#em_monday search results

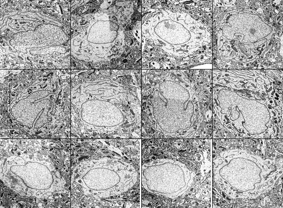
#EM_Monday again! These are randomly selected cell bodies, close to the nucleus periphery, of 6 inhibitory and 6 excitatory neurons from layer 2/3 of microns-explorer.com. Can you tell which are which?

mcammer1's tweet image. #EM_Monday again! These are randomly selected cell bodies, close to the nucleus periphery, of 6 inhibitory and 6 excitatory neurons from layer 2/3 of microns-explorer.com. Can you tell which are which?

Can anyone guess what this cell is that is SO densely paced with mitochondria?! #EM_Monday.Image from openorganelle.janelia.org @HHMIJanelia I was definitely not expecting this! You can see the answer and more images below.

HaniehFalahati's tweet image. Can anyone guess what this cell is that is SO densely paced with mitochondria?! #EM_Monday.Image from openorganelle.janelia.org @HHMIJanelia 
I was definitely not expecting this! You can see the answer and more images below.

#EM_Monday again! Ever wondered about myelination? Here is an axon in magenta as it enters the myelin sheath. As you can see, soon after it enters the sheath, myelin becomes dense being mostly membrane, and you can barely see any cytoplasm, except for some dark islands (1/n).


This #EM_Monday I want to tweet about organelles that are very mysterious things to me, but have something in common: layers upon layers of membranes. I will share some and would love to see other examples that you might know of!The first example is lamellar bodies in lungs (1/n)

HaniehFalahati's tweet image. This #EM_Monday I want to tweet about organelles that are very mysterious things to me, but have something in common: layers upon layers of membranes. I will share some and would love to see other examples that you might know of!The first example is lamellar bodies in lungs (1/n)

😍 " moment of the entry of Lipofectamines into the cell via endosome-rupture" So many wonderful cell biology ideas behind how John Heuser captured these rare, transient, asynchronous moments. Read them here: early #EM_Monday @HaniehFalahati biorxiv.org/content/10.110…

WUMIN_LAB's tweet image. 😍 " moment of the entry of Lipofectamines into the cell via endosome-rupture" 

So many wonderful cell biology ideas behind how John Heuser captured these rare, transient, asynchronous moments. Read them here:

early #EM_Monday @HaniehFalahati 
biorxiv.org/content/10.110…

This #EM_Monday is about mitochondria-nuclear envelope contacts in different brain cells. There are many reasons for mito and NE to want to have direct lines of communications: from coordinating response to cellular stress to transport of lipids and even proteins. However, (1/n)

HaniehFalahati's tweet image. This #EM_Monday is about mitochondria-nuclear envelope contacts in different brain cells. There are many reasons for mito and NE to want to have direct lines of communications: from coordinating response to cellular stress to transport of lipids and even proteins. However, (1/n)

Look at these beautiful OPCs in action 😍 #EM_Monday

Did you know that OPCs are the #1 dividing cell in the brain? Here OPC 1 has half of the division while OPC 2 is migrating away from the pyramidal cell that host OPC1. You’re on your own buddy!

JoJoBuchanan1's tweet image. Did you know that OPCs are the #1 dividing cell in the brain? Here OPC 1 has half of the division while OPC 2 is migrating away from the pyramidal cell that host OPC1. You’re on your own buddy!


I was always fascinated by the branch points, so for this #EM_Monday, I will share with you images showing one of the things I often find at these sites. See if you can notice the recurring theme! Example 1: primary branch from apical dendrite of a pyramidal neuron. (1/n)

HaniehFalahati's tweet image. I was always fascinated by the branch points, so for this #EM_Monday, I will share with you images showing one of the things I often find at these sites. See if you can notice the recurring theme! Example 1: primary branch from apical dendrite of a pyramidal neuron. (1/n)

A Nowruz special of #EM_Monday!I will share what I have found about the evolution of dendritic spine. The earliest thing I found distantly resembling a spine is in the retina of box jellyfish, which shows an invagination of postsynapse into presynapse (doi.org/10.1086/bblv21…)1/n

HaniehFalahati's tweet image. A Nowruz special of #EM_Monday!I will share what I have found about the evolution of dendritic spine. The earliest thing I found distantly resembling a spine is in the retina of box jellyfish, which shows an invagination of postsynapse into presynapse (doi.org/10.1086/bblv21…)1/n

Who wants to see a microglia eating a synapse for this #EM_Monday?! This is an image of a typical microglia that you find in the brain, but if you look carefully, you can see this one is hiding something in one of its hands (yellow arrow).

HaniehFalahati's tweet image. Who wants to see a microglia eating a synapse for this #EM_Monday?! This is an image of a typical microglia that you find in the brain, but if you look carefully, you can see this one is hiding something in one of its hands (yellow arrow).


This #EM_Monday I share a🧵on our new paper @PDCLab. Whether you are into organelles, cytoskeleton, neurons, or just enjoy a fun story, this is for you! Organelles like ER in specialized cells can take weird shapes, w/ the spine apparatus(SA) of dendrites as a prime example (1/n)

HaniehFalahati's tweet image. This #EM_Monday I share a🧵on our new paper @PDCLab. Whether you are into organelles, cytoskeleton, neurons, or just enjoy a fun story, this is for you! Organelles like ER in specialized cells can take weird shapes, w/ the spine apparatus(SA) of dendrites as a prime example (1/n)

My new paper is now on BioRxiv 🎉🎉🎉🎉 twittorial to come 😊 Ectopic Reconstitution of a Spine-Apparatus Like Structure Provides Insight into Mechanisms Underlying Its Formation biorxiv.org/content/10.110…



After a long break, should I bring #EM_Monday back?!

Yes! %45
Yes Yes Yes! %55

40 vote · Final results


This #EM_Monday I want to put the word out that I will be on job market this year! As you might have noticed, I am fascinated by the shapes of various organelles that become drastically different in specialized cells. And I want to know how and why?! The most notable…(1/5)


How many cell bodies can a single soma hug at the same time?! Well, for this fly neuron it seems like 9 is the magic number! #EM_Monday (1/n)

HaniehFalahati's tweet image. How many cell bodies can a single soma hug at the same time?! Well, for this fly neuron it seems like 9 is the magic number! #EM_Monday (1/n)

For a belated #EM_Monday, I will share my favorite thing in neurons, the spine apparatus of a pyramidal neuron! The bulk of my postdoctoral work has been on this peculiar organelle. youtu.be/LleCdCtUnLU


Who wants to see a microglia eating a synapse for this #EM_Monday?! This is an image of a typical microglia that you find in the brain, but if you look carefully, you can see this one is hiding something in one of its hands (yellow arrow).

HaniehFalahati's tweet image. Who wants to see a microglia eating a synapse for this #EM_Monday?! This is an image of a typical microglia that you find in the brain, but if you look carefully, you can see this one is hiding something in one of its hands (yellow arrow).

This #EM_Monday is a neuron (magenta) dumping its lysosome (blue arrow) into a glia- I think!


This #EM_Monday is a neuron (magenta) dumping its lysosome (blue arrow) into a glia- I think!


Our paper is out in time for #EM_Monday! It is about a specialized neuron-specific ER, the spine apparatus, that is close to synapses and has a peculiar shape. If you think neurons are special, the spine apparatus is their🦄horn! But how does it form?!(1/9)doi.org/10.1016/j.cub.…


This #EM_Monday I share a🧵on our new paper @PDCLab. Whether you are into organelles, cytoskeleton, neurons, or just enjoy a fun story, this is for you! Organelles like ER in specialized cells can take weird shapes, w/ the spine apparatus(SA) of dendrites as a prime example (1/n)

HaniehFalahati's tweet image. This #EM_Monday I share a🧵on our new paper @PDCLab. Whether you are into organelles, cytoskeleton, neurons, or just enjoy a fun story, this is for you! Organelles like ER in specialized cells can take weird shapes, w/ the spine apparatus(SA) of dendrites as a prime example (1/n)

My new paper is now on BioRxiv 🎉🎉🎉🎉 twittorial to come 😊 Ectopic Reconstitution of a Spine-Apparatus Like Structure Provides Insight into Mechanisms Underlying Its Formation biorxiv.org/content/10.110…



😍 " moment of the entry of Lipofectamines into the cell via endosome-rupture" So many wonderful cell biology ideas behind how John Heuser captured these rare, transient, asynchronous moments. Read them here: early #EM_Monday @HaniehFalahati biorxiv.org/content/10.110…

WUMIN_LAB's tweet image. 😍 " moment of the entry of Lipofectamines into the cell via endosome-rupture" 

So many wonderful cell biology ideas behind how John Heuser captured these rare, transient, asynchronous moments. Read them here:

early #EM_Monday @HaniehFalahati 
biorxiv.org/content/10.110…

This weeks #EM_Monday is for people who like microglia, nucleus/nucleophagy(?), and mitochodria! A 🧵 In this image you are seeing a microglia (pink) near the soma of a neuron (blue). Even from this image you can see how flat the soma and nucleus of the microglia are. (1/n)

HaniehFalahati's tweet image. This weeks #EM_Monday is for people who like microglia, nucleus/nucleophagy(?), and mitochodria! A 🧵 In this image you are seeing a microglia (pink) near the soma of a neuron (blue). Even from this image you can see how flat the soma and nucleus of the microglia are. (1/n)

#EM_Monday again! Ever wondered about myelination? Here is an axon in magenta as it enters the myelin sheath. As you can see, soon after it enters the sheath, myelin becomes dense being mostly membrane, and you can barely see any cytoplasm, except for some dark islands (1/n).


After a long break, should I bring #EM_Monday back?!

Yes! %45
Yes Yes Yes! %55

40 vote · Final results


Gold plating in process! 😁 Stay tuned for more EM data. #ElectronMicroscopy #neuroscience #EM_monday #CFIM

SorenGrubb's tweet image. Gold plating in process! 😁 Stay tuned for more EM data. #ElectronMicroscopy #neuroscience #EM_monday #CFIM

I think this bacteriophage negative stain is a bit scary! 🎃💀🖤🦠 #HappyHalloween #EM_monday #CFIM #EMcourse

SorenGrubb's tweet image. I think this bacteriophage negative stain is a bit scary! 🎃💀🖤🦠 #HappyHalloween #EM_monday #CFIM #EMcourse

This #EM_Monday I want to tweet about organelles that are very mysterious things to me, but have something in common: layers upon layers of membranes. I will share some and would love to see other examples that you might know of!The first example is lamellar bodies in lungs (1/n)

HaniehFalahati's tweet image. This #EM_Monday I want to tweet about organelles that are very mysterious things to me, but have something in common: layers upon layers of membranes. I will share some and would love to see other examples that you might know of!The first example is lamellar bodies in lungs (1/n)

🎉 Just finished a fantastic course in electron microscopy at @UCPH_health's CFIM! 🎓 Highly recommend! Here's a thread 🧵 of some cool images we took. First up, an SEM image of a blood vessel in a small intestine. 🤩 #EM_Monday #ElectronMicroscopy

SorenGrubb's tweet image. 🎉 Just finished a fantastic course in electron microscopy at @UCPH_health's CFIM! 🎓 Highly recommend! Here's a thread 🧵 of some cool images we took. First up, an SEM image of a blood vessel in a small intestine. 🤩 #EM_Monday #ElectronMicroscopy

This #EM_Monday I want to share with you an image of a lipid droplet (LD) that is seemingly making contact with a mitochondria. But something is not quite right! The blue cell is a neuron, and neurons are not supposed to have LDs in normal conditions. So what is going on?! (1/n)

HaniehFalahati's tweet image. This #EM_Monday I want to share with you an image of a lipid droplet (LD) that is seemingly making contact with a mitochondria. But something is not quite right! The blue cell is a neuron, and neurons are not supposed to have LDs in normal conditions. So what is going on?! (1/n)

This #EM_Monday I want to put the word out that I will be on job market this year! As you might have noticed, I am fascinated by the shapes of various organelles that become drastically different in specialized cells. And I want to know how and why?! The most notable…(1/5)


How many cell bodies can a single soma hug at the same time?! Well, for this fly neuron it seems like 9 is the magic number! #EM_Monday (1/n)

HaniehFalahati's tweet image. How many cell bodies can a single soma hug at the same time?! Well, for this fly neuron it seems like 9 is the magic number! #EM_Monday (1/n)

This #EM_Monday is about mitochondria-nuclear envelope contacts in different brain cells. There are many reasons for mito and NE to want to have direct lines of communications: from coordinating response to cellular stress to transport of lipids and even proteins. However, (1/n)

HaniehFalahati's tweet image. This #EM_Monday is about mitochondria-nuclear envelope contacts in different brain cells. There are many reasons for mito and NE to want to have direct lines of communications: from coordinating response to cellular stress to transport of lipids and even proteins. However, (1/n)

Here comes the answers to the #MICrONS EM challenge... dum dum DUUUM! #EM_monday


Look at these tough swollen mitochondria of fly glial cells (red arrows), pushing their way though neuronal cell bodies, even deforming a nucleus of a neuron. And look how pathetic the neuronal mitochondria (purple arrows) look! #EM_Monday @YaleCellBio Image from @FlyWireNews

HaniehFalahati's tweet image. Look at these tough swollen mitochondria of fly glial cells (red arrows), pushing their way though neuronal cell bodies, even deforming a nucleus of a neuron. And look how pathetic the neuronal mitochondria (purple arrows) look! #EM_Monday @YaleCellBio Image from @FlyWireNews

For a belated #EM_Monday, I will share my favorite thing in neurons, the spine apparatus of a pyramidal neuron! The bulk of my postdoctoral work has been on this peculiar organelle. youtu.be/LleCdCtUnLU


Who wants to see a microglia eating a synapse for this #EM_Monday?! This is an image of a typical microglia that you find in the brain, but if you look carefully, you can see this one is hiding something in one of its hands (yellow arrow).

HaniehFalahati's tweet image. Who wants to see a microglia eating a synapse for this #EM_Monday?! This is an image of a typical microglia that you find in the brain, but if you look carefully, you can see this one is hiding something in one of its hands (yellow arrow).


This #EM_Monday I want to tweet about organelles that are very mysterious things to me, but have something in common: layers upon layers of membranes. I will share some and would love to see other examples that you might know of!The first example is lamellar bodies in lungs (1/n)

HaniehFalahati's tweet image. This #EM_Monday I want to tweet about organelles that are very mysterious things to me, but have something in common: layers upon layers of membranes. I will share some and would love to see other examples that you might know of!The first example is lamellar bodies in lungs (1/n)

Can anyone guess what this cell is that is SO densely paced with mitochondria?! #EM_Monday.Image from openorganelle.janelia.org @HHMIJanelia I was definitely not expecting this! You can see the answer and more images below.

HaniehFalahati's tweet image. Can anyone guess what this cell is that is SO densely paced with mitochondria?! #EM_Monday.Image from openorganelle.janelia.org @HHMIJanelia 
I was definitely not expecting this! You can see the answer and more images below.

This #EM_Monday is about mitochondria-nuclear envelope contacts in different brain cells. There are many reasons for mito and NE to want to have direct lines of communications: from coordinating response to cellular stress to transport of lipids and even proteins. However, (1/n)

HaniehFalahati's tweet image. This #EM_Monday is about mitochondria-nuclear envelope contacts in different brain cells. There are many reasons for mito and NE to want to have direct lines of communications: from coordinating response to cellular stress to transport of lipids and even proteins. However, (1/n)

🎉 Just finished a fantastic course in electron microscopy at @UCPH_health's CFIM! 🎓 Highly recommend! Here's a thread 🧵 of some cool images we took. First up, an SEM image of a blood vessel in a small intestine. 🤩 #EM_Monday #ElectronMicroscopy

SorenGrubb's tweet image. 🎉 Just finished a fantastic course in electron microscopy at @UCPH_health's CFIM! 🎓 Highly recommend! Here's a thread 🧵 of some cool images we took. First up, an SEM image of a blood vessel in a small intestine. 🤩 #EM_Monday #ElectronMicroscopy

Because of my PhD work, I carry this passion for membrane-less organelles. So for today's #EM_Monday I will share some of these membrane-less organelles in neurons. The first is the magnificent nucleolus, from a medium spiny neuron of songbird, showing off its subdomains.

HaniehFalahati's tweet image. Because of my PhD work, I carry this passion for membrane-less organelles. So for today's #EM_Monday I will share some of these membrane-less organelles in neurons. The first is the magnificent nucleolus, from a medium spiny neuron of songbird, showing off its subdomains.

How many cell bodies can a single soma hug at the same time?! Well, for this fly neuron it seems like 9 is the magic number! #EM_Monday (1/n)

HaniehFalahati's tweet image. How many cell bodies can a single soma hug at the same time?! Well, for this fly neuron it seems like 9 is the magic number! #EM_Monday (1/n)

Look at these tough swollen mitochondria of fly glial cells (red arrows), pushing their way though neuronal cell bodies, even deforming a nucleus of a neuron. And look how pathetic the neuronal mitochondria (purple arrows) look! #EM_Monday @YaleCellBio Image from @FlyWireNews

HaniehFalahati's tweet image. Look at these tough swollen mitochondria of fly glial cells (red arrows), pushing their way though neuronal cell bodies, even deforming a nucleus of a neuron. And look how pathetic the neuronal mitochondria (purple arrows) look! #EM_Monday @YaleCellBio Image from @FlyWireNews

This week's #EM_Monday is about some anomalies in neurons. The first example is at axonal terminal (green). It is often seen in Neurodegeneration, but this image but what I am showing here is from an adolescent mouse. An OPC (magenta) is touching it but there doesn't...(1/n)

HaniehFalahati's tweet image. This week's #EM_Monday is about some anomalies in neurons. The first example is at axonal terminal (green). It is often seen in Neurodegeneration, but this image but what I am showing here is from an adolescent mouse. An OPC (magenta) is touching it but there doesn't...(1/n)

This #EM_Monday I share a🧵on our new paper @PDCLab. Whether you are into organelles, cytoskeleton, neurons, or just enjoy a fun story, this is for you! Organelles like ER in specialized cells can take weird shapes, w/ the spine apparatus(SA) of dendrites as a prime example (1/n)

HaniehFalahati's tweet image. This #EM_Monday I share a🧵on our new paper @PDCLab. Whether you are into organelles, cytoskeleton, neurons, or just enjoy a fun story, this is for you! Organelles like ER in specialized cells can take weird shapes, w/ the spine apparatus(SA) of dendrites as a prime example (1/n)

My new paper is now on BioRxiv 🎉🎉🎉🎉 twittorial to come 😊 Ectopic Reconstitution of a Spine-Apparatus Like Structure Provides Insight into Mechanisms Underlying Its Formation biorxiv.org/content/10.110…



This #EM_Monday I want to share with you an image of a lipid droplet (LD) that is seemingly making contact with a mitochondria. But something is not quite right! The blue cell is a neuron, and neurons are not supposed to have LDs in normal conditions. So what is going on?! (1/n)

HaniehFalahati's tweet image. This #EM_Monday I want to share with you an image of a lipid droplet (LD) that is seemingly making contact with a mitochondria. But something is not quite right! The blue cell is a neuron, and neurons are not supposed to have LDs in normal conditions. So what is going on?! (1/n)

This #EM_Monday, I will share some images of neuronal cilia and their association with ER. Green arrows in these images show cilia and yellow arrows show ER, at the base of cilia. Do all cilia have ER cupping their base? NO! But it does happen in some neurons, two shown here. /1

HaniehFalahati's tweet image. This #EM_Monday, I will share some images of neuronal cilia and their association with ER. Green arrows in these images show cilia and yellow arrows show ER, at the base of cilia. Do all cilia have ER cupping their base? NO! But it does happen in some neurons, two shown here. /1
HaniehFalahati's tweet image. This #EM_Monday, I will share some images of neuronal cilia and their association with ER. Green arrows in these images show cilia and yellow arrows show ER, at the base of cilia. Do all cilia have ER cupping their base? NO! But it does happen in some neurons, two shown here. /1

This weeks #EM_Monday is for people who like microglia, nucleus/nucleophagy(?), and mitochodria! A 🧵 In this image you are seeing a microglia (pink) near the soma of a neuron (blue). Even from this image you can see how flat the soma and nucleus of the microglia are. (1/n)

HaniehFalahati's tweet image. This weeks #EM_Monday is for people who like microglia, nucleus/nucleophagy(?), and mitochodria! A 🧵 In this image you are seeing a microglia (pink) near the soma of a neuron (blue). Even from this image you can see how flat the soma and nucleus of the microglia are. (1/n)

Who wants to see a microglia eating a synapse for this #EM_Monday?! This is an image of a typical microglia that you find in the brain, but if you look carefully, you can see this one is hiding something in one of its hands (yellow arrow).

HaniehFalahati's tweet image. Who wants to see a microglia eating a synapse for this #EM_Monday?! This is an image of a typical microglia that you find in the brain, but if you look carefully, you can see this one is hiding something in one of its hands (yellow arrow).

A Nowruz special of #EM_Monday!I will share what I have found about the evolution of dendritic spine. The earliest thing I found distantly resembling a spine is in the retina of box jellyfish, which shows an invagination of postsynapse into presynapse (doi.org/10.1086/bblv21…)1/n

HaniehFalahati's tweet image. A Nowruz special of #EM_Monday!I will share what I have found about the evolution of dendritic spine. The earliest thing I found distantly resembling a spine is in the retina of box jellyfish, which shows an invagination of postsynapse into presynapse (doi.org/10.1086/bblv21…)1/n

I think this bacteriophage negative stain is a bit scary! 🎃💀🖤🦠 #HappyHalloween #EM_monday #CFIM #EMcourse

SorenGrubb's tweet image. I think this bacteriophage negative stain is a bit scary! 🎃💀🖤🦠 #HappyHalloween #EM_monday #CFIM #EMcourse

When we think about communication between neurons, we often think about synapses. But as you can see in this week's #EM_Monday images, the cell body of neurons can come into contact with each other, and this contact area is huge compared to synapses. So do the neurons use...(1/n)

HaniehFalahati's tweet image. When we think about communication between neurons, we often think about synapses. But as you can see in this week's #EM_Monday images, the cell body of neurons can come into contact with each other, and this contact area is huge compared to synapses. So do the neurons use...(1/n)

#EM_Monday again! These are randomly selected cell bodies, close to the nucleus periphery, of 6 inhibitory (red) and 6 excitatory (blue) neurons from layer 2/3 of microns-explorer.com. Do you notice any differences? @YaleCellBio

HaniehFalahati's tweet image. #EM_Monday again! These are randomly selected cell bodies, close to the nucleus periphery, of 6 inhibitory (red) and 6 excitatory (blue) neurons from layer 2/3 of microns-explorer.com. Do you notice any differences? @YaleCellBio
HaniehFalahati's tweet image. #EM_Monday again! These are randomly selected cell bodies, close to the nucleus periphery, of 6 inhibitory (red) and 6 excitatory (blue) neurons from layer 2/3 of microns-explorer.com. Do you notice any differences? @YaleCellBio

I was always fascinated by the branch points, so for this #EM_Monday, I will share with you images showing one of the things I often find at these sites. See if you can notice the recurring theme! Example 1: primary branch from apical dendrite of a pyramidal neuron. (1/n)

HaniehFalahati's tweet image. I was always fascinated by the branch points, so for this #EM_Monday, I will share with you images showing one of the things I often find at these sites. See if you can notice the recurring theme! Example 1: primary branch from apical dendrite of a pyramidal neuron. (1/n)

As a follow-up to last week's #EM_Monday, I wanted to know if there is anything inside nuclear membrane invaginations of neurons? It seems like the most common thing is clusters of vesicle like structures that are heterogenous in size. They are present in /1

HaniehFalahati's tweet image. As a follow-up to last week's #EM_Monday, I wanted to know if there is anything inside nuclear membrane invaginations of neurons? It seems like the most common thing is clusters of vesicle like structures that are heterogenous in size. They are present in /1

Loading...

Something went wrong.


Something went wrong.