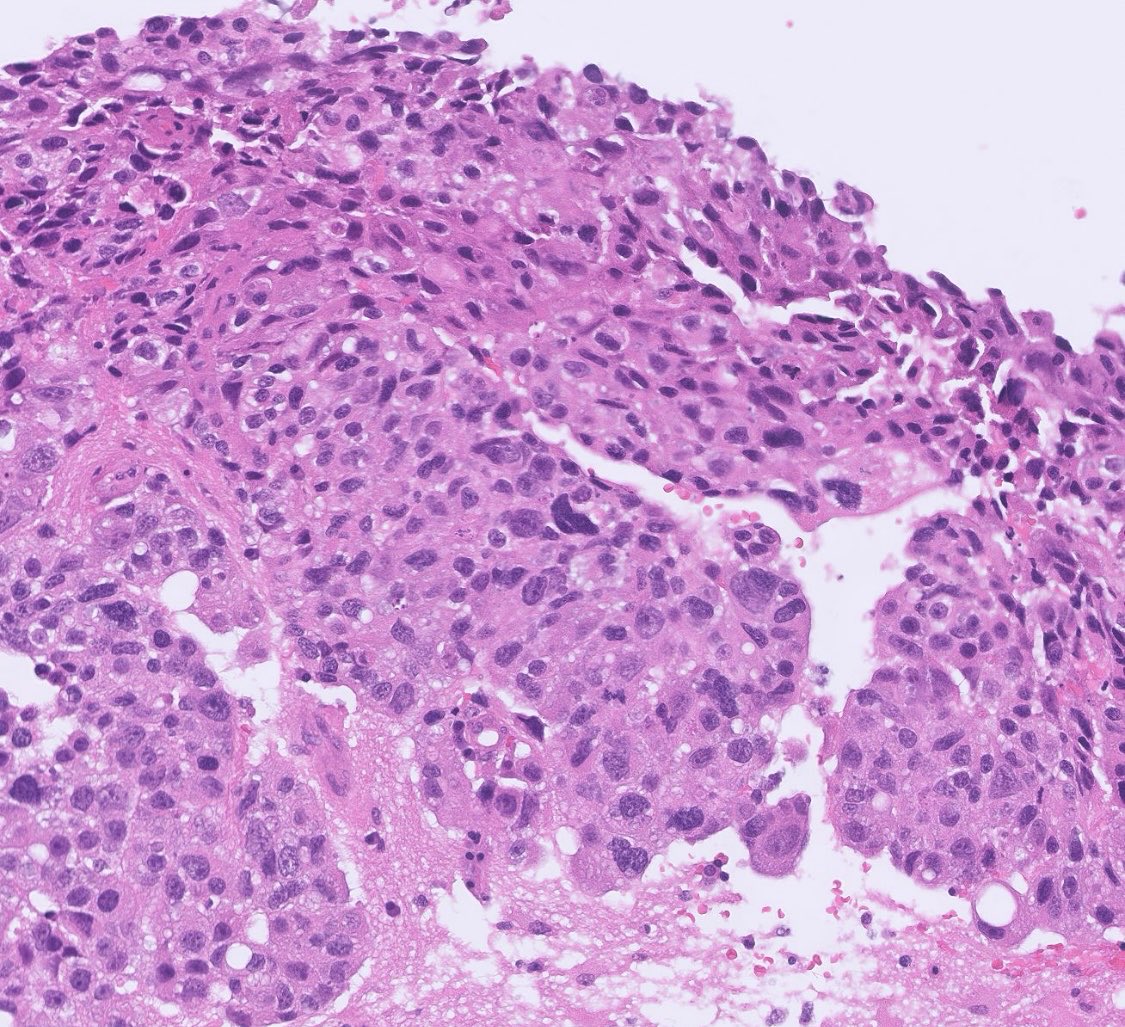
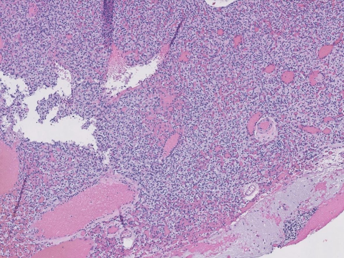
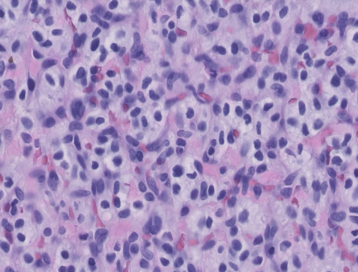
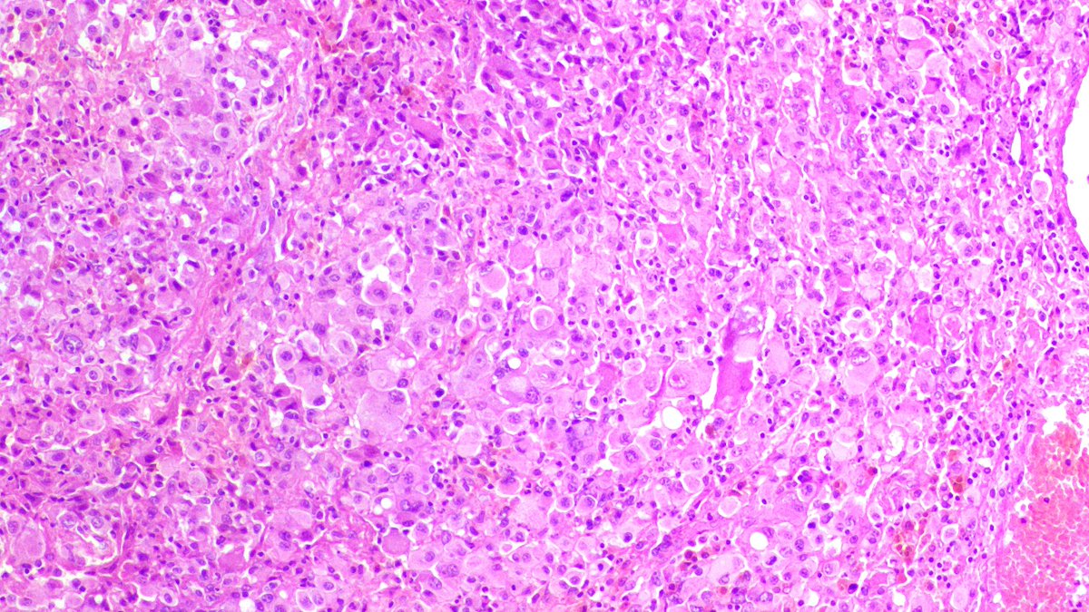
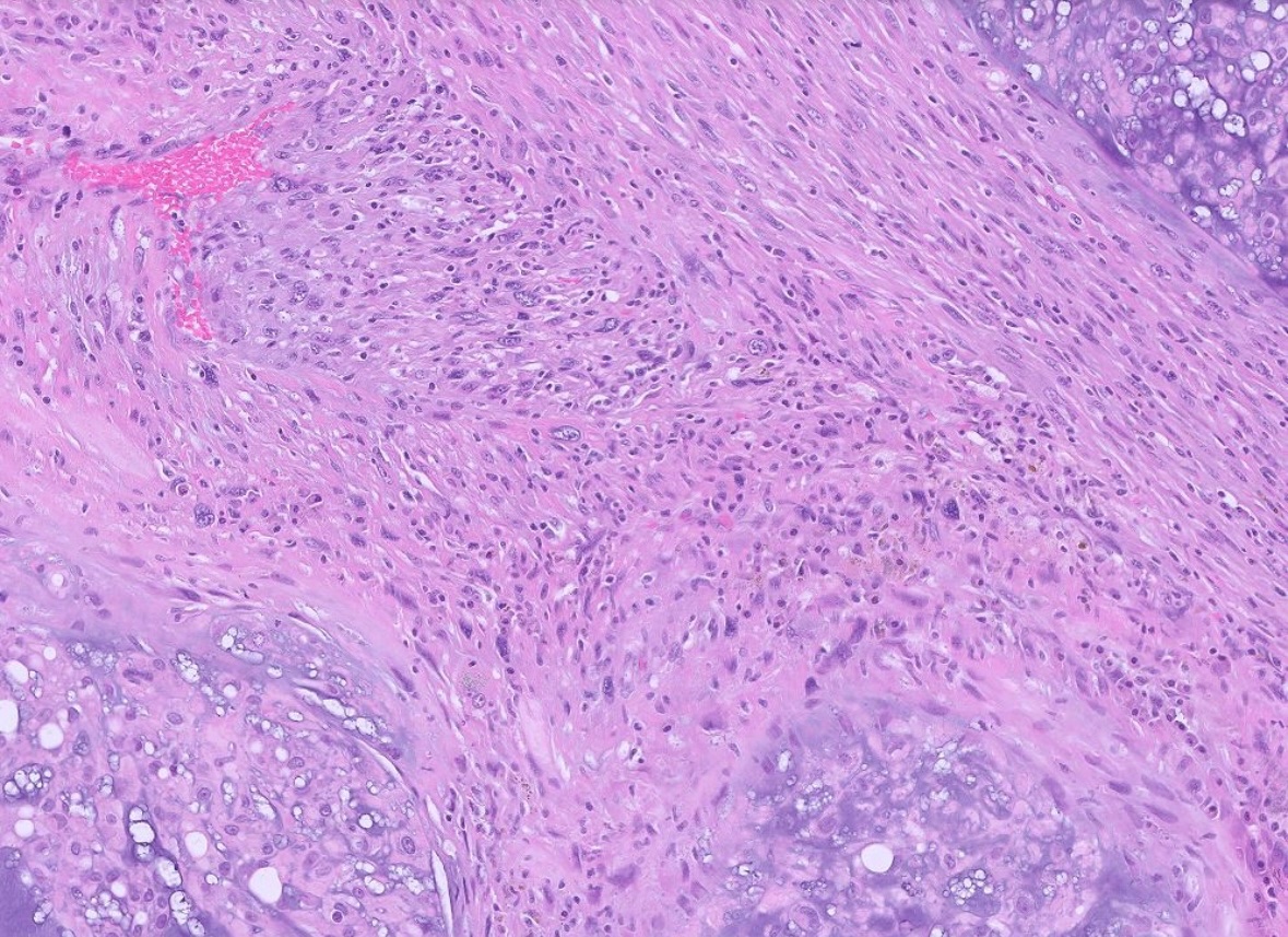
Meningioma displaying necrosis with pseudo pallisading. Not just a feature seen in some high-grade gliomas! #cnspath #neuropath #neuropathology #pathtwitter #pathx

PeterKobalka's tweet image. Meningioma displaying necrosis with pseudo pallisading.  Not just a feature seen in some high-grade gliomas! #cnspath #neuropath #neuropathology #pathtwitter #pathx
PeterKobalka's tweet image. Meningioma displaying necrosis with pseudo pallisading.  Not just a feature seen in some high-grade gliomas! #cnspath #neuropath #neuropathology #pathtwitter #pathx

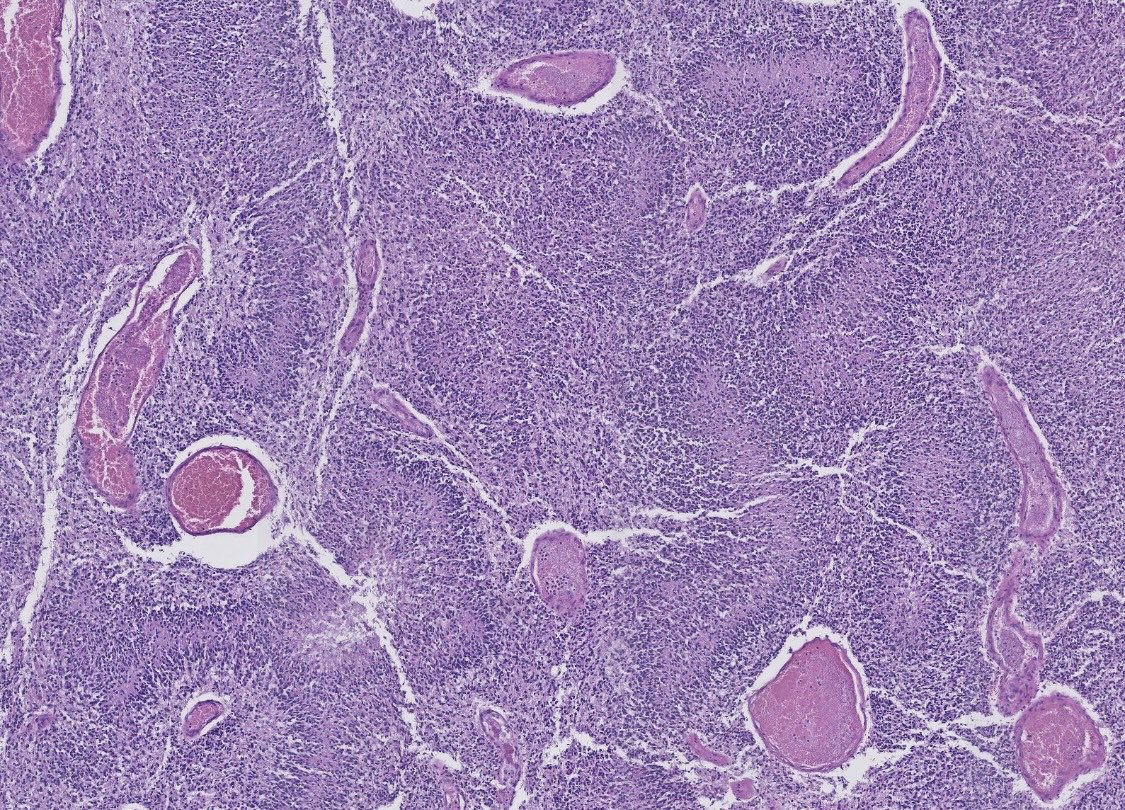
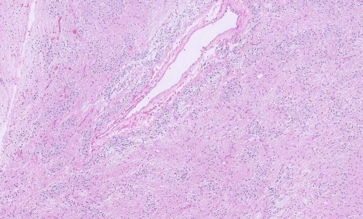
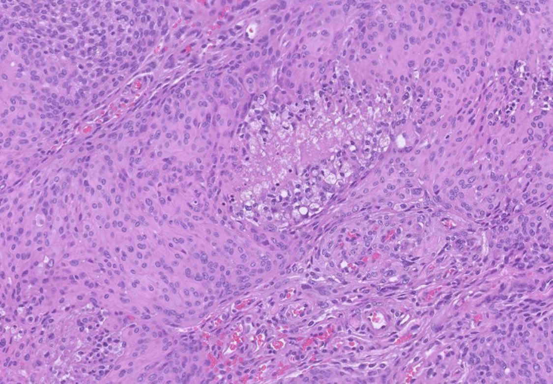
Glioblastoma with serpiginous pseuopalisading necrosis, a very interesting pattern indeed! #neuropath #cnspath #neuropathology #pathtwitter #pathx

PeterKobalka's tweet image. Glioblastoma with serpiginous pseuopalisading necrosis, a very interesting pattern indeed!
#neuropath #cnspath #neuropathology #pathtwitter #pathx
PeterKobalka's tweet image. Glioblastoma with serpiginous pseuopalisading necrosis, a very interesting pattern indeed!
#neuropath #cnspath #neuropathology #pathtwitter #pathx
PeterKobalka's tweet image. Glioblastoma with serpiginous pseuopalisading necrosis, a very interesting pattern indeed!
#neuropath #cnspath #neuropathology #pathtwitter #pathx

Yes, this is met epithelioid GBM! Below, original resection, GFAP, olig-2, then one of the LN Mets #neuropathology #cnspath #neuropath

PeterKobalka's tweet image. Yes, this is met epithelioid GBM!  Below, original resection, GFAP, olig-2, then one of the LN Mets #neuropathology #cnspath #neuropath
PeterKobalka's tweet image. Yes, this is met epithelioid GBM!  Below, original resection, GFAP, olig-2, then one of the LN Mets #neuropathology #cnspath #neuropath
PeterKobalka's tweet image. Yes, this is met epithelioid GBM!  Below, original resection, GFAP, olig-2, then one of the LN Mets #neuropathology #cnspath #neuropath
PeterKobalka's tweet image. Yes, this is met epithelioid GBM!  Below, original resection, GFAP, olig-2, then one of the LN Mets #neuropathology #cnspath #neuropath

This spine mass was submitted as “rule out ependymoma.” Thoughts? Stains? Dx? #cnspath #neuropath #neuropathology #pathx #pathtwitter

PeterKobalka's tweet image. This spine mass was submitted as “rule out ependymoma.”  Thoughts? Stains? Dx?  #cnspath #neuropath #neuropathology #pathx #pathtwitter
PeterKobalka's tweet image. This spine mass was submitted as “rule out ependymoma.”  Thoughts? Stains? Dx?  #cnspath #neuropath #neuropathology #pathx #pathtwitter
PeterKobalka's tweet image. This spine mass was submitted as “rule out ependymoma.”  Thoughts? Stains? Dx?  #cnspath #neuropath #neuropathology #pathx #pathtwitter
PeterKobalka's tweet image. This spine mass was submitted as “rule out ependymoma.”  Thoughts? Stains? Dx?  #cnspath #neuropath #neuropathology #pathx #pathtwitter

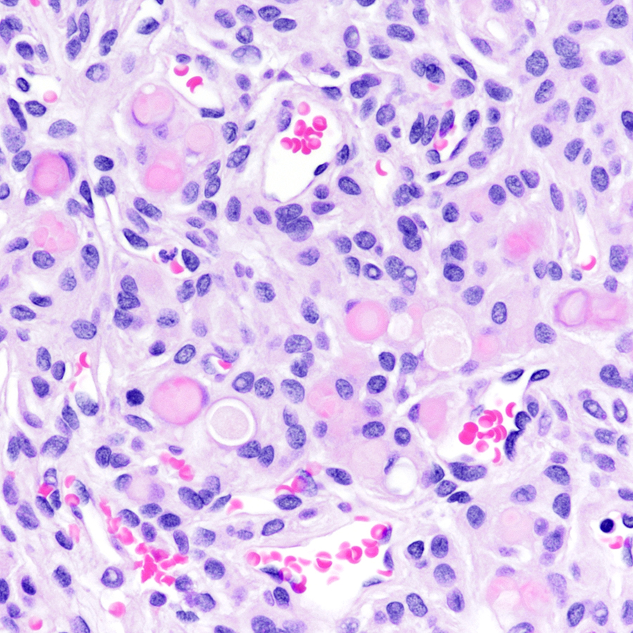
Pituitary, contents of Rathke’s Cleft Cyst. The colloid-like material really looks like colloid, esp on the Diff-quik! (And maybe some cracking too) #neuropathology #neuropath #cnspath #pathx #pathtwitter #cytology #cytopath #cytopathology

PeterKobalka's tweet image. Pituitary, contents of Rathke’s Cleft Cyst. The colloid-like material really looks like colloid, esp on the Diff-quik! (And maybe some cracking too)
#neuropathology #neuropath #cnspath #pathx #pathtwitter #cytology #cytopath #cytopathology
PeterKobalka's tweet image. Pituitary, contents of Rathke’s Cleft Cyst. The colloid-like material really looks like colloid, esp on the Diff-quik! (And maybe some cracking too)
#neuropathology #neuropath #cnspath #pathx #pathtwitter #cytology #cytopath #cytopathology
PeterKobalka's tweet image. Pituitary, contents of Rathke’s Cleft Cyst. The colloid-like material really looks like colloid, esp on the Diff-quik! (And maybe some cracking too)
#neuropathology #neuropath #cnspath #pathx #pathtwitter #cytology #cytopath #cytopathology
PeterKobalka's tweet image. Pituitary, contents of Rathke’s Cleft Cyst. The colloid-like material really looks like colloid, esp on the Diff-quik! (And maybe some cracking too)
#neuropathology #neuropath #cnspath #pathx #pathtwitter #cytology #cytopath #cytopathology

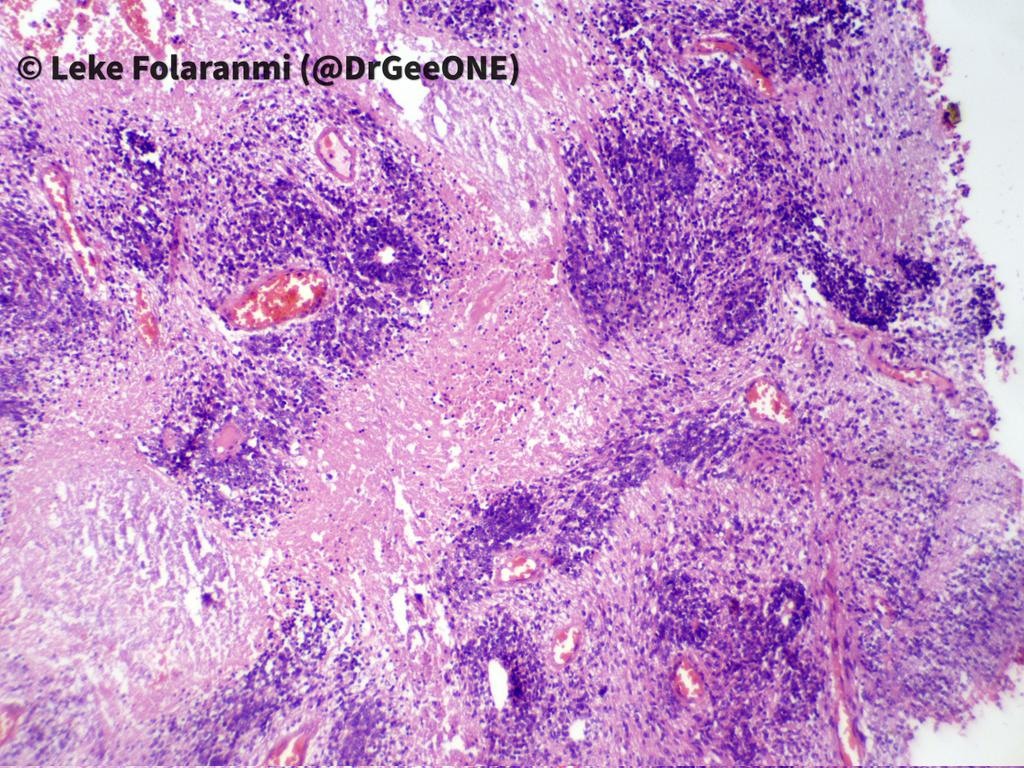
Brain mets generally don’t infiltrate. However, small cell carcinoma and melanoma sometimes do, probably a result of shared embryologic origin (I.e. neuroectoderm) #pathx #pathtwitter #cnspath #neuropath #neuropathology

PeterKobalka's tweet image. Brain mets generally don’t infiltrate. However, small cell carcinoma and melanoma sometimes do, probably a result of shared embryologic origin (I.e. neuroectoderm) #pathx    #pathtwitter #cnspath #neuropath #neuropathology

61F never smoker, large axillary mass with widespread Mets including multiple brain Mets. CD10 strongly positive (shown). Mutations in p53, RB1, and TERT. DDx? Stain suggestions? #pathx #pathtwitter #cnspath #neuropath #neuropathology

PeterKobalka's tweet image. 61F never smoker, large axillary mass with widespread Mets including multiple brain Mets.   CD10 strongly positive (shown). Mutations in p53, RB1, and TERT.  DDx?  Stain suggestions?  #pathx #pathtwitter #cnspath #neuropath #neuropathology
PeterKobalka's tweet image. 61F never smoker, large axillary mass with widespread Mets including multiple brain Mets.   CD10 strongly positive (shown). Mutations in p53, RB1, and TERT.  DDx?  Stain suggestions?  #pathx #pathtwitter #cnspath #neuropath #neuropathology
PeterKobalka's tweet image. 61F never smoker, large axillary mass with widespread Mets including multiple brain Mets.   CD10 strongly positive (shown). Mutations in p53, RB1, and TERT.  DDx?  Stain suggestions?  #pathx #pathtwitter #cnspath #neuropath #neuropathology
PeterKobalka's tweet image. 61F never smoker, large axillary mass with widespread Mets including multiple brain Mets.   CD10 strongly positive (shown). Mutations in p53, RB1, and TERT.  DDx?  Stain suggestions?  #pathx #pathtwitter #cnspath #neuropath #neuropathology

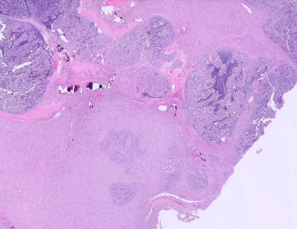
Embolization material in a meningioma; not just black or white in color, apparently! What is the purpose of embolizing vessels in meningiomas (and other highly vascularized neoplasms)? #pathx #pathtwitter #cnspath #neuropath #neuropathology

PeterKobalka's tweet image. Embolization material in a meningioma;  not just black or white in color, apparently!  What is the purpose of embolizing vessels in meningiomas (and other highly vascularized neoplasms)?  #pathx #pathtwitter #cnspath #neuropath #neuropathology
PeterKobalka's tweet image. Embolization material in a meningioma;  not just black or white in color, apparently!  What is the purpose of embolizing vessels in meningiomas (and other highly vascularized neoplasms)?  #pathx #pathtwitter #cnspath #neuropath #neuropathology
PeterKobalka's tweet image. Embolization material in a meningioma;  not just black or white in color, apparently!  What is the purpose of embolizing vessels in meningiomas (and other highly vascularized neoplasms)?  #pathx #pathtwitter #cnspath #neuropath #neuropathology

Hemangioblastoma, Inhibin+. Young pt, must work up for VHL! (Trainees; this is the MOST POPULAR tumor syndrome for testing) #cnspath #neuropath #neuropathology #pathx #pathtwitter

PeterKobalka's tweet image. Hemangioblastoma, Inhibin+. Young pt, must work up for VHL! (Trainees; this is the MOST POPULAR tumor syndrome for testing) #cnspath #neuropath #neuropathology #pathx #pathtwitter
PeterKobalka's tweet image. Hemangioblastoma, Inhibin+. Young pt, must work up for VHL! (Trainees; this is the MOST POPULAR tumor syndrome for testing) #cnspath #neuropath #neuropathology #pathx #pathtwitter
PeterKobalka's tweet image. Hemangioblastoma, Inhibin+. Young pt, must work up for VHL! (Trainees; this is the MOST POPULAR tumor syndrome for testing) #cnspath #neuropath #neuropathology #pathx #pathtwitter
PeterKobalka's tweet image. Hemangioblastoma, Inhibin+. Young pt, must work up for VHL! (Trainees; this is the MOST POPULAR tumor syndrome for testing) #cnspath #neuropath #neuropathology #pathx #pathtwitter

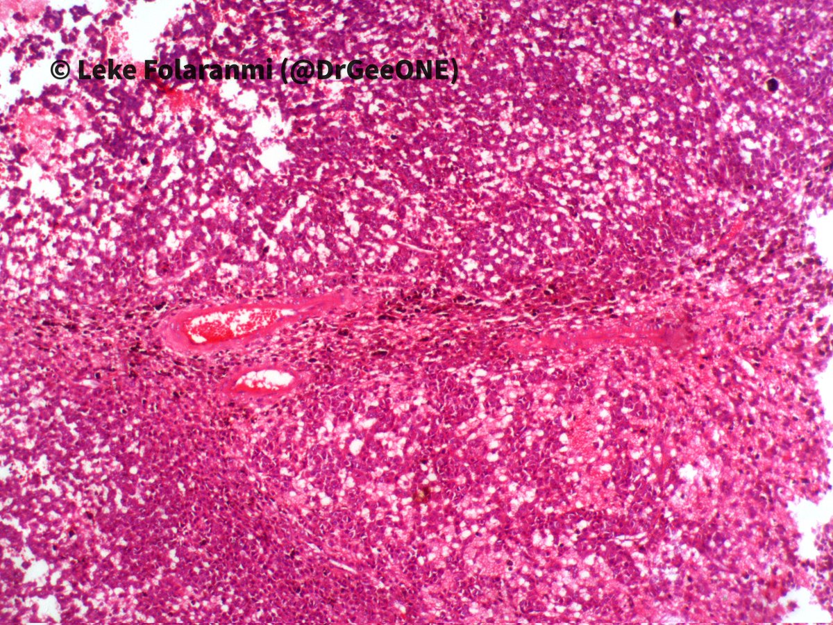
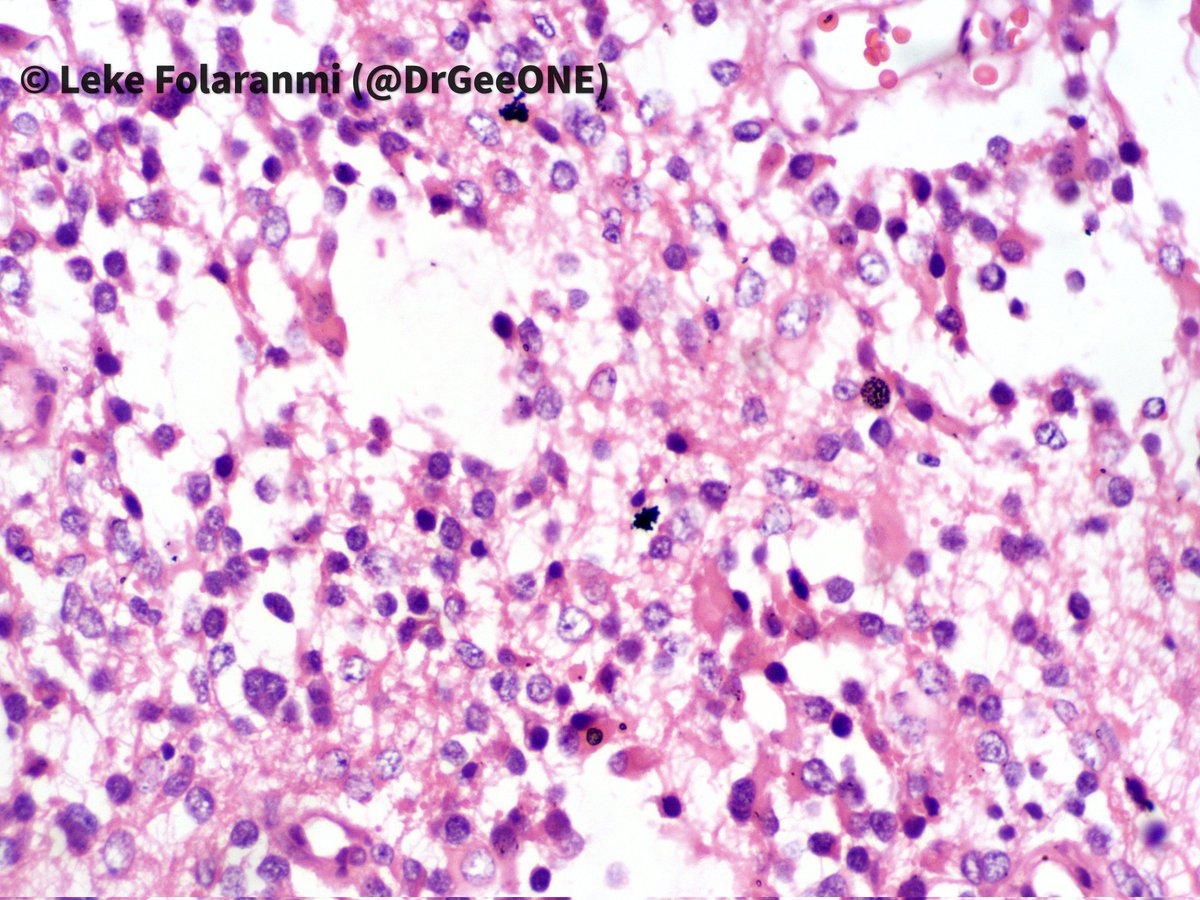
Dedifferentiated chordoma, metastatic to the lung. Without clinical hx, these can be very difficult to recognize, as Brachyury often negative (as it is here). #pathtwitter #pathx #cnspath #neuropath #neuropathology

neuropathology's tweet image. Dedifferentiated chordoma, metastatic to the lung.  Without clinical hx, these can be very difficult to recognize, as Brachyury often negative (as it is here). #pathtwitter #pathx #cnspath #neuropath #neuropathology
neuropathology's tweet image. Dedifferentiated chordoma, metastatic to the lung.  Without clinical hx, these can be very difficult to recognize, as Brachyury often negative (as it is here). #pathtwitter #pathx #cnspath #neuropath #neuropathology
neuropathology's tweet image. Dedifferentiated chordoma, metastatic to the lung.  Without clinical hx, these can be very difficult to recognize, as Brachyury often negative (as it is here). #pathtwitter #pathx #cnspath #neuropath #neuropathology
neuropathology's tweet image. Dedifferentiated chordoma, metastatic to the lung.  Without clinical hx, these can be very difficult to recognize, as Brachyury often negative (as it is here). #pathtwitter #pathx #cnspath #neuropath #neuropathology

What do you call this? Non-enhancing 16mm lesion cerebellum, middle aged female. More pictures and poll below. #pathx #pathtwitter #cnspath #neuropath #neuropathology

PeterKobalka's tweet image. What do you call this?  Non-enhancing 16mm lesion cerebellum, middle aged female. More pictures and poll below.
#pathx #pathtwitter #cnspath #neuropath #neuropathology
PeterKobalka's tweet image. What do you call this?  Non-enhancing 16mm lesion cerebellum, middle aged female. More pictures and poll below.
#pathx #pathtwitter #cnspath #neuropath #neuropathology
PeterKobalka's tweet image. What do you call this?  Non-enhancing 16mm lesion cerebellum, middle aged female. More pictures and poll below.
#pathx #pathtwitter #cnspath #neuropath #neuropathology
PeterKobalka's tweet image. What do you call this?  Non-enhancing 16mm lesion cerebellum, middle aged female. More pictures and poll below.
#pathx #pathtwitter #cnspath #neuropath #neuropathology

Large choroidal melanoma with perineural invasion and >5mm extraocular extension. This alone gets it to pT4e. Unsurprisingly, a liver mass soon developed #pathx #pathtwitter #cnspath #neuropath #neuropathology

PeterKobalka's tweet image. Large choroidal melanoma with perineural invasion and >5mm extraocular extension. This alone gets it to pT4e.  Unsurprisingly, a liver mass soon developed #pathx #pathtwitter #cnspath #neuropath #neuropathology
PeterKobalka's tweet image. Large choroidal melanoma with perineural invasion and >5mm extraocular extension. This alone gets it to pT4e.  Unsurprisingly, a liver mass soon developed #pathx #pathtwitter #cnspath #neuropath #neuropathology
PeterKobalka's tweet image. Large choroidal melanoma with perineural invasion and >5mm extraocular extension. This alone gets it to pT4e.  Unsurprisingly, a liver mass soon developed #pathx #pathtwitter #cnspath #neuropath #neuropathology

65/f, proptosis,conjunctival chemosis, orbital mass, MRI- well demarcated,intraconal mass,post.inf.lateral aspect,adherent to optic nerve sheath complex,3.5x2.2x3.1cm.#cnspath,#eyeyepath,#neuropath,@eyepathlondon @CraigHorbinski @NeuroEyepath @aanchalkakkar

ViralBhanvadia's tweet image. 65/f, proptosis,conjunctival chemosis, orbital mass, MRI- well demarcated,intraconal mass,post.inf.lateral aspect,adherent to optic nerve sheath complex,3.5x2.2x3.1cm.#cnspath,#eyeyepath,#neuropath,@eyepathlondon @CraigHorbinski @NeuroEyepath @aanchalkakkar
ViralBhanvadia's tweet image. 65/f, proptosis,conjunctival chemosis, orbital mass, MRI- well demarcated,intraconal mass,post.inf.lateral aspect,adherent to optic nerve sheath complex,3.5x2.2x3.1cm.#cnspath,#eyeyepath,#neuropath,@eyepathlondon @CraigHorbinski @NeuroEyepath @aanchalkakkar
ViralBhanvadia's tweet image. 65/f, proptosis,conjunctival chemosis, orbital mass, MRI- well demarcated,intraconal mass,post.inf.lateral aspect,adherent to optic nerve sheath complex,3.5x2.2x3.1cm.#cnspath,#eyeyepath,#neuropath,@eyepathlondon @CraigHorbinski @NeuroEyepath @aanchalkakkar
ViralBhanvadia's tweet image. 65/f, proptosis,conjunctival chemosis, orbital mass, MRI- well demarcated,intraconal mass,post.inf.lateral aspect,adherent to optic nerve sheath complex,3.5x2.2x3.1cm.#cnspath,#eyeyepath,#neuropath,@eyepathlondon @CraigHorbinski @NeuroEyepath @aanchalkakkar

Also a great stain for gonadotroph-type PitNET! #cnspath #neuropath #neuropathology


#APCON2023 @Apcon2023 #CNSpath #neuropath nice talk on embroynal tumour of CNS, WHO- CNS 5

ViralBhanvadia's tweet image. #APCON2023 @Apcon2023 #CNSpath #neuropath nice talk on embroynal tumour of CNS, WHO- CNS 5
ViralBhanvadia's tweet image. #APCON2023 @Apcon2023 #CNSpath #neuropath nice talk on embroynal tumour of CNS, WHO- CNS 5
ViralBhanvadia's tweet image. #APCON2023 @Apcon2023 #CNSpath #neuropath nice talk on embroynal tumour of CNS, WHO- CNS 5
ViralBhanvadia's tweet image. #APCON2023 @Apcon2023 #CNSpath #neuropath nice talk on embroynal tumour of CNS, WHO- CNS 5

1/2 2YOM with recurring seizures. Imaging shows large brain parenchymal mass-The surgeons say it appears "extra axial"...attached to the falx but not infiltrating the brain. This looks like embryonal tumour with abundant neuropil and rosettes (now ETMR) to me #CNSPath #Neuropath

DrGeeONE's tweet image. 1/2 
2YOM with recurring seizures. Imaging shows large brain parenchymal mass-The surgeons say it appears "extra axial"...attached to the falx but not infiltrating the brain.
This looks like embryonal tumour with abundant neuropil and rosettes (now ETMR) to me #CNSPath #Neuropath
DrGeeONE's tweet image. 1/2 
2YOM with recurring seizures. Imaging shows large brain parenchymal mass-The surgeons say it appears "extra axial"...attached to the falx but not infiltrating the brain.
This looks like embryonal tumour with abundant neuropil and rosettes (now ETMR) to me #CNSPath #Neuropath
DrGeeONE's tweet image. 1/2 
2YOM with recurring seizures. Imaging shows large brain parenchymal mass-The surgeons say it appears "extra axial"...attached to the falx but not infiltrating the brain.
This looks like embryonal tumour with abundant neuropil and rosettes (now ETMR) to me #CNSPath #Neuropath
DrGeeONE's tweet image. 1/2 
2YOM with recurring seizures. Imaging shows large brain parenchymal mass-The surgeons say it appears "extra axial"...attached to the falx but not infiltrating the brain.
This looks like embryonal tumour with abundant neuropil and rosettes (now ETMR) to me #CNSPath #Neuropath

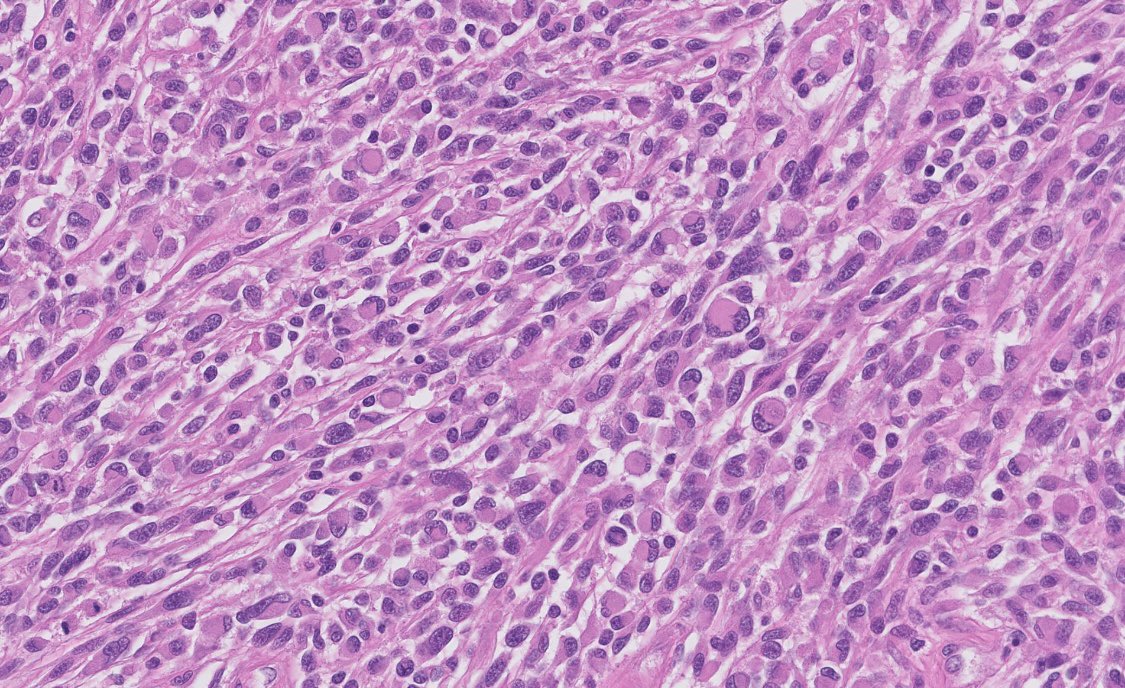
Probably the ugliest met prostate adenocarcinoma to brain I’ve seen. Fun fact: prostate strongly prefers the meninges and only very rarely gets in the brain. #neuropath #cnspath #neuropathology #pathtwitter #pathx

PeterKobalka's tweet image. Probably the ugliest met prostate adenocarcinoma to brain I’ve seen. Fun fact: prostate strongly prefers the meninges and only very rarely gets in the brain. #neuropath #cnspath #neuropathology #pathtwitter #pathx
PeterKobalka's tweet image. Probably the ugliest met prostate adenocarcinoma to brain I’ve seen. Fun fact: prostate strongly prefers the meninges and only very rarely gets in the brain. #neuropath #cnspath #neuropathology #pathtwitter #pathx
PeterKobalka's tweet image. Probably the ugliest met prostate adenocarcinoma to brain I’ve seen. Fun fact: prostate strongly prefers the meninges and only very rarely gets in the brain. #neuropath #cnspath #neuropathology #pathtwitter #pathx
PeterKobalka's tweet image. Probably the ugliest met prostate adenocarcinoma to brain I’ve seen. Fun fact: prostate strongly prefers the meninges and only very rarely gets in the brain. #neuropath #cnspath #neuropathology #pathtwitter #pathx

61F never smoker, large axillary mass with widespread Mets including multiple brain Mets. CD10 strongly positive (shown). Mutations in p53, RB1, and TERT. DDx? Stain suggestions? #pathx #pathtwitter #cnspath #neuropath #neuropathology

PeterKobalka's tweet image. 61F never smoker, large axillary mass with widespread Mets including multiple brain Mets.   CD10 strongly positive (shown). Mutations in p53, RB1, and TERT.  DDx?  Stain suggestions?  #pathx #pathtwitter #cnspath #neuropath #neuropathology
PeterKobalka's tweet image. 61F never smoker, large axillary mass with widespread Mets including multiple brain Mets.   CD10 strongly positive (shown). Mutations in p53, RB1, and TERT.  DDx?  Stain suggestions?  #pathx #pathtwitter #cnspath #neuropath #neuropathology
PeterKobalka's tweet image. 61F never smoker, large axillary mass with widespread Mets including multiple brain Mets.   CD10 strongly positive (shown). Mutations in p53, RB1, and TERT.  DDx?  Stain suggestions?  #pathx #pathtwitter #cnspath #neuropath #neuropathology
PeterKobalka's tweet image. 61F never smoker, large axillary mass with widespread Mets including multiple brain Mets.   CD10 strongly positive (shown). Mutations in p53, RB1, and TERT.  DDx?  Stain suggestions?  #pathx #pathtwitter #cnspath #neuropath #neuropathology

Hemangioblastoma, Inhibin+. Young pt, must work up for VHL! (Trainees; this is the MOST POPULAR tumor syndrome for testing) #cnspath #neuropath #neuropathology #pathx #pathtwitter

PeterKobalka's tweet image. Hemangioblastoma, Inhibin+. Young pt, must work up for VHL! (Trainees; this is the MOST POPULAR tumor syndrome for testing) #cnspath #neuropath #neuropathology #pathx #pathtwitter
PeterKobalka's tweet image. Hemangioblastoma, Inhibin+. Young pt, must work up for VHL! (Trainees; this is the MOST POPULAR tumor syndrome for testing) #cnspath #neuropath #neuropathology #pathx #pathtwitter
PeterKobalka's tweet image. Hemangioblastoma, Inhibin+. Young pt, must work up for VHL! (Trainees; this is the MOST POPULAR tumor syndrome for testing) #cnspath #neuropath #neuropathology #pathx #pathtwitter
PeterKobalka's tweet image. Hemangioblastoma, Inhibin+. Young pt, must work up for VHL! (Trainees; this is the MOST POPULAR tumor syndrome for testing) #cnspath #neuropath #neuropathology #pathx #pathtwitter

Embolization material in a meningioma; not just black or white in color, apparently! What is the purpose of embolizing vessels in meningiomas (and other highly vascularized neoplasms)? #pathx #pathtwitter #cnspath #neuropath #neuropathology

PeterKobalka's tweet image. Embolization material in a meningioma;  not just black or white in color, apparently!  What is the purpose of embolizing vessels in meningiomas (and other highly vascularized neoplasms)?  #pathx #pathtwitter #cnspath #neuropath #neuropathology
PeterKobalka's tweet image. Embolization material in a meningioma;  not just black or white in color, apparently!  What is the purpose of embolizing vessels in meningiomas (and other highly vascularized neoplasms)?  #pathx #pathtwitter #cnspath #neuropath #neuropathology
PeterKobalka's tweet image. Embolization material in a meningioma;  not just black or white in color, apparently!  What is the purpose of embolizing vessels in meningiomas (and other highly vascularized neoplasms)?  #pathx #pathtwitter #cnspath #neuropath #neuropathology

Dedifferentiated chordoma, metastatic to the lung. Without clinical hx, these can be very difficult to recognize, as Brachyury often negative (as it is here). #pathtwitter #pathx #cnspath #neuropath #neuropathology

neuropathology's tweet image. Dedifferentiated chordoma, metastatic to the lung.  Without clinical hx, these can be very difficult to recognize, as Brachyury often negative (as it is here). #pathtwitter #pathx #cnspath #neuropath #neuropathology
neuropathology's tweet image. Dedifferentiated chordoma, metastatic to the lung.  Without clinical hx, these can be very difficult to recognize, as Brachyury often negative (as it is here). #pathtwitter #pathx #cnspath #neuropath #neuropathology
neuropathology's tweet image. Dedifferentiated chordoma, metastatic to the lung.  Without clinical hx, these can be very difficult to recognize, as Brachyury often negative (as it is here). #pathtwitter #pathx #cnspath #neuropath #neuropathology
neuropathology's tweet image. Dedifferentiated chordoma, metastatic to the lung.  Without clinical hx, these can be very difficult to recognize, as Brachyury often negative (as it is here). #pathtwitter #pathx #cnspath #neuropath #neuropathology

What do you call this? Non-enhancing 16mm lesion cerebellum, middle aged female. More pictures and poll below. #pathx #pathtwitter #cnspath #neuropath #neuropathology

PeterKobalka's tweet image. What do you call this?  Non-enhancing 16mm lesion cerebellum, middle aged female. More pictures and poll below.
#pathx #pathtwitter #cnspath #neuropath #neuropathology
PeterKobalka's tweet image. What do you call this?  Non-enhancing 16mm lesion cerebellum, middle aged female. More pictures and poll below.
#pathx #pathtwitter #cnspath #neuropath #neuropathology
PeterKobalka's tweet image. What do you call this?  Non-enhancing 16mm lesion cerebellum, middle aged female. More pictures and poll below.
#pathx #pathtwitter #cnspath #neuropath #neuropathology
PeterKobalka's tweet image. What do you call this?  Non-enhancing 16mm lesion cerebellum, middle aged female. More pictures and poll below.
#pathx #pathtwitter #cnspath #neuropath #neuropathology

Glioblastoma with serpiginous pseuopalisading necrosis, a very interesting pattern indeed! #neuropath #cnspath #neuropathology #pathtwitter #pathx

PeterKobalka's tweet image. Glioblastoma with serpiginous pseuopalisading necrosis, a very interesting pattern indeed!
#neuropath #cnspath #neuropathology #pathtwitter #pathx
PeterKobalka's tweet image. Glioblastoma with serpiginous pseuopalisading necrosis, a very interesting pattern indeed!
#neuropath #cnspath #neuropathology #pathtwitter #pathx
PeterKobalka's tweet image. Glioblastoma with serpiginous pseuopalisading necrosis, a very interesting pattern indeed!
#neuropath #cnspath #neuropathology #pathtwitter #pathx

Meningioma displaying necrosis with pseudo pallisading. Not just a feature seen in some high-grade gliomas! #cnspath #neuropath #neuropathology #pathtwitter #pathx

PeterKobalka's tweet image. Meningioma displaying necrosis with pseudo pallisading.  Not just a feature seen in some high-grade gliomas! #cnspath #neuropath #neuropathology #pathtwitter #pathx
PeterKobalka's tweet image. Meningioma displaying necrosis with pseudo pallisading.  Not just a feature seen in some high-grade gliomas! #cnspath #neuropath #neuropathology #pathtwitter #pathx

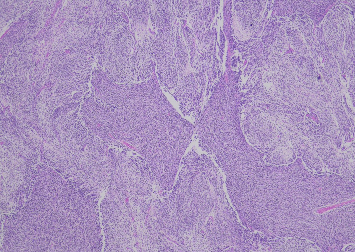
This spine mass was submitted as “rule out ependymoma.” Thoughts? Stains? Dx? #cnspath #neuropath #neuropathology #pathx #pathtwitter

PeterKobalka's tweet image. This spine mass was submitted as “rule out ependymoma.”  Thoughts? Stains? Dx?  #cnspath #neuropath #neuropathology #pathx #pathtwitter
PeterKobalka's tweet image. This spine mass was submitted as “rule out ependymoma.”  Thoughts? Stains? Dx?  #cnspath #neuropath #neuropathology #pathx #pathtwitter
PeterKobalka's tweet image. This spine mass was submitted as “rule out ependymoma.”  Thoughts? Stains? Dx?  #cnspath #neuropath #neuropathology #pathx #pathtwitter
PeterKobalka's tweet image. This spine mass was submitted as “rule out ependymoma.”  Thoughts? Stains? Dx?  #cnspath #neuropath #neuropathology #pathx #pathtwitter

Pituitary, contents of Rathke’s Cleft Cyst. The colloid-like material really looks like colloid, esp on the Diff-quik! (And maybe some cracking too) #neuropathology #neuropath #cnspath #pathx #pathtwitter #cytology #cytopath #cytopathology

PeterKobalka's tweet image. Pituitary, contents of Rathke’s Cleft Cyst. The colloid-like material really looks like colloid, esp on the Diff-quik! (And maybe some cracking too)
#neuropathology #neuropath #cnspath #pathx #pathtwitter #cytology #cytopath #cytopathology
PeterKobalka's tweet image. Pituitary, contents of Rathke’s Cleft Cyst. The colloid-like material really looks like colloid, esp on the Diff-quik! (And maybe some cracking too)
#neuropathology #neuropath #cnspath #pathx #pathtwitter #cytology #cytopath #cytopathology
PeterKobalka's tweet image. Pituitary, contents of Rathke’s Cleft Cyst. The colloid-like material really looks like colloid, esp on the Diff-quik! (And maybe some cracking too)
#neuropathology #neuropath #cnspath #pathx #pathtwitter #cytology #cytopath #cytopathology
PeterKobalka's tweet image. Pituitary, contents of Rathke’s Cleft Cyst. The colloid-like material really looks like colloid, esp on the Diff-quik! (And maybe some cracking too)
#neuropathology #neuropath #cnspath #pathx #pathtwitter #cytology #cytopath #cytopathology

Large choroidal melanoma with perineural invasion and >5mm extraocular extension. This alone gets it to pT4e. Unsurprisingly, a liver mass soon developed #pathx #pathtwitter #cnspath #neuropath #neuropathology

PeterKobalka's tweet image. Large choroidal melanoma with perineural invasion and >5mm extraocular extension. This alone gets it to pT4e.  Unsurprisingly, a liver mass soon developed #pathx #pathtwitter #cnspath #neuropath #neuropathology
PeterKobalka's tweet image. Large choroidal melanoma with perineural invasion and >5mm extraocular extension. This alone gets it to pT4e.  Unsurprisingly, a liver mass soon developed #pathx #pathtwitter #cnspath #neuropath #neuropathology
PeterKobalka's tweet image. Large choroidal melanoma with perineural invasion and >5mm extraocular extension. This alone gets it to pT4e.  Unsurprisingly, a liver mass soon developed #pathx #pathtwitter #cnspath #neuropath #neuropathology

#Cnspath Secretory meningioma @CraigHorbinski

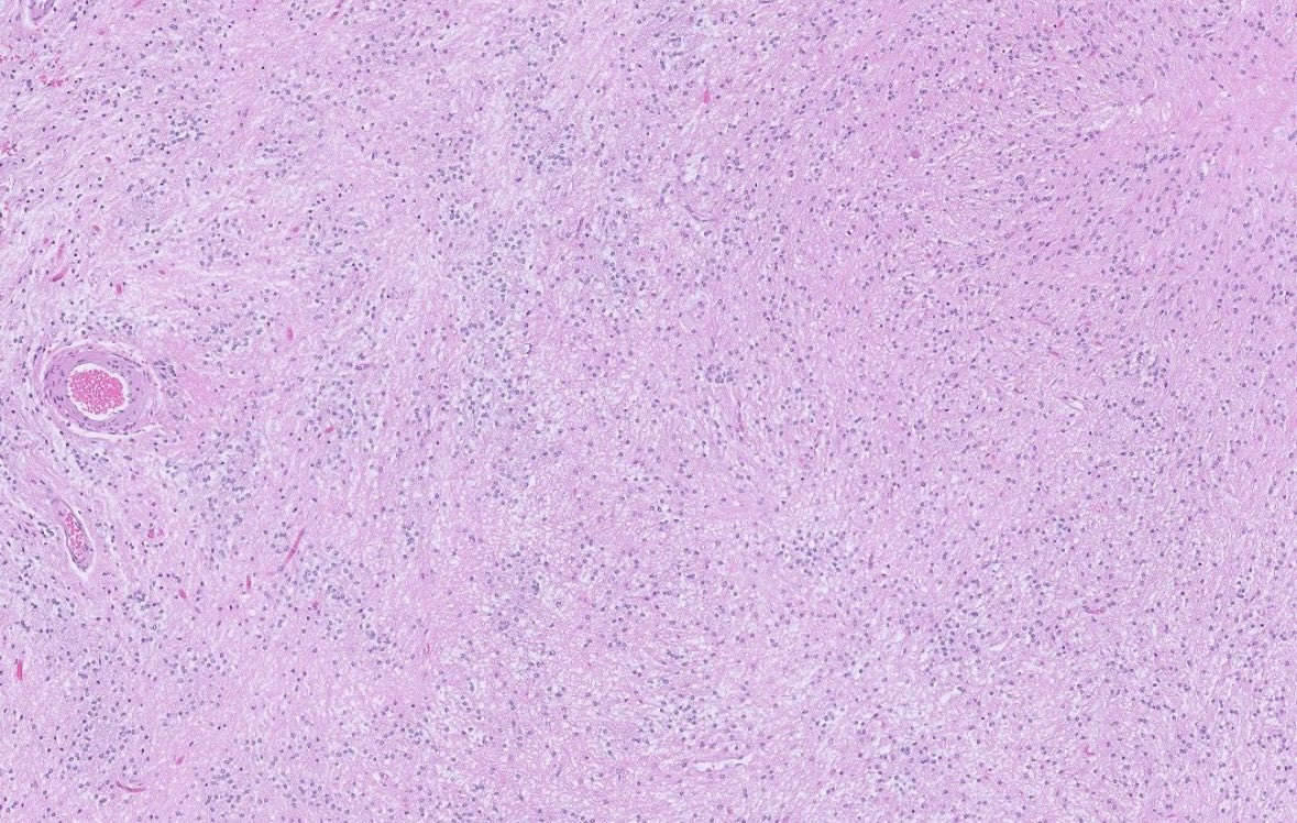
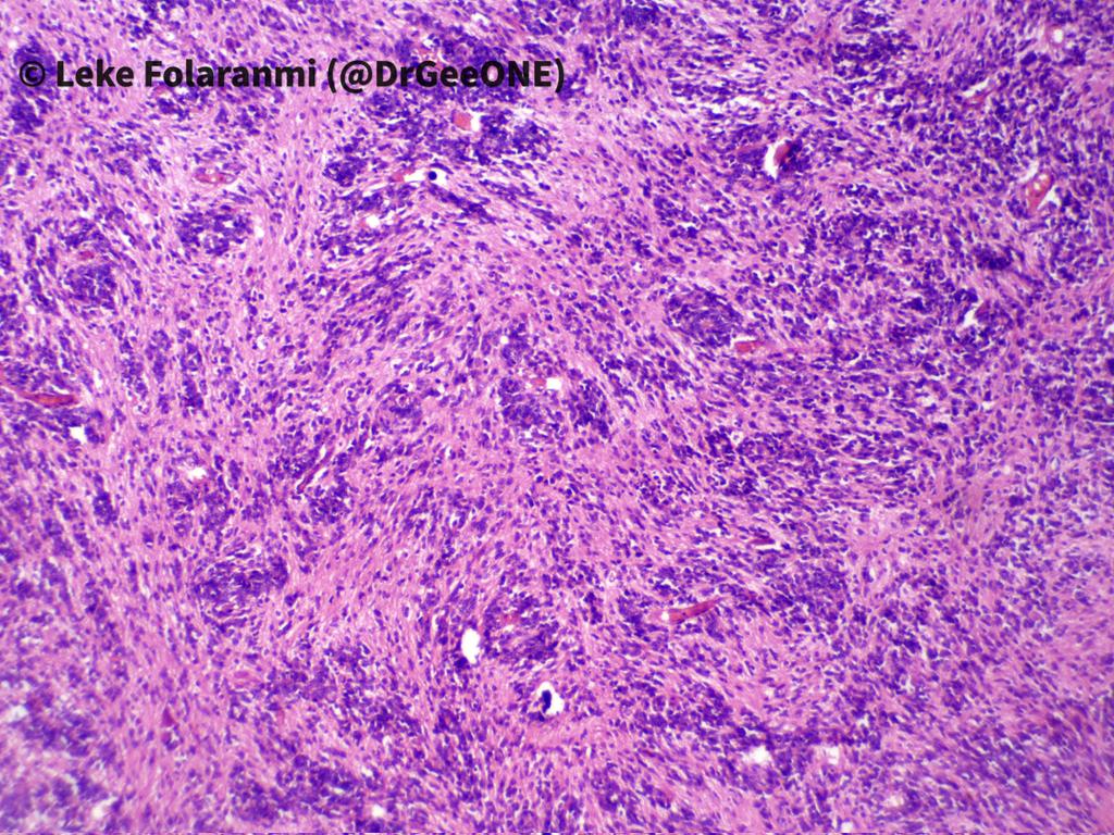
Dura-based tumor in an adult. Diagnosis? What mutation might this tumor contain? (It's not a SECRET.) #pathology #neuropath #PathTwitter

CraigHorbinski's tweet image. Dura-based tumor in an adult. Diagnosis? What mutation might this tumor contain? (It's not a SECRET.) #pathology #neuropath #PathTwitter


Probably the ugliest met prostate adenocarcinoma to brain I’ve seen. Fun fact: prostate strongly prefers the meninges and only very rarely gets in the brain. #neuropath #cnspath #neuropathology #pathtwitter #pathx

PeterKobalka's tweet image. Probably the ugliest met prostate adenocarcinoma to brain I’ve seen. Fun fact: prostate strongly prefers the meninges and only very rarely gets in the brain. #neuropath #cnspath #neuropathology #pathtwitter #pathx
PeterKobalka's tweet image. Probably the ugliest met prostate adenocarcinoma to brain I’ve seen. Fun fact: prostate strongly prefers the meninges and only very rarely gets in the brain. #neuropath #cnspath #neuropathology #pathtwitter #pathx
PeterKobalka's tweet image. Probably the ugliest met prostate adenocarcinoma to brain I’ve seen. Fun fact: prostate strongly prefers the meninges and only very rarely gets in the brain. #neuropath #cnspath #neuropathology #pathtwitter #pathx
PeterKobalka's tweet image. Probably the ugliest met prostate adenocarcinoma to brain I’ve seen. Fun fact: prostate strongly prefers the meninges and only very rarely gets in the brain. #neuropath #cnspath #neuropathology #pathtwitter #pathx

1/2 2YOM with recurring seizures. Imaging shows large brain parenchymal mass-The surgeons say it appears "extra axial"...attached to the falx but not infiltrating the brain. This looks like embryonal tumour with abundant neuropil and rosettes (now ETMR) to me #CNSPath #Neuropath

DrGeeONE's tweet image. 1/2 
2YOM with recurring seizures. Imaging shows large brain parenchymal mass-The surgeons say it appears "extra axial"...attached to the falx but not infiltrating the brain.
This looks like embryonal tumour with abundant neuropil and rosettes (now ETMR) to me #CNSPath #Neuropath
DrGeeONE's tweet image. 1/2 
2YOM with recurring seizures. Imaging shows large brain parenchymal mass-The surgeons say it appears "extra axial"...attached to the falx but not infiltrating the brain.
This looks like embryonal tumour with abundant neuropil and rosettes (now ETMR) to me #CNSPath #Neuropath
DrGeeONE's tweet image. 1/2 
2YOM with recurring seizures. Imaging shows large brain parenchymal mass-The surgeons say it appears "extra axial"...attached to the falx but not infiltrating the brain.
This looks like embryonal tumour with abundant neuropil and rosettes (now ETMR) to me #CNSPath #Neuropath
DrGeeONE's tweet image. 1/2 
2YOM with recurring seizures. Imaging shows large brain parenchymal mass-The surgeons say it appears "extra axial"...attached to the falx but not infiltrating the brain.
This looks like embryonal tumour with abundant neuropil and rosettes (now ETMR) to me #CNSPath #Neuropath

Thank you! I will be sharing another for the #CNSPath team later in the day.🙏🏽


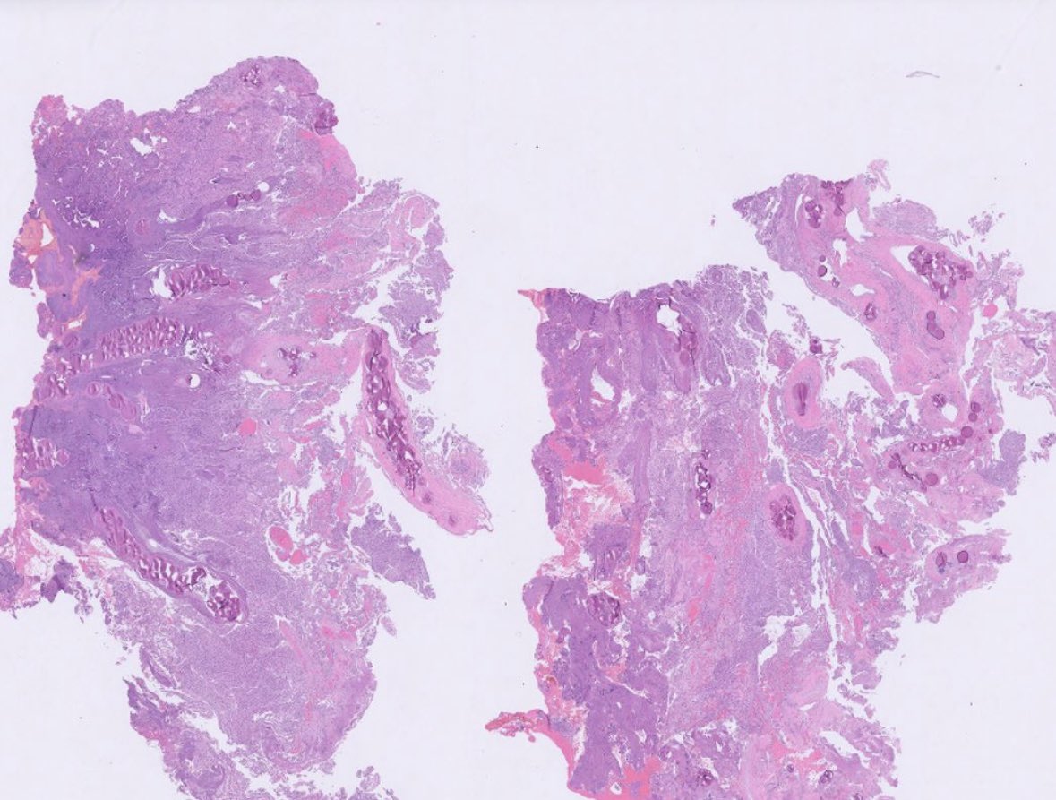
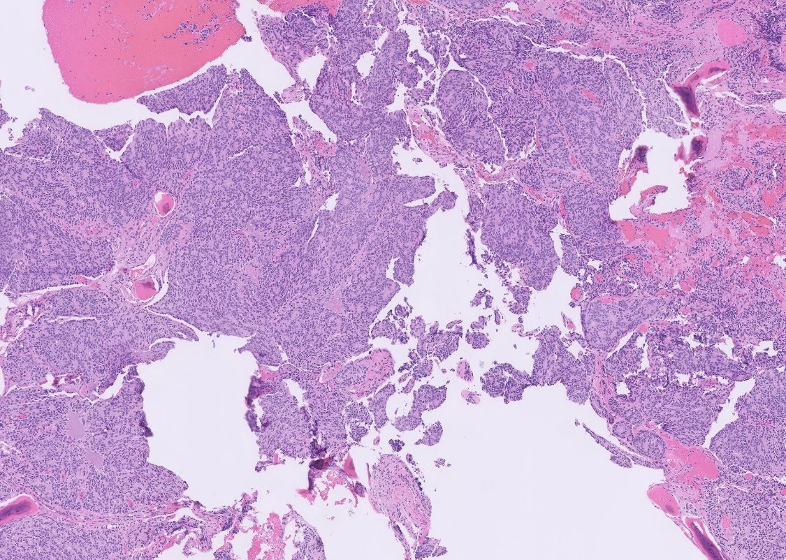
Kindly share your thoughts on this case: Intraventricular mass in a 38 year old Male. 1/2 @CraigHorbinski @neuropathmk @bitar_mireille @mlage @FRodriguezNP #CNSPath #NeuroPath #PathTwitter #PathX

DrGeeONE's tweet image. Kindly share your thoughts on this case: Intraventricular mass in a 38 year old Male. 1/2
@CraigHorbinski
@neuropathmk @bitar_mireille
@mlage @FRodriguezNP #CNSPath #NeuroPath #PathTwitter #PathX
DrGeeONE's tweet image. Kindly share your thoughts on this case: Intraventricular mass in a 38 year old Male. 1/2
@CraigHorbinski
@neuropathmk @bitar_mireille
@mlage @FRodriguezNP #CNSPath #NeuroPath #PathTwitter #PathX
DrGeeONE's tweet image. Kindly share your thoughts on this case: Intraventricular mass in a 38 year old Male. 1/2
@CraigHorbinski
@neuropathmk @bitar_mireille
@mlage @FRodriguezNP #CNSPath #NeuroPath #PathTwitter #PathX
DrGeeONE's tweet image. Kindly share your thoughts on this case: Intraventricular mass in a 38 year old Male. 1/2
@CraigHorbinski
@neuropathmk @bitar_mireille
@mlage @FRodriguezNP #CNSPath #NeuroPath #PathTwitter #PathX

#Cnspath metastatic carcinoma

Brain lesion in a woman with an abdominal mass. Based on the morphology, what kind of metastatic cancer do you think this might be? #pathology #neuropath #PathTwitter

CraigHorbinski's tweet image. Brain lesion in a woman with an abdominal mass. Based on the morphology, what kind of metastatic cancer do you think this might be? #pathology #neuropath #PathTwitter
CraigHorbinski's tweet image. Brain lesion in a woman with an abdominal mass. Based on the morphology, what kind of metastatic cancer do you think this might be? #pathology #neuropath #PathTwitter


"#cnspath" に一致する結果はありません

Meningioma displaying necrosis with pseudo pallisading. Not just a feature seen in some high-grade gliomas! #cnspath #neuropath #neuropathology #pathtwitter #pathx

PeterKobalka's tweet image. Meningioma displaying necrosis with pseudo pallisading.  Not just a feature seen in some high-grade gliomas! #cnspath #neuropath #neuropathology #pathtwitter #pathx
PeterKobalka's tweet image. Meningioma displaying necrosis with pseudo pallisading.  Not just a feature seen in some high-grade gliomas! #cnspath #neuropath #neuropathology #pathtwitter #pathx

Yes, this is met epithelioid GBM! Below, original resection, GFAP, olig-2, then one of the LN Mets #neuropathology #cnspath #neuropath

PeterKobalka's tweet image. Yes, this is met epithelioid GBM!  Below, original resection, GFAP, olig-2, then one of the LN Mets #neuropathology #cnspath #neuropath
PeterKobalka's tweet image. Yes, this is met epithelioid GBM!  Below, original resection, GFAP, olig-2, then one of the LN Mets #neuropathology #cnspath #neuropath
PeterKobalka's tweet image. Yes, this is met epithelioid GBM!  Below, original resection, GFAP, olig-2, then one of the LN Mets #neuropathology #cnspath #neuropath
PeterKobalka's tweet image. Yes, this is met epithelioid GBM!  Below, original resection, GFAP, olig-2, then one of the LN Mets #neuropathology #cnspath #neuropath

Glioblastoma with serpiginous pseuopalisading necrosis, a very interesting pattern indeed! #neuropath #cnspath #neuropathology #pathtwitter #pathx

PeterKobalka's tweet image. Glioblastoma with serpiginous pseuopalisading necrosis, a very interesting pattern indeed!
#neuropath #cnspath #neuropathology #pathtwitter #pathx
PeterKobalka's tweet image. Glioblastoma with serpiginous pseuopalisading necrosis, a very interesting pattern indeed!
#neuropath #cnspath #neuropathology #pathtwitter #pathx
PeterKobalka's tweet image. Glioblastoma with serpiginous pseuopalisading necrosis, a very interesting pattern indeed!
#neuropath #cnspath #neuropathology #pathtwitter #pathx

Embolization material in a meningioma; not just black or white in color, apparently! What is the purpose of embolizing vessels in meningiomas (and other highly vascularized neoplasms)? #pathx #pathtwitter #cnspath #neuropath #neuropathology

PeterKobalka's tweet image. Embolization material in a meningioma;  not just black or white in color, apparently!  What is the purpose of embolizing vessels in meningiomas (and other highly vascularized neoplasms)?  #pathx #pathtwitter #cnspath #neuropath #neuropathology
PeterKobalka's tweet image. Embolization material in a meningioma;  not just black or white in color, apparently!  What is the purpose of embolizing vessels in meningiomas (and other highly vascularized neoplasms)?  #pathx #pathtwitter #cnspath #neuropath #neuropathology
PeterKobalka's tweet image. Embolization material in a meningioma;  not just black or white in color, apparently!  What is the purpose of embolizing vessels in meningiomas (and other highly vascularized neoplasms)?  #pathx #pathtwitter #cnspath #neuropath #neuropathology

61F never smoker, large axillary mass with widespread Mets including multiple brain Mets. CD10 strongly positive (shown). Mutations in p53, RB1, and TERT. DDx? Stain suggestions? #pathx #pathtwitter #cnspath #neuropath #neuropathology

PeterKobalka's tweet image. 61F never smoker, large axillary mass with widespread Mets including multiple brain Mets.   CD10 strongly positive (shown). Mutations in p53, RB1, and TERT.  DDx?  Stain suggestions?  #pathx #pathtwitter #cnspath #neuropath #neuropathology
PeterKobalka's tweet image. 61F never smoker, large axillary mass with widespread Mets including multiple brain Mets.   CD10 strongly positive (shown). Mutations in p53, RB1, and TERT.  DDx?  Stain suggestions?  #pathx #pathtwitter #cnspath #neuropath #neuropathology
PeterKobalka's tweet image. 61F never smoker, large axillary mass with widespread Mets including multiple brain Mets.   CD10 strongly positive (shown). Mutations in p53, RB1, and TERT.  DDx?  Stain suggestions?  #pathx #pathtwitter #cnspath #neuropath #neuropathology
PeterKobalka's tweet image. 61F never smoker, large axillary mass with widespread Mets including multiple brain Mets.   CD10 strongly positive (shown). Mutations in p53, RB1, and TERT.  DDx?  Stain suggestions?  #pathx #pathtwitter #cnspath #neuropath #neuropathology

This spine mass was submitted as “rule out ependymoma.” Thoughts? Stains? Dx? #cnspath #neuropath #neuropathology #pathx #pathtwitter

PeterKobalka's tweet image. This spine mass was submitted as “rule out ependymoma.”  Thoughts? Stains? Dx?  #cnspath #neuropath #neuropathology #pathx #pathtwitter
PeterKobalka's tweet image. This spine mass was submitted as “rule out ependymoma.”  Thoughts? Stains? Dx?  #cnspath #neuropath #neuropathology #pathx #pathtwitter
PeterKobalka's tweet image. This spine mass was submitted as “rule out ependymoma.”  Thoughts? Stains? Dx?  #cnspath #neuropath #neuropathology #pathx #pathtwitter
PeterKobalka's tweet image. This spine mass was submitted as “rule out ependymoma.”  Thoughts? Stains? Dx?  #cnspath #neuropath #neuropathology #pathx #pathtwitter

What do you call this? Non-enhancing 16mm lesion cerebellum, middle aged female. More pictures and poll below. #pathx #pathtwitter #cnspath #neuropath #neuropathology

PeterKobalka's tweet image. What do you call this?  Non-enhancing 16mm lesion cerebellum, middle aged female. More pictures and poll below.
#pathx #pathtwitter #cnspath #neuropath #neuropathology
PeterKobalka's tweet image. What do you call this?  Non-enhancing 16mm lesion cerebellum, middle aged female. More pictures and poll below.
#pathx #pathtwitter #cnspath #neuropath #neuropathology
PeterKobalka's tweet image. What do you call this?  Non-enhancing 16mm lesion cerebellum, middle aged female. More pictures and poll below.
#pathx #pathtwitter #cnspath #neuropath #neuropathology
PeterKobalka's tweet image. What do you call this?  Non-enhancing 16mm lesion cerebellum, middle aged female. More pictures and poll below.
#pathx #pathtwitter #cnspath #neuropath #neuropathology

Hemangioblastoma, Inhibin+. Young pt, must work up for VHL! (Trainees; this is the MOST POPULAR tumor syndrome for testing) #cnspath #neuropath #neuropathology #pathx #pathtwitter

PeterKobalka's tweet image. Hemangioblastoma, Inhibin+. Young pt, must work up for VHL! (Trainees; this is the MOST POPULAR tumor syndrome for testing) #cnspath #neuropath #neuropathology #pathx #pathtwitter
PeterKobalka's tweet image. Hemangioblastoma, Inhibin+. Young pt, must work up for VHL! (Trainees; this is the MOST POPULAR tumor syndrome for testing) #cnspath #neuropath #neuropathology #pathx #pathtwitter
PeterKobalka's tweet image. Hemangioblastoma, Inhibin+. Young pt, must work up for VHL! (Trainees; this is the MOST POPULAR tumor syndrome for testing) #cnspath #neuropath #neuropathology #pathx #pathtwitter
PeterKobalka's tweet image. Hemangioblastoma, Inhibin+. Young pt, must work up for VHL! (Trainees; this is the MOST POPULAR tumor syndrome for testing) #cnspath #neuropath #neuropathology #pathx #pathtwitter

Pituitary, contents of Rathke’s Cleft Cyst. The colloid-like material really looks like colloid, esp on the Diff-quik! (And maybe some cracking too) #neuropathology #neuropath #cnspath #pathx #pathtwitter #cytology #cytopath #cytopathology

PeterKobalka's tweet image. Pituitary, contents of Rathke’s Cleft Cyst. The colloid-like material really looks like colloid, esp on the Diff-quik! (And maybe some cracking too)
#neuropathology #neuropath #cnspath #pathx #pathtwitter #cytology #cytopath #cytopathology
PeterKobalka's tweet image. Pituitary, contents of Rathke’s Cleft Cyst. The colloid-like material really looks like colloid, esp on the Diff-quik! (And maybe some cracking too)
#neuropathology #neuropath #cnspath #pathx #pathtwitter #cytology #cytopath #cytopathology
PeterKobalka's tweet image. Pituitary, contents of Rathke’s Cleft Cyst. The colloid-like material really looks like colloid, esp on the Diff-quik! (And maybe some cracking too)
#neuropathology #neuropath #cnspath #pathx #pathtwitter #cytology #cytopath #cytopathology
PeterKobalka's tweet image. Pituitary, contents of Rathke’s Cleft Cyst. The colloid-like material really looks like colloid, esp on the Diff-quik! (And maybe some cracking too)
#neuropathology #neuropath #cnspath #pathx #pathtwitter #cytology #cytopath #cytopathology

#APCON2023 @Apcon2023 #CNSpath #neuropath nice talk on embroynal tumour of CNS, WHO- CNS 5

ViralBhanvadia's tweet image. #APCON2023 @Apcon2023 #CNSpath #neuropath nice talk on embroynal tumour of CNS, WHO- CNS 5
ViralBhanvadia's tweet image. #APCON2023 @Apcon2023 #CNSpath #neuropath nice talk on embroynal tumour of CNS, WHO- CNS 5
ViralBhanvadia's tweet image. #APCON2023 @Apcon2023 #CNSpath #neuropath nice talk on embroynal tumour of CNS, WHO- CNS 5
ViralBhanvadia's tweet image. #APCON2023 @Apcon2023 #CNSpath #neuropath nice talk on embroynal tumour of CNS, WHO- CNS 5

65/f, proptosis,conjunctival chemosis, orbital mass, MRI- well demarcated,intraconal mass,post.inf.lateral aspect,adherent to optic nerve sheath complex,3.5x2.2x3.1cm.#cnspath,#eyeyepath,#neuropath,@eyepathlondon @CraigHorbinski @NeuroEyepath @aanchalkakkar

ViralBhanvadia's tweet image. 65/f, proptosis,conjunctival chemosis, orbital mass, MRI- well demarcated,intraconal mass,post.inf.lateral aspect,adherent to optic nerve sheath complex,3.5x2.2x3.1cm.#cnspath,#eyeyepath,#neuropath,@eyepathlondon @CraigHorbinski @NeuroEyepath @aanchalkakkar
ViralBhanvadia's tweet image. 65/f, proptosis,conjunctival chemosis, orbital mass, MRI- well demarcated,intraconal mass,post.inf.lateral aspect,adherent to optic nerve sheath complex,3.5x2.2x3.1cm.#cnspath,#eyeyepath,#neuropath,@eyepathlondon @CraigHorbinski @NeuroEyepath @aanchalkakkar
ViralBhanvadia's tweet image. 65/f, proptosis,conjunctival chemosis, orbital mass, MRI- well demarcated,intraconal mass,post.inf.lateral aspect,adherent to optic nerve sheath complex,3.5x2.2x3.1cm.#cnspath,#eyeyepath,#neuropath,@eyepathlondon @CraigHorbinski @NeuroEyepath @aanchalkakkar
ViralBhanvadia's tweet image. 65/f, proptosis,conjunctival chemosis, orbital mass, MRI- well demarcated,intraconal mass,post.inf.lateral aspect,adherent to optic nerve sheath complex,3.5x2.2x3.1cm.#cnspath,#eyeyepath,#neuropath,@eyepathlondon @CraigHorbinski @NeuroEyepath @aanchalkakkar

Dedifferentiated chordoma, metastatic to the lung. Without clinical hx, these can be very difficult to recognize, as Brachyury often negative (as it is here). #pathtwitter #pathx #cnspath #neuropath #neuropathology

neuropathology's tweet image. Dedifferentiated chordoma, metastatic to the lung.  Without clinical hx, these can be very difficult to recognize, as Brachyury often negative (as it is here). #pathtwitter #pathx #cnspath #neuropath #neuropathology
neuropathology's tweet image. Dedifferentiated chordoma, metastatic to the lung.  Without clinical hx, these can be very difficult to recognize, as Brachyury often negative (as it is here). #pathtwitter #pathx #cnspath #neuropath #neuropathology
neuropathology's tweet image. Dedifferentiated chordoma, metastatic to the lung.  Without clinical hx, these can be very difficult to recognize, as Brachyury often negative (as it is here). #pathtwitter #pathx #cnspath #neuropath #neuropathology
neuropathology's tweet image. Dedifferentiated chordoma, metastatic to the lung.  Without clinical hx, these can be very difficult to recognize, as Brachyury often negative (as it is here). #pathtwitter #pathx #cnspath #neuropath #neuropathology

Brain mets generally don’t infiltrate. However, small cell carcinoma and melanoma sometimes do, probably a result of shared embryologic origin (I.e. neuroectoderm) #pathx #pathtwitter #cnspath #neuropath #neuropathology

PeterKobalka's tweet image. Brain mets generally don’t infiltrate. However, small cell carcinoma and melanoma sometimes do, probably a result of shared embryologic origin (I.e. neuroectoderm) #pathx    #pathtwitter #cnspath #neuropath #neuropathology

Large choroidal melanoma with perineural invasion and >5mm extraocular extension. This alone gets it to pT4e. Unsurprisingly, a liver mass soon developed #pathx #pathtwitter #cnspath #neuropath #neuropathology

PeterKobalka's tweet image. Large choroidal melanoma with perineural invasion and >5mm extraocular extension. This alone gets it to pT4e.  Unsurprisingly, a liver mass soon developed #pathx #pathtwitter #cnspath #neuropath #neuropathology
PeterKobalka's tweet image. Large choroidal melanoma with perineural invasion and >5mm extraocular extension. This alone gets it to pT4e.  Unsurprisingly, a liver mass soon developed #pathx #pathtwitter #cnspath #neuropath #neuropathology
PeterKobalka's tweet image. Large choroidal melanoma with perineural invasion and >5mm extraocular extension. This alone gets it to pT4e.  Unsurprisingly, a liver mass soon developed #pathx #pathtwitter #cnspath #neuropath #neuropathology

Probably the ugliest met prostate adenocarcinoma to brain I’ve seen. Fun fact: prostate strongly prefers the meninges and only very rarely gets in the brain. #neuropath #cnspath #neuropathology #pathtwitter #pathx

PeterKobalka's tweet image. Probably the ugliest met prostate adenocarcinoma to brain I’ve seen. Fun fact: prostate strongly prefers the meninges and only very rarely gets in the brain. #neuropath #cnspath #neuropathology #pathtwitter #pathx
PeterKobalka's tweet image. Probably the ugliest met prostate adenocarcinoma to brain I’ve seen. Fun fact: prostate strongly prefers the meninges and only very rarely gets in the brain. #neuropath #cnspath #neuropathology #pathtwitter #pathx
PeterKobalka's tweet image. Probably the ugliest met prostate adenocarcinoma to brain I’ve seen. Fun fact: prostate strongly prefers the meninges and only very rarely gets in the brain. #neuropath #cnspath #neuropathology #pathtwitter #pathx
PeterKobalka's tweet image. Probably the ugliest met prostate adenocarcinoma to brain I’ve seen. Fun fact: prostate strongly prefers the meninges and only very rarely gets in the brain. #neuropath #cnspath #neuropathology #pathtwitter #pathx

ᴀ 16 ʏʀ 👩 | ᴍɪᴅᴅʟᴇ ᴄʀᴀɴɪᴀʟ ғᴏssᴀ ᴇxᴛʀᴀ-ᴀxɪᴀʟ ᴍᴀss🧠. 🌒 Rʜᴀʙᴅᴏɪᴅ ᴍᴇɴɪɴɢɪᴏᴍᴀ #pathx #pathology #CNSpath #pathresidents #pathoutpic

_Wondweson64's tweet image. ᴀ 16 ʏʀ 👩 | ᴍɪᴅᴅʟᴇ ᴄʀᴀɴɪᴀʟ ғᴏssᴀ ᴇxᴛʀᴀ-ᴀxɪᴀʟ ᴍᴀss🧠.
🌒 Rʜᴀʙᴅᴏɪᴅ ᴍᴇɴɪɴɢɪᴏᴍᴀ
#pathx #pathology #CNSpath #pathresidents #pathoutpic
_Wondweson64's tweet image. ᴀ 16 ʏʀ 👩 | ᴍɪᴅᴅʟᴇ ᴄʀᴀɴɪᴀʟ ғᴏssᴀ ᴇxᴛʀᴀ-ᴀxɪᴀʟ ᴍᴀss🧠.
🌒 Rʜᴀʙᴅᴏɪᴅ ᴍᴇɴɪɴɢɪᴏᴍᴀ
#pathx #pathology #CNSpath #pathresidents #pathoutpic
_Wondweson64's tweet image. ᴀ 16 ʏʀ 👩 | ᴍɪᴅᴅʟᴇ ᴄʀᴀɴɪᴀʟ ғᴏssᴀ ᴇxᴛʀᴀ-ᴀxɪᴀʟ ᴍᴀss🧠.
🌒 Rʜᴀʙᴅᴏɪᴅ ᴍᴇɴɪɴɢɪᴏᴍᴀ
#pathx #pathology #CNSpath #pathresidents #pathoutpic
_Wondweson64's tweet image. ᴀ 16 ʏʀ 👩 | ᴍɪᴅᴅʟᴇ ᴄʀᴀɴɪᴀʟ ғᴏssᴀ ᴇxᴛʀᴀ-ᴀxɪᴀʟ ᴍᴀss🧠.
🌒 Rʜᴀʙᴅᴏɪᴅ ᴍᴇɴɪɴɢɪᴏᴍᴀ
#pathx #pathology #CNSpath #pathresidents #pathoutpic

1/2 I need your thoughts on this; 10-year old with a sudden onset of left hemiparesis and recurrent seizures. CT-right parietal lesion with associated haematoma MRI shows a well-circumscribed lesion with a "popcorn" appearance. Working diagnosis: Cavernous malformation #CNSPath

DrGeeONE's tweet image. 1/2
I need your thoughts on this;
10-year old with a sudden onset of left hemiparesis and recurrent seizures. 
CT-right parietal lesion with associated haematoma
MRI shows a well-circumscribed lesion with a "popcorn" appearance.
Working diagnosis: Cavernous malformation 
#CNSPath
DrGeeONE's tweet image. 1/2
I need your thoughts on this;
10-year old with a sudden onset of left hemiparesis and recurrent seizures. 
CT-right parietal lesion with associated haematoma
MRI shows a well-circumscribed lesion with a "popcorn" appearance.
Working diagnosis: Cavernous malformation 
#CNSPath
DrGeeONE's tweet image. 1/2
I need your thoughts on this;
10-year old with a sudden onset of left hemiparesis and recurrent seizures. 
CT-right parietal lesion with associated haematoma
MRI shows a well-circumscribed lesion with a "popcorn" appearance.
Working diagnosis: Cavernous malformation 
#CNSPath
DrGeeONE's tweet image. 1/2
I need your thoughts on this;
10-year old with a sudden onset of left hemiparesis and recurrent seizures. 
CT-right parietal lesion with associated haematoma
MRI shows a well-circumscribed lesion with a "popcorn" appearance.
Working diagnosis: Cavernous malformation 
#CNSPath

Kindly share your thoughts on this case: Intraventricular mass in a 38 year old Male. 1/2 @CraigHorbinski @neuropathmk @bitar_mireille @mlage @FRodriguezNP #CNSPath #NeuroPath #PathTwitter #PathX

DrGeeONE's tweet image. Kindly share your thoughts on this case: Intraventricular mass in a 38 year old Male. 1/2
@CraigHorbinski
@neuropathmk @bitar_mireille
@mlage @FRodriguezNP #CNSPath #NeuroPath #PathTwitter #PathX
DrGeeONE's tweet image. Kindly share your thoughts on this case: Intraventricular mass in a 38 year old Male. 1/2
@CraigHorbinski
@neuropathmk @bitar_mireille
@mlage @FRodriguezNP #CNSPath #NeuroPath #PathTwitter #PathX
DrGeeONE's tweet image. Kindly share your thoughts on this case: Intraventricular mass in a 38 year old Male. 1/2
@CraigHorbinski
@neuropathmk @bitar_mireille
@mlage @FRodriguezNP #CNSPath #NeuroPath #PathTwitter #PathX
DrGeeONE's tweet image. Kindly share your thoughts on this case: Intraventricular mass in a 38 year old Male. 1/2
@CraigHorbinski
@neuropathmk @bitar_mireille
@mlage @FRodriguezNP #CNSPath #NeuroPath #PathTwitter #PathX

Loading...

Something went wrong.


Something went wrong.