#foamcc search results
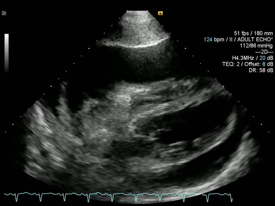
Interesting sequence of events - from Muchmore, et al. J Am Coll Cardiol Case Rep. 2025 Aug, 30 (25) . doi - 10.1016/j.jaccas.2025.104821 #POCUS #FOAMed #FOAMcc Image 1️⃣ - Initial #echocardiogram showing large, circumferential pericardial effusion, right atrial collapse, and…
Scary #POCUS image‼️ Real-Time Capture of Thrombus Embolization During Point-of-Care Lower Extremity Compression Ultrasonography. #FOAMed #FOAMcc 🔗Barton MF, et al. Ann Emerg Med. 2025 doi: 10.1016/j.annemergmed.2025.07.020.
New Stress Ulcer Prophylaxis Guidelines 💊🏥 🔖 Link: academic-oup-com.proxy.lib.duke.edu/ajhp/advance-a… #FOAMcc #ICUNutrition #SCCM #MedEd #MedTwitter


Can high PEEP worse oxygenation? Yes! A recent case to illustrate #foamed #foamCC A person has a witnessed aspiration event after a procedure and is severely hypoxemic requiring intubation radiopaedia.org/articles/12302 (image)

Distribution of IV fluids after infusion 💧💡 (Courtesy of @bmj_latest) #MedTwitter #MedEd #FOAMcc #MedX

1/ Shock is complex. But our tools are often simplistic. This paper proposes a new model: 🩸 Four circulatory interfaces that must stay coupled to maintain perfusion. Uncouple any one — and shock worsens. #Shock #MedX #FOAMcc Here’s the framework. 🔗 doi.org/10.3390/jpm150…

Cardiac tamponade is life threatening, but isn't as black and white as we might think. Here are my top considerations when diagnosing and managing cardiac tamponade 👇 A 🧵 #medtwitter #foamed #foamcc
Trombo auricular en estenosis mitral juvenil 👇 🔗DOI: 10.1016/j.jpeds.2021.06.072. #POCUS #FOAMed #FOAMcc #echofirst @EchofirstB
CP Ctnl 0 Dx? @akneton @yolyabreuh @UlhasDr @DidlakeDW @ecgrhythms @IhabFathiSulima @DrPharmDMDTh @Vadeboncoeur_Al @smithECGBlog @EM_RESUS @estudiomedicina @OrlandoRPN @fxgodzeuss #EPeeps #FOAMcc @ResusMed @TrRja @NaokiThukishima @ecgandrhythmRoe


Rhythm? @akneton @yolyabreuh @UlhasDr @DidlakeDW @ecgrhythms @IhabFathiSulima @DrPharmDMDTh @Vadeboncoeur_Al @smithECGBlog @EM_RESUS @estudiomedicina @OrlandoRPN @fxgodzeuss #EPeeps #FOAMcc @ResusMed @TrRja @NaokiThukishima @ecgandrhythmRoe

Rhythm? @akneton @yolyabreuh @UlhasDr @DidlakeDW @ecgrhythms @IhabFathiSulima @DrPharmDMDTh @Vadeboncoeur_Al @smithECGBlog @EM_RESUS @estudiomedicina @OrlandoRPN @fxgodzeuss #EPeeps #FOAMcc @ResusMed @Sthanu5 @TrRja @NaokiThukishima @ecgandrhythmRoe

🙋♂️Full Issue! Critical Care Nutrition-Where Are We Now? 📝 12 new cutting-edge papers on ICU nutrition exercise, & rehabilitation Full Issue Link: criticalcare.theclinics.com/issue/S0749-07… For copies of any papers feel free to email me at: [email protected] #icunutrition #foamcc…

Three acute care medicine 'anti-patterns' (physiological scenarios that go against common practice) that should make you stop and think 🤔 A brief 🧵 What are your favorite clinical anti-patterns?☯️ #foamed #physiology #foamcc #meded

Protocol of selection and escalation of temporary mechanical circulatory support (PMID: 38115065) #foamed #foamcc #meded #medtwitter

CP R/T Jaw w/o dynamic changes Dx? @akneton @yolyabreuh @UlhasDr @DidlakeDW @ecgrhythms @IhabFathiSulima @DrPharmDMDTh @Vadeboncoeur_Al @smithECGBlog @EM_RESUS @estudiomedicina @OrlandoRPN @fxgodzeuss #EPeeps #FOAMcc @ResusMed @TrRja @NaokiThukishima @ecgandrhythmRoe


Typical CP Ctnl 0.02ng/mL HsTn 19ng/L Dx? @akneton @yolyabreuh @UlhasDr @DidlakeDW @ecgrhythms @IhabFathiSulima @DrPharmDMDTh @Vadeboncoeur_Al @smithECGBlog @EM_RESUS @estudiomedicina @OrlandoRPN @fxgodzeuss #EPeeps #FOAMcc @ResusMed @TrRja @NaokiThukishima @ecgandrhythmRoe



Rhythm? @akneton @yolyabreuh @UlhasDr @DidlakeDW @ecgrhythms @IhabFathiSulima @DrPharmDMDTh @Vadeboncoeur_Al @smithECGBlog @EM_RESUS @estudiomedicina @OrlandoRPN @fxgodzeuss #EPeeps #FOAMcc @ResusMed @TrRja @NaokiThukishima @ecgandrhythmRoe

Interesting sequence of events - from Muchmore, et al. J Am Coll Cardiol Case Rep. 2025 Aug, 30 (25) . doi - 10.1016/j.jaccas.2025.104821 #POCUS #FOAMed #FOAMcc Image 1️⃣ - Initial #echocardiogram showing large, circumferential pericardial effusion, right atrial collapse, and…
Patient required 2-3 l/m O2 via nasal cannula. Hemodynamics remained stable. A day later, he suffered massive intracranial hemorrhage and died... Not every catheter-directed thrombolysis or suction thrombectomy is a success story! #foamed #foamcc #meded #MedTwitter
CP Ctnl 0 Dx? @akneton @yolyabreuh @UlhasDr @DidlakeDW @ecgrhythms @IhabFathiSulima @DrPharmDMDTh @Vadeboncoeur_Al @smithECGBlog @EM_RESUS @estudiomedicina @OrlandoRPN @fxgodzeuss #EPeeps #FOAMcc @ResusMed @TrRja @NaokiThukishima @ecgandrhythmRoe


ICU Snapshots: Assessment/Plan (ICU Edition): Day #1: Start Colace qd Day #2: Change to Colace bid Day #3: Add Senna Day #4: Add Miralax Day #5: The next intensivist comes on service #medtwitter #foamed #foamcc #meded
The study calls for a national, evidence-based framework to ensure equitable and effective prehospital analgesia. #FOAMem #FOAMcc #FOAMems #NursingResearch #PrehospitalCare #EMS
Friendly reminder: Science does not progress by popular vote #meded #foamed #foamcc #MedTwitter
Palpitation in pt who was on long-term penicillin Rhythm? @akneton @yolyabreuh @UlhasDr @DidlakeDW @ecgrhythms @IhabFathiSulima @DrPharmDMDTh @Vadeboncoeur_Al @smithECGBlog @EM_RESUS @estudiomedicina @OrlandoRPN @fxgodzeuss #EPeeps #FOAMcc @ResusMed @TrRja @NaokiThukishima…


Trombo auricular en estenosis mitral juvenil 👇 🔗DOI: 10.1016/j.jpeds.2021.06.072. #POCUS #FOAMed #FOAMcc #echofirst @EchofirstB
Hat tip to the authors! #foamed #foamcc #meded #MedTwitter #pocus #ECHOFIRST #POCUSpeeps #FOAMus #IMPOCUS #MedTwitter
Kudos to the authors! I apologize for taking the liberty of using the paper's data to create this graph👆 Critical Care Medicine : 10.1097 / CCM.0000000000006844, August 25, 2025 DOI: 10.1097/CCM.0000000000006844 #foamed #foamcc #meded #MedTwitter
CP in healthy 42M Echo: nl except RAC+MVP w mild MR Dx? @akneton @yolyabreuh @UlhasDr @DidlakeDW @ecgrhythms @IhabFathiSulima @DrPharmDMDTh @Vadeboncoeur_Al @smithECGBlog @EM_RESUS @estudiomedicina @OrlandoRPN @fxgodzeuss #FOAMcc @ResusMed @TrRja @NaokiThukishima @ecgandrhythmRoe



This week on the show, Jon-Emile Kenny gives his take on fluid resuscitation, and how his wireless doppler device may help (Bias warning!) icuscenarios.com/episode-93-flu… #medtwitter #FOAMcc #FOAMed @ThinkingCC
Jon-Emile Kenny shares his perspective on fluid resuscitation, plus his fancy new wireless doppler device, this week on @icuscenarios icuscenarios.com/episode-93-flu… #medtwitter #FOAMcc #FOAMed
poor transpulmonary blood flow as well as due to hypoxemia & acidosis #foamed #foamcc #meded #MedTwitter #hemodynamics
Friendly reminder: The decision to administer iv fluids is more complex than whether the patient is fluid-responsive or not. Fluid-intolerance and tissue perfusion entered the chat... #foamed #foamcc #meded #MedTwitter #hemodynamics
1/ Shock is complex. But our tools are often simplistic. This paper proposes a new model: 🩸 Four circulatory interfaces that must stay coupled to maintain perfusion. Uncouple any one — and shock worsens. #Shock #MedX #FOAMcc Here’s the framework. 🔗 doi.org/10.3390/jpm150…

New Stress Ulcer Prophylaxis Guidelines 💊🏥 🔖 Link: academic-oup-com.proxy.lib.duke.edu/ajhp/advance-a… #FOAMcc #ICUNutrition #SCCM #MedEd #MedTwitter


Can high PEEP worse oxygenation? Yes! A recent case to illustrate #foamed #foamCC A person has a witnessed aspiration event after a procedure and is severely hypoxemic requiring intubation radiopaedia.org/articles/12302 (image)

Distribution of IV fluids after infusion 💧💡 (Courtesy of @bmj_latest) #MedTwitter #MedEd #FOAMcc #MedX

I may have been a little delirious thinking that I could address ICU delirium on one page. Here is a #Delirium primer and some great articles on delirium. #ICU #FOAMcc #MedEd #MedTwitter journal.chestnet.org/article/S0012-… journal.chestnet.org/article/S0012-…



⚡️🧠 Amazing book for neurologists by @EWijdicks! It has the flow of a novel and gives pearls and practical common sense advice about diagnosis, management and prognosis in every chapter. #FOAMcc #NeuroCritCare #FOAMed #EMCCM #NeuroICU #NeruroMonitoring #IntensiveCare…

CP Dx? @akneton @yolyabreuh @UlhasDr @DidlakeDW @ecgrhythms @IhabFathiSulima @DrPharmDMDTh @Vadeboncoeur_Al @smithECGBlog @EM_RESUS @estudiomedicina @OrlandoRPN @fxgodzeuss #EPeeps #FOAMcc @ResusMed @TrRja @NaokiThukishima @ecgandrhythmRoe

A patient presented to the hospital following a motor vehicle accident. A CT brain was done. What is the likely diagnosis? (image: Wikipedia) #FOAMcc

Protocol of selection and escalation of temporary mechanical circulatory support (PMID: 38115065) #foamed #foamcc #meded #medtwitter

Rhythm? @akneton @yolyabreuh @UlhasDr @DidlakeDW @ecgrhythms @IhabFathiSulima @DrPharmDMDTh @Vadeboncoeur_Al @smithECGBlog @EM_RESUS @estudiomedicina @OrlandoRPN @fxgodzeuss #EPeeps #FOAMcc @ResusMed @Sthanu5 @TrRja @NaokiThukishima @ecgandrhythmRoe

Something went wrong.
Something went wrong.
United States Trends
- 1. Cowboys 65.4K posts
- 2. Fred Warner 6,104 posts
- 3. Panthers 65.7K posts
- 4. Ravens 61.4K posts
- 5. Browns 59.4K posts
- 6. Dolphins 43.9K posts
- 7. #KeepPounding 6,732 posts
- 8. Eberflus 8,790 posts
- 9. Colts 53.6K posts
- 10. Steelers 61.7K posts
- 11. Rico Dowdle 8,602 posts
- 12. Drake Maye 19.7K posts
- 13. Chargers 51K posts
- 14. Penn State 65.1K posts
- 15. #FTTB 2,773 posts
- 16. James Franklin 48.2K posts
- 17. Pickens 16.6K posts
- 18. Herbert 14.9K posts
- 19. Dillon Gabriel 4,338 posts
- 20. #HereWeGo 6,200 posts