block. Second with low LM 6mm. No PVL(pre🎈is crucial),no ECG ↔️ and single digits PG. Thanks to the wonderful team @DrAlsaiediAB @rashaalbawardy @MogneeA


Why coronary access still matters? Hear @barbanti_marco's perspective on the importance of having a valve like #ACURATE neo2, a valve that gives you 100% coronary access. Learn more: bit.ly/3ZNmmsa #DesignedForALifetime #TAVI


This multicenter study reports similar clinical outcomes at 1-year in patients undergoing #TAVR with the #ACURATE neo2 compared to the #SAPIEN3 Ultra jacc.org/doi/10.1016/j.… #JACCINT

JACCJournals's tweet image. This multicenter study reports similar clinical outcomes at 1-year in patients undergoing #TAVR with the #ACURATE neo2 compared to the #SAPIEN3 Ultra jacc.org/doi/10.1016/j.… #JACCINT

New North American map update

YourAnonCentral's tweet image. New North American map update


que divertido sería eso my gawd!!! tendríamos que estar borrachas para ser #acurate


Lessons Learned From the ACURATE IDE Trial for Transcatheter Aortic Valve Replacement, by Arturo Giordano et al (open access) onlinelibrary.wiley.com/doi/10.1002/cc… #ACURATE #TAVI #TAVR @ccijournal @djc795 @BSCCardiology

gbiondizoccai's tweet image. Lessons Learned From the ACURATE IDE Trial for Transcatheter Aortic Valve Replacement, by Arturo Giordano et al (open access) onlinelibrary.wiley.com/doi/10.1002/cc… #ACURATE #TAVI #TAVR @ccijournal @djc795 @BSCCardiology

New And Exclusive SPAMTON "Hammerhead Spamton" Gaze upon Beautiful SPAMTON Architecture and Body #Acurate

DicotAndy's tweet image. New And Exclusive SPAMTON "Hammerhead Spamton" Gaze upon Beautiful SPAMTON Architecture and Body #Acurate

taesan lee jiwoo #acurate si petentang petenteng

#boynextdoor as study group characters



This multicenter study reports similar clinical outcomes at 1-year in patients undergoing #TAVR with the #ACURATE neo2 compared to the #SAPIEN3 Ultra jacc.org/doi/10.1016/j.… #JACCINT

JACCJournals's tweet image. This multicenter study reports similar clinical outcomes at 1-year in patients undergoing #TAVR with the #ACURATE neo2 compared to the #SAPIEN3 Ultra jacc.org/doi/10.1016/j.… #JACCINT

Lessons Learned From the ACURATE IDE Trial for Transcatheter Aortic Valve Replacement, by Arturo Giordano et al (open access) onlinelibrary.wiley.com/doi/10.1002/cc… #ACURATE #TAVI #TAVR @ccijournal @djc795 @BSCCardiology

gbiondizoccai's tweet image. Lessons Learned From the ACURATE IDE Trial for Transcatheter Aortic Valve Replacement, by Arturo Giordano et al (open access) onlinelibrary.wiley.com/doi/10.1002/cc… #ACURATE #TAVI #TAVR @ccijournal @djc795 @BSCCardiology

Session on valve-in-valve #TAVR with the @bostonsci #Acurate Neo2 platform on #EuroPCR together with the esteemed Saib Khogali! #CardioTwitter @az_delta @deltacardio Great to be in Paris 🇫🇷with colleagues and friends.

Mvhave's tweet image. Session on valve-in-valve #TAVR with the @bostonsci #Acurate Neo2 platform on #EuroPCR together with the esteemed Saib Khogali! #CardioTwitter @az_delta @deltacardio Great to be in Paris 🇫🇷with colleagues and friends.
Mvhave's tweet image. Session on valve-in-valve #TAVR with the @bostonsci #Acurate Neo2 platform on #EuroPCR together with the esteemed Saib Khogali! #CardioTwitter @az_delta @deltacardio Great to be in Paris 🇫🇷with colleagues and friends.
Mvhave's tweet image. Session on valve-in-valve #TAVR with the @bostonsci #Acurate Neo2 platform on #EuroPCR together with the esteemed Saib Khogali! #CardioTwitter @az_delta @deltacardio Great to be in Paris 🇫🇷with colleagues and friends.

Our word of the day for more #PBC related information visit our website here: ow.ly/1WY150KQktO #PBC #acurate #uptodateinfo

PBCFoundation's tweet image. Our word of the day for more #PBC related information visit our website here: ow.ly/1WY150KQktO #PBC #acurate #uptodateinfo

#Acurate vs #Sapien3 for #TAVR: 1-year follow-up suggests similar clinical outcomes (despite a higher rate of PVL with Acurate) ahajournals.org/doi/10.1161/CI…

gbiondizoccai's tweet image. #Acurate vs #Sapien3 for #TAVR: 1-year follow-up suggests similar clinical outcomes (despite a higher rate of PVL with Acurate)
ahajournals.org/doi/10.1161/CI…

portrait of me by Justin :-) #acurate

kaylarfrancis's tweet image. portrait of me by Justin :-) #acurate

Me talking to @xTwerkLikeCamx on FaceTime when one of the boys do a follow spree #acurate

NoChillNxsh's tweet image. Me talking to @xTwerkLikeCamx on FaceTime when one of the boys do a follow spree #acurate

Reasons why we don't cheer🙌⚽️ @SoccerGrlProbs do yourself a favor and go watch it: youtu.be/U6b6v5yReTg #acurate

em9soccer's tweet image. Reasons why we don't cheer🙌⚽️ @SoccerGrlProbs do yourself a favor and go watch it: youtu.be/U6b6v5yReTg #acurate
em9soccer's tweet image. Reasons why we don't cheer🙌⚽️ @SoccerGrlProbs do yourself a favor and go watch it: youtu.be/U6b6v5yReTg #acurate

#TAVI Clinical Case: Risk for coronary obstruction? See a case of #ACURATE neo confirming the 0% coronary obstruction rate in SAVI-TF real-world registry. bddy.me/2Kq0uhH

BSC_EU_Heart's tweet image. #TAVI Clinical Case: Risk for coronary obstruction? See a case of  #ACURATE neo confirming the 0% coronary obstruction rate in SAVI-TF real-world registry. bddy.me/2Kq0uhH

Got my makeup done for the new job, and the first thing my mom says is "you look like a hussy" #acurate

missykoesterr's tweet image. Got my makeup done for the new job, and the first thing my mom says is "you look like a hussy" #acurate

#TAVI Clinical Case: Severe calcification? See how #ACURATE neo self-expanding, supra-annular aortic valve performs in a severely calcified annulus. bddy.me/2KE81tC

BSC_EU_Heart's tweet image. #TAVI Clinical Case: Severe calcification? See how #ACURATE neo self-expanding, supra-annular aortic valve performs in a severely calcified annulus. bddy.me/2KE81tC

Ever felt very happy? Imagine to be @Medtronic, which can use for its own advertisements the results of the failed SCOPE II trial, sponsored by @bostonsci and showing its @bostonsci #Acurate #TAVI device failed to meet non-inferiority when compared to @Medtronic's #Evolut...

gbiondizoccai's tweet image. Ever felt very happy? 
Imagine to be @Medtronic, which can use for its own advertisements the results of the failed SCOPE II trial, sponsored by @bostonsci and showing its @bostonsci #Acurate #TAVI device failed to meet non-inferiority when compared to @Medtronic's #Evolut...

Es el cumpleaños de la Dra Lorena. Bueno vamos a festejarlo haciendo 3 casos d #Acurate #TAVR en #Catamarca @FundFavaloro

omendiz's tweet image. Es el cumpleaños de la Dra Lorena. Bueno vamos a festejarlo haciendo 3 casos d #Acurate #TAVR en #Catamarca @FundFavaloro

Great to be in Atlanta at Piedmont doing #tavr w #Acurate neo2. Thanks @chrismeduri @PradeepYadavMD

AndreasRck2's tweet image. Great to be in Atlanta at Piedmont doing #tavr w #Acurate neo2. Thanks @chrismeduri @PradeepYadavMD

Loading...

Something went wrong.


Something went wrong.