#eha2023 search results

$EDIT hopes to be better, although late, with its Crispr-edited sickle cell project, but so far it's hard to call. My quick take on the #EHA2023 data on EDIT-301, via @evaluatevantage $CRSP $VRTX $BLUE evaluate.com/vantage/articl…


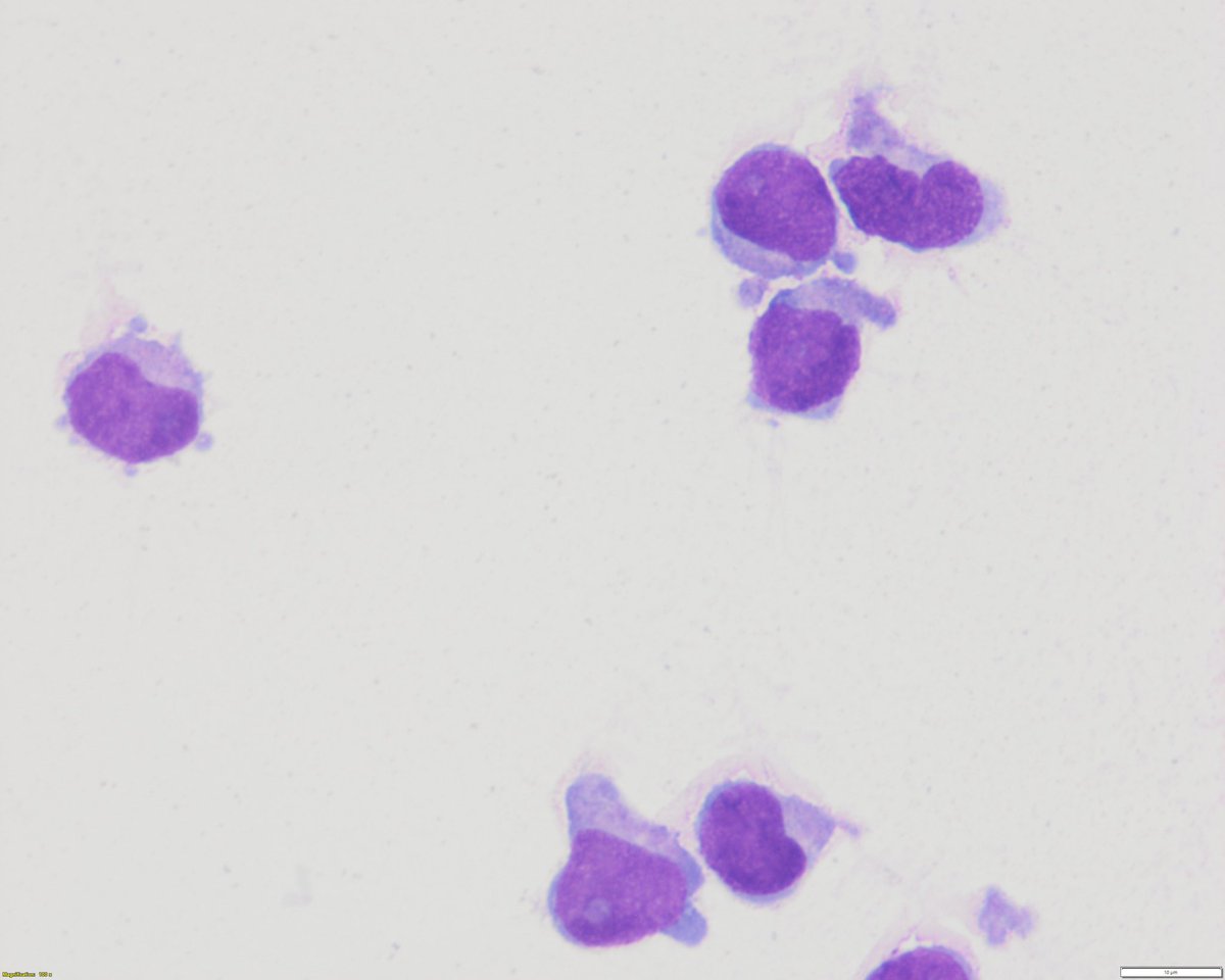
Post #EHA2023 blues?? Indulge in this #hemepath #cytopath quiz. CSF cytospin in a patient with ETP T-ALL…. Left image is baseline (positive)… right is follow up…. Is the single cell a blast or not? Poll below 👇🏻

sanamloghavi's tweet image. Post #EHA2023 blues??  
Indulge in this  #hemepath #cytopath quiz. CSF cytospin in a patient with ETP T-ALL…. Left image is baseline (positive)… right is follow up…. Is the single cell a blast or not? Poll below 👇🏻
sanamloghavi's tweet image. Post #EHA2023 blues??  
Indulge in this  #hemepath #cytopath quiz. CSF cytospin in a patient with ETP T-ALL…. Left image is baseline (positive)… right is follow up…. Is the single cell a blast or not? Poll below 👇🏻

The Economic History Association meeting may be ending, but our virtual exhibit is still open! Browse our virtual exhibit and get 30% off and free domestic shipping using code EX57554! bit.ly/3EtSI1i #EHA2023

UChicagoPress's tweet image. The Economic History Association meeting may be ending, but our virtual exhibit is still open! Browse our virtual exhibit and get 30% off and free domestic shipping using code EX57554! bit.ly/3EtSI1i #EHA2023

A very important point that I really liked from $APTO data presented at #EHA2023 The combo Tus/Ven CRi achieved in 1st cycle treatment & ONLY 15-days from a patient who had previously been refractory to chemotherapy & HMA/ven (hypomethylating agent + venetoclax) More at ESH


Attending the Economic History Association meeting in Pittsburgh? Whether you’re attending or not, you can now browse our virtual exhibit. Check out our featured books and get 30% off & free domestic shipping with promo code EX57554! bit.ly/3ZdEnzC #EHA2023

UChicagoPress's tweet image. Attending the Economic History Association meeting in Pittsburgh? Whether you’re attending or not, you can now browse our virtual exhibit. Check out our featured books and get 30% off & free domestic shipping with promo code EX57554! bit.ly/3ZdEnzC  #EHA2023

We need novel therapies and move beyond JAKi, especially pts with high risk diseases not eligible for BMT, sharing Dr Pemmaraju @doctorpemm excellent presentation slide 👇🏽 from #EHA2023 #MFBrief

TalhaBadarMD's tweet image. We need novel therapies and move beyond JAKi, especially pts with high risk diseases not eligible for BMT, sharing Dr Pemmaraju @doctorpemm excellent presentation slide 👇🏽 from #EHA2023 #MFBrief

3/ 📊 What DIPSS risk group would you assign to a 75 yo patient w/ myelofibrosis, unintentional weight loss, fever/night sweats, anemia (Hgb 8.8 g/dL), adequate platelets (211 K/μL), & 2% circulating blasts❓ #MFBrief



As @EHA_Hematology 2024 approaches, LARVOL CLIN has curated key insights looking back at the top trials at EHA 2023, as discussed by 2500+ leading oncologists on X. To explore more insights from last year’s conference: bit.ly/3RpSIGh #EHA2023 #EHA2024 #LARVOL

Larvol's tweet image. As @EHA_Hematology 2024 approaches, LARVOL CLIN has curated key insights looking back at the top trials at EHA 2023, as discussed by 2500+ leading oncologists on X.

To explore more insights from last year’s conference: bit.ly/3RpSIGh

#EHA2023 #EHA2024 #LARVOL

$Kura Oncology Presents Late-Breaking Clinical Data for Menin Inhibitor Ziftomenib at #EHA2023 ORR 45%, cCR 40%, CR 35% in MPM1m AML (7/20), mDoR 8.2mo, 30% Gr3+TRAEs, 20% diff syndrome (1 Gr3 "manageable") slides kuraoncology.com/wp-content/upl… globenewswire.com/news-release/2…


Research presented at #EHA2023 examined the efficacy and safety of elotuzumab in patients diagnosed with #myelofibrosis. Elotuzumab targets SLAMF7, which plays a role in fibrocyte differentiation and disease progression. @MDAndersonNews journals.lww.com/EHA2023highlig…

OncologyTimes's tweet image. Research presented at #EHA2023 examined the efficacy and safety of elotuzumab in patients diagnosed with #myelofibrosis. Elotuzumab targets SLAMF7, which plays a role in fibrocyte differentiation and disease progression. @MDAndersonNews journals.lww.com/EHA2023highlig…

Translating academic research to real-world impact: the story of venetoclax and academic CAR-Ts.. 💫 @young_eha @EHA_Hematology #EHA2023

ValentinOrtizMD's tweet image. Translating academic research to real-world impact: the story of venetoclax and academic CAR-Ts.. 💫 @young_eha @EHA_Hematology #EHA2023

🔎Gain insight into CAR T-cell therapies across #lymphoma and #multiplemyeloma. Watch the full coverage of our #EHA2023 session, chaired by Ulrich Jäger. The ins and outs of CAR T cells in the real world🌎 👇 loom.ly/z-v4fTQ #mmsm#lymsm #CART #CARTcells

MM_Hub's tweet image. 🔎Gain insight into CAR T-cell therapies across #lymphoma and #multiplemyeloma. 

Watch the full coverage of our #EHA2023 session, chaired by Ulrich Jäger. 

The ins and outs of CAR T cells in the real world🌎 👇  

loom.ly/z-v4fTQ

#mmsm #lymsm #CART #CARTcells

Research at #EHA2023 provided a closer look at disease progression and leukemic transformation among patients with lower-risk #myelofibrosis. Data showed about one-third of patients had progressive disease. ow.ly/J8Tt50OQGVp

OncologyTimes's tweet image. Research at #EHA2023 provided a closer look at disease progression and leukemic transformation among patients with lower-risk #myelofibrosis. Data showed about one-third of patients had progressive disease. ow.ly/J8Tt50OQGVp

Don’t miss out! Watch @DunleavyKieron deliver his #EHA2023 presentation: Biomarkers and patient eligibility for CAR T-cell therapies in #DLBCL. With questions from Ulrich Jäger and Michael Hudecek. 👉 loom.ly/ObYV1sE #lymsm #CART #CARTcell

lymphomahub's tweet image. Don’t miss out! Watch @DunleavyKieron deliver his #EHA2023 presentation: Biomarkers and patient eligibility for CAR T-cell therapies in #DLBCL. With questions from Ulrich Jäger and Michael Hudecek. 

👉 loom.ly/ObYV1sE
#lymsm #CART #CARTcell

Our @nih_nhlbi scientist Xingmin Feng presented an extension of our work using Ruxolitinib in our immune #BMFsm 🐭 model. Low Rux / CSA was effective in rescuing BMF. Baricitinib and Tofacitinib were less effective than full dose Rux. Clinical trial for Rux coming soon! #EHA2023

emmamgroarke's tweet image. Our @nih_nhlbi scientist Xingmin Feng presented an extension of our work using Ruxolitinib in our immune #BMFsm 🐭 model. Low Rux / CSA was effective in rescuing BMF. Baricitinib and Tofacitinib were less effective than full dose Rux. Clinical trial for Rux coming soon! #EHA2023
emmamgroarke's tweet image. Our @nih_nhlbi scientist Xingmin Feng presented an extension of our work using Ruxolitinib in our immune #BMFsm 🐭 model. Low Rux / CSA was effective in rescuing BMF. Baricitinib and Tofacitinib were less effective than full dose Rux. Clinical trial for Rux coming soon! #EHA2023
emmamgroarke's tweet image. Our @nih_nhlbi scientist Xingmin Feng presented an extension of our work using Ruxolitinib in our immune #BMFsm 🐭 model. Low Rux / CSA was effective in rescuing BMF. Baricitinib and Tofacitinib were less effective than full dose Rux. Clinical trial for Rux coming soon! #EHA2023
emmamgroarke's tweet image. Our @nih_nhlbi scientist Xingmin Feng presented an extension of our work using Ruxolitinib in our immune #BMFsm 🐭 model. Low Rux / CSA was effective in rescuing BMF. Baricitinib and Tofacitinib were less effective than full dose Rux. Clinical trial for Rux coming soon! #EHA2023

The combination of venetoclax and azacitidine positively impacts health-related quality of life among elderly patients with acute myeloid #leukemia compared with azacitidine alone. ow.ly/zlW350PCyqq #EHA2023 #CancerResearch

OncologyTimes's tweet image. The combination of venetoclax and azacitidine positively impacts health-related quality of life among elderly patients with acute myeloid #leukemia compared with azacitidine alone. ow.ly/zlW350PCyqq #EHA2023 #CancerResearch

MORPHO results shown @ #EHA2023 by M. Levis: while formally a negative trial (RFS P=.0518 😑), NGS-MRD+ pts did benefit. Very surprising: results differed between US & European/Asian sites, will be important to figure out underlying reasons (eg TKI pretreatment) @EHA_Hematology

KlausMetzelerMD's tweet image. MORPHO results shown @ #EHA2023 by M. Levis: while formally a negative trial (RFS P=.0518 😑), NGS-MRD+ pts did benefit. Very surprising: results differed between US & European/Asian sites, will be important to figure out underlying reasons (eg TKI pretreatment) @EHA_Hematology
KlausMetzelerMD's tweet image. MORPHO results shown @ #EHA2023 by M. Levis: while formally a negative trial (RFS P=.0518 😑), NGS-MRD+ pts did benefit. Very surprising: results differed between US & European/Asian sites, will be important to figure out underlying reasons (eg TKI pretreatment) @EHA_Hematology
KlausMetzelerMD's tweet image. MORPHO results shown @ #EHA2023 by M. Levis: while formally a negative trial (RFS P=.0518 😑), NGS-MRD+ pts did benefit. Very surprising: results differed between US & European/Asian sites, will be important to figure out underlying reasons (eg TKI pretreatment) @EHA_Hematology
KlausMetzelerMD's tweet image. MORPHO results shown @ #EHA2023 by M. Levis: while formally a negative trial (RFS P=.0518 😑), NGS-MRD+ pts did benefit. Very surprising: results differed between US & European/Asian sites, will be important to figure out underlying reasons (eg TKI pretreatment) @EHA_Hematology

#EHA23 #EHA2023 | It was an awesome 👏🏽 to spend a few precious moments this past wk with Dr Q @Transplant_Doc at @staedelmuseum art 🖼️! #QazilbashRule #DrPDrQ #MindingYourPsAndQs ➡️ #BPDCN #mmsm #leusm #bmtsm

doctorpemm's tweet image. #EHA23 #EHA2023 | It was an awesome 👏🏽 to spend a few precious moments this past wk with Dr Q @Transplant_Doc at @staedelmuseum art 🖼️!  #QazilbashRule #DrPDrQ #MindingYourPsAndQs ➡️ #BPDCN #mmsm #leusm #bmtsm

Proudly presenting my BMT research at #EHA2023 in Frankfurt 🇩🇪 under the mentorship of my grand-ACS on an Osler Friday! @OslerResidency

jonamata26's tweet image. Proudly presenting my BMT research at #EHA2023 in Frankfurt 🇩🇪 under the mentorship of my grand-ACS on an Osler Friday! @OslerResidency

A #EHA2023 Hybrid Congress study reveals #anemia burden in #myelofibrosis patients. Approximately 75% experience anemia, leading to increased healthcare resource utilization. We need effective therapies to address this issue. ow.ly/Mn2O50OYevx @EHA_Hematology

OncologyTimes's tweet image. A #EHA2023 Hybrid Congress study reveals #anemia burden in #myelofibrosis patients. Approximately 75% experience anemia, leading to increased healthcare resource utilization. We need effective therapies to address this issue. ow.ly/Mn2O50OYevx @EHA_Hematology

Research revealed promising treatment in patients with primary or secondary #myelofibrosis who have shown a suboptimal response to ruxolitinib. Navtemadlin was added to the existing regimen to evaluate safety, efficacy, and tolerability. #EHA2023 ow.ly/J9qK50OQGpr

OncologyTimes's tweet image. Research revealed promising treatment in patients with primary or secondary #myelofibrosis who have shown a suboptimal response to ruxolitinib. Navtemadlin was added to the existing regimen to evaluate safety, efficacy, and tolerability. #EHA2023 ow.ly/J9qK50OQGpr

Compelling #EHA2023 session chaired by @SKordasti on how chronic #inflammation in #MDS #MPN #AML remodel the marrow #microenvironment towards driving disease progression and evidence for impact on #immunotherapy response, presented by @UwePlatzbecker @beth_psaila Marc Raaijmakers

GuezguezL's tweet image. Compelling #EHA2023 session chaired by @SKordasti on how chronic #inflammation in #MDS #MPN #AML remodel the marrow #microenvironment towards driving disease progression and evidence for impact on #immunotherapy response, presented by @UwePlatzbecker @beth_psaila Marc Raaijmakers
GuezguezL's tweet image. Compelling #EHA2023 session chaired by @SKordasti on how chronic #inflammation in #MDS #MPN #AML remodel the marrow #microenvironment towards driving disease progression and evidence for impact on #immunotherapy response, presented by @UwePlatzbecker @beth_psaila Marc Raaijmakers
GuezguezL's tweet image. Compelling #EHA2023 session chaired by @SKordasti on how chronic #inflammation in #MDS #MPN #AML remodel the marrow #microenvironment towards driving disease progression and evidence for impact on #immunotherapy response, presented by @UwePlatzbecker @beth_psaila Marc Raaijmakers
GuezguezL's tweet image. Compelling #EHA2023 session chaired by @SKordasti on how chronic #inflammation in #MDS #MPN #AML remodel the marrow #microenvironment towards driving disease progression and evidence for impact on #immunotherapy response, presented by @UwePlatzbecker @beth_psaila Marc Raaijmakers

IMWG Recommendations for infection prevention with BsAbs #mmsm #EHA2023 @DrRakeshPopat

MyelomaTeacher's tweet image. IMWG Recommendations for infection prevention with BsAbs #mmsm #EHA2023 @DrRakeshPopat

CLL Ireland is delighted to attend ##EHA2023 in Madrid. We are looking forward to representing our patient community and working with our fellow advocates to improve lives. We will also be at the advocacy booth, so come say hello. Stay tuned for updates @CLLAdvocates @CllSociety

🎉 #EHA2024 kicks off today! 🎉 Whether you're joining us in Madrid, Spain or online via the Congress Platform, here's what's on the agenda: • Dive into the latest in basic research & career development at the #YoungEHA Research Meeting  • Tune into today's Satellite Symposia.



Who said what at @EHA_Hematology 2023? LARVOL CLIN has curated a list of top voices from over 2500+ leading hematologists on X and their contributions at EHA last year. Click here to learn more: bit.ly/3RpSIGh #EHA2023 #EHA2024 #LARVOL #Hematology #BloodCancerResearch

Larvol's tweet image. Who said what at @EHA_Hematology 2023?

LARVOL CLIN has curated a list of top voices from over 2500+ leading hematologists on X and their contributions at EHA last year. Click here to learn more: bit.ly/3RpSIGh

#EHA2023 #EHA2024 #LARVOL #Hematology #BloodCancerResearch

As @EHA_Hematology 2024 approaches, LARVOL CLIN has curated key insights looking back at the top trials at EHA 2023, as discussed by 2500+ leading oncologists on X. To explore more insights from last year’s conference: bit.ly/3RpSIGh #EHA2023 #EHA2024 #LARVOL

Larvol's tweet image. As @EHA_Hematology 2024 approaches, LARVOL CLIN has curated key insights looking back at the top trials at EHA 2023, as discussed by 2500+ leading oncologists on X.

To explore more insights from last year’s conference: bit.ly/3RpSIGh

#EHA2023 #EHA2024 #LARVOL

Dr. Ting Niu: Population-based study reveals prognostic factors and clinical characteristics of gray zone lymphoma patients mediamedic.co/dr-ting-niu-po… #EHA2023 #GrayZoneLymphoma #VoiceOfChina

Hematology_F's tweet image. Dr. Ting Niu: Population-based study reveals prognostic factors and clinical characteristics of gray zone lymphoma patients mediamedic.co/dr-ting-niu-po… 

#EHA2023 #GrayZoneLymphoma #VoiceOfChina

2. Awarded with grants to attend #EHA2023, #EHASWG, and #ASH2024, presenting our studies and meeting many experts/masters and friends at those distinguished conferences. #MDSsm #MPNsm #leusm #CMML @EHA_Hematology @aamdsif @ASH_hematology @MDS_Hub @MPN_Hub


Tune in as Amir T. Fathi, MD, describes the study design and baseline characteristics of patients enrolled in our Phase 1b KOMET-001 trial of ziftomenib, presented as a late-breaker at #EHA2023. Watch more here: kuraoncology.com/clinical-trial…


Venetoclax plus azacitidine positively impacts health-related quality of life among #elderly patients with #acutemyeloidleukemia compared with azacitidine alone, according to findings from the #EHA2023 Hybrid Congress. ow.ly/m7PY50PRZR1 #AML

OncologyTimes's tweet image. Venetoclax plus azacitidine positively impacts health-related quality of life among #elderly patients with #acutemyeloidleukemia compared with azacitidine alone, according to findings from the #EHA2023 Hybrid Congress. ow.ly/m7PY50PRZR1 #AML

We need novel therapies and move beyond JAKi, especially pts with high risk diseases not eligible for BMT, sharing Dr Pemmaraju @doctorpemm excellent presentation slide 👇🏽 from #EHA2023 #MFBrief

TalhaBadarMD's tweet image. We need novel therapies and move beyond JAKi, especially pts with high risk diseases not eligible for BMT, sharing Dr Pemmaraju @doctorpemm excellent presentation slide 👇🏽 from #EHA2023 #MFBrief

3/ 📊 What DIPSS risk group would you assign to a 75 yo patient w/ myelofibrosis, unintentional weight loss, fever/night sweats, anemia (Hgb 8.8 g/dL), adequate platelets (211 K/μL), & 2% circulating blasts❓ #MFBrief



1. Off to the @EuroHuntington conference #EHA2023 via Birmingham to Blankenberge. A great start with Ozzy the Bull as our mascot & @BirminghamOpera serenading us...

alex_fisher1969's tweet image. 1. Off to the @EuroHuntington conference #EHA2023 via Birmingham to Blankenberge. A great start with Ozzy the Bull as our mascot & @BirminghamOpera serenading us...

3 weeks left before we join the Turkish Society of Hematology in Antalya, Türkiye for the Highlights of Past EHA (#HOPE2023) MENA meeting. Featuring key updates from #EHA2023, we look forward to connecting with peers from across the region. Register now: eha.fyi/HOPE_MENA23_Reg


John Mascarenhas gives an overview and explores the limitations of current therapeutic options for myelofibrosis Find out more here: touchhaematology.com/myeloprolifera… #EHA2023 #Myelofibrosis

touchHEMATOLOGY's tweet image. John Mascarenhas gives an overview and explores the limitations of current therapeutic options for myelofibrosis

Find out more here: touchhaematology.com/myeloprolifera…

#EHA2023 #Myelofibrosis

🔎Gain insight into CAR T-cell therapies across #lymphoma and #multiplemyeloma. Watch the full coverage of our #EHA2023 session, chaired by Ulrich Jäger. The ins and outs of CAR T cells in the real world🌎 👇 loom.ly/z-v4fTQ #mmsm#lymsm #CART #CARTcells

MM_Hub's tweet image. 🔎Gain insight into CAR T-cell therapies across #lymphoma and #multiplemyeloma. 

Watch the full coverage of our #EHA2023 session, chaired by Ulrich Jäger. 

The ins and outs of CAR T cells in the real world🌎 👇  

loom.ly/z-v4fTQ

#mmsm #lymsm #CART #CARTcells

What are the common challenges facing real-world CAR T-cell therapy? At our #EHA2023 session, Michael Hudecek explains the current challenges, the progress that has been made, and answers audience questions. Watch here: loom.ly/WaBnSMU #lymsm #mmsm #CART #CARTcells

MM_Hub's tweet image. What are the common challenges facing real-world CAR T-cell therapy?  

At our #EHA2023 session, Michael Hudecek explains the current challenges, the progress that has been made, and answers audience questions.

Watch here: loom.ly/WaBnSMU

#lymsm #mmsm #CART #CARTcells

No results for "#eha2023"

Post #EHA2023 blues?? Indulge in this #hemepath #cytopath quiz. CSF cytospin in a patient with ETP T-ALL…. Left image is baseline (positive)… right is follow up…. Is the single cell a blast or not? Poll below 👇🏻

sanamloghavi's tweet image. Post #EHA2023 blues??  
Indulge in this  #hemepath #cytopath quiz. CSF cytospin in a patient with ETP T-ALL…. Left image is baseline (positive)… right is follow up…. Is the single cell a blast or not? Poll below 👇🏻
sanamloghavi's tweet image. Post #EHA2023 blues??  
Indulge in this  #hemepath #cytopath quiz. CSF cytospin in a patient with ETP T-ALL…. Left image is baseline (positive)… right is follow up…. Is the single cell a blast or not? Poll below 👇🏻

CONGRESS #EHA2023 | Amir Fathi @MassGeneralNews presents Ph 1 KOMET-001 study results showing ziftomenib was well tolerated in pts with R/R NPM1-m #AML. DS events were clinical manageable. CR was 35%; median DoR was 8.2 mo with MRD clearance of NPM1-m & key co-mutations. #leusm

AML_Hub's tweet image. CONGRESS #EHA2023 | Amir Fathi @MassGeneralNews presents Ph 1 KOMET-001 study results showing ziftomenib was well tolerated in pts with R/R NPM1-m #AML. DS events were clinical manageable. CR was 35%; median DoR was 8.2 mo with MRD clearance of NPM1-m & key co-mutations.
#leusm
AML_Hub's tweet image. CONGRESS #EHA2023 | Amir Fathi @MassGeneralNews presents Ph 1 KOMET-001 study results showing ziftomenib was well tolerated in pts with R/R NPM1-m #AML. DS events were clinical manageable. CR was 35%; median DoR was 8.2 mo with MRD clearance of NPM1-m & key co-mutations.
#leusm
AML_Hub's tweet image. CONGRESS #EHA2023 | Amir Fathi @MassGeneralNews presents Ph 1 KOMET-001 study results showing ziftomenib was well tolerated in pts with R/R NPM1-m #AML. DS events were clinical manageable. CR was 35%; median DoR was 8.2 mo with MRD clearance of NPM1-m & key co-mutations.
#leusm
AML_Hub's tweet image. CONGRESS #EHA2023 | Amir Fathi @MassGeneralNews presents Ph 1 KOMET-001 study results showing ziftomenib was well tolerated in pts with R/R NPM1-m #AML. DS events were clinical manageable. CR was 35%; median DoR was 8.2 mo with MRD clearance of NPM1-m & key co-mutations.
#leusm

Attending the Economic History Association meeting in Pittsburgh? Whether you’re attending or not, you can now browse our virtual exhibit. Check out our featured books and get 30% off & free domestic shipping with promo code EX57554! bit.ly/3ZdEnzC #EHA2023

UChicagoPress's tweet image. Attending the Economic History Association meeting in Pittsburgh? Whether you’re attending or not, you can now browse our virtual exhibit. Check out our featured books and get 30% off & free domestic shipping with promo code EX57554! bit.ly/3ZdEnzC  #EHA2023

Data from the final analysis of the phase 2 ALYCANTE trial showed that 62 evaluable patients with ASCT-ineligible LBCL experienced a 3-month ORR of 75.8% with second-line axi-cel. @EHA_Hematology #EHA2023 #lymsm ow.ly/nYkG50PCBQt

OncLive's tweet image. Data from the final analysis of the phase 2 ALYCANTE trial showed that 62 evaluable patients with ASCT-ineligible LBCL experienced a 3-month ORR of 75.8% with second-line axi-cel. @EHA_Hematology #EHA2023 #lymsm ow.ly/nYkG50PCBQt

The efficacy and safety demonstrated by rusfertide in the REVIVE trial could make the novel hepcidin mimetic an additional therapeutic option for patients with PV. @MKremyanskaya @IcahnMountSinai @EHA_Hematology #EHA2023 #mpnsm ow.ly/Bi3i50PqUeU

OncLive's tweet image. The efficacy and safety demonstrated by rusfertide in the REVIVE trial could make the novel hepcidin mimetic an additional therapeutic option for patients with PV. @MKremyanskaya @IcahnMountSinai @EHA_Hematology #EHA2023 #mpnsm ow.ly/Bi3i50PqUeU

The Economic History Association meeting may be ending, but our virtual exhibit is still open! Browse our virtual exhibit and get 30% off and free domestic shipping using code EX57554! bit.ly/3EtSI1i #EHA2023

UChicagoPress's tweet image. The Economic History Association meeting may be ending, but our virtual exhibit is still open! Browse our virtual exhibit and get 30% off and free domestic shipping using code EX57554! bit.ly/3EtSI1i #EHA2023

Back home from @EHA_Hematology #EHA2023, my group members Laura Martinez-Verbo, Nacho Campillo and Yoana Veselinova did a great job presenting their research about the #Epigenetics of #MM, #MDS and Acute #Leukemia, respectively! @CarrerasIJC

ManelEsteller's tweet image. Back home from @EHA_Hematology #EHA2023, my group members Laura Martinez-Verbo, Nacho Campillo and Yoana Veselinova did a great job presenting their research about the #Epigenetics of #MM, #MDS and Acute #Leukemia, respectively! @CarrerasIJC

Proud of @CarrerasIJC PhD students presenting at #EHA2023 @EHA_Hematology such as Laureano Tomás-Daza @LaureTomas from @JavierreLab explaining 3D #chromatin organization in different #blood lineages and #leukemia

ManelEsteller's tweet image. Proud of @CarrerasIJC PhD students presenting at #EHA2023 @EHA_Hematology such as Laureano Tomás-Daza @LaureTomas from @JavierreLab explaining 3D #chromatin organization in different #blood lineages and #leukemia

Treatment with autologous CD22 CAR T cells was safe and induced high response rates in heavily pretreated patients with LBCL who relapsed after CD19-targeted CAR T-cell therapy, according to a phase 1 trial. @StanfordMed @EHA_Hematology #EHA2023 #lymsm ow.ly/BP8t50PvguE

OncLive's tweet image. Treatment with autologous CD22 CAR T cells was safe and induced high response rates in heavily pretreated patients with LBCL who relapsed after CD19-targeted CAR T-cell therapy, according to a phase 1 trial. @StanfordMed @EHA_Hematology #EHA2023 #lymsm ow.ly/BP8t50PvguE

We filmed a fascinating discussion between @OcioEnrique and Jesús San Miguel on some of the key updates in #MultipleMyeloma from #EHA2023. Watch it here: ➡️ow.ly/VjHH50ORAzN @EHA_Hematology #HemOnc #ImmunoOnc #CART #myeloma

VJHemOnc's tweet image. We filmed a fascinating discussion between @OcioEnrique and Jesús San Miguel on some of the key updates in #MultipleMyeloma from #EHA2023. 

Watch it here: ➡️ow.ly/VjHH50ORAzN

@EHA_Hematology  #HemOnc #ImmunoOnc #CART #myeloma

Who said what at @EHA_Hematology 2023? LARVOL CLIN has curated a list of top voices from over 2500+ leading hematologists on X and their contributions at EHA last year. Click here to learn more: bit.ly/3RpSIGh #EHA2023 #EHA2024 #LARVOL #Hematology #BloodCancerResearch

Larvol's tweet image. Who said what at @EHA_Hematology 2023?

LARVOL CLIN has curated a list of top voices from over 2500+ leading hematologists on X and their contributions at EHA last year. Click here to learn more: bit.ly/3RpSIGh

#EHA2023 #EHA2024 #LARVOL #Hematology #BloodCancerResearch

Findings from the phase 1b MajesTEC-2 trial showed that at a median follow-up of 14.7 months, evaluable patients treated with teclistamab plus nirogacestat experienced an ORR of 74.1%. @EHA_Hematology #EHA2023 #mmsm ow.ly/5f0e50PA8q4

OncLive's tweet image. Findings from the phase 1b MajesTEC-2 trial showed that at a median follow-up of 14.7 months, evaluable patients treated with teclistamab plus nirogacestat experienced an ORR of 74.1%. @EHA_Hematology #EHA2023 #mmsm ow.ly/5f0e50PA8q4

On my way to the European Hematology Association meeting @EHA_Hematology in #Frankfurt #EHA2023 where we will present our #SingleCell multiomics data (#genetics + #proteomics) in #myelodysplastic syndrome #MDS using our @MissionBio @SingleCell_IJC platform !

ManelEsteller's tweet image. On my way to the European Hematology Association meeting @EHA_Hematology in #Frankfurt #EHA2023 where we will present our #SingleCell  multiomics data (#genetics + #proteomics) in #myelodysplastic syndrome #MDS using our @MissionBio @SingleCell_IJC platform !

Research presented at #EHA2023 examined the efficacy and safety of elotuzumab in patients diagnosed with #myelofibrosis. Elotuzumab targets SLAMF7, which plays a role in fibrocyte differentiation and disease progression. @MDAndersonNews journals.lww.com/EHA2023highlig…

OncologyTimes's tweet image. Research presented at #EHA2023 examined the efficacy and safety of elotuzumab in patients diagnosed with #myelofibrosis. Elotuzumab targets SLAMF7, which plays a role in fibrocyte differentiation and disease progression. @MDAndersonNews journals.lww.com/EHA2023highlig…

CONGRESS #EHA2023 | Marco Ladetto @UniAvogadro talks about how to approach a patient with R/R follicular #lymphoma. Novel agents like T-cell engagers & rational combinations of existing treatments might further broaden therapeutic armamentarium. #lym #lymsm @EHA_Hematology

lymphomahub's tweet image. CONGRESS #EHA2023 | Marco Ladetto @UniAvogadro talks about how to approach a patient with R/R follicular #lymphoma. Novel agents like T-cell engagers & rational combinations of existing treatments might further broaden therapeutic armamentarium.
#lym #lymsm @EHA_Hematology
lymphomahub's tweet image. CONGRESS #EHA2023 | Marco Ladetto @UniAvogadro talks about how to approach a patient with R/R follicular #lymphoma. Novel agents like T-cell engagers & rational combinations of existing treatments might further broaden therapeutic armamentarium.
#lym #lymsm @EHA_Hematology
lymphomahub's tweet image. CONGRESS #EHA2023 | Marco Ladetto @UniAvogadro talks about how to approach a patient with R/R follicular #lymphoma. Novel agents like T-cell engagers & rational combinations of existing treatments might further broaden therapeutic armamentarium.
#lym #lymsm @EHA_Hematology
lymphomahub's tweet image. CONGRESS #EHA2023 | Marco Ladetto @UniAvogadro talks about how to approach a patient with R/R follicular #lymphoma. Novel agents like T-cell engagers & rational combinations of existing treatments might further broaden therapeutic armamentarium.
#lym #lymsm @EHA_Hematology

🔎Gain insight into CAR T-cell therapies across #lymphoma and #multiplemyeloma. Watch the full coverage of our #EHA2023 session, chaired by Ulrich Jäger. The ins and outs of CAR T cells in the real world🌎 👇 loom.ly/z-v4fTQ #mmsm#lymsm #CART #CARTcells

MM_Hub's tweet image. 🔎Gain insight into CAR T-cell therapies across #lymphoma and #multiplemyeloma. 

Watch the full coverage of our #EHA2023 session, chaired by Ulrich Jäger. 

The ins and outs of CAR T cells in the real world🌎 👇  

loom.ly/z-v4fTQ

#mmsm #lymsm #CART #CARTcells

Excellent update about management of low-grade #myelodysplastic syndrome #MDS at #EHA2023 @EHA_Hematology by Valeria Santini, @Gotzekatharina, @Ramikomrokji and Matteo Della Porta!

ManelEsteller's tweet image. Excellent update about management of low-grade #myelodysplastic syndrome #MDS at #EHA2023 @EHA_Hematology by Valeria Santini, @Gotzekatharina, @Ramikomrokji and Matteo Della Porta!

#EHA2023 | @Jessica_Okosun @QMBCI talks about biology, natural history & current targets in indolent #lymphoma. She emphasizes on limitations with existing targets & need for new targets with improved precision using predictive biomarkers &biology-enriched clinical trials #lymsm

lymphomahub's tweet image. #EHA2023 | @Jessica_Okosun @QMBCI talks about biology, natural history & current targets in indolent #lymphoma. She emphasizes on limitations with existing targets & need for new targets with improved precision using predictive biomarkers &biology-enriched clinical trials #lymsm
lymphomahub's tweet image. #EHA2023 | @Jessica_Okosun @QMBCI talks about biology, natural history & current targets in indolent #lymphoma. She emphasizes on limitations with existing targets & need for new targets with improved precision using predictive biomarkers &biology-enriched clinical trials #lymsm
lymphomahub's tweet image. #EHA2023 | @Jessica_Okosun @QMBCI talks about biology, natural history & current targets in indolent #lymphoma. She emphasizes on limitations with existing targets & need for new targets with improved precision using predictive biomarkers &biology-enriched clinical trials #lymsm
lymphomahub's tweet image. #EHA2023 | @Jessica_Okosun @QMBCI talks about biology, natural history & current targets in indolent #lymphoma. She emphasizes on limitations with existing targets & need for new targets with improved precision using predictive biomarkers &biology-enriched clinical trials #lymsm

Phase III MORPHO trial data presented at #EHA2023 show improved relapse-free survival in FLT3-ITD #AMLpatients with detectable measurable residual disease (MRD). #Gilteritinib holds promise for targeted maintenance therapy. ow.ly/WqLS50OXCG7

OncologyTimes's tweet image. Phase III MORPHO trial data presented at #EHA2023 show improved relapse-free survival in FLT3-ITD #AMLpatients with detectable measurable residual disease (MRD). #Gilteritinib holds promise for targeted maintenance therapy. ow.ly/WqLS50OXCG7

Honored to be sharing our work about plasma proteomic profiling differentiating antiphospholipid syndrome phenotypes at #EHA2023 @jasonsknight @DorukErkanMD @GeorgeGoshuaMD @BenignHeme @EHA_Hematology @APSsupportUK @YaleHemOnc @YaleCancer @HemOncFellows @HTRSFellows @YaleIMed

AyeshaButtMD's tweet image. Honored to be sharing our work  about plasma proteomic profiling differentiating antiphospholipid syndrome phenotypes at #EHA2023
@jasonsknight @DorukErkanMD @GeorgeGoshuaMD @BenignHeme @EHA_Hematology @APSsupportUK @YaleHemOnc @YaleCancer @HemOncFellows @HTRSFellows @YaleIMed

Loading...

Something went wrong.


Something went wrong.